The ED Patient with
Abdominal Pain
Marion R. Sills, MD, MPH
Medical Student Lecture
Overview of ED Abdominal
Pain
• Epidemiology
• Extensive differential
• Timely identification of the acute abdomen is key
• Approach
• Manage pain first
• H&P is key (again!)
Epidemiology
• Common: 5% of all emergency department (ED) visits
• Varied presentations
• acute exacerbations of chronic problems (e.g., peptic disease,
pancreatitis in alcoholics, inflammatory bowel disease)
• acute surgical abdomens (e.g., appendicitis, ruptured bowel,
acute volvulus)
• also includes trauma (e.g., splenic rupture, hepatic laceration, small
bowel rupture)
• nonsurgical abdominal emergencies (e.g., gastritis, biliary colic,
gastroenteritis)
• Differential is extensive
Epidemiology: Age, Sex
• Most Common Diagnoses pts > 50
• Cholecystitis (21%)
• Nonspecific abdominal pain (16%)
• Appendicitis (15%)
• SBO (12%)
• Everything else (diverticulitis, hernia, cancer, vascular)
• Most Common Diagnoses pts < 50:
• Nonspecific Abdominal Pain ( ~40% )
• Appendicits (32%)
• Cholecystitis (6%)
• SBO and Pancreatitis (each ~ 2%)
Other Common Diagnoses
• Gastroenteritis*
• GERD
• Cholecystitis
• Appendicitis
• Obstruction
• Constipation*
• UTI*
• PID*
• Renal stones
• Intussusception
*often misdiagnosed in patients with another, more
significant abdominal pathology
H&P
• H&P are key
• guide workup
• narrow the extensive differential
• Labs and imaging are used to either support/refute your
suspected diagnosis
• More helpful in generating a diagnosis when the H&P is
suboptimal (altered, confused patient)
H&P: Key Considerations
• Essential to rule out the life-threatening causes
• AAA
• Perforation
• Obstruction
• Ischemia
• Ectopic pregnancy
• identify patterns that place a person at risk for life-threatening
causes and rule out/in those causes
H&P: Initial approach
• If on initial assessment the patient is in obvious pain, give
analgesia immediately
• Severe pain: parenteral administration
• Usually morphine sulfate
• If probable renal colic, consider ketorolac
• if low/borderline BP, consider shorter acting opioid: fentanyl
• Milder pain: oral medication may be OK
• Medications will not interfere with the exam
• If the vital signs are abnormal have low threshold for
obtaining vascular access
Abdominal Pain History
• HPI
• Onset
• Palliates/Provokes
• Quality
• Radiation
• Severity
• Time course
• Undo (what have they
done to “undo” their
pain)
• PMH
• PMHx
• Surgical Hx
• Allergies
• Meds
• Social Hx
• EtOH
History: Characterizing Pain
• Onset and pattern
• Location and radiation
• Alleviating and aggravating factors
• Severity
• Quality
History: Characterizing Pain
• Onset
• Abrupt or gradual onset (abrupt is worse)
• Duration (< 48 hours is worse)
• Trend and pattern: constant or intermittent (constant pain is
worse)
• Timing in relation to other symptoms (e.g., pain that precedes
vomiting is worse)
• Tip:
• Constant pain that began abruptly suggests renal colic,
perforated viscus, ischemia (myocardial infarction, testicular or
ovarian torsion) or hemorrhage
History: Characterizing Pain
• Location
• Ask where the pain is and how this has changed
• 6 anatomic locations: RUQ, epigastrium, LUQ, RLQ, suprapubic,
and LLQ
• Tips:
• The more midline the pain, the more likely it is bowel based
• Pain that starts centrally and migrates to the RLQ has a high
specificity for appendicitis
• Pain that localizes (in children, to somewhere other than umbilicus)
is of higher concern
• Radiation
• Can be helpful when present
• Tips:
• Radiating into back or groin suggests renal colic
• Radiating into right shoulder suggests biliary disease
Causes by Quadrant
RUQ LUQ
•Gastric/Peptic Ulcer
•Biliary Disease
•Hepatitis
•Pancreatitis
•Retrocecal Appendicitis
•Renal Stone
•Pyelonephritis
•MI
•Pulmonary Embolus
•Pneumonia
•Gastric Ulcer
•Gastritis
•Pancreatitis
•Splenic injury
•Renal Stone
•Pyelonephritis
•MI
•Pulmonary Embolus
•Pneumonia
RLQ LLQ
•Appendicitis
•Ovarian Cyst
•Mittelschmerz
•Pregnancy
•Tubo-ovarian abscess
•PID
•Ovarian Torsion
•Cystitis
•Prostatitis
•Ureteral Stone
•Testicular Torsion
•Epididymitis
•Diverticulitis
•AAA
•Diverticulitis
•Ovarian Cyst
•Mittelschmerz
•Pregnancy
•Tubo-ovarian abscess
•PID
•Ovarian Torsion
•Cystitis
•Prostatitis
•Ureteral Stone
•Testicular Torsion
•Epididymitis
•AAA
History: Characterizing Pain
• Alleviating and aggravating factors
• Include eating, movement, medication
• Tips:
• Worsened by eating: often related to pancreas or gall bladder
• Relieved by eating: often peptic disease.
History: Characterizing Pain
• Severity
• Evaluate with 1-10 scale
• Allows assessment of trends and response to therapy
• Quality
• Sometimes helpful, but some patients are highly suggestible, or
unable to describe pain very precisely.
• Tip: Ask if the patient had pain like this before. If yes, consider
peptic disease, biliary disease, IBD, hepatitis, and pancreatitis. (A
report of no prior episodes is worse)
History: Pain
Characterization and
Differential Diagnosis• Sudden onset of severe pain which does not diminish
• renal colic
• perforated viscous (e.g., ulcer)
• myocardial infarction, intestinal infarction
• torsion (ovary, testicle)
• hemorrhage (e.g., dissecting AAA)
• Crampy pain
• biliary colic
• renal colic
• intestinal obstruction
• gastroenteritis
• ectopic pregnancy
• Referred pain
• myocardial infarction may present as epigastric pain
• pneumonia
• strep tonsillitis
History: ROS
• General: Fever and chills point to an acute inflammatory
condition
• Respiratory: cough or dyspnea may point to pneumonia with
upper quadrant radiation
• GI:
• Anorexia: absence rules against an acute inflammatory condition
• Diarrhea suggests gastroenteritis but may be present with 20% of
acute appendicitis (be careful diagnosing gastroenteritis without
diarrhea)
• Ask about BMs, melena, hematochezia, straining
• GYN: ask about pregnancy, vaginal bleeding and discharge,
STDs and LMP
• GU: symptoms of UTIs—dysuria, frequency, and back pain
History: PMH
• PSH:
• Ask about prior abdominal surgeries
• Tip: Abdominal pain with vomiting, no flatus or BM, and a midline
abdominal scar suggests an SBO
• PMH:
• Ask about prior bowel problems
• History of vascular or heart disease, HTN or atrial fib increases
risk of mesenteric ischemia and abdominal aneurysm
• If history of cancer, diverticulosis, pancreatitis, kidney stones,
gallstones, or inflammatory bowel disease, consider recurrence
• In elderly/frail, DM and ESRD increase risk for ischemic bowel
• HIV increases risk for serious etiology (consider occult infection
or drug- related pancreatitis)
History: PMH
• Meds:
• consider iatrogenic causes of abdominal pain (e.g., erythromycin
at 500 mg BID causes abdominal pain in 50%)
• consider medications that may mask infection, such as antibiotics
or steroids
• Habits:
• Ask about alcohol and quantity of consumption, IV drug use,
cocaine/amphetamine
• Tip: Most alcoholics have some component of pancreatitis,
hepatitis and gastritis
History: Age
• Abdominal pain in the elderly:“an M&M waiting to happen”
• Mortality & misdiagnosis rise exponentially w/each decade >50
yrs.
• For those > 65 years, ~ 60-70% get admitted, 40-50% go to the
OR and 10% die (this is higher than mortality of acute MI at 6-8%)
• Elderly patients frequently get more testing
Physical Exam
• General characteristics
• overall appearance (key)
• level of distress (and response to analgesia)
• diaphoresis (concerning)
• VS (persistent fever, tachycardia, tachypnea, or hypotension are
concerning)
• body posture:
• writhing (suggests renal, biliary or intestinal colic)
• prefers to sit, leaning forward a little (suggests pericarditis or
pancreatitis)
• lying very quietly, often with hips and knees flexed, and does not like
to move (suggests peritonitis)
Physical Exam
• Non-abdomen features
• Lungs: rales
• Back: CVA tenderness
• OP: pharyngitis/tonsillitis
Physical Exam: Abdomen
• Peritoneal irritation (heel tap, jump, rock the bed, ask patient
to cough)
• Inspect abdomen for distention, ascites, contusions, incisions
• Auscultate for the presence and quality of bowel sounds
• Percuss to determine
• presence of percussion tenderness
• liver span
• Palpate to determine
• location of maximal tenderness
• presence or absence of guarding and/or rebound tenderness
• presence of masses, organomegaly and/or hernias
• start gently, away from the area of pain, distract the patient, and
then palpate more deeply
Physical Exam: Signs
• Murphy’s Sign
• arrest of inspiration with examiner’s palpating fingers in the RUQ
• suggests irritation in the RUQ
• always present in cholecystitis: may also occur with pancreatitis,
hepatitis and peptic disease
• Psoas Sign (extend patient’s leg at hip with patient in lateral
decubitus position (to move psoas muscle)
• Obturator sign (flex and externally and internally rotate hip)
• Rovsings Sign
• palpation in LLQ causes pain in RLQ
• suggests appendicitis
Rectal Exam
• Generally indicated only in those with symptoms referable to
the rectal/anal area or suspected GI bleeding, otherwise rarely
useful in generalized abdominal pain workup
• Prostatitis
• GI bleeding: upper or lower
• Hemorrhoids
• Constipation: possible impaction?
• Bloody diarrhea (enteritis)
Physical Exam: Down There
• Women (especially if they’ve had a pelvic exam before):
• at least a bimanual pelvic examination of women
• evaluate for cervical motion tenderness (PID) and adnexal masses
• Males: examine the testicles, scrotum, groin and prostate as
indicated
Diagnostic Testing
• Obtain tests
• if the diagnosis is not clinically apparent
• if the patient is sick
• if there is a suspected complication of a known diagnosis
(e.g.,rectal bleeding in IBD, fever in diverticulitis)
• Knowing that studies will only aid what you already suspect,
identify needed treatments and start them empirically as
indicated
Laboratory Studies
• CBC
• 10-60% of patients with appendicitis have a normal WBC count
• Elevated WBC count detects 53% of severe abdominal pathology
• WBC > 15K with abdominal pain raises risk. If a benign diagnosis
(gastroenteritis, renal colic) is not clear, consider imaging.
• Electrolytes, anion gap, BUN/Cr
• Lipase
• UA
• LFTs (transaminases, bilirubin, albumin, alk phos)
• Pregnancy Test!
• ECG (especially if > 40 years, in patients with DM and/or those with
epigastric pain)
• ABGs are indicated in patients who are elderly and in severe pain.
Acidosis suggests bowel ischemia.
Radiographic Studies
• Plain film: abdominal x-ray, chest x-ray
• Abdominal CT
• Abdominal ultrasound
• ERCP
Radiographic Studies: Plain
Film
• Mostly helpful in ED for:
– Free air (suspected perforation)
– Pneumatosis (typhlitis)
– Dilated loops of bowel with air fluid levels (obstruction)
– Foreign body
• Free air seen in only 30-50% of bowel perforation
Sigmoid Volvulus
Sigmoid Volvulus
What’s wrong with this picture?
Radiography: Ultrasound
• Excellent for biliary tract disease (90+% sensitive for
gallstones)
• AAA- can rapidly assess size at bedside
• Ectopic pregnancy- look for intrauterine yolk sac, assess
adnexa, assess for free fluid
• Appendicitis- 75%-90% sensitive (in experienced hands, best
in thin patients)
• Pelvic structures, testicles
• Can also assess intussusception, obstructive kidney stone
Gallstones
AAA
Radiology- CT Scan
• Detect leaking AAA (in stable patient)
• Evaluate for renal calculi, appendicitis, perforation (free air),
diverticulitis, abscess, mesenteric ischemia, masses, obstruction
• Sensitivity and specificity vary
• Not a place for unstable patients
• Contrast
• PO and IV contrast in most patients
• sometimes rectal contrast is helpful to look for large bowel problems
(appendicitis)
• In patients with renal insufficiency
• give IV contrast judiciously in patients
• consider ultrasound as an alternative if possible
• a creatinine > 1.5 usually requires bicarbonate and fluid hydration to
minimize contrast nephropathy
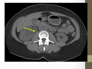
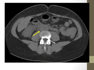
Kidney Stones- CT
Style
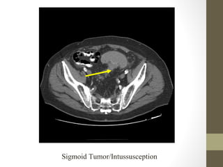
Sigmoid Tumor/Intussusception
Psoas Abscess
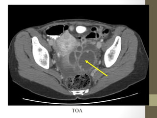
Retroperitoneal Abscess
TOA
Radiographic Studies: Other
• CXR—useful in upper quadrant pain
• ERCP—essential for common duct obstruction (gallstones,
sludge, compression, stricture)
General Management
• Fluids
• Most patients with serious abdominal pain are dehydrated
• Unless there is concern for fluid overload, give a bolus and then a
rapid infusion rate
• Analgesia—give ongoing pain relief with morphine in most
cases.
• Antibiotics for acute inflammatory processes (cholecystitis,
diverticulitis, appendicitis)
• NG tube—decompress the stomach for SBOs, ischemic bowel
or any serious condition with ileus
• Blood transfusion—Use in any symptomatic hemorrhagic
event, such as a ruptured AAA or GI bleed from an active ulcer
• Surgical consultation—obtain in patients with peritonitis,
hemorrhage, ischemia; consider with uncertain etiology
Case #1- Presentation
• 23 yo female
• acute onset LLQ pain 2 hours ago
• Constant, no radiation, no N/V/D
• No exacerbating, alleviating factors
• No vaginal discharge
Case #1 -PMH
• No medical problems
• No medications, No allergies
• Surg Hx: S/P Elective Abortion 1 year ago
• No history of STDs, Sexually Active
• LMP 4 weeks ago
Case #1- Exam
• Vitals: P105 R20 T37.7 BP 103/58
• Abd: soft, tender LLQ with guarding, no rebound pain
detected
• Pelvic: No cervical motion tenderness, L adnexal
tenderness/fullness
• Rectal: No masses, guaiac negative
Case #1- Differential Diagnosis
• ?
Case #1- Differential Diagnosis
• Ectopic Pregnancy
• Ovarian Cyst
• Tubo-ovarian abscess
• Ovarian Torsion
Case#1- Intervention/Diagnosis
• Pregnancy Test - Negative
• IV Fluids - 500 cc bolus ( repeat P 90, BP110/65 )
• U/S- L ovary with absent blood flow, multiple cysts
• Diagnosis: Ovarian Torsion
• Disposition: To OR by GYN
Case #2- Presentation
• 47 yo male with sudden onset abd pain
• Epigastric pain, vomited x2
• Pain 10/10
• Better if holds still, worse on car ride into hospital
• Never had pain like this before
Case #2- Past Medical History
• Medical Hx: Arthritis, Chronic Low Back Pain
• Surgical Hx: L knee meniscus repair
• Meds: No prescribed meds, OTC ibuprofen
• Allergies: NKDA
• SH: 2 beers/night
Case #2- Exam
• Vitals: P95 R22 T37.4 BP 124/75 O2 100%
• Gen: Anxious, Mild distress/diaphoretic, Remaining still
• Abd: Decreased BS, Severe epigastric tenderness with
guarding and rebound
• Rectal: Guaiac positive
Case #2- Actions
• Large bore IV x2, Type and Screen, CBC, CMP, Lipase, Fluid
bolus,ECG
• Acute Abdominal Series
• Orthostatic Vitals
Case #2 -
Interventions/Diagnosis
• CXR reveals intra-abdominal free air
• Diagnosis: Perforation, likely duodenal or gastric ulcer
• Disposition: To OR for identification and repair
Multiple Life Threatening Causes
of Abdominal Pain
• Identify the potential life threatening cause of the following
cases.
• Differential diagnosis is large but consider an acute event and
test your intuition
Rapid Cases #1
• 25 yo female
• Recurrent vomiting, diffuse mild pain
• Febrile, dehydrated, tachycardic
• H/O Diabetes Mellitus
• Diagnosis: DKA
Rapid Cases #2
• Healthy 17 yo male, football player
• L shoulder pain, not reproducible on exam
• lightheaded, weak
• U/S with free intraperitoneal fluid
• Diagnosis: Splenic Lac
Rapid Cases #3
• 16 yo female
• Nausea, diffuse discomfort starting yesterday
• Now worse RLQ
• Abd exam: pain RLQ, +guarding
• Diagnosis: Appendicitis
Rapid Case #4
• 65 yo male
• Hx of HTN, Renal Colic x3 episodes
• Low back pain- ?new pain
• Abd: obese, soft, no masses palpated
• U/S shows 7cm AAA
Rapid Case #5
• 56 yo female
• H/O Alcoholic Cirrhosis
• Diffuse abd pain, gradual onset
• Distended abdomen, febrile
• U/S: ascites
• Peritoneal tap >500 WBC/cc
• Spontaneous Bacterial Peritonitis
Rapid Case #6
• 32 yo female, S/P Tubal ligation 2 weeks ago
• Gradual onset diffuse pain
• N/V/D, fever
• Diffusely tender, guarding, + rebound
• CXR with free air
• Bowel perforation
Free Air
Rapid Case #7
• 82 yo male S/P distant chole, appy
• Gradual onset vomiting, nausea, distension
• Distended abdomen, increased bowel sounds
• KUB: multiple air fluid levels, dilated loops of small bowel
• Small Bowel Obstruction
Small Bowel Obstruction
Rapid Case #8
• 16 yo male
• sudden onset lower abd, scrotal pain
• No hx of trauma
• Tender L testicle to exam
• U/S: No vascular flow to L testicle
• Acute Testicular Torsion
Rapid Case #9
• 30 yo female, G3P3 IUD in place
• LLQ pain, gradually worsening today
• No fever, Tender L Adnexa
• + UPT
• U/S with L Adnexal Gestational Sac
• Ectopic Pregnancy
Rapid Case #10
• 4 yo male
• Crampy abdominal pain- crying
• Tender diffusely to exam, afebrile
• Guaiac positive stool
• Complete relief with enema
• Intussusception
Intussusception
Rapid Case #11
• 23 yo healthy female
• Severe lower abdominal pain
• Gradual onset, no N/V/D
• Abd Tender Bilateral Lower Quadrants
• Cervix tender with movement, UPT -
• Dx: PID
Rapid Case #12
• 82 yo Female
• H/O HTN, A. Fib, CAD, COPD
• Acute severe diffuse abd pain
• Exam: Soft, minimal tenderness to palpation
• Angiography reveals occluded SMA
• DX: Mesenteric Ischemia
Rapid Case #13
• 46 yo female, G3P3
• Post Prandial Epigastric pain
• Exam: Obese, RUQ tender to palpation
• U/S: Multiple Gallstones with GB wall thickening
• DX: Acute Cholecystitis
Acute Cholecystitis
Rapid Case #14
• 78 yo male
• H/O HTN, DM
• Acute onset nausea, diaphoresis, epigastric discomfort,
• Exam: Mild epigastric discomfort to palpation
• ECG ST elevation 3mm leads II, III aVF
• Dx: Inferior MI
Inferior STEMI
Rapid Case # 15
• 65 yo female
• LLQ pain, gradually worsening
• Exam: Febrile, Tender LLQ to palpation
• Guaiac + stool
• CT: Diverticulitis with multiple microperforations
• Dx: Acute Diverticulitis
Do you see the free air?
Rapid Case #16
• 52 yo alcoholic male
• Diffuse abd pain, gradually worsening, vomiting recurrently
• Exam: soft abdomen, minimal tenderness
• Labs: Increased lipase
• Dx: Pancreatitis
Rapid Case #17
• 14 yo healthy male
• Acute crampy abd pain past day
• Vomiting, Diaphoretic
• Exam: Diffuse mildly tender abdomen with palpable firm mass
in R groin
• Dx: Incarcerated inguinal hernia
Incarcerated Hernia
Rapid Case #18
• 28 yo post-partum healthy female
• Acute R flank pain radiating to groin
• Exam: Abd soft, non-tender without CVA tenderness
• UA with 2+ RBC, no WBCs
• CT with R Ureteral Calculi
• Dx: Renal Colic
Hydronephrosis
Renal Calculus
Hydro-ureter
UVJ Stone
Rapid Case #19
• 72 yo female c/o RUQ pain & cough
• PMHx: HTN, COPD on home O2
• Vitals: T38.5 HR 105 RR 26 BP 140/90 SpO2 88% on 2L
• Physical: dry mucous membranes, decreased breath sounds,
non-tender abdomen
• CXR: RLL infiltrate
• Diagnosis: RLL pneumonia
Summary
• The Differential Diagnosis of Abdominal Pain is extensive.
Large. Massive even.
• You need to identify patterns that place a person at risk for
serious causes of their pain and rule out/in those causes
• History and Physical are the key to narrowing the ddx
• Labs and Radiology support/refute your diagnosis
Summary Continued
• Always get Pregnancy Test (doesn’t matter if they are on
OCP’s, had a tubal ligation, or swear they can’t be pregnant
due to saintly behavior-OK, no, if hysterectomy or elderly)
• If discharging a patient, always alert patient of symptoms they
should watch for and when to return
• If dx is “abdominal pain NOS” (unknown etiology), consider
f/u, even in ED, for re-evaluation

ED abdominal pain lecture

  • 1.
    The ED Patientwith Abdominal Pain Marion R. Sills, MD, MPH Medical Student Lecture
  • 2.
    Overview of EDAbdominal Pain • Epidemiology • Extensive differential • Timely identification of the acute abdomen is key • Approach • Manage pain first • H&P is key (again!)
  • 3.
    Epidemiology • Common: 5%of all emergency department (ED) visits • Varied presentations • acute exacerbations of chronic problems (e.g., peptic disease, pancreatitis in alcoholics, inflammatory bowel disease) • acute surgical abdomens (e.g., appendicitis, ruptured bowel, acute volvulus) • also includes trauma (e.g., splenic rupture, hepatic laceration, small bowel rupture) • nonsurgical abdominal emergencies (e.g., gastritis, biliary colic, gastroenteritis) • Differential is extensive
  • 4.
    Epidemiology: Age, Sex •Most Common Diagnoses pts > 50 • Cholecystitis (21%) • Nonspecific abdominal pain (16%) • Appendicitis (15%) • SBO (12%) • Everything else (diverticulitis, hernia, cancer, vascular) • Most Common Diagnoses pts < 50: • Nonspecific Abdominal Pain ( ~40% ) • Appendicits (32%) • Cholecystitis (6%) • SBO and Pancreatitis (each ~ 2%)
  • 5.
    Other Common Diagnoses •Gastroenteritis* • GERD • Cholecystitis • Appendicitis • Obstruction • Constipation* • UTI* • PID* • Renal stones • Intussusception *often misdiagnosed in patients with another, more significant abdominal pathology
  • 6.
    H&P • H&P arekey • guide workup • narrow the extensive differential • Labs and imaging are used to either support/refute your suspected diagnosis • More helpful in generating a diagnosis when the H&P is suboptimal (altered, confused patient)
  • 7.
    H&P: Key Considerations •Essential to rule out the life-threatening causes • AAA • Perforation • Obstruction • Ischemia • Ectopic pregnancy • identify patterns that place a person at risk for life-threatening causes and rule out/in those causes
  • 8.
    H&P: Initial approach •If on initial assessment the patient is in obvious pain, give analgesia immediately • Severe pain: parenteral administration • Usually morphine sulfate • If probable renal colic, consider ketorolac • if low/borderline BP, consider shorter acting opioid: fentanyl • Milder pain: oral medication may be OK • Medications will not interfere with the exam • If the vital signs are abnormal have low threshold for obtaining vascular access
  • 9.
    Abdominal Pain History •HPI • Onset • Palliates/Provokes • Quality • Radiation • Severity • Time course • Undo (what have they done to “undo” their pain) • PMH • PMHx • Surgical Hx • Allergies • Meds • Social Hx • EtOH
  • 10.
    History: Characterizing Pain •Onset and pattern • Location and radiation • Alleviating and aggravating factors • Severity • Quality
  • 11.
    History: Characterizing Pain •Onset • Abrupt or gradual onset (abrupt is worse) • Duration (< 48 hours is worse) • Trend and pattern: constant or intermittent (constant pain is worse) • Timing in relation to other symptoms (e.g., pain that precedes vomiting is worse) • Tip: • Constant pain that began abruptly suggests renal colic, perforated viscus, ischemia (myocardial infarction, testicular or ovarian torsion) or hemorrhage
  • 12.
    History: Characterizing Pain •Location • Ask where the pain is and how this has changed • 6 anatomic locations: RUQ, epigastrium, LUQ, RLQ, suprapubic, and LLQ • Tips: • The more midline the pain, the more likely it is bowel based • Pain that starts centrally and migrates to the RLQ has a high specificity for appendicitis • Pain that localizes (in children, to somewhere other than umbilicus) is of higher concern • Radiation • Can be helpful when present • Tips: • Radiating into back or groin suggests renal colic • Radiating into right shoulder suggests biliary disease
  • 13.
    Causes by Quadrant RUQLUQ •Gastric/Peptic Ulcer •Biliary Disease •Hepatitis •Pancreatitis •Retrocecal Appendicitis •Renal Stone •Pyelonephritis •MI •Pulmonary Embolus •Pneumonia •Gastric Ulcer •Gastritis •Pancreatitis •Splenic injury •Renal Stone •Pyelonephritis •MI •Pulmonary Embolus •Pneumonia RLQ LLQ •Appendicitis •Ovarian Cyst •Mittelschmerz •Pregnancy •Tubo-ovarian abscess •PID •Ovarian Torsion •Cystitis •Prostatitis •Ureteral Stone •Testicular Torsion •Epididymitis •Diverticulitis •AAA •Diverticulitis •Ovarian Cyst •Mittelschmerz •Pregnancy •Tubo-ovarian abscess •PID •Ovarian Torsion •Cystitis •Prostatitis •Ureteral Stone •Testicular Torsion •Epididymitis •AAA
  • 14.
    History: Characterizing Pain •Alleviating and aggravating factors • Include eating, movement, medication • Tips: • Worsened by eating: often related to pancreas or gall bladder • Relieved by eating: often peptic disease.
  • 15.
    History: Characterizing Pain •Severity • Evaluate with 1-10 scale • Allows assessment of trends and response to therapy • Quality • Sometimes helpful, but some patients are highly suggestible, or unable to describe pain very precisely. • Tip: Ask if the patient had pain like this before. If yes, consider peptic disease, biliary disease, IBD, hepatitis, and pancreatitis. (A report of no prior episodes is worse)
  • 16.
    History: Pain Characterization and DifferentialDiagnosis• Sudden onset of severe pain which does not diminish • renal colic • perforated viscous (e.g., ulcer) • myocardial infarction, intestinal infarction • torsion (ovary, testicle) • hemorrhage (e.g., dissecting AAA) • Crampy pain • biliary colic • renal colic • intestinal obstruction • gastroenteritis • ectopic pregnancy • Referred pain • myocardial infarction may present as epigastric pain • pneumonia • strep tonsillitis
  • 17.
    History: ROS • General:Fever and chills point to an acute inflammatory condition • Respiratory: cough or dyspnea may point to pneumonia with upper quadrant radiation • GI: • Anorexia: absence rules against an acute inflammatory condition • Diarrhea suggests gastroenteritis but may be present with 20% of acute appendicitis (be careful diagnosing gastroenteritis without diarrhea) • Ask about BMs, melena, hematochezia, straining • GYN: ask about pregnancy, vaginal bleeding and discharge, STDs and LMP • GU: symptoms of UTIs—dysuria, frequency, and back pain
  • 18.
    History: PMH • PSH: •Ask about prior abdominal surgeries • Tip: Abdominal pain with vomiting, no flatus or BM, and a midline abdominal scar suggests an SBO • PMH: • Ask about prior bowel problems • History of vascular or heart disease, HTN or atrial fib increases risk of mesenteric ischemia and abdominal aneurysm • If history of cancer, diverticulosis, pancreatitis, kidney stones, gallstones, or inflammatory bowel disease, consider recurrence • In elderly/frail, DM and ESRD increase risk for ischemic bowel • HIV increases risk for serious etiology (consider occult infection or drug- related pancreatitis)
  • 19.
    History: PMH • Meds: •consider iatrogenic causes of abdominal pain (e.g., erythromycin at 500 mg BID causes abdominal pain in 50%) • consider medications that may mask infection, such as antibiotics or steroids • Habits: • Ask about alcohol and quantity of consumption, IV drug use, cocaine/amphetamine • Tip: Most alcoholics have some component of pancreatitis, hepatitis and gastritis
  • 20.
    History: Age • Abdominalpain in the elderly:“an M&M waiting to happen” • Mortality & misdiagnosis rise exponentially w/each decade >50 yrs. • For those > 65 years, ~ 60-70% get admitted, 40-50% go to the OR and 10% die (this is higher than mortality of acute MI at 6-8%) • Elderly patients frequently get more testing
  • 21.
    Physical Exam • Generalcharacteristics • overall appearance (key) • level of distress (and response to analgesia) • diaphoresis (concerning) • VS (persistent fever, tachycardia, tachypnea, or hypotension are concerning) • body posture: • writhing (suggests renal, biliary or intestinal colic) • prefers to sit, leaning forward a little (suggests pericarditis or pancreatitis) • lying very quietly, often with hips and knees flexed, and does not like to move (suggests peritonitis)
  • 22.
    Physical Exam • Non-abdomenfeatures • Lungs: rales • Back: CVA tenderness • OP: pharyngitis/tonsillitis
  • 23.
    Physical Exam: Abdomen •Peritoneal irritation (heel tap, jump, rock the bed, ask patient to cough) • Inspect abdomen for distention, ascites, contusions, incisions • Auscultate for the presence and quality of bowel sounds • Percuss to determine • presence of percussion tenderness • liver span • Palpate to determine • location of maximal tenderness • presence or absence of guarding and/or rebound tenderness • presence of masses, organomegaly and/or hernias • start gently, away from the area of pain, distract the patient, and then palpate more deeply
  • 24.
    Physical Exam: Signs •Murphy’s Sign • arrest of inspiration with examiner’s palpating fingers in the RUQ • suggests irritation in the RUQ • always present in cholecystitis: may also occur with pancreatitis, hepatitis and peptic disease • Psoas Sign (extend patient’s leg at hip with patient in lateral decubitus position (to move psoas muscle) • Obturator sign (flex and externally and internally rotate hip) • Rovsings Sign • palpation in LLQ causes pain in RLQ • suggests appendicitis
  • 25.
    Rectal Exam • Generallyindicated only in those with symptoms referable to the rectal/anal area or suspected GI bleeding, otherwise rarely useful in generalized abdominal pain workup • Prostatitis • GI bleeding: upper or lower • Hemorrhoids • Constipation: possible impaction? • Bloody diarrhea (enteritis)
  • 26.
    Physical Exam: DownThere • Women (especially if they’ve had a pelvic exam before): • at least a bimanual pelvic examination of women • evaluate for cervical motion tenderness (PID) and adnexal masses • Males: examine the testicles, scrotum, groin and prostate as indicated
  • 27.
    Diagnostic Testing • Obtaintests • if the diagnosis is not clinically apparent • if the patient is sick • if there is a suspected complication of a known diagnosis (e.g.,rectal bleeding in IBD, fever in diverticulitis) • Knowing that studies will only aid what you already suspect, identify needed treatments and start them empirically as indicated
  • 28.
    Laboratory Studies • CBC •10-60% of patients with appendicitis have a normal WBC count • Elevated WBC count detects 53% of severe abdominal pathology • WBC > 15K with abdominal pain raises risk. If a benign diagnosis (gastroenteritis, renal colic) is not clear, consider imaging. • Electrolytes, anion gap, BUN/Cr • Lipase • UA • LFTs (transaminases, bilirubin, albumin, alk phos) • Pregnancy Test! • ECG (especially if > 40 years, in patients with DM and/or those with epigastric pain) • ABGs are indicated in patients who are elderly and in severe pain. Acidosis suggests bowel ischemia.
  • 29.
    Radiographic Studies • Plainfilm: abdominal x-ray, chest x-ray • Abdominal CT • Abdominal ultrasound • ERCP
  • 30.
    Radiographic Studies: Plain Film •Mostly helpful in ED for: – Free air (suspected perforation) – Pneumatosis (typhlitis) – Dilated loops of bowel with air fluid levels (obstruction) – Foreign body • Free air seen in only 30-50% of bowel perforation
  • 31.
  • 32.
  • 33.
    What’s wrong withthis picture?
  • 34.
    Radiography: Ultrasound • Excellentfor biliary tract disease (90+% sensitive for gallstones) • AAA- can rapidly assess size at bedside • Ectopic pregnancy- look for intrauterine yolk sac, assess adnexa, assess for free fluid • Appendicitis- 75%-90% sensitive (in experienced hands, best in thin patients) • Pelvic structures, testicles • Can also assess intussusception, obstructive kidney stone
  • 35.
  • 36.
  • 37.
    Radiology- CT Scan •Detect leaking AAA (in stable patient) • Evaluate for renal calculi, appendicitis, perforation (free air), diverticulitis, abscess, mesenteric ischemia, masses, obstruction • Sensitivity and specificity vary • Not a place for unstable patients • Contrast • PO and IV contrast in most patients • sometimes rectal contrast is helpful to look for large bowel problems (appendicitis) • In patients with renal insufficiency • give IV contrast judiciously in patients • consider ultrasound as an alternative if possible • a creatinine > 1.5 usually requires bicarbonate and fluid hydration to minimize contrast nephropathy
  • 38.
  • 39.
  • 40.
  • 41.
  • 42.
  • 43.
    Radiographic Studies: Other •CXR—useful in upper quadrant pain • ERCP—essential for common duct obstruction (gallstones, sludge, compression, stricture)
  • 44.
    General Management • Fluids •Most patients with serious abdominal pain are dehydrated • Unless there is concern for fluid overload, give a bolus and then a rapid infusion rate • Analgesia—give ongoing pain relief with morphine in most cases. • Antibiotics for acute inflammatory processes (cholecystitis, diverticulitis, appendicitis) • NG tube—decompress the stomach for SBOs, ischemic bowel or any serious condition with ileus • Blood transfusion—Use in any symptomatic hemorrhagic event, such as a ruptured AAA or GI bleed from an active ulcer • Surgical consultation—obtain in patients with peritonitis, hemorrhage, ischemia; consider with uncertain etiology
  • 45.
    Case #1- Presentation •23 yo female • acute onset LLQ pain 2 hours ago • Constant, no radiation, no N/V/D • No exacerbating, alleviating factors • No vaginal discharge
  • 46.
    Case #1 -PMH •No medical problems • No medications, No allergies • Surg Hx: S/P Elective Abortion 1 year ago • No history of STDs, Sexually Active • LMP 4 weeks ago
  • 47.
    Case #1- Exam •Vitals: P105 R20 T37.7 BP 103/58 • Abd: soft, tender LLQ with guarding, no rebound pain detected • Pelvic: No cervical motion tenderness, L adnexal tenderness/fullness • Rectal: No masses, guaiac negative
  • 48.
    Case #1- DifferentialDiagnosis • ?
  • 49.
    Case #1- DifferentialDiagnosis • Ectopic Pregnancy • Ovarian Cyst • Tubo-ovarian abscess • Ovarian Torsion
  • 50.
    Case#1- Intervention/Diagnosis • PregnancyTest - Negative • IV Fluids - 500 cc bolus ( repeat P 90, BP110/65 ) • U/S- L ovary with absent blood flow, multiple cysts • Diagnosis: Ovarian Torsion • Disposition: To OR by GYN
  • 51.
    Case #2- Presentation •47 yo male with sudden onset abd pain • Epigastric pain, vomited x2 • Pain 10/10 • Better if holds still, worse on car ride into hospital • Never had pain like this before
  • 52.
    Case #2- PastMedical History • Medical Hx: Arthritis, Chronic Low Back Pain • Surgical Hx: L knee meniscus repair • Meds: No prescribed meds, OTC ibuprofen • Allergies: NKDA • SH: 2 beers/night
  • 53.
    Case #2- Exam •Vitals: P95 R22 T37.4 BP 124/75 O2 100% • Gen: Anxious, Mild distress/diaphoretic, Remaining still • Abd: Decreased BS, Severe epigastric tenderness with guarding and rebound • Rectal: Guaiac positive
  • 54.
    Case #2- Actions •Large bore IV x2, Type and Screen, CBC, CMP, Lipase, Fluid bolus,ECG • Acute Abdominal Series • Orthostatic Vitals
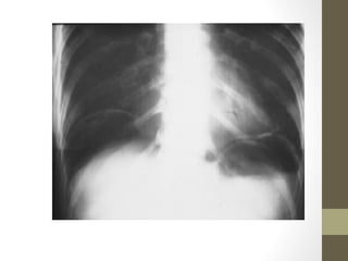
  • 56.
    Case #2 - Interventions/Diagnosis •CXR reveals intra-abdominal free air • Diagnosis: Perforation, likely duodenal or gastric ulcer • Disposition: To OR for identification and repair
  • 57.
    Multiple Life ThreateningCauses of Abdominal Pain • Identify the potential life threatening cause of the following cases. • Differential diagnosis is large but consider an acute event and test your intuition
  • 58.
    Rapid Cases #1 •25 yo female • Recurrent vomiting, diffuse mild pain • Febrile, dehydrated, tachycardic • H/O Diabetes Mellitus • Diagnosis: DKA
  • 59.
    Rapid Cases #2 •Healthy 17 yo male, football player • L shoulder pain, not reproducible on exam • lightheaded, weak • U/S with free intraperitoneal fluid • Diagnosis: Splenic Lac
  • 60.
    Rapid Cases #3 •16 yo female • Nausea, diffuse discomfort starting yesterday • Now worse RLQ • Abd exam: pain RLQ, +guarding • Diagnosis: Appendicitis
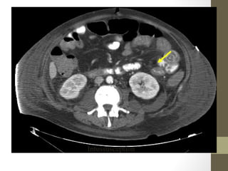
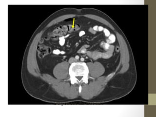
  • 62.
    Rapid Case #4 •65 yo male • Hx of HTN, Renal Colic x3 episodes • Low back pain- ?new pain • Abd: obese, soft, no masses palpated • U/S shows 7cm AAA
  • 64.
    Rapid Case #5 •56 yo female • H/O Alcoholic Cirrhosis • Diffuse abd pain, gradual onset • Distended abdomen, febrile • U/S: ascites • Peritoneal tap >500 WBC/cc • Spontaneous Bacterial Peritonitis
  • 65.
    Rapid Case #6 •32 yo female, S/P Tubal ligation 2 weeks ago • Gradual onset diffuse pain • N/V/D, fever • Diffusely tender, guarding, + rebound • CXR with free air • Bowel perforation
  • 66.
  • 67.
    Rapid Case #7 •82 yo male S/P distant chole, appy • Gradual onset vomiting, nausea, distension • Distended abdomen, increased bowel sounds • KUB: multiple air fluid levels, dilated loops of small bowel • Small Bowel Obstruction
  • 68.
  • 69.
    Rapid Case #8 •16 yo male • sudden onset lower abd, scrotal pain • No hx of trauma • Tender L testicle to exam • U/S: No vascular flow to L testicle • Acute Testicular Torsion
  • 70.
    Rapid Case #9 •30 yo female, G3P3 IUD in place • LLQ pain, gradually worsening today • No fever, Tender L Adnexa • + UPT • U/S with L Adnexal Gestational Sac • Ectopic Pregnancy
  • 71.
    Rapid Case #10 •4 yo male • Crampy abdominal pain- crying • Tender diffusely to exam, afebrile • Guaiac positive stool • Complete relief with enema • Intussusception
  • 72.
  • 73.
    Rapid Case #11 •23 yo healthy female • Severe lower abdominal pain • Gradual onset, no N/V/D • Abd Tender Bilateral Lower Quadrants • Cervix tender with movement, UPT - • Dx: PID
  • 74.
    Rapid Case #12 •82 yo Female • H/O HTN, A. Fib, CAD, COPD • Acute severe diffuse abd pain • Exam: Soft, minimal tenderness to palpation • Angiography reveals occluded SMA • DX: Mesenteric Ischemia
  • 75.
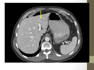
    Rapid Case #13 •46 yo female, G3P3 • Post Prandial Epigastric pain • Exam: Obese, RUQ tender to palpation • U/S: Multiple Gallstones with GB wall thickening • DX: Acute Cholecystitis
  • 76.
  • 77.
    Rapid Case #14 •78 yo male • H/O HTN, DM • Acute onset nausea, diaphoresis, epigastric discomfort, • Exam: Mild epigastric discomfort to palpation • ECG ST elevation 3mm leads II, III aVF • Dx: Inferior MI
  • 78.
  • 79.
    Rapid Case #15 • 65 yo female • LLQ pain, gradually worsening • Exam: Febrile, Tender LLQ to palpation • Guaiac + stool • CT: Diverticulitis with multiple microperforations • Dx: Acute Diverticulitis
  • 80.
    Do you seethe free air?
  • 82.
    Rapid Case #16 •52 yo alcoholic male • Diffuse abd pain, gradually worsening, vomiting recurrently • Exam: soft abdomen, minimal tenderness • Labs: Increased lipase • Dx: Pancreatitis
  • 83.
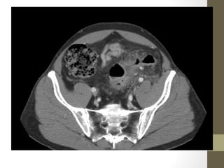
    Rapid Case #17 •14 yo healthy male • Acute crampy abd pain past day • Vomiting, Diaphoretic • Exam: Diffuse mildly tender abdomen with palpable firm mass in R groin • Dx: Incarcerated inguinal hernia
  • 84.
  • 85.
    Rapid Case #18 •28 yo post-partum healthy female • Acute R flank pain radiating to groin • Exam: Abd soft, non-tender without CVA tenderness • UA with 2+ RBC, no WBCs • CT with R Ureteral Calculi • Dx: Renal Colic
  • 86.
  • 87.
  • 88.
  • 89.
  • 90.
    Rapid Case #19 •72 yo female c/o RUQ pain & cough • PMHx: HTN, COPD on home O2 • Vitals: T38.5 HR 105 RR 26 BP 140/90 SpO2 88% on 2L • Physical: dry mucous membranes, decreased breath sounds, non-tender abdomen • CXR: RLL infiltrate • Diagnosis: RLL pneumonia
  • 93.
    Summary • The DifferentialDiagnosis of Abdominal Pain is extensive. Large. Massive even. • You need to identify patterns that place a person at risk for serious causes of their pain and rule out/in those causes • History and Physical are the key to narrowing the ddx • Labs and Radiology support/refute your diagnosis
  • 94.
    Summary Continued • Alwaysget Pregnancy Test (doesn’t matter if they are on OCP’s, had a tubal ligation, or swear they can’t be pregnant due to saintly behavior-OK, no, if hysterectomy or elderly) • If discharging a patient, always alert patient of symptoms they should watch for and when to return • If dx is “abdominal pain NOS” (unknown etiology), consider f/u, even in ED, for re-evaluation