Hemithorax White-out
RYAN SCHWERTNER MS3.
JAYANTH H. KESHAVAMURTHY M.D.
Case
 HPI: 28yo female with a history of poorly controlled type 1 diabetes,
chronic pancreatitis, and substance abuse presents to the ED with a 3 day
history of productive cough, chills, and nausea/vomiting. She was recently
discharged from the hospital 1 week ago following an episode of syncope
and hypoglycemia. She reported feeling “sick” the first few days following
discharge, but this feeling progressed to her current symptoms. During
first night of hospital stay patient had hematemesis with possible
aspiration
Case continued
 PMH: Type 1 diabetes, chronic pancreatitis, substance abuse
 Allergies: Ciprofloxacin, Levaquin
 Meds: Lantus, pantoprazole, pregabalin, valacyclovir, zofran
 Surgical Hx: Sinus surgery 2012, facial reconstruction 2007, c-section 2007,
I&D of deep abscess in soft tissue of neck
 FH: Noncontributory
 SH: Methamphetamine and opioid use. Smoker ½ ppd x 5 years
Case continued: Physical Exam
 Vitals:
 T: 39.4 C
 HR: 137
 RR: 22
 BP: 93/47
 SpO2: 100%
 General: NAD
 CV: Increased rate and regular rhythm, no murmurs, gallops, or rubs
 Resp: Tachypnic, coarse breath sounds throughout, no wheezes rhonchi or
crackles
 Remainder of exam is unremarkable
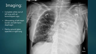
Imaging:
• Complete white-out of
left lung with air
bronchogram sign.
• Silhouetting of left heart
border and left hemi-
diaphragm
• Patchy ground glass
opacities in right lung
Differential Diagnosis: Hemithorax
white-out
 Can be narrowed down based on location of trachea
 Trachea pulled toward opacified side
 Pneumonectomy
 Total lung collapse
 Pulmonary agenesis/hypoplasia
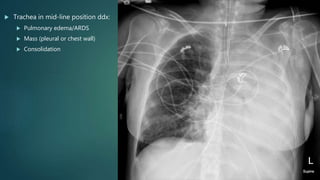
 Trachea in mid-line position
 Consolidation
 Pulmonary edema/ARDS
 Mass (pleural or chest wall)
 Trachea pushed away from opacified side
 Pleural effusion
 Diaphragmatic hernia
 Pulmonary mass
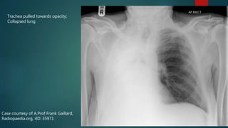
Case courtesy of A.Prof Frank Gaillard,
Radiopaedia.org, rID: 35971
Trachea pulled towards opacity:
Collapsed lung
Case courtesy of Dr Roberto
Schubert, Radiopaedia.org, rID:
16075
Trachea pushed away from opacity:
Pleural effusion
 Trachea in mid-line position ddx:
 Pulmonary edema/ARDS
 Mass (pleural or chest wall)
 Consolidation
Pulmonary edema
 Pulmonary edema is caused by excess fluid in the lungs
 Causes of unilateral pulmonary edema:
 Re-expansion pulmonary edema
 Unilateral emphysema
 Unilateral pulmonary embolism
 Positioning
 Radiological findings: Vary
 Upper lobe vessel cephalization and increased cardiac size (cardiogenic cause)
 Peri-bronchial cuffing and Kerley B lines (interstitial edema)
 Batwing airspace opacification and air bronchogram sign (alveolar edema)
Unilateral re-expansion pulmonary edema Air bronchogram sign in unilateral
pulmonary edema secondary to
aspiration while laying on right side
Upper lobe pulmonary venous
diversion Kerley B lines which
represent interlobular
septa
Chest wall or pleural mass
 If large enough, masses can cause hemithorax white-out
 Pleural mass – mesothelioma
 Chest wall mass – Ewing’s sarcoma
 Radiological findings:
 Vary by cause, can be nonspecific
 Can potentially displace adjacent structures
 Can cause rib destruction
Ewing’s sarcoma of chest wall
Case courtesy of Dr Ahmed Almuslim,
Radiopaedia.org, rID: 6918
Mesothelioma
Case courtesy of Frank Gaillard, Radiopaedia.org,
rID: 8705
Consolidation
 Consolidation is when the alveoli fill with dense material that causes
increased attenuation of x-rays
 Causes:
 Water
 Blood
 Pus
 Protein
 Radiological findings:
 Lung opacification
 Air bronchogram sign – air filled bronchi are visible due to the opacification of
surrounding alveoli
Our patient
 Trachea midline
 Air bronchogram sign
 No rib crowding
 Clinical history and exam
 Productive cough
 Potential aspiration
 Hospitalized recently
 Febrile
 Diagnosis: Pneumonia
 Treatment: Vancomycin, Zosyn,
Micafungin
References
 Kagele, Steven F., and Nirmal B. Charan. “Unilateral Pulmonary
Edema.” Chest, vol. 102, no. 4, 1992, pp. 1279–1280.,
doi:10.1378/chest.102.4.1279.
 Mullan, Charles P., et al. “Radiology of Chest Wall Masses.” American
Journal of Roentgenology, vol. 197, no. 3, 2011, doi:10.2214/ajr.10.7259.
 https://radiopaedia.org/articles/hemithorax-white-out-differential
 https://radiopaedia.org/articles/air-bronchogram

Hemithorax white out (1)

  • 1.
    Hemithorax White-out RYAN SCHWERTNERMS3. JAYANTH H. KESHAVAMURTHY M.D.
  • 2.
    Case  HPI: 28yofemale with a history of poorly controlled type 1 diabetes, chronic pancreatitis, and substance abuse presents to the ED with a 3 day history of productive cough, chills, and nausea/vomiting. She was recently discharged from the hospital 1 week ago following an episode of syncope and hypoglycemia. She reported feeling “sick” the first few days following discharge, but this feeling progressed to her current symptoms. During first night of hospital stay patient had hematemesis with possible aspiration
  • 3.
    Case continued  PMH:Type 1 diabetes, chronic pancreatitis, substance abuse  Allergies: Ciprofloxacin, Levaquin  Meds: Lantus, pantoprazole, pregabalin, valacyclovir, zofran  Surgical Hx: Sinus surgery 2012, facial reconstruction 2007, c-section 2007, I&D of deep abscess in soft tissue of neck  FH: Noncontributory  SH: Methamphetamine and opioid use. Smoker ½ ppd x 5 years
  • 4.
    Case continued: PhysicalExam  Vitals:  T: 39.4 C  HR: 137  RR: 22  BP: 93/47  SpO2: 100%  General: NAD  CV: Increased rate and regular rhythm, no murmurs, gallops, or rubs  Resp: Tachypnic, coarse breath sounds throughout, no wheezes rhonchi or crackles  Remainder of exam is unremarkable
  • 5.
    Imaging: • Complete white-outof left lung with air bronchogram sign. • Silhouetting of left heart border and left hemi- diaphragm • Patchy ground glass opacities in right lung
  • 6.
    Differential Diagnosis: Hemithorax white-out Can be narrowed down based on location of trachea  Trachea pulled toward opacified side  Pneumonectomy  Total lung collapse  Pulmonary agenesis/hypoplasia  Trachea in mid-line position  Consolidation  Pulmonary edema/ARDS  Mass (pleural or chest wall)  Trachea pushed away from opacified side  Pleural effusion  Diaphragmatic hernia  Pulmonary mass
  • 7.
    Case courtesy ofA.Prof Frank Gaillard, Radiopaedia.org, rID: 35971 Trachea pulled towards opacity: Collapsed lung
  • 8.
    Case courtesy ofDr Roberto Schubert, Radiopaedia.org, rID: 16075 Trachea pushed away from opacity: Pleural effusion
  • 9.
     Trachea inmid-line position ddx:  Pulmonary edema/ARDS  Mass (pleural or chest wall)  Consolidation
  • 10.
    Pulmonary edema  Pulmonaryedema is caused by excess fluid in the lungs  Causes of unilateral pulmonary edema:  Re-expansion pulmonary edema  Unilateral emphysema  Unilateral pulmonary embolism  Positioning  Radiological findings: Vary  Upper lobe vessel cephalization and increased cardiac size (cardiogenic cause)  Peri-bronchial cuffing and Kerley B lines (interstitial edema)  Batwing airspace opacification and air bronchogram sign (alveolar edema)
  • 11.
    Unilateral re-expansion pulmonaryedema Air bronchogram sign in unilateral pulmonary edema secondary to aspiration while laying on right side
  • 12.
    Upper lobe pulmonaryvenous diversion Kerley B lines which represent interlobular septa
  • 13.
    Chest wall orpleural mass  If large enough, masses can cause hemithorax white-out  Pleural mass – mesothelioma  Chest wall mass – Ewing’s sarcoma  Radiological findings:  Vary by cause, can be nonspecific  Can potentially displace adjacent structures  Can cause rib destruction
  • 14.
    Ewing’s sarcoma ofchest wall Case courtesy of Dr Ahmed Almuslim, Radiopaedia.org, rID: 6918 Mesothelioma Case courtesy of Frank Gaillard, Radiopaedia.org, rID: 8705
  • 15.
    Consolidation  Consolidation iswhen the alveoli fill with dense material that causes increased attenuation of x-rays  Causes:  Water  Blood  Pus  Protein  Radiological findings:  Lung opacification  Air bronchogram sign – air filled bronchi are visible due to the opacification of surrounding alveoli
  • 16.
    Our patient  Tracheamidline  Air bronchogram sign  No rib crowding  Clinical history and exam  Productive cough  Potential aspiration  Hospitalized recently  Febrile  Diagnosis: Pneumonia  Treatment: Vancomycin, Zosyn, Micafungin
  • 17.
    References  Kagele, StevenF., and Nirmal B. Charan. “Unilateral Pulmonary Edema.” Chest, vol. 102, no. 4, 1992, pp. 1279–1280., doi:10.1378/chest.102.4.1279.  Mullan, Charles P., et al. “Radiology of Chest Wall Masses.” American Journal of Roentgenology, vol. 197, no. 3, 2011, doi:10.2214/ajr.10.7259.  https://radiopaedia.org/articles/hemithorax-white-out-differential  https://radiopaedia.org/articles/air-bronchogram