Petrous apex 360°
11-4-2017
10.49 pm
Great teachers – All this is their work .
I am just the reader of their books .
Prof. Paolo castelnuovo
Prof. Aldo Stamm Prof. Mario Sanna
Prof. Magnan
For Other powerpoint presentatioins
of
“ Skull base 360° ”
I will update continuosly with date tag at the end as I am
getting more & more information
click
www.skullbase360.in
- you have to login to slideshare.net with Facebook
account for downloading.
Approaches to petrous apex
LATERAL SKULL BASE
1. From above the labyrinth
a. Middle cranial fossa transpetrous [ =
Trans-apical ] approach
2. From posterior to the labyrinth
a. Retrolabyrinthine transpetrous [ =
Trans-apical ] approach / endoscopic
retrolabyrinthine approach
3. From through the labyrinth
a. Translabyrinthine transpetrous [ =
Trans-apical ] approach
b. Transcochlear transpetrous [ =
Trans-apical ] approach
4. From below the labyrinth
a. INFRA-COCHLEAR approach through
BRACKS MANS TRIANGLE
b. Infralabyrinthine/Infra-otic =
Infratemporal fossa type A transpetrous [
= Trans-apical ] approach
c. POTS
d. Infralabyrinthine/Infra-otic =
Infratemporal fossa type B & C
transpetrous [ = Trans-apical ] approach
ANTERIOR SKULL BASE
1. From anterior to the labyrinth
a. Suprapetrous approach
b. Infrapetrous approach
Lateral skull base view
Middle cranial fossa transpetrous
approach
Retrolabyrinthine transpetrous
approach
– dotted red line means trajectory medial to labyrinth & cochlea
Tranaslabyrinthine Transpetrous [=
Transapical ] approach
After drilling the LSC , PSC & SSC
– IAC is exposed
Transpetrous path is above & below
the IAC & medial to cochlea
The Enlarged Translabyrinthine Approach with Transpetrous ( =
Transapical ) Extension – intradurally above the IAC you will get 5th nerve
where below the IAC you will get 6th nerve & lower cranial nerves .
Schematic drawings showing the amount of bone removal
around the internal auditory canal in the different variants of the
translabyrinthine approach. Note that in the transapical modification the
exposure is 320° and about 360° in types I and II, respectively. Abbreviations
as in Fig. 5.1. cn, cranial nerve; CN, cochlear nerve; FN, facial nerve;
IV, inferior vestibular nerve; SV, superior vestibular nerve.
Transcochlear transpetrous approach
Infratemporal fossa approach –A & B
Transpetrous approach
POTS = Petro-occipital trans-sigmoid
approach – sigmoid sinus is opened
– dotted red line means trajectory medial to labyrinth & cochlea
Anterior skull base – suprapetrous & infrapetrous approach - The ‘infrapetrous’ and
‘suprapetrous’ planes referred to in this discussion pertain to the plane to the
petrous ICA, not necessarily the petrous bone.
The mid- coronal and posterior coronal planes are divided into 7 anatomic
zones based on the relationship to the ICA.
• Zone 1 represents the anterior petrous apex.
• Zone 2 represents the mid- body of the petrous bone below the level of the horizontal
• segment of the petrous carotid.
• Zone 3 represents the suprapetrous region consisting of the quadrangular space.
• The quadrangular space is defined medially by the paraclival ICA, inferiorly by the
• horizontal segment of the petrous ICA, laterally by the second division of the trigeminal
• nerve, and superiorly by the course of the sixth cranial nerve within the cavernous
• sinus. Through this approach Meckel’s cave and the gasserian ganglion can be
• reached.
• Zone 4 represents the superior lateral cavernous sinus, representing the region
• through which the oculomotor (III), trochlear (IV), first division of the trigeminal
• nerve, and abducens (VI) nerves traverse.
• Zone 5 represents the transpterygoid /infratemporal space with direct access to the
• middle fossa.
• Zone 6 represents the region of the condyle. It is the paramedian area located
• immediately lateral to the inferior third of the clivus and foramen magnum. It is
• antero- laterally bounded by the eustachian tube and fossa of Rosenmuller that mark
• the parapharyngeal ICA laterally. Superiorly, it has its limit on the petroclival synchondrosis.
• Lesions in this region can involve the hypoglossal canal.
• Zone 7 represents the region lateral to the parapharyngeal ICA. The approach for
• this region extends along the floor of the maxillary sinus and contains the lateral
• pterygoid plate and attached soft tissue. Most importantly, this region contains the
• jugular foramen posteriorly.
Quadrangular ( Q ) space – where petrous apex is seen
– Supra-petrous approach – space between laceral
carotid & Trigeminal ganglion & V3
Quadrangular part boarders –
Zone 3 represents the
suprapetrous region
consisting of the
quadrangular space.
The quadrangular space is
defined medially by the
paraclival ICA, inferiorly by
the
horizontal segment of the
petrous ICA, laterally by the
second division of the
trigeminal
nerve, and superiorly by the
course of the sixth cranial
nerve within the cavernous
sinus. Through this approach
Meckel’s cave and the
gasserian ganglion can be
reached.
The Petrous
pyramid has only
3 surfaces unlike
Egypt pyramid
which has
4 surfaces
3 surfaces
2 upper surfaces 1 basal surface
The petrous portion of the temporal
bone or pyramid is pyramidal
Petrous apex =Anterior Triangular ( T ) area +
Posterior Quadrangular ( Q ) area
Petrous apex =Anterior Triangular ( T ) area +
Posterior Quadrangular ( Q ) area
Approach through posterior Quadrangular ( Q ) area =
Kawase approach or Anterior Transpetrosal approach
Neurosurgeons are doing FTOZ + kawase approach to get control of middle
cranial fossa & posterior cranial fossa respectively
For FTOZ + Kawase approach click
1. https://www.youtube.com/watch?v=qgItZDwRYjk
2. https://www.youtube.com/watch?v=M89uijtuzQA
3. https://www.youtube.com/watch?v=es-U3QitxdY
4. https://www.youtube.com/watch?v=vDGO4kVy0Gc
5. http://www.aiimsnets.org/skull_base_tumors.asp
6. http://aiimsnets.org/AnteriorTranspetrosalapproach.asp#
others
https://www.youtube.com/results?search_query=frontotemporal+orbitozygo
matic+approach
https://www.youtube.com/results?search_query=kawase+approach
Superior view of the right petroclival area: see the relationships between the
petrous apex, the Vth nerve, and the petroclival area. VI 6th Cranial nerve; PCa posterior
cerebral artery; RCP right cerebral peduncle; SCA superior cerebellar artery; CO cochlea;
GG gasserian ganglion; PCA petrous carotid artery; IPS inferior petrosal sinus; AFB
acousticofacial bundles
Superior view of a right middle cranial fossa following drilling and dissection of
the petrous bone: see the right tympanic cavity, and its relationships. GG Gasserian
ganglion; ET Eustachian tube; PCA petrous carotid artery; IPS inferior petrosal sinus; V
5th cranial nerve; PN petrosal nerve; CO cochlea; G geniculate ganglion; CN cochlear
nerve; FN facial nerve; ETE Eustachian tube entrance; M malleus; U uncus; SSCC
superior semicircular canal; LSCC lateral semicircular canal; SPS superior petrosal sinus
Petrous apex – Triangular area
Petrous apex – Quadrangular area
Quadrangular ( Q ) space in anterior skull base – where
petrous apex is seen – Supra-petrous approach – space
between laceral carotid & Trigeminal ganglion & V3
Quadrangular ( Q ) space – where petrous apex is seen
– Supra-petrous approach – space between laceral
carotid & Trigeminal ganglion & V3
Quadrangular ( Q ) area in
middle cranial fossa
Quadrangular ( Q ) space in
anterior skull base approach
Quadrangular ( Q ) space – where petrous apex is seen – Supra-
petrous approach – space between laceral carotid & Trigeminal
ganglion & V3
Quadrangular ( Q ) area in
middle cranial fossa
Quadrangular ( Q ) space in
anterior skull base approach
JT= Jugular Tubercle – Below this
tubercle is hypoglossal canal & above
is Internal Jugular foramen
IPS & HVP hypoglossal
venous plexus
Petrous apex - Quadrangular area
Middle cranial fossa approach
the anterior petrosectomy with preoperative embolization of the inferior
petrosal sinus is a time-conserving approach giving one of the best routes to
reach the ventral brainstem while working in front of the cranial nerves and
preserving hearing.
http://www.worldneurosurgery.org/article/S0090-3019(00)00271-8/fulltext
The middle fossa retractor is fixed at the petrous
ridge (PR).
AE Arcuate eminence, GPN Greater petrosal
nerve, M Middle meningeal
artery
The expected location of the internal auditory canal
(IAC).
The bar-shaded areas are the locations for drilling. A
Anterior, AE Arcuate
eminence, GPN Greater petrosal nerve, MMA Middle
meningeal
artery, P Posterior
Approaches to petrous apex
LATERAL SKULL BASE
1. From above the labyrinth
a. Middle cranial fossa transpetrous
[ = Trans-apical ] approach
2. From posterior to the labyrinth
a. Retrolabyrinthine transpetrous
[ = Trans-apical ] approach /
endoscopic retrolabyrinthine
approach
3. From through the labyrinth
a. Translabyrinthine transpetrous
[ = Trans-apical ] approach
b. Transcochlear transpetrous
[ = Trans-apical ] approach
4. From below the labyrinth
a. Infralabyrinthine/Infra-otic =
Infratemporal fossa type A
transpetrous [ = Trans-apical ]
approach
b. POTS
c. Infralabyrinthine/Infra-otic =
Infratemporal fossa type B & C
transpetrous [ = Trans-apical ]
approach
ANTERIOR SKULL BASE
1. From anterior to the labyrinth
a. Suprapetrous approach
b. Infrapetrous approach
Middle cranial fossa
Transpetrous ( = Transapical )
A right-sided skin incision for the
middle cranial fossa approach.
The skin and subcutaneous tissues
have been elevated as one flap.
The temporalis fascia has been harvested and the
temporalis muscle cut using monopolar diathermy.
The temporalis muscle and periosteum
have been elevated as one flap.
The craniotomy has been performed
using a small drill.
The craniotomy flap has been elevated and
the middle fossa (MFD) can be seen.
The branches of the trigeminal nerve (V1, V2, V3) can be
identified at the anterior part of the approach.
The Fukushima middle cranial fossa retractor has
been applied to maintain the elevated dura.
Three-quarters of the canal circumference is
skeletonized, leaving a thin shell of bone over it.
The different areas of access for the middle fossa approaches.
a Classic middle fossa approach to the internal auditory canal.
b Enlarged middle fossa approach for tumor removal. c−e The middle
fossa transpetrous approach.
The landmarks for the internal
auditory canal (arrow) in middle
fossa approach. AE, arcuate
eminence; gspn, greater
superficial petrosal nerve; MMA,
middle meningeal artery.
A schematic representation of the
position of the internal audi tory
canal in middle cranial fossa
approach. EAC, external auditory
canal; IAC, internal auditory
canal; SSC, superior semicircular
canal; SPS, superior petrosal
sinus.
An anatomical dissection carried out
through the middle fossa,
illustrating the relationships between
the various structures in this area.
A closer view of the lateral end of
the internal auditory canal.
The posterior rhomboidal area
(Q) of the anterior petrous apex.
The anterior triangular area
has been uncovered by
sectioning the mandibular
nerve (V3) and reflecting the
gasserian ganglion.
The amount of circumferential
exposure of the internal auditory
canal near the fundus is only 180°.
Kawase approach
The quadrangular area of the
petrous apex anterior to the internal
auditory canal is drilled and the
horizontal segment of the internal
carotid artery (ICA) is exposed.
the anterior petrosectomy with preoperative embolization of the inferior
petrosal sinus is a time-conserving approach giving one of the best routes to
reach the ventral brainstem while working in front of the cranial nerves and
preserving hearing.
http://www.worldneurosurgery.org/article/S0090-3019(00)00271-8/fulltext
Neurosurgeons are doing FTOZ + kawase approach to
get control of middle cranial fossa & posterior cranial
fossa respectively
For FTOZ + Kawase approach click
1. https://www.youtube.com/watch?v=qgItZDwRYjk
2. https://www.youtube.com/watch?v=M89uijtuzQA
3. https://www.youtube.com/watch?v=es-U3QitxdY
4. https://www.youtube.com/watch?v=vDGO4kVy0Gc
5. http://www.aiimsnets.org/skull_base_tumors.asp
6. http://aiimsnets.org/AnteriorTranspetrosalapproach.asp#
others
https://www.youtube.com/results?search_query=frontotemporal+orbitozygo
matic+approach
https://www.youtube.com/results?search_query=kawase+approach
Kawase vs “Modified Anterior Petrosectomy
(MAP) Rhomboid” Approach – get this paper at
www.sci-hub.cc
http://ofuturescholar.com/paperpage?docid=190
5013
Kawase vs Retrosigmoid Transtentorial and
Retrosigmoid Intradural Suprameatal Approaches
http://www.ncbi.nlm.nih.gov/pmc/articles/PMC4
067754/
To get any paper of any journal free click
www.sci-hub.bz or www.sci-hub.cc
How to get FREE journal papers in www.sci-hub.bz or www.sci-hub.cc
1. When same paper published in different journals , the same paper has
different DOIs -- so we have to try with different DOIs in www.sci-
hub.bz orwww.sci-hub.cc if one of the DOI is not working.
2. If the paper has no DOI , copy & paste URL of that paper from the main
journal website . If you can't get from one journal URL try with different
journal URL when the author publishes in different journals .
3. Usually all new papers have DOIs . Old papers don't have DOIs . Then
search in www.Google.com . Old papers are usually kept them free in Google
by somebody . Sometimes the Old papers which are re-published will have
DOIs. Then keep this DOI in www.sci-hub.bz or www.sci-hub.cc
4. Add " .pdf " to title of the paper & search in www.Google.com if not found
in www.sci-hub.bz or www.sci-hub.cc
The whole length of the horizontal
portion of the internal carotid artery
(ICA) is exposed up to the anterior
foramen lacerum (AFL).
The dura is opened by creating
an inferiorly based flap, the
dashed lines.
Surgical Anatomy after Opening of the Dura
The middle fossa transpetrous approach.
The anterior inferior cerebellar
artery is seen looping around the
acousticofacial bundle (AFB).
At a higher magnification a
prominent flocculus (Fl) is observed.
The distal part of the vertebral
artery (VA) can be seen.
The distal part of the vertebral
artery (VA) can be seen.
After removing the remaining
bone of the petrous apex, the
basilar artery (BA) can be seen in
the prepontine cistern.
Opening the dura of the middle
cranial fossa exposes the third nerve
(III) and intracavernous portion of
the internal carotid artery (ICA).
A closer view at the level of the fundus of
the internal
auditory canal. The facial nerve lies
anteriorly and superiorly. The vestibular
nerve posteriorly is separated from the
facial nerve by a plane of cleavage. The
cochlear nerve is
located inferior to the facial nerve.
The cochlear nerve travels along an inferior
course
in the internal auditory canal. Inferior to the
vestibular nerve
at the porus acusticus, it becomes inferior to the
facial nerve
at the lateral end of the internal auditory canal.
There is a
labyrinthine artery coursing between the
cochlear and facial
nerves.
A closer view at the level of the porus acusticus. The anterior inferior cerebellar artery forms a
vascular loop and gives off labyrinthine arteries, which fix the contact between the artery and
the inferior surface of the acousticofacial nerve bundle at the inferior lip of the meatus.
The root exit zone of the facial nerve
is anterior to the root of the cochlear
nerve and superior to the rootlets of
the lower cranial nerves.
7 Facial nerve
8 Vestibulocochlear nerve
9 Glossopharyngeal nerve
10 Vagus nerve
AICA Anterior inferior cerebellar artery
IAC Internal auditory canal
PICA Posterior inferior cerebellar artery
The pontobulbar junction and the roots of the
lower cranial nerves are visualized. The loop of the posterior
inferior cerebellar artery is seen in the background.
Right enlarged middle fossa approach. The internal
auditory canal has been opened, revealing the acousticofacial
Perve bundle contained within it. The facial nerve runs anteriorly,
and the superior vestibular nerve lies posteriorly. The
loop of the anterior inferior cerebellar artery runs near the
Meatus, below the acousticofacial nerve bundle.
Lateral view of CP angle
Posterior view of CP angle
1. level 1 = Trigeminal area
2. Level 2 = AFB area
3. Level 3 = Lower cranial nerve area
4. Level 4 = Foramen magnum area
Various Transpetrous approaches to get lateral view of CP angle
( = to reach Lateral part of Posterior cranial fossa dura )
predominently to reach Level 1 = Trigeminal nerve
area & Level 2 = AFB area
1. Retrolabyrinthine Transpetrous ( =
Transapical )
2. Translabyrinthine Transpetrous ( =
Transapical )
3. Transcochlear Transpetrous ( = Transapical )
predominently to reach Level 3 = Lower cranial
nerve area
4. POTS = Petro-Occipital Trans-Sigmoid
approach
5. Infralabyrinthine Transpetrous ( =
Transapical ) -- which is nothing but IFTA-A ,
PONS , IFTA-B Transpetrous approach
[ IFTA-A,B = Infratemporal fossa approach A , B /
PONS = petro-occipital trans-sigmoid approach ]
predominently to reach
Level 4 = Foramen magnum area
6. Exrtreme lateral or Far lateral or
Transcondylar approach
Photograph of a cadaveric dissection showing an overview of the temporal bone and depicting the posterior
surface of the petrous part. The sphenoid bone, which articulates anteriorly with the petrous and squamous
temporal bone, has been removed in this specimen. The pyramidal petrous part, located between the sphenoid
and occipital bones, has a base, apex, and three surfaces. The sigmoid sinus descends along the posterior
surface of the mastoid part and turns anteriorly toward the jugular foramen. The posterior transpetrosal
approaches involve progressive degrees of resection of the petrous temporal bone. The retrolabyrinthine
(green outline) dissection exposes the area between the superior petrosal sinus, the sigmoid sinus, and the
posterior semicircular canal. The translabyrinthine approach (pink outline) extends more anteriorly to remove
all three semicircular canals and to expose the anterior wall of the IAC. The transcochlear (blue outline)
dissection extends even more anteriorly to the petrous apex, resulting in an almost complete petrosectomy
with the widest and most direct exposure of all the posterior transpetrosal approaches. PET. =
petrous/petrosal; POST. = posterior; RETROLAB = retrolabyrinthine; S.C. = semicircular canal; SIG. = sigmoid;
SUP. = superior; TRANSLAB = translabyrinthine.
Middle cranial fossa Transpetrous approach - the anterior
petrosectomy with preoperative embolization of the inferior petrosal sinus is
a time-conserving approach giving one of the best routes to reach the ventral
brainstem while working in front of the cranial nerves and preserving hearing.
http://www.worldneurosurgery.org/article/S0090-3019(00)00271-8/fulltext
Retrolabyrinthine Transpetrous (
= Transapical )
Retrolabyrinthine Transpetrous ( = Transapical ) &
Translabyrinthine Transpetrous ( = Transapical ) &
Transcochlear Transpetrous ( = Transapical )
predominently to reach
Level 1 = Trigeminal nerve area & Level 2 = AFB area
==================================================
Infralabyrinthine Transpetrous ( = Transapical ) -- which is
nothing but IFTA-A , PONS , IFTA-B Transpetrous approach
[ IFTA-A,B = Infratemporal fossa approach A , B / PONS = petro-occipital trans-sigmoid approach ]
Predominently to reach
Level 3 = Lower cranial nerve area
COMBINED APPROACHES
Retrolabyrinthine Transpetrous ( = Transapical
)Subtemporal Approach
Retrolabyrinthine Transpetrous ( = Transapical
)Subtemporal Transtentorial Approach
Retrolabyrinthine Subtemporal
Transapical Approach
Retrolabyrinthine Subtemporal
Transtentorial Approach
A view of the cerebellopontine angle
through the retrolabyrinthine
approach Note the narrow field and
limited control.
Posterior fossa dura (PFD) structures
exposed through the standard
retrolabyrinthine approach.
A view of the posterior fossa dura
through the combined
retrolabyrinthine subtemporal
transapical approach.
The middle fossa dura has
been cut. The oculomotor
nerve (III) is clearly seen.
With more retraction of the
temporal lobe and the tentorium
(*), the optic nerve (II) is seen.
Retrolabyrinthine Subtemporal Transapical
(Transpetrous Apex) Approach
Schematic drawing showing the
incision to be performed.
A retrolabyrinthine approach is
performed.
The dura of the middle fossa is
detached from the superior surface of
the temporal bone from posterior to
anterior.
With further detachment of the
dura, the middle meningeal
(MMA) artery is clearly identified.
The middle meningeal artery (MMA)
and the three branches
(V1, V2, V3) of the trigeminal nerve
are identified.
View after cutting the middle
meningeal artery (MMA) and
the mandibular branch of the
trigeminal nerve (V).
The internal auditory canal (IAC)
is identified.
A large diamond burr is used to
drill the petrous apex.
The petrous apex has been
drilled. The internal carotid artery
(ICA) is identified.
At higher magnification, the
abducent nerve (VI) is identified
at the level of the tip of the petrous
apex (PA).
Panoramic view showing the
structures after opening of the
posterior fossa dura.
At higher magnification, the anterior
inferior cerebellar artery (AICA)is
seen stemming from the basilar
artery (BA) at the prepontine cistern.
The artery is crossed by the
abducent nerve (VI). Note the good
control of the prepontine cistern
through this approach.
Tilting the microscope downward,
the lower cranial nerves
are well seen.
Retrolabyrinthine Subtemporal
Transtentorial Approach
The retrolabyrinthine craniotomy
has been performed. The petrous
apex has been partially drilled.
The middle fossa dura (*) is
incised.
The tentorium (*) is cut, taking care not to injure the
trochlear nerve.
The tentorium is further cut until
the tentorial notch is
reached. With retraction of the
temporal lobe the optic (II),
oculomotor
(III) and contralateral oculomotor
(IIIc) nerves are seen.
Branches of the trigeminal nerve (V1, V2, V3) at the level of
the lateral wall of the cavernous sinus.
Endoscopic Retrolabyrinthine
approach –
The retrolabyrinthine approach consists of a small posterior
fossa craniotomy, between the sigmoid sinus and the otic
capsule. It provides limited exposure of the posterior fossa,
confined to the region of the entry
zone of the trigeminal nerve and acousticofacial nerve
bundle. More lateral structures, such as the porus
acusticus and the internal auditory canal, cannot be
visualized directly, since they are blocked by the otic
capsule. In order to reach and inspect the interna)
auditory canal, it is necessary first to enlarge the
approach posteriorly, removing the bone overlying the
sigmoid sinus and 1-2 cm of the retrosigmoid occipital
bone; and secondly, to use the endoscopic procedure .
Translabyrinthine Transpetrous (
= Transapical )
Retrolabyrinthine Transpetrous ( = Transapical ) &
Translabyrinthine Transpetrous ( = Transapical ) &
Transcochlear Transpetrous ( = Transapical )
predominently to reach
Level 1 = Trigeminal nerve area & Level 2 = AFB area
==================================================
Infralabyrinthine Transpetrous ( = Transapical ) -- which is
nothing but IFTA-A , PONS , IFTA-B Transpetrous approach
[ IFTA-A,B = Infratemporal fossa approach A , B / PONS = petro-occipital trans-sigmoid approach ]
Predominently to reach
Level 3 = Lower cranial nerve area
The Enlarged Translabyrinthine Approach with Transpetrous ( =
Transapical ) Extension – intradurally above the IAC you will get 5th nerve
where below the IAC you will get 6th nerve & lower cranial nerves .
Schematic drawings showing the amount of bone removal
around the internal auditory canal in the different variants of the
translabyrinthine approach. Note that in the transapical modification the
exposure is 320° and about 360° in types I and II, respectively. Abbreviations
as in Fig. 5.1. cn, cranial nerve; CN, cochlear nerve; FN, facial nerve;
IV, inferior vestibular nerve; SV, superior vestibular nerve.
Drilling inferior to the right
internal auditory canal (IAC).
Further extensive drilling inferior to the internal auditory
canal (IAC) toward the petrous apex.
Bone removal superior and inferior to
the internal auditory canal (arrows).
Further drilling of the petrous apex
and clivus.
Extensive bone removal inferior and
superior to the internal auditory
canal (IAC). Bone superior to the
canal (*) is still to be removed.
The whole contents of the internal
auditory canal (IAC) are pushed
inferiorly to allow removal of the
remaining bone (*) superior to the
canal.
The whole contents of the canal are
displaced inferiorly to show the extent
of bone removal. The anterior wall of
the canal can also be drilled if needed.
Schematic drawing showing the technique and
extent of bone removal in the type I (green
line) and type II (red line) transapical
extension. F, facial nerve; C, cochlear nerve;
Vs, superior vestibular nerve; Vi, inferior
vestibular nerve.
Schematic drawing showing the technique and extent of bone removal in the type I
(green line) and type II (red line) transapical extension. F, facial nerve; C, cochlear
nerve; Vs, superior vestibular nerve; Vi, inferior vestibular nerve.
General view of the structures in the
cerebellopontine angle
after opening the dura. Note the enhanced
exposure of the angle and
the excellent exposure of the trigeminal
nerve (V).
The trigeminal nerve (V) is
pushed superiorly. The basilar
artery (BA) in the prepontine
cistern can be seen well.
With more traction of the tentorium, a panoramic view of the
structures in the angle is available. The trochlear nerve (IV) is
seen before piercing the tentorium to gain access to the middle
fossa.
Transcochlear Transpetrous ( =
Transapical )
Retrolabyrinthine Transpetrous ( = Transapical ) &
Translabyrinthine Transpetrous ( = Transapical ) &
Transcochlear Transpetrous ( = Transapical )
predominently to reach
Level 1 = Trigeminal nerve area & Level 2 = AFB area
==================================================
Infralabyrinthine Transpetrous ( = Transapical ) -- which is
nothing but IFTA-A , PONS , IFTA-B Transpetrous approach
[ IFTA-A,B = Infratemporal fossa approach A , B / PONS = petro-occipital trans-sigmoid approach ]
Predominently to reach
Level 3 = Lower cranial nerve area
An extended mastoidectomy,
labyrinthectomy, identification
of the internal auditory canal, and
drilling of the cochlea has been
performed.
The facial nerve (FN) has been
skeletonized.
The facial nerve (FN) has been skeletonized.
Using a diamond burr to uncover
the labyrinthine segment of
the facial nerve (FN).
The facial nerve (FN) is completely uncovered. Note Bill’s
bar
(BB) separating the nerve from the superior vestibular
nerve (SVN) at the
level of the fundus of the internal auditory canal.
Identification of the greater
superficial petrosal nerve (gspn).
The greater superficial petrosal
nerve is (gspn) cut.
The geniculate ganglion (GG) and
the labyrinthine portion of
the facial nerve (FN) are elevated.
The tympanic segment is freed.
A beaver knife is used to free the
mastoid segment.
The superior vestibular nerve (SVN)
is detached from its attachment.
The whole contents of the internal
auditory canal are transposed
posteriorly with the facial nerve (FN).
New position of the facial nerve
(FN) after posterior rerouting
Removal of the fallopian canal
with a rongeur.
Surgical Anatomy after Opening the
posterior cranial fossa dura
Drilling of the cochlea (Co). Drilling of the petrous apex (PA).
View after complete performance of
the approach. The
dashed lines represent the dural
incision.
View after opening the dura, showing
excellent control of the
basilar artery (BA) and prepontine cistern.
Tilting the microscope downward,
both the ipsilateral (VA)
and contralateral (VAc) vertebral
arteries come into view.
With a slight retraction of the middle fossa dura,
the origin of
the superior cerebellar artery at the basilar artery
(BA) can be seen. Note
the excellent control of the trigeminal nerve (V).
Lilliquits membrane present over the
basillar artery & 3rd N. origin area
Mild retraction of the tentorium (Ten)
provides a good view of
the oculomotor nerve (III) and its relation
to the superior cerebellar
artery (SCA) lying inferiorly and the
posterior cerebral artery (PCA) lying
superiorly. The trochlear nerve (IV) is seen
running on the undersurface
of the tentorium.
Meckel’s cave (MC) can be
opened when necessary.
The Type C Modified Transcochlear
Approach – after cutting the
tentorium
With mild retraction of the temporal lobe, the bifurcation of the internal
carotid artery (ICA) into the anterior (ACA) and middle cerebral (MCA) arteries
is seen. The ipsilateral (ON) and contralateral (ONc) optic nerves are seen. The
oculomotor nerve (III) is embraced by the posterior cerebral artery (PCA)
superiorly and the superior cerebellar artery (SCA) inferiorly
Petroclival meningiomas surgery by
Modified transcochlear approach
Click video
https://www.youtube.com/watch?v=
kUa9fQ4_aQY
INFRA-COCHLEAR approach
through BRACKS MANS TRIANGLE
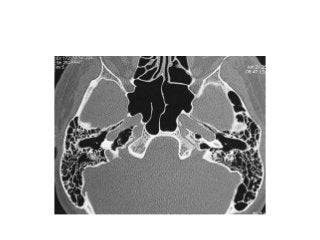
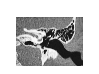
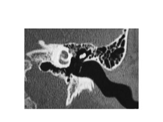
PETROUS APEX CHOLESTEATOMA - Dear surgeons today we did INFRA-COCHLEAR
approach to petrous apex cholesteatoma through BRACKS MANS TRIANGLE
cholesteatoma is completely removed with microscopic approach passing under the
vertical ica It was communicated intradurally Finally cavityis obliterared with fat Here
are some microscopic pics
Prof. Marchioni papers of SCC [ Sub
Cocheolar Canal ]
• http://sci-hub.cc/10.1007/s00405-014-2923-8
• http://sci-hub.cc/10.1007/s00276-016-1662-5
Between the fustis and the finiculus a subcochlear canaliculus is often seen, which is a
tunnel that connects the round window chamber with the petrous apex via a series of
pneumatized cells.
Right ear. Endoscopic anatomy of inferior retrotympanum. fu fustis, t tegmen, pp
posterior pillar, f finiculus, j jacobson’s nerve
Right ear. Endoscopic anatomy of the retrotympanum during
dissection for acustic neuroma surgery.
fu fustis, fn facial nerve, ow oval window, pr promontory, scc
subcochlear canaliculus, et Eustachian tube
Right ear. Endoscopic dissection during surgery, after drilling the
promontory. ow oval window, st scala tympani, scc subcochlear
canaliculus
Subcochlear canaliculus type A
Subcochlear canaliculus type B
Subcochlear canaliculus type C
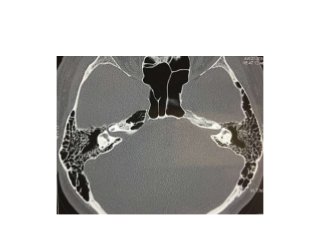
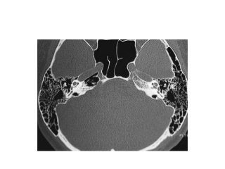
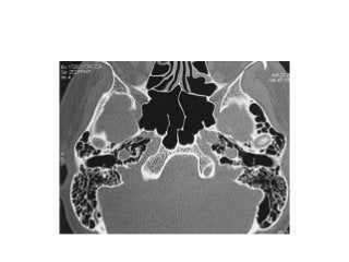
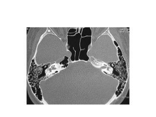
Temporal bone CT. Look at the sub-cochlear canaliculus or sub-cochlear
tunnel that can allow endoscopic transcanal retrocochlear access to the IAC
and drain the petrous apex cells
Infratemporal fossa approach type A
[ IFTA-A ] – transpetrous approach
There is no need to transpose facial
nerve in ITFA-A – Dr. Morwani
The structures that impede the lateral access to the lower skull
base, namely, the facial nerve (FN), the styloid process and
attached
muscles and ligaments, and the posterior belly of the digastric. ICA,
internal
carotid artery; IJV, internal jugular vein.
The mastoid segment of the facial nerve (FN) is centered
on
the jugular bulb (JB).
The facial nerve (FN) is skeletonized from the
geniculate ganglion to the stylomastoid foramen.
The mastoid tip is removed, cutting the tough attachments
with strong scissors. (Arrow points at the new fallopian canal.)
Anterior transposition of the facial nerve (FN). (Arrow
points
at the new fallopian canal.)
The tympanic bone (black double arrows) is still to be drilled.
The transposed facial nerve (white arrow) is seen in its new canal.
The styloid process (StP) and
attached structures are severed.
The tympanic bone (arrowheads) is drilled. The
transposed
facial nerve is seen in its new canal.
Using a large diamond drill, the vertical
intrapetrous internal carotid artery is identified.
Drilling the petrous apex medial to the internal
carotid artery (ICA) to remove all the infiltrated
bone. The close relation of the cochlea (Co) to the
internal carotid artery (ICA).
The close relation of the cochlea (Co)
to the internal carotid artery (ICA).
The petrous apex is already drilled. Tumor is still
attached to the internal carotid artery.
The anterior wall of the external auditory canal is drilled,
allowing better control of the internal carotid artery
(ICA).
The petrous apex is now free of tumor. The
vertical intrapetrous internal carotid artery
has been liberated. Note the tumor (T)
surrounding the artery.
The internal jugular vein is double
ligated, cut, and elevated with the
attached tumor.
The posterior fossa dura (PFD) is exposed.
The remaining tumor (T) is still to be
removed. The opened sigmoid sinus (SS)
can be
seen.
The tumor (T) is seen surrounding
the intrapetrous internal carotid artery (ICA).
POTS = Petro-Occipital Trans-
sigmoid approach
Retrolabyrinthine Transpetrous ( = Transapical ) &
Translabyrinthine Transpetrous ( = Transapical ) &
Transcochlear Transpetrous ( = Transapical )
predominently to reach
Level 1 = Trigeminal nerve area & Level 2 = AFB area
==================================================
Infralabyrinthine Transpetrous ( = Transapical ) -- which is
nothing but IFTA-A , PONS , IFTA-B Transpetrous approach
[ IFTA-A,B = Infratemporal fossa approach A , B / PONS = petro-occipital trans-sigmoid approach ]
Predominently to reach
Level 3 = Lower cranial nerve area
The C-shaped skin incision. A skin flap is raised.
A U-shaped musculoperiosteal
flap is outlined.
Bone exposure. Note that no
retractors are used.
The internal jugular vein (IJV) is
identified.
The internal jugular vein is
liberated.
An extended mastoidectomy has
been performed.
A wide retrosigmoid craniotomy.
The sigmoid sinus (SS) is uncovered.
Note that the bone overlying
the genu from the lateral to the
sigmoid sinus is intact (arrowhead).
The dura is separated from the
overlying bone.
The dura is separated from the
overlying bone.
The endolymphatic sac (ELS) is
identified.
Further separation of dura from
the overlying bone.
Placement of aluminum to
protect the dura from injury.
The cochlear aqueduct (CAq)is
identified.
Complete drilling of the
retrofacial air cells.
The approach has been completed.
The dotted line representsthe dural
incision.
The jugulocarotid crest is drilled, exposing the
vertical segment of the internal carotid artery.
An extended posterior tympanotomy has been
performedand the facial nerve transposed laterally.
The dura has been opened and
the tumor (T) can be seen.
Closure of the dura. The remaining
defect (white arrowheads), together
with the operative cavity, is
obliterated with abdominal fat.
Surgical Anatomy after Opening the
posterior cranial fossa dura
General view of the structures that can
be visualized after opening the dura. At the superior aspect of the approach,
the fourth (IV) and fifth (V) cranial
nerves can be appreciated.
The facial nerve can be clearly seen
in the middle part of the approach
after retracting the posteriorly lying
cochlear nerve. Separation of the
glossopharyngeal nerve (IX) from the
vagus (X) and accessory (XI) nerves
at the medial aspect of the jugular
foramen.
Further inferiorly, the ninth (IX),
tenth (X), and eleventh (XI) cranial
nerves can be seen exiting the skull
through the jugular foramen
At the inferior part of the
approach the lower cranial nerves
can be appreciated.
The relation between the inferior
petrosal sinus (ips) and the lower
cranial nerves.
The origin of the hypoglossal nerve (XII).
.
The drilled occipital condyle (OC) and
the hypoglossal canal (HC).
Infratemporal fossa approach type B
&C [ IFTA – B & C ]– transpetrous
approach
The petrous apex as viewed through the
infratemporal fossa type B approach.
Structures lying lateral to the internal carotid artery (ICA). The
mandibular nerve (V3) and the middle meningeal artery have been
cut. The instrument points to the position of the already drilled
bony
eustachian tube (ET).
Cutting the middle meningeal
artery (MMA). The mandibular nerve (V3) is cut.
Suturing the eustachian tube (ET)
at the end of the procedure
The internal carotid artery (ICA) has
been exposed anterior to the cochlea (Co). Note
the tumor (T) occupying the petrous apex.
The artery is retracted
posterolaterally. The petrous apex is drilled.
Neurosurgical cottonoids placed in
the petrous apex for hemostasis.
At higher magnification, residual
tumor (T) is seen at the mid-clivus and
medial to the cartilaginous eustachian tube
(ET).
The internal carotid artery (ICA) is
displaced laterally to ascertain
total tumor removal.
The tumor has been totally removed.
Note the excellent control of the vertical and
horizontal segments of the internal carotid artery
(ICA). The cartilaginous eustachian tube has been
sutured (arrow).
The internal carotid artery (ICA)
has been displaced laterally using
an umbilical tape. This allows
better exposure of the petrous
apex (PA) to assure complete
tumor removal.
Anterior skull base
Infra-petrous approach
Infra-petrous approach
is through Mid Clivus
1. Upper clivus – Upto 6th nerve entry dorello’s canal (petro-clival junction)
2. Middle clivus – from 6th nerve to jugular foramen
3. Lower clivus – from jugular foramen to foramen magnum
Lateral skull base Anterior skull base
The middle third (M. 1/3rd) begins at the sella floor (SF) and extends to the
floor of the sphenoid sinus (SSF), and the lower third (L. 1/3rd) extends from
the floor of the sphenoid sinus to the foramen magnum (FM).
Lateral skull base Anterior skull base
Lower half of paraclival carotid - caudal part, the lacerum segment of
the paraclival carotid
”The unsolved surgical problem remains the medial wall of the ICA at the level of the
anterior foramen lacerum, until now unreachable with the available surgical
approaches." - In lateral skull base by Prof. Mario sanna – this unreachable is Carotid-
Clival window which is accessable in Anterior skull base
Infrapetrous Approach
Carotid-Clival window – Mid clivus
a. Petrosal face
b.Clival face
JT = jugular tubercle separates the hypoglossal
canal from Jugular foramen
IPS & HVP hypoglossal
venous plexus
Jugular tubercle [ JT ]
AICA antero-inferior cerebellar artery, ASC anterior semicircular canal, BA basilar artery, HC
hypoglossal canal, IAC internal acoustic canal, ICAh horizontal portion of the internal carotid
artery, JT jugular tubercle, LCNs lower cranial nerves, LSC lateral semicircular canal, P pons,
PICA postero-inferior cerebellar artery, PSC posterior semicircular canal, VIcn abducens nerve,
VIIcn facial nerve, white arrow vestibolocochlear nerve
The foramen lacerum (FL) is located lateral to the floor of the sphenoid sinus
at the level of the spheno-petro-clival confuence.
JT jugular tubercle, HC hypoglossal canal –
addFig 3.78 also
Pontomedullary junction = Vertebro-basillar junction =
Junction of Mid clivus & Lower clivus = foramen lacerum area
The pontomedullary junction. The vertebral artery junction is at the level of the
junction of the inferior and midclivus. The basilar artery runs in a straight line on the
surface of the pons. The exit zones of the hypoglossal and abducent nerves are at the
same level. The abducent nerve exits from the pontomedullary junction, and ascends
in a rostral and lateral direction toward the clivus.
Very rare specimen..The vbj is far
inferior to floor of sphenoid sinus
Cadaveric dissection image
demonstrating structures seen
following dissection of the lower
third of the clivus. Note how
thebasilar arteries and vertebral
arteries can be extremely tortuous
in their course.
Cadaveric dissection demonstrating the osteotomies at the base of the posterior
clinoids (PC) for separation with the body of the dorsum sella (DS). P. CCA , posterior
genu of the intracavernous carotid artery; PCA, paraclival carotid artery; ICCA,
intracranial carotid artery; BA, basilar artery; PL, posterior lobe of the pituitary gland;
AL, anterior lobe of the pituitary gland.
Cadaveric dissection image demonstrating the close anatomical relationship
of the posterior clinoid (PC) with both the intracranial carotid artery (ICCA)
and the posterior genu of the intracavernous carotid artery (P. CCA). AL,
anterior lobe of the pituitary gland; PL, posterior lobe of the pituitary gland;
BA, basilar artery.
green dotted triangle area for entry
of the endoscope into the interpeduncular fossa
Cadaveric dissection of the middle third of the clivus with removal of the basilar
plexus and exposing the dura. The abducens
nerves (CN VI) can be seen bilaterally as they perforate the meningeal dura and
become the interdural segments of CN VI. CS,
cavernous sinus; PCA, paraclival carotid arteries; P, pituitary gland.
Clival recess
See the relationship between lower boarder of posterior end of vomer &
clivus – vomer lower boarder is at junction of mid & lower clivus – my
understanding
http://www.neurosurgicalapproaches.
com/2013/08/25/
Anterior cranial fossa dura Posterior cranial fossa dura
Anterior skull base
Supra-petrous approach
Quadrangular ( Q ) space – where petrous apex is seen
– Supra-petrous approach – space between laceral
carotid & Trigeminal ganglion & V3
Quadrangular ( Q ) space – where petrous apex is seen
– Supra-petrous approach – space between laceral
carotid & Trigeminal ganglion & V3
Quadrangular ( Q ) area in
middle cranial fossa
Quadrangular ( Q ) space in
anterior skull base approach
Quadrangular ( Q ) space – where petrous apex is seen – Supra-
petrous approach – space between laceral carotid & Trigeminal
ganglion & V3
Quadrangular ( Q ) area in
middle cranial fossa
Quadrangular ( Q ) space in
anterior skull base approach
Paraclival carotid
PAp = Petrous apex
1. caudal part, the lacerum
segment of the artery
corresponding to the
extracavernous portion of
the vessel, and
2. rostral part, the trigeminal,
intracavernous portion of
the artery, so- called because
the Gasserian ganglion is
posterior to it and the
trigeminal divisions are
lateral to it.
CR clival recess, ICAc cavernous portion
of the internal carotid artery, ICAh
horizontal portion of the internal carotid
artery, PAp petrous apex, VN
vidian nerve , MC Mevkels cave
CR clival recess, ET eustachian tube, ICAc cavernous portion of the internal carotid artery,
ICAh horizontal portion of the internal carotid artery, PAp petrous apex, PLL
petrolingual ligament, VN vidian nerve, V2 second branch of the trigeminal nerve, red
arrow artery for the foramen rotundum, yellow arrow greater petrosal nerve.
The petrolingual ligament connects the petrous apex and the lingula of the sphenoid. It can
be considered the border between the horizontal and cavernous portions of the internal
carotid artery.
Endoscopic vision of the suprapetrous window. The dura of the middle cranial fossa has been displaced upward, and
the greater petrosal nerve coming out from the geniculate ganglion is evident. The black arrow in the small picture
indicates the perspective of the vision in the bigger image
ET eustachian tube, GPN greater petrosal nerve, MCFd dura of the middle cranial fossa, MMA
middle meningeal artery, SPS superior petrosal surface, TI trigeminal impression, V3 third
branch of the trigeminal nerve, yellow arrow accessory middle meningeal artery, white asterisks
greater petrosal nerve groove
The skull base given by the sphenoid bone has been drilled away, and the third branch of the trigeminal
nerve and the MMA have been freed from their canals. An accessory MMA is seen in close relationship
to V3. When present, it passes through the foramen ovale.
The space above transverse line of V2 is
Middle cranial fossa ( Meckel’s cave ) –
Read the CT – scan/ Plane the surgery by
using these lines
Upper half of paraclival carotid – rostral part, the trigeminal
segment of the paraclival carotid
TG ( Trigeminal ganglion ) is lateral to upper half [ rostral part ]
of Paraclival carotid
Anterior skull base Lateral skull base
Carotid transposition – need to refer
literature regarding “ How far it is
SAFE ” in anterior skull base
approach
For Other powerpoint presentatioins
of
“ Skull base 360° ”
I will update continuosly with date tag at the end as I am
getting more & more information
click
www.skullbase360.in
- you have to login to slideshare.net with Facebook
account for downloading.

Petrous apex 360°

  • 1.
  • 2.
    Great teachers –All this is their work . I am just the reader of their books . Prof. Paolo castelnuovo Prof. Aldo Stamm Prof. Mario Sanna Prof. Magnan
  • 3.
    For Other powerpointpresentatioins of “ Skull base 360° ” I will update continuosly with date tag at the end as I am getting more & more information click www.skullbase360.in - you have to login to slideshare.net with Facebook account for downloading.
  • 4.
    Approaches to petrousapex LATERAL SKULL BASE 1. From above the labyrinth a. Middle cranial fossa transpetrous [ = Trans-apical ] approach 2. From posterior to the labyrinth a. Retrolabyrinthine transpetrous [ = Trans-apical ] approach / endoscopic retrolabyrinthine approach 3. From through the labyrinth a. Translabyrinthine transpetrous [ = Trans-apical ] approach b. Transcochlear transpetrous [ = Trans-apical ] approach 4. From below the labyrinth a. INFRA-COCHLEAR approach through BRACKS MANS TRIANGLE b. Infralabyrinthine/Infra-otic = Infratemporal fossa type A transpetrous [ = Trans-apical ] approach c. POTS d. Infralabyrinthine/Infra-otic = Infratemporal fossa type B & C transpetrous [ = Trans-apical ] approach ANTERIOR SKULL BASE 1. From anterior to the labyrinth a. Suprapetrous approach b. Infrapetrous approach
  • 5.
  • 6.
    Middle cranial fossatranspetrous approach
  • 7.
    Retrolabyrinthine transpetrous approach – dottedred line means trajectory medial to labyrinth & cochlea
  • 8.
    Tranaslabyrinthine Transpetrous [= Transapical] approach After drilling the LSC , PSC & SSC – IAC is exposed Transpetrous path is above & below the IAC & medial to cochlea
  • 9.
    The Enlarged TranslabyrinthineApproach with Transpetrous ( = Transapical ) Extension – intradurally above the IAC you will get 5th nerve where below the IAC you will get 6th nerve & lower cranial nerves . Schematic drawings showing the amount of bone removal around the internal auditory canal in the different variants of the translabyrinthine approach. Note that in the transapical modification the exposure is 320° and about 360° in types I and II, respectively. Abbreviations as in Fig. 5.1. cn, cranial nerve; CN, cochlear nerve; FN, facial nerve; IV, inferior vestibular nerve; SV, superior vestibular nerve.
  • 10.
  • 11.
    Infratemporal fossa approach–A & B Transpetrous approach
  • 12.
    POTS = Petro-occipitaltrans-sigmoid approach – sigmoid sinus is opened – dotted red line means trajectory medial to labyrinth & cochlea
  • 13.
    Anterior skull base– suprapetrous & infrapetrous approach - The ‘infrapetrous’ and ‘suprapetrous’ planes referred to in this discussion pertain to the plane to the petrous ICA, not necessarily the petrous bone.
  • 14.
    The mid- coronaland posterior coronal planes are divided into 7 anatomic zones based on the relationship to the ICA. • Zone 1 represents the anterior petrous apex. • Zone 2 represents the mid- body of the petrous bone below the level of the horizontal • segment of the petrous carotid. • Zone 3 represents the suprapetrous region consisting of the quadrangular space. • The quadrangular space is defined medially by the paraclival ICA, inferiorly by the • horizontal segment of the petrous ICA, laterally by the second division of the trigeminal • nerve, and superiorly by the course of the sixth cranial nerve within the cavernous • sinus. Through this approach Meckel’s cave and the gasserian ganglion can be • reached. • Zone 4 represents the superior lateral cavernous sinus, representing the region • through which the oculomotor (III), trochlear (IV), first division of the trigeminal • nerve, and abducens (VI) nerves traverse. • Zone 5 represents the transpterygoid /infratemporal space with direct access to the • middle fossa. • Zone 6 represents the region of the condyle. It is the paramedian area located • immediately lateral to the inferior third of the clivus and foramen magnum. It is • antero- laterally bounded by the eustachian tube and fossa of Rosenmuller that mark • the parapharyngeal ICA laterally. Superiorly, it has its limit on the petroclival synchondrosis. • Lesions in this region can involve the hypoglossal canal. • Zone 7 represents the region lateral to the parapharyngeal ICA. The approach for • this region extends along the floor of the maxillary sinus and contains the lateral • pterygoid plate and attached soft tissue. Most importantly, this region contains the • jugular foramen posteriorly.
  • 15.
    Quadrangular ( Q) space – where petrous apex is seen – Supra-petrous approach – space between laceral carotid & Trigeminal ganglion & V3
  • 16.
    Quadrangular part boarders– Zone 3 represents the suprapetrous region consisting of the quadrangular space. The quadrangular space is defined medially by the paraclival ICA, inferiorly by the horizontal segment of the petrous ICA, laterally by the second division of the trigeminal nerve, and superiorly by the course of the sixth cranial nerve within the cavernous sinus. Through this approach Meckel’s cave and the gasserian ganglion can be reached.
  • 17.
    The Petrous pyramid hasonly 3 surfaces unlike Egypt pyramid which has 4 surfaces
  • 18.
    3 surfaces 2 uppersurfaces 1 basal surface
  • 19.
    The petrous portionof the temporal bone or pyramid is pyramidal
  • 20.
    Petrous apex =AnteriorTriangular ( T ) area + Posterior Quadrangular ( Q ) area
  • 21.
    Petrous apex =AnteriorTriangular ( T ) area + Posterior Quadrangular ( Q ) area
  • 22.
    Approach through posteriorQuadrangular ( Q ) area = Kawase approach or Anterior Transpetrosal approach Neurosurgeons are doing FTOZ + kawase approach to get control of middle cranial fossa & posterior cranial fossa respectively For FTOZ + Kawase approach click 1. https://www.youtube.com/watch?v=qgItZDwRYjk 2. https://www.youtube.com/watch?v=M89uijtuzQA 3. https://www.youtube.com/watch?v=es-U3QitxdY 4. https://www.youtube.com/watch?v=vDGO4kVy0Gc 5. http://www.aiimsnets.org/skull_base_tumors.asp 6. http://aiimsnets.org/AnteriorTranspetrosalapproach.asp# others https://www.youtube.com/results?search_query=frontotemporal+orbitozygo matic+approach https://www.youtube.com/results?search_query=kawase+approach
  • 23.
    Superior view ofthe right petroclival area: see the relationships between the petrous apex, the Vth nerve, and the petroclival area. VI 6th Cranial nerve; PCa posterior cerebral artery; RCP right cerebral peduncle; SCA superior cerebellar artery; CO cochlea; GG gasserian ganglion; PCA petrous carotid artery; IPS inferior petrosal sinus; AFB acousticofacial bundles
  • 24.
    Superior view ofa right middle cranial fossa following drilling and dissection of the petrous bone: see the right tympanic cavity, and its relationships. GG Gasserian ganglion; ET Eustachian tube; PCA petrous carotid artery; IPS inferior petrosal sinus; V 5th cranial nerve; PN petrosal nerve; CO cochlea; G geniculate ganglion; CN cochlear nerve; FN facial nerve; ETE Eustachian tube entrance; M malleus; U uncus; SSCC superior semicircular canal; LSCC lateral semicircular canal; SPS superior petrosal sinus
  • 27.
    Petrous apex –Triangular area Petrous apex – Quadrangular area
  • 28.
    Quadrangular ( Q) space in anterior skull base – where petrous apex is seen – Supra-petrous approach – space between laceral carotid & Trigeminal ganglion & V3
  • 29.
    Quadrangular ( Q) space – where petrous apex is seen – Supra-petrous approach – space between laceral carotid & Trigeminal ganglion & V3 Quadrangular ( Q ) area in middle cranial fossa Quadrangular ( Q ) space in anterior skull base approach
  • 30.
    Quadrangular ( Q) space – where petrous apex is seen – Supra- petrous approach – space between laceral carotid & Trigeminal ganglion & V3 Quadrangular ( Q ) area in middle cranial fossa Quadrangular ( Q ) space in anterior skull base approach
  • 32.
    JT= Jugular Tubercle– Below this tubercle is hypoglossal canal & above is Internal Jugular foramen
  • 33.
    IPS & HVPhypoglossal venous plexus
  • 34.
    Petrous apex -Quadrangular area
  • 37.
  • 38.
    the anterior petrosectomywith preoperative embolization of the inferior petrosal sinus is a time-conserving approach giving one of the best routes to reach the ventral brainstem while working in front of the cranial nerves and preserving hearing. http://www.worldneurosurgery.org/article/S0090-3019(00)00271-8/fulltext
  • 39.
    The middle fossaretractor is fixed at the petrous ridge (PR). AE Arcuate eminence, GPN Greater petrosal nerve, M Middle meningeal artery The expected location of the internal auditory canal (IAC). The bar-shaded areas are the locations for drilling. A Anterior, AE Arcuate eminence, GPN Greater petrosal nerve, MMA Middle meningeal artery, P Posterior
  • 40.
    Approaches to petrousapex LATERAL SKULL BASE 1. From above the labyrinth a. Middle cranial fossa transpetrous [ = Trans-apical ] approach 2. From posterior to the labyrinth a. Retrolabyrinthine transpetrous [ = Trans-apical ] approach / endoscopic retrolabyrinthine approach 3. From through the labyrinth a. Translabyrinthine transpetrous [ = Trans-apical ] approach b. Transcochlear transpetrous [ = Trans-apical ] approach 4. From below the labyrinth a. Infralabyrinthine/Infra-otic = Infratemporal fossa type A transpetrous [ = Trans-apical ] approach b. POTS c. Infralabyrinthine/Infra-otic = Infratemporal fossa type B & C transpetrous [ = Trans-apical ] approach ANTERIOR SKULL BASE 1. From anterior to the labyrinth a. Suprapetrous approach b. Infrapetrous approach
  • 41.
  • 42.
    A right-sided skinincision for the middle cranial fossa approach.
  • 43.
    The skin andsubcutaneous tissues have been elevated as one flap.
  • 44.
    The temporalis fasciahas been harvested and the temporalis muscle cut using monopolar diathermy.
  • 45.
    The temporalis muscleand periosteum have been elevated as one flap.
  • 46.
    The craniotomy hasbeen performed using a small drill.
  • 47.
    The craniotomy flaphas been elevated and the middle fossa (MFD) can be seen. The branches of the trigeminal nerve (V1, V2, V3) can be identified at the anterior part of the approach.
  • 48.
    The Fukushima middlecranial fossa retractor has been applied to maintain the elevated dura. Three-quarters of the canal circumference is skeletonized, leaving a thin shell of bone over it.
  • 49.
    The different areasof access for the middle fossa approaches. a Classic middle fossa approach to the internal auditory canal. b Enlarged middle fossa approach for tumor removal. c−e The middle fossa transpetrous approach.
  • 50.
    The landmarks forthe internal auditory canal (arrow) in middle fossa approach. AE, arcuate eminence; gspn, greater superficial petrosal nerve; MMA, middle meningeal artery. A schematic representation of the position of the internal audi tory canal in middle cranial fossa approach. EAC, external auditory canal; IAC, internal auditory canal; SSC, superior semicircular canal; SPS, superior petrosal sinus.
  • 51.
    An anatomical dissectioncarried out through the middle fossa, illustrating the relationships between the various structures in this area. A closer view of the lateral end of the internal auditory canal.
  • 52.
    The posterior rhomboidalarea (Q) of the anterior petrous apex. The anterior triangular area has been uncovered by sectioning the mandibular nerve (V3) and reflecting the gasserian ganglion.
  • 53.
    The amount ofcircumferential exposure of the internal auditory canal near the fundus is only 180°. Kawase approach The quadrangular area of the petrous apex anterior to the internal auditory canal is drilled and the horizontal segment of the internal carotid artery (ICA) is exposed.
  • 54.
    the anterior petrosectomywith preoperative embolization of the inferior petrosal sinus is a time-conserving approach giving one of the best routes to reach the ventral brainstem while working in front of the cranial nerves and preserving hearing. http://www.worldneurosurgery.org/article/S0090-3019(00)00271-8/fulltext
  • 55.
    Neurosurgeons are doingFTOZ + kawase approach to get control of middle cranial fossa & posterior cranial fossa respectively For FTOZ + Kawase approach click 1. https://www.youtube.com/watch?v=qgItZDwRYjk 2. https://www.youtube.com/watch?v=M89uijtuzQA 3. https://www.youtube.com/watch?v=es-U3QitxdY 4. https://www.youtube.com/watch?v=vDGO4kVy0Gc 5. http://www.aiimsnets.org/skull_base_tumors.asp 6. http://aiimsnets.org/AnteriorTranspetrosalapproach.asp# others https://www.youtube.com/results?search_query=frontotemporal+orbitozygo matic+approach https://www.youtube.com/results?search_query=kawase+approach
  • 56.
    Kawase vs “ModifiedAnterior Petrosectomy (MAP) Rhomboid” Approach – get this paper at www.sci-hub.cc http://ofuturescholar.com/paperpage?docid=190 5013 Kawase vs Retrosigmoid Transtentorial and Retrosigmoid Intradural Suprameatal Approaches http://www.ncbi.nlm.nih.gov/pmc/articles/PMC4 067754/
  • 57.
    To get anypaper of any journal free click www.sci-hub.bz or www.sci-hub.cc How to get FREE journal papers in www.sci-hub.bz or www.sci-hub.cc 1. When same paper published in different journals , the same paper has different DOIs -- so we have to try with different DOIs in www.sci- hub.bz orwww.sci-hub.cc if one of the DOI is not working. 2. If the paper has no DOI , copy & paste URL of that paper from the main journal website . If you can't get from one journal URL try with different journal URL when the author publishes in different journals . 3. Usually all new papers have DOIs . Old papers don't have DOIs . Then search in www.Google.com . Old papers are usually kept them free in Google by somebody . Sometimes the Old papers which are re-published will have DOIs. Then keep this DOI in www.sci-hub.bz or www.sci-hub.cc 4. Add " .pdf " to title of the paper & search in www.Google.com if not found in www.sci-hub.bz or www.sci-hub.cc
  • 58.
    The whole lengthof the horizontal portion of the internal carotid artery (ICA) is exposed up to the anterior foramen lacerum (AFL). The dura is opened by creating an inferiorly based flap, the dashed lines.
  • 59.
    Surgical Anatomy afterOpening of the Dura The middle fossa transpetrous approach.
  • 60.
    The anterior inferiorcerebellar artery is seen looping around the acousticofacial bundle (AFB). At a higher magnification a prominent flocculus (Fl) is observed.
  • 61.
    The distal partof the vertebral artery (VA) can be seen. The distal part of the vertebral artery (VA) can be seen.
  • 62.
    After removing theremaining bone of the petrous apex, the basilar artery (BA) can be seen in the prepontine cistern. Opening the dura of the middle cranial fossa exposes the third nerve (III) and intracavernous portion of the internal carotid artery (ICA).
  • 64.
    A closer viewat the level of the fundus of the internal auditory canal. The facial nerve lies anteriorly and superiorly. The vestibular nerve posteriorly is separated from the facial nerve by a plane of cleavage. The cochlear nerve is located inferior to the facial nerve. The cochlear nerve travels along an inferior course in the internal auditory canal. Inferior to the vestibular nerve at the porus acusticus, it becomes inferior to the facial nerve at the lateral end of the internal auditory canal. There is a labyrinthine artery coursing between the cochlear and facial nerves.
  • 65.
    A closer viewat the level of the porus acusticus. The anterior inferior cerebellar artery forms a vascular loop and gives off labyrinthine arteries, which fix the contact between the artery and the inferior surface of the acousticofacial nerve bundle at the inferior lip of the meatus.
  • 66.
    The root exitzone of the facial nerve is anterior to the root of the cochlear nerve and superior to the rootlets of the lower cranial nerves. 7 Facial nerve 8 Vestibulocochlear nerve 9 Glossopharyngeal nerve 10 Vagus nerve AICA Anterior inferior cerebellar artery IAC Internal auditory canal PICA Posterior inferior cerebellar artery
  • 67.
    The pontobulbar junctionand the roots of the lower cranial nerves are visualized. The loop of the posterior inferior cerebellar artery is seen in the background.
  • 68.
    Right enlarged middlefossa approach. The internal auditory canal has been opened, revealing the acousticofacial Perve bundle contained within it. The facial nerve runs anteriorly, and the superior vestibular nerve lies posteriorly. The loop of the anterior inferior cerebellar artery runs near the Meatus, below the acousticofacial nerve bundle.
  • 69.
  • 70.
    Posterior view ofCP angle 1. level 1 = Trigeminal area 2. Level 2 = AFB area 3. Level 3 = Lower cranial nerve area 4. Level 4 = Foramen magnum area
  • 71.
    Various Transpetrous approachesto get lateral view of CP angle ( = to reach Lateral part of Posterior cranial fossa dura ) predominently to reach Level 1 = Trigeminal nerve area & Level 2 = AFB area 1. Retrolabyrinthine Transpetrous ( = Transapical ) 2. Translabyrinthine Transpetrous ( = Transapical ) 3. Transcochlear Transpetrous ( = Transapical ) predominently to reach Level 3 = Lower cranial nerve area 4. POTS = Petro-Occipital Trans-Sigmoid approach 5. Infralabyrinthine Transpetrous ( = Transapical ) -- which is nothing but IFTA-A , PONS , IFTA-B Transpetrous approach [ IFTA-A,B = Infratemporal fossa approach A , B / PONS = petro-occipital trans-sigmoid approach ] predominently to reach Level 4 = Foramen magnum area 6. Exrtreme lateral or Far lateral or Transcondylar approach
  • 72.
    Photograph of acadaveric dissection showing an overview of the temporal bone and depicting the posterior surface of the petrous part. The sphenoid bone, which articulates anteriorly with the petrous and squamous temporal bone, has been removed in this specimen. The pyramidal petrous part, located between the sphenoid and occipital bones, has a base, apex, and three surfaces. The sigmoid sinus descends along the posterior surface of the mastoid part and turns anteriorly toward the jugular foramen. The posterior transpetrosal approaches involve progressive degrees of resection of the petrous temporal bone. The retrolabyrinthine (green outline) dissection exposes the area between the superior petrosal sinus, the sigmoid sinus, and the posterior semicircular canal. The translabyrinthine approach (pink outline) extends more anteriorly to remove all three semicircular canals and to expose the anterior wall of the IAC. The transcochlear (blue outline) dissection extends even more anteriorly to the petrous apex, resulting in an almost complete petrosectomy with the widest and most direct exposure of all the posterior transpetrosal approaches. PET. = petrous/petrosal; POST. = posterior; RETROLAB = retrolabyrinthine; S.C. = semicircular canal; SIG. = sigmoid; SUP. = superior; TRANSLAB = translabyrinthine.
  • 73.
    Middle cranial fossaTranspetrous approach - the anterior petrosectomy with preoperative embolization of the inferior petrosal sinus is a time-conserving approach giving one of the best routes to reach the ventral brainstem while working in front of the cranial nerves and preserving hearing. http://www.worldneurosurgery.org/article/S0090-3019(00)00271-8/fulltext
  • 74.
  • 75.
    Retrolabyrinthine Transpetrous (= Transapical ) & Translabyrinthine Transpetrous ( = Transapical ) & Transcochlear Transpetrous ( = Transapical ) predominently to reach Level 1 = Trigeminal nerve area & Level 2 = AFB area ================================================== Infralabyrinthine Transpetrous ( = Transapical ) -- which is nothing but IFTA-A , PONS , IFTA-B Transpetrous approach [ IFTA-A,B = Infratemporal fossa approach A , B / PONS = petro-occipital trans-sigmoid approach ] Predominently to reach Level 3 = Lower cranial nerve area
  • 76.
    COMBINED APPROACHES Retrolabyrinthine Transpetrous( = Transapical )Subtemporal Approach Retrolabyrinthine Transpetrous ( = Transapical )Subtemporal Transtentorial Approach Retrolabyrinthine Subtemporal Transapical Approach Retrolabyrinthine Subtemporal Transtentorial Approach
  • 77.
    A view ofthe cerebellopontine angle through the retrolabyrinthine approach Note the narrow field and limited control. Posterior fossa dura (PFD) structures exposed through the standard retrolabyrinthine approach. A view of the posterior fossa dura through the combined retrolabyrinthine subtemporal transapical approach.
  • 78.
    The middle fossadura has been cut. The oculomotor nerve (III) is clearly seen. With more retraction of the temporal lobe and the tentorium (*), the optic nerve (II) is seen.
  • 79.
    Retrolabyrinthine Subtemporal Transapical (TranspetrousApex) Approach Schematic drawing showing the incision to be performed. A retrolabyrinthine approach is performed.
  • 80.
    The dura ofthe middle fossa is detached from the superior surface of the temporal bone from posterior to anterior. With further detachment of the dura, the middle meningeal (MMA) artery is clearly identified.
  • 81.
    The middle meningealartery (MMA) and the three branches (V1, V2, V3) of the trigeminal nerve are identified. View after cutting the middle meningeal artery (MMA) and the mandibular branch of the trigeminal nerve (V).
  • 82.
    The internal auditorycanal (IAC) is identified. A large diamond burr is used to drill the petrous apex.
  • 83.
    The petrous apexhas been drilled. The internal carotid artery (ICA) is identified. At higher magnification, the abducent nerve (VI) is identified at the level of the tip of the petrous apex (PA).
  • 84.
    Panoramic view showingthe structures after opening of the posterior fossa dura. At higher magnification, the anterior inferior cerebellar artery (AICA)is seen stemming from the basilar artery (BA) at the prepontine cistern. The artery is crossed by the abducent nerve (VI). Note the good control of the prepontine cistern through this approach.
  • 85.
    Tilting the microscopedownward, the lower cranial nerves are well seen.
  • 86.
    Retrolabyrinthine Subtemporal Transtentorial Approach Theretrolabyrinthine craniotomy has been performed. The petrous apex has been partially drilled. The middle fossa dura (*) is incised.
  • 87.
    The tentorium (*)is cut, taking care not to injure the trochlear nerve. The tentorium is further cut until the tentorial notch is reached. With retraction of the temporal lobe the optic (II), oculomotor (III) and contralateral oculomotor (IIIc) nerves are seen.
  • 88.
    Branches of thetrigeminal nerve (V1, V2, V3) at the level of the lateral wall of the cavernous sinus.
  • 89.
    Endoscopic Retrolabyrinthine approach – Theretrolabyrinthine approach consists of a small posterior fossa craniotomy, between the sigmoid sinus and the otic capsule. It provides limited exposure of the posterior fossa, confined to the region of the entry zone of the trigeminal nerve and acousticofacial nerve bundle. More lateral structures, such as the porus acusticus and the internal auditory canal, cannot be visualized directly, since they are blocked by the otic capsule. In order to reach and inspect the interna) auditory canal, it is necessary first to enlarge the approach posteriorly, removing the bone overlying the sigmoid sinus and 1-2 cm of the retrosigmoid occipital bone; and secondly, to use the endoscopic procedure .
  • 90.
  • 91.
    Retrolabyrinthine Transpetrous (= Transapical ) & Translabyrinthine Transpetrous ( = Transapical ) & Transcochlear Transpetrous ( = Transapical ) predominently to reach Level 1 = Trigeminal nerve area & Level 2 = AFB area ================================================== Infralabyrinthine Transpetrous ( = Transapical ) -- which is nothing but IFTA-A , PONS , IFTA-B Transpetrous approach [ IFTA-A,B = Infratemporal fossa approach A , B / PONS = petro-occipital trans-sigmoid approach ] Predominently to reach Level 3 = Lower cranial nerve area
  • 92.
    The Enlarged TranslabyrinthineApproach with Transpetrous ( = Transapical ) Extension – intradurally above the IAC you will get 5th nerve where below the IAC you will get 6th nerve & lower cranial nerves . Schematic drawings showing the amount of bone removal around the internal auditory canal in the different variants of the translabyrinthine approach. Note that in the transapical modification the exposure is 320° and about 360° in types I and II, respectively. Abbreviations as in Fig. 5.1. cn, cranial nerve; CN, cochlear nerve; FN, facial nerve; IV, inferior vestibular nerve; SV, superior vestibular nerve.
  • 93.
    Drilling inferior tothe right internal auditory canal (IAC). Further extensive drilling inferior to the internal auditory canal (IAC) toward the petrous apex.
  • 94.
    Bone removal superiorand inferior to the internal auditory canal (arrows). Further drilling of the petrous apex and clivus.
  • 95.
    Extensive bone removalinferior and superior to the internal auditory canal (IAC). Bone superior to the canal (*) is still to be removed. The whole contents of the internal auditory canal (IAC) are pushed inferiorly to allow removal of the remaining bone (*) superior to the canal.
  • 96.
    The whole contentsof the canal are displaced inferiorly to show the extent of bone removal. The anterior wall of the canal can also be drilled if needed. Schematic drawing showing the technique and extent of bone removal in the type I (green line) and type II (red line) transapical extension. F, facial nerve; C, cochlear nerve; Vs, superior vestibular nerve; Vi, inferior vestibular nerve.
  • 97.
    Schematic drawing showingthe technique and extent of bone removal in the type I (green line) and type II (red line) transapical extension. F, facial nerve; C, cochlear nerve; Vs, superior vestibular nerve; Vi, inferior vestibular nerve.
  • 98.
    General view ofthe structures in the cerebellopontine angle after opening the dura. Note the enhanced exposure of the angle and the excellent exposure of the trigeminal nerve (V). The trigeminal nerve (V) is pushed superiorly. The basilar artery (BA) in the prepontine cistern can be seen well.
  • 100.
    With more tractionof the tentorium, a panoramic view of the structures in the angle is available. The trochlear nerve (IV) is seen before piercing the tentorium to gain access to the middle fossa.
  • 101.
  • 102.
    Retrolabyrinthine Transpetrous (= Transapical ) & Translabyrinthine Transpetrous ( = Transapical ) & Transcochlear Transpetrous ( = Transapical ) predominently to reach Level 1 = Trigeminal nerve area & Level 2 = AFB area ================================================== Infralabyrinthine Transpetrous ( = Transapical ) -- which is nothing but IFTA-A , PONS , IFTA-B Transpetrous approach [ IFTA-A,B = Infratemporal fossa approach A , B / PONS = petro-occipital trans-sigmoid approach ] Predominently to reach Level 3 = Lower cranial nerve area
  • 103.
    An extended mastoidectomy, labyrinthectomy,identification of the internal auditory canal, and drilling of the cochlea has been performed. The facial nerve (FN) has been skeletonized. The facial nerve (FN) has been skeletonized.
  • 104.
    Using a diamondburr to uncover the labyrinthine segment of the facial nerve (FN). The facial nerve (FN) is completely uncovered. Note Bill’s bar (BB) separating the nerve from the superior vestibular nerve (SVN) at the level of the fundus of the internal auditory canal.
  • 105.
    Identification of thegreater superficial petrosal nerve (gspn). The greater superficial petrosal nerve is (gspn) cut.
  • 106.
    The geniculate ganglion(GG) and the labyrinthine portion of the facial nerve (FN) are elevated. The tympanic segment is freed.
  • 107.
    A beaver knifeis used to free the mastoid segment. The superior vestibular nerve (SVN) is detached from its attachment.
  • 108.
    The whole contentsof the internal auditory canal are transposed posteriorly with the facial nerve (FN). New position of the facial nerve (FN) after posterior rerouting
  • 109.
    Removal of thefallopian canal with a rongeur.
  • 110.
    Surgical Anatomy afterOpening the posterior cranial fossa dura Drilling of the cochlea (Co). Drilling of the petrous apex (PA).
  • 111.
    View after completeperformance of the approach. The dashed lines represent the dural incision. View after opening the dura, showing excellent control of the basilar artery (BA) and prepontine cistern.
  • 112.
    Tilting the microscopedownward, both the ipsilateral (VA) and contralateral (VAc) vertebral arteries come into view. With a slight retraction of the middle fossa dura, the origin of the superior cerebellar artery at the basilar artery (BA) can be seen. Note the excellent control of the trigeminal nerve (V).
  • 113.
    Lilliquits membrane presentover the basillar artery & 3rd N. origin area
  • 114.
    Mild retraction ofthe tentorium (Ten) provides a good view of the oculomotor nerve (III) and its relation to the superior cerebellar artery (SCA) lying inferiorly and the posterior cerebral artery (PCA) lying superiorly. The trochlear nerve (IV) is seen running on the undersurface of the tentorium. Meckel’s cave (MC) can be opened when necessary.
  • 115.
    The Type CModified Transcochlear Approach – after cutting the tentorium With mild retraction of the temporal lobe, the bifurcation of the internal carotid artery (ICA) into the anterior (ACA) and middle cerebral (MCA) arteries is seen. The ipsilateral (ON) and contralateral (ONc) optic nerves are seen. The oculomotor nerve (III) is embraced by the posterior cerebral artery (PCA) superiorly and the superior cerebellar artery (SCA) inferiorly
  • 116.
    Petroclival meningiomas surgeryby Modified transcochlear approach Click video https://www.youtube.com/watch?v= kUa9fQ4_aQY
  • 117.
  • 118.
    PETROUS APEX CHOLESTEATOMA- Dear surgeons today we did INFRA-COCHLEAR approach to petrous apex cholesteatoma through BRACKS MANS TRIANGLE cholesteatoma is completely removed with microscopic approach passing under the vertical ica It was communicated intradurally Finally cavityis obliterared with fat Here are some microscopic pics
  • 122.
    Prof. Marchioni papersof SCC [ Sub Cocheolar Canal ] • http://sci-hub.cc/10.1007/s00405-014-2923-8 • http://sci-hub.cc/10.1007/s00276-016-1662-5
  • 123.
    Between the fustisand the finiculus a subcochlear canaliculus is often seen, which is a tunnel that connects the round window chamber with the petrous apex via a series of pneumatized cells. Right ear. Endoscopic anatomy of inferior retrotympanum. fu fustis, t tegmen, pp posterior pillar, f finiculus, j jacobson’s nerve
  • 124.
    Right ear. Endoscopicanatomy of the retrotympanum during dissection for acustic neuroma surgery. fu fustis, fn facial nerve, ow oval window, pr promontory, scc subcochlear canaliculus, et Eustachian tube
  • 125.
    Right ear. Endoscopicdissection during surgery, after drilling the promontory. ow oval window, st scala tympani, scc subcochlear canaliculus
  • 126.
  • 127.
  • 128.
  • 130.
    Temporal bone CT.Look at the sub-cochlear canaliculus or sub-cochlear tunnel that can allow endoscopic transcanal retrocochlear access to the IAC and drain the petrous apex cells
  • 147.
    Infratemporal fossa approachtype A [ IFTA-A ] – transpetrous approach There is no need to transpose facial nerve in ITFA-A – Dr. Morwani
  • 148.
    The structures thatimpede the lateral access to the lower skull base, namely, the facial nerve (FN), the styloid process and attached muscles and ligaments, and the posterior belly of the digastric. ICA, internal carotid artery; IJV, internal jugular vein. The mastoid segment of the facial nerve (FN) is centered on the jugular bulb (JB).
  • 149.
    The facial nerve(FN) is skeletonized from the geniculate ganglion to the stylomastoid foramen. The mastoid tip is removed, cutting the tough attachments with strong scissors. (Arrow points at the new fallopian canal.)
  • 150.
    Anterior transposition ofthe facial nerve (FN). (Arrow points at the new fallopian canal.) The tympanic bone (black double arrows) is still to be drilled. The transposed facial nerve (white arrow) is seen in its new canal.
  • 151.
    The styloid process(StP) and attached structures are severed. The tympanic bone (arrowheads) is drilled. The transposed facial nerve is seen in its new canal.
  • 152.
    Using a largediamond drill, the vertical intrapetrous internal carotid artery is identified. Drilling the petrous apex medial to the internal carotid artery (ICA) to remove all the infiltrated bone. The close relation of the cochlea (Co) to the internal carotid artery (ICA). The close relation of the cochlea (Co) to the internal carotid artery (ICA).
  • 153.
    The petrous apexis already drilled. Tumor is still attached to the internal carotid artery. The anterior wall of the external auditory canal is drilled, allowing better control of the internal carotid artery (ICA).
  • 154.
    The petrous apexis now free of tumor. The vertical intrapetrous internal carotid artery has been liberated. Note the tumor (T) surrounding the artery. The internal jugular vein is double ligated, cut, and elevated with the attached tumor. The posterior fossa dura (PFD) is exposed. The remaining tumor (T) is still to be removed. The opened sigmoid sinus (SS) can be seen.
  • 155.
    The tumor (T)is seen surrounding the intrapetrous internal carotid artery (ICA).
  • 156.
    POTS = Petro-OccipitalTrans- sigmoid approach
  • 157.
    Retrolabyrinthine Transpetrous (= Transapical ) & Translabyrinthine Transpetrous ( = Transapical ) & Transcochlear Transpetrous ( = Transapical ) predominently to reach Level 1 = Trigeminal nerve area & Level 2 = AFB area ================================================== Infralabyrinthine Transpetrous ( = Transapical ) -- which is nothing but IFTA-A , PONS , IFTA-B Transpetrous approach [ IFTA-A,B = Infratemporal fossa approach A , B / PONS = petro-occipital trans-sigmoid approach ] Predominently to reach Level 3 = Lower cranial nerve area
  • 158.
    The C-shaped skinincision. A skin flap is raised.
  • 159.
  • 160.
    Bone exposure. Notethat no retractors are used. The internal jugular vein (IJV) is identified.
  • 161.
    The internal jugularvein is liberated. An extended mastoidectomy has been performed.
  • 162.
    A wide retrosigmoidcraniotomy. The sigmoid sinus (SS) is uncovered. Note that the bone overlying the genu from the lateral to the sigmoid sinus is intact (arrowhead).
  • 163.
    The dura isseparated from the overlying bone. The dura is separated from the overlying bone.
  • 164.
    The endolymphatic sac(ELS) is identified. Further separation of dura from the overlying bone.
  • 165.
    Placement of aluminumto protect the dura from injury. The cochlear aqueduct (CAq)is identified.
  • 166.
    Complete drilling ofthe retrofacial air cells. The approach has been completed. The dotted line representsthe dural incision.
  • 167.
    The jugulocarotid crestis drilled, exposing the vertical segment of the internal carotid artery. An extended posterior tympanotomy has been performedand the facial nerve transposed laterally.
  • 168.
    The dura hasbeen opened and the tumor (T) can be seen. Closure of the dura. The remaining defect (white arrowheads), together with the operative cavity, is obliterated with abdominal fat.
  • 169.
    Surgical Anatomy afterOpening the posterior cranial fossa dura General view of the structures that can be visualized after opening the dura. At the superior aspect of the approach, the fourth (IV) and fifth (V) cranial nerves can be appreciated.
  • 170.
    The facial nervecan be clearly seen in the middle part of the approach after retracting the posteriorly lying cochlear nerve. Separation of the glossopharyngeal nerve (IX) from the vagus (X) and accessory (XI) nerves at the medial aspect of the jugular foramen. Further inferiorly, the ninth (IX), tenth (X), and eleventh (XI) cranial nerves can be seen exiting the skull through the jugular foramen
  • 171.
    At the inferiorpart of the approach the lower cranial nerves can be appreciated. The relation between the inferior petrosal sinus (ips) and the lower cranial nerves.
  • 172.
    The origin ofthe hypoglossal nerve (XII). . The drilled occipital condyle (OC) and the hypoglossal canal (HC).
  • 173.
    Infratemporal fossa approachtype B &C [ IFTA – B & C ]– transpetrous approach
  • 174.
    The petrous apexas viewed through the infratemporal fossa type B approach. Structures lying lateral to the internal carotid artery (ICA). The mandibular nerve (V3) and the middle meningeal artery have been cut. The instrument points to the position of the already drilled bony eustachian tube (ET).
  • 175.
    Cutting the middlemeningeal artery (MMA). The mandibular nerve (V3) is cut.
  • 176.
    Suturing the eustachiantube (ET) at the end of the procedure The internal carotid artery (ICA) has been exposed anterior to the cochlea (Co). Note the tumor (T) occupying the petrous apex.
  • 177.
    The artery isretracted posterolaterally. The petrous apex is drilled.
  • 178.
    Neurosurgical cottonoids placedin the petrous apex for hemostasis. At higher magnification, residual tumor (T) is seen at the mid-clivus and medial to the cartilaginous eustachian tube (ET).
  • 179.
    The internal carotidartery (ICA) is displaced laterally to ascertain total tumor removal. The tumor has been totally removed. Note the excellent control of the vertical and horizontal segments of the internal carotid artery (ICA). The cartilaginous eustachian tube has been sutured (arrow).
  • 180.
    The internal carotidartery (ICA) has been displaced laterally using an umbilical tape. This allows better exposure of the petrous apex (PA) to assure complete tumor removal.
  • 181.
  • 182.
  • 183.
    1. Upper clivus– Upto 6th nerve entry dorello’s canal (petro-clival junction) 2. Middle clivus – from 6th nerve to jugular foramen 3. Lower clivus – from jugular foramen to foramen magnum Lateral skull base Anterior skull base
  • 184.
    The middle third(M. 1/3rd) begins at the sella floor (SF) and extends to the floor of the sphenoid sinus (SSF), and the lower third (L. 1/3rd) extends from the floor of the sphenoid sinus to the foramen magnum (FM). Lateral skull base Anterior skull base
  • 185.
    Lower half ofparaclival carotid - caudal part, the lacerum segment of the paraclival carotid ”The unsolved surgical problem remains the medial wall of the ICA at the level of the anterior foramen lacerum, until now unreachable with the available surgical approaches." - In lateral skull base by Prof. Mario sanna – this unreachable is Carotid- Clival window which is accessable in Anterior skull base Infrapetrous Approach Carotid-Clival window – Mid clivus a. Petrosal face b.Clival face
  • 186.
    JT = jugulartubercle separates the hypoglossal canal from Jugular foramen
  • 187.
    IPS & HVPhypoglossal venous plexus
  • 188.
    Jugular tubercle [JT ] AICA antero-inferior cerebellar artery, ASC anterior semicircular canal, BA basilar artery, HC hypoglossal canal, IAC internal acoustic canal, ICAh horizontal portion of the internal carotid artery, JT jugular tubercle, LCNs lower cranial nerves, LSC lateral semicircular canal, P pons, PICA postero-inferior cerebellar artery, PSC posterior semicircular canal, VIcn abducens nerve, VIIcn facial nerve, white arrow vestibolocochlear nerve
  • 189.
    The foramen lacerum(FL) is located lateral to the floor of the sphenoid sinus at the level of the spheno-petro-clival confuence. JT jugular tubercle, HC hypoglossal canal – addFig 3.78 also
  • 190.
    Pontomedullary junction =Vertebro-basillar junction = Junction of Mid clivus & Lower clivus = foramen lacerum area The pontomedullary junction. The vertebral artery junction is at the level of the junction of the inferior and midclivus. The basilar artery runs in a straight line on the surface of the pons. The exit zones of the hypoglossal and abducent nerves are at the same level. The abducent nerve exits from the pontomedullary junction, and ascends in a rostral and lateral direction toward the clivus.
  • 191.
    Very rare specimen..Thevbj is far inferior to floor of sphenoid sinus Cadaveric dissection image demonstrating structures seen following dissection of the lower third of the clivus. Note how thebasilar arteries and vertebral arteries can be extremely tortuous in their course.
  • 192.
    Cadaveric dissection demonstratingthe osteotomies at the base of the posterior clinoids (PC) for separation with the body of the dorsum sella (DS). P. CCA , posterior genu of the intracavernous carotid artery; PCA, paraclival carotid artery; ICCA, intracranial carotid artery; BA, basilar artery; PL, posterior lobe of the pituitary gland; AL, anterior lobe of the pituitary gland.
  • 193.
    Cadaveric dissection imagedemonstrating the close anatomical relationship of the posterior clinoid (PC) with both the intracranial carotid artery (ICCA) and the posterior genu of the intracavernous carotid artery (P. CCA). AL, anterior lobe of the pituitary gland; PL, posterior lobe of the pituitary gland; BA, basilar artery. green dotted triangle area for entry of the endoscope into the interpeduncular fossa
  • 194.
    Cadaveric dissection ofthe middle third of the clivus with removal of the basilar plexus and exposing the dura. The abducens nerves (CN VI) can be seen bilaterally as they perforate the meningeal dura and become the interdural segments of CN VI. CS, cavernous sinus; PCA, paraclival carotid arteries; P, pituitary gland.
  • 195.
  • 196.
    See the relationshipbetween lower boarder of posterior end of vomer & clivus – vomer lower boarder is at junction of mid & lower clivus – my understanding
  • 197.
  • 199.
    Anterior cranial fossadura Posterior cranial fossa dura
  • 200.
  • 201.
    Quadrangular ( Q) space – where petrous apex is seen – Supra-petrous approach – space between laceral carotid & Trigeminal ganglion & V3
  • 202.
    Quadrangular ( Q) space – where petrous apex is seen – Supra-petrous approach – space between laceral carotid & Trigeminal ganglion & V3 Quadrangular ( Q ) area in middle cranial fossa Quadrangular ( Q ) space in anterior skull base approach
  • 203.
    Quadrangular ( Q) space – where petrous apex is seen – Supra- petrous approach – space between laceral carotid & Trigeminal ganglion & V3 Quadrangular ( Q ) area in middle cranial fossa Quadrangular ( Q ) space in anterior skull base approach
  • 204.
    Paraclival carotid PAp =Petrous apex 1. caudal part, the lacerum segment of the artery corresponding to the extracavernous portion of the vessel, and 2. rostral part, the trigeminal, intracavernous portion of the artery, so- called because the Gasserian ganglion is posterior to it and the trigeminal divisions are lateral to it. CR clival recess, ICAc cavernous portion of the internal carotid artery, ICAh horizontal portion of the internal carotid artery, PAp petrous apex, VN vidian nerve , MC Mevkels cave
  • 205.
    CR clival recess,ET eustachian tube, ICAc cavernous portion of the internal carotid artery, ICAh horizontal portion of the internal carotid artery, PAp petrous apex, PLL petrolingual ligament, VN vidian nerve, V2 second branch of the trigeminal nerve, red arrow artery for the foramen rotundum, yellow arrow greater petrosal nerve. The petrolingual ligament connects the petrous apex and the lingula of the sphenoid. It can be considered the border between the horizontal and cavernous portions of the internal carotid artery.
  • 206.
    Endoscopic vision ofthe suprapetrous window. The dura of the middle cranial fossa has been displaced upward, and the greater petrosal nerve coming out from the geniculate ganglion is evident. The black arrow in the small picture indicates the perspective of the vision in the bigger image ET eustachian tube, GPN greater petrosal nerve, MCFd dura of the middle cranial fossa, MMA middle meningeal artery, SPS superior petrosal surface, TI trigeminal impression, V3 third branch of the trigeminal nerve, yellow arrow accessory middle meningeal artery, white asterisks greater petrosal nerve groove The skull base given by the sphenoid bone has been drilled away, and the third branch of the trigeminal nerve and the MMA have been freed from their canals. An accessory MMA is seen in close relationship to V3. When present, it passes through the foramen ovale.
  • 207.
    The space abovetransverse line of V2 is Middle cranial fossa ( Meckel’s cave ) – Read the CT – scan/ Plane the surgery by using these lines
  • 209.
    Upper half ofparaclival carotid – rostral part, the trigeminal segment of the paraclival carotid TG ( Trigeminal ganglion ) is lateral to upper half [ rostral part ] of Paraclival carotid Anterior skull base Lateral skull base
  • 211.
    Carotid transposition –need to refer literature regarding “ How far it is SAFE ” in anterior skull base approach
  • 212.
    For Other powerpointpresentatioins of “ Skull base 360° ” I will update continuosly with date tag at the end as I am getting more & more information click www.skullbase360.in - you have to login to slideshare.net with Facebook account for downloading.