Surgical approaches to skull base
Dr Ajay kumar
Mch PDT Dept of neurosurgery BIN
Kolkata
The skull base surgery is one of the most
demanding surgeries. There are different
structures that can be injured easily, by
operating in the skull base. It is very important
for the neurosurgeon to choose the right
approach in order to reach the lesion without
harming the other intact structures.
• Due to the pioneer work of Cushing, Hirsch,
Yasargil, Krause, Dandy and other dedicated
neurosurgeons, it is possible to address the
tumor and other lesions in the anterior, the
mid-line and the posterior cranial base. With
the transsphenoidal, the frontolateral, the
pterional and the lateral suboccipital approach
nearly every region of the skull base is
exposable.
Approaches
1) pterional approach
2) frontolateral approach
3) transsphenoidal approach
4) suboccipital lateral approach
These approaches can be extended and
combined with each other
Pterional approach
Historical overview
In the 1970 s Yasargil laid to the foundation of
the pterional approach.The pterional approach
allows the surgeon to address the circle of Willis
and also pathological changes in cavernosinus
area.
The pterional approach is the standard surgical
treatment for aneurysms in the anterior circle of
Willis. During the Cushing era the term "nole mi
tangere" ("don't touch me") was a rule for
neurological surgeons, which considered treating
intracranial aneurysms.
Surgical technique
There are many variants for the pterional
approach. Mainly it is a trepanation which
permits access to the frontal and to the
temporal lobe as well as the Sylvian fissure .
.
• Positioning - the patient should be placed
supine, with the shoulder at the edge of the
surgical table in a neutral position, and head
and neck remain suspended after removal of
the head support
• The head should be secured by a three-pin
skull fixation devise (Mayfield or Sugita model)
and must be maintained above the level of the
right atrium to facilitate venous return.
• There is a sequence of five movements for the
positioning of the head: traction, lifting,
deflection, rotation and torsion.
• Skin marking starts at the superior rim of the
zygomatic arch anterior to the tragus, and
extend up to the midline of the skull in the
frontal region, respecting the hairline
whenever possible
• the interfacial dissection of the temporalis
muscle, as originally described by Yasargil, is
specifically intended to preserve the
frontotemporal branch of the facial nerve and
reduce postoperative cosmetic changes
resulting from the surgical wound.
The pterional craniotomy should be performed starting
from three points of trepanation
• The first trepanation must be set between the
superior temporal line and the frontozygomatic
suture of the external orbital process;
• the second trepanation is performed on the most
posterior extension of the superior temporal line;
• third one should be made on the inferior portion
of the squamous part of the temporal bone
• In cases of prominent sphenoid wing, the
osteotomy of that segment should be
complemented with the use of drilling,
• After the trepanations, the dura must be
properly detached from the internal bone
surface with the aid of dissectors suitable for
this purpose.
• Basal drilling - the purpose of the drilling of
the lesser wing of the sphenoid bone is to
achieve bone flattening to facilitate the basal
access with minimal brain retraction, which
will be further optimized with cisternal
opening and the aspiration of cerebrospinal
fluid
• Intraoperative view,
left pterional approach.
The tumor bulges
behind the internal
carotid artery. In front
of the tumor the left
optic nerve can be seen.
Behind the tumor the
oculomotor nerve is
demonstrated
Image of the pituitary
stalk. The pituitary stalk
is demonstrated with
the suction tip behind
the chiasm.
Fronto lateral approach
Historical overview
• The frontolateral or unilateral subfrontal
approach provides exposure of the anterior
cranial base.
• It allows addressing olfactory groove
meningiomas (OGMs) by a minimally invasive
procedure.
Surgical technique
• This approach allows different skin incisions
• The trepanation above the pterion and above
the temporal muscle follows a curved skin
incision or an eyebrow skin incision
• The trepanation of an approximately 3 × 4-cm
frontolateral craniotomy allows the entry to the
anterior fossa. It is essential to include
radiological data of the patient in order to
prepare a performance of a sophisticated
approach such as the frontolateral approach.
• A common iatrogenic injury is the injury of
superficial structures. The super ciliary skin
incision allows the surgeon to protect superficial
structures like the frontal branches of the facial
nerve and the superficial temporal artery.
• Perneczky led to the development of
endoscopical approaches using the supraorbital
"key-hole" approach . Via endoscopic techniques
it is possible to provide relatively great exposure,
while offering less brain retraction
• Intraoperative view
from the right side. The
cystic lesion (Rathke's
cleft cyst) can be
detected behind the
optic nerves
Trans-sphenoidal approach
• Historical overview
• The transsphenoidal route was first used by the
Egyptians in order to remove the brain.
• The pioneer work of Harvey Cushing and Oskar Hirsch
led to one of the most efficient ways to operate in the
sellar region.
• Cushing advocated the approach sublabially and Hirsch
accessed the sellar region endonasally
• Sir Victor Horsley was the first to operate on the
pituitary gland.
Surgical technique
• The classic technique begins with the patient
in supine position. An x-ray machine is
positioned laterally to control each step of
intervention.
• In microsurgery the surgeon stands at the tip
of the head whereas in pure endoscopic
pituitary surgery the neurosurgeon stands at
the shoulder of the patient.
• After incising the septal mucosa and revealing
the anterior wall of the sphenoid sinus, the
anterior wall of the sphenoid sinus will be
removed with punch forceps . Then excise the
sinus mucosa. After opening the dura , the
tumor must be indentified in order to
extirpate it with a curette by using lateral
extensions.
• Incision inside the nasal ostium
• Partial resection of bony septum
• Opening of the sellar floor
• The dura is exposed and opened
• The tumor is resected with a curette
suboccipital lateral approach
/retrosigmoid approach (RSA)
Historical overview
• The posterior cranial base can be explored
through the lateral suboccipital route.
• Processes in the posterior fossa such as
acoustic neuroma surgery can be carried out
through the lateral suboccipital approach.
• The unilateral suboccipital approach was
popularized by Woolsey (1903) and with great
contributions by Krause (1905)
• After several refinements and modifications
through different dedicated neurosurgeons (Fish ,
House and Seiffert , Dandy's suboccipital
approach (1917) with an ipsilateral suboccipital
flap evolved to what we call retrosigmoid
transmeatal approach.
• Cushing (1917) on the other hand described a
bilateral suboccipital access and stated the
unilateral suboccipital approach as
disadvantageous.
• Surgical techniqu
• semi-sitting position/ lateral position for the
suboccipital lateral route .
• After local shaving of the hair behind the pinna
and disinfection of the surgical field,
• A slightly curved skin incision 2–2.5cm medial to
the mastoid process is performed and the
underlying muscles are incised in line with the
skin .
• If the foramen magnum area has to be
approached, however, the caudal end of the
incision has to be extended further towards
midline.
• The question as to whether to perform a
craniectomy or craniotomy is a matter of
individual preference and institutional
tradition,the one-piece craniotomy is a more
dangerous procedure in regard to the safety of
venous sinuses and the risk of a dural tear. After
the initial burr hole is made, the craniectomy
done.
• Now the sigmoid sinus and parts of the
transverse sinus are exposed with the drill.
• Patient in the semi-sitting position. The hair is shaved
and the later skin incision is marked
• Attention should be paid to the variable
emissary veins, which lead to the sigmoid
sinus. First the dura should be opened under
microscopic magnification in a triangular
shape to gain cerebrospinal fluid and in order
to relax the cerebellum.
• Then the dura has to be opened near the
sinus via a curved skin incision that connects
with the previous dural opening
C2 Rhizotomy
• This surgical approach is used primarily to
treat medically refractory occipital neuralgia.
• The surgical target is to perform a posterior
cervical C1 hemilaminectomy to access the C2
dorsal nerve roots for selective rhizotomy. This
can provide relief for neuropathic pain
localized to the occiput.
• The patient placed prone on the operating room table. The
head is kept in the midline position and maximally flexed as
the patient’s anatomy will allow. This widens the exposure
above and below the lamina of C1.
• A midline posterior cervical incision is used. Once the
unilateral exposure is completed, removal of the ipsilateral
C1 lamina is performed. This allows access to the cervical
dura at the level of the C2 nerve roots.
• The dura is opened in the middle of the exposure to expose
the lateral spinal cord and dorsal exiting roots. The C2
dorsal nerve roots are carefully selected and ligated.
• The dura is then sutured watertight to prevent a spinal
fluid leak.
Trans-petrous approaches
• Translabyrinthine approach
The gate of this approach is the mastoid (a
retroauricular-transmastoid approach), and the
target is the internal auditory canal and CPA .
• The approach removes the bone lying between
the petrous dura-sigmoid sinus posteriorly and
the mastoid fallopius anteriorly.
• The facial nerve, cochlea, tympanic cavity and
outer ear canal are left in place
.
• The occipital bone in the retrosigmoid area is
partially drilled to expose the retrosigmoid dura
and allow retraction of the sigmoid sinus. The
dura of the temporal lobe, in the retro- and pre-
sigmoid area, is exposed.
• Once the approach is finished, the jugular bulb is
the inferior limit. The temporal dura, superior
petrosal sinus and tentorium are the superior
limits of the approach. The presigmoid dura is
transected and the CPA is entered
Translabyrinthine-transapical approach
This an extension of the translabyrinthine
approach to the petrous apex .
• In the translabyrinthine approach, the
anterior wall of the canal may represent an
obstacle to the anterior CPA. Removing all of
the petrous apex around the canal brings
about the concept of surgical unity of the
petrous bone and CPA. This allows early and
wider exposure of the anterior CPA,
Translabyrinthine-transapical
approach
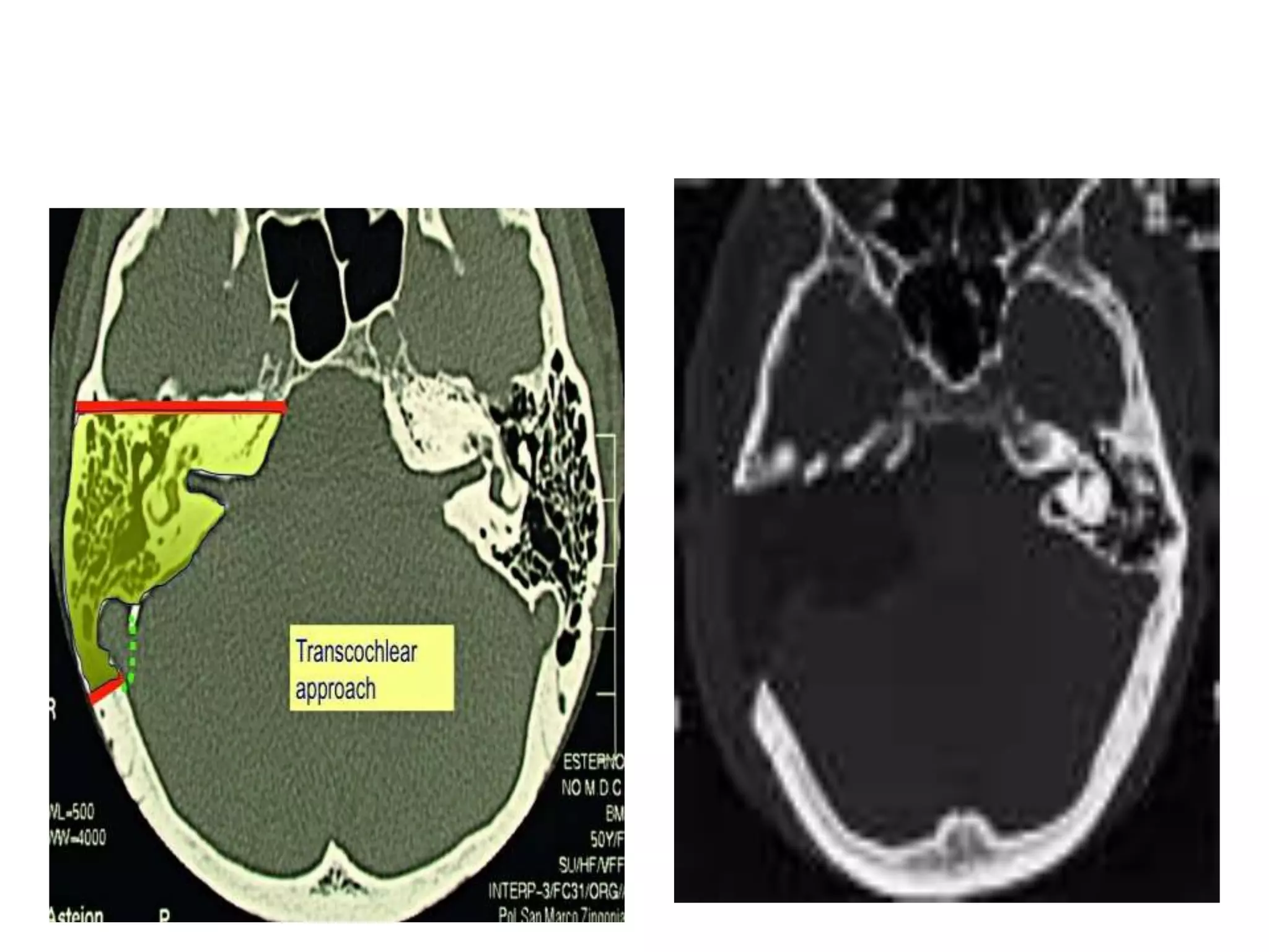
• Transcochlear approach
• The transcochlear approach is an extension of the
translabyrinthine approach, with three main
additional steps: removal of outer ear canal and
tympanum and entire petrous bone up to the
clivus, posterior transposition of the facial nerve,
drilling of the cochlea and closure of the external
auditory canal
• The approach gives wide access to the CPA and is
suitable for large lesions with anterior extension
into the prepontine cistern. The cavity is filled
with fat. The approach is the widest
surgical corridor in the lateral skull base.
• The complete petrous bone is removed
including the external ear and middle ear
• The approach allows good exposure of the
complete CPA, with the surgical corridor
extending from the anterior wall of the
external ear canal to the clivus, making a
surgical cavity of the entire petrous bone
• Pre-sigmoid-retrolabyrinthine approach
(conservative petrosectomy), transtentorial and
subtemporal
• This surgical corridor extends between the
sigmoid sinus, which lies posteriorly and the
labyrinth, which is the anterior boundary.
• The facial nerve is skeletonized but left in place.
This is a classical retro-auricular-trans-mastoid
approach, otherwise termed "conservative
petrosectomy".
• It is a narrow corridor. It allows access to the
area of dura from sigmoid to labyrinth, and to the
adjacent portion of the posterior CPA
• Infratemporal approaches
• Approach that exposes the inferior aspect of
the temporal bone, with the jugular foramen
and the adjacent area of the parapharyngeal
space including the jugulo-carotid vessels .
• A large retroauricular and upper neck incision
opens the entry area. The dissection of the upper
neck exposes the jugular vein and carotid artery.
Removal of the outer ear canal and anterior
transposition of the VII cranial nerve allow drill
out removal of the infralabyrinthine petrous bone
up to the entire jugular foramen, to the occipital
condyle and low clivus.
• This typical skull base approach allows removal
of lesions from the CPA to the jugular foramen
and parapharyngeal space.
Endoscopic Skull Base Surgery
• Endoscopic skull base surgery has undergone
rapid advancement in the past decade moving
from pituitary surgery to suprasellar lesions
and now to a lesions extending from the
cribriform plate to C2 and laterally out to the
infratemporal fossa and petrous apex.
• The history of endoscopic skull base surgery is de
facto the history of pituitary surgery.
The first pituitary operation was likely performed by
Sir Victor Horsley in 1889 via a transfrontal
approach
Schloffer who is widely regarded as the father of
modern pituitary surgery.
• There are several distinct anatomic regions of the skull
base that are accessible via a transnasal endoscopic
approach:
• cribriform,
• parasellar,
• clivus,
• spinomedullary junction
• petrous apex,
• pterygopalatine and infratemporal fossa
Standard Endoscopic Approach
In the standard endoscopic approach to the sellar region
• the endoscope is introduced through the right nostril,
close to the floor of the nasal cavity.
• The first structures to be identified are the inferior
turbinate, the middle turbinate, and the nasal septum.
• The head of the middle turbinate is dislocated laterally
to widen further the space between the middle
turbinate and the nasal septum and to create an
adequate surgical pathway in the posterior nasal cavity
• As the endoscope advances into the nasal cavity,
it reaches the choana, which represents the
main, inferior landmark of the approach.
• Its medial margin is the vomer, which confirms
the “midline” of the approach, whereas its roof is
shaped by the inferior wall of the sphenoidal
sinus. Lateral to the choana is the tail of the
inferior turbinate.
• The endoscope is then angled rostrally until it
reaches the sphenoid ostium, which is usually
located approximately 1.5 cm above the roof of
the choana .
• Sometimes, especially in a well-pneumatized
sphenoidal sinus, the ostium cannot be visualized
because it is covered by the superior turbinate. In
these cases, the superior turbinate can be gently
lateralized or removed to expose the ostium and gain
access to the sphenoidal sinus through its
enlargement.
• After identification of the sphenoid cavity, the nasal
septum is separated from the sphenoid rostrum.
• The whole anterior wall of the sphenoidal sinus is
enlarged circumferentially, taking care not to enlarge
the sphenoidotomy too much in the inferolateral
direction, where the sphenopalatine artery and its
major branches lie
• After removal of the sphenoid septa, the
posterior and lateral walls of the sphenoidal sinus
are visible, with the sellar floor at the center
• Lateral to the sellar floor, the osseous
prominences of the ICA and the optic nerve can
be seen, and between them is the opticocarotid
recess, molded by the pneumatization of the
optic strut of the anterior clinoid process
• The sella can be opened in many different ways. If
the tumour has eroded part of the bone then it is
quite easy to use the smallest Kerrison punch to
remove loose bone to expose the dura.
• If the bone is firm and does not break easily with
the pressure of the punch, then an osteotome
may be used to make a window in the sella which
can then be enlarged using punches
• The another option is to use a drill to thin the
bone prior to opening it
• The dura is incised using 15 number knife in a
cruciate fashion. Occasionally there may be
bleeding from the cut ends of the dura which
needs to be cauterized with bipolar forceps.
• Once the dura is incised, soft tumour usually
pops out .Further tumour removal is done
using ring curettes
• THANK YOU

Surgical approaches to skull base

  • 1.
    Surgical approaches toskull base Dr Ajay kumar Mch PDT Dept of neurosurgery BIN Kolkata
  • 2.
    The skull basesurgery is one of the most demanding surgeries. There are different structures that can be injured easily, by operating in the skull base. It is very important for the neurosurgeon to choose the right approach in order to reach the lesion without harming the other intact structures.
  • 3.
    • Due tothe pioneer work of Cushing, Hirsch, Yasargil, Krause, Dandy and other dedicated neurosurgeons, it is possible to address the tumor and other lesions in the anterior, the mid-line and the posterior cranial base. With the transsphenoidal, the frontolateral, the pterional and the lateral suboccipital approach nearly every region of the skull base is exposable.
  • 4.
    Approaches 1) pterional approach 2)frontolateral approach 3) transsphenoidal approach 4) suboccipital lateral approach These approaches can be extended and combined with each other
  • 5.
    Pterional approach Historical overview Inthe 1970 s Yasargil laid to the foundation of the pterional approach.The pterional approach allows the surgeon to address the circle of Willis and also pathological changes in cavernosinus area. The pterional approach is the standard surgical treatment for aneurysms in the anterior circle of Willis. During the Cushing era the term "nole mi tangere" ("don't touch me") was a rule for neurological surgeons, which considered treating intracranial aneurysms.
  • 6.
    Surgical technique There aremany variants for the pterional approach. Mainly it is a trepanation which permits access to the frontal and to the temporal lobe as well as the Sylvian fissure . .
  • 7.
    • Positioning -the patient should be placed supine, with the shoulder at the edge of the surgical table in a neutral position, and head and neck remain suspended after removal of the head support • The head should be secured by a three-pin skull fixation devise (Mayfield or Sugita model) and must be maintained above the level of the right atrium to facilitate venous return.
  • 9.
    • There isa sequence of five movements for the positioning of the head: traction, lifting, deflection, rotation and torsion. • Skin marking starts at the superior rim of the zygomatic arch anterior to the tragus, and extend up to the midline of the skull in the frontal region, respecting the hairline whenever possible
  • 10.
    • the interfacialdissection of the temporalis muscle, as originally described by Yasargil, is specifically intended to preserve the frontotemporal branch of the facial nerve and reduce postoperative cosmetic changes resulting from the surgical wound.
  • 11.
    The pterional craniotomyshould be performed starting from three points of trepanation • The first trepanation must be set between the superior temporal line and the frontozygomatic suture of the external orbital process; • the second trepanation is performed on the most posterior extension of the superior temporal line; • third one should be made on the inferior portion of the squamous part of the temporal bone
  • 12.
    • In casesof prominent sphenoid wing, the osteotomy of that segment should be complemented with the use of drilling, • After the trepanations, the dura must be properly detached from the internal bone surface with the aid of dissectors suitable for this purpose.
  • 13.
    • Basal drilling- the purpose of the drilling of the lesser wing of the sphenoid bone is to achieve bone flattening to facilitate the basal access with minimal brain retraction, which will be further optimized with cisternal opening and the aspiration of cerebrospinal fluid
  • 15.
    • Intraoperative view, leftpterional approach. The tumor bulges behind the internal carotid artery. In front of the tumor the left optic nerve can be seen. Behind the tumor the oculomotor nerve is demonstrated
  • 16.
    Image of thepituitary stalk. The pituitary stalk is demonstrated with the suction tip behind the chiasm.
  • 17.
    Fronto lateral approach Historicaloverview • The frontolateral or unilateral subfrontal approach provides exposure of the anterior cranial base. • It allows addressing olfactory groove meningiomas (OGMs) by a minimally invasive procedure.
  • 18.
    Surgical technique • Thisapproach allows different skin incisions • The trepanation above the pterion and above the temporal muscle follows a curved skin incision or an eyebrow skin incision • The trepanation of an approximately 3 × 4-cm frontolateral craniotomy allows the entry to the anterior fossa. It is essential to include radiological data of the patient in order to prepare a performance of a sophisticated approach such as the frontolateral approach.
  • 20.
    • A commoniatrogenic injury is the injury of superficial structures. The super ciliary skin incision allows the surgeon to protect superficial structures like the frontal branches of the facial nerve and the superficial temporal artery. • Perneczky led to the development of endoscopical approaches using the supraorbital "key-hole" approach . Via endoscopic techniques it is possible to provide relatively great exposure, while offering less brain retraction
  • 21.
    • Intraoperative view fromthe right side. The cystic lesion (Rathke's cleft cyst) can be detected behind the optic nerves
  • 22.
    Trans-sphenoidal approach • Historicaloverview • The transsphenoidal route was first used by the Egyptians in order to remove the brain. • The pioneer work of Harvey Cushing and Oskar Hirsch led to one of the most efficient ways to operate in the sellar region. • Cushing advocated the approach sublabially and Hirsch accessed the sellar region endonasally • Sir Victor Horsley was the first to operate on the pituitary gland.
  • 23.
    Surgical technique • Theclassic technique begins with the patient in supine position. An x-ray machine is positioned laterally to control each step of intervention. • In microsurgery the surgeon stands at the tip of the head whereas in pure endoscopic pituitary surgery the neurosurgeon stands at the shoulder of the patient.
  • 24.
    • After incisingthe septal mucosa and revealing the anterior wall of the sphenoid sinus, the anterior wall of the sphenoid sinus will be removed with punch forceps . Then excise the sinus mucosa. After opening the dura , the tumor must be indentified in order to extirpate it with a curette by using lateral extensions.
  • 25.
    • Incision insidethe nasal ostium
  • 26.
    • Partial resectionof bony septum
  • 27.
    • Opening ofthe sellar floor
  • 28.
    • The durais exposed and opened
  • 29.
    • The tumoris resected with a curette
  • 30.
    suboccipital lateral approach /retrosigmoidapproach (RSA) Historical overview • The posterior cranial base can be explored through the lateral suboccipital route. • Processes in the posterior fossa such as acoustic neuroma surgery can be carried out through the lateral suboccipital approach. • The unilateral suboccipital approach was popularized by Woolsey (1903) and with great contributions by Krause (1905)
  • 31.
    • After severalrefinements and modifications through different dedicated neurosurgeons (Fish , House and Seiffert , Dandy's suboccipital approach (1917) with an ipsilateral suboccipital flap evolved to what we call retrosigmoid transmeatal approach. • Cushing (1917) on the other hand described a bilateral suboccipital access and stated the unilateral suboccipital approach as disadvantageous.
  • 32.
    • Surgical techniqu •semi-sitting position/ lateral position for the suboccipital lateral route . • After local shaving of the hair behind the pinna and disinfection of the surgical field, • A slightly curved skin incision 2–2.5cm medial to the mastoid process is performed and the underlying muscles are incised in line with the skin . • If the foramen magnum area has to be approached, however, the caudal end of the incision has to be extended further towards midline.
  • 33.
    • The questionas to whether to perform a craniectomy or craniotomy is a matter of individual preference and institutional tradition,the one-piece craniotomy is a more dangerous procedure in regard to the safety of venous sinuses and the risk of a dural tear. After the initial burr hole is made, the craniectomy done. • Now the sigmoid sinus and parts of the transverse sinus are exposed with the drill.
  • 34.
    • Patient inthe semi-sitting position. The hair is shaved and the later skin incision is marked
  • 35.
    • Attention shouldbe paid to the variable emissary veins, which lead to the sigmoid sinus. First the dura should be opened under microscopic magnification in a triangular shape to gain cerebrospinal fluid and in order to relax the cerebellum. • Then the dura has to be opened near the sinus via a curved skin incision that connects with the previous dural opening
  • 36.
    C2 Rhizotomy • Thissurgical approach is used primarily to treat medically refractory occipital neuralgia. • The surgical target is to perform a posterior cervical C1 hemilaminectomy to access the C2 dorsal nerve roots for selective rhizotomy. This can provide relief for neuropathic pain localized to the occiput.
  • 37.
    • The patientplaced prone on the operating room table. The head is kept in the midline position and maximally flexed as the patient’s anatomy will allow. This widens the exposure above and below the lamina of C1. • A midline posterior cervical incision is used. Once the unilateral exposure is completed, removal of the ipsilateral C1 lamina is performed. This allows access to the cervical dura at the level of the C2 nerve roots. • The dura is opened in the middle of the exposure to expose the lateral spinal cord and dorsal exiting roots. The C2 dorsal nerve roots are carefully selected and ligated. • The dura is then sutured watertight to prevent a spinal fluid leak.
  • 38.
    Trans-petrous approaches • Translabyrinthineapproach The gate of this approach is the mastoid (a retroauricular-transmastoid approach), and the target is the internal auditory canal and CPA . • The approach removes the bone lying between the petrous dura-sigmoid sinus posteriorly and the mastoid fallopius anteriorly. • The facial nerve, cochlea, tympanic cavity and outer ear canal are left in place .
  • 40.
    • The occipitalbone in the retrosigmoid area is partially drilled to expose the retrosigmoid dura and allow retraction of the sigmoid sinus. The dura of the temporal lobe, in the retro- and pre- sigmoid area, is exposed. • Once the approach is finished, the jugular bulb is the inferior limit. The temporal dura, superior petrosal sinus and tentorium are the superior limits of the approach. The presigmoid dura is transected and the CPA is entered
  • 41.
    Translabyrinthine-transapical approach This anextension of the translabyrinthine approach to the petrous apex . • In the translabyrinthine approach, the anterior wall of the canal may represent an obstacle to the anterior CPA. Removing all of the petrous apex around the canal brings about the concept of surgical unity of the petrous bone and CPA. This allows early and wider exposure of the anterior CPA,
  • 42.
  • 43.
    • Transcochlear approach •The transcochlear approach is an extension of the translabyrinthine approach, with three main additional steps: removal of outer ear canal and tympanum and entire petrous bone up to the clivus, posterior transposition of the facial nerve, drilling of the cochlea and closure of the external auditory canal • The approach gives wide access to the CPA and is suitable for large lesions with anterior extension into the prepontine cistern. The cavity is filled with fat. The approach is the widest surgical corridor in the lateral skull base.
  • 44.
    • The completepetrous bone is removed including the external ear and middle ear • The approach allows good exposure of the complete CPA, with the surgical corridor extending from the anterior wall of the external ear canal to the clivus, making a surgical cavity of the entire petrous bone
  • 46.
    • Pre-sigmoid-retrolabyrinthine approach (conservativepetrosectomy), transtentorial and subtemporal • This surgical corridor extends between the sigmoid sinus, which lies posteriorly and the labyrinth, which is the anterior boundary. • The facial nerve is skeletonized but left in place. This is a classical retro-auricular-trans-mastoid approach, otherwise termed "conservative petrosectomy". • It is a narrow corridor. It allows access to the area of dura from sigmoid to labyrinth, and to the adjacent portion of the posterior CPA
  • 48.
    • Infratemporal approaches •Approach that exposes the inferior aspect of the temporal bone, with the jugular foramen and the adjacent area of the parapharyngeal space including the jugulo-carotid vessels .
  • 49.
    • A largeretroauricular and upper neck incision opens the entry area. The dissection of the upper neck exposes the jugular vein and carotid artery. Removal of the outer ear canal and anterior transposition of the VII cranial nerve allow drill out removal of the infralabyrinthine petrous bone up to the entire jugular foramen, to the occipital condyle and low clivus. • This typical skull base approach allows removal of lesions from the CPA to the jugular foramen and parapharyngeal space.
  • 51.
    Endoscopic Skull BaseSurgery • Endoscopic skull base surgery has undergone rapid advancement in the past decade moving from pituitary surgery to suprasellar lesions and now to a lesions extending from the cribriform plate to C2 and laterally out to the infratemporal fossa and petrous apex.
  • 52.
    • The historyof endoscopic skull base surgery is de facto the history of pituitary surgery. The first pituitary operation was likely performed by Sir Victor Horsley in 1889 via a transfrontal approach Schloffer who is widely regarded as the father of modern pituitary surgery.
  • 53.
    • There areseveral distinct anatomic regions of the skull base that are accessible via a transnasal endoscopic approach: • cribriform, • parasellar, • clivus, • spinomedullary junction • petrous apex, • pterygopalatine and infratemporal fossa
  • 54.
    Standard Endoscopic Approach Inthe standard endoscopic approach to the sellar region • the endoscope is introduced through the right nostril, close to the floor of the nasal cavity. • The first structures to be identified are the inferior turbinate, the middle turbinate, and the nasal septum. • The head of the middle turbinate is dislocated laterally to widen further the space between the middle turbinate and the nasal septum and to create an adequate surgical pathway in the posterior nasal cavity
  • 55.
    • As theendoscope advances into the nasal cavity, it reaches the choana, which represents the main, inferior landmark of the approach. • Its medial margin is the vomer, which confirms the “midline” of the approach, whereas its roof is shaped by the inferior wall of the sphenoidal sinus. Lateral to the choana is the tail of the inferior turbinate. • The endoscope is then angled rostrally until it reaches the sphenoid ostium, which is usually located approximately 1.5 cm above the roof of the choana .
  • 56.
    • Sometimes, especiallyin a well-pneumatized sphenoidal sinus, the ostium cannot be visualized because it is covered by the superior turbinate. In these cases, the superior turbinate can be gently lateralized or removed to expose the ostium and gain access to the sphenoidal sinus through its enlargement. • After identification of the sphenoid cavity, the nasal septum is separated from the sphenoid rostrum. • The whole anterior wall of the sphenoidal sinus is enlarged circumferentially, taking care not to enlarge the sphenoidotomy too much in the inferolateral direction, where the sphenopalatine artery and its major branches lie
  • 57.
    • After removalof the sphenoid septa, the posterior and lateral walls of the sphenoidal sinus are visible, with the sellar floor at the center • Lateral to the sellar floor, the osseous prominences of the ICA and the optic nerve can be seen, and between them is the opticocarotid recess, molded by the pneumatization of the optic strut of the anterior clinoid process
  • 58.
    • The sellacan be opened in many different ways. If the tumour has eroded part of the bone then it is quite easy to use the smallest Kerrison punch to remove loose bone to expose the dura. • If the bone is firm and does not break easily with the pressure of the punch, then an osteotome may be used to make a window in the sella which can then be enlarged using punches • The another option is to use a drill to thin the bone prior to opening it
  • 59.
    • The durais incised using 15 number knife in a cruciate fashion. Occasionally there may be bleeding from the cut ends of the dura which needs to be cauterized with bipolar forceps. • Once the dura is incised, soft tumour usually pops out .Further tumour removal is done using ring curettes
  • 60.