BREAST IMAGING
Dr. Sayan
Timeline of Breast Imaging
• 1950’s – Breast Self Examination
• 1960’s – BSE + Mammography
• 1970’s – BSE + Mammography + Thermography + Ultrasound
• 1980’s – BSE + Mammography + Better US
• 1990’s – BSE + Mammo + US + MRI
• 2000’s – Digital Mammo + US + MRI
• 2020?? – Digital Mammo + US + MRI + MR spectroscopy +
Tomosynthesis + PEM + BSGI
1913 - Albert Salomon
• Laid the foundations of mammography
• 3000 mastectomy specimen
• Collaboration of macroscopic anatomy with
microscopic examinations.
1963 - 1966: Health Insurance Plan (HIP) of New York
• First RCT- periodic screening with physical
examination & mammography.
• 1/3rd reduction in mortality at 5 yrs f/u & sustained
benefit till 18 yrs of f/u
In 1965: 1st mammography unit the “Sénographe” was
built by Compagnie Générale de Radiologie” headed
by Charles Gros
Mammography : History
• Mammography is a special type of
X -ray imaging - to create detailed
image of the breast.
• Permit earlier detection of
abnormality
• High contrast resolution is required
- attenuation diff. between normal
& diseased breast tissue is so small
Mammography
X-ray tube
Compression device
Image detector
Film/Screen Mammography
• Old method
• The image is created directly on a film-
Non modifiable
• Less sensitive for women with dense
breasts
• 10 - 20 % of breast cancers that are
detected by physical examination are
not visible on film mammography
• A major limitation of film
mammography is the film itself –
quality depends on exposure
Digital Mammography
• Electronic (digitised) image of the
breast - stores it directly in a computer
• Can be manipulated
• Less radiation exposure than film
mammography
• Improvement in image storage and
transmission
• Cost 1.5 to 4 times more than film
systems
Advantages of Digital Mammography
• Exposure can be tailored to enhance tissue contrast
• Faster image acquisition
• Shorter examination time
• Improved contrast
• Better delineation of parenchyma & subcutaneous tissue
• Reproducibility
• Electronic transmission ( Tele-mammography)
• Less storage space
New advances
• CAD- Computer Aided Detection
• Dual energy subtraction
• Contrast subtraction digital mammography
Digital Mammography
Basic positioning – CranioCaudal View
• From above a
horizontally-compressed
breast
• Will show as much as
possible of glandular
tissue surrounded by fatty
tissue and the outermost
edge of chest muscle
• Nipple will be shown in
profile.
• Can't capture much of
armpit and upper chest
Medio-Lateral Oblique view
• From the side and at an angle
of a diagonally-compressed
breast
• The angle allows more of
breast tissue to be imaged
including tissue in armpit.
• It will show glandular as well as
fatty tissue
• Gives a larger area than a CC
view
Other Views May be Taken for a Diagnostic Mammogram
• Latero-medial (LO) - from the outside towards the center
• Medio-lateral (ML) - from the center towards the outside
• Spot compression - compression on only a small area, to get more
detail
• Cleavage view - both breast compressed, to see tissue near the
center of the chest
• Magnification - to see borders of structures and calcifications
Why Use So Much Compression?
• Holding breast away from chest wall permits projection of most tissue
& decreases noise from chest wall structure
• less motion results in clearer edges (less blurring)
• Decrease in dose due to reducing thickness thro’ which radiation has
to pass
• Separates overlapping structure
• Pressing close to detector minimizes geometric unsharpness
• More uniform thickness and uniform exposure
• Accurate registration of image for computer reconstruction algorithm
The compression force should be firm but should not cause pain;
preferably should not be more than 20 N
Poulos et al. Breast compression in mammography: How much is enough?
Australasian Radiology Volume 47, Issue 2, pages 121–126, June 2003
Mammography
SENSITIVITY 67% (60-78%)
SPECIFICITY 94% (93-96)
PPV 8.6 (3-16)
NPV 99.7% (99.6-99.9)
Sensitivity overall ≈ 67%, but lower in
• Young, dense breasts
• Hormonal therapy
• Mucinous, lobular pathologies
• High grade or high proliferative indices
• Short interval
Screening Mammography
in the average risk woman
Specificity overall ≈ 94%, but lower in
• Young, dense breasts,
• Hormonal therapy
• BIRADS not used
• Prior breast surgery
• BMI <25
• No centralised screening/Quality Assurance programs
• Long interval
Screening Mammography
in the average risk woman
Screening mammography Diagnostic mammography
For asymptomatic ‘well’ women to detect unsuspected
lesions
Scope For diagnosing breast changes or abnormalities that
may have been detected through breast self exam
(BSE) and/or clinical examination
Emphasis is on mass population screening to reduce
overall mortality and morbidity
Emphasis Emphasis is on individual benefit
According to guideline followed Target For women or men of any age who have symptoms or
signs
Free service mostly as part of Govt. funded screening
programme
Cost Medicare rebate may be available but out-of-pocket
costs may be incurred
No referral required. Recommendations from health
professionals are strongly encouraged
Referral Referral required from medical practitioner
Staff specialise in screening for and assessing
impalpable lesions. Mammograms are read
independently by two specially trained radiologists
Staff Staff experienced in a range of diagnostic procedures.
Experience in breast cancer mainly with women
presenting with palpable lesions/changes
Results letter notifying the woman screened and her
primary health care provider
Where screening results are abnormal, notification is
sent to the woman screened and her nominated
general practitioner immediately
Notification Full report is sent to general practitioner or surgeon
usually within a few days
17
Fibro-glandular Breast
• Dense with very little fat
• Females 15-30 years of age
or 30 years or older
without children
• Pregnant or lactating
18
Fibro-fatty Breast
• Average density
• 50% fat & 50% fibro-
glandular
• Women 30-50 years of
age or women with 3
or more children
19
Fatty Breast
• Minimal density
• Women 50 and older
(postmenopausal),
men and children
• Irregular/regular mass
• Ambiguous border
• Spiculated
• Heterogeneous density, mostly
higher than the Surrounding tissue
• Site: over 50% at upper-outer
quadrant
X-ray Findings of Breast Cancer
• Calcification: clustered salt-like
microcalcification in 1/3 cases
inside/outside the mass, sometimes
only the microcalcifications
observed
• Architectural Distortion
• Retraction of nipple
• Thickening of skin
Spiculated/Stellate mass
• central soft-tissue tumour mass
from the surface of which spicules
extend into the surrounding
breast tissue
• Approximately 95% of spiculate
masses seen on mammography
are due to invasive breast cancers
• typical ultrasound features are of
an echo-poor mass, with poorly
defined margins and posterior
acoustic shadowing
Architectural Distortion
• seen mammographically as
numerous straight lines usually
measuring from I to
• 4 cm in length radiating toward a
central area
TYPES OF CALCIFICATION
BENIGN
MICROCALCIFICATIONS
• Smooth & round
• Calcification with lucent
center
• Dermal calcification
• Vascular cal.
• Large rod like cal.
• Popcorn cal.
MALIGNANT MICROCALCIFICATIONS
 5 or more in number
 Each equal to or less than 0.5mm in size
 Pleomorphic
Size
Shape
Density
 Fine linear branching
 Dot and dash pattern
 v, y pattern of calcification
Asymmetrical Soft Tissue Density
• some carcinomas, particularly
small tumours
• found in screening practice, may
not show typical features of
• malignancy such as an irregular or
spiculate outline. These tumours
• may appear on basic screening
films as asymmetricalsoft-tissue
• opacities
Radiolucent Lesions
• Oil Cysts - single or multiple, are
usually 2-3 cm in diameter, and
result from trauma which is usually
surgical
• Lipoma
• Galactocele
BIRADS (Breast Imaging-Reporting And Data System)
Category 0- Need Additional Imaging Evaluation and/or Prior
Mammograms For Comparison: (Incomplete Assessment)
• When no radiologist is there to report
• Recall patient
• Almost always used in a screening situation
• Additional imaging evaluation - spot compression, magnification,
special mammographic views and ultrasound
• If the study is not negative and does not contain a typically benign
finding, the current examination should be compared with previous
studies. The radiologist should use judgment on how vigorously to
attempt obtaining previous studies
BIRADS
Category 1: Negative
• The breasts are symmetric and no mass, architectural distortion, or
suspicious calcification is present.
BIRADS
Category 2: Benign finding(s):
• Like Category 1, "normal" assessment, but the interpreter chooses to
describe a benign finding
• Involuting/calcified fibroadenomas
• Multiple secretory calcifications
• Fat-containing lesions such as oil cysts, lipomas or Galactoceles
• Hamartomas
• The interpreter may also choose to describe
• Intramammary lymph nodes
• vascular calcifications
• implants or architectural distortion clearly related to prior surgery
Category 2 should be
used when describing
one or more specific
benign mammographic
findings which require
no further evaluation
Category 1 should be used
when no such findings are
described
BIRADS
Category 3: Probably Benign Finding - Short Interval Follow-Up
Suggested:
• Should have less than 2% risk of malignancy
• It is not expected to change over the follow-up interval, but the
radiologist would prefer to establish its stability
• Three specific findings are described as being probably benign
• Non-calcified mass
• Focal asymmetry
• Cluster of round (punctate) calcifications
BIRADS
Category 4: Suspicious Abnormality - Biopsy Should Be Considered:
• Do not have the classic appearance of malignancy
• Probability of malignancy greater than those in Category 3.
• Most recommendations of breast interventional procedures will
be placed within this category.
• Relevant probabilities be indicated so the patient and her
physician can make an informed decision on the ultimate course of
action
• 4A - Should be biopsied but has less chance of malignancy
• 4B - Intermediate suspicion
• 4C - Is of concern but does not have classic morphology of
malignancy
Sanders et al. Clinical Implications of Subcategorizing BI-RADS 4 Breast Lesions
associated with Microcalcification: A Radiology–Pathology Correlation Study".
The Breast Journal 16 (1): 28–31 (2010)
BIRADS
Category 5: Highly Suggestive of Malignancy - Appropriate Action
Should Be Taken:
• Lesions have a high probability ( 95%) of being cancer.
• This category contains lesions for which one-stage surgical
treatment could be considered without preliminary biopsy.
• current oncological management may require percutaneous tissue
sampling as,
• when sentinel node imaging is included in surgical treatment
• neoadjuvant chemotherapy is administered at the outset.
BIRADS
Category 6: Known Biopsy - Proven Malignancy: Appropriate Action
Should Be Taken
• Lesions identified on the imaging study with biopsy proof of
malignancy prior to definitive therapy
• This category was added to the classification because sometimes
patients are treated with neo-adjuvant chemotherapy.
Mammography Limitations
• As many as 20% of breast cancers will be missed by mammography.
• Approximately 10% of women are recalled for additional workup and a
significant portion prove to have no abnormality, resulting in
unnecessary anxiety and cost.
• Tissue superimposition that is created by the overlap of normal breast
structures in a two-dimensional mammographic projection can obscure
a lesion making it more difficult to perceive or rendering it
mammographically occult
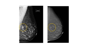
Why Breast Tomosynthesis (3D mammography)?
• Tissue superimposition hides
pathologies in 2D
• Tissue superimposition mimics
pathologies in 2D
3D Improves Visibility by Reducing
Tissue Superimposition
2D Mammogram Tomosynthesis
Better Sensitivity
2D Mammogram Tomosynthesis
Fewer Recalls
Digital Breast Tomosynthesis (DBT)
L. Pescarini et al. Attualità in senologia; 2008
Digital breast tomosynthesis
3D Principle of Operation
• X-ray tube moves in an
arc across the breast
• A series of low dose
images are acquired
from different angles
• Total dose approximately
the same as one 2D
mammogram
• Projection images are
reconstructed into
1 mm slices
Compression
Paddle
Compressed
Breast
Detector Housing
Reconstructed
Slices {
Arc of motion of x-ray tube, showing
individual exposures
Tomosynthesis takes multiple angle Breast views and Reconstructs them
into Cross-sectional slices
Screening mammograms and their radiation risks
Towards appropriate use of diagnostic imaging: A guide for medical
practitioners and their patients. Cancer Council WA, 2011
• Two of the major factors affecting
radiation dose are the amount of
compression and the thickness
and structure of the breast
• Studies have linked high doses of
ionising radiation (>50mSv) to an
increased risk of cancer. However,
the risk is extremely low with the
radiation dose received from a
mammogram.
Breast Ultrasound
Diagnostic test for evaluation of mammographic and palpable
abnormalities
• Used as a 'second-look' procedure
• Can differentiate cystic from solid mass
• Characterize solid masses
• Evaluate axilla for metastatic disease
• First examination in young women <35 yrs and is valuable in the
assessment of mammographically `dense' breast
• Being the only `real-time' imaging modality it can be used to
accurately localise or biopsy breast lesions
Indications
• Symptomatic breast lumps in women <35 years
• Breast lump developing during pregnancy or lactation
• Assessment of mammographic abnormality (± further
mammographic views)
• Assessment of MRI detected lesions
• Clinical breast mass with negative mammograms
• Breast inflammation
• The augmented breast (together with MRI)
• Breast lump in a male (together with mammography)
• Guidance of needle biopsy or localisation
• Follow-up of breast cancer treated with adjuvant chemotherapy
Breast Ultrasound - procedure
• 7.5-10 MHz linear array probe
• patient is examined in the supine oblique
position
• The side being examined is raised and the
arm placed above the head to ensure that
the breast tissue is evenly distributed over
the chest wall
Breast Ultrasound
Screening ultrasound
• No radiation, no compression
• 28% increase cancer detection when combined with mammography
compared to mammography alone
• In the absence of any suspicious clinical lesion, a negative ultrasound and
mammographic examination has a very high negative predictive value
Not ready for widespread use
• Low specificity, higher cost, lack of availability
• Low sensitivity for calcifications of DCIS
Berg et al. Combined Screening With Ultrasound and
Mammography vs Mammography Alone in Women at Elevated
Risk of Breast Cancer. JAMA. 2008;299(18):2151-2163
Typical Ultrasound characteristics of solid
breast lesions
A typical 'tall' irregular spiculated hypoechoic attenuating mass s/o
malignant breast tumour
0
10
20
30
40
50
60
70
80
90
100
1 2 3 4 2-4 overall
mx us combined
Screening Study 11,130 patients, 221 patients w/cancer
Mammography 78%
Mammography +
Ultrasound 97%
Breast density is the most important factor in determining the sensitivity of
mammography (higher density in pre-menopause and HRT)
Kolb et al Radiology 2002;225:165-175
Combined Mammography and Ultrasound
Breast MRI
Technical Requirements:
• High-field breast MRI (1.5T or >)
• Gadolinium-DTPA injection
• Dedicated bilateral breast coil
• Good fat suppression techniques
• High-resolution 3D gradient echo
pulse sequence
Breast MRI: Indications
• Screening of High-Risk Women
• Contralateral Breast Cancer in Newly Diagnosed Breast Cancer
• Lobular Cancer
• Occult Breast Cancer
• Close or Positive Surgical Margins
• Post-operative Scar vs. Tumor Recurrence
• Neo-Adjuvant Chemotherapy
• Implants and Known or Suspected Cancer
• Problematic Mammogram
High Risk Screening
Annual Breast MRI and Mammography Screening is Recommended
for Women Who Have: (Based on ACS Recomendations)
• BRCA1 or BRCA2 gene mutation
• First degree relative with BRCA1 or BRCA2 gene mutation and have not
been tested themselves
• Lifetime risk of breast cancer has been scored at 20-25% or greater,
based on one of several accepted risk assessment tools that look at
family history and other factors
• Chest wall radiation between the ages of 10 and 30 yrs
• Li-Fraumeni syndrome, Cowden syndrome, or Bannayan-Riley-
Ruvalcaba syndrome, or may have one of these syndromes based on a
history in a first-degree relative
Clinical Indications
Detection of Contralateral Breast Cancer in Newly Diagnosed Breast
Cancer
• 10% of women with breast cancer will develop a new tumor in the
opposite breast with a negative mammogram and physical exam at
the initial time of diagnosis
• Finding cancers earlier may help women make treatment decision,
potentially sparing additional surgery, radiation therapy and
chemotherapy later
• Contralateral breast cancers more often identified when index cancer
was infiltrating lobular carcinoma
AJR 2003, vol. 180:333-341
NEJM 2007 vol. 356,No. 13:1295-1303
Clinical Indications
Infiltrating Lobular Carcinoma
• Insidious cancer- Difficult to detect on mammography and physical
exam
• Multifocal / multi-centric in up to 35% of cases and bilateral in 10%
• Frequent cause of positive lumpectomy margins
Clinical Indications
Occult Breast Cancer
• About 0.3% of breast cancers present with malignant axillary lymph
nodes, but normal breast examination and mammogram
• Mastectomy standard treatment for occult malignancy
• Up to 2/3 can be localized with MRI allowing breast conservation
surgery
Clinical Indications
Close or Positive Surgical Margins
• Up to 50% of lumpectomies have inadequate margins, requiring
additional resection
• MRI can locate residual or additional tumor foci
• Applied pre-operatively, MR significantly decreases re-operations
Clinical Indications
Implants and Known or Suspected Cancer
• MRI is not affected by implants or silicone
• Improves diagnostic confidence
• Allows guided needle biopsy
• Women with history of silicone injections can benefit from MRI
screening
Contrast Enhanced Breast MRI
• Based on the fact that a
carcinoma is usually well
vascularized. Thus a contrast
medium will quickly accumulate
in the tumor.
• The evaluation consists of finding
suspicious regions in the images,
calculating the absorption of
contrast-medium in those
regions, and deriving the
diagnosis from that data
Without contrast
With contrast
Breast MRI
• Breast cancers are usually irregular in shape and heterogeneous in
their enhancement on MRI
• Both mammography and USG have limitations in the evaluation of the
chest wall. MRI is able to visualize the entirety of the chest wall.
Enhancement of the pectoralis and intercostal muscles is indicative of
chest wall invasion in patients with a posterior breast tumor
Baum F, Fischer U. Eur Radiol 2002
0 1 2
Morphology
round, oval,
lobulated
linear, dendritic, stellate _
Margins well defined ill defined _
Pattern homogeneous inhomogeneous
rim
enhancement
Signal intensity low (<50%) moderate (50-100%) high (>100%)
Curve continuous plateau wash out
SCORE DIAGNOSTIC VALUE
0-1 Benign
2 Probably benign
3 Probably benign
4-5 Suspicious for malignancy
6-8 Highly suggestive for malignancy
Fischer score
BREAST MRI
Benefits of Breast MRI
• Can image breast implants and ruptures
• Highly sensitive to small abnormalities
• Used effectively in dense breasts
• Can evaluate inverted nipples for evidence of cancer
• May detect breast cancer recurrences and residual tumors after
lumpectomy
• Can locate primary tumor in women whose cancer has spread to
axillary (armpit) lymph nodes
• Can spot or characterize small abnormalities missed by
mammography
• May be useful in screening women at high risk for breast cancer,
according to recent studies
Limitations of Breast MRI
• MRI takes 30-60 minutes compared to 10-20 minutes for screening
mammography
• The cost of MRI is several times the cost of mammography
• MRI requires the use of a contrast agent
• MRI patients must tolerate any claustrophobia
• MRI can be non-specific; often cannot distinguish between
cancerous and non-cancerous tumors
Sensitivity & Specificity
Mammogram Vs Ultrasound Vs MRI
Sensitivity Specificity
Mammogram 82% 99%
Ultrasound 86% 98%
MRI 3T 100% 94%
Haitham Elsamaloty et al . AJR 2009; 192:1142-1148, Increasing the accuracy of
detection of Breast Cancer with 3-T MRI.
Sensitivity and Specificity of Annual MRI,
Mammography, Ultrasound and 6 Monthly CBE in High
Risk Women
AUTHOR MAMMOGRAPHY ULTRASOUND MRI CBE
SENSITIVIT
Y (%)
SPECIFICIT
Y (%)
SENSITIVIT
Y (%)
SPECIFICIT
Y (%)
SENSITIVIT
Y (%)
SPECIFICITY
(%)
SENSITIVITY
(%)
SPECIFICIT
Y (%)
Kuhl et al 33 98 33 80 100 95 NS NS
Tilanus-
Linthorst et al
0 100 - - 100 95 NS NS
Stoutjesdijk et
al
42 96 - - 100 89 NS NS
Podo et al 13 100 13 100 100 99 - -
Morris et al NS NS - - 69 77 - -
Kriege et al 40 95 - - 71 90 18 98
Warner et al 36 100 33 96 77 95 9 99
Cancer Imaging 2005; 5(1): 32-38
Ref: websites of various groups
Breast imaging

Breast imaging

  • 1.
  • 2.
    Timeline of BreastImaging • 1950’s – Breast Self Examination • 1960’s – BSE + Mammography • 1970’s – BSE + Mammography + Thermography + Ultrasound • 1980’s – BSE + Mammography + Better US • 1990’s – BSE + Mammo + US + MRI • 2000’s – Digital Mammo + US + MRI • 2020?? – Digital Mammo + US + MRI + MR spectroscopy + Tomosynthesis + PEM + BSGI
  • 3.
    1913 - AlbertSalomon • Laid the foundations of mammography • 3000 mastectomy specimen • Collaboration of macroscopic anatomy with microscopic examinations. 1963 - 1966: Health Insurance Plan (HIP) of New York • First RCT- periodic screening with physical examination & mammography. • 1/3rd reduction in mortality at 5 yrs f/u & sustained benefit till 18 yrs of f/u In 1965: 1st mammography unit the “Sénographe” was built by Compagnie Générale de Radiologie” headed by Charles Gros Mammography : History
  • 4.
    • Mammography isa special type of X -ray imaging - to create detailed image of the breast. • Permit earlier detection of abnormality • High contrast resolution is required - attenuation diff. between normal & diseased breast tissue is so small Mammography X-ray tube Compression device Image detector
  • 5.
    Film/Screen Mammography • Oldmethod • The image is created directly on a film- Non modifiable • Less sensitive for women with dense breasts • 10 - 20 % of breast cancers that are detected by physical examination are not visible on film mammography • A major limitation of film mammography is the film itself – quality depends on exposure
  • 6.
    Digital Mammography • Electronic(digitised) image of the breast - stores it directly in a computer • Can be manipulated • Less radiation exposure than film mammography • Improvement in image storage and transmission • Cost 1.5 to 4 times more than film systems
  • 7.
    Advantages of DigitalMammography • Exposure can be tailored to enhance tissue contrast • Faster image acquisition • Shorter examination time • Improved contrast • Better delineation of parenchyma & subcutaneous tissue • Reproducibility • Electronic transmission ( Tele-mammography) • Less storage space New advances • CAD- Computer Aided Detection • Dual energy subtraction • Contrast subtraction digital mammography
  • 8.
  • 9.
    Basic positioning –CranioCaudal View • From above a horizontally-compressed breast • Will show as much as possible of glandular tissue surrounded by fatty tissue and the outermost edge of chest muscle • Nipple will be shown in profile. • Can't capture much of armpit and upper chest
  • 10.
    Medio-Lateral Oblique view •From the side and at an angle of a diagonally-compressed breast • The angle allows more of breast tissue to be imaged including tissue in armpit. • It will show glandular as well as fatty tissue • Gives a larger area than a CC view
  • 11.
    Other Views Maybe Taken for a Diagnostic Mammogram • Latero-medial (LO) - from the outside towards the center • Medio-lateral (ML) - from the center towards the outside • Spot compression - compression on only a small area, to get more detail • Cleavage view - both breast compressed, to see tissue near the center of the chest • Magnification - to see borders of structures and calcifications
  • 12.
    Why Use SoMuch Compression? • Holding breast away from chest wall permits projection of most tissue & decreases noise from chest wall structure • less motion results in clearer edges (less blurring) • Decrease in dose due to reducing thickness thro’ which radiation has to pass • Separates overlapping structure • Pressing close to detector minimizes geometric unsharpness • More uniform thickness and uniform exposure • Accurate registration of image for computer reconstruction algorithm The compression force should be firm but should not cause pain; preferably should not be more than 20 N Poulos et al. Breast compression in mammography: How much is enough? Australasian Radiology Volume 47, Issue 2, pages 121–126, June 2003
  • 13.
    Mammography SENSITIVITY 67% (60-78%) SPECIFICITY94% (93-96) PPV 8.6 (3-16) NPV 99.7% (99.6-99.9)
  • 14.
    Sensitivity overall ≈67%, but lower in • Young, dense breasts • Hormonal therapy • Mucinous, lobular pathologies • High grade or high proliferative indices • Short interval Screening Mammography in the average risk woman
  • 15.
    Specificity overall ≈94%, but lower in • Young, dense breasts, • Hormonal therapy • BIRADS not used • Prior breast surgery • BMI <25 • No centralised screening/Quality Assurance programs • Long interval Screening Mammography in the average risk woman
  • 16.
    Screening mammography Diagnosticmammography For asymptomatic ‘well’ women to detect unsuspected lesions Scope For diagnosing breast changes or abnormalities that may have been detected through breast self exam (BSE) and/or clinical examination Emphasis is on mass population screening to reduce overall mortality and morbidity Emphasis Emphasis is on individual benefit According to guideline followed Target For women or men of any age who have symptoms or signs Free service mostly as part of Govt. funded screening programme Cost Medicare rebate may be available but out-of-pocket costs may be incurred No referral required. Recommendations from health professionals are strongly encouraged Referral Referral required from medical practitioner Staff specialise in screening for and assessing impalpable lesions. Mammograms are read independently by two specially trained radiologists Staff Staff experienced in a range of diagnostic procedures. Experience in breast cancer mainly with women presenting with palpable lesions/changes Results letter notifying the woman screened and her primary health care provider Where screening results are abnormal, notification is sent to the woman screened and her nominated general practitioner immediately Notification Full report is sent to general practitioner or surgeon usually within a few days
  • 17.
    17 Fibro-glandular Breast • Densewith very little fat • Females 15-30 years of age or 30 years or older without children • Pregnant or lactating
  • 18.
    18 Fibro-fatty Breast • Averagedensity • 50% fat & 50% fibro- glandular • Women 30-50 years of age or women with 3 or more children
  • 19.
    19 Fatty Breast • Minimaldensity • Women 50 and older (postmenopausal), men and children
  • 20.
    • Irregular/regular mass •Ambiguous border • Spiculated • Heterogeneous density, mostly higher than the Surrounding tissue • Site: over 50% at upper-outer quadrant X-ray Findings of Breast Cancer • Calcification: clustered salt-like microcalcification in 1/3 cases inside/outside the mass, sometimes only the microcalcifications observed • Architectural Distortion • Retraction of nipple • Thickening of skin
  • 21.
    Spiculated/Stellate mass • centralsoft-tissue tumour mass from the surface of which spicules extend into the surrounding breast tissue • Approximately 95% of spiculate masses seen on mammography are due to invasive breast cancers • typical ultrasound features are of an echo-poor mass, with poorly defined margins and posterior acoustic shadowing
  • 22.
    Architectural Distortion • seenmammographically as numerous straight lines usually measuring from I to • 4 cm in length radiating toward a central area
  • 23.
    TYPES OF CALCIFICATION BENIGN MICROCALCIFICATIONS •Smooth & round • Calcification with lucent center • Dermal calcification • Vascular cal. • Large rod like cal. • Popcorn cal. MALIGNANT MICROCALCIFICATIONS  5 or more in number  Each equal to or less than 0.5mm in size  Pleomorphic Size Shape Density  Fine linear branching  Dot and dash pattern  v, y pattern of calcification
  • 24.
    Asymmetrical Soft TissueDensity • some carcinomas, particularly small tumours • found in screening practice, may not show typical features of • malignancy such as an irregular or spiculate outline. These tumours • may appear on basic screening films as asymmetricalsoft-tissue • opacities
  • 25.
    Radiolucent Lesions • OilCysts - single or multiple, are usually 2-3 cm in diameter, and result from trauma which is usually surgical • Lipoma • Galactocele
  • 26.
    BIRADS (Breast Imaging-ReportingAnd Data System) Category 0- Need Additional Imaging Evaluation and/or Prior Mammograms For Comparison: (Incomplete Assessment) • When no radiologist is there to report • Recall patient • Almost always used in a screening situation • Additional imaging evaluation - spot compression, magnification, special mammographic views and ultrasound • If the study is not negative and does not contain a typically benign finding, the current examination should be compared with previous studies. The radiologist should use judgment on how vigorously to attempt obtaining previous studies
  • 27.
    BIRADS Category 1: Negative •The breasts are symmetric and no mass, architectural distortion, or suspicious calcification is present.
  • 28.
    BIRADS Category 2: Benignfinding(s): • Like Category 1, "normal" assessment, but the interpreter chooses to describe a benign finding • Involuting/calcified fibroadenomas • Multiple secretory calcifications • Fat-containing lesions such as oil cysts, lipomas or Galactoceles • Hamartomas • The interpreter may also choose to describe • Intramammary lymph nodes • vascular calcifications • implants or architectural distortion clearly related to prior surgery
  • 29.
    Category 2 shouldbe used when describing one or more specific benign mammographic findings which require no further evaluation Category 1 should be used when no such findings are described
  • 30.
    BIRADS Category 3: ProbablyBenign Finding - Short Interval Follow-Up Suggested: • Should have less than 2% risk of malignancy • It is not expected to change over the follow-up interval, but the radiologist would prefer to establish its stability • Three specific findings are described as being probably benign • Non-calcified mass • Focal asymmetry • Cluster of round (punctate) calcifications
  • 31.
    BIRADS Category 4: SuspiciousAbnormality - Biopsy Should Be Considered: • Do not have the classic appearance of malignancy • Probability of malignancy greater than those in Category 3. • Most recommendations of breast interventional procedures will be placed within this category. • Relevant probabilities be indicated so the patient and her physician can make an informed decision on the ultimate course of action • 4A - Should be biopsied but has less chance of malignancy • 4B - Intermediate suspicion • 4C - Is of concern but does not have classic morphology of malignancy Sanders et al. Clinical Implications of Subcategorizing BI-RADS 4 Breast Lesions associated with Microcalcification: A Radiology–Pathology Correlation Study". The Breast Journal 16 (1): 28–31 (2010)
  • 32.
    BIRADS Category 5: HighlySuggestive of Malignancy - Appropriate Action Should Be Taken: • Lesions have a high probability ( 95%) of being cancer. • This category contains lesions for which one-stage surgical treatment could be considered without preliminary biopsy. • current oncological management may require percutaneous tissue sampling as, • when sentinel node imaging is included in surgical treatment • neoadjuvant chemotherapy is administered at the outset.
  • 33.
    BIRADS Category 6: KnownBiopsy - Proven Malignancy: Appropriate Action Should Be Taken • Lesions identified on the imaging study with biopsy proof of malignancy prior to definitive therapy • This category was added to the classification because sometimes patients are treated with neo-adjuvant chemotherapy.
  • 34.
    Mammography Limitations • Asmany as 20% of breast cancers will be missed by mammography. • Approximately 10% of women are recalled for additional workup and a significant portion prove to have no abnormality, resulting in unnecessary anxiety and cost. • Tissue superimposition that is created by the overlap of normal breast structures in a two-dimensional mammographic projection can obscure a lesion making it more difficult to perceive or rendering it mammographically occult
  • 35.
    Why Breast Tomosynthesis(3D mammography)? • Tissue superimposition hides pathologies in 2D • Tissue superimposition mimics pathologies in 2D
  • 36.
    3D Improves Visibilityby Reducing Tissue Superimposition
  • 37.
  • 38.
  • 39.
    Digital Breast Tomosynthesis(DBT) L. Pescarini et al. Attualità in senologia; 2008 Digital breast tomosynthesis
  • 40.
    3D Principle ofOperation • X-ray tube moves in an arc across the breast • A series of low dose images are acquired from different angles • Total dose approximately the same as one 2D mammogram • Projection images are reconstructed into 1 mm slices Compression Paddle Compressed Breast Detector Housing Reconstructed Slices { Arc of motion of x-ray tube, showing individual exposures
  • 41.
    Tomosynthesis takes multipleangle Breast views and Reconstructs them into Cross-sectional slices
  • 42.
    Screening mammograms andtheir radiation risks Towards appropriate use of diagnostic imaging: A guide for medical practitioners and their patients. Cancer Council WA, 2011 • Two of the major factors affecting radiation dose are the amount of compression and the thickness and structure of the breast • Studies have linked high doses of ionising radiation (>50mSv) to an increased risk of cancer. However, the risk is extremely low with the radiation dose received from a mammogram.
  • 43.
    Breast Ultrasound Diagnostic testfor evaluation of mammographic and palpable abnormalities • Used as a 'second-look' procedure • Can differentiate cystic from solid mass • Characterize solid masses • Evaluate axilla for metastatic disease • First examination in young women <35 yrs and is valuable in the assessment of mammographically `dense' breast • Being the only `real-time' imaging modality it can be used to accurately localise or biopsy breast lesions
  • 44.
    Indications • Symptomatic breastlumps in women <35 years • Breast lump developing during pregnancy or lactation • Assessment of mammographic abnormality (± further mammographic views) • Assessment of MRI detected lesions • Clinical breast mass with negative mammograms • Breast inflammation • The augmented breast (together with MRI) • Breast lump in a male (together with mammography) • Guidance of needle biopsy or localisation • Follow-up of breast cancer treated with adjuvant chemotherapy
  • 45.
    Breast Ultrasound -procedure • 7.5-10 MHz linear array probe • patient is examined in the supine oblique position • The side being examined is raised and the arm placed above the head to ensure that the breast tissue is evenly distributed over the chest wall
  • 46.
    Breast Ultrasound Screening ultrasound •No radiation, no compression • 28% increase cancer detection when combined with mammography compared to mammography alone • In the absence of any suspicious clinical lesion, a negative ultrasound and mammographic examination has a very high negative predictive value Not ready for widespread use • Low specificity, higher cost, lack of availability • Low sensitivity for calcifications of DCIS Berg et al. Combined Screening With Ultrasound and Mammography vs Mammography Alone in Women at Elevated Risk of Breast Cancer. JAMA. 2008;299(18):2151-2163
  • 47.
    Typical Ultrasound characteristicsof solid breast lesions
  • 48.
    A typical 'tall'irregular spiculated hypoechoic attenuating mass s/o malignant breast tumour
  • 49.
    0 10 20 30 40 50 60 70 80 90 100 1 2 34 2-4 overall mx us combined Screening Study 11,130 patients, 221 patients w/cancer Mammography 78% Mammography + Ultrasound 97% Breast density is the most important factor in determining the sensitivity of mammography (higher density in pre-menopause and HRT) Kolb et al Radiology 2002;225:165-175 Combined Mammography and Ultrasound
  • 50.
    Breast MRI Technical Requirements: •High-field breast MRI (1.5T or >) • Gadolinium-DTPA injection • Dedicated bilateral breast coil • Good fat suppression techniques • High-resolution 3D gradient echo pulse sequence
  • 51.
    Breast MRI: Indications •Screening of High-Risk Women • Contralateral Breast Cancer in Newly Diagnosed Breast Cancer • Lobular Cancer • Occult Breast Cancer • Close or Positive Surgical Margins • Post-operative Scar vs. Tumor Recurrence • Neo-Adjuvant Chemotherapy • Implants and Known or Suspected Cancer • Problematic Mammogram
  • 52.
    High Risk Screening AnnualBreast MRI and Mammography Screening is Recommended for Women Who Have: (Based on ACS Recomendations) • BRCA1 or BRCA2 gene mutation • First degree relative with BRCA1 or BRCA2 gene mutation and have not been tested themselves • Lifetime risk of breast cancer has been scored at 20-25% or greater, based on one of several accepted risk assessment tools that look at family history and other factors • Chest wall radiation between the ages of 10 and 30 yrs • Li-Fraumeni syndrome, Cowden syndrome, or Bannayan-Riley- Ruvalcaba syndrome, or may have one of these syndromes based on a history in a first-degree relative
  • 53.
    Clinical Indications Detection ofContralateral Breast Cancer in Newly Diagnosed Breast Cancer • 10% of women with breast cancer will develop a new tumor in the opposite breast with a negative mammogram and physical exam at the initial time of diagnosis • Finding cancers earlier may help women make treatment decision, potentially sparing additional surgery, radiation therapy and chemotherapy later • Contralateral breast cancers more often identified when index cancer was infiltrating lobular carcinoma AJR 2003, vol. 180:333-341 NEJM 2007 vol. 356,No. 13:1295-1303
  • 54.
    Clinical Indications Infiltrating LobularCarcinoma • Insidious cancer- Difficult to detect on mammography and physical exam • Multifocal / multi-centric in up to 35% of cases and bilateral in 10% • Frequent cause of positive lumpectomy margins
  • 55.
    Clinical Indications Occult BreastCancer • About 0.3% of breast cancers present with malignant axillary lymph nodes, but normal breast examination and mammogram • Mastectomy standard treatment for occult malignancy • Up to 2/3 can be localized with MRI allowing breast conservation surgery
  • 56.
    Clinical Indications Close orPositive Surgical Margins • Up to 50% of lumpectomies have inadequate margins, requiring additional resection • MRI can locate residual or additional tumor foci • Applied pre-operatively, MR significantly decreases re-operations
  • 57.
    Clinical Indications Implants andKnown or Suspected Cancer • MRI is not affected by implants or silicone • Improves diagnostic confidence • Allows guided needle biopsy • Women with history of silicone injections can benefit from MRI screening
  • 58.
    Contrast Enhanced BreastMRI • Based on the fact that a carcinoma is usually well vascularized. Thus a contrast medium will quickly accumulate in the tumor. • The evaluation consists of finding suspicious regions in the images, calculating the absorption of contrast-medium in those regions, and deriving the diagnosis from that data Without contrast With contrast
  • 59.
    Breast MRI • Breastcancers are usually irregular in shape and heterogeneous in their enhancement on MRI • Both mammography and USG have limitations in the evaluation of the chest wall. MRI is able to visualize the entirety of the chest wall. Enhancement of the pectoralis and intercostal muscles is indicative of chest wall invasion in patients with a posterior breast tumor
  • 60.
    Baum F, FischerU. Eur Radiol 2002 0 1 2 Morphology round, oval, lobulated linear, dendritic, stellate _ Margins well defined ill defined _ Pattern homogeneous inhomogeneous rim enhancement Signal intensity low (<50%) moderate (50-100%) high (>100%) Curve continuous plateau wash out SCORE DIAGNOSTIC VALUE 0-1 Benign 2 Probably benign 3 Probably benign 4-5 Suspicious for malignancy 6-8 Highly suggestive for malignancy Fischer score BREAST MRI
  • 61.
    Benefits of BreastMRI • Can image breast implants and ruptures • Highly sensitive to small abnormalities • Used effectively in dense breasts • Can evaluate inverted nipples for evidence of cancer • May detect breast cancer recurrences and residual tumors after lumpectomy • Can locate primary tumor in women whose cancer has spread to axillary (armpit) lymph nodes • Can spot or characterize small abnormalities missed by mammography • May be useful in screening women at high risk for breast cancer, according to recent studies
  • 62.
    Limitations of BreastMRI • MRI takes 30-60 minutes compared to 10-20 minutes for screening mammography • The cost of MRI is several times the cost of mammography • MRI requires the use of a contrast agent • MRI patients must tolerate any claustrophobia • MRI can be non-specific; often cannot distinguish between cancerous and non-cancerous tumors
  • 63.
    Sensitivity & Specificity MammogramVs Ultrasound Vs MRI Sensitivity Specificity Mammogram 82% 99% Ultrasound 86% 98% MRI 3T 100% 94% Haitham Elsamaloty et al . AJR 2009; 192:1142-1148, Increasing the accuracy of detection of Breast Cancer with 3-T MRI.
  • 64.
    Sensitivity and Specificityof Annual MRI, Mammography, Ultrasound and 6 Monthly CBE in High Risk Women AUTHOR MAMMOGRAPHY ULTRASOUND MRI CBE SENSITIVIT Y (%) SPECIFICIT Y (%) SENSITIVIT Y (%) SPECIFICIT Y (%) SENSITIVIT Y (%) SPECIFICITY (%) SENSITIVITY (%) SPECIFICIT Y (%) Kuhl et al 33 98 33 80 100 95 NS NS Tilanus- Linthorst et al 0 100 - - 100 95 NS NS Stoutjesdijk et al 42 96 - - 100 89 NS NS Podo et al 13 100 13 100 100 99 - - Morris et al NS NS - - 69 77 - - Kriege et al 40 95 - - 71 90 18 98 Warner et al 36 100 33 96 77 95 9 99 Cancer Imaging 2005; 5(1): 32-38
  • 65.
    Ref: websites ofvarious groups