HPTLC
Dr. Ashwani K. Dhingra
Professor
Guru Gobind Singh College of Pharmacy
WHAT IS PLANAR /THIN LAYER
CHROMATOGRAPHY
HPTLC is the improved method of TLC which utilizes
the conventional technique of TLC in more optimized
way with enhancements intended to increase the
resolution of the compounds to be separated and to
allow quantitative analysis of the compounds. e.g use
of high quality TLC plates and with finer particle sizes
in the stationary phase
• It is also known as planar chromatography or Flat-
bed chromatography.
WHY
HPTLC
• Some of the official HPLC methods which
used for the analysis of some drugs suffered
from some drawbacks.
• Many of these drawbacks are related
primarily to the use of the conventional
columns which have low resolution power
and consume long run time (e.g. the run time
was 100 min. in HPLC official method for
Roxithromycin (ROX).
• The use of the gradient elution is the other
reason behind the disadvantages of some
official HPLC analytical methods because of
its own disadvantages as the long time
needed for column (re-) equilibration, limited
choice of detectors, base-line drift on varying
the eluent, lower signal-to-noise and signal-
to-background ratios, spur peaks (impurities
in weak eluent) and increased instrument
complexity
WHY HPTLC
• Furthermore, some of official HPLC methods are using
sample solvent different than that which used as mobile phase
which can affects the analysis results of some drugs.
• In addition to unsuitable column temperature which is used
in some official HPLC method (e.g. 15 Cº and 60 Cº for analysis
of ROX and Doxycyclin (DOX) respectively).
• Also, there are some drawbacks of the official TLC analysis
of some drugs, as using a large developing chamber which
requires large TLC pates and consume large quantity of the
mobile phase as well as developing time. Complex mobile phase
for some TLC purity test and type of sample solvent (e.g. it
contains high quantity of water) are also important
disadvantages.
Conventional
TLC
• A small aliquot of a sample solution is
applied in either a spot or band to a thin
sorbent layer supported by a substrate
(glass, plastic, aluminum foil) near one end
of the TLC plate.
• After the sample has dried, the TLC plate
is placed into a chamber where solvent is
introduced to the end of plate where the
sample was applied and capillary action
wicks the solvent to the other side of the
plate.
• Components of the sample mixture are
separated-based on their different
migration rates in the particular stationary
and mobile phase combination.
• Detection is often performed by visually
observing the separated compounds, using
either white or ultraviolet light, using
necessary visualization agents to impart
color or fluorescence to the compounds by
using fluorogenic derivatizing agents.
TLC to
HPTLC
• Instrumentation was developed
to permit more precise spotting of
the sample onto the plates and
the quantitative evaluation of the
separated spots.
• Improvements in the technique
itself resulted in higher
separation power and faster
analysis.
• Just as the name change of LC
to (HPLC) character-ties, this
improved TLC was also named
HPTLC
TLC to HPTLC
• The main difference between conventional TLC and HPTLC
was in the particle size and range of the adsorbent. The
original "silica gel for TLC had a fairly broad particle size
range (10-60 μm), with an average of about 20 μm, but the
material for HPTLC had a narrower range and an average
particle size of only about 5 μm.
• The plates were also smaller, 10 x 10 cm against the
conventional 20 x 20 cm, and the sample volume was reduced
by an order of magnitude. The method of sample application
was also improved with the design of mechanical applicators
(dosimeters) permitting a reduction in the diameter of the
starting spots.
• These improvements significantly reduced the time needed
for an analysis, with a simultaneous increase of the separation
efficiency.
Difference
between
TLC and
HPTLC
TLC HPTLC
Plate particle size:
10 - 25 µm 5 - 7 µm
Separation distance: 100 - 150 mm 60 mm
Development time: 30 - 200 min 3 - 20 min
Application: manual automated/semi-
automated
Development: manual automated
Derivatization: spraying dipping
Analysis data: no documentation fully documented
Quantitative analysis: no yes
Environment: no control no problems
Resolution: often poor very good
Procedure: flexible fully standardized
Reproducibility: impossible highly attainable
cGMP Compliant: usually not YES!!
THE PRINCIPLE
HPTLC takes place in high-speed capillary flow range of the mobile
phase. There are three main steps HPTLC procedure:
• SAMPLE APPLICATION
Sample to analyzed to chromatogram layer, volume precision and
exact position are achieved by use of suitable instrument.
• CHROMATOGRAM DEVELOPMENT
Solvent (mobile phase) migrates the planned distance in layer
(stationary phase) by capillary action. In this process sample
separated into it’s components.
• CHROMATOGRAM EVALUATION
Separation tracks are scanned in densitometer with light beams in
visible or UV region
Pre-
treatment
of HPTLC
Plate
Although for most qualitative
analysis TLC plates can be used
without any pretreatment.
However, the impurities on the
plate accumulate not only from the
laboratory atmosphere but also
from packing material such as
shrink- wrapping foil. Therefore,
it is important to consider a
standardized cleaning procedure if
the analytical method has to be
validated and reproducible results
are required as the developed
method aim was for stability test.
Pre-treatment of HPTLC Plate
• Washing-Methanol as washing agent
• Activation- Drying in oven at 1200C for one hr. to
maximize activity. At this temp. Adsorbed water is
completely removed from surface (Rf value will be less
than the un-activated plates)
• Humidity prevention: during transport and sample
application, the stationary phase is again in contact with
relative humidity of the environment. It is useful to
equilibrate the active plate with the humidity of the
surrounding by cooling it down to room temperature in a
dust and fume free environment in desiccators.
TLC Plate
HPTLC Plate
TLC
vs
HPTLC
STEPS OF THE HPTLC PROCEDURE
Selection of HPTLC plates
Previously hand made plate is used in TLC for both
qualitative and quantitative work, certain draw back
with that is non uniformly layer, formation of thick layer
paved for advent precoated plates. Now a days pre coated
plates are available in different format and thickness by
different manufactures. These plates are used for both
qualitative and quantitative purpose in HPTLC.
• glass plates.
• Polyester /polyethylene.
• Aluminum plates
Application
of sample
and
standard
Sample application is one of
the important and critical step
for obtaining the good
resolution for quantification by
HPTLC.
LINOMAT 1V
AUTOMATIC
TLC
SAMPLER
DEVELOPMENT
CHAMBER
Chromatogram development:
After application of sample in
HPTLC plate, chromatogram is
developed by dipping in suitable
solvent system taken in developing
chamber. The solvent system rises
over the layer by capillary action
and separation of sample in
different components take place.
LIGHT WEIGHT
TWIN TROUGH
CHAMBER
Automatic
Developing
Chamber
ADC
DENSITOMETRIC
CHROMATOGRAM EVALUATION
Detection or visulation
of spot/ band: There is
no difficult in
detecting the colored
substance, or color les
substance absorbing
the UV radiation or
with fluoresce
(Riboflavin).
Photo & Video –
Documentation /
Video
Densitometry
Reprostar.
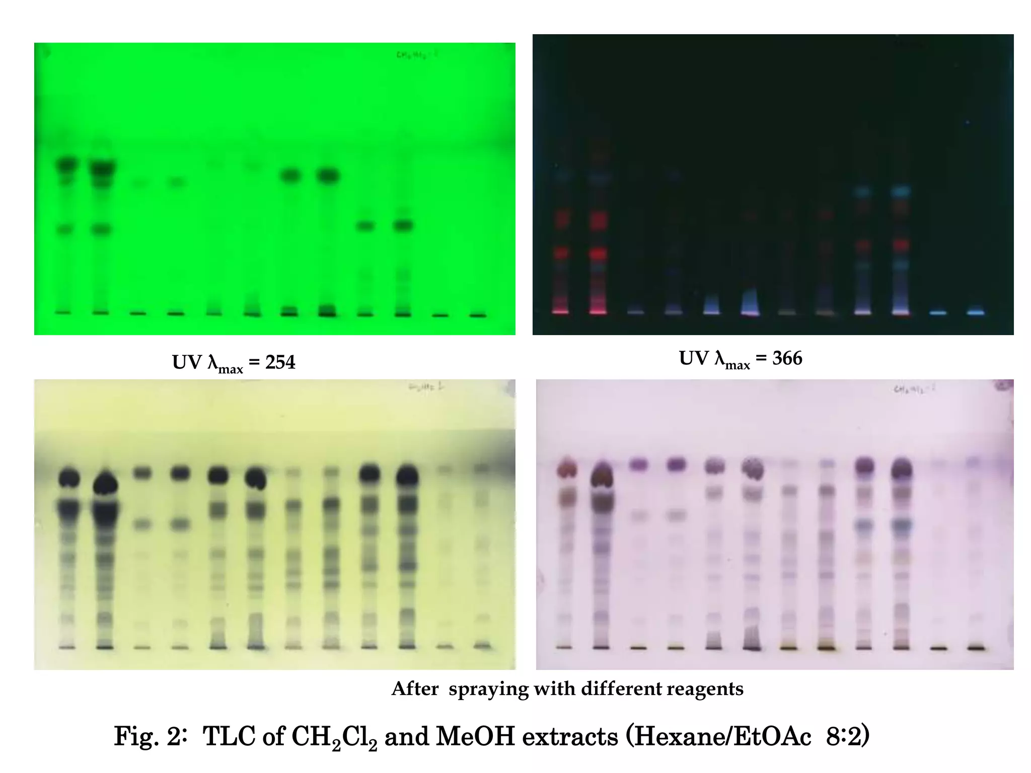
Fig. 2: TLC of CH2Cl2 and MeOH extracts (Hexane/EtOAc 8:2)
UV λmax = 254 UV λmax = 366
After spraying with different reagents
HPTLC fingerprints of successive
extracts of M. Longifolia:
• Qualitative Analysis:
HPTLC
fingerprint
profiles of
different
extracts of M.
longifolia:
S.N Extracts
Solvent
system
Wavelength (nm)
No. of peaks (Rf
values)
1 Hexane
Hexane:
ethyl
acetate
(8:2)
254
6 (0.21, 0.32, 0.49,
0.56, 0.67, 0.73)
366
4 (0.12, 0.20, 0.54,
0.74)
550
10 (0.08, 0.18, 0.20,
0.27, 0.32, 0.42,
0.49, 0.56, 0.61,
0.67)
HPTLC
fingerprint
profiles of
different
extracts of
M.
longifolia:
2 Chloroform
Hexane: ethyl
acetate
(8:2)
254
7 (0.15, 0.20, 0.24, 0.33, 0.49,
0.65, 0.68)
366 3 (0.20, 0.65, 0.74)
550
10 (0.08, 0.16, 0.20, 0.27, 0.32,
0.38, 0.42, 0.49, 0.60, 0.77)
3 Methanol
Hexane: ethyl
acetate
(8:2)
254 4 (0.20, 0.33, 0.46, 0.68)
366 3 (0.12, 0.20, 0.74)
550
8 (0.10, 0.20, 0.28, 0.32, 0.42,
0.50, 0.61, 0.76)
Thin Layer chromatography (TLC)
Detection of the analytes
Coloured analytes
Derivatisation procedures
Densitometry with UV scanner
UV light
beam
Reflected
beam
Detector
Pseudo-chromatogram
Thin Layer chromatography (TLC)
Detection of the analytes
Absorption of UV radiation is proportional to concentration
Quantification is possible
Densitometry
Densitometer measures the difference in
absorbance or Fluorescence Signal between
a TLC ZONE (in the form of a peak) and
the empty plate background (Baseline) and
relate the measured signal from a series of
standards to those of unknown samples
through a calibration plot.
The Kubelka-Munk equation is usually used
to relate signal intensity and zone
concentration (weight per zone) for
reflectance mode of densitometry.
(1-R2)/2R=2.303e (C/S)
Where R- Light reflected from infinity thick
opaque layer
e-molar absorption coefficient of the analyte,
C is the zone weight and S is the scattering
coefficient
Densitometry
The plate is mounted on a stage or platform that can be moved in x- or y direction
controlled by a stepping motor drive to allow each chromatogram track to be
scanned in or opposite to the direction of mobile phase development.
A tungsten –Halogen lamp is used for scanning colored spots in visible region
Deuterium lamp is used for UV region scanning
Monochromator used is Grating
Detector is a PHOTOMULTIPLIER TUBE
For normal Fluorescence scanning, a high intensity Xenon or Mercury vapor line
is used.
Densitometer can be performed in absorbance or fluorescence mode
Compounds are quantified by measuring the decrease in reflectance as a result of
absorbance of radiation.
Quantitative
Analysis:
• Biomarker compound/ Standard
compound
• Pure compound/Single
compound
• Large amount
• Therapeutic activity
Quantification of pulegone in
methanolic extract of M. longifolia
• HPTLC
chromatogram of
standard
Pulegone
HPTLC chromatogram of standard Pulegone
HPTLC chromatogram of methanolic extract of M. longofolia
UV Spectra of
standard
pulegone and
different
extract of M.
longofolia
TLC plate of pulegone standard and different extract of M. longofolia at UV
λmax = 254
TLC plate of pulegone standard and different extract of M. longofolia after
sraying with anisaldehyde suphuric acid
Determination of the amounts of Caffeine
in Coffee seed subjected to different
treatments
Experimental:
Sample preparations:
The samples were purchased from the local market at Al-
Kharj city. The seeds were powdered and 5 gm from each
sample were extracted separate by boiling with water for
two minutes. The resulted decoctions were filtered and
filtrates were transferred to 100 ml volumetric flask.
Mixture of EtOH and H2O were used to complete the
volume with final ration of 1:1 EtOH and H2O.
Standard Solution:
Standard solution was prepared by dissolving 10 mg of caffeine in 100
ml of 1:1 EtOAc/H2O mixture. A volume of 1, 2, 3, 4, 5, 6, 7, 8 mL were
applied on silica gel plates to obtain the calibration curve.
Chromatographic Conditions:
The TLC system composed of EtOAc/MeOH 85:15 was used as mobile
phase. It resulted in a symmetric nice resolved spots corresponding to
caffeine at Rf value = 0.38.
Chromatogram of standard Caffeine
Chromatogram of standard and samples of Caffeine extracted
from different coffee samples.
Fig. UV absorption spectrum of caffeine.
TLC plates of standard and caffeine extracted from different coffee samples.
• Pharmaceutical research.
• Biomedical Analysis.
• Clinical Analysis.
• Environment Analysis.
• Food industry.
• Therapeutic drug monitoring to
determine its concentration and
metabolites in blood urine etc.
• Analysis of environment pollution
level.
• Quantitative determination of
prostaglandin s and thromboxanes in
plasma.
• Determination of mercury in water.
Applications
of HPTLC
HPTLC.pptx

HPTLC.pptx

  • 1.
    HPTLC Dr. Ashwani K.Dhingra Professor Guru Gobind Singh College of Pharmacy
  • 2.
    WHAT IS PLANAR/THIN LAYER CHROMATOGRAPHY HPTLC is the improved method of TLC which utilizes the conventional technique of TLC in more optimized way with enhancements intended to increase the resolution of the compounds to be separated and to allow quantitative analysis of the compounds. e.g use of high quality TLC plates and with finer particle sizes in the stationary phase • It is also known as planar chromatography or Flat- bed chromatography.
  • 3.
    WHY HPTLC • Some ofthe official HPLC methods which used for the analysis of some drugs suffered from some drawbacks. • Many of these drawbacks are related primarily to the use of the conventional columns which have low resolution power and consume long run time (e.g. the run time was 100 min. in HPLC official method for Roxithromycin (ROX). • The use of the gradient elution is the other reason behind the disadvantages of some official HPLC analytical methods because of its own disadvantages as the long time needed for column (re-) equilibration, limited choice of detectors, base-line drift on varying the eluent, lower signal-to-noise and signal- to-background ratios, spur peaks (impurities in weak eluent) and increased instrument complexity
  • 4.
    WHY HPTLC • Furthermore,some of official HPLC methods are using sample solvent different than that which used as mobile phase which can affects the analysis results of some drugs. • In addition to unsuitable column temperature which is used in some official HPLC method (e.g. 15 Cº and 60 Cº for analysis of ROX and Doxycyclin (DOX) respectively). • Also, there are some drawbacks of the official TLC analysis of some drugs, as using a large developing chamber which requires large TLC pates and consume large quantity of the mobile phase as well as developing time. Complex mobile phase for some TLC purity test and type of sample solvent (e.g. it contains high quantity of water) are also important disadvantages.
  • 5.
    Conventional TLC • A smallaliquot of a sample solution is applied in either a spot or band to a thin sorbent layer supported by a substrate (glass, plastic, aluminum foil) near one end of the TLC plate. • After the sample has dried, the TLC plate is placed into a chamber where solvent is introduced to the end of plate where the sample was applied and capillary action wicks the solvent to the other side of the plate. • Components of the sample mixture are separated-based on their different migration rates in the particular stationary and mobile phase combination. • Detection is often performed by visually observing the separated compounds, using either white or ultraviolet light, using necessary visualization agents to impart color or fluorescence to the compounds by using fluorogenic derivatizing agents.
  • 6.
    TLC to HPTLC • Instrumentationwas developed to permit more precise spotting of the sample onto the plates and the quantitative evaluation of the separated spots. • Improvements in the technique itself resulted in higher separation power and faster analysis. • Just as the name change of LC to (HPLC) character-ties, this improved TLC was also named HPTLC
  • 7.
    TLC to HPTLC •The main difference between conventional TLC and HPTLC was in the particle size and range of the adsorbent. The original "silica gel for TLC had a fairly broad particle size range (10-60 μm), with an average of about 20 μm, but the material for HPTLC had a narrower range and an average particle size of only about 5 μm. • The plates were also smaller, 10 x 10 cm against the conventional 20 x 20 cm, and the sample volume was reduced by an order of magnitude. The method of sample application was also improved with the design of mechanical applicators (dosimeters) permitting a reduction in the diameter of the starting spots. • These improvements significantly reduced the time needed for an analysis, with a simultaneous increase of the separation efficiency.
  • 8.
    Difference between TLC and HPTLC TLC HPTLC Plateparticle size: 10 - 25 µm 5 - 7 µm Separation distance: 100 - 150 mm 60 mm Development time: 30 - 200 min 3 - 20 min Application: manual automated/semi- automated Development: manual automated Derivatization: spraying dipping Analysis data: no documentation fully documented Quantitative analysis: no yes Environment: no control no problems Resolution: often poor very good Procedure: flexible fully standardized Reproducibility: impossible highly attainable cGMP Compliant: usually not YES!!
  • 9.
    THE PRINCIPLE HPTLC takesplace in high-speed capillary flow range of the mobile phase. There are three main steps HPTLC procedure: • SAMPLE APPLICATION Sample to analyzed to chromatogram layer, volume precision and exact position are achieved by use of suitable instrument. • CHROMATOGRAM DEVELOPMENT Solvent (mobile phase) migrates the planned distance in layer (stationary phase) by capillary action. In this process sample separated into it’s components. • CHROMATOGRAM EVALUATION Separation tracks are scanned in densitometer with light beams in visible or UV region
  • 10.
    Pre- treatment of HPTLC Plate Although formost qualitative analysis TLC plates can be used without any pretreatment. However, the impurities on the plate accumulate not only from the laboratory atmosphere but also from packing material such as shrink- wrapping foil. Therefore, it is important to consider a standardized cleaning procedure if the analytical method has to be validated and reproducible results are required as the developed method aim was for stability test.
  • 11.
    Pre-treatment of HPTLCPlate • Washing-Methanol as washing agent • Activation- Drying in oven at 1200C for one hr. to maximize activity. At this temp. Adsorbed water is completely removed from surface (Rf value will be less than the un-activated plates) • Humidity prevention: during transport and sample application, the stationary phase is again in contact with relative humidity of the environment. It is useful to equilibrate the active plate with the humidity of the surrounding by cooling it down to room temperature in a dust and fume free environment in desiccators.
  • 12.
  • 14.
    STEPS OF THEHPTLC PROCEDURE
  • 16.
    Selection of HPTLCplates Previously hand made plate is used in TLC for both qualitative and quantitative work, certain draw back with that is non uniformly layer, formation of thick layer paved for advent precoated plates. Now a days pre coated plates are available in different format and thickness by different manufactures. These plates are used for both qualitative and quantitative purpose in HPTLC. • glass plates. • Polyester /polyethylene. • Aluminum plates
  • 17.
    Application of sample and standard Sample applicationis one of the important and critical step for obtaining the good resolution for quantification by HPTLC.
  • 18.
  • 19.
  • 20.
    DEVELOPMENT CHAMBER Chromatogram development: After applicationof sample in HPTLC plate, chromatogram is developed by dipping in suitable solvent system taken in developing chamber. The solvent system rises over the layer by capillary action and separation of sample in different components take place.
  • 21.
  • 22.
  • 23.
    DENSITOMETRIC CHROMATOGRAM EVALUATION Detection orvisulation of spot/ band: There is no difficult in detecting the colored substance, or color les substance absorbing the UV radiation or with fluoresce (Riboflavin).
  • 24.
    Photo & Video– Documentation / Video Densitometry Reprostar.
  • 26.
    Fig. 2: TLCof CH2Cl2 and MeOH extracts (Hexane/EtOAc 8:2) UV λmax = 254 UV λmax = 366 After spraying with different reagents
  • 27.
    HPTLC fingerprints ofsuccessive extracts of M. Longifolia: • Qualitative Analysis:
  • 28.
    HPTLC fingerprint profiles of different extracts ofM. longifolia: S.N Extracts Solvent system Wavelength (nm) No. of peaks (Rf values) 1 Hexane Hexane: ethyl acetate (8:2) 254 6 (0.21, 0.32, 0.49, 0.56, 0.67, 0.73) 366 4 (0.12, 0.20, 0.54, 0.74) 550 10 (0.08, 0.18, 0.20, 0.27, 0.32, 0.42, 0.49, 0.56, 0.61, 0.67)
  • 29.
    HPTLC fingerprint profiles of different extracts of M. longifolia: 2Chloroform Hexane: ethyl acetate (8:2) 254 7 (0.15, 0.20, 0.24, 0.33, 0.49, 0.65, 0.68) 366 3 (0.20, 0.65, 0.74) 550 10 (0.08, 0.16, 0.20, 0.27, 0.32, 0.38, 0.42, 0.49, 0.60, 0.77) 3 Methanol Hexane: ethyl acetate (8:2) 254 4 (0.20, 0.33, 0.46, 0.68) 366 3 (0.12, 0.20, 0.74) 550 8 (0.10, 0.20, 0.28, 0.32, 0.42, 0.50, 0.61, 0.76)
  • 30.
    Thin Layer chromatography(TLC) Detection of the analytes Coloured analytes Derivatisation procedures Densitometry with UV scanner UV light beam Reflected beam Detector Pseudo-chromatogram
  • 31.
    Thin Layer chromatography(TLC) Detection of the analytes Absorption of UV radiation is proportional to concentration Quantification is possible
  • 32.
    Densitometry Densitometer measures thedifference in absorbance or Fluorescence Signal between a TLC ZONE (in the form of a peak) and the empty plate background (Baseline) and relate the measured signal from a series of standards to those of unknown samples through a calibration plot. The Kubelka-Munk equation is usually used to relate signal intensity and zone concentration (weight per zone) for reflectance mode of densitometry. (1-R2)/2R=2.303e (C/S) Where R- Light reflected from infinity thick opaque layer e-molar absorption coefficient of the analyte, C is the zone weight and S is the scattering coefficient
  • 33.
    Densitometry The plate ismounted on a stage or platform that can be moved in x- or y direction controlled by a stepping motor drive to allow each chromatogram track to be scanned in or opposite to the direction of mobile phase development. A tungsten –Halogen lamp is used for scanning colored spots in visible region Deuterium lamp is used for UV region scanning Monochromator used is Grating Detector is a PHOTOMULTIPLIER TUBE For normal Fluorescence scanning, a high intensity Xenon or Mercury vapor line is used. Densitometer can be performed in absorbance or fluorescence mode Compounds are quantified by measuring the decrease in reflectance as a result of absorbance of radiation.
  • 34.
    Quantitative Analysis: • Biomarker compound/Standard compound • Pure compound/Single compound • Large amount • Therapeutic activity
  • 35.
    Quantification of pulegonein methanolic extract of M. longifolia • HPTLC chromatogram of standard Pulegone
  • 36.
    HPTLC chromatogram ofstandard Pulegone HPTLC chromatogram of methanolic extract of M. longofolia
  • 37.
    UV Spectra of standard pulegoneand different extract of M. longofolia
  • 38.
    TLC plate ofpulegone standard and different extract of M. longofolia at UV λmax = 254 TLC plate of pulegone standard and different extract of M. longofolia after sraying with anisaldehyde suphuric acid
  • 39.
    Determination of theamounts of Caffeine in Coffee seed subjected to different treatments Experimental: Sample preparations: The samples were purchased from the local market at Al- Kharj city. The seeds were powdered and 5 gm from each sample were extracted separate by boiling with water for two minutes. The resulted decoctions were filtered and filtrates were transferred to 100 ml volumetric flask. Mixture of EtOH and H2O were used to complete the volume with final ration of 1:1 EtOH and H2O.
  • 40.
    Standard Solution: Standard solutionwas prepared by dissolving 10 mg of caffeine in 100 ml of 1:1 EtOAc/H2O mixture. A volume of 1, 2, 3, 4, 5, 6, 7, 8 mL were applied on silica gel plates to obtain the calibration curve.
  • 41.
    Chromatographic Conditions: The TLCsystem composed of EtOAc/MeOH 85:15 was used as mobile phase. It resulted in a symmetric nice resolved spots corresponding to caffeine at Rf value = 0.38. Chromatogram of standard Caffeine
  • 42.
    Chromatogram of standardand samples of Caffeine extracted from different coffee samples.
  • 43.
    Fig. UV absorptionspectrum of caffeine.
  • 44.
    TLC plates ofstandard and caffeine extracted from different coffee samples.
  • 45.
    • Pharmaceutical research. •Biomedical Analysis. • Clinical Analysis. • Environment Analysis. • Food industry. • Therapeutic drug monitoring to determine its concentration and metabolites in blood urine etc. • Analysis of environment pollution level. • Quantitative determination of prostaglandin s and thromboxanes in plasma. • Determination of mercury in water. Applications of HPTLC