Concepts
In
Molecular Biology

By
Ola Elgaddar
DNA
Deoxyribonucleic acid is a
nucleic acid that contains the
genetic instructions used in the
development and functioning of
all known living organisms
GENE
The fundamental physical and
functional unit of heredity,
which carries information from
one generation to the next; a
segment of DNA, composed of
a transcribed region and a
regulatory
sequence
that
makes transcription possible
CHROMOSOME
In the nucleus of each cell, the
DNA molecule is packaged
into
thread-like
structures
called chromosomes. Each
chromosome is made up of
DNA tightly coiled many times
around
proteins
called
histones that support its
structure
Locus & allele
• A locus is the specific location
of a gene or DNA sequence on a
chromosome.
• A variant of the DNA sequence
at a given locus is called an
allele. There could be two or
more forms, e.g., a gene for eye
color could be either brown or
blue.
Genetic trait
- A physical characteristic brought about
by the expression of a gene or
many genes.
-Examples of traits are height, eye color,...
- Variations in these characteristics are
dependent upon the particular alleles an
individual has for the genes determining
the trait.
(Eye color is the trait; with brown & green
alleles)
- Alleles are either dominant or recessive
Genotype / phenotype
Genotype: refers to the genetic traits in
an organism.
It is the genetic load that is copied every
time a cell divides, and therefore is
inherited down to the next generation.
It is something that is not seen
(ex. dominant, recessive)
Phenotype:
refers
to
observable,
physical characteristics of an organism.
phenotype are things that can be seen
(ex. colors, growth)
Homologous chromosomes
A pair of chromosomes that are
similar in size and shape and
also have genes that code for
the
same
traits
and
characteristics.
One homologous chromosome is
inherited from the father, the
other from the mother
Homozygous / Heterozygous
Cells whose chromosomes have
the same allele of a given gene
at some locus are called
homozygous with respect to
that gene, while those that have
different alleles of a given gene
at a locus, heterozygous with
respect to that gene.
Polymorphism
When alleles are so common that they
are found in more than 1% of
chromosomes in the general population,
the alleles constitute what is known as
genetic polymorphism.
Sources include SNPs, sequence
repeats, insertions, deletions and
recombination
Mutation
- Genetic mutations are a kind of genetic
polymorphism.
- The term "mutation," as opposed to
"polymorphism," is generally used to
refer to changes in DNA sequence which
are not present in most individuals of a
species and either have been associated
with disease (or risk of disease) or have
resulted from damage inflicted by
external agents (such as viruses or
radiation).
Sequence repeats
-A short tandem repeat (STR) in DNA
occurs when a pattern of two or more
nucleotides are repeated and the repeated
sequences are directly adjacent to each
other.
- The pattern can range in length from 2 to
50 base pairs (bp) (for example (CATG)n in
a genomic region) and is typically in the
non-coding intron region.
-A short tandem repeat polymorphism
(STRP) occurs when STR loci differ in the
number of repeats between individuals.
STR analysis has become the prevalent
analysis method for determining genetic
profiles in forensic cases. (DNA finger
Printing)
SNPs
-A SNP ("snip") is a single base
mutation in DNA.
- SNPs are the most simple form
and most common source of genetic
polymorphism in the human genome
(90% of all human DNA
polymorphisms).
DETECTION
OF
SNPs
1) DNA extraction
2) PCR

3) RFLP
1) DNA Extraction
-The release of genomic DNA
from white blood cells by cell
lysis
-Selective adsorption of genomic DNA to
a special spin column.
-Elution of the purified genomic DNA
2) PCR for the specific sequence
 Denaturation
Annealing
Extension
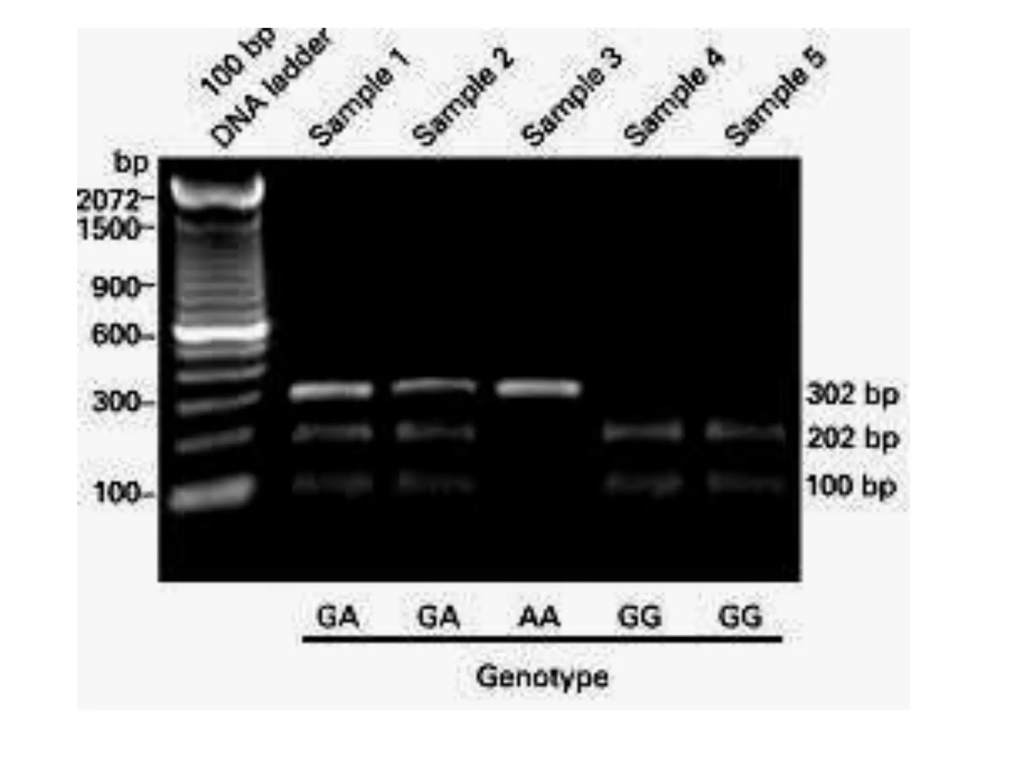
3) RFLP
Concepts in molecular biology
Concepts in molecular biology

Concepts in molecular biology

  • 1.
  • 2.
    DNA Deoxyribonucleic acid isa nucleic acid that contains the genetic instructions used in the development and functioning of all known living organisms
  • 4.
    GENE The fundamental physicaland functional unit of heredity, which carries information from one generation to the next; a segment of DNA, composed of a transcribed region and a regulatory sequence that makes transcription possible
  • 6.
    CHROMOSOME In the nucleusof each cell, the DNA molecule is packaged into thread-like structures called chromosomes. Each chromosome is made up of DNA tightly coiled many times around proteins called histones that support its structure
  • 10.
    Locus & allele •A locus is the specific location of a gene or DNA sequence on a chromosome. • A variant of the DNA sequence at a given locus is called an allele. There could be two or more forms, e.g., a gene for eye color could be either brown or blue.
  • 12.
    Genetic trait - Aphysical characteristic brought about by the expression of a gene or many genes. -Examples of traits are height, eye color,... - Variations in these characteristics are dependent upon the particular alleles an individual has for the genes determining the trait. (Eye color is the trait; with brown & green alleles) - Alleles are either dominant or recessive
  • 14.
    Genotype / phenotype Genotype:refers to the genetic traits in an organism. It is the genetic load that is copied every time a cell divides, and therefore is inherited down to the next generation. It is something that is not seen (ex. dominant, recessive) Phenotype: refers to observable, physical characteristics of an organism. phenotype are things that can be seen (ex. colors, growth)
  • 16.
    Homologous chromosomes A pairof chromosomes that are similar in size and shape and also have genes that code for the same traits and characteristics. One homologous chromosome is inherited from the father, the other from the mother
  • 17.
    Homozygous / Heterozygous Cellswhose chromosomes have the same allele of a given gene at some locus are called homozygous with respect to that gene, while those that have different alleles of a given gene at a locus, heterozygous with respect to that gene.
  • 19.
    Polymorphism When alleles areso common that they are found in more than 1% of chromosomes in the general population, the alleles constitute what is known as genetic polymorphism. Sources include SNPs, sequence repeats, insertions, deletions and recombination
  • 20.
    Mutation - Genetic mutationsare a kind of genetic polymorphism. - The term "mutation," as opposed to "polymorphism," is generally used to refer to changes in DNA sequence which are not present in most individuals of a species and either have been associated with disease (or risk of disease) or have resulted from damage inflicted by external agents (such as viruses or radiation).
  • 21.
    Sequence repeats -A shorttandem repeat (STR) in DNA occurs when a pattern of two or more nucleotides are repeated and the repeated sequences are directly adjacent to each other. - The pattern can range in length from 2 to 50 base pairs (bp) (for example (CATG)n in a genomic region) and is typically in the non-coding intron region.
  • 22.
    -A short tandemrepeat polymorphism (STRP) occurs when STR loci differ in the number of repeats between individuals. STR analysis has become the prevalent analysis method for determining genetic profiles in forensic cases. (DNA finger Printing)
  • 24.
    SNPs -A SNP ("snip")is a single base mutation in DNA. - SNPs are the most simple form and most common source of genetic polymorphism in the human genome (90% of all human DNA polymorphisms).
  • 26.
  • 27.
  • 28.
    1) DNA Extraction -Therelease of genomic DNA from white blood cells by cell lysis -Selective adsorption of genomic DNA to a special spin column. -Elution of the purified genomic DNA
  • 33.
    2) PCR forthe specific sequence  Denaturation Annealing Extension
  • 36.