Intestinal
obstruction
Dr nawin kumar
1. Dynamic
- mechanical
obstruction
1. Adynamic-
– Peristalsis –absent
– Peristalsis -non-
propulsive form
Pathology
Proximal to obstruction
– Altered mobility
– Distension
Distal to obstruction
– Normal peristalsis
– Absorption
Pathology
Proximal to obstruction
– Altered mobility
– Distension
– Dilates
– flaccid
– Paralysis
• Exhaustion
• to prevent Viability
Distension
Gas
– Swallowed air
– Diffusion from blood
– Products of digestion and bacterial activity
– O2 & CO2 reabsorbed
– Nitrogen 90% and H2S
Fluid
– Digestive juice
– No absorption of food
• Electrolyte imbalance
– Reduced intake
– Defective intestinal absorption
– Vomitintg
– sequestration
• Distal to obstruction
– Normal peristalsis
– Absorption
– Empty and contracted
– immobile
• Veins compressed first - Edema and
hemorrhages
• Arterial compression – Haemorrhagic
infarction
• Translocation of bacteria, toxins and
systemic absorption
Strangulation
External Internal
• Smaller
absorptive
surface
• Short segment –
Less blood and
fluid loss
• Larger absorptive
surface
• Large segment –
More blood and
fluid loss - shock
Closed loop obstruction
• Obstruction both at proximal and
distal point
– Strangulated loops
– Colonic obstruction with a
competent ileocecal valve
Special types
• Internal hernia
• Entric stricture
• Bolus obstruction
• Adhesion and bands
• Intussusception
• volvulus
Clinical features
• Classical qurtet
1. Pain
2. Vomiting
3. Distension
4. Constipation
pain
• Colicky
• Mild constant diffuse
• severe
vomiting
• Proximal- more vomiting
• With time
– Undigested food to faeculant
distension
• More distal- more distension
constipation
• Absolute
• Relative
• Absent in
– Richter’s hernia
– Gall stone obstruction
– Mesentric vascular obstruction
– obstruction with pelvic abscess
– Partial obstruction- faecolith, neoplasm
Levels
• Small bowel obstruction
– High
– low
• Large bowel obstruction
Levels
• Small bowel obstruction- High
– Early vomiting
– Rapid dehydration
– Minimal distension
– X ray -fluid level ?
Levels
• Small bowel obstruction- low
– Pain- prominent
– Late vomiting
– Central distension
– X ray -fluid level - multiple
Levels
• Large bowel obstruction
– Early distension, severe
– Late vomiting, dehydration
– Pain mild
– X ray –caecum , ascending colon distended
Nature of presentation
• Acute- SB, sudden onset of pain
• Chronic- LB, constipation, distension
• Acute on Chronic- recurrant
• Subacute- constipation?
Other features
• Dehydration
• Hypokalemia
• Pyrexia –
Ischemia/perforation/Inflammatory obs.
• Hypothermia
• Abdominal tenderness
Type of presentation
• Simple – Intact blood supply
• Strangulated – Compromised blood
supply
Signs of strangulation
• Continous pain
• Localised tenderness, rigidity, rebound
tenderness
• Shock
• Does not respond to conservative
management
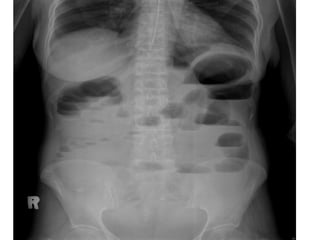
Radiology
• X – ray abdomen Erect
Air fluid levels
• X – ray abdomen Supine
Distended bowel
Small bowel
• Central and transverse lie
• Jejunum – Valvulae conniventes
(concertina / Stack of coins)
• Ileum – Characterless
• Colon – Haustral folds
Treatment
• Gastrointestinal drainage
• Fluid and electrolyte replacement
• Relief of obstruction
Timing of surgery
• Emergent
Obstructed/strangulated Ext hernia
Internal intestinal strangulation
Acute obstruction
• Other cases
Atleast within 24 hrs
• Adhesions
upto 72hrs
Principles of Surgical intervention
• Mt. of the segment at the site of
obstruction
• The distended proximal bowel
• Underlying cause of obstruction
assessment
• Site of obstruction
• Nature of obstruction
• Viability of gut
Site of obstruction
Caecum
Dilated Not dilated
Large bowel Small bowel
Trace distally Trace proximally
Nature of obstruction
Viability of bowel
Viable
Dark color – Light Dark persists
Mesentery bleeds
on pricking
No bleeding
Peritoneum – Shiny Dull & Lustreless
Int Musc – Firm,
Peristalsis seen
Flabby, thin, friable
Non viable
Mesenteric pulsation + Absent
Doubtful – Resected ends as stomas
No resection / Multiple ischaemic areas
(Mesenteric Vasc Occlusion)
2nd
look laparotomy after 24-48hrs
Surgical procedure
• Adhesiolysis
• Excision / Resection
• Bypass / Proximal decompression
Operative decompression
• Compromise of Exposure / Viability /
Closure
• Septic complications of spillage
• Savage’s decompressor / NG tube
• Replace fluid
Large bowel obstruction
Caecum to Prox trans colon
– Rt. Hemicolectomy, if resectable
– Ileotransverse bypass if not
resectable
Splenic flexure
– Extended Rt.Hemicolectomy
Left colon / Rectosigmoid
• Decompression proximal colostomy
• Resection with
– Anastamosis with covering colostomy
– Paul Mikulicz procedure
– Hartmann’s procedure
Thank youThank you
SPECIAL TYPES
• internal hernia
• Enteric Stricture
• Bolus obstruction
– Gallstone
– Food
– Bezoars
• Adhesion and bands
• Intussusception
• volvulus
INTERNAL HERNIA
• Internal hernia
– Retroperitoneal fossa
• Duodenal fossa-
– Left
– right
• Caecal/appendicaeal fossa
– Superior
– Inferior
– retrocaecal
• Intersigmoid fossa
– Congenital peritoneal defect
• Foramen of winslow
• Hole in mesentry, mesocolon, broad ligament
– Diaphragmatic hernia
• Duodenal fossa-
– Left
– right
• Caecal/appendicaeal fossa
– Superior
• Caecal/appendicaeal fossa
– Inferior
• Retrocaecal fossa
intersigmoid
Foramen of winslow
• Release the constriction agent by division
• Donot-
• Duodenal fossa-
• Foramen of winslow
• Hole in mesentry, mesocolon, broad ligament
• Decompress and reduce
Enteric Stricture
• Benign
– TB
– Chrohn’s
• Malignant
– Lymphoma
– Ca
– sar
Enteric Stricture
• t/t
– RA
– stricturoplasty
bolus
• Gall stone
• Food
• Bezoars
• Stercolith
• worms
Gall stone
• Fistula
• 60 cm proximal to IC
• Ball valve effect
• t/t
– Crush
– Milk
– Enterotomy
– Faceted stone
food
• Post gastrectomy
• t/t
– same
bezoars
• Trychobezoars
• Phytobezoars
stercolith
• Diverticula
• Stricture
worms
• Ascariasis
• Follow anti helminthic therapy
• perforation
• X ray- medusa head
• t/t
Adhesions
• Most common cause
• Difficult to differentiate from paralytic
ileus
Causes
• Ischaemic areas
• Foreign material
– Talc
– Starch
– gauze
– silk
• Infection
– Peritonotis
– TB
• Inflammatory conditions-
• Radiation enteritis
• Drugs – Practolol
Peritoneal irritation
Local fibrin production
Adhesion between apposed surfaces
Early fibrinous adhesions Late fibrous adhesions
Prevention
• Good Surgical technique
• Peritoneal wash
• Minimizing contact with gauze
• Covering anastamosis & raw peritoneal
surfaces
Classification
• Early / Flimsy
• Late/ Dense
Bands
• Congenital
• Acquired
– Peritonitis
– Greater omentum adherent to parietes
Treatment
• Conservative
– NPO
– RT aspiration
– IV fluids
– Vital signs & Abd. girth monitoring
– Signs of strangulation
– Maximum 72hrs
Surgery
• Adhesiolysis
– Only those causing obstruction
– Covering with omental grafts
– Constriction sites
Recurrent adhesive obstruction
• Repeat Adhesiolysis
• Noble’s plication procedure
• Charles phillip Transmesenteric plication
• Intestinal intubation
intussusception
• Telescoping
• Proximal to distal
• Children- 5-10 yr
• follow URTI
• weaning
Lead point
Inner tube
Middle
outer
types
• Strangulating
• t/t
• Radiological reduction
• Sx
volvulus
• Primary
– Volvulus neonatorum
– Sigmoid
– Caecal
– Gastric
– midgut
• Secondary
Sigmoid volvulus
• Anticlockwise
• BONE
• X-ray
• Inner tube
• Cofee bean
• t/t
• Endoscopic reduction
• Sx
Caecal volvulus
• mobile
Compound volvulus
• Ileosigmoid knotting

Intestinal obstruction neo