AtherosclerosisAtherosclerosis
CSBR.Prasad, MD.,
Mar-2015-CSBRP
Some Questions
• What are turbulent and laminar flows?
• What are ROS ?
• What is HDL cholesterol ?
• What is LDL cholesterol ?
• Name some markers of inflammation ?
• What is glycocalyx ?
• What is metabolic syndrome ?
Mar-2015-CSBRP
Clinical Implications of AS
• Myocardial infarction
• Stroke
• Hypertension
• Gangrene
Mar-2015-CSBRP
ARTERIOSCLEROSISARTERIOSCLEROSIS
Sclerosis = Hardening
ARTERIOSCLEROSIS: Hardening of the Arteries
Three Patterns:
1.Atherosclerosis
2.Monkeberg’s Medial Calcific Sclerosis
3.Diseases of small arteries & arterioles:
Arteriolosclerosis
1. HTN &
2. DM
Mar-2015-CSBRP
Mar-2015-CSBRP
Mar-2015-CSBRP
Mar-2015-CSBRP
AtherosclerosisAtherosclerosis
Mar-2015-CSBRP
Epidemiology
• Atherosclerosis-associated ischemic heart
disease used to be the most common
cause of morbidity in developed nations
– However, implementing risk reduction and
improved therapies have reduced the
mortality
• Adoption of western style of life style led to
increased incidence of IHD in developing
countries
Mar-2015-CSBRP
Risk Factors
• Risk factors have been identified through
a number of prospective analyses
(e.g: The Framingham Heart Study)
• Important Risk factors:
– Hyperlipidemia
– Hypertension and
– Smoking
• These risk factors have roughly
multiplicative effect
– 2 factors – increase the risk by 4x
– 3 factors – increase risk by 7x
Mar-2015-CSBRP
Mar-2015-CSBRP
Constitutional Risk Factors
• Genetics / Family history
• Age
• Gender
Mar-2015-CSBRP
Constitutional Risk Factors
• Genetics: Family history is the most
important independent risk factor for
atherosclerosis
• Single Mendalian disorders like Familial
Hypercholesterolemia – Constitutes only a
small percentage
• Polygenic, relating to familial clustering
constitute a major chunk
Mar-2015-CSBRP
Constitutional Risk Factors
• Genetics
• Age: Formation of atherosclerotic plaque
is typically a progressive process
• Hence, complications are seen usually
between ages 40 and 60
• Death rates from ischemic heart disease
rise with each decade
Mar-2015-CSBRP
Constitutional Risk Factors
• Genetics
• Age
• Gender: Myocardial infarction and other
complications of atherosclerosis are uncommon
in premenopausal women
• After menopause, however, the incidence of
atherosclerosis related diseases increases in
women and at older ages actually exceeds that
of men
– ? Estrogen
Mar-2015-CSBRP
Modifiable Major Risk Factors
• Hyperlipidemia
• Hypertension
• Cigarette smoking
• Diabetes
• Inflammation
Mar-2015-CSBRP
Modifiable Major Risk Factors
Hyperlipidemia: Even in the absence of other risk factors,
hypercholesterolemia is sufficient to initiate AS
• High LDL – Increased risk
• High HDL – Reduced risk
• Diet:
– Saturated FA – rises Cholesterol
– Polyunsaturated FA – reduces Cholesterol
– Omega-3 fatty acids – beneficial
– Artificial hydrogenation of polyunsaturated oils – adversely affect
cholesterol levels
• Exercise and moderate consumption of ethanol raise
HDL levels
• Obesity and smoking lower HDL
• In the past decade statins have been used widely to
lower serum cholesterol levels
Mar-2015-CSBRP
Modifiable Major Risk Factors
• Hyperlipidemia
• Hypertension: both systolic and diastolic
levels are important
• Hypertensives show 60% increased risk of
cardiovascular events than normotensives
• Left ventricular hypertrophy is a surrogate
marker for cardiovascular risk
Mar-2015-CSBRP
Modifiable Major Risk Factors
• Hyperlipidemia
• Hypertension
• Cigarette smoking: Smoking of one pack
of cigarettes or more daily doubles the
death rate from ischemic heart disease
• Smoking cessation reduces that risk
substantially
Mar-2015-CSBRP
Modifiable Major Risk Factors
• Hyperlipidemia
• Hypertension
• Cigarette smoking
• Diabetes: induces hypercholesterolemia
– 2x prone for IHD
– 100x prone for gangrene
– Increased risk for stroke
Mar-2015-CSBRP
Mar-2015-CSBRP
Additional Risk Factors
• Inflammation
• Hyperhomocystinemia
• Metabolic syndrome
• Lipoprotein a [Lp(a)]
• Factors affecting hemostasis
• Other factors
Mar-2015-CSBRP
Additional Risk Factors
Inflammation:
• C-reactive protein (HS-CRP): plasma CRP
is a strong, independent marker of risk for
myocardial infarction, stroke, peripheral
arterial disease and sudden cardiac death
• CRP is also a useful marker for gauging
the effects of risk reduction measures
Mar-2015-CSBRP
Mar-2015-CSBRP
Additional Risk Factors
• Inflammation
• Hyperhomocystinemia: is associated
with premature vascular disease
– Congenital
– Acquired
• NOTE: Supplemental vitamin ingestion
does not affect the incidence of
cardiovascular disease
Mar-2015-CSBRP
Additional Risk Factors
• Inflammation
• Hyperhomocystinemia
• Metabolic syndrome: characterized by insulin
resistance, hypertension, dyslipidemia (elevated
LDL and depressed HDL), hypercoagulability
and a proinflammatory state
– Hypertension, dyslipidemia contribute to IHD
– Systemic hypercoagulable and proinflammatory state
contribute to endothelial dysfunction
Mar-2015-CSBRP
Additional Risk Factors
• Inflammation
• Hyperhomocystinemia
• Metabolic syndrome
• Lipoprotein a [Lp(a)]: Lp(a) levels are
associated with coronary and
cerebrovascular disease risk, independent
of total cholesterol or LDL levels
Mar-2015-CSBRP
Additional Risk Factors
• Inflammation
• Hyperhomocystinemia
• Metabolic syndrome
• Lipoprotein a [Lp(a)]
• Factors affecting hemostasis: Platelet-derived
factors, as well as thrombin—through both its
procoagulant and proinflammatory effects—are
increasingly recognized as major contributors to
vascular pathology
Mar-2015-CSBRP
Additional Risk Factors
• Inflammation
• Hyperhomocystinemia
• Metabolic syndrome
• Lipoprotein a [Lp(a)]
• Factors affecting hemostasis
• Other factors: lack of exercise;
competitive, stressful life style (“type A”
personality); and obesity
Mar-2015-CSBRP
Pathogenesis of Atherosclerosis
“Response to Injury” hypothesis:
This model views atherosclerosis as
a chronic inflammatory and healing
response of the arterial wall to
endothelial injury
Mar-2015-CSBRP
Pathogenesis of AtherosclerosisPathogenesis of Atherosclerosis
“Response to Injury” hypothesis
Pathogenesis of Atherosclerosis
• The specific factors contributing to
endothelial cell dysfunction in early
atherosclerosis are not completely
understood
• Etiologic agents may include:
– Toxins from cigarette smoke
– Elevated Homocysteine levels
– Infectious agents
– Inflammatory cytokines (eg: TNF)
What causes
endothelial injury ?
Mar-2015-CSBRP
Pathogenesis of Atherosclerosis
Two most important causes of endothelial
dysfunction are:
• Hemodynamic disturbances and
• Hypercholesterolemia
Mar-2015-CSBRP
Figure 11-10 Evolution of arterial wall
changes in the response to injury
hypothesis:
1, Normal.
2, Endothelial injury with monocyte and
platelet adhesion.
3, Monocyte and smooth muscle cell migration
into the intima, with macrophage activation.
4, Macrophage and smooth muscle cell
uptake of modified lipids, with further
activation and recruitment of T cells.
5, Intimal smooth muscle cell proliferation with
extracellular matrix production, forming a well-
developed plaque
Mar-2015-CSBRP
Pathogenesis of Atherosclerosis
• Hemodynamic Disturbances
Some observations:
– Plaques tend to occur at ostia of exiting
vessels, branch points
– Laminar flow stimulates the expression of
genes which inhibit atherogenesis
(Atheroprotective genes)
Mar-2015-CSBRP
Pathogenesis of Atherosclerosis
• Hypercholesterolemia
– Dyslipoproteinemias
• increased LDL
• decreased HDL
• increased levels of lipoprotein (a)
– Maybe due to primary or secondary causes
• Nephrotic syndrome
• Diabetes mellitus
• Hypothyroidism
• Alcoholism
Mar-2015-CSBRP
Pathogenesis of Atherosclerosis
Hypercholesterolemia: is Atherogenic
The evidence:
1-Cholesterol esters are the dominant lipids in
atheromatous plaques
2-Genetic defects in lipoprotein uptake and metabolism are
associated with accelerated atherosclerosis
3-Other acquired disorders of hypercholesterolemia lead to
premature atherosclerosis
4-Epidemiology: Severity of atherosclerosis and total
plasma cholesterol are directly proportional
5-Lowering of serum cholesterol has shown to reduce the
atherogenesis and cardiovascular events
Mar-2015-CSBRP
Pathogenesis of Atherosclerosis
The mechanisms by which hyperlipidemia
contributes to atherogenesis include the
following:
1-Hyperlipidemia, can directly impair
endothelial cell function
• By production of ROS
• Mitochondrial damage
• Degrading NO
Mar-2015-CSBRP
The mechanisms by which hyperlipidemia
contributes to atherogenesis
Mar-2015-CSBRP
Sequence of cellular interactions in
atherosclerosis
Mar-2015-CSBRP
Pathogenesis of Atherosclerosis
Inflammation: Chronic inflammation
contributes to the initiation and
progression of atherosclerotic lesions
– Production of IL-1
– Macrophage and lymphocyte recruitment and
activation
– Liberation of ROS by macrophages
– Oxidation of LDL
– More inflammation and elaboration of Growth
factors Mar-2015-CSBRP
Pathogenesis of Atherosclerosis
Infections:
Herpes virus
Cytomegalovirus and
Chlamydia pneumoniae
are implicated, More evidence is needed
Mar-2015-CSBRP
Pathogenesis of Atherosclerosis
Smooth Muscle Proliferation and Matrix
Synthesis:
• Intimal smooth muscle cell proliferation
and extracellular matrix deposition convert
a fatty streak into a mature atheroma
• Several growth factors are implicated in
smooth muscle cell proliferation
– PDGF
– FGF
– TGF-alfa Mar-2015-CSBRP
Morphology of a typical AS lesion
Mar-2015-CSBRP
Why VEINS are not
involved in
Atherosclerosis?
Mar-2015-CSBRP
Theories of Atherosclerosis
AS is considered as a tumor
Summary
 Endothelial injury is the primary event
 Intimal accumulation of lipids esp. LDL
 Oxidation of LDL –>–> Modified LDL –>–> resulting in ?
Autoimmunity
 Recruitment of T-cells & MØ
 ROS and Cytokine liberation
 More cytokines & growth factors
 Recruitment of Smooth muscle cells and MØ
 More lipid accumulation in extracellularly and in MØ
 Atheromatous plaque formation
Mar-2015-CSBRP
Atherosclerosis - MorphologyAtherosclerosis - Morphology
CSBR.Prasad, MD.,
Mar-2015-CSBRP
Atherosclerosis - MorphologyAtherosclerosis - Morphology
• Fatty streaks
• Atherosclerotic Plaque
Mar-2015-CSBRP
AS – Morphology –AS – Morphology – Fatty streaks
• Multiple minute flat yellow spots or
elongated 1 cm long or longer streaks
• Distribution: Similar to AS plaques
• Composition: Lipid-filled foamy MØ
• No significant alteration in the blood flow
• Seen even in infants and adolescents
• It may / may not progress to AS plaque
Mar-2015-CSBRP
Mar-2015-CSBRP
AS – Morphology –AS – Morphology – Fatty streaks
Mar-2015-CSBRP
AS – Morphology –AS – Morphology –
Atherosclerotic Plaque
• Colour of plaque:
– White-yellow patches
– Red – Brown: When ulcerated and
superimposed by thrombus
• Involvement of the artery: Patchy
• Location: Eccentric (not circumferential)
• Size: Vary. May coalesce to form large masses
• Lesions at various stages often coexist
• Narrows the lumen of the artery
Mar-2015-CSBRP
AS – Morphology –AS – Morphology –
Atherosclerotic Plaque
Mar-2015-CSBRP
Mar-2015-CSBRP
AS – Morphology –AS – Morphology –
Atherosclerotic Plaque
Vessels affected (some facts)
• Lower abdominal aorta: Typically involved to a
greater degree than the thoracic aorta
• Vessels that are usually spared are: vessels of
upper extremities, the mesenteric and renal
arteries, except at their ostia
• Severity of disease in one arterial distribution
does not always predict its severity in another
Mar-2015-CSBRP
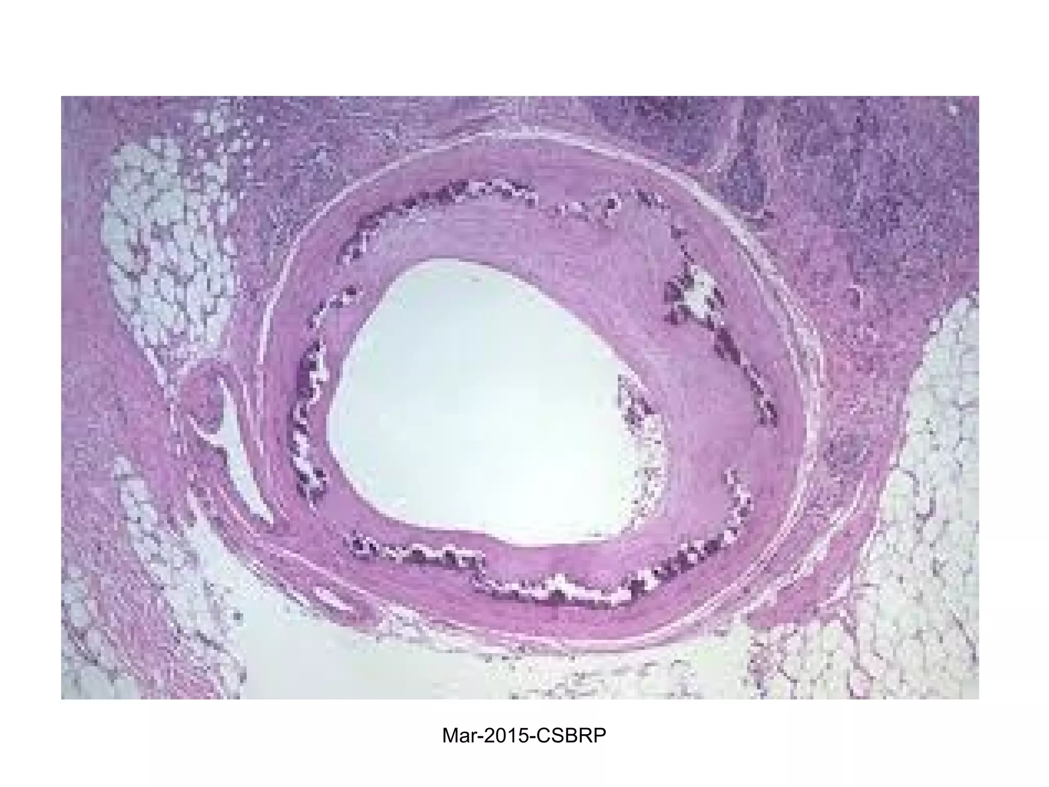
AS – Morphology –AS – Morphology –
Atherosclerotic Plaque
Atherosclerotic plaques have three principal
components:
1. CELLS: Smooth muscle cells, macrophages,
and T cells
2. MATRIX: Extracellular matrix, including
collagen, elastic fibers, and proteoglycans
3. LIPID: Intracellular and extracellular lipid
These components occur in varying proportions and
configurations in different lesions
Mar-2015-CSBRP
AS – Morphology –AS – Morphology –
Atherosclerotic Plaque
Typical plaque:
• Superficial fibrous cap: composed of smooth
muscle cells and relatively dense collagen
• The “shoulder” (sides of the cap): MØ, T-cells,
smooth muscle cells
• Necrotic core: containing lipid, debris from
dead cells, foam cells, fibrin, organized
thrombus, and other plasma proteins
• The periphery: of the lesions demonstrate
neovascularizationMar-2015-CSBRP
AS – Morphology –AS – Morphology –
Typical Atherosclerotic Plaque
Mar-2015-CSBRP
AS – Morphology –AS – Morphology –
Atherosclerotic Plaque
Mar-2015-CSBRP
AS – Morphology –AS – Morphology –
Atherosclerotic Plaque
Atherosclerotic plaques are susceptible to
the following clinically important
pathologic changes:
• Rupture, ulceration, or erosion
• Hemorrhage into a plaque
• Atheroembolism
• Aneurysm formation
Mar-2015-CSBRP
The natural history, morphologic features, main pathogenic
events, and clinical complications of atherosclerosis
Mar-2015-CSBRP
AS – Morphology –AS – Morphology –
Atherosclerotic Plaque
Mar-2015-CSBRP
Consequences of Atherosclerotic Disease
• Major targets vessels: Large elastic arteries,
large and medium-sized muscular arteries
• Major arteries affected resulting in Symptoms:
Arteries supplying the heart, brain, kidneys, and
lower extremities
• The major consequences of atherosclerosis:
– Myocardial infarction
– Cerebral infarction
– Aortic aneurysms and
– Peripheral vascular disease
Mar-2015-CSBRP
Mechanisms:Mechanisms:
AS lesions that are responsible for the
clinicopathologic manifestations
1. Atherosclerotic Stenosis
2. Acute Plaque Change
3. Thrombosis
4. Vasoconstriction
Mar-2015-CSBRP
1-Atherosclerotic Stenosis1-Atherosclerotic Stenosis
• At early stages of stenosis, outward
remodeling of the vessel media tends to
preserve the size
• Eventually the expanding atheroma
impinges on the lumen causing ischemia
– Critical stenosis
• Coronaries: 70% chest pain may develop with
exertion – stable angina
Note: The effects of vascular occlusion ultimately depend on arterial
supply and the metabolic demand of the affected tissue
Mar-2015-CSBRP
Vulnerable and Stable AS plaque
Stable plaques tend to have a dense fibrous cap, minimal lipid accumulation
and little inflammation, whereas “vulnerable” unstable plaques have thin
caps, large lipid cores, and relatively dense inflammatory infiltrates.
Mar-2015-CSBRP
2-Acute Plaque Change2-Acute Plaque Change
Plaque changes fall into three general
categories:
• Rupture/fissuring, exposing highly
thrombogenic plaque constituents
• Erosion/ulceration, exposing the
thrombogenic subendothelial basement
membrane to blood
• Hemorrhage into the atheroma, expanding
its volume
Mar-2015-CSBRP
3-Thrombosis3-Thrombosis
• Thrombosis leads to total occlusion
• Mural thrombi in an artery can also
embolize
Mar-2015-CSBRP
4-Vasoconstriction4-Vasoconstriction
Vasoconstriction compromises lumen size and can
potentiate plaque disruption:
• Vasoconstriction at sites of atheroma may be
stimulated by
1. Circulating adrenergic agonists
2. Locally released platelet contents
3. Endothelial cell dysfunction with imbalance between
nitric oxide & endothelin and
4. Mediators released from perivascular inflammatory cells
Mar-2015-CSBRP
Mar-2015-CSBRP
E N D
Mar-2015-CSBRP
Mar-2015-CSBRP
Mar-2015-CSBRP
AS – Morphology –AS – Morphology –
Atherosclerotic Plaque
Vessels affected (In descending order):
– Lower abdominal aorta
– Coronary arteries
– Popliteal arteries
– Internal carotid arteries
– Circle of Willis
Common
Less
frequent
Mar-2015-CSBRP
AS – Morphology –AS – Morphology –
Typical Atherosclerotic Plaque
Mar-2015-CSBRP

Cvs as-csbrp

  • 1.
  • 2.
    Some Questions • Whatare turbulent and laminar flows? • What are ROS ? • What is HDL cholesterol ? • What is LDL cholesterol ? • Name some markers of inflammation ? • What is glycocalyx ? • What is metabolic syndrome ? Mar-2015-CSBRP
  • 3.
    Clinical Implications ofAS • Myocardial infarction • Stroke • Hypertension • Gangrene Mar-2015-CSBRP
  • 4.
    ARTERIOSCLEROSISARTERIOSCLEROSIS Sclerosis = Hardening ARTERIOSCLEROSIS:Hardening of the Arteries Three Patterns: 1.Atherosclerosis 2.Monkeberg’s Medial Calcific Sclerosis 3.Diseases of small arteries & arterioles: Arteriolosclerosis 1. HTN & 2. DM Mar-2015-CSBRP
  • 5.
  • 6.
  • 7.
  • 8.
  • 9.
    Epidemiology • Atherosclerosis-associated ischemicheart disease used to be the most common cause of morbidity in developed nations – However, implementing risk reduction and improved therapies have reduced the mortality • Adoption of western style of life style led to increased incidence of IHD in developing countries Mar-2015-CSBRP
  • 10.
    Risk Factors • Riskfactors have been identified through a number of prospective analyses (e.g: The Framingham Heart Study) • Important Risk factors: – Hyperlipidemia – Hypertension and – Smoking • These risk factors have roughly multiplicative effect – 2 factors – increase the risk by 4x – 3 factors – increase risk by 7x Mar-2015-CSBRP
  • 11.
  • 12.
    Constitutional Risk Factors •Genetics / Family history • Age • Gender Mar-2015-CSBRP
  • 13.
    Constitutional Risk Factors •Genetics: Family history is the most important independent risk factor for atherosclerosis • Single Mendalian disorders like Familial Hypercholesterolemia – Constitutes only a small percentage • Polygenic, relating to familial clustering constitute a major chunk Mar-2015-CSBRP
  • 14.
    Constitutional Risk Factors •Genetics • Age: Formation of atherosclerotic plaque is typically a progressive process • Hence, complications are seen usually between ages 40 and 60 • Death rates from ischemic heart disease rise with each decade Mar-2015-CSBRP
  • 15.
    Constitutional Risk Factors •Genetics • Age • Gender: Myocardial infarction and other complications of atherosclerosis are uncommon in premenopausal women • After menopause, however, the incidence of atherosclerosis related diseases increases in women and at older ages actually exceeds that of men – ? Estrogen Mar-2015-CSBRP
  • 16.
    Modifiable Major RiskFactors • Hyperlipidemia • Hypertension • Cigarette smoking • Diabetes • Inflammation Mar-2015-CSBRP
  • 17.
    Modifiable Major RiskFactors Hyperlipidemia: Even in the absence of other risk factors, hypercholesterolemia is sufficient to initiate AS • High LDL – Increased risk • High HDL – Reduced risk • Diet: – Saturated FA – rises Cholesterol – Polyunsaturated FA – reduces Cholesterol – Omega-3 fatty acids – beneficial – Artificial hydrogenation of polyunsaturated oils – adversely affect cholesterol levels • Exercise and moderate consumption of ethanol raise HDL levels • Obesity and smoking lower HDL • In the past decade statins have been used widely to lower serum cholesterol levels Mar-2015-CSBRP
  • 19.
    Modifiable Major RiskFactors • Hyperlipidemia • Hypertension: both systolic and diastolic levels are important • Hypertensives show 60% increased risk of cardiovascular events than normotensives • Left ventricular hypertrophy is a surrogate marker for cardiovascular risk Mar-2015-CSBRP
  • 20.
    Modifiable Major RiskFactors • Hyperlipidemia • Hypertension • Cigarette smoking: Smoking of one pack of cigarettes or more daily doubles the death rate from ischemic heart disease • Smoking cessation reduces that risk substantially Mar-2015-CSBRP
  • 21.
    Modifiable Major RiskFactors • Hyperlipidemia • Hypertension • Cigarette smoking • Diabetes: induces hypercholesterolemia – 2x prone for IHD – 100x prone for gangrene – Increased risk for stroke Mar-2015-CSBRP
  • 22.
  • 23.
    Additional Risk Factors •Inflammation • Hyperhomocystinemia • Metabolic syndrome • Lipoprotein a [Lp(a)] • Factors affecting hemostasis • Other factors Mar-2015-CSBRP
  • 24.
    Additional Risk Factors Inflammation: •C-reactive protein (HS-CRP): plasma CRP is a strong, independent marker of risk for myocardial infarction, stroke, peripheral arterial disease and sudden cardiac death • CRP is also a useful marker for gauging the effects of risk reduction measures Mar-2015-CSBRP
  • 25.
  • 26.
    Additional Risk Factors •Inflammation • Hyperhomocystinemia: is associated with premature vascular disease – Congenital – Acquired • NOTE: Supplemental vitamin ingestion does not affect the incidence of cardiovascular disease Mar-2015-CSBRP
  • 27.
    Additional Risk Factors •Inflammation • Hyperhomocystinemia • Metabolic syndrome: characterized by insulin resistance, hypertension, dyslipidemia (elevated LDL and depressed HDL), hypercoagulability and a proinflammatory state – Hypertension, dyslipidemia contribute to IHD – Systemic hypercoagulable and proinflammatory state contribute to endothelial dysfunction Mar-2015-CSBRP
  • 28.
    Additional Risk Factors •Inflammation • Hyperhomocystinemia • Metabolic syndrome • Lipoprotein a [Lp(a)]: Lp(a) levels are associated with coronary and cerebrovascular disease risk, independent of total cholesterol or LDL levels Mar-2015-CSBRP
  • 30.
    Additional Risk Factors •Inflammation • Hyperhomocystinemia • Metabolic syndrome • Lipoprotein a [Lp(a)] • Factors affecting hemostasis: Platelet-derived factors, as well as thrombin—through both its procoagulant and proinflammatory effects—are increasingly recognized as major contributors to vascular pathology Mar-2015-CSBRP
  • 31.
    Additional Risk Factors •Inflammation • Hyperhomocystinemia • Metabolic syndrome • Lipoprotein a [Lp(a)] • Factors affecting hemostasis • Other factors: lack of exercise; competitive, stressful life style (“type A” personality); and obesity Mar-2015-CSBRP
  • 32.
    Pathogenesis of Atherosclerosis “Responseto Injury” hypothesis: This model views atherosclerosis as a chronic inflammatory and healing response of the arterial wall to endothelial injury Mar-2015-CSBRP
  • 33.
    Pathogenesis of AtherosclerosisPathogenesisof Atherosclerosis “Response to Injury” hypothesis
  • 34.
    Pathogenesis of Atherosclerosis •The specific factors contributing to endothelial cell dysfunction in early atherosclerosis are not completely understood • Etiologic agents may include: – Toxins from cigarette smoke – Elevated Homocysteine levels – Infectious agents – Inflammatory cytokines (eg: TNF) What causes endothelial injury ? Mar-2015-CSBRP
  • 35.
    Pathogenesis of Atherosclerosis Twomost important causes of endothelial dysfunction are: • Hemodynamic disturbances and • Hypercholesterolemia Mar-2015-CSBRP
  • 36.
    Figure 11-10 Evolutionof arterial wall changes in the response to injury hypothesis: 1, Normal. 2, Endothelial injury with monocyte and platelet adhesion. 3, Monocyte and smooth muscle cell migration into the intima, with macrophage activation. 4, Macrophage and smooth muscle cell uptake of modified lipids, with further activation and recruitment of T cells. 5, Intimal smooth muscle cell proliferation with extracellular matrix production, forming a well- developed plaque Mar-2015-CSBRP
  • 37.
    Pathogenesis of Atherosclerosis •Hemodynamic Disturbances Some observations: – Plaques tend to occur at ostia of exiting vessels, branch points – Laminar flow stimulates the expression of genes which inhibit atherogenesis (Atheroprotective genes) Mar-2015-CSBRP
  • 38.
    Pathogenesis of Atherosclerosis •Hypercholesterolemia – Dyslipoproteinemias • increased LDL • decreased HDL • increased levels of lipoprotein (a) – Maybe due to primary or secondary causes • Nephrotic syndrome • Diabetes mellitus • Hypothyroidism • Alcoholism Mar-2015-CSBRP
  • 39.
    Pathogenesis of Atherosclerosis Hypercholesterolemia:is Atherogenic The evidence: 1-Cholesterol esters are the dominant lipids in atheromatous plaques 2-Genetic defects in lipoprotein uptake and metabolism are associated with accelerated atherosclerosis 3-Other acquired disorders of hypercholesterolemia lead to premature atherosclerosis 4-Epidemiology: Severity of atherosclerosis and total plasma cholesterol are directly proportional 5-Lowering of serum cholesterol has shown to reduce the atherogenesis and cardiovascular events Mar-2015-CSBRP
  • 40.
    Pathogenesis of Atherosclerosis Themechanisms by which hyperlipidemia contributes to atherogenesis include the following: 1-Hyperlipidemia, can directly impair endothelial cell function • By production of ROS • Mitochondrial damage • Degrading NO Mar-2015-CSBRP
  • 41.
    The mechanisms bywhich hyperlipidemia contributes to atherogenesis Mar-2015-CSBRP
  • 42.
    Sequence of cellularinteractions in atherosclerosis Mar-2015-CSBRP
  • 43.
    Pathogenesis of Atherosclerosis Inflammation:Chronic inflammation contributes to the initiation and progression of atherosclerotic lesions – Production of IL-1 – Macrophage and lymphocyte recruitment and activation – Liberation of ROS by macrophages – Oxidation of LDL – More inflammation and elaboration of Growth factors Mar-2015-CSBRP
  • 44.
    Pathogenesis of Atherosclerosis Infections: Herpesvirus Cytomegalovirus and Chlamydia pneumoniae are implicated, More evidence is needed Mar-2015-CSBRP
  • 45.
    Pathogenesis of Atherosclerosis SmoothMuscle Proliferation and Matrix Synthesis: • Intimal smooth muscle cell proliferation and extracellular matrix deposition convert a fatty streak into a mature atheroma • Several growth factors are implicated in smooth muscle cell proliferation – PDGF – FGF – TGF-alfa Mar-2015-CSBRP
  • 46.
    Morphology of atypical AS lesion Mar-2015-CSBRP
  • 49.
    Why VEINS arenot involved in Atherosclerosis? Mar-2015-CSBRP
  • 50.
  • 53.
    AS is consideredas a tumor
  • 56.
    Summary  Endothelial injuryis the primary event  Intimal accumulation of lipids esp. LDL  Oxidation of LDL –>–> Modified LDL –>–> resulting in ? Autoimmunity  Recruitment of T-cells & MØ  ROS and Cytokine liberation  More cytokines & growth factors  Recruitment of Smooth muscle cells and MØ  More lipid accumulation in extracellularly and in MØ  Atheromatous plaque formation Mar-2015-CSBRP
  • 57.
    Atherosclerosis - MorphologyAtherosclerosis- Morphology CSBR.Prasad, MD., Mar-2015-CSBRP
  • 58.
    Atherosclerosis - MorphologyAtherosclerosis- Morphology • Fatty streaks • Atherosclerotic Plaque Mar-2015-CSBRP
  • 59.
    AS – Morphology–AS – Morphology – Fatty streaks • Multiple minute flat yellow spots or elongated 1 cm long or longer streaks • Distribution: Similar to AS plaques • Composition: Lipid-filled foamy MØ • No significant alteration in the blood flow • Seen even in infants and adolescents • It may / may not progress to AS plaque Mar-2015-CSBRP
  • 60.
  • 61.
    AS – Morphology–AS – Morphology – Fatty streaks Mar-2015-CSBRP
  • 62.
    AS – Morphology–AS – Morphology – Atherosclerotic Plaque • Colour of plaque: – White-yellow patches – Red – Brown: When ulcerated and superimposed by thrombus • Involvement of the artery: Patchy • Location: Eccentric (not circumferential) • Size: Vary. May coalesce to form large masses • Lesions at various stages often coexist • Narrows the lumen of the artery Mar-2015-CSBRP
  • 63.
    AS – Morphology–AS – Morphology – Atherosclerotic Plaque Mar-2015-CSBRP
  • 64.
  • 65.
    AS – Morphology–AS – Morphology – Atherosclerotic Plaque Vessels affected (some facts) • Lower abdominal aorta: Typically involved to a greater degree than the thoracic aorta • Vessels that are usually spared are: vessels of upper extremities, the mesenteric and renal arteries, except at their ostia • Severity of disease in one arterial distribution does not always predict its severity in another Mar-2015-CSBRP
  • 66.
    AS – Morphology–AS – Morphology – Atherosclerotic Plaque Atherosclerotic plaques have three principal components: 1. CELLS: Smooth muscle cells, macrophages, and T cells 2. MATRIX: Extracellular matrix, including collagen, elastic fibers, and proteoglycans 3. LIPID: Intracellular and extracellular lipid These components occur in varying proportions and configurations in different lesions Mar-2015-CSBRP
  • 67.
    AS – Morphology–AS – Morphology – Atherosclerotic Plaque Typical plaque: • Superficial fibrous cap: composed of smooth muscle cells and relatively dense collagen • The “shoulder” (sides of the cap): MØ, T-cells, smooth muscle cells • Necrotic core: containing lipid, debris from dead cells, foam cells, fibrin, organized thrombus, and other plasma proteins • The periphery: of the lesions demonstrate neovascularizationMar-2015-CSBRP
  • 68.
    AS – Morphology–AS – Morphology – Typical Atherosclerotic Plaque Mar-2015-CSBRP
  • 69.
    AS – Morphology–AS – Morphology – Atherosclerotic Plaque Mar-2015-CSBRP
  • 70.
    AS – Morphology–AS – Morphology – Atherosclerotic Plaque Atherosclerotic plaques are susceptible to the following clinically important pathologic changes: • Rupture, ulceration, or erosion • Hemorrhage into a plaque • Atheroembolism • Aneurysm formation Mar-2015-CSBRP
  • 71.
    The natural history,morphologic features, main pathogenic events, and clinical complications of atherosclerosis Mar-2015-CSBRP
  • 72.
    AS – Morphology–AS – Morphology – Atherosclerotic Plaque Mar-2015-CSBRP
  • 73.
    Consequences of AtheroscleroticDisease • Major targets vessels: Large elastic arteries, large and medium-sized muscular arteries • Major arteries affected resulting in Symptoms: Arteries supplying the heart, brain, kidneys, and lower extremities • The major consequences of atherosclerosis: – Myocardial infarction – Cerebral infarction – Aortic aneurysms and – Peripheral vascular disease Mar-2015-CSBRP
  • 74.
    Mechanisms:Mechanisms: AS lesions thatare responsible for the clinicopathologic manifestations 1. Atherosclerotic Stenosis 2. Acute Plaque Change 3. Thrombosis 4. Vasoconstriction Mar-2015-CSBRP
  • 75.
    1-Atherosclerotic Stenosis1-Atherosclerotic Stenosis •At early stages of stenosis, outward remodeling of the vessel media tends to preserve the size • Eventually the expanding atheroma impinges on the lumen causing ischemia – Critical stenosis • Coronaries: 70% chest pain may develop with exertion – stable angina Note: The effects of vascular occlusion ultimately depend on arterial supply and the metabolic demand of the affected tissue Mar-2015-CSBRP
  • 76.
    Vulnerable and StableAS plaque Stable plaques tend to have a dense fibrous cap, minimal lipid accumulation and little inflammation, whereas “vulnerable” unstable plaques have thin caps, large lipid cores, and relatively dense inflammatory infiltrates. Mar-2015-CSBRP
  • 77.
    2-Acute Plaque Change2-AcutePlaque Change Plaque changes fall into three general categories: • Rupture/fissuring, exposing highly thrombogenic plaque constituents • Erosion/ulceration, exposing the thrombogenic subendothelial basement membrane to blood • Hemorrhage into the atheroma, expanding its volume Mar-2015-CSBRP
  • 78.
    3-Thrombosis3-Thrombosis • Thrombosis leadsto total occlusion • Mural thrombi in an artery can also embolize Mar-2015-CSBRP
  • 79.
    4-Vasoconstriction4-Vasoconstriction Vasoconstriction compromises lumensize and can potentiate plaque disruption: • Vasoconstriction at sites of atheroma may be stimulated by 1. Circulating adrenergic agonists 2. Locally released platelet contents 3. Endothelial cell dysfunction with imbalance between nitric oxide & endothelin and 4. Mediators released from perivascular inflammatory cells Mar-2015-CSBRP
  • 80.
  • 91.
  • 92.
  • 93.
  • 94.
    AS – Morphology–AS – Morphology – Atherosclerotic Plaque Vessels affected (In descending order): – Lower abdominal aorta – Coronary arteries – Popliteal arteries – Internal carotid arteries – Circle of Willis Common Less frequent Mar-2015-CSBRP
  • 95.
    AS – Morphology–AS – Morphology – Typical Atherosclerotic Plaque Mar-2015-CSBRP

Editor's Notes

  • #14 Genetics. Family history is the most important independent risk factor for atherosclerosis. Certain Mendelian disorders are strongly associated with atherosclerosis (e.g., familial hypercholesterolemia; Chapter 5), but these account for only a small percentage of cases. The well-established familial predisposition to atherosclero- sis and ischemic heart disease is usually polygenic, relating to familial clustering of other established risk factors, such as hypertension or diabetes, or to inherited variants that influence other pathophysiologic processes, Such as inflammation.
  • #15 Age is a dominant influence. Although the development of atherosclerotic plaque is typically a progressive process, it does not usually become clinically manifest until lesions reach a critical threshold in middle age or later (see later). Thus, between ages 40 and 60, the incidence of myocardial infarction increases five-fold. Death rates from ischemic heart disease rise with each decade even into advanced age.
  • #16 Gender: Other factors being equal, premenopausal women are relatively protected against atherosclerosis and its consequences compared to age-matched men. Thus, myocardial infarction and other complications of atherosclerosis are uncommon in premenopausal women unless they are otherwise predisposed by diabetes, hyperlipidemia, or severe hypertension. After menopause, however, the incidence of atherosclerosisrelated diseases increases in women and at older ages actually exceeds that of men. Although a favorable influence of estrogen has long been proposed to explain this effect, clinical trials of estrogen replacement have not been shown to protect against vascular disease; indeed, in some studies, post-menopausal estrogen replacement actually increased cardiovascular risk. The atheroprotective effect of estrogens may be related to the age at which the therapy is initiated; in younger postmenopausal women, coronary atherosclerosis is diminished by estrogen therapy, while older women appear not to benefit.
  • #18 Hyperlipidemia—and more specifically hypercholesterolemia—is a major risk factor for atherosclerosis; even in the absence of other risk factors, hypercholesterolemia is sufficient to initiate lesion development. The major component of serum cholesterol associated with increased risk is low-density lipoprotein (LDL) cholesterol (“bad cholesterol”). LDL is the com plex that delivers cholesterol to peripheral tissues; in contrast, high-density lipoprotein (HDL) is the complex that mobilizes cholesterol from the periphery (including atheromas) and transports it to the liver for excretion in the bile. Consequently, higher levels of HDL (“good cholesterol”) correlate with reduced risk. Understandably, dietary and pharmacologic approaches that lower LDL or total serum cholesterol, or raise serum HDL, are of considerable interest. High dietary intake of cholesterol and saturated fats (present in egg yolks, animal fats, and butter, for example) raises plasma cholesterol levels. Conversely, diets low in cholesterol and/or high in polyunsaturated fats lower plasma cholesterol levels. Omega-3 fatty acids (abundant in fish oils) are beneficial, whereas (trans)unsaturated fatsproduced by artificial, hydrogenation of polyunsaturated oils (used in baked goods and margarine) adversely affect cholesterol profiles. Exercise and moderate consumption of ethanol raise HDL levels whereas obesity and smoking lower it. Statins are a class of drugs that lower circulating cholesterol levels by inhibiting hydroxymethylglutaryl coenzyme A (HMG CoA) reductase, the rate-limiting enzyme in hepatic cholesterol biosynthesis (Chapter 5). In the past two decades, statins have been used widely to lower serum cholesterol levels, arguably one of the most significant success stories of translational research.
  • #20 Hypertension (see earlier) is another major risk factor for atherosclerosis; both systolic and diastolic levels are important. On its own, hypertension can increase the risk of ischemic heart disease by approximately 60% versus normotensive populations (Fig. 11-8). Chronic hypertension is the most common cause of left ventricular hypertrophy, and hence the latter is also a surrogate marker for cardiovascular risk.
  • #21 Cigarette smoking is a well-established risk factor in men and likely accounts for the increasing incidence and severity of atherosclerosis in women. Prolonged (years) smoking of one pack of cigarettes or more daily doubles the death rate from ischemic heart disease. Smoking cessation reduces that risk substantially.
  • #22 Diabetes mellitus induces hypercholesterolemia (Chapter 24) and markedly increases the risk of atherosclerosis. Other factors being equal, the incidence of myocardial infarction is twice as high in patients with diabetes than in those without. There is also an increased risk of stroke and a 100-fold increased risk of atherosclerosis-induced gangrene of the lower extremities.
  • #26 Figure 11-9 C reactive protein (CRP) predicts cardiovascular risk. Relative risk (y-axis) refers to the risk of a cardiovascular event (e.g., myocardial infarction). The x-axis is the 10-year risk of a cardiovascular event derived from established risk factors identified in the Framingham Heart Study. In each risk group, CRP values further stratify patients. (Data from Ridker PM, et al: Comparison of C-reactive protein and low-density lipoprotein cholesterol levels in the prediction of first cardiovascular events. N Engl J Med 347:1557, 2002.)
  • #27 Hyperhomocystinemia. Serum homocysteine levels correlate with coronary atherosclerosis, peripheral vascular disease, stroke, and venous thrombosis. Homocystinuria, due to rare inborn errors of metabolism, results in elevated circulating homocysteine (>100 µmol/L) and is associated with premature vascular disease. Although low folate and vitamin B levels can increase homocysteine, supplemental vitamin ingestion does not affect the incidence of cardiovascular disease.
  • #28 Metabolic syndrome. Associated with central obesity (Chapter 9), this entity is characterized by insulin resis- tance, hypertension, dyslipidemia (elevated LDL and depressed HDL), hypercoagulability, and a proinflammatory state. The dyslipidemia, hyperglycemia, and hypertension are all cardiac risk factors, while the systemic hypercoagulable and proinflammatory state may contribute to endothelial dysfunction and/or thrombosis.
  • #29 Lipoprotein a [Lp(a)] is an altered form of LDL that contains the apolipoprotein B-100 portion of LDL linked to apolipoprotein A (apo A); Lp(a) levels are associated with coronary and cerebrovascular disease risk, independent of total cholesterol or LDL levels.
  • #31 Platelet-derived factors, as well as thrombin—through both its procoagulant and proinflammatory effects—are increasingly recognized as major contributors to vascular pathology.
  • #32 Other factors. Factors associated with a less pronounced and/or difficult-to-quantitate risk include lack of exercise; competitive, stressful life style (“type A” personality); and obesity (the latter also being complicated by hypertension, diabetes, hypertriglyceridemia, and decreased HDL).
  • #37 Figure 11-10 Evolution of arterial wall changes in the response to injury hypothesis. 1, Normal. 2, Endothelial injury with monocyte and platelet adhesion. 3, Monocyte and smooth muscle cell migration into the intima, with macrophage activation. 4, Macrophage and smooth muscle cell uptake of modified lipids, with further activation and recruitment of T cells. 5, Intimal smooth muscle cell proliferation with extracellular matrix production, forming a well-developed plaque.
  • #38 Hemodynamic Disturbances. The importance of hemodynamic turbulence in atherogenesis is illustrated by the observation that plaques tend to occur at ostia of exiting vessels, branch points, and along the posterior wall of the abdominal aorta, where there are disturbed flow patterns. In vitro studies have demonstrated that nonturbulent laminar flow leads to the induction of endothelial genes whose products (e.g., the antioxidant superoxide dismutase) actually protect against atherosclerosis. Such “atheroprotective” genes could explain the nonrandom localization of early atherosclerotic lesions.
  • #39 Lipids. Lipids are transported in the bloodstream bound to specific apoproteins (forming lipoprotein complexes). Dyslipoproteinemias are lipoprotein abnormalities that may be present in the general population (and indeed, are found in many myocardial infarction survivors) include (1) increased LDL cholesterol levels, (2) decreased HDL cholesterol levels, and (3) increased levels of the abnormal lipoprotein (a). These may result from mutations that lead to defects in apoproteins or lipoprotein receptors, or arise from other underlying disorders that affect circulating lipid levels, such as nephrotic syndrome, alcoholism, hypothyroidism, or diabetes mellitus. All of these abnormalities are associated with an increased risk of Atherosclerosis.
  • #40 1-The dominant lipids in atheromatous plaques are cholesterol and cholesterol esters. 2-Genetic defects in lipoprotein uptake and metabolism that cause hyperlipoproteinemia are associated with accelerated atherosclerosis. For example, familial hypercholesterolemia, caused by defective LDL receptors and inadequate hepatic LDL uptake (Chapter 5), can precipitate myocardial infarctions before age 20. Similarly, accelerated atherosclerosis occurs in animal models with engineered deficiencies in apolipoproteins or LDL receptors. 3-Other genetic or acquired disorders (e.g., diabetes mellitus, hypothyroidism) that cause hypercholesterolemia lead to premature atherosclerosis. 4-Epidemiologic analyses demonstrate a significant correlation between the severity of atherosclerosis and the levels of total plasma cholesterol or LDL. 5-Lowering serum cholesterol by diet or drugs slows the rate of progression of atherosclerosis, causes regression of some plaques, and reduces the risk of cardiovascular events.
  • #43 Figure 11-11 Sequence of cellular interactions in atherosclerosis. Hyperlipidemia, hyperglycemia, hypertension, and other influences cause endothelial dysfunction. This results in platelet adhesion and recruitment of circulating monocytes and T cells, with subsequent cytokine and growth factor release from inflammatory cells leading to smooth muscle cell migration and proliferation as well as further macrophage activation. Foam cells in atheromatous plaques derive from macrophages and smooth muscle cells that have accumulated modified lipids (e.g., oxidized and aggregated low density lipoprotein [LDL]) via scavenger and LDL-receptor-related proteins. Extracellular lipid is derived from insudation from the vessel lumen, particularly in the presence of hypercholesterolemia, as well as from degenerating foam cells. Cholesterol accumulation in the plaque reflects an imbalance between influx and efflux; high-density lipoprotein (HDL) likely helps clear cholesterol from these accumulations. In response to the elaborated cytokines and chemokines, smooth muscle cells migrate to the intima, proliferate, and produce extracellular matrix, including collagen and proteoglycans. IL-1, interleukin-1; MCP-1, monocyte chemoattractant protein-1.
  • #48 After understanding genesis and basic morphology, It’s time to define atherosclerosis.
  • #49 After understanding genesis and basic morphology, It’s time to define atheroma
  • #51 These were the theories during my UG days.
  • #60 Figure 11-12 Fatty streak, a collection of foamy macrophages (MØ) in the intima. A, Aorta with fatty streaks (arrows), associated largely with the ostia of branch vessels. B, Photomicrograph of fatty streak in an experimental hypercholesterolemic rabbit, demonstrating intimal, macrophage-derived foam cells (arrows). (B, Courtesy Myron I. Cybulsky, MD, University of Toronto, Canada.)
  • #62 Figure 11-12 Fatty streak, a collection of foamy macrophages in the intima. A, Aorta with fatty streaks (arrows), associated largely with the ostia of branch vessels. B, Photomicrograph of fatty streak in an experimental hypercholesterolemic rabbit, demonstrating intimal, macrophage-derived foam cells (arrows). (B, Courtesy Myron I. Cybulsky, MD, University of Toronto, Canada.)
  • #63 Atherosclerotic Plaque. The  key  processes  in  atherosclerosis are  intimal  thickening  and  lipid  accumulation,  which together  form  plaques  (Figs.  11-7,  11-10,  and  11-11). Atheromatous  plaques  are  white-yellow  and  encroach  on  the lumen  of  the  artery;  superimposed  thrombus  over  ulcerated plaques is red-brown. Plaques vary in size but can coalesce to form larger masses (Fig. 11-13).Atherosclerotic  lesions  are  patchy,  usually  involving  only  a  portion  of  any  given  arterial  wall  and  are  rarely  circumferential; on cross-section, the lesions therefore appear “eccentric” (see Fig.  11-14A).
  • #64 Figure 11-13 Gross views of atherosclerosis in the aorta. A, Mild atherosclerosis composed of fibrous plaques, one of which is denoted by the arrow. B, Severe disease with diffuse and complicated lesions including an ulcerated plaque (open arrow), and a lesion with overlying thrombus (closed arrow).
  • #68 Atherosclerotic plaques have three principal components: (1) smooth muscle cells, macrophages, and T cells; (2) extracellular matrix, including collagen, elastic fibers, and proteoglycans; and (3) intracellular and extracellular lipid (Fig. 11-14). These components occur in varying proportions and configurations in different lesions. Typically, there is a superficial fibrous cap composed of smooth muscle cells and relatively dense collagen. Beneath and to the side of the cap (the “shoulder”) is a more cellular area containing macrophages, T cells, and smooth muscle cells. Deep to the fibrous cap is a necrotic core, containing lipid (primarily cholesterol and cholesterol esters), debris from dead cells, foam cells (lipidladen macrophages and smooth muscle cells), fibrin, variably organized thrombus, and other plasma proteins; the cholesterol content is frequently present as crystalline aggregates that are washed out during routine tissue processing and leave behind only empty “clefts.” The periphery of the lesions demonstrate neovascularization (proliferating small blood vessels; Fig. 11-14C). Most atheromas contain abundant lipid, but some plaques (“fibrous plaques”) are composed almost exclusively of smooth muscle cells and fibrous tissue. Plaques generally continue to change and progressively enlarge through cell death and degeneration, synthesis and degradation (remodeling) of extracellular matrice, and organization of any superimposed thrombus. Moreover, atheromas often undergo calcification (Fig. 11-14C). Patients with advanced coronary calcification have increased risk for coronary events.
  • #70 Figure 11-14 Histologic features of atheromatous plaque in the coronary artery. A, Overall architecture demonstrating fibrous cap (F) and a central necrotic core (C) containing cholesterol and other lipids. The lumen (L) has been moderately compromised. Note that a segment of the wall is plaque free (arrow); the lesion is therefore “eccentric.” In this section, collagen has been stained blue (Masson trichrome stain). B, Higher-power photograph of a section of the plaque shown in A, stained for elastin (black), demonstrating that the internal and external elastic laminae are attenuated and the media of the artery is thinned under the most advanced plaque (arrow). C, Higher magnification photomicrograph at the junction of the fibrous cap and core, showing scattered inflammatory cells, calcification (arrowhead), and neovascularization (small arrows).
  • #71 Rupture, ulceration, or erosion  of  the  surface  of  atheromatous plaques  exposes  highly  thrombogenic  substances and leads to thrombosis, which may partially or completely occlude the vessel lumen (Fig. 11-15). If the patient survives, the  clot  may  become  organized  and  incorporated  into  the growing plaque.Hemorrhage into a plaque. Rupture of the overlying fibrous cap, or of the thin-walled vessels in the areas of neovascularization, can  cause  intraplaque  hemorrhage;  a  contained hematoma may expand the plaque or induce plaque rupture. Atheroembolism. Plaque rupture can discharge atherosclerotic debris into the bloodstream, producing microemboli. Aneurysm formation. Atherosclerosis-induced pressure or ischemic atrophy of the underlying media, with loss of elastic tissue, causes weakness and potential rupture.
  • #72 Figure 11-16 The natural history, morphologic features, main pathogenic events, and clinical complications of atherosclerosis.
  • #73 Figure 11-15 Atherosclerotic plaque rupture. A, Plaque rupture without superimposed thrombus, in a patient who died suddenly. B, Acute coronary thrombosis superimposed on an atherosclerotic plaque with focal disruption of the fibrous cap, triggering fatal myocardial infarction. In both A and B, an arrow points to the site of plaque rupture. (B, Reproduced from Schoen FJ: Interventional and Surgical Cardiovascular Patherosclerosisology: Clinical Correlations and Basic Principles. Philadelphia, WB Saunders, 1989, p 61.)
  • #74 Large elastic arteries (e.g., aorta, carotid, and iliac arteries) and large and medium-sized muscular arteries (e.g., coronary and Popliteal arteries) are the major targets of atherosclerosis. Symptomatic atherosclerotic disease most often involves the arteries supplying the heart, brain, kidneys, and lower extremities. Myocardial infarction (heart attack), cerebral infarction (stroke), aortic aneurysms, and peripheral vascular disease (gangrene of the legs) are the major consequences of atherosclerosis.
  • #76 Atherosclerotic Stenosis. In small arteries, atherosclerotic plaques can gradually occlude vessel lumina, compromisingblood flow and causing ischemic injury. At early stages of stenosis, outward remodeling of the vessel media tends to preserve the size of the lumen. However, there are limits on the extent of remodeling, and eventually the expanding atheroma impinges on the lumen to such a degree that blood flow is compromised. Critical stenosis is the stage at which the occlusion is sufficiently severe to produce tissue ischemia. In the coronary (and other) circulations, this typically occurs at when the occlusion produces a 70% decrease in luminal cross-sectional area; with this degree of stenosis, chest pain may develop with exertion (so-called stable angina; see Chapter 12). Although acute plaque rupture (see later) is the most dangerous consequence, atherosclerosis also takes a toll through chronically diminished arterial perfusion: mesenteric occlusion and bowel ischemia, sudden cardiac death, chronic ischemic heart disease, ischemic encephalopathy, and intermittent claudication (diminished perfusion of the extremities) are all consequences of flow-limiting stenoses. The effects of vascular occlusion ultimately depend on arterial supply and the metabolic demand of the affected tissue.
  • #77 Figure 11-17 Vulnerable and stable atherosclerotic plaque. Vulnerable plaques have thin fibrous caps, large lipid cores, and greater inflammation. Stable plaques have thickened and densely collagenous fibrous caps with minimal inflammation and underlying atheromatous core. (Adapted from Libby P: Circulation 91:2844, 1995.)
  • #78 Plaque changes fall into three general categories: Rupture/fissuring, exposing highly thrombogenic plaque constituents Erosion/ulceration, exposing the thrombogenic subendothelial basement membrane to blood Hemorrhage into the atheroma, expanding its volume It is now recognized that plaques that are responsible for myocardial infarction and other acute coronary syndromes are often asymptomatic before the acute change. Thus, pathologic and clinical studies show that the majority of plaques that undergo abrupt disruption and coronary occlusion previously showed only mild to moderate noncritical luminal stenosis. The worrisome conclusion is that a large number of now asymptomatic adults may be at risk for a catastrophic coronary event. Unfortunately, it is presently impossible to identify such individuals. Plaques rupture when they are unable to withstand mechanical stresses generated by vascular shear forces. The events that trigger abrupt changes in plaques and subsequent thrombosis are complex and include both intrinsic factors (e.g., plaque structure and composition) and extrinsic elements (e.g., blood pressure, platelet reactivity, vessel spasm). The composition of plaques is dynamic and can contribute to risk of rupture. Thus, plaques that contain large areas of foam cells and extracellular lipid, and those in which the fibrous caps are thin or contain few smooth muscle cells or have clusters of inflammatory cells, are more likely to rupture; these are referred to as “vulnerable plaques” (Fig. 11-17). The fibrous cap undergoes continuous remodeling that can stabilize the plaque, or conversely, render it more susceptible to rupture. Collagen is the major structural component of the fibrous cap, and accounts for its mechanical strength and stability. Thus, the balance of collagen synthesis versus degradation affects cap integrity. Collagen in atherosclerotic plaque is produced primarily by smooth muscle cells so that loss of these cells results in a less sturdy cap. Moreover, collagen turnover is controlled by metalloproteinases (MMPs), enzymes elaborated largely by macrophages and smooth muscle cells within the atheromatous plaque; conversely, tissue inhibitors of metalloproteinases (TIMPs) produced by endothelial cells, smooth muscle cells, and macrophages modulate MMP activity. In general, plaque inflammation results in a net increase in collagen degradation and reduced collagen synthesis, thereby destabilizing the mechanical integrity of the fibrous cap (see later). The inflammatiion induced by cholesterol deposits themselves may contribute to plaque destabilization. Conversely, statins may have a beneficial therapeutic effect not only by reducing circulating cholesterol levels, but also by stabilizing plaques through a reduction in plaque inflammation. Influences extrinsic to plaques also contribute to acute plaque changes. Thus, adrenergic stimulation can increase systemic blood pressure or induce local vasoconstriction, thereby increasing the physical stresses on a given plaque. Indeed, the adrenergic stimulation associated with wakening and rising can cause blood pressure spikes (followed by heightened platelet reactivity) that have been causally linked to the pronounced circadian periodicity for onset of acute MI (peaking between 6 AM and noon). Intense emotional stress can also contribute to plaque disruption; this is most dramatically illustrated by the uptick in the incidence of sudden death associated with natural or other disasters, such as earthquakes and the September 11, 2001, attack on the World Trade Center. It is also important to note that not all plaque ruptures result in occlusive thromboses with catastrophic consequences. Indeed, plaque disruption and an ensuing superficial platelet aggregation and thrombosis are probably common, repetitive, and often clinically silent complications of atheroma. Healing of these subclinical plaque disruptions—and resorption of their overlying thrombi— is an important mechanism in the growth of atherosclerotic lesions.
  • #79 Thrombosis. As mentioned earlier, partial or total thrombosis superimposed on a disrupted plaque is a central factor in acute coronary syndromes. In its most serious form, thrombosis leads to total occlusion of the affected vessel. In contrast, in other coronary syndromes (Chapter 12), luminal obstruction by the thrombus is incomplete,and may even wax and wane with time. Mural thrombi in a coronary artery can also embolize.Indeed, small embolic fragments of thrombus can often be found in the distal intramyocardial circulation or in association with microinfarcts in patients with atherosclerosis who die suddenly. Finally, thrombin and other factors associated with thrombosis are potent activators of smooth muscle cells and can thereby contribute to the growth of atherosclerotic lesions.
  • #80 Vasoconstriction compromises lumen size, and, by increasing the local mechanical forces, can potentiate plaque disruption. Vasoconstriction at sites of atheroma may be stimulated by (1) circulating adrenergic agonists, (2) locally released platelet contents, (3) endothelial cell dysfunction with impaired secretion of endothelialderived relaxing factors (nitric oxide) relative to contracting factors (endothelin), and (4) mediators released from perivascular inflammatory cells.
  • #95 In  descending  order,  the most extensively involved vessels are the lower abdominal aorta, the coronary arteries, the popliteal arteries, the internal carotid arteries, and the vessels of the circle of Willis. In  humans,  the abdominal aorta is typically involved to a much greater degree than  the  thoracic  aorta.  Vessels  of  the  upper  extremities  are  usually spared, as are the mesenteric and renal arteries, except their ostia. Although most individuals tend to have a consistent degree  of  atherosclerotic  burden  in  the  affected  vasculature, severity  of  disease  in  one  arterial  distribution  does  not always predict its severity in another.