ENDOSCOPIC SKULL BASE
SURGERY-LEVEL III
DR.SHUBHANGI
LEVELS OF SKULL BASE SURGERY
Level 1 • Sinonasal surgery
Level 2 • Pituitary surgery
• CSF leaks
Level 3 • Extradural • Transcribriform
• Transplanum
• Transorbital (extraconal)
• Transclival
• Transodontoid
Level 4 • Intradural A. With cortical cuff • Transplanum
• Transcribriform
• Type I craniopharyngiomas
B. Lack of cortical cuff • Transorbital (intraconal)
• Transplanum
• Transcribriform
• Type II/III craniopharyngiomas
• Transclival intradural
Level 5 • Cerebrovascular surgery A. Middle and posterior coronal
planes
B. AVM/Aneurysms
Illustration showing the skull
base in an inferior view. Each
colored area represents a
module of expanded endonasal
approach at the skull base.
CP-AF = coronal plane anterior
fossa; CP-MF = coronal
plane middle fossa; CP-PF =
coronal plane posterior fossa;
TC = transclival (pink area);
TC = transcribriform (white
area);
TO = transodontoid;
TP/T =
transplanum/transtuberculum;
TS = transsellar.
Distribution of EEA surgical
approaches. Some of the
surgical
approaches are grouped. 1:
transfrontal; 2:transcribriform;
3: transplanum; 4: transsellar;
5: transclival; 6:transodontoid
TRANSCRIBRIFORM APPROACH
• Defined by the removal of the cribriform plate to approach
skull base.
• This module extends anteriorly from the posterior
ethmoidal arteries upto the level of the crista galli and
frontal sinus.
• The limits of this module are
 both laminae papyraceae laterally,
 the frontal sinus anteriorly
 the transition with the planum sphenoidale posteriorly at
the level of the posterior ethmoidal arteries
TRANSCRIBRIFORM APPROACH
• INDICATIONS
1. Anterior skull base meningiomas including those
originating at the olfactory groove, planum
sphenoidale & tuberculum sellae
2. Esthiseoneuroblastomas
3. Invasive sinonasal malignancies
CONTRAINDICATIONS
 There are potential surgical limits laterally,posteriorly, and superiorly.
 LATERALLY- the midorbital plane -Removal of the lamina papyracea enables
the displacement of the orbital soft tissues to provide access to the orbital roof
laterally. Lesions that present a lateral extension beyond the midorbit meridian
should not be accessed with a pure endonasal approach.
 POSTERIORLY—the optic chiasm and anterior cerebral circulation.
 Tumors lateral to the optic nerves should not be resected from a midline
endonasal approach.
 Very tall tumors-difficult to access and care must be taken not to remove too
much of the inferior and anterior capsule before the apex of the tumor has been
debulked.
DIAGNOSTIC WORK UP
• Physical examination-neurologic assessment with
special focus on cranial nerve function
• Endoscopic assessment of the nasal cavity- to visualize
any nasal lesions and document septal integrity, septal
deviations,and any other anatomical findings.
• A complete ophthalmologic examination & visual fields
examination.
• Signs of intracranial hypertension detected by
papilledema should be addressed preoperatively
[external ventricular drainage (EVD) or
ventriculoperitoneal (VP) shunt ]
SURGERY
 High-concentration adrenaline soaked cottonoids (1:1000) are placed
in the nasal cavity for 10 minutes before the surgical procedure
begins. The septum is infiltrated with lidocaine with adrenaline
1:100,000.
 Nasoseptal flap created & preserved
 First, the intranasal portion of the tumor - debulked to the plane of the
skull base to define the attachment to the cribriform plate, and this
attachment is cauterized with bipolar electrocautery.
 Complete sphenoethmoidectomy performed bilaterally
 Draf 3 procedure performed to define the anterior resection margin.
 Nasal septum transected along the sagittal plane from the crista galli
to the sphenoid rostrum approximately 1 cm inferior to the tumor
attachment to the septum.
 This defines the inferior resection margin.
The tumor-devascularized by cauterizing and transecting the anterior and
posterior ethmoidal arteries , along the fovea ethmoidalis, midway along its
course from the orbital margin and lateral lamella
 The bone of the anterior cranial base in the periphery of the tumor – thinned
to the resection margins, anteriorly to the posterior table of frontal sinus,
posteriorly to the planum sphenoidale, and laterally to the medial orbital walls.
The thinned bone-gently fractured and elevated inferiorly off the overlying
dura.
Dural incision along its posterior margin allows removal of the entire dural
specimen en bloc .
When indicated, the olfactory bulbs and nerves are elevated inferiorly off the
overlying brain and transected at the level of the posterior dural margin.
 Surgical defect extends from the posterior table of the frontal sinus to the
planum sphenoidale & to the medial wall of the orbit on either side.
Surgical defect closed by nasoseptal flap
Small ipsilateral tumors- ipsilateral resection of the anterior cranial base with
preservation of olfaction on the contralateral side can be done.
•The dura - cauterized and incised longitudinally along the lateral orbital
margins, taking care to avoid injury to cortical vessels.
 The crista galli – removed , & attached falx cauterized and transected-
facilitates rotating the dural specimen posteriorly
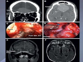
Large olfactory groove meningioma. (A) Preoperative
(coronal)
(B) Axial section close relation of tumor to anterior cerebral arteries at the
proximal A2 segment.
(C) Intraoperative- The right lamina papyracea removed to expose the
periorbita and provide access to the orbital roof. The anterior and posterior
ethmoidal arteries coagulated and sectioned to expose the anterior skull base
and provide early devascularization of the tumor.
(D) Intraoperative- Once the tumor has been extensively debulked, gentle
extracapsular dissection is performed.
(E) Postoperative-T1-weighted MRI (coronal section) complete resection
of the tumor, cribriform plate, and crista galli. The anterior skull
base reconstructed with the nasoseptal flap.
(F) Postoperative FLAIR sequence MRI (axial section) showing nearly complete
resolution of the signal changes and minimal encephalomalacia.
COMPLICATIONS
• Worsening of vision.
• Intraoperative injury to A2 - it eventually led to a subsequent
pseudoaneurysm
• Bleeding associated with permanent neurologic deficits.
• CSF leak- decreased significantly as a vascularized nasoseptal flap
used for reconstruction.
• Pulmonary embolus/deep venous thrombosis
• Seizures
• Pituitary dysfunction
• Bacterial meningitis
• Myocardial infarction
• Loss of olfaction (preserved in cases of unilateral resections )
• Defined by the removal of the planum sphenoidale and tuberculum
sellae to reach skull base.
• SURGICAL LIMITS-
 Laterally-The optic canals
 Anteriorly, the posterior ethmoidal arteries.
• The critical anatomic landmark is the medial optic carotid
recess.
• The most important vital
• structures related - the optic nerve
- ICAs
- the anterior cerebral arteries (A1,
Huebner’s, Anterior communicating and perforators).
TRANSPLANUM APPROACH
TRANSPLANUM /TRANSTUBERCULUM
APPROACH
INDICATIONS
 Lesions involving the posterior aspect of the anterior skull base and
the suprasellar region.
 Tuberculum sellae meningiomas
 Giant pituitary adenomas
 Craniopharyngiomas
 Epidermoid tumors
 Rathke cleft cysts
(A) Pituitary macroadenoma with significant suprasellar extension. (B) Craniopharyngioma
with large suprasellar cyst above a normal sized sella. (C) Meningioma of the planum
sphenoidale. (D) Meningioma of the tuberculum sellae.
ADVANTAGES
Provides the most direct route to midline lesions of the suprasellar
cistern
Do not place critical neurovascular structures between surgeon &
lesion
Obviates the need of brain retraction
Facilitates complete , b/l optic canal decompresssion without
manipulation of compressed optic nerve
Enables surgeon to remove bone from base of tumor –site for
meningioma recurrence
Allow surgeon to interrupt blood supply early in operation
DIAGNOSTIC WORK UP
• Detailed history and physical examination-
-cranial nerve examination -
-ophthalmologic evaluation
-visual field testing
-assessment of cognitive function
-comprehensive endocrine workup
-endoscopic examination of the nasal cavity.
• CT/MRI
• Angiography ( if carotid artery compromise is suspected or the
functional integrity of the circle of Willis requires assessment)
CONTRAINDICATIONS
• Tumor extending beyond lateral limit of this module
• Patient comorbidities that preclude prolonged anaesthesia
• Encasement of critical neurovascular structures- not an absolute c/I
but surgeon should proceed only if he/she can safely dissect from
these structures & has the ability to address surgial emergency (ICA
injury)
SURGERY
• High-concentration adrenaline soaked cottonoids
(1:1000) are placed in the nasal cavity for 10 minutes
before the surgical procedure begins. The septum is
infiltrated with lidocaine with adrenaline 1:100,000.
• Nasoseptal flap created & preserved
• The posterior third of the bony septum is resected and
a piece of vomeric bone is harvested as a rigid
buttress for reconstruction of the skull base.
• The sphenoid rostrum opened widely
• Bilateral posterior ethmoidectomies done
• Sphenoid ostia identified & opened widely
• Mucosa of the sphenoid sinus removed
• identification of the sella, optic nerves, and ICA is
verified with frameless stereotactic image guidance
• The tuberculum sellae is thinned with a high-speed
diamond drill under constant irrigation till halfway down into
the sella
• The thinned bone removed & continued along the planum
sphenoidale until the underlying dura is exposed.
• The anterior limit of resection is the fovea overlying the
posterior ethmoid sinuses and cribriform plates.
• The superior intercavernous sinus is transected to open the
suprasellar area and visualize the pituitary stalk and optic
chiasm when necessary.
•The dura cauterized to interrupt the blood supply to the tumor.
• Dural and bony attachments of the meningioma resected to prevent recurrence
•Internal decompression
•The tumor capsule sharply dissected away methodically starting with the optic
nerve .
•ICA identified ( just lateral and inferior to the optic nerve) and tumor traced to
the chiasm, along the contralateral optic nerve until the associated ICA is
identified and free of tumor.
•Important structures such as the ACA complex,recurrent artery of Heubner,
subchiasmal perforating vessels,optic nerves, and pituitary stalk preserved by
sharp dissection off the tumor capsule.
•Arteries that may appear to be encased can often be dissected free of the
tumor
•The resection bed is examined using angled endoscopes, with special attention
paid to ensuring that the optic nerves and canals are free of tumor
is performed
Four corridors -to address lesions of the suprasellar cistern.
• The first corridor - passes in front of the optic chiasm
- for meningiomas of the planum and tuberculum sellae.
•The second corridor - a prechiasmal approach to the third ventricle.
( between the chiasm and the ACA )
- for pathology high in the third ventricle.
•The third corridor - below the chiasm and above the pituitary gland.
- for cystic lesions arising from the infundibulum that
extend into the third ventricle.
• The fourth corridor- beneath the pituitary gland (requires superior mobilization
of the gland),
- for lesions such as craniopharyngiomas,chordomas, and
petroclival meningiomas located behind the pituitary gland and infundibulum
Surgical defect reconstructed with fat to prevent pooling of
cerebrospinal fluid (CSF) at the bony defect- a “gasketseal” closure
done – nasoseptal flap then rotated to cover the defect, and a tissue
sealant (DuraSeal) is used to secure the multilayer graft in place
COMPLICATIONS
 INTRAOPERATIVE
• Arterial / venous bleeding
• Cranial nerve injury
• Damage to pituitary gland , stalk
& hypothalamus
 POSTOPERATIVE
• CSF leak
• Meningitis
• Hematoma formation
• Sinusitis
• Synechia formation
TRANSCLIVAL APPROACH
• The clivus extends from the dorsum sellae to the foramen
magnum.
• Transclival approaches - divided into partial (superior,
middle, inferior) & complete clivus removal.
• A transclival approach provides direct access to the
brainstem and vertebrobasilar arterial system.
INDICATIONS
• Meningiomas
• Chordomas.
• Chondrosarcomas
• Cholesterol granulomas
• Mucocele
• Rarely, an aneurysm that cannot be treated by
endovascular means or with significant mass effect may be
accessed via this approach and clipped
• The upper third - related to the dorsum sellae in the midline and the
posterior clinoids in the paramedian region-removed either
intradurally via a transsellar approach or extradurally via a subsellar
corridor by first performing a superior pituitary transposition
• Removal of these structures can provide access to the basilar artery
and interpeduncular cistern
•The middle clivus - directly accessed at the posterior aspect of the sphenoid
sinus and its resection is limited laterally by both ICAs ascending in the
paraclival areas.
•The lower third of the clivus- bone drilling continues inferiorly- limited laterally
by the fossa of Rosenmuller and the torus tubarius.
• A panclivectomy can extend all the way from the dorsum sellae and posterior
clinoids up to the basion at the foramen magnum.
•The most germane structures for this module - the brain stem, cranial nerves II,
III and VI, basilar and vertebral arteries, superior cerebellar arteries, posterior
cerebral arteries & respective perforators
ADVANTAGES
• Avoid any cerebral retraction
• To decrease the incidence of injury to the lower
cranial nerves.
CONTRAINDICATIONS
• Patient comorbidities that might preclude them from
prolonged general anesthesia;
• Unfavorable anatomy, such as small sphenoid sinus or
diminished space between the internal carotid arteries-
makes drilling the clival bone more difficult and risky
• Lack of multidisciplinary team cooperation and interaction
• Lack of specialized equipment/instruments
DIAGNOSTIC WORKUP
 The physical examination- neurologic assessment with a
special focus on cranial nerve function.
 Endoscopic assessment of the nasal cavity- to visualize
any nasal lesions and document septal integrity, deviations,
and other anatomical findings.
 An ophthalmologic examination including a visual field
examination
IMAGING
• Coronal, axial, and parasagittal CT of the paranasal sinuses and
skull base - preoperative assessment for surgery , evaluate the size
of the sphenoid sinus, the position of the internal carotid artery,
especially its paraclival portion, and the thickness of the clivus in the
sagittal plane.
• MRI - to demonstrate the morphology of the soft tissues , for
involvement of the carotid artery , vertebrobasilar system & dural
sinuses
• Magnetic resonance angiography (MRA) or CT angiography(CTA)-
to assess relationship between the basilar and internal carotid
arteries and the pathology
• to verify the functional integrity of the circle of Willis and the extent of
any carotid artery compromise, and to differentiate an aneurysm from
a tumor
SURGERY
 High-concentration adrenaline soaked cottonoids (1:1000) are placed
in the nasal cavity for10 minutes before the surgical procedure
begins. The septum is infiltrated with lidocaine with adrenaline
1:100,000
 Nasoseptal flap created and preserved
• B/l ethmoidectomy performed
• The sphenoid rostrum and anterior wall of the sphenoid sinus
exposed.
• The mucosal flap is lifted until both natural sphenoid ostia are in view.
• A wide opening of the anterior sphenoid sinus wall created
The sinus mucosa that lines the clival area reflected , exposing the clival bone.
Care is taken to ensure complete hemostasis at this point in the procedure.
 The field should be completely dry before proceeding to the next stage of the
procedure
Clival bone fully exposed, and removed by drilling
 The limits of the clival bone removal are the floor of the sella superiorly, the
foramen magnum inferiorly, and the internal carotid arteries and occipital
condyles laterally.
Exposure at the start of drilling the clival
bone. The distance between the internal
carotid arteries is an important factor in
determining surgical access to this area
For intradural exposure, the external layer of the dura is first incised with a No.
11 blade.
Bleeding in the basilar plexus not cauterized but packed with hemostatic
material
The opening of the internal layer of the dura at the level of the middle and
superior clivus must be accomplished with great care to avoid injury to the
underlying basilar artery.
Once the dura opened, minor bleeding is stopped by bipolar coagulation, and
finally the 0-degree endoscope carefully introduced into the intradural space.
Once the anatomy is appreciated, identify the major vessels of the posterior
fossa (basilar artery and branches, anterior inferior cerebellar artery [AICA],
vertebral arteries, superior cerebellar and posterior cerebral arteries); the
intradural course of cranial nerves III, IV, V, and VI; the brainstem; and the
mamillary bodies.
The cerebellopontine angle, cranial nerves VII through XII, and retrosellar
regions are best visualized with the 45-degree endoscope
Meticulous dissection is required to remove the lesion.
At the end of the procedure, the dural defect is sealed with fat and fascia lata,
and covered with the flap. The packing is positioned
and stays for as long as necessary.
Endoscopic anatomy
following clival
resection. (A)
Anatomical
specimen
demonstrating midline
structures. (B)
Corresponding
intraoperative
view. (C) Anatomical
specimen
demonstrating left
cerebellopontine
angle (CPA) using a
45-degree endoscope.
(D) Corresponding
intraoperative view of
the left CPA.
COMPLICATIONS
• Cerebrospinal fluid (CSF) leakage
• Nasal bleeding
• Bleeding from internal carotid artery, intracranial bleeding, venous
bleeding,
• Cranial nerve injuries
• Infections
• Orbital hematoma
• Nasal synechia
• Nasal infection.
•Used for resection of the odontoid process in degenerative / inflammatory
diseases or to allow for exposure of the ventral medulla and upper cervical
spinal cord.
• INDICATIONS
Foramen magnum meningiomas
 To decompress the brainstem in rheumatoid arthritis patients with
degeneration of the upper cervical spine due to compressive pannus
•It is defined by the removal of the odontoid process of the axis (second
vertebra) . This approach is an extension of the transclival approach.
•The lower third of the clivus is exposed as well as the anterior arch of C1 after
dissection of the nasopharyngeal mucosa and the rectus capitis anterior muscle.
• The arch of C1 is drilled and the odontoid process is exposed and drilled out.
•Pannus removed by sharp and blunt dissection
TRANSODONTOID APPROACH
•The most vital neurovascular structures for this module are
the vertebral arteries,
 posterior inferior cerebellar arteries (PICAs),
brain stem
 lower cranial nerves.
The ICAs have to be considered as a risk factor as well because occasionally
they can be positioned close to the midline in their parapharyngeal segment
under the mucosa
Preoperative CT scan of a patient
with brainstem compression
secondary to rheumatoid
degeneration (arrow).
Decompression is achieved with
removal of the odontoid process to
the body of C2 and pannus
resection
TRANSORBITAL APPROACH
• A transorbital approach may be used for access to
tumors located within the orbit. The dissection can
be extraconal or intraconal.
INDICATIONS
• Resection of sinonasal lesions that are invading
the medial wall of the orbit as sinonasal malignances
• To decompress the optic nerves in the presence of
unresectable intraconal pathologies
• To access intraconal diseases with the goal of
resection as for schwannomas, cavernomas and
meningiomas.
ADVANTAGES
• Posterior access to pathology near the orbital apex is
excellent via an endoscopic approach.
• The near vision easy identification of the optic nerve
transition to the orbit apex and fibrous annulus.
• Avoid disruption of the orbicularis oculi, lacrimal pump, or
canthal ligament disruption.
CONTRAINDICATIONS
• ABSOLUTE
 pathology lateral to the neural axis
 a lack of specialized equipment and expertise
• RELATIVE
 Presence of acute/ subacute sinusitis
SURGERY
• It is defined by the removal of the lamina papyracea or the medial optic
canals.
• Requires a wide resection of the anterior and posterior ethmoid cells to
expose the lateral wall of the sinonasal cavity.
• The surgical field is limited laterally by the lamina papyracea and orbital
apex deeply
• The most important vital structures related to this module are the optic
nerves, the anterior and posterior ethmoidal arteries and the ophthalmic
artery with its central retina artery branch.
• The ocular muscles must be well identified during surgery and dissection
can be performed in between them.
• Subconjunctival localization and mobilization of eye muscles are
extremely helpful during endonasal endoscopic procedures.
ENDOSCOPIC OPTIC NERVE
DECOMPRESSION
• The most common indication for endoscopic optic nerve
decompression is traumatic optic neuropathy
• Medical Therapy for Traumatic Optic Nerve Injury-
Methylprednisolone 30 mg/kg intravenous (IV) loading dose is given
followed by an infusion of 5.4 mg/kg/hour thereafter
Surgical intervention is considered if thepatient fills any of the criteria listed
below:
 Fracture of optic canal on CT scan with vision less than 6/60
 Fracture of the optic canal with vision . 6/60 but the patient’s
vision deteriorates on steroids
 Vision is , 6/60 (or there is a deterioration of vision) after
48 hours of steroid treatment with probable canal injury
PROCEDURE
• Cotton pledgets containing adrenaline 1:1000 are placed in the nasal cavity
over the areas of surgical access for 10 minutes before the surgical
procedure.
• The lateral nasal wall and septum are infiltrated with 1% Naropin with
adrenaline 1:100.000.
• An uncinectomy, wide antrostomy combined with anterior and posterior
ethmoidectomy is performed.
• The antrostomy is widened superiorly to ensure that the maxillary sinus roof
can be easily seen. This defines the orbital floor, allows easier skeletonization of
the medial orbital wall, places the infraorbital canal on view, and is an important
landmark for defining the level of the skull base posteriorly
• Sphenoidotomy performed
• The sphenoid should be inspected and the optic nerve, carotid artery and
pituitary fossa identified.
Cadaveric dissection image
taken of the left sphenoid sinus
demonstrating the fovea
ethmoidalis (FE) and lamina
papyracea (LP).
ON, optic nerve; CCA, anterior
genu of the intracavernous
carotid
artery; L. OCR, lateral
opticocarotid recess; ISS,
sphenoid intersinus septum;
SS, sphenoid sinus; MS,
maxillary sinus; MT, middle
turbinate
•The thick bone overlying the junction of the orbital apex and sphenoid sinus
known as the optic tubercle is thinned out with burr
•blunt Freer elevator is pushed through the lamina papyracea ,1.5 cm anterior to
the junction of the posterior ethmoids air cell(s) and the sphenoid
•The bone of the posterior orbital apex flaked off
•Once the bone over the orbital apex is removed the bone of the optic canal is
approached.
•Once all the bone has been cleared off the optic canal and the underlying optic
nerve sheath is clearly visible, the sheath is incised
• The location of the ophthalmic artery should be kept in mind. The ophthalmic
artery usually runs in the posteroinferior quadrant of the nerve.
•Therefore , the nerve is incised in the upper medial quadrant
•This incision is continued onto the orbital periosteum of the posterior orbital
apex with resultant protrusion of orbital fat
• The orbital fat covering this area of the medial rectus muscle is thin and care
should be taken to avoid injuring this muscle
•No packs are placed on the nerve or in the sinuses.
COMPLICATIONS
•CSF LEAKS
•Internal carotid artery injury
Cadaveric dissection image of the left
sphenoid sinus.
The anterior face of the sphenoid has been
removed so that the roof of the sphenoid
and posterior ethmoids is continuous. A
diamond burr has been used to allow the
removal of bone at the junction of the
orbital apex and sphenoid sinus (the optic
tubercle). The lamina papyracea (LP) has
been removed 1.5 cm from the junction of
the posterior ethmoids with the sphenoid
sinus, exposing periorbita (PO
The thin bone overlying the orbital apex and
optic nerve is gently flaked off
The optic nerve sheath (ONS) is incised
to release the optic nerve. PO,
periorbita; ISS, intersinus septum.
Cadaveric dissection of the lateral
wall of the left sphenoid sinus. The
optic sheath and periorbita (PO) of
the orbital apex has been incised. PS,
planum sphenoidale; CCA, anterior
genu of the intracavernous carotid
artery; L. OCR, lateral opticocarotid
recess; OS, optic sheath
Endoscopic skull base surgery level iii

Endoscopic skull base surgery level iii

  • 1.
  • 2.
    LEVELS OF SKULLBASE SURGERY Level 1 • Sinonasal surgery Level 2 • Pituitary surgery • CSF leaks Level 3 • Extradural • Transcribriform • Transplanum • Transorbital (extraconal) • Transclival • Transodontoid Level 4 • Intradural A. With cortical cuff • Transplanum • Transcribriform • Type I craniopharyngiomas B. Lack of cortical cuff • Transorbital (intraconal) • Transplanum • Transcribriform • Type II/III craniopharyngiomas • Transclival intradural Level 5 • Cerebrovascular surgery A. Middle and posterior coronal planes B. AVM/Aneurysms
  • 3.
    Illustration showing theskull base in an inferior view. Each colored area represents a module of expanded endonasal approach at the skull base. CP-AF = coronal plane anterior fossa; CP-MF = coronal plane middle fossa; CP-PF = coronal plane posterior fossa; TC = transclival (pink area); TC = transcribriform (white area); TO = transodontoid; TP/T = transplanum/transtuberculum; TS = transsellar.
  • 4.
    Distribution of EEAsurgical approaches. Some of the surgical approaches are grouped. 1: transfrontal; 2:transcribriform; 3: transplanum; 4: transsellar; 5: transclival; 6:transodontoid
  • 5.
    TRANSCRIBRIFORM APPROACH • Definedby the removal of the cribriform plate to approach skull base. • This module extends anteriorly from the posterior ethmoidal arteries upto the level of the crista galli and frontal sinus. • The limits of this module are  both laminae papyraceae laterally,  the frontal sinus anteriorly  the transition with the planum sphenoidale posteriorly at the level of the posterior ethmoidal arteries
  • 6.
    TRANSCRIBRIFORM APPROACH • INDICATIONS 1.Anterior skull base meningiomas including those originating at the olfactory groove, planum sphenoidale & tuberculum sellae 2. Esthiseoneuroblastomas 3. Invasive sinonasal malignancies
  • 7.
    CONTRAINDICATIONS  There arepotential surgical limits laterally,posteriorly, and superiorly.  LATERALLY- the midorbital plane -Removal of the lamina papyracea enables the displacement of the orbital soft tissues to provide access to the orbital roof laterally. Lesions that present a lateral extension beyond the midorbit meridian should not be accessed with a pure endonasal approach.  POSTERIORLY—the optic chiasm and anterior cerebral circulation.  Tumors lateral to the optic nerves should not be resected from a midline endonasal approach.  Very tall tumors-difficult to access and care must be taken not to remove too much of the inferior and anterior capsule before the apex of the tumor has been debulked.
  • 8.
    DIAGNOSTIC WORK UP •Physical examination-neurologic assessment with special focus on cranial nerve function • Endoscopic assessment of the nasal cavity- to visualize any nasal lesions and document septal integrity, septal deviations,and any other anatomical findings. • A complete ophthalmologic examination & visual fields examination. • Signs of intracranial hypertension detected by papilledema should be addressed preoperatively [external ventricular drainage (EVD) or ventriculoperitoneal (VP) shunt ]
  • 9.
    SURGERY  High-concentration adrenalinesoaked cottonoids (1:1000) are placed in the nasal cavity for 10 minutes before the surgical procedure begins. The septum is infiltrated with lidocaine with adrenaline 1:100,000.  Nasoseptal flap created & preserved  First, the intranasal portion of the tumor - debulked to the plane of the skull base to define the attachment to the cribriform plate, and this attachment is cauterized with bipolar electrocautery.  Complete sphenoethmoidectomy performed bilaterally  Draf 3 procedure performed to define the anterior resection margin.  Nasal septum transected along the sagittal plane from the crista galli to the sphenoid rostrum approximately 1 cm inferior to the tumor attachment to the septum.  This defines the inferior resection margin.
  • 10.
    The tumor-devascularized bycauterizing and transecting the anterior and posterior ethmoidal arteries , along the fovea ethmoidalis, midway along its course from the orbital margin and lateral lamella  The bone of the anterior cranial base in the periphery of the tumor – thinned to the resection margins, anteriorly to the posterior table of frontal sinus, posteriorly to the planum sphenoidale, and laterally to the medial orbital walls. The thinned bone-gently fractured and elevated inferiorly off the overlying dura.
  • 11.
    Dural incision alongits posterior margin allows removal of the entire dural specimen en bloc . When indicated, the olfactory bulbs and nerves are elevated inferiorly off the overlying brain and transected at the level of the posterior dural margin.  Surgical defect extends from the posterior table of the frontal sinus to the planum sphenoidale & to the medial wall of the orbit on either side. Surgical defect closed by nasoseptal flap Small ipsilateral tumors- ipsilateral resection of the anterior cranial base with preservation of olfaction on the contralateral side can be done. •The dura - cauterized and incised longitudinally along the lateral orbital margins, taking care to avoid injury to cortical vessels.  The crista galli – removed , & attached falx cauterized and transected- facilitates rotating the dural specimen posteriorly
  • 13.
    Large olfactory groovemeningioma. (A) Preoperative (coronal) (B) Axial section close relation of tumor to anterior cerebral arteries at the proximal A2 segment. (C) Intraoperative- The right lamina papyracea removed to expose the periorbita and provide access to the orbital roof. The anterior and posterior ethmoidal arteries coagulated and sectioned to expose the anterior skull base and provide early devascularization of the tumor. (D) Intraoperative- Once the tumor has been extensively debulked, gentle extracapsular dissection is performed. (E) Postoperative-T1-weighted MRI (coronal section) complete resection of the tumor, cribriform plate, and crista galli. The anterior skull base reconstructed with the nasoseptal flap. (F) Postoperative FLAIR sequence MRI (axial section) showing nearly complete resolution of the signal changes and minimal encephalomalacia.
  • 15.
    COMPLICATIONS • Worsening ofvision. • Intraoperative injury to A2 - it eventually led to a subsequent pseudoaneurysm • Bleeding associated with permanent neurologic deficits. • CSF leak- decreased significantly as a vascularized nasoseptal flap used for reconstruction. • Pulmonary embolus/deep venous thrombosis • Seizures • Pituitary dysfunction • Bacterial meningitis • Myocardial infarction • Loss of olfaction (preserved in cases of unilateral resections )
  • 16.
    • Defined bythe removal of the planum sphenoidale and tuberculum sellae to reach skull base. • SURGICAL LIMITS-  Laterally-The optic canals  Anteriorly, the posterior ethmoidal arteries. • The critical anatomic landmark is the medial optic carotid recess. • The most important vital • structures related - the optic nerve - ICAs - the anterior cerebral arteries (A1, Huebner’s, Anterior communicating and perforators). TRANSPLANUM APPROACH
  • 17.
    TRANSPLANUM /TRANSTUBERCULUM APPROACH INDICATIONS  Lesionsinvolving the posterior aspect of the anterior skull base and the suprasellar region.  Tuberculum sellae meningiomas  Giant pituitary adenomas  Craniopharyngiomas  Epidermoid tumors  Rathke cleft cysts
  • 19.
    (A) Pituitary macroadenomawith significant suprasellar extension. (B) Craniopharyngioma with large suprasellar cyst above a normal sized sella. (C) Meningioma of the planum sphenoidale. (D) Meningioma of the tuberculum sellae.
  • 20.
    ADVANTAGES Provides the mostdirect route to midline lesions of the suprasellar cistern Do not place critical neurovascular structures between surgeon & lesion Obviates the need of brain retraction Facilitates complete , b/l optic canal decompresssion without manipulation of compressed optic nerve Enables surgeon to remove bone from base of tumor –site for meningioma recurrence Allow surgeon to interrupt blood supply early in operation
  • 21.
    DIAGNOSTIC WORK UP •Detailed history and physical examination- -cranial nerve examination - -ophthalmologic evaluation -visual field testing -assessment of cognitive function -comprehensive endocrine workup -endoscopic examination of the nasal cavity. • CT/MRI • Angiography ( if carotid artery compromise is suspected or the functional integrity of the circle of Willis requires assessment)
  • 22.
    CONTRAINDICATIONS • Tumor extendingbeyond lateral limit of this module • Patient comorbidities that preclude prolonged anaesthesia • Encasement of critical neurovascular structures- not an absolute c/I but surgeon should proceed only if he/she can safely dissect from these structures & has the ability to address surgial emergency (ICA injury)
  • 23.
    SURGERY • High-concentration adrenalinesoaked cottonoids (1:1000) are placed in the nasal cavity for 10 minutes before the surgical procedure begins. The septum is infiltrated with lidocaine with adrenaline 1:100,000. • Nasoseptal flap created & preserved • The posterior third of the bony septum is resected and a piece of vomeric bone is harvested as a rigid buttress for reconstruction of the skull base. • The sphenoid rostrum opened widely • Bilateral posterior ethmoidectomies done • Sphenoid ostia identified & opened widely • Mucosa of the sphenoid sinus removed • identification of the sella, optic nerves, and ICA is verified with frameless stereotactic image guidance
  • 24.
    • The tuberculumsellae is thinned with a high-speed diamond drill under constant irrigation till halfway down into the sella • The thinned bone removed & continued along the planum sphenoidale until the underlying dura is exposed. • The anterior limit of resection is the fovea overlying the posterior ethmoid sinuses and cribriform plates. • The superior intercavernous sinus is transected to open the suprasellar area and visualize the pituitary stalk and optic chiasm when necessary.
  • 25.
    •The dura cauterizedto interrupt the blood supply to the tumor. • Dural and bony attachments of the meningioma resected to prevent recurrence •Internal decompression •The tumor capsule sharply dissected away methodically starting with the optic nerve . •ICA identified ( just lateral and inferior to the optic nerve) and tumor traced to the chiasm, along the contralateral optic nerve until the associated ICA is identified and free of tumor. •Important structures such as the ACA complex,recurrent artery of Heubner, subchiasmal perforating vessels,optic nerves, and pituitary stalk preserved by sharp dissection off the tumor capsule. •Arteries that may appear to be encased can often be dissected free of the tumor •The resection bed is examined using angled endoscopes, with special attention paid to ensuring that the optic nerves and canals are free of tumor is performed
  • 26.
    Four corridors -toaddress lesions of the suprasellar cistern. • The first corridor - passes in front of the optic chiasm - for meningiomas of the planum and tuberculum sellae. •The second corridor - a prechiasmal approach to the third ventricle. ( between the chiasm and the ACA ) - for pathology high in the third ventricle. •The third corridor - below the chiasm and above the pituitary gland. - for cystic lesions arising from the infundibulum that extend into the third ventricle. • The fourth corridor- beneath the pituitary gland (requires superior mobilization of the gland), - for lesions such as craniopharyngiomas,chordomas, and petroclival meningiomas located behind the pituitary gland and infundibulum
  • 27.
    Surgical defect reconstructedwith fat to prevent pooling of cerebrospinal fluid (CSF) at the bony defect- a “gasketseal” closure done – nasoseptal flap then rotated to cover the defect, and a tissue sealant (DuraSeal) is used to secure the multilayer graft in place
  • 28.
    COMPLICATIONS  INTRAOPERATIVE • Arterial/ venous bleeding • Cranial nerve injury • Damage to pituitary gland , stalk & hypothalamus  POSTOPERATIVE • CSF leak • Meningitis • Hematoma formation • Sinusitis • Synechia formation
  • 29.
    TRANSCLIVAL APPROACH • Theclivus extends from the dorsum sellae to the foramen magnum. • Transclival approaches - divided into partial (superior, middle, inferior) & complete clivus removal. • A transclival approach provides direct access to the brainstem and vertebrobasilar arterial system.
  • 30.
    INDICATIONS • Meningiomas • Chordomas. •Chondrosarcomas • Cholesterol granulomas • Mucocele • Rarely, an aneurysm that cannot be treated by endovascular means or with significant mass effect may be accessed via this approach and clipped
  • 31.
    • The upperthird - related to the dorsum sellae in the midline and the posterior clinoids in the paramedian region-removed either intradurally via a transsellar approach or extradurally via a subsellar corridor by first performing a superior pituitary transposition • Removal of these structures can provide access to the basilar artery and interpeduncular cistern •The middle clivus - directly accessed at the posterior aspect of the sphenoid sinus and its resection is limited laterally by both ICAs ascending in the paraclival areas. •The lower third of the clivus- bone drilling continues inferiorly- limited laterally by the fossa of Rosenmuller and the torus tubarius. • A panclivectomy can extend all the way from the dorsum sellae and posterior clinoids up to the basion at the foramen magnum. •The most germane structures for this module - the brain stem, cranial nerves II, III and VI, basilar and vertebral arteries, superior cerebellar arteries, posterior cerebral arteries & respective perforators
  • 32.
    ADVANTAGES • Avoid anycerebral retraction • To decrease the incidence of injury to the lower cranial nerves.
  • 33.
    CONTRAINDICATIONS • Patient comorbiditiesthat might preclude them from prolonged general anesthesia; • Unfavorable anatomy, such as small sphenoid sinus or diminished space between the internal carotid arteries- makes drilling the clival bone more difficult and risky • Lack of multidisciplinary team cooperation and interaction • Lack of specialized equipment/instruments
  • 34.
    DIAGNOSTIC WORKUP  Thephysical examination- neurologic assessment with a special focus on cranial nerve function.  Endoscopic assessment of the nasal cavity- to visualize any nasal lesions and document septal integrity, deviations, and other anatomical findings.  An ophthalmologic examination including a visual field examination
  • 35.
    IMAGING • Coronal, axial,and parasagittal CT of the paranasal sinuses and skull base - preoperative assessment for surgery , evaluate the size of the sphenoid sinus, the position of the internal carotid artery, especially its paraclival portion, and the thickness of the clivus in the sagittal plane. • MRI - to demonstrate the morphology of the soft tissues , for involvement of the carotid artery , vertebrobasilar system & dural sinuses • Magnetic resonance angiography (MRA) or CT angiography(CTA)- to assess relationship between the basilar and internal carotid arteries and the pathology • to verify the functional integrity of the circle of Willis and the extent of any carotid artery compromise, and to differentiate an aneurysm from a tumor
  • 36.
    SURGERY  High-concentration adrenalinesoaked cottonoids (1:1000) are placed in the nasal cavity for10 minutes before the surgical procedure begins. The septum is infiltrated with lidocaine with adrenaline 1:100,000  Nasoseptal flap created and preserved • B/l ethmoidectomy performed • The sphenoid rostrum and anterior wall of the sphenoid sinus exposed. • The mucosal flap is lifted until both natural sphenoid ostia are in view. • A wide opening of the anterior sphenoid sinus wall created
  • 37.
    The sinus mucosathat lines the clival area reflected , exposing the clival bone. Care is taken to ensure complete hemostasis at this point in the procedure.  The field should be completely dry before proceeding to the next stage of the procedure Clival bone fully exposed, and removed by drilling  The limits of the clival bone removal are the floor of the sella superiorly, the foramen magnum inferiorly, and the internal carotid arteries and occipital condyles laterally. Exposure at the start of drilling the clival bone. The distance between the internal carotid arteries is an important factor in determining surgical access to this area
  • 38.
    For intradural exposure,the external layer of the dura is first incised with a No. 11 blade. Bleeding in the basilar plexus not cauterized but packed with hemostatic material The opening of the internal layer of the dura at the level of the middle and superior clivus must be accomplished with great care to avoid injury to the underlying basilar artery. Once the dura opened, minor bleeding is stopped by bipolar coagulation, and finally the 0-degree endoscope carefully introduced into the intradural space. Once the anatomy is appreciated, identify the major vessels of the posterior fossa (basilar artery and branches, anterior inferior cerebellar artery [AICA], vertebral arteries, superior cerebellar and posterior cerebral arteries); the intradural course of cranial nerves III, IV, V, and VI; the brainstem; and the mamillary bodies. The cerebellopontine angle, cranial nerves VII through XII, and retrosellar regions are best visualized with the 45-degree endoscope
  • 39.
    Meticulous dissection isrequired to remove the lesion. At the end of the procedure, the dural defect is sealed with fat and fascia lata, and covered with the flap. The packing is positioned and stays for as long as necessary.
  • 40.
    Endoscopic anatomy following clival resection.(A) Anatomical specimen demonstrating midline structures. (B) Corresponding intraoperative view. (C) Anatomical specimen demonstrating left cerebellopontine angle (CPA) using a 45-degree endoscope. (D) Corresponding intraoperative view of the left CPA.
  • 41.
    COMPLICATIONS • Cerebrospinal fluid(CSF) leakage • Nasal bleeding • Bleeding from internal carotid artery, intracranial bleeding, venous bleeding, • Cranial nerve injuries • Infections • Orbital hematoma • Nasal synechia • Nasal infection.
  • 42.
    •Used for resectionof the odontoid process in degenerative / inflammatory diseases or to allow for exposure of the ventral medulla and upper cervical spinal cord. • INDICATIONS Foramen magnum meningiomas  To decompress the brainstem in rheumatoid arthritis patients with degeneration of the upper cervical spine due to compressive pannus •It is defined by the removal of the odontoid process of the axis (second vertebra) . This approach is an extension of the transclival approach. •The lower third of the clivus is exposed as well as the anterior arch of C1 after dissection of the nasopharyngeal mucosa and the rectus capitis anterior muscle. • The arch of C1 is drilled and the odontoid process is exposed and drilled out. •Pannus removed by sharp and blunt dissection TRANSODONTOID APPROACH
  • 43.
    •The most vitalneurovascular structures for this module are the vertebral arteries,  posterior inferior cerebellar arteries (PICAs), brain stem  lower cranial nerves. The ICAs have to be considered as a risk factor as well because occasionally they can be positioned close to the midline in their parapharyngeal segment under the mucosa Preoperative CT scan of a patient with brainstem compression secondary to rheumatoid degeneration (arrow). Decompression is achieved with removal of the odontoid process to the body of C2 and pannus resection
  • 44.
    TRANSORBITAL APPROACH • Atransorbital approach may be used for access to tumors located within the orbit. The dissection can be extraconal or intraconal.
  • 46.
    INDICATIONS • Resection ofsinonasal lesions that are invading the medial wall of the orbit as sinonasal malignances • To decompress the optic nerves in the presence of unresectable intraconal pathologies • To access intraconal diseases with the goal of resection as for schwannomas, cavernomas and meningiomas.
  • 47.
    ADVANTAGES • Posterior accessto pathology near the orbital apex is excellent via an endoscopic approach. • The near vision easy identification of the optic nerve transition to the orbit apex and fibrous annulus. • Avoid disruption of the orbicularis oculi, lacrimal pump, or canthal ligament disruption.
  • 48.
    CONTRAINDICATIONS • ABSOLUTE  pathologylateral to the neural axis  a lack of specialized equipment and expertise • RELATIVE  Presence of acute/ subacute sinusitis
  • 49.
    SURGERY • It isdefined by the removal of the lamina papyracea or the medial optic canals. • Requires a wide resection of the anterior and posterior ethmoid cells to expose the lateral wall of the sinonasal cavity. • The surgical field is limited laterally by the lamina papyracea and orbital apex deeply • The most important vital structures related to this module are the optic nerves, the anterior and posterior ethmoidal arteries and the ophthalmic artery with its central retina artery branch. • The ocular muscles must be well identified during surgery and dissection can be performed in between them. • Subconjunctival localization and mobilization of eye muscles are extremely helpful during endonasal endoscopic procedures.
  • 50.
    ENDOSCOPIC OPTIC NERVE DECOMPRESSION •The most common indication for endoscopic optic nerve decompression is traumatic optic neuropathy • Medical Therapy for Traumatic Optic Nerve Injury- Methylprednisolone 30 mg/kg intravenous (IV) loading dose is given followed by an infusion of 5.4 mg/kg/hour thereafter
  • 51.
    Surgical intervention isconsidered if thepatient fills any of the criteria listed below:  Fracture of optic canal on CT scan with vision less than 6/60  Fracture of the optic canal with vision . 6/60 but the patient’s vision deteriorates on steroids  Vision is , 6/60 (or there is a deterioration of vision) after 48 hours of steroid treatment with probable canal injury
  • 52.
    PROCEDURE • Cotton pledgetscontaining adrenaline 1:1000 are placed in the nasal cavity over the areas of surgical access for 10 minutes before the surgical procedure. • The lateral nasal wall and septum are infiltrated with 1% Naropin with adrenaline 1:100.000. • An uncinectomy, wide antrostomy combined with anterior and posterior ethmoidectomy is performed. • The antrostomy is widened superiorly to ensure that the maxillary sinus roof can be easily seen. This defines the orbital floor, allows easier skeletonization of the medial orbital wall, places the infraorbital canal on view, and is an important landmark for defining the level of the skull base posteriorly
  • 53.
    • Sphenoidotomy performed •The sphenoid should be inspected and the optic nerve, carotid artery and pituitary fossa identified. Cadaveric dissection image taken of the left sphenoid sinus demonstrating the fovea ethmoidalis (FE) and lamina papyracea (LP). ON, optic nerve; CCA, anterior genu of the intracavernous carotid artery; L. OCR, lateral opticocarotid recess; ISS, sphenoid intersinus septum; SS, sphenoid sinus; MS, maxillary sinus; MT, middle turbinate
  • 54.
    •The thick boneoverlying the junction of the orbital apex and sphenoid sinus known as the optic tubercle is thinned out with burr •blunt Freer elevator is pushed through the lamina papyracea ,1.5 cm anterior to the junction of the posterior ethmoids air cell(s) and the sphenoid •The bone of the posterior orbital apex flaked off •Once the bone over the orbital apex is removed the bone of the optic canal is approached. •Once all the bone has been cleared off the optic canal and the underlying optic nerve sheath is clearly visible, the sheath is incised • The location of the ophthalmic artery should be kept in mind. The ophthalmic artery usually runs in the posteroinferior quadrant of the nerve. •Therefore , the nerve is incised in the upper medial quadrant
  • 55.
    •This incision iscontinued onto the orbital periosteum of the posterior orbital apex with resultant protrusion of orbital fat • The orbital fat covering this area of the medial rectus muscle is thin and care should be taken to avoid injuring this muscle •No packs are placed on the nerve or in the sinuses. COMPLICATIONS •CSF LEAKS •Internal carotid artery injury
  • 56.
    Cadaveric dissection imageof the left sphenoid sinus. The anterior face of the sphenoid has been removed so that the roof of the sphenoid and posterior ethmoids is continuous. A diamond burr has been used to allow the removal of bone at the junction of the orbital apex and sphenoid sinus (the optic tubercle). The lamina papyracea (LP) has been removed 1.5 cm from the junction of the posterior ethmoids with the sphenoid sinus, exposing periorbita (PO The thin bone overlying the orbital apex and optic nerve is gently flaked off
  • 57.
    The optic nervesheath (ONS) is incised to release the optic nerve. PO, periorbita; ISS, intersinus septum. Cadaveric dissection of the lateral wall of the left sphenoid sinus. The optic sheath and periorbita (PO) of the orbital apex has been incised. PS, planum sphenoidale; CCA, anterior genu of the intracavernous carotid artery; L. OCR, lateral opticocarotid recess; OS, optic sheath