ENDOMETRIAL
ABNORMALITIES
Dr. Fathmath Shudhfa Ibrahim
1st year Resident
MD Radiodiagnosis
CONTENTS
• Normal Endometrium
• Endometrial Hyperplasia
• Endometrial Atrophy
• Endometrial Polyps
• Endometrial Carcinoma
• Endometritis
• Endometrial Adhesions
• Intrauterine Contraceptive devices
NORMAL ENDOMETRIUM
• Endometrium undergoes cyclic changes which prepare it for
implantation of a fertilized ovum.
• The normal endometrial cavity is seen as a thin echogenic line.
• The sonographic appearance of the endometrium varies during the
menstrual cycle.
• The endometrium is composed of a superficial functional layer and a
deep basal layer.
• Functional Layer (stratum
functionalis)
-Changes in response to ovarian
hormone cycles
-Sheds during menstruation
• Deep basal layer (stratum basalis)
-Remains intact during the cycle
-Contains spiral arteries which supplies
the functional layer as it thickens
-Unresponsive to ovarian hormones.
• The endometrium is best measured
- on a midline sagittal scan of the uterus
- should include both anterior and posterior portions of the
endometrium.
- It is important not to include the thin hypoechoic inner layer of
myometrium in this measurement.
• The menstrual phase
endometrium consists of a
thin echogenic line.
• During the proliferative
phase, the endometrium
thickens, reaching 4 to 8 mm
• Periovulatory phase .
endometrium measures 6-
10mm and gives three layer
appearance
Normal, thin ,early proliferative
endometrium
Normal, late-proliferative
endometrium with triple-layer
appearance. Central echogenic
line is caused by opposed
endometrial surfaces
surrounded by a thicker
hypoechoic functional layer,
bounded by an outer echogenic
basal layer.
Normal, early-secretory phase
endometrium. The functional
layer surrounding the
echogenic line has become
hyperechoic
Normal, thick, hyperechoic late-secretory
endometrium
• Secretory phase.
The endometrium in this
phase measures 7 to 14
mm in thickness.
Normal, thin, postmenopausal endometrium
IMAGING MODALITY
• Transvaginal sonography
• Sonohysterography
• Reconstructed coronal view, 3-D sonography
POSTMENOPAUSAL ENDOMETRIUM
• Postmenopausal Endometrium should be
thin, homogeneous, and echogenic.
• Homogeneous, smooth endometria
measuring 5 mm or less are considered
within the normal range with or without
hormonal replacement therapy.
• The endometrium in a patient
undergoing hormonal replacement
therapy may vary up to 3 mm if cyclic
estrogen and progestin therapy is being
used
HYDROMETROCOLPOS AND
HEMATOMETROCOLPOS
• Obstruction of the genital tract results in the accumulation of
secretions and blood in the uterus(metro) and/or vagina (colpos),
with the location depending on the amount of obstruction.
• Before menstruation, the accumulation of secretions in the vagina
and uterus is referred to as hydrometrocolpos.
• After menstruation, hematometrocolpos results from the presence
of retained menstrual blood.
• Causes
Congenital
- imperforate hymen.
- vaginal septum
-vaginal atresia
-rudimentary uterine horn.
acquired
-cervical stenosis from endometrial or
cervical tumors
-postirradiation fibrosis
ENDOMETRIAL HYPERPLASIA
• Definition
-Proliferation of glands of irregular size and shape, with an increase in
the gland/stroma ratio compared with the normal proliferative
endometrium.
-The process is diffuse but may not involve the entire endometrium.
• Histologically
-Hyperplasia without cellular atypia (<2%progress to carcinoma)
-Hyperplasia with cellular atypia (25%progress to carcinoma)
• Each of these types may be further subdivided into:
- simple (cystic) hyperplasia the glands are cystically dilated and
surrounded by abundant cellular stroma
-complex (adenomatous) hyperplasia  the glands are crowded
together with little intervening stroma.
• Endometrial hyperplasia is a common cause of abnormal uterine
bleeding.
• Develops from
-unopposed estrogen stimulation in postmenopausal women.
-It is usually caused by unopposed estrogen HRT in perimenopausal
women.
• Causes of endometrial hyperplasia
- persistent anovulatory cycles
- polycystic ovarian disease
- obese women with increased production of endogenous estrogens.
-estrogen-producing tumors ovarian granulosa cell tumors, endometroid Ca and
thecomas
-Pregnancy
-Tamoxifen therapy
-Endometrial Carcinoma
-Tamoxifen therapy=> associated with endometrial polyps, adenomysosis, carcinoma
• Ultrasound Findings
-Endometrial hyperplasia is considered when the endometrium
exceeds 10 mm in thickness, especially in menopausal patients
-In postmenopausal women, 5mm thickness is significant.
-May also cause asymmetric thickening with surface irregularity, an
appearance that is suspicious for carcinoma.
Thickened endometrium caused by multiple
small polyps confirmed on sonohysterogram
Thick, cystic endometrium caused by
hyperplasia in patient taking tamoxifen
Differential thickness:
1. normal thickening
during the secretory
phase,
2. sessile endometrial
polyps,
3. submucosal fibroids,
4. Endometrial cancer,
5. adherent blood clots
6. Pregnancy and ectopic
pregnancy
7. Incomplete abortion
• Endometrial hyperplasia has a nonspecific appearance so any focal
abnormality should lead to biopsy if there is clinical suspicion for
malignancy.
ENDOMETRIAL ATROPHY
• The majority of women with postmenopausal uterine bleeding have
endometrial atrophy.
• Histologically
-endometrial glands may be dilated
-cells are cuboidal or flat
-the stroma is fibrotic
• On transvaginal sonography
-an atrophic endometrium is usually thin
-measuring less than 5 mm
these patients, no further investigation or therapy is necessary.
• A thin endometrium with cystic changes on transvaginal sonography
is consistent with a diagnosis of cystic atrophy, but when the
endometrium is thick, the appearance is indistinguishable from that
of cystic hyperplasia
ENDOMETRIAL POLYPS
• Endometrial polyps are common benign lesions more frequently seen
in perimenopausal and postmenopausal women.
• Polyps may cause uterine bleeding, although most are asymptomatic.
• In the menstruating woman, endometrial polyps may be associated
with intermenstrual bleeding or menometrorrhagia and may be a
cause of infertility.
• Histologically
- polyps are localized overgrowths of endometrial tissue covered by
epithelium and projecting above the adjacent surface epithelium.
• Types
- pedunculated
- broad based
- may have a thin stalk
• Ultrasonographic findings
-Frequently identified as focal masses
within the endometrial canal.
-Or as nonspecific echogenic
endometrial thickening.
-They may also appear as a focal,
round, echogenic mass within the
endometrial cavity. Transvaginal scan shows a thick
endometrium (arrowheads) with central
round polyp (arrow)
• Color Doppler US
-used to image vessels within the
stalk.
-A feeding artery in the pedicle can
frequently be seen with color
Doppler ultrasound (pedicle artery
sign)
Color Doppler ultrasound shows feeding
vessel.
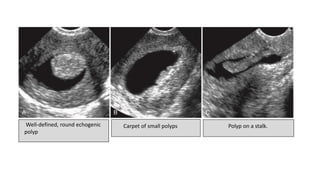
Well-defined, round echogenic
polyp
Carpet of small polyps Polyp on a stalk.
• Sonohysterography
-Polyps are best seen at
sonohysterography
-appear as echogenic, smooth,
intracavitary masses outlined by fluid
Sonohysterogram confirms polyp (arrow)
and thick endometrium (arrowheads)
caused by hyperplasia.
Polyp with cystic areas Small Polyp Small Polyp
• Hysterosalpingography
-Seen as pedunculated filling defects
within the uterine cavity
• MRI T2-weighted MR imaging
-Appears as low-signal-intensity intracavitary masses surrounded by
high-signal-intensity fluid and endometrium.
ENDOMETRIAL CARCINOMA
• Most common carcinoma of the female reproductive system.
• Histologically
-Adenocarcinoma (95%)
-Sarcoma (5%)
• Most endometrial carcinomas (75%-80%) occur in postmenopausal
women, age 55-62years
• The most common clinical presentation is uterine bleeding.
• strong association with
-estrogen replacement therapy in postmenopausal women.
-anovulatory cycles in premenopausal women.
• An increased risk of endometrial carcinoma has been reported in
patients receiving tamoxifen therapy, as well as an increased risk of
endometrial hyperplasia and polyps.
• Other risk factors include
- Obesity
- Diabetes
- Hypertension
- low parity
Carcinoma of the endometrium staging (FIGO)- International federation of Gynecology and
Obstetrics, revised 2009
• Ultrasound Findings
- A thickened endometrium must be
considered cancer until proven
otherwise.
-The thickened endometrium may be well
defined, uniformly echogenic, and
indistinguishable from hyperplasia and
polyps.
Abdominal Ultrasound
• Cancer is more likely when the
endometrium has a heterogeneous
echotexture with irregular or poorly defined
margins.
• Sonography may be used in the
preoperative evaluation of a patient with
endometrial carcinoma by determining
myometrial invasion. transvaginal scan, show a large,
heterogeneous endometrial mass
(arrowheads) compressing the
surrounding myometrium
• An intact subendometrial halo (inner layer of myometrium) usually
indicates superficial invasion, whereas obliteration of the halo
indicates deep invasion.
• Endometrial carcinoma may also obstruct the endometrial canal,
resulting in hydrometra or hematometra.
• Although certain sonographic appearances tend to favor a benign or
malignant etiology, there are overlapping features, and endometrial
biopsy is usually required for a definitive diagnosis.
Transvaginal scans show localized irregular endometrial thickening with echogenic polypoid projections
(arrows) into the fluid-filled endometrial canal.
• color and spectral Doppler ultrasound
- controversial.
- Blood flow is difficult to detect in the normal endometrium.
• Endometrial thickness
-A better method for discriminating between normal and pathologic or
benign and malignant endometrium than Doppler ultrasound of the
uterine, subendometrial, or intraendometrial arteries
• MRI
• Ideal imaging modality for staging of endometrial Ca.
• An important predictor of lymph node metastases.
• Also allow accurate assessment of more advanced disease such as
cervical stromal invasion or adnexal involvement.
• Contrast-enhanced MRI has been shown to be superior to both in
demonstrating myometrial invasion.
• MRI can also assess cervical extension (stage II) and extrauterine
extension (stages III and IV).
• On unenhanced T1-weighted images
-Endometrial cancer is isointense relative to hypointense normal
endometrium.
• On T2-weighted images
-shows heterogeneous intermediate signal intensity relative to
hyperintense normal endometrium.
• Relative to normal myometrium, the tumor is mildly hyperintense on
T2-weighted images.
• At conventional MR imaging, the depth of myometrial invasion is
optimally depicted with T2- weighted sequences.
Tamoxifen
-A nonsteroidal antiestrogen compound which is widely used for
adjuvant therapy in premenopausal and postmenopausal women with
breast cancer.
-Tamoxifen acts by competing with estrogen for estrogen receptors.
• In premenopausal women
-Tamoxifen has an antiestrogenic effect
• In postmenopausal women
- It may have estrogenic effects.
• An increased risk of endometrial carcinoma, endometrial
hyperplasia and polyps has been reported in patients receiving
tamoxifen therapy.
• On sonography
-Tamoxifen-related endometrial changes are nonspecific and similar to
those described in hyperplasia, polyps, and carcinoma.
-Cystic changes within the thickened endometrium are frequently seen
-Polyps are frequently seen.
-A correlation exists between increased endometrial thickness and
duration of tamoxifen therapy longer than 5 years.
• In some patients taking tamoxifen, the cystic changes actually have
been shown to be subendometrial in location and represent
abnormal adenomyosis-like changes in the inner layer of
myometrium.
• Because it may be difficult to distinguish the endometrial-myometrial
border in many of these patients, sonohysterography is valuable in
determining whether an abnormality is endometrial or
subendometrial.
Thick, cystic endometrium caused by large polyp in
patient receiving tamoxifen.
ENDOMETRITIS
• May occur
- Postpartum
- after D&C
- association with PID.
• Sonographically
• the endometrium may appear thick and/or irregular, and the cavity
may or may not contain fluid.
• Gas with distal acoustic shadowing may be seen within the
endometrial canal.
ENDOMETRIAL ADHESIONS
• Endometrial adhesions (synechiae, Asherman’s syndrome) are
posttraumatic or postsurgical in nature and may be a cause of
infertility or recurrent pregnancy loss.
• The sonographic diagnosis is difficult unless fluid is distending the
endometrial cavity.
• Transvaginally
- Irregularities or a hypoechoic
bridgelike band within the
endometrium.
- This is best seen during the secretory
phase, when the endometrium is
more hyperechoic.
Endometrial Adhesions
• SHG is an excellent technique for demonstrating adhesions and
should be performed in all cases of suspected adhesions.
• Adhesions appear as bridging bands of tissue that distort the cavity
or as thin, undulating membranes best seen on real-time sonography.
• Thick, broad-based adhesions may prevent distention of the uterine
cavity. The adhesions can be divided under hysteroscopy.
INTRAUTERINE CONTRACEPTIVE DEVICES
• Sonography has an important role in evaluating the location of
intrauterine contraceptive devices (IUCDs).
• IUCDs are readily demonstrated on both transabdominal and
transvaginal sonography.
• They appear as highly echogenic linear structures in the endometrial
cavity in the body of the uterus.
• Acoustic shadowing from the IUCD is usually demonstrated, and two
parallel echoes (entrance-exit reflections), representing the anterior
and posterior surfaces of the IUCD, may also be observed.
• Sonography can demonstrate
-Malposition
-Perforation
-Incomplete removal
-Eccentric position of an IUCD suggests myometrial penetration.
• If the IUCD is not seen on sonography, a radiograph should be taken
to assess whether it is lying free in the peritoneal cavity or is not
present, having been previously expelled.
Adenomyosis Radiopedia and Haaga 6/e
• Focal – adenomyoma
• Diffuse
• USG:
 Enlarged globular uterus (AP asymmetry)
 Myometrial heterogeneity due to endometrial implants and smooth muscle
hypertrophy
 Diffuse echogenic nodules 2-6 mm
 Subendometrial cysts (HHG in cysts)
 Endometrial pseudowidening- due to poor endomyometrial junction
 Rain shower appearance: multiple fine areas of attenuation throughout the
lesion
• MRI:
• T2 ill defined thickening of low T2 signal band
• JZ: <8 mm excludes the diagnosis
• 8-12 mm Possible cases
• Supporting features:
• High T2 si linear striations (finger like projections) extending out from
endometrium to myometrium
• T1WI high si foci: endometrial rests +- punctate HHG
• >12 mm highly specific for adenomyosis
REFERENCES
• Diagnostic Ultrasound Carol M.Rumack
• Fundamentals of Diagnostic Radiology-Bryant&Helms
• Other sources from internet
Endometrial abnormalities

Endometrial abnormalities

  • 1.
    ENDOMETRIAL ABNORMALITIES Dr. Fathmath ShudhfaIbrahim 1st year Resident MD Radiodiagnosis
  • 2.
    CONTENTS • Normal Endometrium •Endometrial Hyperplasia • Endometrial Atrophy • Endometrial Polyps • Endometrial Carcinoma • Endometritis • Endometrial Adhesions • Intrauterine Contraceptive devices
  • 3.
    NORMAL ENDOMETRIUM • Endometriumundergoes cyclic changes which prepare it for implantation of a fertilized ovum. • The normal endometrial cavity is seen as a thin echogenic line. • The sonographic appearance of the endometrium varies during the menstrual cycle. • The endometrium is composed of a superficial functional layer and a deep basal layer.
  • 4.
    • Functional Layer(stratum functionalis) -Changes in response to ovarian hormone cycles -Sheds during menstruation • Deep basal layer (stratum basalis) -Remains intact during the cycle -Contains spiral arteries which supplies the functional layer as it thickens -Unresponsive to ovarian hormones.
  • 5.
    • The endometriumis best measured - on a midline sagittal scan of the uterus - should include both anterior and posterior portions of the endometrium. - It is important not to include the thin hypoechoic inner layer of myometrium in this measurement.
  • 6.
    • The menstrualphase endometrium consists of a thin echogenic line. • During the proliferative phase, the endometrium thickens, reaching 4 to 8 mm • Periovulatory phase . endometrium measures 6- 10mm and gives three layer appearance
  • 7.
    Normal, thin ,earlyproliferative endometrium Normal, late-proliferative endometrium with triple-layer appearance. Central echogenic line is caused by opposed endometrial surfaces surrounded by a thicker hypoechoic functional layer, bounded by an outer echogenic basal layer. Normal, early-secretory phase endometrium. The functional layer surrounding the echogenic line has become hyperechoic
  • 8.
    Normal, thick, hyperechoiclate-secretory endometrium • Secretory phase. The endometrium in this phase measures 7 to 14 mm in thickness.
  • 9.
  • 10.
    IMAGING MODALITY • Transvaginalsonography • Sonohysterography • Reconstructed coronal view, 3-D sonography
  • 11.
    POSTMENOPAUSAL ENDOMETRIUM • PostmenopausalEndometrium should be thin, homogeneous, and echogenic. • Homogeneous, smooth endometria measuring 5 mm or less are considered within the normal range with or without hormonal replacement therapy. • The endometrium in a patient undergoing hormonal replacement therapy may vary up to 3 mm if cyclic estrogen and progestin therapy is being used
  • 12.
    HYDROMETROCOLPOS AND HEMATOMETROCOLPOS • Obstructionof the genital tract results in the accumulation of secretions and blood in the uterus(metro) and/or vagina (colpos), with the location depending on the amount of obstruction. • Before menstruation, the accumulation of secretions in the vagina and uterus is referred to as hydrometrocolpos. • After menstruation, hematometrocolpos results from the presence of retained menstrual blood.
  • 13.
    • Causes Congenital - imperforatehymen. - vaginal septum -vaginal atresia -rudimentary uterine horn. acquired -cervical stenosis from endometrial or cervical tumors -postirradiation fibrosis
  • 15.
    ENDOMETRIAL HYPERPLASIA • Definition -Proliferationof glands of irregular size and shape, with an increase in the gland/stroma ratio compared with the normal proliferative endometrium. -The process is diffuse but may not involve the entire endometrium. • Histologically -Hyperplasia without cellular atypia (<2%progress to carcinoma) -Hyperplasia with cellular atypia (25%progress to carcinoma)
  • 16.
    • Each ofthese types may be further subdivided into: - simple (cystic) hyperplasia the glands are cystically dilated and surrounded by abundant cellular stroma -complex (adenomatous) hyperplasia  the glands are crowded together with little intervening stroma.
  • 17.
    • Endometrial hyperplasiais a common cause of abnormal uterine bleeding. • Develops from -unopposed estrogen stimulation in postmenopausal women. -It is usually caused by unopposed estrogen HRT in perimenopausal women.
  • 18.
    • Causes ofendometrial hyperplasia - persistent anovulatory cycles - polycystic ovarian disease - obese women with increased production of endogenous estrogens. -estrogen-producing tumors ovarian granulosa cell tumors, endometroid Ca and thecomas -Pregnancy -Tamoxifen therapy -Endometrial Carcinoma -Tamoxifen therapy=> associated with endometrial polyps, adenomysosis, carcinoma
  • 19.
    • Ultrasound Findings -Endometrialhyperplasia is considered when the endometrium exceeds 10 mm in thickness, especially in menopausal patients -In postmenopausal women, 5mm thickness is significant. -May also cause asymmetric thickening with surface irregularity, an appearance that is suspicious for carcinoma.
  • 20.
    Thickened endometrium causedby multiple small polyps confirmed on sonohysterogram Thick, cystic endometrium caused by hyperplasia in patient taking tamoxifen Differential thickness: 1. normal thickening during the secretory phase, 2. sessile endometrial polyps, 3. submucosal fibroids, 4. Endometrial cancer, 5. adherent blood clots 6. Pregnancy and ectopic pregnancy 7. Incomplete abortion
  • 21.
    • Endometrial hyperplasiahas a nonspecific appearance so any focal abnormality should lead to biopsy if there is clinical suspicion for malignancy.
  • 22.
    ENDOMETRIAL ATROPHY • Themajority of women with postmenopausal uterine bleeding have endometrial atrophy. • Histologically -endometrial glands may be dilated -cells are cuboidal or flat -the stroma is fibrotic
  • 23.
    • On transvaginalsonography -an atrophic endometrium is usually thin -measuring less than 5 mm these patients, no further investigation or therapy is necessary. • A thin endometrium with cystic changes on transvaginal sonography is consistent with a diagnosis of cystic atrophy, but when the endometrium is thick, the appearance is indistinguishable from that of cystic hyperplasia
  • 24.
    ENDOMETRIAL POLYPS • Endometrialpolyps are common benign lesions more frequently seen in perimenopausal and postmenopausal women. • Polyps may cause uterine bleeding, although most are asymptomatic. • In the menstruating woman, endometrial polyps may be associated with intermenstrual bleeding or menometrorrhagia and may be a cause of infertility.
  • 25.
    • Histologically - polypsare localized overgrowths of endometrial tissue covered by epithelium and projecting above the adjacent surface epithelium. • Types - pedunculated - broad based - may have a thin stalk
  • 26.
    • Ultrasonographic findings -Frequentlyidentified as focal masses within the endometrial canal. -Or as nonspecific echogenic endometrial thickening. -They may also appear as a focal, round, echogenic mass within the endometrial cavity. Transvaginal scan shows a thick endometrium (arrowheads) with central round polyp (arrow)
  • 27.
    • Color DopplerUS -used to image vessels within the stalk. -A feeding artery in the pedicle can frequently be seen with color Doppler ultrasound (pedicle artery sign) Color Doppler ultrasound shows feeding vessel.
  • 28.
    Well-defined, round echogenic polyp Carpetof small polyps Polyp on a stalk.
  • 29.
    • Sonohysterography -Polyps arebest seen at sonohysterography -appear as echogenic, smooth, intracavitary masses outlined by fluid Sonohysterogram confirms polyp (arrow) and thick endometrium (arrowheads) caused by hyperplasia.
  • 30.
    Polyp with cysticareas Small Polyp Small Polyp
  • 31.
    • Hysterosalpingography -Seen aspedunculated filling defects within the uterine cavity
  • 32.
    • MRI T2-weightedMR imaging -Appears as low-signal-intensity intracavitary masses surrounded by high-signal-intensity fluid and endometrium.
  • 33.
    ENDOMETRIAL CARCINOMA • Mostcommon carcinoma of the female reproductive system. • Histologically -Adenocarcinoma (95%) -Sarcoma (5%) • Most endometrial carcinomas (75%-80%) occur in postmenopausal women, age 55-62years • The most common clinical presentation is uterine bleeding.
  • 34.
    • strong associationwith -estrogen replacement therapy in postmenopausal women. -anovulatory cycles in premenopausal women. • An increased risk of endometrial carcinoma has been reported in patients receiving tamoxifen therapy, as well as an increased risk of endometrial hyperplasia and polyps.
  • 35.
    • Other riskfactors include - Obesity - Diabetes - Hypertension - low parity
  • 36.
    Carcinoma of theendometrium staging (FIGO)- International federation of Gynecology and Obstetrics, revised 2009
  • 37.
    • Ultrasound Findings -A thickened endometrium must be considered cancer until proven otherwise. -The thickened endometrium may be well defined, uniformly echogenic, and indistinguishable from hyperplasia and polyps. Abdominal Ultrasound
  • 38.
    • Cancer ismore likely when the endometrium has a heterogeneous echotexture with irregular or poorly defined margins. • Sonography may be used in the preoperative evaluation of a patient with endometrial carcinoma by determining myometrial invasion. transvaginal scan, show a large, heterogeneous endometrial mass (arrowheads) compressing the surrounding myometrium
  • 39.
    • An intactsubendometrial halo (inner layer of myometrium) usually indicates superficial invasion, whereas obliteration of the halo indicates deep invasion. • Endometrial carcinoma may also obstruct the endometrial canal, resulting in hydrometra or hematometra. • Although certain sonographic appearances tend to favor a benign or malignant etiology, there are overlapping features, and endometrial biopsy is usually required for a definitive diagnosis.
  • 40.
    Transvaginal scans showlocalized irregular endometrial thickening with echogenic polypoid projections (arrows) into the fluid-filled endometrial canal.
  • 41.
    • color andspectral Doppler ultrasound - controversial. - Blood flow is difficult to detect in the normal endometrium.
  • 42.
    • Endometrial thickness -Abetter method for discriminating between normal and pathologic or benign and malignant endometrium than Doppler ultrasound of the uterine, subendometrial, or intraendometrial arteries
  • 43.
    • MRI • Idealimaging modality for staging of endometrial Ca. • An important predictor of lymph node metastases. • Also allow accurate assessment of more advanced disease such as cervical stromal invasion or adnexal involvement. • Contrast-enhanced MRI has been shown to be superior to both in demonstrating myometrial invasion. • MRI can also assess cervical extension (stage II) and extrauterine extension (stages III and IV).
  • 45.
    • On unenhancedT1-weighted images -Endometrial cancer is isointense relative to hypointense normal endometrium. • On T2-weighted images -shows heterogeneous intermediate signal intensity relative to hyperintense normal endometrium. • Relative to normal myometrium, the tumor is mildly hyperintense on T2-weighted images. • At conventional MR imaging, the depth of myometrial invasion is optimally depicted with T2- weighted sequences.
  • 47.
    Tamoxifen -A nonsteroidal antiestrogencompound which is widely used for adjuvant therapy in premenopausal and postmenopausal women with breast cancer. -Tamoxifen acts by competing with estrogen for estrogen receptors.
  • 48.
    • In premenopausalwomen -Tamoxifen has an antiestrogenic effect • In postmenopausal women - It may have estrogenic effects. • An increased risk of endometrial carcinoma, endometrial hyperplasia and polyps has been reported in patients receiving tamoxifen therapy.
  • 49.
    • On sonography -Tamoxifen-relatedendometrial changes are nonspecific and similar to those described in hyperplasia, polyps, and carcinoma. -Cystic changes within the thickened endometrium are frequently seen -Polyps are frequently seen. -A correlation exists between increased endometrial thickness and duration of tamoxifen therapy longer than 5 years.
  • 50.
    • In somepatients taking tamoxifen, the cystic changes actually have been shown to be subendometrial in location and represent abnormal adenomyosis-like changes in the inner layer of myometrium. • Because it may be difficult to distinguish the endometrial-myometrial border in many of these patients, sonohysterography is valuable in determining whether an abnormality is endometrial or subendometrial.
  • 51.
    Thick, cystic endometriumcaused by large polyp in patient receiving tamoxifen.
  • 52.
    ENDOMETRITIS • May occur -Postpartum - after D&C - association with PID. • Sonographically • the endometrium may appear thick and/or irregular, and the cavity may or may not contain fluid. • Gas with distal acoustic shadowing may be seen within the endometrial canal.
  • 54.
    ENDOMETRIAL ADHESIONS • Endometrialadhesions (synechiae, Asherman’s syndrome) are posttraumatic or postsurgical in nature and may be a cause of infertility or recurrent pregnancy loss. • The sonographic diagnosis is difficult unless fluid is distending the endometrial cavity.
  • 55.
    • Transvaginally - Irregularitiesor a hypoechoic bridgelike band within the endometrium. - This is best seen during the secretory phase, when the endometrium is more hyperechoic. Endometrial Adhesions
  • 56.
    • SHG isan excellent technique for demonstrating adhesions and should be performed in all cases of suspected adhesions. • Adhesions appear as bridging bands of tissue that distort the cavity or as thin, undulating membranes best seen on real-time sonography. • Thick, broad-based adhesions may prevent distention of the uterine cavity. The adhesions can be divided under hysteroscopy.
  • 57.
    INTRAUTERINE CONTRACEPTIVE DEVICES •Sonography has an important role in evaluating the location of intrauterine contraceptive devices (IUCDs). • IUCDs are readily demonstrated on both transabdominal and transvaginal sonography. • They appear as highly echogenic linear structures in the endometrial cavity in the body of the uterus. • Acoustic shadowing from the IUCD is usually demonstrated, and two parallel echoes (entrance-exit reflections), representing the anterior and posterior surfaces of the IUCD, may also be observed.
  • 58.
    • Sonography candemonstrate -Malposition -Perforation -Incomplete removal -Eccentric position of an IUCD suggests myometrial penetration. • If the IUCD is not seen on sonography, a radiograph should be taken to assess whether it is lying free in the peritoneal cavity or is not present, having been previously expelled.
  • 60.
    Adenomyosis Radiopedia andHaaga 6/e • Focal – adenomyoma • Diffuse • USG:  Enlarged globular uterus (AP asymmetry)  Myometrial heterogeneity due to endometrial implants and smooth muscle hypertrophy  Diffuse echogenic nodules 2-6 mm  Subendometrial cysts (HHG in cysts)  Endometrial pseudowidening- due to poor endomyometrial junction  Rain shower appearance: multiple fine areas of attenuation throughout the lesion
  • 61.
    • MRI: • T2ill defined thickening of low T2 signal band • JZ: <8 mm excludes the diagnosis • 8-12 mm Possible cases • Supporting features: • High T2 si linear striations (finger like projections) extending out from endometrium to myometrium • T1WI high si foci: endometrial rests +- punctate HHG • >12 mm highly specific for adenomyosis
  • 62.
    REFERENCES • Diagnostic UltrasoundCarol M.Rumack • Fundamentals of Diagnostic Radiology-Bryant&Helms • Other sources from internet

Editor's Notes

  • #7 The proliferative phase of the cycle - before ovulation is under the influence of estrogen. The secretory phase -following ovulation progesterone is mainly responsible for maintenance of the endometrium
  • #8 A. A relatively hypoechoic region that represents the functional layer can be seen around the central echogenic line. In the early proliferative phase, this hypoechoic area is thin , B. but it increases and becomes more clearly defined in the later proliferative phase (periovulatory), probably as a result of edema. The hypoechoic appearance of the proliferative endometrium has been related to the relatively homogeneous histologic structure because of the orderly arrangement of the glandular elements.
  • #9 D. After ovulation, the functional layer of the endometrium changes from hypoechoic to hyperechoic as the endometrium progresses to the secretory phase. The hyperechoic texture in the secretory endometrium is related to increased mucus and glycogen within the glands, as well as to the increased number of interfaces caused by the tortuosity of the spiral arteries.
  • #10 After menopause, the endometrium becomes atrophic because it is no longer under hormonal control. Sonographically, the endometrium is seen as a thin echogenic line measuring no more than 8 mm in the normal asymptomatic woman.
  • #11 Transvaginal sonography is better able to image and depict subtle abnormalities within the endometrium and clearly define the endometrial-myometrial border because of it’s improved resolution. Sonohysterography has been shown to be of great value in further evaluating the abnormally thickened endometrium. SHG can distinguish between focal and diffuse endometrial abnormalities Reconstructed coronal view, 3-D sonography also has been a valuable addition to standard transvaginal ultrasound in patients with suspected endometrial abnormalities and in those with an endometrium greater than 6 mm.
  • #14 Sonographically, if the obstruction is at the vaginal level, there is marked distention of the vagina and endometrial cavity with fluid. If seen before puberty, the accumulation of secretions is anechoic. After menstruation, the presence of old blood results in echogenic material in the fluid. There may also be layering of the echogenic material, resulting in a fluid-fluid level.
  • #15 Acquired hydrometra or hematometra usually shows a distended, fluid-filled endometrial cavity that may contain echogenic material. Superimposed infection (pyometra) is difficult to distinguish from hydrometra on sonography, and this diagnosis is usually made clinically in the presence of hydrometra.
  • #19 Imaging cannot reliably allow differentiation between hyperplasia and carcinoma. Up to one-third of endometrial carcinoma is believed to be preceded by hyperplasia. Because hyperplasia has a nonspecific sonographic appearance, biopsy is necessary for diagnosis.
  • #26 Approximately 20% of endometrial polyps are multiple. Malignant degeneration is uncommon. Occasionally, a polyp will have a long stalk, allowing it to protrude into the cervix or even into the vagina
  • #33 Endometrial polyps may not be diagnosed on D&C because a polyp on a pliable stalk may be missed by the curette. If abnormal bleeding persists after a nondiagnostic D&C in a postmenopausal woman with an endometrial thickness greater than 8 mm, hysteroscopy with direct visualization of the endometrial cavity is recommended.
  • #34 although only about 10% of women with postmenopausal bleeding will have endometrial carcinoma.
  • #36 Approximately 25% of patients with atypical endometrial hyperplasia will progress to well-differentiated endometrial carcinoma
  • #37 The tumor spreads initially by invasion into the myometrium and cervix, followed by lymphatic spread to the pelvic and retro peritoneal nodes, then continued direct spread into the broad ligaments, parametrium and ovaries. Peritoneal seeding will occur with the penetration of the uterine serosa. Hematogenous spread to the lung, bone, liver and brain occurs late in the course of the disease, with the most critical factors being the depth of myometrial invasion and the involvement of lymph nodes.
  • #40 Cystic changes within the endometrium are more frequently seen in endometrial atrophy, hyperplasia, and polyps but can also be seen with carcinoma.
  • #42 Initial studies using transvaginal color and spectral Doppler ultrasound suggested that endometrial carcinoma could be differentiated from a normal or benign postmenopausal endometrium by the presence of low-resistance flow in the uterine arteries in women with endometrial cancer, compared with high-resistance flow in women with normal or benign endometria. Subsequent reports, however, have shown no significant difference in uterine blood flow between benign and malignant endometrial processes.
  • #50 Polyps are frequently seen and have a higher incidence in women receiving tamoxifen than in untreated women, and these polyps can be quite large
  • #53  However, gas can also be seen in up to 21% of clinically normal women, after uncomplicated vaginal delivery in the first 3 weeks postpartum.140 Clinical correlation is necessary when endometrial gas is seen in the postpartum patient.
  • #55 The endometrium usually appears normal on transabdominal and transvaginal sonograms.
  • #58 Several types of IUCDs demonstrate a characteristic appearance on sonography, reflecting their gross appearance. Newer hormone containing IUCDs (e.g., Mirena) may be difficult to visualize sonographically. 3DUS has been extremely useful in providing a more complete assessment of IUCD location by imaging the entire IUCD simultaneously in the coronal plane.
  • #59 The IUCD may be hidden by coexisting intrauterine abnormalities, such as blood clots or an incomplete abortion. When an IUCD is present in the uterus in association with an intrauterine pregnancy , it can be seen reliably early in the first trimester, but it is rarely identified thereafter. In the first trimester the device can usually be removed safely under ultrasound guidance.
  • #60 A,b,E,G Transabdominal scans H&ITransvaginal Scans. A-Highlyechogenic linear structure in normal location within endometrial canal in body of uterus. B-Unusual Chinese ring IUCD C-Radiograph of B. D-3-D coronal reconstruction shows entire IUCD in normal location. E-IUCD in upside down position with limbs positioned inferiorly. F-Radiograph of E G-IUCD abnormally positioned in lower uterine segment. H-IUCD located in outer myometrium. I-IUCD in 30weeks gravid uterus.