Image Processing in Lung Cancer
Screening and Treatment
Wookjin Choi, PhD
Introduction
Lung cancer is the leading cause of cancer deaths.
Most patients diagnosed with lung cancer already have advanced
disease
40% are stage IV and 30% are III
The current five-year survival rate is only 16%
(a) male (b) female
Trends in death rates for selected cancers, United States, 1930-2008 2
Lung cancer screening and treatment
Lung Cancer
Screening
• Nodule detection
and diagnosis
• Biopsy
• …
Lung Cancer
Treatment
• Surgery
• Chemotherapy
• Radiotherapy
• Tumor Response
• …
Computer-Aided De
tection (CADe) and
Diagnosis (CADx)
Image-guided Radiot
herapy and Quantitat
ive Assessment
3
Image processing in Lung cancer screening and
treatment
Feature Extraction and Analysis
Nodule (tumor) segmentation
Lung segmentation
Image Registration
4
Lung Segmentation
• Thresholding
– Fixed threshold
– Optimal threshold
– 3-D adaptive fuzzy thresholding
• Lung region extraction
– 3-D connectivity with seed point
– 3-D connected component
labeling
• Contour correction
– Morphological dilation
– Rolling ball algorithm
– Chain code representation
5
Lung Segmentation
6
Lung CAD
COMPUTER-AIDED
DETECTION AND DIAGNOSIS
7
Detecting Lung Cancer is hard
8
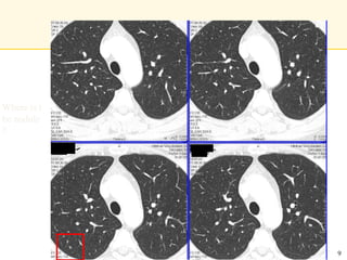
Where is t
he nodule
?
9
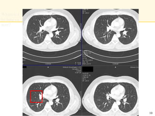
Where is t
he lung ca
ncer?
10
Where is t
he lung ca
ncer?
11
Computer Aided Detection
12
Pulmonary Nodule Detection CAD system
CAD systems Lung segmentation Nodule Candidate Detection False Positive Reduction
Suzuki et al.(2003)[3] Thresholding Multiple thresholding MTANN
Rubin et al.(2005)[4] Thresholding Surface normal overlap
Lantern transform and rule-
based classifier
Dehmeshki et al.(2007)[5] Adaptive thresholding Shape-based GATM Rule-based filtering
Suarez-Cuenca et al.(2009)[6]
Thresholding and 3-D
connected component
labeling
3-D iris filtering
Multiple rule-based LDA
classifier
Golosio et al.(2009)[7] Isosurface-triangulation Multiple thresholding Neural network
Ye et al.(2009)[8]
3-D adaptive fuzzy
segmentation
Shape based detection
Rule-based filtering and
weighted SVM classifier
Sousa et al.(2010)[9] Region growing Structure extraction SVM classifier
Messay et al.(2010)[10]
Thresholding and 3-D
connected component
labeling
Multiple thresholding and
morphological opening
Fisher linear discriminant and
quadratic classifier
Riccardi et al.(2011)[11] Iterative thresholding
3-D fast radial filtering and
scale space analysis
Zernike MIP classification
based on SVM
Cascio et al.(2012)[12] Region growing Mass-spring model
Double-threshold cut and
neural network 13
Genetic Programming based Classifier
Wook-Jin Choi, Tae-Sun Choi, “Genetic programming-based feature transform and classification for the automatic detection of pulmonary nodules on
computed tomography images”, Information Sciences, Vol. 212, pp. 57-78, December 2012, doi: http://dx.doi.org/10.1016/j.ins.2012.05.008
Feature spaces for four types of features
2-D geometric feature 3-D geometric feature
2-D intensity-based statistical feature 3-D intensity-based statistical feature
Genetic programming classifier learning
Classification space
GP based classification expression in tree shape
Optimal multi-thresholding based Nodule candidates de
tection.
14
Hierarchical Block-image Analysis
Wook-Jin Choi, Tae-Sun Choi, “Automated Pulmonary Nodule Detection System in Computed Tomography Images: A Hierarchical Block
Classification Approach”, Entropy, Vol. 15, No. 2, pp. 507-523, February 2013, doi:http://dx.doi.org/10.3390/e15020507
ROC curves of the SVM classifiers with respect to three different kernel functions,
SVM-r: radial basis function, SVM-p: polynomial function, and SVM-m:
Minkowski distance function; (a) p = 0:25 and (b) p = 1.
Result images after block splitting with respect to various block sizes
The entropy histograms of block-images for five different block sizes
(x-axis : entropy value, y-axis : number of blocks, (a) 32, (b) 24, (c) 16, (d) 12, and (e) 8)
15
θ φ
θ φ
Three-dimensional Shape-based Feature Descriptor
Wook-Jin Choi, Tae-Sun Choi, “Automated Pulmonary Nodule Detection based on Three-dimensional Shape-based Feature Descriptor”, Computer
Methods and Programs in Biomedicine, Vol. 113, No. 1, January 2014, pp. 37–54, doi: http://dx.doi.org/10.1016/j.cmpb.2013.08.015
Surface saliency weighted surface
normal vectors
Two angular histograms of the
surface normal vectors
θ φ
ROC curves of the SVM classifiers with respect to three different kernel
functions, SVM-r: radial basis function, SVM-p: polynomial function,
and SVM-m: Minkowski distance function; (a) p = 0:25 and (b) p = 1.
FROC curves of the proposed CAD system with
respect to three different dimensions of AHSN
features
θ φ
θ φ
Feature optimization with wall detection a
nd elimination algorithm
3D shape-based feature descriptor
High surface saliency
value
Low surface saliency
value
16
Comparative Analysis
0
0.1
0.2
0.3
0.4
0.5
0.6
0.7
0.8
0.9
1
0 2 4 6 8 10 12 14 16
Overallsensitivity
False positives per scan
Suzuki et al. (2003)
Dehmeshki et al. (2007)
Suarez-Cuenca et al.
(2009)
Golosio et al. (2009)
Ye et al. (2009)
Messay et al. (2010)
Riccardi et al. (2011)
Cascio et al. (2012)
Choi et al. (2012)
Choi et al. (2013)
Choi et al. (2014)
17
Computer Aided Diagnosis
Once the lung nodules are detected and segmented from the
corresponding chest images
The next task is to determine whether the detected nodules
are malignant or benign
The malignancy of lung nodules correlates highly with
Geometrical size
Shape
Appearance descriptors
Ayman El-Baz, Garth M. Beache, Georgy Gimel'farb, et al., “Computer-Aided Diagnosis Systems for Lung Cancer: Challenges and Metho
dologies,” International Journal of Biomedical Imaging, vol. 2013, Article ID 942353, 46 pages, 2013. doi:10.1155/2013/942353 18
Computer Aided Diagnosis
Typical computer-aided diagnosis (CAD) system for lung cancer. The input of a CAD system i
s the medical images obtained using an appropriate modality. A lung segmentation step is used
to reduce the search space for lung nodules. Nodule detection is used to identify the locations
of lung nodules. The detected nodules are segmented. Then, a candidate set of features, such a
s volume, shape, and/or appearance features, are extracted and used for diagnosis.
Ayman El-Baz, Garth M. Beache, Georgy Gimel'farb, et al., “Computer-Aided Diagnosis Systems for Lung Cancer: Challenges and Meth
odologies,” International Journal of Biomedical Imaging, vol. 2013, Article ID 942353, 46 pages, 2013. doi:10.1155/2013/942353 19
Computer Aided Diagnosis
Ayman El-Baz, Garth M. Beache, Georgy Gimel'farb, et al., “Computer-Aided Diagnosis Systems for Lung Cancer: Challenges and Meth
odologies,” International Journal of Biomedical Imaging, vol. 2013, Article ID 942353, 46 pages, 2013. doi:10.1155/2013/942353
Study Purpose Method Database Observations
Jennings
et al.
To retrospectively
determine the distribution
of stage I lung cancer
growth rates with serial
volumetric CT
Volumetric
measurement
149
patients
At serial volumetric CT measurements, there was wide
variability in growth rates. Some biopsy-proved cancers
decreased in volume between examinations
Zheng et
al.
To simultaneously segment
and register lung and
tumor in serial CT data
Nonrigid
transformation
on lung
deformation and
rigid structure
on the tumor
6 volumes
of 3
patients,
83 nodules
The mean error of boundary distances between automatic
segmented boundaries of lung tumors and manual
segmentation is 3.50 pixels. The mean and variance of
percentages of the nodule volume variations caused by
errors in segmentation are 0.8 and 0.6
Marchian
ò et al.
To assess in vivo
volumetric repeatability of
an automated algorithm for
volume estimation.
Semiautomatic
volumetric
measurement
101
subjects,
233
nodules
The 95% confidence interval for difference in measured
volumes was in the range of ±27%. About 70% of
measurements had a relative difference in nodule volume
of less than 10%
El-Baz et
al.
To monitor the
development of lung
nodules
Global and local
registration, GR
volumetric
measurement
135 LDCT
from 27
subjects,
27 nodules
All the 27 nodules are correctly classified based on GR
measurements over 12 months
Growth-rate-based methodologies for following up pulmonary nodules.
20
Computer Aided Diagnosis
Ayman El-Baz, Garth M. Beache, Georgy Gimel'farb, et al., “Computer-Aided Diagnosis Systems for Lung Cancer: Challenges and Meth
odologies,” International Journal of Biomedical Imaging, vol. 2013, Article ID 942353, 46 pages, 2013. doi:10.1155/2013/942353
Study Purpose Method Database Observations
Suzuki et al.
To classify nodules into
Benign or Malignant
Multiple MTANNs using
pixel values in
a subregion
Thick-slice (10 mm) screening
LDCT scans of
76 M and 413 Bnodules
= 0.88 in a leave-one-
out test
Iwano et al.
To classify nodules into
benign or malignant
LDA based on nodule's
circularity and second
moment features
HRCT (0.5–1 mm slice) scans of
52 Mand 55 B nodules
Sensitivity of 76.9% and
a specificity of 80%
Way et al.
To classify nodules into
benign or malignant
LDA or SVM with
stepwise feature selection
CT scans of 124 Mand
132 B nodules in 152 patients
= 0.857 in a leave-one-
out test
Chen et al.
To classify nodules into
benign or malignant
ANN ensemble
CT scans (slice thickness of 2.5
or 5 mm) of 19 M and
13B nodules
= 0.915 in a leave-one-
out test
Lee et al.
To classify nodules into
benign or malignant
GA-based feature
selection and a random
subspace method
Thick-slice (5 mm) CT scans of
62 M and 63 B nodules
= 0.889 in a leave-one-
out test
El-Baz et al.
To classify nodules into
benign or malignant
Analysis of the spatial
distribution of the nodule
Hounsfield values
CT scans (2 mm slice) of
51 M and 58 B nodules
Sensitivity of 92.3% and
a specificity of 96.6%
Classification between malignant (M) and benign (B) nodules based on shape and appearance features.
21
Lung CAD
IMAGE-GUIDED RADIATION
THERAPY
22
Image-Guided Radiotherapy
Gupta T, Narayan C A, Image-guided radiation therapy: Physician's perspectives, J Med Phys
Tumor Segmen
tation
Registration
Feature Extracti
on and Analysis
Registration
Registration
Tumor Segmen
tation
23
Radiotherapy and lung cancer
The efficacy and safety of RT reflect the interplay
between
• Total dose delivered to the malignant tumor
• The rate of dose delivery (daily fractionation)
• The volume (and type) of tumor-bearing organ irradiated.
• The intrinsic tolerance of the tissue irradiated
24
4D CT
Excellent for taking into account
respiratory motion
Takes a set of CT images and
sorts them to represent each
phase of the breathing cycle
Box with infrared reflectors on
abdomen, set up infrared camera
to capture movement
Why is 4D CT important?
Same slice in different
phases of the breathing
cycle showing tumor
movement
26
Is 4DCT Worthwhile?
Underberg, R.W.M., Lagerwaard, F.J., Cuijpers, J.P., Slotman, B.J., Van Sornsen de Koste, J.R.,Senan, S. (2004). Four-Dimensional CT Scan
s for Treatment Planning in Stereotactic Radiotherapy for Stage 1 Lung Cancer, International Journal of Radiation Oncology Biology Physics 27
Gating
• Utilize 4DCT scan to get brea
thing pattern
• Determine a phase of the bre
athing cycle to treat during, p
lan on that scan Only
• Monitor treatment with respi
ratory motion
• when patient’s breathing
enters the selected part o
f the breathing cycle, tre
atment is delivered
Varian RPM system
28
Stereotactic body radiotherapy (SBRT)
 Modeled after brain radiosurgery principles
• Multiple convergent beams
• Rigid patient immobilization
• Precise localization via stereotactic coordinate system
• Single fraction treatment
• Size-restriction for target
29
Anatomic Tumor Response Assessment in CT or MRI
Imaging as Surrogate for
Survival or progression-free survival
Response rate, time to tumor progression
RECIST criteria based on longest diameter
Complete response (CR): disappear
Partial response (PR): ≥ 50% decrease
Stable disease (SD): others
Progressive disease (PD): ≥ 25% increase or new
Tumor size change does not occur or does not occur early in
some effective treatments
30
Metabolic Tumor Response Assessment in FDG-PET
Strong correlation between FDG uptake and cancer cell
number
Metabolic (functional) change may occur earlier and more
markedly than tumor size change
Qualitative evaluation plus semi-quantitative assessment
with SUV or SUL
31
Wahl, J Nucl Med. 50(Suppl 1): 122S–150S.
Large decline in SUL (-41%) despite stable pancreatic mass anatomically (a
rrows)  Partial metabolic response.
PET/CT for Tumor Response: An Example in Pancre
atic Tumor
32
Qualitative (Visual) PET Response Evaluation
Distribution and intensity of FDG uptake in tumor are
compared with uptake in normal tissues
Changes are visually evaluated
Requires clinical experience, disease patterns
Performs well in conversion of markedly positive PET scan to totally
negative scan
Moderate inter-observer variation
Difficult to detect small changes
33
Semi-Quantitative PET Response Assessment
SUV is most widely used
SUL is more consistent across patients
ROI selection
Maximal pixel: SUVmax, not as reproducible
Manual contour
Small fixed region ~1 cm3: SUVpeak
Fixed percentage isocontour: 40%, 50%
Fixed threshold: SUV = 2.5
3×SD above background (typically liver)
34
PERCIST Criteria
SULpeak of the hottest tumor
PERCIST criteria
CMR: normalize to background level
PMR: ≥ 30% decrease and ≥ 0.8 unit in SUL
SMR: others
PMD: ≥ 30% increase and ≥ 0.8 unit in SUL or visible increase in extent
of uptake (75% in TLG) with no decline in SUL, or new FDG-avid lesion
35
FDG Uptake Shows Spatial Variation
Belhassen and Zaidi 2010. Med Phys
Zhao, et al. 2005. J Nucl Med
36
Quantitative PET/CT analysis framework
Extract spatial-temporal image features:
Intensity distribution (histogram)
Spatial variations (texture)
Geometric properties (shape, structure)
Temporal changes due to therapy
Construct response models using machine learning
techniques with multiple features
Feature selection
Support vector machine
Cross-validation
37
• Region growing
• Morphology filter
• Multi-modality im
age segmentation
• ITK
• Intensity distribution
• Spatial variations
• Geometric properties
• > 100 features for each
tumor
• ITK
• ROC analyses
• Tumor response
• Survival
• Matlab
Tumor
Segmentation
Image
Registration
Feature
Extraction
Predicting
Ability
• Multi-level rigid
• Pre/Post-CT
• ITK
Extracting Spatial-Temporal FDG-PET Features for
Tumor Response Evaluation
38
Registration
Article Type of
Registration Abnormality Treatme
nt Scanning Time
Aristophanous
et al. Rigid NSCLC RT Before and after
treatment
Necib et al. Rigid Metastatic
colorectal cancer CTx Before and after
treatment
Tan et al. Rigid Esophageal Cancer CRT Before and after
treatment
Vera et al. Rigid Esophageal cancer CRT Before and during
treatment
Cannon et al. Deformable
(Demons)
Head and neck
cancer
RT or
CRT
Before and after
treatment
Roels et al. Deformable
(B-Spline) Rectal Cancer CRT Before, during and
after treatment
van Velden et al. Deformable
Advanced
colorectal
carcinoma
CTx Before and after
treatment
PET/CT based tumor response assessment studies using rigid registration, deformable registration or the combinatio
n of rigid and deformable registration algorithms. 39
Tumor Segmentation
Tumor segmentation can be performed either manually by
physicians or (semi-)automatically using image analysis
tools.
The accuracy of a tumor segmentation method is often hard
to evaluate in patients due to the lack of ground truth.
In response evaluation that involves two or more serial image
studies
The reproducibility of a segmentation method is as important as its
accuracy
40
Multi-modality adaptive region-growing (MARG)
A sharp volume increase occurred at an f where the region
just grows into the background (normal tissue)
f was identified by fitting the curve and calculating curvature
Tumor A
rea
Background Area
f
41
MARG: Results on a NSCLC Dataset from AAPM
TG211
Pathologic tumor v
olume
MARG results50% threshold res
ult
• For 10 patients, MARG (Dice = 0.69), slightly higher accuracy than thresh
olding methods (Dice = 0.67)
• Accuracy limited by the reliability of 3D pathologic tumor volume reconstr
uction and its alignment with PET/CT images 42
Spatial-Temporal FDG-PET Features for Predicting
Pathologic Tumor Response
A new SUV intensity feature - Skewness
pre-CRT
• Top: responder, more skewed (fewer hig
her SUVs)
• Bottom: non-responder, less skewed (mo
re higher SUVs)
Three texture features post-CRT – Inertia, Co
rrelation, and Cluster Prominence
• Top: responder, homogeneous FDG uptake p
ost-CRT
• Bottom: non-responder, heterogeneous FDG
uptake post-CRT
43
Accuracy of Individual Spatial-Temporal FDG-PET
Features
44
FDG-PET Histogram Distances for Predicting
Pathologic Tumor Response
• A responder shows larger histogram dista
nce from pre-CRT to post-CRT
• A non-responder shows smaller histogra
m distance
45
Accuracy of Individual Histogram Distances
7 bin-to-bin and 7 cross-bin histogram distances have high
er AUCs than conventional PET/CT response measures
46
Modeling Tumor Response – Model Construction
and Evaluation with Cross-Validation
47
Results
20 patients with esophageal cancer. Model predicts
pathologic response to chemoradiotherapy (CRT)
SVM model with 17 selected features from all feature groups:
AUC = 1.0, sensitivity = 100%, specificity = 100%
Models with conventional PET/CT response measures or
clinical parameters: AUCs < 0.75
48
Conclusions
Image processing in Lung cancer screening and
treatment
Computer aided detection and diagnosis
• Lung segmentation
• Nodule detection and segmentation
• Feature extraction and analysis
Image-guided radiotherapy
• Registration
– CT/CT, PET/CT
• Tumor segmentation
• Feature extraction and analysis
49
Future works
Validate the accuracy of image registration and tumor segmentation
methods
The usefulness of image features, and the generalizability of
response models
often developed on small retrospective datasets in large retrospective and
prospective datasets.
Clinic and biologic interpretation of the advanced PET/CT image
features
For physicians and biologists
Challenges for implementing the quantitative PET/CT image
analysis for tumor response evaluation
Delineating the tumor volume in multi-modality (PET/CT) images
Identifying a few features that truly capture biological changes correlated with
tumor response for a specific disease and therapy
Validating the results in large, multi-center patient datasets, vendor
implementation and ultimately clinic acceptance
Thank you

Image processing in lung cancer screening and treatment

  • 1.
    Image Processing inLung Cancer Screening and Treatment Wookjin Choi, PhD
  • 2.
    Introduction Lung cancer isthe leading cause of cancer deaths. Most patients diagnosed with lung cancer already have advanced disease 40% are stage IV and 30% are III The current five-year survival rate is only 16% (a) male (b) female Trends in death rates for selected cancers, United States, 1930-2008 2
  • 3.
    Lung cancer screeningand treatment Lung Cancer Screening • Nodule detection and diagnosis • Biopsy • … Lung Cancer Treatment • Surgery • Chemotherapy • Radiotherapy • Tumor Response • … Computer-Aided De tection (CADe) and Diagnosis (CADx) Image-guided Radiot herapy and Quantitat ive Assessment 3
  • 4.
    Image processing inLung cancer screening and treatment Feature Extraction and Analysis Nodule (tumor) segmentation Lung segmentation Image Registration 4
  • 5.
    Lung Segmentation • Thresholding –Fixed threshold – Optimal threshold – 3-D adaptive fuzzy thresholding • Lung region extraction – 3-D connectivity with seed point – 3-D connected component labeling • Contour correction – Morphological dilation – Rolling ball algorithm – Chain code representation 5
  • 6.
  • 7.
  • 8.
  • 9.
    Where is t henodule ? 9
  • 10.
    Where is t helung ca ncer? 10
  • 11.
    Where is t helung ca ncer? 11
  • 12.
  • 13.
    Pulmonary Nodule DetectionCAD system CAD systems Lung segmentation Nodule Candidate Detection False Positive Reduction Suzuki et al.(2003)[3] Thresholding Multiple thresholding MTANN Rubin et al.(2005)[4] Thresholding Surface normal overlap Lantern transform and rule- based classifier Dehmeshki et al.(2007)[5] Adaptive thresholding Shape-based GATM Rule-based filtering Suarez-Cuenca et al.(2009)[6] Thresholding and 3-D connected component labeling 3-D iris filtering Multiple rule-based LDA classifier Golosio et al.(2009)[7] Isosurface-triangulation Multiple thresholding Neural network Ye et al.(2009)[8] 3-D adaptive fuzzy segmentation Shape based detection Rule-based filtering and weighted SVM classifier Sousa et al.(2010)[9] Region growing Structure extraction SVM classifier Messay et al.(2010)[10] Thresholding and 3-D connected component labeling Multiple thresholding and morphological opening Fisher linear discriminant and quadratic classifier Riccardi et al.(2011)[11] Iterative thresholding 3-D fast radial filtering and scale space analysis Zernike MIP classification based on SVM Cascio et al.(2012)[12] Region growing Mass-spring model Double-threshold cut and neural network 13
  • 14.
    Genetic Programming basedClassifier Wook-Jin Choi, Tae-Sun Choi, “Genetic programming-based feature transform and classification for the automatic detection of pulmonary nodules on computed tomography images”, Information Sciences, Vol. 212, pp. 57-78, December 2012, doi: http://dx.doi.org/10.1016/j.ins.2012.05.008 Feature spaces for four types of features 2-D geometric feature 3-D geometric feature 2-D intensity-based statistical feature 3-D intensity-based statistical feature Genetic programming classifier learning Classification space GP based classification expression in tree shape Optimal multi-thresholding based Nodule candidates de tection. 14
  • 15.
    Hierarchical Block-image Analysis Wook-JinChoi, Tae-Sun Choi, “Automated Pulmonary Nodule Detection System in Computed Tomography Images: A Hierarchical Block Classification Approach”, Entropy, Vol. 15, No. 2, pp. 507-523, February 2013, doi:http://dx.doi.org/10.3390/e15020507 ROC curves of the SVM classifiers with respect to three different kernel functions, SVM-r: radial basis function, SVM-p: polynomial function, and SVM-m: Minkowski distance function; (a) p = 0:25 and (b) p = 1. Result images after block splitting with respect to various block sizes The entropy histograms of block-images for five different block sizes (x-axis : entropy value, y-axis : number of blocks, (a) 32, (b) 24, (c) 16, (d) 12, and (e) 8) 15
  • 16.
    θ φ θ φ Three-dimensionalShape-based Feature Descriptor Wook-Jin Choi, Tae-Sun Choi, “Automated Pulmonary Nodule Detection based on Three-dimensional Shape-based Feature Descriptor”, Computer Methods and Programs in Biomedicine, Vol. 113, No. 1, January 2014, pp. 37–54, doi: http://dx.doi.org/10.1016/j.cmpb.2013.08.015 Surface saliency weighted surface normal vectors Two angular histograms of the surface normal vectors θ φ ROC curves of the SVM classifiers with respect to three different kernel functions, SVM-r: radial basis function, SVM-p: polynomial function, and SVM-m: Minkowski distance function; (a) p = 0:25 and (b) p = 1. FROC curves of the proposed CAD system with respect to three different dimensions of AHSN features θ φ θ φ Feature optimization with wall detection a nd elimination algorithm 3D shape-based feature descriptor High surface saliency value Low surface saliency value 16
  • 17.
    Comparative Analysis 0 0.1 0.2 0.3 0.4 0.5 0.6 0.7 0.8 0.9 1 0 24 6 8 10 12 14 16 Overallsensitivity False positives per scan Suzuki et al. (2003) Dehmeshki et al. (2007) Suarez-Cuenca et al. (2009) Golosio et al. (2009) Ye et al. (2009) Messay et al. (2010) Riccardi et al. (2011) Cascio et al. (2012) Choi et al. (2012) Choi et al. (2013) Choi et al. (2014) 17
  • 18.
    Computer Aided Diagnosis Oncethe lung nodules are detected and segmented from the corresponding chest images The next task is to determine whether the detected nodules are malignant or benign The malignancy of lung nodules correlates highly with Geometrical size Shape Appearance descriptors Ayman El-Baz, Garth M. Beache, Georgy Gimel'farb, et al., “Computer-Aided Diagnosis Systems for Lung Cancer: Challenges and Metho dologies,” International Journal of Biomedical Imaging, vol. 2013, Article ID 942353, 46 pages, 2013. doi:10.1155/2013/942353 18
  • 19.
    Computer Aided Diagnosis Typicalcomputer-aided diagnosis (CAD) system for lung cancer. The input of a CAD system i s the medical images obtained using an appropriate modality. A lung segmentation step is used to reduce the search space for lung nodules. Nodule detection is used to identify the locations of lung nodules. The detected nodules are segmented. Then, a candidate set of features, such a s volume, shape, and/or appearance features, are extracted and used for diagnosis. Ayman El-Baz, Garth M. Beache, Georgy Gimel'farb, et al., “Computer-Aided Diagnosis Systems for Lung Cancer: Challenges and Meth odologies,” International Journal of Biomedical Imaging, vol. 2013, Article ID 942353, 46 pages, 2013. doi:10.1155/2013/942353 19
  • 20.
    Computer Aided Diagnosis AymanEl-Baz, Garth M. Beache, Georgy Gimel'farb, et al., “Computer-Aided Diagnosis Systems for Lung Cancer: Challenges and Meth odologies,” International Journal of Biomedical Imaging, vol. 2013, Article ID 942353, 46 pages, 2013. doi:10.1155/2013/942353 Study Purpose Method Database Observations Jennings et al. To retrospectively determine the distribution of stage I lung cancer growth rates with serial volumetric CT Volumetric measurement 149 patients At serial volumetric CT measurements, there was wide variability in growth rates. Some biopsy-proved cancers decreased in volume between examinations Zheng et al. To simultaneously segment and register lung and tumor in serial CT data Nonrigid transformation on lung deformation and rigid structure on the tumor 6 volumes of 3 patients, 83 nodules The mean error of boundary distances between automatic segmented boundaries of lung tumors and manual segmentation is 3.50 pixels. The mean and variance of percentages of the nodule volume variations caused by errors in segmentation are 0.8 and 0.6 Marchian ò et al. To assess in vivo volumetric repeatability of an automated algorithm for volume estimation. Semiautomatic volumetric measurement 101 subjects, 233 nodules The 95% confidence interval for difference in measured volumes was in the range of ±27%. About 70% of measurements had a relative difference in nodule volume of less than 10% El-Baz et al. To monitor the development of lung nodules Global and local registration, GR volumetric measurement 135 LDCT from 27 subjects, 27 nodules All the 27 nodules are correctly classified based on GR measurements over 12 months Growth-rate-based methodologies for following up pulmonary nodules. 20
  • 21.
    Computer Aided Diagnosis AymanEl-Baz, Garth M. Beache, Georgy Gimel'farb, et al., “Computer-Aided Diagnosis Systems for Lung Cancer: Challenges and Meth odologies,” International Journal of Biomedical Imaging, vol. 2013, Article ID 942353, 46 pages, 2013. doi:10.1155/2013/942353 Study Purpose Method Database Observations Suzuki et al. To classify nodules into Benign or Malignant Multiple MTANNs using pixel values in a subregion Thick-slice (10 mm) screening LDCT scans of 76 M and 413 Bnodules = 0.88 in a leave-one- out test Iwano et al. To classify nodules into benign or malignant LDA based on nodule's circularity and second moment features HRCT (0.5–1 mm slice) scans of 52 Mand 55 B nodules Sensitivity of 76.9% and a specificity of 80% Way et al. To classify nodules into benign or malignant LDA or SVM with stepwise feature selection CT scans of 124 Mand 132 B nodules in 152 patients = 0.857 in a leave-one- out test Chen et al. To classify nodules into benign or malignant ANN ensemble CT scans (slice thickness of 2.5 or 5 mm) of 19 M and 13B nodules = 0.915 in a leave-one- out test Lee et al. To classify nodules into benign or malignant GA-based feature selection and a random subspace method Thick-slice (5 mm) CT scans of 62 M and 63 B nodules = 0.889 in a leave-one- out test El-Baz et al. To classify nodules into benign or malignant Analysis of the spatial distribution of the nodule Hounsfield values CT scans (2 mm slice) of 51 M and 58 B nodules Sensitivity of 92.3% and a specificity of 96.6% Classification between malignant (M) and benign (B) nodules based on shape and appearance features. 21
  • 22.
  • 23.
    Image-Guided Radiotherapy Gupta T,Narayan C A, Image-guided radiation therapy: Physician's perspectives, J Med Phys Tumor Segmen tation Registration Feature Extracti on and Analysis Registration Registration Tumor Segmen tation 23
  • 24.
    Radiotherapy and lungcancer The efficacy and safety of RT reflect the interplay between • Total dose delivered to the malignant tumor • The rate of dose delivery (daily fractionation) • The volume (and type) of tumor-bearing organ irradiated. • The intrinsic tolerance of the tissue irradiated 24
  • 25.
    4D CT Excellent fortaking into account respiratory motion Takes a set of CT images and sorts them to represent each phase of the breathing cycle Box with infrared reflectors on abdomen, set up infrared camera to capture movement
  • 26.
    Why is 4DCT important? Same slice in different phases of the breathing cycle showing tumor movement 26
  • 27.
    Is 4DCT Worthwhile? Underberg,R.W.M., Lagerwaard, F.J., Cuijpers, J.P., Slotman, B.J., Van Sornsen de Koste, J.R.,Senan, S. (2004). Four-Dimensional CT Scan s for Treatment Planning in Stereotactic Radiotherapy for Stage 1 Lung Cancer, International Journal of Radiation Oncology Biology Physics 27
  • 28.
    Gating • Utilize 4DCTscan to get brea thing pattern • Determine a phase of the bre athing cycle to treat during, p lan on that scan Only • Monitor treatment with respi ratory motion • when patient’s breathing enters the selected part o f the breathing cycle, tre atment is delivered Varian RPM system 28
  • 29.
    Stereotactic body radiotherapy(SBRT)  Modeled after brain radiosurgery principles • Multiple convergent beams • Rigid patient immobilization • Precise localization via stereotactic coordinate system • Single fraction treatment • Size-restriction for target 29
  • 30.
    Anatomic Tumor ResponseAssessment in CT or MRI Imaging as Surrogate for Survival or progression-free survival Response rate, time to tumor progression RECIST criteria based on longest diameter Complete response (CR): disappear Partial response (PR): ≥ 50% decrease Stable disease (SD): others Progressive disease (PD): ≥ 25% increase or new Tumor size change does not occur or does not occur early in some effective treatments 30
  • 31.
    Metabolic Tumor ResponseAssessment in FDG-PET Strong correlation between FDG uptake and cancer cell number Metabolic (functional) change may occur earlier and more markedly than tumor size change Qualitative evaluation plus semi-quantitative assessment with SUV or SUL 31
  • 32.
    Wahl, J NuclMed. 50(Suppl 1): 122S–150S. Large decline in SUL (-41%) despite stable pancreatic mass anatomically (a rrows)  Partial metabolic response. PET/CT for Tumor Response: An Example in Pancre atic Tumor 32
  • 33.
    Qualitative (Visual) PETResponse Evaluation Distribution and intensity of FDG uptake in tumor are compared with uptake in normal tissues Changes are visually evaluated Requires clinical experience, disease patterns Performs well in conversion of markedly positive PET scan to totally negative scan Moderate inter-observer variation Difficult to detect small changes 33
  • 34.
    Semi-Quantitative PET ResponseAssessment SUV is most widely used SUL is more consistent across patients ROI selection Maximal pixel: SUVmax, not as reproducible Manual contour Small fixed region ~1 cm3: SUVpeak Fixed percentage isocontour: 40%, 50% Fixed threshold: SUV = 2.5 3×SD above background (typically liver) 34
  • 35.
    PERCIST Criteria SULpeak ofthe hottest tumor PERCIST criteria CMR: normalize to background level PMR: ≥ 30% decrease and ≥ 0.8 unit in SUL SMR: others PMD: ≥ 30% increase and ≥ 0.8 unit in SUL or visible increase in extent of uptake (75% in TLG) with no decline in SUL, or new FDG-avid lesion 35
  • 36.
    FDG Uptake ShowsSpatial Variation Belhassen and Zaidi 2010. Med Phys Zhao, et al. 2005. J Nucl Med 36
  • 37.
    Quantitative PET/CT analysisframework Extract spatial-temporal image features: Intensity distribution (histogram) Spatial variations (texture) Geometric properties (shape, structure) Temporal changes due to therapy Construct response models using machine learning techniques with multiple features Feature selection Support vector machine Cross-validation 37
  • 38.
    • Region growing •Morphology filter • Multi-modality im age segmentation • ITK • Intensity distribution • Spatial variations • Geometric properties • > 100 features for each tumor • ITK • ROC analyses • Tumor response • Survival • Matlab Tumor Segmentation Image Registration Feature Extraction Predicting Ability • Multi-level rigid • Pre/Post-CT • ITK Extracting Spatial-Temporal FDG-PET Features for Tumor Response Evaluation 38
  • 39.
    Registration Article Type of RegistrationAbnormality Treatme nt Scanning Time Aristophanous et al. Rigid NSCLC RT Before and after treatment Necib et al. Rigid Metastatic colorectal cancer CTx Before and after treatment Tan et al. Rigid Esophageal Cancer CRT Before and after treatment Vera et al. Rigid Esophageal cancer CRT Before and during treatment Cannon et al. Deformable (Demons) Head and neck cancer RT or CRT Before and after treatment Roels et al. Deformable (B-Spline) Rectal Cancer CRT Before, during and after treatment van Velden et al. Deformable Advanced colorectal carcinoma CTx Before and after treatment PET/CT based tumor response assessment studies using rigid registration, deformable registration or the combinatio n of rigid and deformable registration algorithms. 39
  • 40.
    Tumor Segmentation Tumor segmentationcan be performed either manually by physicians or (semi-)automatically using image analysis tools. The accuracy of a tumor segmentation method is often hard to evaluate in patients due to the lack of ground truth. In response evaluation that involves two or more serial image studies The reproducibility of a segmentation method is as important as its accuracy 40
  • 41.
    Multi-modality adaptive region-growing(MARG) A sharp volume increase occurred at an f where the region just grows into the background (normal tissue) f was identified by fitting the curve and calculating curvature Tumor A rea Background Area f 41
  • 42.
    MARG: Results ona NSCLC Dataset from AAPM TG211 Pathologic tumor v olume MARG results50% threshold res ult • For 10 patients, MARG (Dice = 0.69), slightly higher accuracy than thresh olding methods (Dice = 0.67) • Accuracy limited by the reliability of 3D pathologic tumor volume reconstr uction and its alignment with PET/CT images 42
  • 43.
    Spatial-Temporal FDG-PET Featuresfor Predicting Pathologic Tumor Response A new SUV intensity feature - Skewness pre-CRT • Top: responder, more skewed (fewer hig her SUVs) • Bottom: non-responder, less skewed (mo re higher SUVs) Three texture features post-CRT – Inertia, Co rrelation, and Cluster Prominence • Top: responder, homogeneous FDG uptake p ost-CRT • Bottom: non-responder, heterogeneous FDG uptake post-CRT 43
  • 44.
    Accuracy of IndividualSpatial-Temporal FDG-PET Features 44
  • 45.
    FDG-PET Histogram Distancesfor Predicting Pathologic Tumor Response • A responder shows larger histogram dista nce from pre-CRT to post-CRT • A non-responder shows smaller histogra m distance 45
  • 46.
    Accuracy of IndividualHistogram Distances 7 bin-to-bin and 7 cross-bin histogram distances have high er AUCs than conventional PET/CT response measures 46
  • 47.
    Modeling Tumor Response– Model Construction and Evaluation with Cross-Validation 47
  • 48.
    Results 20 patients withesophageal cancer. Model predicts pathologic response to chemoradiotherapy (CRT) SVM model with 17 selected features from all feature groups: AUC = 1.0, sensitivity = 100%, specificity = 100% Models with conventional PET/CT response measures or clinical parameters: AUCs < 0.75 48
  • 49.
    Conclusions Image processing inLung cancer screening and treatment Computer aided detection and diagnosis • Lung segmentation • Nodule detection and segmentation • Feature extraction and analysis Image-guided radiotherapy • Registration – CT/CT, PET/CT • Tumor segmentation • Feature extraction and analysis 49
  • 50.
    Future works Validate theaccuracy of image registration and tumor segmentation methods The usefulness of image features, and the generalizability of response models often developed on small retrospective datasets in large retrospective and prospective datasets. Clinic and biologic interpretation of the advanced PET/CT image features For physicians and biologists Challenges for implementing the quantitative PET/CT image analysis for tumor response evaluation Delineating the tumor volume in multi-modality (PET/CT) images Identifying a few features that truly capture biological changes correlated with tumor response for a specific disease and therapy Validating the results in large, multi-center patient datasets, vendor implementation and ultimately clinic acceptance
  • 51.