UNIT II - CYTOLOGY
Cell Structure and Function
Cell Theory: A history
• Hooke (1655) observes cells in cork tree w/
primative scope
• Leewenhoek builds a microscope
• Discovers Protozoa (1674) and Bacteria (1683)
• Schleiden and Schwann (1838) propose cell
theory
• Kolliker describes mitochondria in muscle cells
(1857)
Cell theory
• All organisms are composed of one or more
cells
• Cells are the basic unit of structure and
function in organisms
• All cells come only from other cells
Biological
organization
• All living things are constructed of cells.
• Is this a true statement?
• Living things may be unicellular or
multicellular.
• Cell structure is diverse, but all cells share
common characteristics.
Relative sizes
• Human eye
resolution =
100um
• Is there an area of
this slide that is
now obsolete, or
at least
incomplete?
Why are cells small?
• Ability to exchange materials with surroundings.
Prokaryotic cells
• Lack a nucleus
• Some can generate own food
• Capable of sexual and asexual reproduction
• Used in genetic research
• Used to produce insulin
Eukaryotic cells
• Contain a nucleus
• Surrounded by a plasma membrane containing
• Phospholipids
• Proteins
• Glycolipids
• Cholesterol
• Plasma membrane regulates intra to
extracellular movement of material
• Plants have a cell wall extracellular to the
plasma membrane
Cell membrane
Eukaryotic cells
• Internal environment
• Cytosol
• Organelles
• Organelles compartmentalize functions within
the cell
• Many organelles are present in both animal and
plant cells
• Differences: Plants contain chloroplasts and animal cells
contain centrioles
Animal cell
Plant cell
nucleus
• Chromatin: DNA and proteins (histones)
• Nucleolus: Chromatin and ribosomal subunits
• Nuclear envelope: Double phospholipid
membrane with pores
• Nucleoplasm: Semifluid medium inside the
nucleus
Ribosomes
• Responsible for protein synthesis
• Composed of 2 sub-units (40s and 60s) which are
comprised of a mixture of rRNA and proteins
(40+)
• Subunits produced in the nucleolus and
transported into the cytosol
• Ribosomes can be found:
• Alone or in groups called polyribosomes
• Attached to the ER
Ribosome production
Endomembrane system
• Consists of:
• Nuclear envelope
• Endoplasmic reticulum
• Golgi apparatus
• Vesicles
• Connected via direct physical contact and/or
by the transfer of vesicles from one part to
another.
Rough er
• Ribosomes are attached to the rough E.R.
exterior
• Site of much protein synthesis in the cell
• Site of Glycolsylation
• Protein sorting start point in the cell
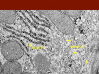
Smooth er
• Lacks ribosomes
• Location of phospholipid and steroid synthesis
• Protein packaging
• Cell dependent functions:
• Testosterone production in testes
• Detoxifying drugs in liver
• Hormone synthesis in adrenal gland
golgi
• Golgi complex consists of a series of flattened sacs
called cisternae
• 2 faces with functional and structural differences
• cis face: receives vessicles from the ER
• trans face: vessicles exit towards their destination
• 2 Models of protein movement
• Vessicle transport model
• Cisternae maturation model
• Further biochemical cell product modifications occur
• Secretory proteins are packaged and transported to the
plasma membrane for exocytosis.
golgi
Lysosomes
• Produced by the golgi complex
• Contain hydrolytic enzymes (approx. 40)
• Involved with both intracellular digestion and
autodigestion
• Degrade extracellular material and worn-out organelles
• Plays a role in apoptosis (programmed cell death)
Vacuoles & vessicles
• VACUOLES
• Large membrane enclosed sac in eukaryotic cells
• Maintains turgor pressure in plant cells
• VESSICLES
• Inter-golgi transportation
• Cellular transport for exocytosis
peroxisomes
• Self-replication occurs through binary fission
• Contain enzymes that carry out oxidation reactions
• Produce hydrogen peroxide as by-product
• Abundant in Liver cells
• Break down fats and alcohol
• Produce bile salts and cholesterol
• Convert fatty acids to carbohydrates in seeds
• Aids in photosynthesis in plant cells
Energy organelles
mitochondria
• Double membrane organelle found in both plant and
animal cells.
• Site for cellular respiration
• Internal space called the matrix that contain enzymes
responsible for breakdown of glucose and fatty acids
• Fold in the inner membrane called cristae are the sites
of ATP generation
• Mitochondrial DNA is located in the matrix. All this
DNA is derived from maternal DNA and contain genes
for ATP production
Cellular Respiration
Citric Acid CycleGlycolysis
Electron Transport Chain
Cell. Resp. Formula
• Aerobic Energy Production = Net 38 ATP
• Glycolysis – 4 ATP
• NADH Transport into Matrix – (-2 ATP)
• Citric Acid Cycle – 2 ATP
• ETC – 34 ATP
• Anaerobic Energy Production = Net 4 ATP
• Glycolysis Only
chloroplasts
• Double membrane bound organelle with three distinct
compartments
• 1. – Inter-membrane Space
• Internal thylakoid membrane that separates the two internal
spaces:
• 2. Stroma: site of carbohydrate synthesis
• 3. Lumen: contains chlorophyll that absorbs solar energy for
photosynthesis reactions
• Chloroplasts contain genetic material used in the production of
photosynthesis proteins
CYTOSKELETON
• A network of protein filaments found through out the
cytoplasm of the cell
• FUNCTIONS
• Structure of the cell
• Cell movement (whole cell and internal structures)
• Composed of 3 types of elements:
• Actin Filaments
• Microtubules
• Intermediate Filaments
Actin filaments
• Major cytoskeleton protein within cells.
• Two polymerized globular actin chains twist together to
form each filament
• Actin filaments are organized into two groups:
• Bundles – found mainly at cell periphery
• Networks – 3D network spaced throughout cytoplasm
• Function
• Cell Shape
• Cytokinesis
• Muscle contraction
• Structure of microvilli in intestine
microtubules
• Tubulin is the protein that forms microtubules
• Tubulin dimers are made of α-tubulin and β-tubulin
assembled around a hollow core
• Polymerization of tubulin begins at the microtubule
organizing centre (MTOC) which is the centrosome in
animal cells.
• Function
• Involved in mitosis
• Stable forms are found in nerve cells
• Allow for organelle movement with the aid of proteins
Dynein and Kinesin
Microtubule motor
proteins
Intermediate filaments
• Named for their size (10ηm). The diameter is between
actin filaments and microtubules.
• Made from more than 50 proteins that vary within cells
• Function
• Play a structural role in the cell.
• Anchor the position of the nucleus in the cell
Structure of Intermediate
Filaments
Types of Intermediate Filaments
• Keratins are found in epithelial cells and also
form hair and nails.
• Lamins form a meshwork that stabalizes the
nuclear envelope.
• Neurofiliaments strengthen long axons
• Vimentins give muscles their mechanical
strength.
Centrioles
• Nine bundles of
microtubule triplets
arranged in a ring
• Allows for a more efficient
processing of
chromosomes in cell
division.
Cilia and Flagella
• Cilia (small and
numerous) and
flagella (large and
single) have a 9 + 2
pattern of microtubule
doublets.
• Each cilium and
flagellum has a basal
body at its base--
these are like
centrioles (9+0)
Cilia and flagella
movement
• Cilia and flagella move when the microtubule doublets slide
past one another aided by the motor protein dynein
Prokaryotic cells
• 2 Kingdoms – Monera (simple bacteria) and Archaea
• Some capable of photosynthesis (cyanobacteria)
• Most have flagella (structurally different from eukaryotic cells)
• DNA found in a singular circular chromosome as well as small
circular plasmids.
• Pili allow for conjugation (swapping of genetic information)
Eukaryotic evolution
• Invagination of plasma membrane enclosed genetic material
creating a nucleus
• Endosymbiosis hypothesis – the idea that organelles resulted
from the association of prokaryotic cells within eukaryotic
ancestors
• EVIDENCE of mitochondria and chloroplast prokaryote
evolution
• Reproduce by dividing in two
• Similar in size to bacteria
• Contain DNA
• rRNA on organelles are closely related to bacteria
Cytology Class Presentation

Cytology Class Presentation

  • 1.
    UNIT II -CYTOLOGY Cell Structure and Function
  • 2.
    Cell Theory: Ahistory • Hooke (1655) observes cells in cork tree w/ primative scope • Leewenhoek builds a microscope • Discovers Protozoa (1674) and Bacteria (1683) • Schleiden and Schwann (1838) propose cell theory • Kolliker describes mitochondria in muscle cells (1857)
  • 3.
    Cell theory • Allorganisms are composed of one or more cells • Cells are the basic unit of structure and function in organisms • All cells come only from other cells
  • 4.
    Biological organization • All livingthings are constructed of cells. • Is this a true statement? • Living things may be unicellular or multicellular. • Cell structure is diverse, but all cells share common characteristics.
  • 5.
    Relative sizes • Humaneye resolution = 100um • Is there an area of this slide that is now obsolete, or at least incomplete?
  • 6.
    Why are cellssmall? • Ability to exchange materials with surroundings.
  • 7.
    Prokaryotic cells • Lacka nucleus • Some can generate own food • Capable of sexual and asexual reproduction • Used in genetic research • Used to produce insulin
  • 8.
    Eukaryotic cells • Containa nucleus • Surrounded by a plasma membrane containing • Phospholipids • Proteins • Glycolipids • Cholesterol • Plasma membrane regulates intra to extracellular movement of material • Plants have a cell wall extracellular to the plasma membrane
  • 9.
  • 10.
    Eukaryotic cells • Internalenvironment • Cytosol • Organelles • Organelles compartmentalize functions within the cell • Many organelles are present in both animal and plant cells • Differences: Plants contain chloroplasts and animal cells contain centrioles
  • 11.
  • 12.
  • 13.
    nucleus • Chromatin: DNAand proteins (histones) • Nucleolus: Chromatin and ribosomal subunits • Nuclear envelope: Double phospholipid membrane with pores • Nucleoplasm: Semifluid medium inside the nucleus
  • 15.
    Ribosomes • Responsible forprotein synthesis • Composed of 2 sub-units (40s and 60s) which are comprised of a mixture of rRNA and proteins (40+) • Subunits produced in the nucleolus and transported into the cytosol • Ribosomes can be found: • Alone or in groups called polyribosomes • Attached to the ER
  • 16.
  • 17.
    Endomembrane system • Consistsof: • Nuclear envelope • Endoplasmic reticulum • Golgi apparatus • Vesicles • Connected via direct physical contact and/or by the transfer of vesicles from one part to another.
  • 18.
    Rough er • Ribosomesare attached to the rough E.R. exterior • Site of much protein synthesis in the cell • Site of Glycolsylation • Protein sorting start point in the cell
  • 20.
    Smooth er • Lacksribosomes • Location of phospholipid and steroid synthesis • Protein packaging • Cell dependent functions: • Testosterone production in testes • Detoxifying drugs in liver • Hormone synthesis in adrenal gland
  • 22.
    golgi • Golgi complexconsists of a series of flattened sacs called cisternae • 2 faces with functional and structural differences • cis face: receives vessicles from the ER • trans face: vessicles exit towards their destination • 2 Models of protein movement • Vessicle transport model • Cisternae maturation model • Further biochemical cell product modifications occur • Secretory proteins are packaged and transported to the plasma membrane for exocytosis.
  • 23.
  • 24.
    Lysosomes • Produced bythe golgi complex • Contain hydrolytic enzymes (approx. 40) • Involved with both intracellular digestion and autodigestion • Degrade extracellular material and worn-out organelles • Plays a role in apoptosis (programmed cell death)
  • 25.
    Vacuoles & vessicles •VACUOLES • Large membrane enclosed sac in eukaryotic cells • Maintains turgor pressure in plant cells • VESSICLES • Inter-golgi transportation • Cellular transport for exocytosis
  • 26.
    peroxisomes • Self-replication occursthrough binary fission • Contain enzymes that carry out oxidation reactions • Produce hydrogen peroxide as by-product • Abundant in Liver cells • Break down fats and alcohol • Produce bile salts and cholesterol • Convert fatty acids to carbohydrates in seeds • Aids in photosynthesis in plant cells
  • 27.
  • 28.
    mitochondria • Double membraneorganelle found in both plant and animal cells. • Site for cellular respiration • Internal space called the matrix that contain enzymes responsible for breakdown of glucose and fatty acids • Fold in the inner membrane called cristae are the sites of ATP generation • Mitochondrial DNA is located in the matrix. All this DNA is derived from maternal DNA and contain genes for ATP production
  • 30.
  • 31.
  • 32.
  • 33.
    Cell. Resp. Formula •Aerobic Energy Production = Net 38 ATP • Glycolysis – 4 ATP • NADH Transport into Matrix – (-2 ATP) • Citric Acid Cycle – 2 ATP • ETC – 34 ATP • Anaerobic Energy Production = Net 4 ATP • Glycolysis Only
  • 34.
    chloroplasts • Double membranebound organelle with three distinct compartments • 1. – Inter-membrane Space • Internal thylakoid membrane that separates the two internal spaces: • 2. Stroma: site of carbohydrate synthesis • 3. Lumen: contains chlorophyll that absorbs solar energy for photosynthesis reactions • Chloroplasts contain genetic material used in the production of photosynthesis proteins
  • 36.
    CYTOSKELETON • A networkof protein filaments found through out the cytoplasm of the cell • FUNCTIONS • Structure of the cell • Cell movement (whole cell and internal structures) • Composed of 3 types of elements: • Actin Filaments • Microtubules • Intermediate Filaments
  • 37.
    Actin filaments • Majorcytoskeleton protein within cells. • Two polymerized globular actin chains twist together to form each filament • Actin filaments are organized into two groups: • Bundles – found mainly at cell periphery • Networks – 3D network spaced throughout cytoplasm • Function • Cell Shape • Cytokinesis • Muscle contraction • Structure of microvilli in intestine
  • 39.
    microtubules • Tubulin isthe protein that forms microtubules • Tubulin dimers are made of α-tubulin and β-tubulin assembled around a hollow core • Polymerization of tubulin begins at the microtubule organizing centre (MTOC) which is the centrosome in animal cells. • Function • Involved in mitosis • Stable forms are found in nerve cells • Allow for organelle movement with the aid of proteins Dynein and Kinesin
  • 41.
  • 42.
    Intermediate filaments • Namedfor their size (10ηm). The diameter is between actin filaments and microtubules. • Made from more than 50 proteins that vary within cells • Function • Play a structural role in the cell. • Anchor the position of the nucleus in the cell
  • 43.
  • 44.
    Types of IntermediateFilaments • Keratins are found in epithelial cells and also form hair and nails. • Lamins form a meshwork that stabalizes the nuclear envelope. • Neurofiliaments strengthen long axons • Vimentins give muscles their mechanical strength.
  • 45.
    Centrioles • Nine bundlesof microtubule triplets arranged in a ring • Allows for a more efficient processing of chromosomes in cell division.
  • 47.
    Cilia and Flagella •Cilia (small and numerous) and flagella (large and single) have a 9 + 2 pattern of microtubule doublets. • Each cilium and flagellum has a basal body at its base-- these are like centrioles (9+0)
  • 48.
    Cilia and flagella movement •Cilia and flagella move when the microtubule doublets slide past one another aided by the motor protein dynein
  • 49.
    Prokaryotic cells • 2Kingdoms – Monera (simple bacteria) and Archaea • Some capable of photosynthesis (cyanobacteria) • Most have flagella (structurally different from eukaryotic cells) • DNA found in a singular circular chromosome as well as small circular plasmids. • Pili allow for conjugation (swapping of genetic information)
  • 51.
    Eukaryotic evolution • Invaginationof plasma membrane enclosed genetic material creating a nucleus • Endosymbiosis hypothesis – the idea that organelles resulted from the association of prokaryotic cells within eukaryotic ancestors • EVIDENCE of mitochondria and chloroplast prokaryote evolution • Reproduce by dividing in two • Similar in size to bacteria • Contain DNA • rRNA on organelles are closely related to bacteria