breast reconstruction: TRAM vs DIEP  a difficult challange Petit JY  Manconi A Division of Reconstructive Surgery EIO  Milan
Why I prefer Pedicled TRAM ? The main reason:  I am not a microsurgeon ! But  what about the microsurgical facilities in the world?
Lower abdominal flaps Indications: Patient needs for autologus breast reconstructions Implant contraindications Huge breast skin loss PED  TRAM FREE TRAM DIEP SIEA
Ped. TRAM  pros   No prosthetic complications Natural shape with natural ptosis Less contralateral surgery  Available in poor local conditions Stable results ....  Same for free flaps
TRAM  cons Technical difficulty: well trained surgeons  Blood loss Flap partial necrosis Phlebitis-emboly Operating time  (medium 4 hours) Abdominal scarring and complications Abdominal sequelea (pain,  morphology) same problemes for free flaps
TRAM vs DIEP TRAM pros Faster procedure Less total flap failure DIEP pros Less donor-site complications  abdominal wall function preserved Less partial flap necrosis
Technique
 
 
Ped TRAM  flap  modelling length of the vascular peduncle in  free flaps can make it difficult
Reconstructive Outcomes Aesthetic outcomes can be considered similar Same flap tissues, same shaping Good results are possible using both techniques statistical analysis is required for aesthetic results evaluation
IEO series  749 TRAM  (1994-2008)   and  21 DIEP  (2001-2009) Donor site complications Flap complications Other complications Surgical time
TRAM  (IEO  1994-2008)   512  MONO-PED. TRAM  57  MONO- PED. + PROSTHESIS 190  BI-PED.  TRAM
Evolution of TRAM indication at the IEO in 2005  30 %  6 %
Ped. TRAM  immediate complications hematomas :  (2%) transfusions:  (4.5%)  pulmonary emboly:  (0.4%) mortality  0
Ped. TRAM  Partial  flap  necrosis 12% sponta.heal.  31%   revision.  AL.  62%   AG  7%
Flap Complications DIEP with preoperative angio-tc scan series (11 consecutive cases): Partial flap necrosis*: 0% Total flap necrosis: 0%   *more than 5%   Mono TRAM Bi TRAM DIEP Partial necrosis* 21% 5,79% 14,28% Flap Failure 0,30% 0% 4,17%
Free flaps :  flap necrosis  fat necrosis   Free flap  :  2.2%  12.9% DIEP 1  :  37.5%  62.5% DIEP 2  :  8.7%  17.4% Kroll SS  Plast Reconstr Surg 2000 sep 106 (3) 576
Other complications  and surgical time The higher surgical time the higher risk of other complication (surgical bleeding, lung effusion, trombosis etc) Higher risk of blood transfution in DIEP TRAM time: from 2:30 to 6 hours DIEP time from  8 to 14 hours
DONOR SITE COMPLICATIONS Ped TRAM  DIEP % mesh +  -  4.2  5.45  0 2.92  4.24  0 2.19  0  0 Abdominal infections Bulges and Herniae Back pain  and Functional disorders
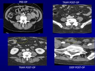
PRE-OP DIEP POST-OP TRAM POST-OP TRAM POST-OP
Bulging or herniae? Physiological disturb  Pain
Obesity Risk  factor +++
Ped. TRAM  BR  Abdominal necrosis umbilicus  supra pubic  total :  8 %
Fistula with  infected  mesh behind the rectus fascia fistula
Abdominal strength after pedicled or free TRAM No   statistical difference  in the immediate follow up  The difference between the two procedures is small as compared to the individual variations (other factors) More bulging in free flaps …. Edsander-Nord A  Wickman M et al Plast Reconstr Surg 1998 Oct 102 (5) 1508
  Angiogenic cytokines perioperative levels increased by extent of surgery  Induces perioperative stimulation of residual cancer cells
PED TRAM or FREE ?  Patient’s needs (motivated patients) Abdominal perforators (angio-tc scan) Young and active patient medium general conditions Advanced tumors Obese patient? TRAM DIEP
conclusion when the conditions are favorable DIEP is the best choice Unfortunatly, it is too late for me to learn microsurgery !     Thanks for your attention

EASO2011 BRS 3 Petit

  • 1.
    breast reconstruction: TRAMvs DIEP a difficult challange Petit JY Manconi A Division of Reconstructive Surgery EIO Milan
  • 2.
    Why I preferPedicled TRAM ? The main reason: I am not a microsurgeon ! But what about the microsurgical facilities in the world?
  • 3.
    Lower abdominal flapsIndications: Patient needs for autologus breast reconstructions Implant contraindications Huge breast skin loss PED TRAM FREE TRAM DIEP SIEA
  • 4.
    Ped. TRAM pros No prosthetic complications Natural shape with natural ptosis Less contralateral surgery Available in poor local conditions Stable results .... Same for free flaps
  • 5.
    TRAM consTechnical difficulty: well trained surgeons Blood loss Flap partial necrosis Phlebitis-emboly Operating time (medium 4 hours) Abdominal scarring and complications Abdominal sequelea (pain, morphology) same problemes for free flaps
  • 6.
    TRAM vs DIEPTRAM pros Faster procedure Less total flap failure DIEP pros Less donor-site complications abdominal wall function preserved Less partial flap necrosis
  • 7.
  • 8.
  • 9.
  • 10.
    Ped TRAM flap modelling length of the vascular peduncle in free flaps can make it difficult
  • 11.
    Reconstructive Outcomes Aestheticoutcomes can be considered similar Same flap tissues, same shaping Good results are possible using both techniques statistical analysis is required for aesthetic results evaluation
  • 12.
    IEO series 749 TRAM (1994-2008) and 21 DIEP (2001-2009) Donor site complications Flap complications Other complications Surgical time
  • 13.
    TRAM (IEO 1994-2008) 512 MONO-PED. TRAM 57 MONO- PED. + PROSTHESIS 190 BI-PED. TRAM
  • 14.
    Evolution of TRAMindication at the IEO in 2005 30 % 6 %
  • 15.
    Ped. TRAM immediate complications hematomas : (2%) transfusions: (4.5%) pulmonary emboly: (0.4%) mortality 0
  • 16.
    Ped. TRAM Partial flap necrosis 12% sponta.heal. 31% revision. AL. 62% AG 7%
  • 17.
    Flap Complications DIEPwith preoperative angio-tc scan series (11 consecutive cases): Partial flap necrosis*: 0% Total flap necrosis: 0% *more than 5%   Mono TRAM Bi TRAM DIEP Partial necrosis* 21% 5,79% 14,28% Flap Failure 0,30% 0% 4,17%
  • 18.
    Free flaps : flap necrosis fat necrosis Free flap : 2.2% 12.9% DIEP 1 : 37.5% 62.5% DIEP 2 : 8.7% 17.4% Kroll SS Plast Reconstr Surg 2000 sep 106 (3) 576
  • 19.
    Other complications and surgical time The higher surgical time the higher risk of other complication (surgical bleeding, lung effusion, trombosis etc) Higher risk of blood transfution in DIEP TRAM time: from 2:30 to 6 hours DIEP time from 8 to 14 hours
  • 20.
    DONOR SITE COMPLICATIONSPed TRAM DIEP % mesh + - 4.2 5.45 0 2.92 4.24 0 2.19 0 0 Abdominal infections Bulges and Herniae Back pain and Functional disorders
  • 21.
    PRE-OP DIEP POST-OPTRAM POST-OP TRAM POST-OP
  • 22.
    Bulging or herniae?Physiological disturb Pain
  • 23.
    Obesity Risk factor +++
  • 24.
    Ped. TRAM BR Abdominal necrosis umbilicus supra pubic total : 8 %
  • 25.
    Fistula with infected mesh behind the rectus fascia fistula
  • 26.
    Abdominal strength afterpedicled or free TRAM No statistical difference in the immediate follow up The difference between the two procedures is small as compared to the individual variations (other factors) More bulging in free flaps …. Edsander-Nord A Wickman M et al Plast Reconstr Surg 1998 Oct 102 (5) 1508
  • 27.
    Angiogeniccytokines perioperative levels increased by extent of surgery Induces perioperative stimulation of residual cancer cells
  • 28.
    PED TRAM orFREE ? Patient’s needs (motivated patients) Abdominal perforators (angio-tc scan) Young and active patient medium general conditions Advanced tumors Obese patient? TRAM DIEP
  • 29.
    conclusion when theconditions are favorable DIEP is the best choice Unfortunatly, it is too late for me to learn microsurgery ! Thanks for your attention