‫الرحيم‬ ‫الرحمن‬ ‫هللا‬ ‫بسم‬
Mesothelioma
Ahmed Abu-Naglah
Prof of chest diseases
Al Azhar university
2015
• Malignancies involving mesothelial cells that
normally line the body cavities, including the
pleura , peritoneum, pericardium, and testis,
are known as malignant mesothelioma.
Primary sites for malignant
mesothelioma
• pleura (87%)
• peritoneum (5.1%)
• pericardium (0.4%)
• the right side of the thorax (more so than the
left side, by a right-to-left ratio of 1.6:1)
Causes of mesothelioma
Asbestos
• Amphibole asbestos known as crocidolite and
amosite asbestos, is the principal carcinogen
implicated in the pathogenesis of malignant
pleural mesothelioma
Asbestos
• Wagner et al connected asbestos to
mesothelioma in a classic 1960 study of 33
patients with mesothelioma who were
exposed to asbestos in a mining area in South
Africa's North Western Cape Province.
• Of the 33 patients, 32 had been exposed to
crocidolite, the most carcinogenic type of
asbestos.
• Exposure to chrysotile asbestos is also
associated malignant mesothelioma, but at a
lower incidence than occurs with the other
types.
• (The rod-shaped amphiboles are more
carcinogenic than the chrysotile.)
industries associated with asbestos exposure
• Mining
• Ship building involving the use of asbestos
• Asbestos cement manufacture
• Ceramics
• Paper milling
• Auto parts (asbestos brake lining)
• Railroad repair
• Insulation
• Environmental exposure to asbestos in areas
polluted by the substance may also increase
the incidence of mesothelioma.
• Alcohol, dietary factors, and tobacco smoke
have no effect on the incidence of pleural
mesothelioma.
• The clinical latency period between asbestos
exposure and mesothelioma development is
35-40 years, and as a result, the number of
mesothelioma patients has continued to rise
despite decreased asbestos production
Other sources of mesothelioma
• Malignant mesothelioma has also been linked
to therapeutic radiation using thorium dioxide
and zeolite, a silicate in the soil.
• An etiologic role for simian virus 40 in
malignant mesothelioma has been suggested.
Genetics
• Loss of 1 copy of chromosome 22 is the single
most common karyotypic change in malignant
mesothelioma.
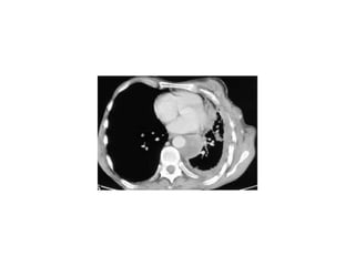
Clinical presentations
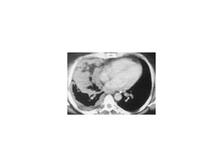
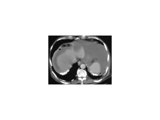
Ascites, omental caking, and mesenteric thickening.
Diagnosis
• Thoracoscopically guided biopsy should be
performed if mesothelioma is suggested
• The results are diagnostic in 98% of cases.
Malignant mesothelioma versus
adenocarcinoma
• Negative test results for periodic acid-Schiff
stain, mucicarmine stain, carcinoembryonic
antigen, and Leu M1
• positive test results for calretinin, vimentin,
and cytokeratin.
Electron microscopy
• Cells have long microvilli, in contrast to
adenocarcinomas, which have short microvilli
SMRP
• One of the new most intriguing markers is
serum mesothelin-related protein (SMRP),
measured in fluid or serum.
• The circulating SMRP level has been reported
to be elevated in 84% of patients with
malignant mesothelioma and in 2% of patients
with lung cancer.
Characteristics of new cell lines
• Four new mesothelioma cell lines have been
characterized based on ultrastructural and
immunophenotypic analysis.
• These cell lines express vimentin, cytokeratins
8 and 18, and mesothelial antigen recognized
by HBME-1 monoclonal antibody.
• All of the lines possess surface human
leukocyte antigen (HLA) class I and
intercellular adhesion molecule-1 (ICAM-1).
• Hollevoet et al found that megakaryocyte
potentiating factor (MPF) can be used as a
serum biomarker of malignant mesothelioma.
• MPF originates from the same precursor
protein as soluble mesothelin (SM)
Staging
Nodal metastasis
• The pattern of nodal metastasis is different
from that of lung cancer.
• The mechanism of spread of the disease to
the hilar nodes may be through lung invasion
and not due to spread directly from the
pleura.
Stage I
• Completely resected within the capsule of the
parietal pleura without adenopathy (ie,
ipsilateral pleura, lung, pericardium,
diaphragm, or chest wall disease limited to
previous biopsy sites)
Stage II
• All stage I characteristics, with positive
resection margins, intrapleural adenopathy, or
a combination
Stage III
• Local extension of disease into the chest wall
or mediastinum, into the heart, through the
diaphragm or peritoneum, or extrapleurally to
involve the lymph nodes
Stage IV
• Distant metastatic disease
Prognosis
• Without treatment, malignant mesothelioma
is fatal within 4-8 months. With trimodality
treatment, some patients have survived 16-19
months.
• A few have survived as long as 5 years, with
rates of 14% for all types and 46% for the
epithelial type. However, numbers are small.
• The tumor recurrence rate is 50% for patients
treated with surgery.
Prognostic factors
• Performance status of 2 or greater
• Nonepithelial histology
• Chest pain
• Age older than 75 years
• Male sex
• High platelet count
• Lactate dehydrogenase greater than 500 IU/L
• Low hemoglobin
• High white count
• Weight loss
Retrospective study of malignant pleural
mesothelioma in Al-Azhar University Hospitals
and El-Abassia Chest Hospital
(1996-2003)
Ahmed Ali Abu-Naglah, Sohair Soliman, Nagwa Fahmy and Hala Abdalla
Chest and General Medicine
Departments, Al-Azhar University
345149196
11250622000
7141301999
6328351998
5417371997
4513321996
TotalFemaleMales
Male Female Total
2001 67 48 115
2002 71 56 127
2003 100 60 160
Total 238 171 402
Total from
1996-2003
428 319 747
0
10
20
30
40
50
60
70
80
90
100
110
120
130
140
150
160
170
1996 1997 1998 1999 2000 2001 2002 2003
Age groups distribution among
patients
Males Females Total %
10 - < 20 1 2 3 0.40
20 - < 30 18 15 33 4.42
30 - < 40 67 48 115 15.39
40 - < 50 113 80 193 25.84
50 - < 60 117 91 208 27.84
60 - < 70 86 65 151 20.21
> 70 25 19 44 5.89
Total 428 319 747 100
The mean age of the patients
Males (N = 196) Females (N = 149)
Mean 49.86 48.94
SD  12.61  12.64
Range 18 – 80 16 – 80
T value 0.67
P value P > 0.05
Gender distribution among patients
Males Females
Number 428 319
% 57.3% 42.7%
P value < 0.01
Regional distribution among patients
Location Shobra El-Khama Other areas
Number of patients 448 299
% 59.9% 41.1%
P value < 0.01
Occupational distribution among
patients
Asbestos related House wife Others
Number of patients 295 246 203
% 39.13% 33.05% 27.82%
P value < 0.05
The main presenting symptoms
Dyspnea
Chest pain
Cough
Chest wall mass
Weight loss
60 %
45 %
16 %
2 %
2 %
Methods of diagnosis and yield of
them
Num of parients %
- Cytological exam
- Abram’s needle B.
- CT guided biopsy
- Thoracoscopic biopsy
- Open biopsy
112
173
74
209
179
14.9
23.4
9.9
27.9
23.9
The pathological types
Number of parienls %
Epithelial
Sarcomatous
Mixed
524
82
141
70.15
10.98
18.87
Site of the lesion at presentation
Number of patients %
RT. Sided
Left . sided
448
299
60 %
40 %
Durations of survive after presentation
(In 380 patients)
Duration
Range
Mean
2 months – 3 years
12 months
Treatment
Number of
patients
%
- Surgery
- Chemotherapy with or
without pleurodesis
- Radiotherapy
- Pleurodesis alone
- Combined
- Refuse treatment or undetected
57
239
89
97
82
203
4.9 %
31.7 %
11.8 %
12.6 %
10.8 %
27.2 %
Conclusion and Recommendations
• Malignant pleural mesothelioma is increasing
progressively in Egypt specially in industrial
areas.
• It affects younger age groups. About 45% of
patients below 50 years while in other
countries the median age of affection is 60
years
• The males to females ratio is 1.3 : 1 while in
united states mesothelioma is approximately
three fold more in men than in women. This
because most of the affected Egyptian women
are living at the industrial polluted areas.
• This disease is fatal within few months and
maximally few years even in younger patients.
• Preventive measures that attempt to eliminate or
at least reduce asbestos pollution are mandatory,
with the use of safer and alternative materials for
construction, insulation, and other consumer
and industrial applications and by dust control
and personal protection.
• The factories which use any type of asbestos
materials must be transferred to distinct areas
away from houses and populations.
Thank you

Mesothelioma 2015

  • 1.
  • 2.
    Mesothelioma Ahmed Abu-Naglah Prof ofchest diseases Al Azhar university 2015
  • 3.
    • Malignancies involvingmesothelial cells that normally line the body cavities, including the pleura , peritoneum, pericardium, and testis, are known as malignant mesothelioma.
  • 4.
    Primary sites formalignant mesothelioma • pleura (87%) • peritoneum (5.1%) • pericardium (0.4%) • the right side of the thorax (more so than the left side, by a right-to-left ratio of 1.6:1)
  • 5.
  • 6.
    Asbestos • Amphibole asbestosknown as crocidolite and amosite asbestos, is the principal carcinogen implicated in the pathogenesis of malignant pleural mesothelioma
  • 7.
    Asbestos • Wagner etal connected asbestos to mesothelioma in a classic 1960 study of 33 patients with mesothelioma who were exposed to asbestos in a mining area in South Africa's North Western Cape Province. • Of the 33 patients, 32 had been exposed to crocidolite, the most carcinogenic type of asbestos.
  • 8.
    • Exposure tochrysotile asbestos is also associated malignant mesothelioma, but at a lower incidence than occurs with the other types. • (The rod-shaped amphiboles are more carcinogenic than the chrysotile.)
  • 9.
    industries associated withasbestos exposure • Mining • Ship building involving the use of asbestos • Asbestos cement manufacture • Ceramics • Paper milling • Auto parts (asbestos brake lining) • Railroad repair • Insulation
  • 10.
    • Environmental exposureto asbestos in areas polluted by the substance may also increase the incidence of mesothelioma.
  • 11.
    • Alcohol, dietaryfactors, and tobacco smoke have no effect on the incidence of pleural mesothelioma.
  • 12.
    • The clinicallatency period between asbestos exposure and mesothelioma development is 35-40 years, and as a result, the number of mesothelioma patients has continued to rise despite decreased asbestos production
  • 13.
    Other sources ofmesothelioma • Malignant mesothelioma has also been linked to therapeutic radiation using thorium dioxide and zeolite, a silicate in the soil. • An etiologic role for simian virus 40 in malignant mesothelioma has been suggested.
  • 14.
    Genetics • Loss of1 copy of chromosome 22 is the single most common karyotypic change in malignant mesothelioma.
  • 15.
  • 23.
    Ascites, omental caking,and mesenteric thickening.
  • 24.
    Diagnosis • Thoracoscopically guidedbiopsy should be performed if mesothelioma is suggested • The results are diagnostic in 98% of cases.
  • 25.
    Malignant mesothelioma versus adenocarcinoma •Negative test results for periodic acid-Schiff stain, mucicarmine stain, carcinoembryonic antigen, and Leu M1 • positive test results for calretinin, vimentin, and cytokeratin.
  • 26.
    Electron microscopy • Cellshave long microvilli, in contrast to adenocarcinomas, which have short microvilli
  • 27.
    SMRP • One ofthe new most intriguing markers is serum mesothelin-related protein (SMRP), measured in fluid or serum. • The circulating SMRP level has been reported to be elevated in 84% of patients with malignant mesothelioma and in 2% of patients with lung cancer.
  • 28.
    Characteristics of newcell lines • Four new mesothelioma cell lines have been characterized based on ultrastructural and immunophenotypic analysis. • These cell lines express vimentin, cytokeratins 8 and 18, and mesothelial antigen recognized by HBME-1 monoclonal antibody.
  • 29.
    • All ofthe lines possess surface human leukocyte antigen (HLA) class I and intercellular adhesion molecule-1 (ICAM-1).
  • 30.
    • Hollevoet etal found that megakaryocyte potentiating factor (MPF) can be used as a serum biomarker of malignant mesothelioma. • MPF originates from the same precursor protein as soluble mesothelin (SM)
  • 31.
  • 32.
    Nodal metastasis • Thepattern of nodal metastasis is different from that of lung cancer. • The mechanism of spread of the disease to the hilar nodes may be through lung invasion and not due to spread directly from the pleura.
  • 33.
    Stage I • Completelyresected within the capsule of the parietal pleura without adenopathy (ie, ipsilateral pleura, lung, pericardium, diaphragm, or chest wall disease limited to previous biopsy sites)
  • 34.
    Stage II • Allstage I characteristics, with positive resection margins, intrapleural adenopathy, or a combination
  • 35.
    Stage III • Localextension of disease into the chest wall or mediastinum, into the heart, through the diaphragm or peritoneum, or extrapleurally to involve the lymph nodes
  • 36.
    Stage IV • Distantmetastatic disease
  • 37.
    Prognosis • Without treatment,malignant mesothelioma is fatal within 4-8 months. With trimodality treatment, some patients have survived 16-19 months.
  • 38.
    • A fewhave survived as long as 5 years, with rates of 14% for all types and 46% for the epithelial type. However, numbers are small. • The tumor recurrence rate is 50% for patients treated with surgery.
  • 39.
    Prognostic factors • Performancestatus of 2 or greater • Nonepithelial histology • Chest pain • Age older than 75 years • Male sex • High platelet count • Lactate dehydrogenase greater than 500 IU/L • Low hemoglobin • High white count • Weight loss
  • 40.
    Retrospective study ofmalignant pleural mesothelioma in Al-Azhar University Hospitals and El-Abassia Chest Hospital (1996-2003) Ahmed Ali Abu-Naglah, Sohair Soliman, Nagwa Fahmy and Hala Abdalla Chest and General Medicine Departments, Al-Azhar University
  • 41.
  • 42.
    Male Female Total 200167 48 115 2002 71 56 127 2003 100 60 160 Total 238 171 402 Total from 1996-2003 428 319 747
  • 43.
  • 44.
    Age groups distributionamong patients Males Females Total % 10 - < 20 1 2 3 0.40 20 - < 30 18 15 33 4.42 30 - < 40 67 48 115 15.39 40 - < 50 113 80 193 25.84 50 - < 60 117 91 208 27.84 60 - < 70 86 65 151 20.21 > 70 25 19 44 5.89 Total 428 319 747 100
  • 45.
    The mean ageof the patients Males (N = 196) Females (N = 149) Mean 49.86 48.94 SD  12.61  12.64 Range 18 – 80 16 – 80 T value 0.67 P value P > 0.05
  • 46.
    Gender distribution amongpatients Males Females Number 428 319 % 57.3% 42.7% P value < 0.01
  • 47.
    Regional distribution amongpatients Location Shobra El-Khama Other areas Number of patients 448 299 % 59.9% 41.1% P value < 0.01
  • 48.
    Occupational distribution among patients Asbestosrelated House wife Others Number of patients 295 246 203 % 39.13% 33.05% 27.82% P value < 0.05
  • 49.
    The main presentingsymptoms Dyspnea Chest pain Cough Chest wall mass Weight loss 60 % 45 % 16 % 2 % 2 %
  • 50.
    Methods of diagnosisand yield of them Num of parients % - Cytological exam - Abram’s needle B. - CT guided biopsy - Thoracoscopic biopsy - Open biopsy 112 173 74 209 179 14.9 23.4 9.9 27.9 23.9
  • 51.
    The pathological types Numberof parienls % Epithelial Sarcomatous Mixed 524 82 141 70.15 10.98 18.87
  • 52.
    Site of thelesion at presentation Number of patients % RT. Sided Left . sided 448 299 60 % 40 %
  • 53.
    Durations of surviveafter presentation (In 380 patients) Duration Range Mean 2 months – 3 years 12 months
  • 54.
    Treatment Number of patients % - Surgery -Chemotherapy with or without pleurodesis - Radiotherapy - Pleurodesis alone - Combined - Refuse treatment or undetected 57 239 89 97 82 203 4.9 % 31.7 % 11.8 % 12.6 % 10.8 % 27.2 %
  • 55.
    Conclusion and Recommendations •Malignant pleural mesothelioma is increasing progressively in Egypt specially in industrial areas. • It affects younger age groups. About 45% of patients below 50 years while in other countries the median age of affection is 60 years
  • 56.
    • The malesto females ratio is 1.3 : 1 while in united states mesothelioma is approximately three fold more in men than in women. This because most of the affected Egyptian women are living at the industrial polluted areas.
  • 57.
    • This diseaseis fatal within few months and maximally few years even in younger patients.
  • 58.
    • Preventive measuresthat attempt to eliminate or at least reduce asbestos pollution are mandatory, with the use of safer and alternative materials for construction, insulation, and other consumer and industrial applications and by dust control and personal protection. • The factories which use any type of asbestos materials must be transferred to distinct areas away from houses and populations.
  • 59.