IMAGING IN BREAST CANCER
Dr. Fahad Shafi
PG 1ST YEAR
Breast Cancer…….
• Worldwide, breast cancer is the most common
invasive cancer in women.Breast cancer
comprises 22.9% of invasive cancers in women
and 16% of all female cancers.
• In 2012, it comprised 25.2% of cancers
diagnosed in women, making it the most
common female cancer.]
GLOBAL TREND OF BREAST CANCER
• The incidence of breast cancer in women has continued to rise. The rate
of increase has slowed recently, however, with the exception of in situ
breast cancer. Breast cancer death rates have decreased since the early
1990s, with decreases of 2.5% per year among white women.
• Decreased breast cancer deaths have been attributed in part to breast
cancer screening, adjuvant chemotherapy, and adoption of healthy
standard of living
• Randomized, population- controlled breast cancer screening trials using
mammography have shown an approximately 30% reduction in breast
cancer deaths in the women invited to screening compared to women in
the control group.
• Because of this data, the American Cancer Society recommends annual
screening mammography for women age 40 years and older.
Risk Factors
• Female
• Older age
• Personal history of breast cancer
• Family History
• Early menarche
• Late menopause
• Nulliparity
• First birth after age 30
• Atypical ductal hyperplasia
• BRCA1, BRCA2
• Radiation exposure
• Lobular carcinoma in situ
• Li fraumeni ,Cowden and Ataxia Telangiectasia
• CHRT
Signs and Symptoms of Breast Cancer
• Breast lump
• Nipple discharge (new and spontaneous)
Bloody
Serosanguineous
Serous but copious
• New nipple inversion
• Skin retraction or tethering
• Peau d’orange
• Nothing (cancer detected on screening
mammography)
IMAGING TECHNIQUES
• MAMMOGRAPHY
• ULTRASONOGRAPHY
• MRI
• PET CT
MAMMOGRAPHY
VIEWS
• Craniocaudal CC
• Mediolateral oblique MLO
• Mediolateral ML
• Lateral-medial LM
• Laterally exaggerated craniocaudal XCCL
• Medially exaggerated craniocaudal XCCM
• Cleavage view CV
• Rolled view laterally RL
• Rolled view medially RM
• From below FB
Views Used to Confirm or Exclude a Lesion
(Commonly a One-View-Only Finding
• Lateral view
• Spot compression
• Spot compression magnification
• Rolled views (with or without spot
compression or magnification)
• Repeat the same view
• Step oblique views
• Ultrasound
Mammography - Breast Imaging
Lexicon
• Breast Composition
• Mass
• Architectural distortion
• Asymmetries
• Calcifications
• Associated features
• Special cases
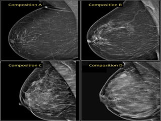
Breast Composition
• In the BI-RADS edition 2013 the assignment of the breast
composition is changed into a, b, c and d-categories followed
by a description:
• a- The breast are almost entirely fatty.
Mammography is highly sensitive in this setting.
• b- There are scattered areas of fibroglandular density.
The term density describes the degree of x-ray attenuation of
breast tissue but not discrete mammographic findings.
• c- The breasts are heterogeneously dense, which may obscure
small masses.
Some areas in the breasts are sufficiently dense to obscure
small masses.
• d- The breasts are extremely dense, which lowers the
sensitivity of mammography.
Mass
• A 'Mass' is a space occupying 3D lesion seen in
two different projections.
If a potential mass is seen in only a single
projection it should be called a 'asymmetry' until
its three-dimensionality is confirmed.
• Shape: oval (may include 2 or 3 lobulations),
round or irregular
• Margins: circumscribed, obscured,
microlobulated, indistinct, spiculated
• Density: high, equal, low or fat-containing
Here a hyperdense mass with an irregular shape and a spiculated margiN.Notice
the focal skin retraction.
This was reported as BI-RADS 5 and proved to be an invasive ductal carcinoma.
Architectural distortion
• The term architectural distortion is used, when the
normal architecture is distorted with no definite mass
visible.
• This includes thin straight lines or spiculations radiating
from a point, and focal retraction, distortion or
straightening at the edges of the parenchyma.
The differential diagnosis is scar tissue or carcinoma.
• Architectural distortion can also be seen as an associated
feature.For instance if there is a mass that causes
architectural distortion, the likelihood of malignancy is
greater than in the case of a mass without distortion.
Notice the distortion of the normal breast architecture on oblique view (yellow circle)
and magnification view.
A resection was performed and only scar tissue was found in the specimen
Asymmetries
Here an example of a focal asymmetry seen on MLO and CC-
view.
Local compression views and ultrasound did not show any mass
Here an example of global asymmetry.
In this patient this is not a normal variant, since there are associated features, that indicate the possibility of
malignancy like thickened septa and subtle nipple retraction.
Ultrasound (not shown) detected multiple small masses that proved to be adenocarcinoma.
The PET-CT shows diffuse infiltrating carcinoma
Asymmetry versus Mass
• All types of asymmmetry have different border
contours than true masses and also lack the
conspicuity of masses.Asymmetries appear similar to
other discrete areas of fibroglandulair tissue except
that they are unilateral, with no mirror-image correlate
in the opposite breast.
• An asymmetry demonstrates concave outward borders
and usually is interspersed with fat, whereas a mass
demonstrates convex outward borders and appears
denser in the center than at the periphery.
Calcifications
Distribution of calcifications
• The arrangement of calcifications, the distribution, is at least as
important as morphology.
These descriptors are arranged according to the risk of malignancy:
• Diffuse: distributed randomly throughout the breast.
• Regional: occupying a large portion of breast tissue > 2 cm greatest
dimension
• Grouped (historically cluster): few calcifications occupying a small
portion of breast tissue: lower limit 5 calcifications within 1 cm and
upper limit a larger number of calcifications within 2 cm.
• Linear: arranged in a line, which suggests deposits in a duct.
• Segmental: suggests deposits in a duct or ducts and their branches.
Morphology: some are coarse heterogenous and some look more like fine pleomorphic
Distribution: Some calcifications are in a group ( <2cm) and some are in a regional
distribution ( >2cm), but not in a segmental or linear arrangement
Associated features
• Associated features are things that are seen in
association with suspicious findings like
masses, asymmetries and calcifications.
• Associated features play a role in the final
assessment.
For instance a BI-RADS 4-mass could get a BI-
RADS 5 assessment if seen in association with
skin retraction
Special cases
• Special cases are findings with features so
typical that you do not need to describe them
in detail, like for instance an intramammary
lymph node or a wart on the skin
DIAGNOSTIC VERSUS SCREENING
MAMMOGRAPHY
• Screening Asymptomatic women
CC and MLO mammograms
Films taken and patient released
• Diagnostic Symptomatic women or
mammographic finding
CC and MLO mammograms
Additional mammograms tailored to the
problem
With or without breast ultrasound
Radiologist on-site to guide workup
• SAFETY OF MAMMOGRAPHY
BREAST ULTRASOUND
• Ultrasound is a useful adjunct to
mammography for the diagnosis and
management of benign and malignant breast
disease.
• Hand-held units should include a linear array,
high-frequency transducer operating at a
frequency of 7.5 to 10 MHz or greater, which
provides good tissue penetration to 4 or 5 cm
Normal Ultrasound Appearance of Breast
Tissue
• Normal Ultrasound Appearance of Breast Tissue*
• Skin: 2- to 3-mm echogenic superficial line
• Fat: hypoechoic (exception: fatty hilum in lymph
• nodes)
• Glandular tissue: echogenic
• Breast ducts: hypoechoic tubular structures, oval in
• cross-section
• Nipple: hypoechoic, can shadow intensely
• Cooper ligaments: thin echogenic lines
• Ribs: hypoechoic, round periodic structures at the
chest wall
American College of Radiology BI-
RADS® Ultrasound Lexicon Descriptors
• Shape
oval
round
irregular
• Margin
circumscribed
angular
indistinct
microlobulated
• Echopattern
anechoic
hyperechoic
complex
isoechoic
hypoechoic
• Posterior acoustic enhancement
no
enhancement
shadowing
combined
• Effect on surrounding tissues
no effect
duct changes
cooper ligament changes
edema
architectural distortion
skin thickening
skin retraction/irregularity
• Calcifications
none
macrocalcifications >0.5mm
microcalcifications <0.5mm
Suspicious Ultrasound Characteristics of
Solid Breast Masses
• Taller than wide
• Acoustic shadowing
• Spiculation
• Microlobulation
• Microcalcifications
• Duct extension
• Branch pattern
• Angular margins
• Markedly hypoechoic (in comparison to fat)
COLOR DOPPLER, POWER DOPPLER, ULTRASOUND
CONTRAST AGENTS, THREE-DIMENSIONAL
IMAGING, AND ELASTOGRAPHY
• Color Doppler imaging does not always detect
increased flow in breast cancer, and there is
overlap between benign and malignant blood
flow patterns.
• Attempts to increase the sensitivity of
ultrasound for detecting blood flow with
power Doppler improved these results, but
not enough to advocate its use as a screening
mechanism
CE US AND 3D US
• The use of contrast agents has been proposed
as a means of increasing the ability of
ultrasound vascular imaging techniques to
detect small increases in vascular density.
Three-dimensional gray-scale ultrasound,
though promising, is also still being
developed.
ELASTOGRAPHY
• Using ultrasound, elastography shows cancers,
which are generally stiffer than normal soft
breast tissue, as darker and larger than on the
B-mode gray-scale ultrasound.
• Benign masses are soft and less stiff than
cancers. The elastogram shows benign masses
as smaller on elastography than on B-mode
grayscale images
Final Assessment Categories
• BI-RADS 0
• Need Additional Imaging Evaluation and/or
Prior Mammograms For Comparison
• When additional imaging studies are
completed, a final assessment is made.
This patient presented with a mass on the mammogram at screening, which was assigned as BI-
RADS 0 (needs additional imaging evaluation).
Additional ultrasound demonstrated that the mass was caused by an intramammary lymph node.
The final assessment is BI-RADS 2 (benign finding).
BI-RADS 1
There is nothing to comment on
BI-RADS 2
• Follow up after breast conservative surgery
• Involuting, calcified fibroadenomas
• Multiple large, rod-like calcifications
• Intramammary lymph nodes
• Vascular calcifications
• Implants
• Architectural distortion clearly related to prior surgery.
• Fat-containing lesions such as oil cysts, lipomas,
galactoceles and mixed-density hamartomas. They all
have characteristically benign appearances, and may
be labeled with confidence.
BI-RADS Category 2: Mass seen on
mammogram proved to be a cyst.
BI-RADS 3
• Probably Benign Finding
Initial Short-Interval Follow-Up Suggested:
• It is not expected to change over the follow-up
interval, but the radiologist would prefer to
establish its stability.
Lesions appropriately placed in this category
include:
Lesions appropriately placed in this
category include:
• On Mammography
- Nonpalpable, Noncalcified circumscribed
solid mass
- Focal asymmetry
- Solitary group of punctuate calcifications
• On US with robust evidence to suggest
- Typical fibroadenoma
- Isolated complicated cyst
- Clustered microcysts
Here a non-palpable sharply defined mass with a group of
punctate calcifications.
The mass was categorized as BI-RADS 3.
Follow-up at 6, 12 and 24 months showed no change and the
final assessment was changed into a Category 2.
If a BI-RADS 3 lesion shows any change during follow up, it will
change into a BI-RADS 4 or 5 and biopsy should be performed.
BI-RADS 4
• Suspicious Abnormality - Biopsy Should Be
Considered
• BI-RADS 4 has a wide range of probability of
malignancy (2 – 95%).
CATEGORY 4A
• Partially circumscribed mass, suggestive of
(atypical) fibroadenoma
- Palpable, solitary, complex cystic and solid
cyst
- Probable abscess
Category 4b
• Group amorphous or fine pleomorphic
calcifications
• Nondescript solid mass with indistinct
margins
Category 4c
• New group of fine linear calcifications
• New indistinct, irregular solitary mass.
The CC mammographic image shows a finding, not reproducible on the MLO view.
This finding is sufficiently suspicious to JUSTIFY A BIOPSY
A
The pathologist could report to you that it is sclerosing adenosis or ductal
carcinoma in situ.
Both diagnoses are concordant with the mammographic findings.
BI-RADS 5
• Highly Suggestive of Malignancy.
Appropriate Action Should Be Taken.
• The current rationale for using category 5 is
that if the percutaneous tissue diagnosis is
nonmalignant, this automatically should be
considered as discordant
LESIONS INCLUDE
• Use of combination of highly suspicious
findings are present:
• Spiculated, irregular highdensity mass.
• Segmental or linear arrangement of fine linear
calcifications.
• Irregular spiculated mass with associated
pleomorphic calcifications.
BI-RADS 6
• Use after incomplete excision
• Use after monitoring response to neoadjuvant
chemotherapy
• Don't use after attempted surgical excision with
positive margins and no imaging findings other
than postsurgical scarring. Then use category 2
and add sentence stating the absence of
mammographic correlate for the pathology.
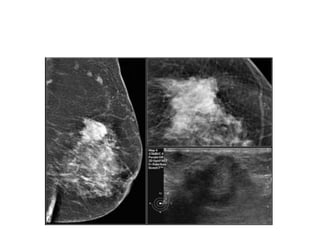
On the initial mammogram a marker is placed in the palpable tumor.
Due to the dense fibroglandular tissue the tumor is not well seen.
Ultrasound demonstrated a 37 mm mass with indistinct and angular margins and shadowing
BREAST MRI
• Magnetic resonance imaging (MRI) uses
repeated radiofrequency pulses in concert
with precise spatial modulation of a strong
magnetic field to image the distribution and
nuclear magnetic resonance characteristics of
hydrogen atoms within human tissue
Accepted Indications for Contrast-
Enhanced Breast MRI
• SCREENING
• ACS recommendations
• BRCA mutation (BRCA1 or BRCA2)
• First-degree relative of BRCA carrier, but untested
• Lifetime risk of approximately 20% to 25% or greater,
• as defined by BRCAPRO or other models that are
• largely dependent on family history
• Obscured breast tissue (e.g., previous free silicone
• injection)
• Radiation to chest between age 10 and 30 (e.g., for
• Hodgkin disease)
• Li-Fraumeni syndrome (p53 mutation) and firstdegree
• relatives
• Cowden and Bannayan-Riley-Ruvalcaba syndromes
• and first-degree relatives
DIAGNOSIS
• Suspicious lesions seen on only one x-ray
mammographic view, not found by
sonography
• Bloody nipple discharge with negative or
failed galactogram
• Indeterminate palpable findings with negative
mammogram and ultrasound
STAGING
• Locate the breast primary in patients with axillary metastases
• Detect chest wall invasion
• Evaluate opposite breast in patients with new, unilateral breast cancer
• Evaluate the extent of cancer in patients with poorly evaluated breast
tissue on mammography:
• Dense breasts
• Implants, free silicone injection
• Evaluate the extent of cancer in tumors poorly seen on mammography
• Infiltrating lobular carcinoma
• Ductal carcinoma in situ without corresponding microcalcifications
• Goals of breast cancer staging MRI:
• Plan lumpectomy to reduce the rate of transected tumor at specimen
margins
• Detect occult multifocal or multicentric tumor
• Detect occult contralateral tumor
• Detect residual disease when initial lumpectomy is incomplete
MANAGEMENT (ESPECIALLY PATIENTS
UNDERGOING NEOADJUVANT
CHEMOTHERAPY)
• Measure disease before initiating neoadjuvant
chemotherapy.
• Assess response to treatment after the initial
cycle.
• Localize potential residual tumor after a
complete clinical response.
Basic Bilateral Protocol for Breast
Cancer MRI
• Axial T1 or STIR Show lymph nodes and overall
anatomy; localization
• 2 Fast T2* Map cysts, ducts; assess lesion T2
• Diffusion-weighted EPI† Assess lesion ADC
• 3-D T1 fat-saturated spoiled gradient echo; 90 seconds
or less Baseline prior to contrast injection
• Repeat series 4 over 7–12 min with contrast
• Assess contrast enhancement morphology and kinetics
• 1H spectroscopy Measure choline
• Postprocessing Enhancement curves, subtraction, 3-D,
measurements, parametric maps
CONTRAST ENHANCEMENT
Contrast-enhanced MRI is extremely sensitive
for tumor angiogenesis, regardless of
radiographic breast density.
Tumor angiogenesis leads to preferential
enhancement of cancers with intravenous
contrast.
Lesion morphology helps distinguish cancer
from benign conditions.
The time-course of contrast enhancement
helps distinguish invasive cancer from other
conditions
No enhancement (type I) or gradual enhancement (type II) suggests a benign lesion.
Rapid initial enhancement followed by gradual
late enhancement (type III) is indeterminate. Rapid initial enhancement followed by a
plateau signal intensity (type IV) or early washout of signal
intensity (type V) is suspicious for invasive malignancy
Morphologic Features of Enhancing
Breast Lesions
• FEATURES SUGGESTING BENIGNANCY
• Minimal enhancement
• Smooth or gently lobulated margin
• Most intense enhancement at center
• Homogeneous enhancement
• Nonenhancing internal septations
• Oriented along Cooper ligaments
FEATURES SUGGESTING MALIGNANCY
• Bright enhancement
• Spiculated, very irregular margin
• Rim enhancement
• Heterogeneous enhancement
• Enhancing septations
• Ductal/linear-branching/segmental enhancement
• Associated enhancement of adjacent tissue
region
• Enlarged feeding blood vessel
Very high signal on T2-weighted fast spin-echo images that is brighter
than fat (on nonfat-suppressed sequences) and substantially brighter than glandular tissue
suggests a benign lesion such as a cyst (A, arrow), intramammary
lymph node (B, arrows), or fibroadenoma (C).
Most malignancies,
unless frankly necrotic, have a signal intensity that is similar to that of
fibroglandular tissue
PET CT
• The fundamental strength of PET over conventional
imaging is the ability to convey functional information
that even the most exquisitely detailed anatomic image
cannot provide.
• The standard PET radiotracer in current clinical use,
FDG is a glucose analog that is taken up by cells in
proportion to their rate of glucose metabolism.
• The increased glycolytic rate and glucose avidity of
malignant cells in comparison to normal tissue is the
basis of the ability of FDG-PET imaging to accurately
differentiate cancer from benign tissue regardless of
morphology
As of June 2009, the Centers for Medicare &
Medicaid Services (CMS) approves of coverage for
FDG-PET scanning for the following indications in
breast cancer:
• As an adjunct to standard imaging modalities for
staging patients with distant metastasis
• or restaging patients with locoregional recurrence
of metastasis;
• as an adjunct to standard imaging modalities for
monitoring tumor response to treatment for
women with locally advanced and metastatic
breast cancer
• when a change in therapy is anticipated
Initial Diagnosis
• Although noninvasive breast cancer has been
previously shown to be poorly imaged by FDG-
PET), the majority of FDG-PET studies in the
literature have been performed on patients
with invasive breast cancer
Initial Staging
• The performance of FDG-PET imaging in breast
cancer staging can be separated into two general
categories:
• staging of axillary lymph nodes, in which use of
PET has met with decidedly mixed results, and
• staging of mediastinal and internal mammary
lymph nodes and distant metastatic disease, in
which FDG-PET has consistently performed well.
THANK YOU

Imaging in breast cancer

  • 1.
    IMAGING IN BREASTCANCER Dr. Fahad Shafi PG 1ST YEAR
  • 2.
    Breast Cancer……. • Worldwide,breast cancer is the most common invasive cancer in women.Breast cancer comprises 22.9% of invasive cancers in women and 16% of all female cancers. • In 2012, it comprised 25.2% of cancers diagnosed in women, making it the most common female cancer.]
  • 3.
    GLOBAL TREND OFBREAST CANCER • The incidence of breast cancer in women has continued to rise. The rate of increase has slowed recently, however, with the exception of in situ breast cancer. Breast cancer death rates have decreased since the early 1990s, with decreases of 2.5% per year among white women. • Decreased breast cancer deaths have been attributed in part to breast cancer screening, adjuvant chemotherapy, and adoption of healthy standard of living • Randomized, population- controlled breast cancer screening trials using mammography have shown an approximately 30% reduction in breast cancer deaths in the women invited to screening compared to women in the control group. • Because of this data, the American Cancer Society recommends annual screening mammography for women age 40 years and older.
  • 4.
    Risk Factors • Female •Older age • Personal history of breast cancer • Family History • Early menarche • Late menopause • Nulliparity • First birth after age 30 • Atypical ductal hyperplasia • BRCA1, BRCA2 • Radiation exposure • Lobular carcinoma in situ • Li fraumeni ,Cowden and Ataxia Telangiectasia • CHRT
  • 5.
    Signs and Symptomsof Breast Cancer • Breast lump • Nipple discharge (new and spontaneous) Bloody Serosanguineous Serous but copious • New nipple inversion • Skin retraction or tethering • Peau d’orange • Nothing (cancer detected on screening mammography)
  • 6.
    IMAGING TECHNIQUES • MAMMOGRAPHY •ULTRASONOGRAPHY • MRI • PET CT
  • 7.
    MAMMOGRAPHY VIEWS • Craniocaudal CC •Mediolateral oblique MLO • Mediolateral ML • Lateral-medial LM • Laterally exaggerated craniocaudal XCCL • Medially exaggerated craniocaudal XCCM • Cleavage view CV • Rolled view laterally RL • Rolled view medially RM • From below FB
  • 8.
    Views Used toConfirm or Exclude a Lesion (Commonly a One-View-Only Finding • Lateral view • Spot compression • Spot compression magnification • Rolled views (with or without spot compression or magnification) • Repeat the same view • Step oblique views • Ultrasound
  • 9.
    Mammography - BreastImaging Lexicon • Breast Composition • Mass • Architectural distortion • Asymmetries • Calcifications • Associated features • Special cases
  • 10.
    Breast Composition • Inthe BI-RADS edition 2013 the assignment of the breast composition is changed into a, b, c and d-categories followed by a description: • a- The breast are almost entirely fatty. Mammography is highly sensitive in this setting. • b- There are scattered areas of fibroglandular density. The term density describes the degree of x-ray attenuation of breast tissue but not discrete mammographic findings. • c- The breasts are heterogeneously dense, which may obscure small masses. Some areas in the breasts are sufficiently dense to obscure small masses. • d- The breasts are extremely dense, which lowers the sensitivity of mammography.
  • 12.
    Mass • A 'Mass'is a space occupying 3D lesion seen in two different projections. If a potential mass is seen in only a single projection it should be called a 'asymmetry' until its three-dimensionality is confirmed. • Shape: oval (may include 2 or 3 lobulations), round or irregular • Margins: circumscribed, obscured, microlobulated, indistinct, spiculated • Density: high, equal, low or fat-containing
  • 15.
    Here a hyperdensemass with an irregular shape and a spiculated margiN.Notice the focal skin retraction. This was reported as BI-RADS 5 and proved to be an invasive ductal carcinoma.
  • 16.
    Architectural distortion • Theterm architectural distortion is used, when the normal architecture is distorted with no definite mass visible. • This includes thin straight lines or spiculations radiating from a point, and focal retraction, distortion or straightening at the edges of the parenchyma. The differential diagnosis is scar tissue or carcinoma. • Architectural distortion can also be seen as an associated feature.For instance if there is a mass that causes architectural distortion, the likelihood of malignancy is greater than in the case of a mass without distortion.
  • 17.
    Notice the distortionof the normal breast architecture on oblique view (yellow circle) and magnification view. A resection was performed and only scar tissue was found in the specimen
  • 18.
  • 19.
    Here an exampleof a focal asymmetry seen on MLO and CC- view. Local compression views and ultrasound did not show any mass
  • 20.
    Here an exampleof global asymmetry. In this patient this is not a normal variant, since there are associated features, that indicate the possibility of malignancy like thickened septa and subtle nipple retraction. Ultrasound (not shown) detected multiple small masses that proved to be adenocarcinoma. The PET-CT shows diffuse infiltrating carcinoma
  • 21.
    Asymmetry versus Mass •All types of asymmmetry have different border contours than true masses and also lack the conspicuity of masses.Asymmetries appear similar to other discrete areas of fibroglandulair tissue except that they are unilateral, with no mirror-image correlate in the opposite breast. • An asymmetry demonstrates concave outward borders and usually is interspersed with fat, whereas a mass demonstrates convex outward borders and appears denser in the center than at the periphery.
  • 22.
  • 25.
    Distribution of calcifications •The arrangement of calcifications, the distribution, is at least as important as morphology. These descriptors are arranged according to the risk of malignancy: • Diffuse: distributed randomly throughout the breast. • Regional: occupying a large portion of breast tissue > 2 cm greatest dimension • Grouped (historically cluster): few calcifications occupying a small portion of breast tissue: lower limit 5 calcifications within 1 cm and upper limit a larger number of calcifications within 2 cm. • Linear: arranged in a line, which suggests deposits in a duct. • Segmental: suggests deposits in a duct or ducts and their branches.
  • 27.
    Morphology: some arecoarse heterogenous and some look more like fine pleomorphic Distribution: Some calcifications are in a group ( <2cm) and some are in a regional distribution ( >2cm), but not in a segmental or linear arrangement
  • 28.
    Associated features • Associatedfeatures are things that are seen in association with suspicious findings like masses, asymmetries and calcifications. • Associated features play a role in the final assessment. For instance a BI-RADS 4-mass could get a BI- RADS 5 assessment if seen in association with skin retraction
  • 30.
    Special cases • Specialcases are findings with features so typical that you do not need to describe them in detail, like for instance an intramammary lymph node or a wart on the skin
  • 31.
    DIAGNOSTIC VERSUS SCREENING MAMMOGRAPHY •Screening Asymptomatic women CC and MLO mammograms Films taken and patient released • Diagnostic Symptomatic women or mammographic finding CC and MLO mammograms Additional mammograms tailored to the problem With or without breast ultrasound Radiologist on-site to guide workup
  • 32.
    • SAFETY OFMAMMOGRAPHY
  • 33.
    BREAST ULTRASOUND • Ultrasoundis a useful adjunct to mammography for the diagnosis and management of benign and malignant breast disease. • Hand-held units should include a linear array, high-frequency transducer operating at a frequency of 7.5 to 10 MHz or greater, which provides good tissue penetration to 4 or 5 cm
  • 34.
    Normal Ultrasound Appearanceof Breast Tissue • Normal Ultrasound Appearance of Breast Tissue* • Skin: 2- to 3-mm echogenic superficial line • Fat: hypoechoic (exception: fatty hilum in lymph • nodes) • Glandular tissue: echogenic • Breast ducts: hypoechoic tubular structures, oval in • cross-section • Nipple: hypoechoic, can shadow intensely • Cooper ligaments: thin echogenic lines • Ribs: hypoechoic, round periodic structures at the chest wall
  • 36.
    American College ofRadiology BI- RADS® Ultrasound Lexicon Descriptors • Shape oval round irregular • Margin circumscribed angular indistinct microlobulated
  • 37.
    • Echopattern anechoic hyperechoic complex isoechoic hypoechoic • Posterioracoustic enhancement no enhancement shadowing combined
  • 38.
    • Effect onsurrounding tissues no effect duct changes cooper ligament changes edema architectural distortion skin thickening skin retraction/irregularity
  • 39.
  • 40.
    Suspicious Ultrasound Characteristicsof Solid Breast Masses • Taller than wide • Acoustic shadowing • Spiculation • Microlobulation • Microcalcifications • Duct extension • Branch pattern • Angular margins • Markedly hypoechoic (in comparison to fat)
  • 42.
    COLOR DOPPLER, POWERDOPPLER, ULTRASOUND CONTRAST AGENTS, THREE-DIMENSIONAL IMAGING, AND ELASTOGRAPHY • Color Doppler imaging does not always detect increased flow in breast cancer, and there is overlap between benign and malignant blood flow patterns. • Attempts to increase the sensitivity of ultrasound for detecting blood flow with power Doppler improved these results, but not enough to advocate its use as a screening mechanism
  • 43.
    CE US AND3D US • The use of contrast agents has been proposed as a means of increasing the ability of ultrasound vascular imaging techniques to detect small increases in vascular density. Three-dimensional gray-scale ultrasound, though promising, is also still being developed.
  • 44.
    ELASTOGRAPHY • Using ultrasound,elastography shows cancers, which are generally stiffer than normal soft breast tissue, as darker and larger than on the B-mode gray-scale ultrasound. • Benign masses are soft and less stiff than cancers. The elastogram shows benign masses as smaller on elastography than on B-mode grayscale images
  • 45.
    Final Assessment Categories •BI-RADS 0 • Need Additional Imaging Evaluation and/or Prior Mammograms For Comparison • When additional imaging studies are completed, a final assessment is made.
  • 46.
    This patient presentedwith a mass on the mammogram at screening, which was assigned as BI- RADS 0 (needs additional imaging evaluation). Additional ultrasound demonstrated that the mass was caused by an intramammary lymph node. The final assessment is BI-RADS 2 (benign finding).
  • 47.
    BI-RADS 1 There isnothing to comment on
  • 49.
    BI-RADS 2 • Followup after breast conservative surgery • Involuting, calcified fibroadenomas • Multiple large, rod-like calcifications • Intramammary lymph nodes • Vascular calcifications • Implants • Architectural distortion clearly related to prior surgery. • Fat-containing lesions such as oil cysts, lipomas, galactoceles and mixed-density hamartomas. They all have characteristically benign appearances, and may be labeled with confidence.
  • 51.
    BI-RADS Category 2:Mass seen on mammogram proved to be a cyst.
  • 52.
    BI-RADS 3 • ProbablyBenign Finding Initial Short-Interval Follow-Up Suggested: • It is not expected to change over the follow-up interval, but the radiologist would prefer to establish its stability. Lesions appropriately placed in this category include:
  • 53.
    Lesions appropriately placedin this category include: • On Mammography - Nonpalpable, Noncalcified circumscribed solid mass - Focal asymmetry - Solitary group of punctuate calcifications • On US with robust evidence to suggest - Typical fibroadenoma - Isolated complicated cyst - Clustered microcysts
  • 55.
    Here a non-palpablesharply defined mass with a group of punctate calcifications. The mass was categorized as BI-RADS 3.
  • 56.
    Follow-up at 6,12 and 24 months showed no change and the final assessment was changed into a Category 2.
  • 57.
    If a BI-RADS3 lesion shows any change during follow up, it will change into a BI-RADS 4 or 5 and biopsy should be performed.
  • 58.
    BI-RADS 4 • SuspiciousAbnormality - Biopsy Should Be Considered • BI-RADS 4 has a wide range of probability of malignancy (2 – 95%).
  • 59.
    CATEGORY 4A • Partiallycircumscribed mass, suggestive of (atypical) fibroadenoma - Palpable, solitary, complex cystic and solid cyst - Probable abscess
  • 60.
    Category 4b • Groupamorphous or fine pleomorphic calcifications • Nondescript solid mass with indistinct margins
  • 61.
    Category 4c • Newgroup of fine linear calcifications • New indistinct, irregular solitary mass.
  • 62.
    The CC mammographicimage shows a finding, not reproducible on the MLO view. This finding is sufficiently suspicious to JUSTIFY A BIOPSY A
  • 63.
    The pathologist couldreport to you that it is sclerosing adenosis or ductal carcinoma in situ. Both diagnoses are concordant with the mammographic findings.
  • 64.
    BI-RADS 5 • HighlySuggestive of Malignancy. Appropriate Action Should Be Taken. • The current rationale for using category 5 is that if the percutaneous tissue diagnosis is nonmalignant, this automatically should be considered as discordant
  • 65.
    LESIONS INCLUDE • Useof combination of highly suspicious findings are present: • Spiculated, irregular highdensity mass. • Segmental or linear arrangement of fine linear calcifications. • Irregular spiculated mass with associated pleomorphic calcifications.
  • 69.
    BI-RADS 6 • Useafter incomplete excision • Use after monitoring response to neoadjuvant chemotherapy • Don't use after attempted surgical excision with positive margins and no imaging findings other than postsurgical scarring. Then use category 2 and add sentence stating the absence of mammographic correlate for the pathology.
  • 71.
    On the initialmammogram a marker is placed in the palpable tumor. Due to the dense fibroglandular tissue the tumor is not well seen. Ultrasound demonstrated a 37 mm mass with indistinct and angular margins and shadowing
  • 72.
    BREAST MRI • Magneticresonance imaging (MRI) uses repeated radiofrequency pulses in concert with precise spatial modulation of a strong magnetic field to image the distribution and nuclear magnetic resonance characteristics of hydrogen atoms within human tissue
  • 73.
    Accepted Indications forContrast- Enhanced Breast MRI • SCREENING • ACS recommendations • BRCA mutation (BRCA1 or BRCA2) • First-degree relative of BRCA carrier, but untested • Lifetime risk of approximately 20% to 25% or greater, • as defined by BRCAPRO or other models that are • largely dependent on family history • Obscured breast tissue (e.g., previous free silicone • injection) • Radiation to chest between age 10 and 30 (e.g., for • Hodgkin disease) • Li-Fraumeni syndrome (p53 mutation) and firstdegree • relatives • Cowden and Bannayan-Riley-Ruvalcaba syndromes • and first-degree relatives
  • 74.
    DIAGNOSIS • Suspicious lesionsseen on only one x-ray mammographic view, not found by sonography • Bloody nipple discharge with negative or failed galactogram • Indeterminate palpable findings with negative mammogram and ultrasound
  • 75.
    STAGING • Locate thebreast primary in patients with axillary metastases • Detect chest wall invasion • Evaluate opposite breast in patients with new, unilateral breast cancer • Evaluate the extent of cancer in patients with poorly evaluated breast tissue on mammography: • Dense breasts • Implants, free silicone injection • Evaluate the extent of cancer in tumors poorly seen on mammography • Infiltrating lobular carcinoma • Ductal carcinoma in situ without corresponding microcalcifications • Goals of breast cancer staging MRI: • Plan lumpectomy to reduce the rate of transected tumor at specimen margins • Detect occult multifocal or multicentric tumor • Detect occult contralateral tumor • Detect residual disease when initial lumpectomy is incomplete
  • 76.
    MANAGEMENT (ESPECIALLY PATIENTS UNDERGOINGNEOADJUVANT CHEMOTHERAPY) • Measure disease before initiating neoadjuvant chemotherapy. • Assess response to treatment after the initial cycle. • Localize potential residual tumor after a complete clinical response.
  • 77.
    Basic Bilateral Protocolfor Breast Cancer MRI • Axial T1 or STIR Show lymph nodes and overall anatomy; localization • 2 Fast T2* Map cysts, ducts; assess lesion T2 • Diffusion-weighted EPI† Assess lesion ADC • 3-D T1 fat-saturated spoiled gradient echo; 90 seconds or less Baseline prior to contrast injection • Repeat series 4 over 7–12 min with contrast • Assess contrast enhancement morphology and kinetics • 1H spectroscopy Measure choline • Postprocessing Enhancement curves, subtraction, 3-D, measurements, parametric maps
  • 78.
    CONTRAST ENHANCEMENT Contrast-enhanced MRIis extremely sensitive for tumor angiogenesis, regardless of radiographic breast density. Tumor angiogenesis leads to preferential enhancement of cancers with intravenous contrast. Lesion morphology helps distinguish cancer from benign conditions. The time-course of contrast enhancement helps distinguish invasive cancer from other conditions
  • 79.
    No enhancement (typeI) or gradual enhancement (type II) suggests a benign lesion. Rapid initial enhancement followed by gradual late enhancement (type III) is indeterminate. Rapid initial enhancement followed by a plateau signal intensity (type IV) or early washout of signal intensity (type V) is suspicious for invasive malignancy
  • 80.
    Morphologic Features ofEnhancing Breast Lesions • FEATURES SUGGESTING BENIGNANCY • Minimal enhancement • Smooth or gently lobulated margin • Most intense enhancement at center • Homogeneous enhancement • Nonenhancing internal septations • Oriented along Cooper ligaments
  • 82.
    FEATURES SUGGESTING MALIGNANCY •Bright enhancement • Spiculated, very irregular margin • Rim enhancement • Heterogeneous enhancement • Enhancing septations • Ductal/linear-branching/segmental enhancement • Associated enhancement of adjacent tissue region • Enlarged feeding blood vessel
  • 84.
    Very high signalon T2-weighted fast spin-echo images that is brighter than fat (on nonfat-suppressed sequences) and substantially brighter than glandular tissue suggests a benign lesion such as a cyst (A, arrow), intramammary lymph node (B, arrows), or fibroadenoma (C).
  • 85.
    Most malignancies, unless franklynecrotic, have a signal intensity that is similar to that of fibroglandular tissue
  • 86.
    PET CT • Thefundamental strength of PET over conventional imaging is the ability to convey functional information that even the most exquisitely detailed anatomic image cannot provide. • The standard PET radiotracer in current clinical use, FDG is a glucose analog that is taken up by cells in proportion to their rate of glucose metabolism. • The increased glycolytic rate and glucose avidity of malignant cells in comparison to normal tissue is the basis of the ability of FDG-PET imaging to accurately differentiate cancer from benign tissue regardless of morphology
  • 87.
    As of June2009, the Centers for Medicare & Medicaid Services (CMS) approves of coverage for FDG-PET scanning for the following indications in breast cancer: • As an adjunct to standard imaging modalities for staging patients with distant metastasis • or restaging patients with locoregional recurrence of metastasis; • as an adjunct to standard imaging modalities for monitoring tumor response to treatment for women with locally advanced and metastatic breast cancer • when a change in therapy is anticipated
  • 88.
    Initial Diagnosis • Althoughnoninvasive breast cancer has been previously shown to be poorly imaged by FDG- PET), the majority of FDG-PET studies in the literature have been performed on patients with invasive breast cancer
  • 89.
    Initial Staging • Theperformance of FDG-PET imaging in breast cancer staging can be separated into two general categories: • staging of axillary lymph nodes, in which use of PET has met with decidedly mixed results, and • staging of mediastinal and internal mammary lymph nodes and distant metastatic disease, in which FDG-PET has consistently performed well.
  • 91.