A R D I A N S Y A H
Cardiothoracic and Vascular Surgery Trainee
University of Indonesia
1
Anatomy
2
Classification
5
Management
4
Pathologic
Features
3
Diagnosis
Superior
• Retrosternal goiter
• Thymoma/Cyst
Anterior
• Thymoma/cyst
• Lymphoma
• Germ cell tumor
Middle
• Bronchogenic cyst
• Lymphadenopathy
• Pericardial cyst
• Saccular
aneurysm
Posterior
• Neurogenik tumor
• Esophageal tumor
• Bone osteophyte
BCV : brachiocephalic veins. c: clavicular heads. T: trachea. BCA : brachiocephalic (innominate)
artery. CA: carotid artery. SA: subclavian artery. e: esophagus
AA : aortic arch. SVC: superior vena cava. T: thymus gland. AAo : ascending aorta.
DAo: descending aorta. TC: tracheal carina. Az: azygos vein
rMB: right main bronchi. LMB: left main bronchi. MPA: main pulmonary artery. rPA: right pulmonary artery. AAo:
Ascending Aorta. LPA: left pulmonary artery. e: esophagus. LA: left atrium. iPV: inferior pulmonary veins. Dao:
Descending Aorta. AER: azygoesophageal recess
GCTs
Mainly men (third
and fourth decades
of life)
Are Found in the
testicles, the anterior
mediastinum, the
retroperitoneum, the
pineal gland, the
sacral region and the
suprasellar region.
80-85% are benign.
Around 90% of all
malignant occur in
men.
Only 10-20% of all
mediastinal tumors.
Arise from ectopic
primordial germ cell
(GC) that fail to
migrate
Mediastinal
GCTs
Teratoma
Mature
teratoma
Immature
teratoma
Teratoma
Malignancy
Non-
Teratoma
Seminoma
Non-
Seminoma
Yolk sac
Embryonal
Ca
Chorio Ca Combination
Several symptoms mechanisms:
• Compression, distortion, invasion, and/or displacement of neighboring structures
• Erosion and/or fistulization into the airways, pleural, or pericardial spaces
• The production of β-HCG
Benign or mature teratomas
• Usually asymptomatic or minimally symptomatic: chest pain, cough, and dyspnea. Expectoration of
teeth, foul-smelling fatty fluid or sebum, hair or pieces of solid material, including calcium.
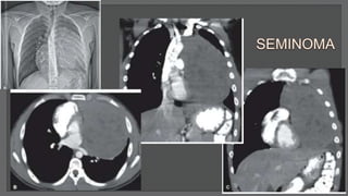
Seminoma:
• Asymptomatic until they are discovered when they achieve a large size: chest pain, cough, dyspnea,
weakness, or gynecomastia. Metastatic disease, mostly lymphatic, is seen at presentation in about 40%
to 70%
Non Seminoma
• Grow rapidly and metastasize early to distant sites (lung, pleura, liver, supraclavicular, & retroperitoneal
lymph node
Differential
diagnosis:
thymoma,
lymphoma, thymic
carcinoid,
intrathoracic thyroid,
lipoma,
lymphangioma, and
GCTs
General features:
Presence of an
anterior
homogeneous or
heterogeneous
mediastinal mass
CT studies are
MANDATORY to
determine the
diagnosis and
response to
therapy
Benign teratomas. Most common germ cell tumor in the mediastinum, (60%-70%) of all mediastinal
tumors.
Characterized: mature tissues derived from all three germinal layers.
Histologically: cartilage, bone, fat, hair, and squamous and glandular epithelia
CT scan: a multilocular but well-circumscribed cystic anterior mediastinal mass containing fluid and
fatt density.
Tumor markers: AFP, β-hCG usually normal
Benign teratomas are not responsive to radiation therapy or chemotherapy
Typical CT findings + normal serum tumor marker levels  complete surgical excision without
biopsy
Mature teratomas are derived from the three germ cell layers and are composed of an
admixture of adult-type tissue arranged in organoid structures, most common component is
skin & its appendages
Immature teratomas are characterized by embryonic or fetal tissue derived from the tree
germinal layers: the most common is neuroepithelium (neural tubules, rosetts).
Approach: large tumormedian sternotomy, smaller tumor posterolateral thoracotomy/
VATS
Great care must be taken to avoid injury to the phrenic nerve & great vessel
Less than half of all malignant primary mediastinal germ cell tumor
Occur in young adult males who are 20 to 40 years of age
Typically slow growing, quite large before the symptoms (chest pain, dyspnea, cough)
Chest CT: a bulky, lobulated, but homogeneous mass with only occasional invasion of
adjacent structures
60%-70% of patients will have metastatic disease at the time of diagnosis, most
commonly to bone, lungs, liver, spleen, or brain
Tumor markers: β-hCG levels are mildly elevated (<100 ng/mL)
Biopsy: FNAB, Core biopsy, Chamberlain procedure, or VATS (for diagnoses of masses not
readily accessible to CT-guided biopsy)
Radiation therapy has been the treatment of choice  does not control systemic
metastase
First-line chemotherapy: cisplatin-based combination chemotherapy regimens,
BEP (bleomycin, etoposide, and cisplatin)
Follow-up: clinical and serial radiographic
If local growth of a residual mass is demonstrated during long-term follow-up 
second-line cisplatin-based + surgery and/or radiation
Nonseminomatous germ cell, slightly more than
one half of the malignant germ cell tumors in the
mediastinum
Occur in males 20-40 years of age
Yolk sac tumors, choriocarcinoma, embriyonal
GCTs, and combination of any of the histologic
types (mixed GCTs)
Symptoms: chest pain, cough, superior vena cava
syndrome, and shortness of breath secondary to
a rapidly growing anterior mediastinal mass.
CT scans: a large heterogeneous mass, irregular
margins, with occasional evidence of necrosis
and hemorrhage.
Local invasion: either lung, left brachiocephalic
vein, superior vena cava, pericardium, cardiac
chamber/proximal great artery
Tumor marker: elevations in serum AFP above
normal levels or significant β-hCG elevations
Cytologic confirmation with CT-guided FNA is
optimal in these cases and necessary in patients
with only marginally elevated serum tumor
markers before initiating chemotherapy
Treatment: cisplatin- based chemotherapy
followed by surgical extirpation of residual
disease even with the absence of
identifiable non-seminomatous elements in
biopsy specimens
Site of metastases: lung, neck,
retroperitoneum, liver, bone, and central
nervous system.
Staging: CT of the chest and abdomen, PET, nuclear scintigraphy,
and MRI of the central nervous system performed on an individual
basis. Gated MRI and/or echocardiography can be helpful to
determine the presence of great vessel or cardiac involvement.
• Appropriate therapy: four cycles of cisplatin-based chemotherapy (BEP) reevaluation of serum tumor markers and CT
for consideration of surgical extirpation of residual disease.
• Careful monitoring of pulmonary diffusing capacity. When any reduction of pulmonary function is noted, Bleomycin is
decreased or discontinued.
• If pulmonary resection is anticipated after chemotherapy, to minimize pulmonary toxicity before surgery non–bleomycin-
containing regimens, VIP (vinblastine, ifosfamide, cisplatin) or withhold bleomycin for the final two cycles
• After chemotherapy there is typically a reduction in tumor dimensions with resolution of pleural and pericardial effusions
• Serum tumor markers levels normalize and surgery is planned after adequate functional and hematologic recovery
• Patients with persistently elevated serum tumor marker levels were treated with second-line chemotherapy before
considering surgery
• The majority of postchemotherapy masses pathologically demonstrate only benign residual disease sparing critical
structures such as phrenic nerves, main pulmonary arteries, great veins, and cardiac chambers
Benign
Mature teratomas, total resection has been the definitive treatment of choice.
Approach: partial/ complete sternotomy, clamshell incision, lateral or posterolateral
thoracotomies.
The prognosis for completely excised benign teratomas is excellent
If the specimen shows more than 50% of immature elements in a post pubescent patient,
adjuvant therapy is advised.
In light of the high-risk nature of
PMNSGCT, any residual mediastinal
mass after chemotherapy needs to
be surgically removed.
The surgical approach is selected to
optimize exposure of technically
difficult areas of dissection
anticipated during removal
Consideration for surgical excision of GCTM should be given in patients with:
• lack of response to chemotherapy
• partial response followed by recurrence while under treatment
• recurrence after standard and second-line therapy
It is considered mandatory to remove all viable tumor cells in the residual tumor
Surgical resection 4 to 6 weeks after completion of chemotherapy. Pulmonary and
hematologic complications resolve.
If viable tumor cells are found in the specimen, adjuvant cisplatin-based
chemotherapy is strongly advised
After induction
chemotherapy
resection of
residual tumors
resistant to
chemotherapy
confirm the
response to
treatment
Patients with a
pathology report of
necrosis are
advised to continue
with periodic follow-
up
Whereas those
with postresection
residual
choriocarcinoma,
embryonal
carcinoma, yolk
sac tumor, or
seminomatous
elements, should
receive two more
cycles of
chemotherapy
Patients with
elevated serum
tumor markers
and/or
progression of
disease after
chemotherapy
who are not
candidates for
surgery 
second-line
chemotherapy
that may include
paclitaxel,
cisplatin, and
ifosfamide (TIP),
or vinblastine,
ifosfamide, and
cisplatin.
Germ Cell Tumors
Germ Cell Tumors
Germ Cell Tumors
Germ Cell Tumors

Germ Cell Tumors

  • 1.
    A R DI A N S Y A H Cardiothoracic and Vascular Surgery Trainee University of Indonesia
  • 2.
  • 3.
    Superior • Retrosternal goiter •Thymoma/Cyst Anterior • Thymoma/cyst • Lymphoma • Germ cell tumor Middle • Bronchogenic cyst • Lymphadenopathy • Pericardial cyst • Saccular aneurysm Posterior • Neurogenik tumor • Esophageal tumor • Bone osteophyte
  • 4.
    BCV : brachiocephalicveins. c: clavicular heads. T: trachea. BCA : brachiocephalic (innominate) artery. CA: carotid artery. SA: subclavian artery. e: esophagus
  • 5.
    AA : aorticarch. SVC: superior vena cava. T: thymus gland. AAo : ascending aorta. DAo: descending aorta. TC: tracheal carina. Az: azygos vein
  • 6.
    rMB: right mainbronchi. LMB: left main bronchi. MPA: main pulmonary artery. rPA: right pulmonary artery. AAo: Ascending Aorta. LPA: left pulmonary artery. e: esophagus. LA: left atrium. iPV: inferior pulmonary veins. Dao: Descending Aorta. AER: azygoesophageal recess
  • 7.
    GCTs Mainly men (third andfourth decades of life) Are Found in the testicles, the anterior mediastinum, the retroperitoneum, the pineal gland, the sacral region and the suprasellar region. 80-85% are benign. Around 90% of all malignant occur in men. Only 10-20% of all mediastinal tumors. Arise from ectopic primordial germ cell (GC) that fail to migrate
  • 8.
  • 9.
    Several symptoms mechanisms: •Compression, distortion, invasion, and/or displacement of neighboring structures • Erosion and/or fistulization into the airways, pleural, or pericardial spaces • The production of β-HCG Benign or mature teratomas • Usually asymptomatic or minimally symptomatic: chest pain, cough, and dyspnea. Expectoration of teeth, foul-smelling fatty fluid or sebum, hair or pieces of solid material, including calcium. Seminoma: • Asymptomatic until they are discovered when they achieve a large size: chest pain, cough, dyspnea, weakness, or gynecomastia. Metastatic disease, mostly lymphatic, is seen at presentation in about 40% to 70% Non Seminoma • Grow rapidly and metastasize early to distant sites (lung, pleura, liver, supraclavicular, & retroperitoneal lymph node
  • 11.
    Differential diagnosis: thymoma, lymphoma, thymic carcinoid, intrathoracic thyroid, lipoma, lymphangioma,and GCTs General features: Presence of an anterior homogeneous or heterogeneous mediastinal mass CT studies are MANDATORY to determine the diagnosis and response to therapy
  • 17.
    Benign teratomas. Mostcommon germ cell tumor in the mediastinum, (60%-70%) of all mediastinal tumors. Characterized: mature tissues derived from all three germinal layers. Histologically: cartilage, bone, fat, hair, and squamous and glandular epithelia CT scan: a multilocular but well-circumscribed cystic anterior mediastinal mass containing fluid and fatt density. Tumor markers: AFP, β-hCG usually normal Benign teratomas are not responsive to radiation therapy or chemotherapy Typical CT findings + normal serum tumor marker levels  complete surgical excision without biopsy
  • 18.
    Mature teratomas arederived from the three germ cell layers and are composed of an admixture of adult-type tissue arranged in organoid structures, most common component is skin & its appendages Immature teratomas are characterized by embryonic or fetal tissue derived from the tree germinal layers: the most common is neuroepithelium (neural tubules, rosetts). Approach: large tumormedian sternotomy, smaller tumor posterolateral thoracotomy/ VATS Great care must be taken to avoid injury to the phrenic nerve & great vessel
  • 19.
    Less than halfof all malignant primary mediastinal germ cell tumor Occur in young adult males who are 20 to 40 years of age Typically slow growing, quite large before the symptoms (chest pain, dyspnea, cough) Chest CT: a bulky, lobulated, but homogeneous mass with only occasional invasion of adjacent structures 60%-70% of patients will have metastatic disease at the time of diagnosis, most commonly to bone, lungs, liver, spleen, or brain Tumor markers: β-hCG levels are mildly elevated (<100 ng/mL) Biopsy: FNAB, Core biopsy, Chamberlain procedure, or VATS (for diagnoses of masses not readily accessible to CT-guided biopsy)
  • 20.
    Radiation therapy hasbeen the treatment of choice  does not control systemic metastase First-line chemotherapy: cisplatin-based combination chemotherapy regimens, BEP (bleomycin, etoposide, and cisplatin) Follow-up: clinical and serial radiographic If local growth of a residual mass is demonstrated during long-term follow-up  second-line cisplatin-based + surgery and/or radiation
  • 21.
    Nonseminomatous germ cell,slightly more than one half of the malignant germ cell tumors in the mediastinum Occur in males 20-40 years of age Yolk sac tumors, choriocarcinoma, embriyonal GCTs, and combination of any of the histologic types (mixed GCTs) Symptoms: chest pain, cough, superior vena cava syndrome, and shortness of breath secondary to a rapidly growing anterior mediastinal mass. CT scans: a large heterogeneous mass, irregular margins, with occasional evidence of necrosis and hemorrhage. Local invasion: either lung, left brachiocephalic vein, superior vena cava, pericardium, cardiac chamber/proximal great artery Tumor marker: elevations in serum AFP above normal levels or significant β-hCG elevations Cytologic confirmation with CT-guided FNA is optimal in these cases and necessary in patients with only marginally elevated serum tumor markers before initiating chemotherapy
  • 22.
    Treatment: cisplatin- basedchemotherapy followed by surgical extirpation of residual disease even with the absence of identifiable non-seminomatous elements in biopsy specimens Site of metastases: lung, neck, retroperitoneum, liver, bone, and central nervous system. Staging: CT of the chest and abdomen, PET, nuclear scintigraphy, and MRI of the central nervous system performed on an individual basis. Gated MRI and/or echocardiography can be helpful to determine the presence of great vessel or cardiac involvement.
  • 23.
    • Appropriate therapy:four cycles of cisplatin-based chemotherapy (BEP) reevaluation of serum tumor markers and CT for consideration of surgical extirpation of residual disease. • Careful monitoring of pulmonary diffusing capacity. When any reduction of pulmonary function is noted, Bleomycin is decreased or discontinued. • If pulmonary resection is anticipated after chemotherapy, to minimize pulmonary toxicity before surgery non–bleomycin- containing regimens, VIP (vinblastine, ifosfamide, cisplatin) or withhold bleomycin for the final two cycles • After chemotherapy there is typically a reduction in tumor dimensions with resolution of pleural and pericardial effusions • Serum tumor markers levels normalize and surgery is planned after adequate functional and hematologic recovery • Patients with persistently elevated serum tumor marker levels were treated with second-line chemotherapy before considering surgery • The majority of postchemotherapy masses pathologically demonstrate only benign residual disease sparing critical structures such as phrenic nerves, main pulmonary arteries, great veins, and cardiac chambers
  • 24.
    Benign Mature teratomas, totalresection has been the definitive treatment of choice. Approach: partial/ complete sternotomy, clamshell incision, lateral or posterolateral thoracotomies. The prognosis for completely excised benign teratomas is excellent If the specimen shows more than 50% of immature elements in a post pubescent patient, adjuvant therapy is advised.
  • 25.
    In light ofthe high-risk nature of PMNSGCT, any residual mediastinal mass after chemotherapy needs to be surgically removed. The surgical approach is selected to optimize exposure of technically difficult areas of dissection anticipated during removal
  • 26.
    Consideration for surgicalexcision of GCTM should be given in patients with: • lack of response to chemotherapy • partial response followed by recurrence while under treatment • recurrence after standard and second-line therapy It is considered mandatory to remove all viable tumor cells in the residual tumor Surgical resection 4 to 6 weeks after completion of chemotherapy. Pulmonary and hematologic complications resolve. If viable tumor cells are found in the specimen, adjuvant cisplatin-based chemotherapy is strongly advised
  • 27.
    After induction chemotherapy resection of residualtumors resistant to chemotherapy confirm the response to treatment Patients with a pathology report of necrosis are advised to continue with periodic follow- up Whereas those with postresection residual choriocarcinoma, embryonal carcinoma, yolk sac tumor, or seminomatous elements, should receive two more cycles of chemotherapy Patients with elevated serum tumor markers and/or progression of disease after chemotherapy who are not candidates for surgery  second-line chemotherapy that may include paclitaxel, cisplatin, and ifosfamide (TIP), or vinblastine, ifosfamide, and cisplatin.