By
Mahmoud E. Abou El-Magd
Assistant lecturer of pulmonary and critical care medicine
CHYLOTHORAX
&
CHYLOPTYSIS
INTRODUCTION
CHYLOTHORAX 2
• Chylothorax is by definition a collection of chyle in the
pleural cavity resulting from leakage from the lymphatic
vessels, usually from the thoracic duct.
• approximately 2.5 L of chyle is transported through the
lymphatic system every day .
ANATOMY
CHYLOTHORAX 3
• The thoracic duct is approximately 3-45 cm
long and 2-3 mm wide.
• This typical pathway occurs in only 65% of
the population due to embryological variation
which may include multiple thoracic duct
branches.
• The thoracic duct drains the cisterna chyli, in
which the lymph from the lower half of the body
and the abdominal cavity joins the chyle coming
from the intestinal trunk, forming a mixture also
referred to as chyle.
COURSE OF THORACIC DUCT
4CHYLOTHORAX
CHYLOTHORAX 5
• Chyle passes from the intestinal lymphatics to cisterna chyli and
then through the thoracic duct to eventually empty into the
venous system.
• The thoracic duct begins at the cisterna chyli near the T-12
vertebra and ascends through the aortic hiatus of the diaphragm
on the anterior surface of the vertebral body between the aorta
and the azygos vein into the posterior mediastinum.
• At the level of the fifth thoracic vertebra, it then crosses to the
left of the vertebral column and ascends behind the aortic arch
to the left of the subclavian artery adjacent to the mediastinal
pleura.
•
CHYLOTHORAX 6
• At the level of the transverse process of the seventh cervical
vertebra, the duct turns laterally and runs anterior to the
vertebral and thyrocervical arteries and the sympathetic trunk.
Passing behind the carotid sheath,
• it descends anterior to the origin of the left subclavian artery and
terminates near the junction of internal jugular and subclavian
veins.
• A bicuspid valve at the lymphovenous junction prevents the
reflux of blood into the duct.
CHYLOTHORAX 7
• This duct carries lymph from the entire
body, except from the right side of the
head, neck, chest, both lungs, and the
right upper extremity that empties into the
right lymphatic duct.
• There are extensive anastomotic vessels
present between various lymphatics, and
numerous lymphaticovenous
anastomoses between the thoracic duct
and the azygos, intercostals, and lumbar
veins.
• The richness of this collateral circulation
allows the safe ligation of the thoracic
duct at any level
CHYLOTHORAX 8
• This anatomy explains why a chylothorax is usually
right-sided, since the largest part of the duct is within
the right hemithorax, and this is also where it is most
easily damaged due to stretching.
• When the leakage from the duct occurs where it passes
over the mid-line, a bilateral chylothorax can occur .
• At the level of the aorta, the chyle tends to appear on
the left side
PHYSIOLOGY
CHYLOTHORAX 9
• The chyle formed in the cisterna chyli is an odourless, white, opaque liquid.
• Analysis of chyle reveals approximately 90% lymphocytes and most of the
lymphocytes in chyle are T-lymphocytes.
• white cell count of 2,000 to 10,000 cells per cubic millimeter, which generally
renders this fluid bacteriostatic.
• because it is bacteriostatic and non- irritating, it does not cause
fibrothorax.
CHYLOTHORAX 10
• The primary role of the thoracic duct is to carry 60-70% of
ingested fat at a concentration of 0.5-6 g/dl from the intestine to
the circulatory system.
• As a result chyle contains large amounts of cholesterol,
triglycerides, chylomicrons and fat soluble vitamins.
• Lymph is the other main constituent of chyle and is made up of
immunoglobulins, enzymes .
PATHO-PHYSIOLOGY
CHYLOTHORAX 11
• When the duct starts to leak, a collection of chyle below the pleura, a
"chyloma", is at first formed but is only rarely seen clinically,.
• The formation of a "chyloma" can be a very dramatic clinical event, with
acute chest pain causing dyspnoea and tachycardia suggesting myocardial
infarction or pulmonary embolism. Such episodes seem to occur particularly
after traumatic rupture of the thoracic duct. Soon the pleura ruptures and the
chylus collects in the pleural space.
• There are some rare variations, for instance chylomediastinum, where the
chylus collects in the mediastinum without breaking through the pleura , or
chylopericardium, where it empties into the pericardial sac
CHYLOTHORAX 12
• Above the diaphragm an extrinsic obstruction or an infiltration of
the thoracic duct causes an increase in back pressure. This
elevated pressure promotes dilation of collateral channels and
renders lymphatic valves incompetent, which produces
regurgitant flow of chyle.
• seepage may occur through erosion or perforation of a
diseased thoracic duct or one of its tributaries into the
mediastinum. Mediastinal chyle then penetrates the mediastinal
pleura, producing a chylothorax; alternatively, leakage may
occur directly into the pleural space from the dilated
intrapulmonary lymphatics because of the regurgitant flow from
the broncho-mediastinal trunk or posterior intercostal
lymphatics.
CHYLOTHORAX 13
CHYLOTHORAX 14
CHYLOTHORAX 15
CHYLOTHORAX 16
• Traumatic cases can be further sub-classified as iatrogenic or
non-iatrogenic (20% of traumatic cases) with rupture even
described after coughing or vomiting episodes.
• Other iatrogenic traumatic causes include thoracic duct damage
following subclavian vein catheterisation and duct blockage due
to central venous catheterisation related venous thrombosis.
• Thoracic duct obstruction due to malignancy is the commonest
cause of non-traumatic chylothorax. Lymphoma is found in 70%
of cases (non-Hodgkin’s>Hodgkin’s). , Chylothorax can be the
first symptom of the lymphoma, and definite diagnosis is
sometimes not made until months or years later.
CHYLOTHORAX 17
• Mediastinal lymphadenopathy may compress the lymphatic
vessels preventing drainage of lymph from the lung periphery
resulting in extravasion of chyle in to the pleural space.
• Pulmonary lymphangioleomyomatosis is characterised by
proliferation of immature smooth muscle throughout the
peribronchial, perivascular, and perilymphatic region. It occurs
primarily in women of reproductive age and the perilymphatic
proliferation of smooth muscle results in lymphatic obstruction
and chylothorax in up to 50% of the patients.
CHYLOTHORAX 18
• A chylothorax may develop acutely without an underlying cause
and is referred to as spontaneous chylothorax.
• Idiopathic chylothorax is uncommon and comprises cases where
no underlying cause can be found.
• A sudden increase in duct pressure from coughing, especially
after a heavy meal when the duct is engorged, may be a
contributory factor.
CHYLOTHORAX 19
CHYLOTHORAX 20
• Respiratory difficulty as the pleural space fills with fluid.
• Patients may experience malnutrition due to the loss of protein, fats and
vitamins. Electrolyte loss can result in hyponatraemia and hypocalcaemia.
• Significant loss of immunoglobulins, T lymphocytes and proteins into the
pleural space results in immunosuppression.
• This immunosuppression predisposes the patient to opportunistic infections
although this almost never occurs in the effusion itself as chyle is
bacteriostatic.
• Drugs such as digoxin and amiodarone may become sub therapeutic as they
are lost through the leaking chyle.
CHYLOTHORAX 21
• The effusion may be unilateral, either right (50%) or left sided (33.3%), or
bilateral (16.66%) and is dependent on the location of the leak.
• Damage to the duct above the fifth thoracic vertebra results in a left sided
effusion whereas damage to the duct below this level leads to a right sided
effusion.
• Unusually rapid postoperative filling of the pneumonectomy space with fluid,
and mediastinal shift to the contralateral side ("tension chylothorax") are
suggestive radiographic findings
• Typically, thoracocentesis obtains a milky fluid, but this is seen in only about
half of all cases . Patients who are fasting (e.g., peri- or postoperative
patients) , so the effusion may appear serous or clear, or, after trauma, it
may be tinged with blood .
PSEUDOCHYLOTHORAX
CHYLOTHORAX 22
• A milky or creamy pleural fluid appearance may also be seen
in pleural empyema or so-called pseudochylothorax,
• Pseudochylothorax develops when an exudative effusion
remains in the pleural space for a long period of time (often
years) gradually becoming enriched with cholesterol.
• The most common aetiologies include tuberculous pleurisy,
chronic pneumothorax, rheumatoid pleurisy, poorly evacuated
empyema and chronic haemothorax.
CHYLOTHORAX 23
• turbidity is the result of high levels of cholesterol and not
chylomicrons. The effusion is usually of longstanding duration
and may cause thickened and even calcified pleura.
• The presence of cholesterol crystals in the fluid is diagnostic of
pseudochylothorax, and chylomicrons are never present on
lipoprotein analysis.
• Both chylous and pseudochylous fluid remain opaque after
centrifugation.
• whenever there is any doubt, the fluid should be analysed for
chylomicrons.
CHYLOTHORAX 24
CHYLOTHORAX 25
CHYLOTHORAX 26
• Investigation of suspected chylothorax begins with the
confirmation of the diagnosis by fluid analysis.
• identification of the leakage point where possible.
• In non-traumatic cases CT abdomen and thorax should be
performed given the strong association with malignancy . This
may demonstrate evidence of tumour or lymphadenopathy.
• Lymphangiography may be used to demonstrate the site of
leakage or blockage.
CHYLOTHORAX 27
• Chylothorax can be differentiated from empyema by performing
centrifugation where the fluid remains uniform unlike the clear
supernatant that develops in empyema.
• Chylothorax can be differentiated from pseudochylothorax by
adding 1-2 ml of ethylether. The milky appearance disappears in
pseudochylothorax.
• The exact diagnosis of chylothorax is based on the presence of
chylomicrons in the pleural fluid.
CHYLOTHORAX 28
• Chylomicrons are molecular complexes of proteins and lipids
that are synthesised in the jejunum and transported via the
thoracic duct to the circulation.
• They are only found in the circulation postprandially with a peak
3 h after eating.
• In centres with available facilities. lipoprotein analysis
demonstrating chylomicrons is the gold standard. Where this
facility is not available, institutions rely on the measurement of
fluid cholesterol and triglyceride levels.
CHYLOTHORAX 29
• Staats et al. introduced criteria for the biochemical diagnosis of chylothorax
in 1980.They noted that a pleural fluid triglyceride of >110 mg/dl had a 1%
chance of being non-chylous and that a triglyceride of <50 mg/dl had a 5%
chance of being chylous.
• As a result, pleural fluid triglyceride levels> 110 mg/dl with a cholesterol< 200
mg/dl is diagnostic of chylothorax.
• A triglyceride level < 50 mg/dl with a cholesterol> 200 mg/dl is found in
pseudochylothorax. Cholesterol crystals are also often seen in this
condition.
• A triglyceride level can be low in fasting patients .
• triglyceride concentration <50 mg/dL almost rules out chylothorax.
CHYLOTHORAX 30
• Chyle is also alkaline with a specific gravity of greater than 1.012 and will
settle on standing with a fat-rich portion on the top and a cellular sediment on
the bottom.
• In cases where the triglyceride level is above the criteria set for
pseudochylothorax but below those for chylothorax (55-110 mg/dl),
lipoprotein analysis is required to confirm or exclude a diagnosis of
chylothorax.
• A fluid to serum cholesterol ratio<1 and triglyceride ratio>1 are also found in
chylothorax.
• Most cases of chylothorax are exudative (high protein, low lactate
dehydrogenase [LDH]), but in about 25% of cases it can be transudative.
CHYLOTHORAX 31
• Typical chylus effusions are lymphocyte predominant - protein
discordant exudates with triglyceride levels> 110 mg/dl and presence
of chylomicrons .
• transudative chylothoraces have been described in cirrhosis and
nephrotic syndrome.
• Cirrhosis related chylothorax results from ascites induced raised
intra-abdominal pressure leading to functional obstruction of the
thoracic duct.
• Other well described causes of transudative chylous effusion include
radiotherapy for Hodgkin’s disease, cardiac failure and constrictive
pericarditis.
CHYLOTHORAX 32
• Basically, a leak can be located non-invasively using
radionuclides or magnetic resonance imaging .
• Lymphography can also demonstrate a leak, but as the only
invasive procedure is rarely indicated nowadays
CHYLOTHORAX 33
• Radionuclide lymphoscintigram
and contrast lymphangiogram
demonstrating a leak in the left
upper mediastinum.
CHYLOTHORAX 34
CHYLOTHORAX 35
• patient who persistently loses chyle will be losing considerable
amounts of fat and fat-soluble vitamins, proteins (chyle
contains 12–60 g/L, depending on nutritional intake),
electrolytes, immunoglobulins, and T-lymphocytes, with resulting
malnutrition, weight loss, and an impaired immune system
• After only 8 days of T-cell depletion due to external chyle
drainage, patients are already at risk of septicemia .
CONSERVATIVE TREATMENT
CHYLOTHORAX 36
• The cornerstones of treatment are adequate fluid and
electrolyte replacement along with appropriate nutrition.
• treatment of the underlying disease, or clinical symptoms are
present that only require occasional aspiration.
• Repeated thoracocentesis is usually only performed when
improvement is expected from short-term , Otherwise, in
patients with high-volume or, especially, symptomatic
chylothorax, continuous drainage is put in place to allow the
lung to re-expand and to optimize pulmonary function
CHYLOTHORAX 37
• complete parenteral nutrition has in many places become
established as the first step
• Generally, the success rate of conservative treatment ranges
from 16% to more than 75%
• at output rates of more than 1000 mL/day, the success rate of
conservative treatment is low
• Chest tube drainage of less than 500 mL during the first 24
hours aftar complete oral intake cessation and total parenteral
nutrition may predict successful conservative treatment.
CHYLOTHORAX 38
CHYLOTHORAX 39
SOMATOSTATIN
• Neither chylothorax as an indication nor the dose, method, and duration of
drug administration have been confirmed or standardized in pro -spective
studies .
• If a drain output that has previously remained unchanged halves within 48
hours of the start of additional octreotide administration, this suggests that the
reatment is working and the drug should therefore be continued .
• Somatostatin is an inhibitor of gastric, pancreatic, and intestinal secretions,
thereby helping to keep the gastrointestinal tract empty, which in turn
decreases the chyle production.
CHYLOTHORAX 40
OCTREOTIDE
o Octreotide is an analog of somatostatin but longer half-life, it
offers a subcutaneous as well as intravenous route of
administration
o 50 mcg SC q8hr initially; titrate up to 500 mcg SC q8hr if
necessary .
o It also suppresses gastrointestinal hormones including gastrin,
motilin, secretin, and pancreatic polypeptide as well as
decreasing splanchnic blood flow.
o Octreotide is a potent inhibitor of insulin.
CHYLOTHORAX 41
• Primary side effects include suppression of GIT motility and
secretion (loose stools, malabsorption, nausea and flatulance).
• Other side effects such as cutaneous flush, transient
hypothyroidism, elevated liver function tests .
CHYLOTHORAX 42
CHYLOTHORAX 43
• Midodrine (ProAmatine) is a readily available, oral, selective
alpha adrenergic drug used in treating orthostatic and
hemodialysis induced hypotension
• Case reports suggest Etilefrine as an adjunct treatment of
postoperative chyle leaks.
• Etilefrine is a sympathomimetic drug with αlpha and β
adrenergic properties used to treat postural hypotension. which
cause smooth-muscle contraction, resulting in reduced
diameter of the lymphatic vessels. may lead to decreased chyle
flow and augment spontaneous closure of the chyle leaks.
CHYLOTHORAX 44
CHYLOTHORAX 45
CHYLOTHORAX 46
CHYLOTHORAX 47
SURGICAL TREATMENT
CHYLOTHORAX 48
Operative treatment was and is regarded as indicated when :
●More than 1000–1500 mL chyle is being drained every day .
●For 5 treatment days drain output is up to 1000 mL/day.
●A leak persists for more than 2 weeks (100 mL/day >2 weeks)
●Clinical deterioration occurs, e.g., malnutrition or metabolic
problems
CHYLOTHORAX 49
PLEURODESIS
CHYLOTHORAX 50
• If an operation has failed, or if thoracic duct ligation does not
appear feasible or worthwhile, pleurodesis may heal the
chylothorax .
• Pleurodesis also offers a treatment option when a malignant
tumor is the cause of the chylothorax.
• It must be borne in mind that pleurodesis can only be
successful in patients with expandable lungs (i.e., nontrapped
lungs)
CHYLOTHORAX 51
CHYLOTHORAX 52
INTERVENTIONAL RADIOLOGY
CHYLOTHORAX 53
• Today there are several radiological treatments that can be used
in both traumatic and non-traumatic chylothorax .
• Much more experience is available for percutaneous
embolization of the thoracic duct , which can be performed as
an alternative to thoracic duct ligation and can be performed in
both adults and children .
• Embolization has a much higher success rate: if the thoracic
duct can be intubated successfully, the procedure is successful
in well over 90% of cases
CHYLOTHORAX 54
CHYLOTHORAX 55
CHYLOTHORAX 56
CHYLOTHORAX 57
CHYLOTHORAX 58
CHYLOTHORAX 59
CHYLOTHORAX 60
CHYLOTHORAX 61
CHYLOTHORAX 62
• Chyloptysis is expectoration of milky-white sputum rich in chyle
• Chyloptysis is a rare finding, and the accompanying respiratory symptoms
are usually nonspecific. The recognition of the chylous nature of the sputum
is requisite for proper diagnosis, especially if chyloptysis is not accompanied
by chylous pleural effusion.
• The key to the differential diagnosis of chyloptysis is to consider illnesses
that can induce reflux of chyle into the bronchial tree.
• There are two mechanisms postulated: the first requires the presence of an
abnormal communication between the bronchial tree and the lymphatic
channels, and the second requires a bronchopleural fistula in the context of
a chylous pleural effusion.
CHYLOTHORAX 63
• Chyloptysis can also occur if the thoracic duct is not patent from
agenesis, tumor obstruction, or trauma.
• When the peribronchial lymphatics are subjected to a circulatory
overload of chyle plus lymph fluid from the lungs, the
overloaded peribronchial pulmonary lymphatics become dilated
and engorged.
• may herniate through the bronchial mucosa and may rupture
into the bronchial lumen producing chyloptysis.
DIFFERENTIAL DIAGNOSIS OF
ISOLATED CHYLOPTYSIS
CHYLOTHORAX 64
CHYLOTHORAX 65
• The production of chylous sputum may be intermittent and is not
always postprandial, nor is it always associated with fatty food
intake.
• Aside from cholesterol and triglyceride determination, lipoprotein
electrophoresis may be of value in confirming the chylous
nature of the sputum
SPECIMEN HANDLING IN SUSPECTED
CHYLOPTYSIS
CHYLOTHORAX 66
• Collect specimen in early morning
• Photograph sample if possible
• Sputum in sample container should be put in “wet ice”
• Order cholesterol, triglyceride, and lipoprotein
electrophoresis if available
• Notify laboratory that specimen is coming , Run the
analysis as soon as possible
CHYLOTHORAX 67
CHYLOTHORAX 68
CHYLOTHORAX 69
• The most frequent causes of chylothorax today are surgery and
tumors.
• Clinically, chylothorax manifests non-specifically as a pleural
effusion, typically with a triglyceride content of over 110 mg/dL.
The diagnosis is confirmed by demonstrating the presence of
chylomicrons in the aspirate.
• As a rule, conservative treatment is tried first. The aim is to
bring about spontaneous closure of a lymph leak by reducing
the flow of lymph
CHYLOTHORAX 70
• If conservative treatment fails, the next option to consider is
surgery. This may be in the form of, for example, thoracic duct
ligation, pleurodesis, or placement of a pleuroperitoneal shunt.
• Other alternatives available today are interventional radiological
procedures such as percutaneous thoracic duct embolization.
• Individual case management is determined by the clinical
situation and local availability of the various treatment options,
since no prospective studies are available as a basis for
guidance
CHYLOTHORAX 71
Chylothorax and chyloptysis

Chylothorax and chyloptysis

  • 1.
    By Mahmoud E. AbouEl-Magd Assistant lecturer of pulmonary and critical care medicine CHYLOTHORAX & CHYLOPTYSIS
  • 2.
    INTRODUCTION CHYLOTHORAX 2 • Chylothoraxis by definition a collection of chyle in the pleural cavity resulting from leakage from the lymphatic vessels, usually from the thoracic duct. • approximately 2.5 L of chyle is transported through the lymphatic system every day .
  • 3.
    ANATOMY CHYLOTHORAX 3 • Thethoracic duct is approximately 3-45 cm long and 2-3 mm wide. • This typical pathway occurs in only 65% of the population due to embryological variation which may include multiple thoracic duct branches. • The thoracic duct drains the cisterna chyli, in which the lymph from the lower half of the body and the abdominal cavity joins the chyle coming from the intestinal trunk, forming a mixture also referred to as chyle.
  • 4.
    COURSE OF THORACICDUCT 4CHYLOTHORAX
  • 5.
    CHYLOTHORAX 5 • Chylepasses from the intestinal lymphatics to cisterna chyli and then through the thoracic duct to eventually empty into the venous system. • The thoracic duct begins at the cisterna chyli near the T-12 vertebra and ascends through the aortic hiatus of the diaphragm on the anterior surface of the vertebral body between the aorta and the azygos vein into the posterior mediastinum. • At the level of the fifth thoracic vertebra, it then crosses to the left of the vertebral column and ascends behind the aortic arch to the left of the subclavian artery adjacent to the mediastinal pleura. •
  • 6.
    CHYLOTHORAX 6 • Atthe level of the transverse process of the seventh cervical vertebra, the duct turns laterally and runs anterior to the vertebral and thyrocervical arteries and the sympathetic trunk. Passing behind the carotid sheath, • it descends anterior to the origin of the left subclavian artery and terminates near the junction of internal jugular and subclavian veins. • A bicuspid valve at the lymphovenous junction prevents the reflux of blood into the duct.
  • 7.
    CHYLOTHORAX 7 • Thisduct carries lymph from the entire body, except from the right side of the head, neck, chest, both lungs, and the right upper extremity that empties into the right lymphatic duct. • There are extensive anastomotic vessels present between various lymphatics, and numerous lymphaticovenous anastomoses between the thoracic duct and the azygos, intercostals, and lumbar veins. • The richness of this collateral circulation allows the safe ligation of the thoracic duct at any level
  • 8.
    CHYLOTHORAX 8 • Thisanatomy explains why a chylothorax is usually right-sided, since the largest part of the duct is within the right hemithorax, and this is also where it is most easily damaged due to stretching. • When the leakage from the duct occurs where it passes over the mid-line, a bilateral chylothorax can occur . • At the level of the aorta, the chyle tends to appear on the left side
  • 9.
    PHYSIOLOGY CHYLOTHORAX 9 • Thechyle formed in the cisterna chyli is an odourless, white, opaque liquid. • Analysis of chyle reveals approximately 90% lymphocytes and most of the lymphocytes in chyle are T-lymphocytes. • white cell count of 2,000 to 10,000 cells per cubic millimeter, which generally renders this fluid bacteriostatic. • because it is bacteriostatic and non- irritating, it does not cause fibrothorax.
  • 10.
    CHYLOTHORAX 10 • Theprimary role of the thoracic duct is to carry 60-70% of ingested fat at a concentration of 0.5-6 g/dl from the intestine to the circulatory system. • As a result chyle contains large amounts of cholesterol, triglycerides, chylomicrons and fat soluble vitamins. • Lymph is the other main constituent of chyle and is made up of immunoglobulins, enzymes .
  • 11.
    PATHO-PHYSIOLOGY CHYLOTHORAX 11 • Whenthe duct starts to leak, a collection of chyle below the pleura, a "chyloma", is at first formed but is only rarely seen clinically,. • The formation of a "chyloma" can be a very dramatic clinical event, with acute chest pain causing dyspnoea and tachycardia suggesting myocardial infarction or pulmonary embolism. Such episodes seem to occur particularly after traumatic rupture of the thoracic duct. Soon the pleura ruptures and the chylus collects in the pleural space. • There are some rare variations, for instance chylomediastinum, where the chylus collects in the mediastinum without breaking through the pleura , or chylopericardium, where it empties into the pericardial sac
  • 12.
    CHYLOTHORAX 12 • Abovethe diaphragm an extrinsic obstruction or an infiltration of the thoracic duct causes an increase in back pressure. This elevated pressure promotes dilation of collateral channels and renders lymphatic valves incompetent, which produces regurgitant flow of chyle. • seepage may occur through erosion or perforation of a diseased thoracic duct or one of its tributaries into the mediastinum. Mediastinal chyle then penetrates the mediastinal pleura, producing a chylothorax; alternatively, leakage may occur directly into the pleural space from the dilated intrapulmonary lymphatics because of the regurgitant flow from the broncho-mediastinal trunk or posterior intercostal lymphatics.
  • 13.
  • 14.
  • 15.
  • 16.
    CHYLOTHORAX 16 • Traumaticcases can be further sub-classified as iatrogenic or non-iatrogenic (20% of traumatic cases) with rupture even described after coughing or vomiting episodes. • Other iatrogenic traumatic causes include thoracic duct damage following subclavian vein catheterisation and duct blockage due to central venous catheterisation related venous thrombosis. • Thoracic duct obstruction due to malignancy is the commonest cause of non-traumatic chylothorax. Lymphoma is found in 70% of cases (non-Hodgkin’s>Hodgkin’s). , Chylothorax can be the first symptom of the lymphoma, and definite diagnosis is sometimes not made until months or years later.
  • 17.
    CHYLOTHORAX 17 • Mediastinallymphadenopathy may compress the lymphatic vessels preventing drainage of lymph from the lung periphery resulting in extravasion of chyle in to the pleural space. • Pulmonary lymphangioleomyomatosis is characterised by proliferation of immature smooth muscle throughout the peribronchial, perivascular, and perilymphatic region. It occurs primarily in women of reproductive age and the perilymphatic proliferation of smooth muscle results in lymphatic obstruction and chylothorax in up to 50% of the patients.
  • 18.
    CHYLOTHORAX 18 • Achylothorax may develop acutely without an underlying cause and is referred to as spontaneous chylothorax. • Idiopathic chylothorax is uncommon and comprises cases where no underlying cause can be found. • A sudden increase in duct pressure from coughing, especially after a heavy meal when the duct is engorged, may be a contributory factor.
  • 19.
  • 20.
    CHYLOTHORAX 20 • Respiratorydifficulty as the pleural space fills with fluid. • Patients may experience malnutrition due to the loss of protein, fats and vitamins. Electrolyte loss can result in hyponatraemia and hypocalcaemia. • Significant loss of immunoglobulins, T lymphocytes and proteins into the pleural space results in immunosuppression. • This immunosuppression predisposes the patient to opportunistic infections although this almost never occurs in the effusion itself as chyle is bacteriostatic. • Drugs such as digoxin and amiodarone may become sub therapeutic as they are lost through the leaking chyle.
  • 21.
    CHYLOTHORAX 21 • Theeffusion may be unilateral, either right (50%) or left sided (33.3%), or bilateral (16.66%) and is dependent on the location of the leak. • Damage to the duct above the fifth thoracic vertebra results in a left sided effusion whereas damage to the duct below this level leads to a right sided effusion. • Unusually rapid postoperative filling of the pneumonectomy space with fluid, and mediastinal shift to the contralateral side ("tension chylothorax") are suggestive radiographic findings • Typically, thoracocentesis obtains a milky fluid, but this is seen in only about half of all cases . Patients who are fasting (e.g., peri- or postoperative patients) , so the effusion may appear serous or clear, or, after trauma, it may be tinged with blood .
  • 22.
    PSEUDOCHYLOTHORAX CHYLOTHORAX 22 • Amilky or creamy pleural fluid appearance may also be seen in pleural empyema or so-called pseudochylothorax, • Pseudochylothorax develops when an exudative effusion remains in the pleural space for a long period of time (often years) gradually becoming enriched with cholesterol. • The most common aetiologies include tuberculous pleurisy, chronic pneumothorax, rheumatoid pleurisy, poorly evacuated empyema and chronic haemothorax.
  • 23.
    CHYLOTHORAX 23 • turbidityis the result of high levels of cholesterol and not chylomicrons. The effusion is usually of longstanding duration and may cause thickened and even calcified pleura. • The presence of cholesterol crystals in the fluid is diagnostic of pseudochylothorax, and chylomicrons are never present on lipoprotein analysis. • Both chylous and pseudochylous fluid remain opaque after centrifugation. • whenever there is any doubt, the fluid should be analysed for chylomicrons.
  • 24.
  • 25.
  • 26.
    CHYLOTHORAX 26 • Investigationof suspected chylothorax begins with the confirmation of the diagnosis by fluid analysis. • identification of the leakage point where possible. • In non-traumatic cases CT abdomen and thorax should be performed given the strong association with malignancy . This may demonstrate evidence of tumour or lymphadenopathy. • Lymphangiography may be used to demonstrate the site of leakage or blockage.
  • 27.
    CHYLOTHORAX 27 • Chylothoraxcan be differentiated from empyema by performing centrifugation where the fluid remains uniform unlike the clear supernatant that develops in empyema. • Chylothorax can be differentiated from pseudochylothorax by adding 1-2 ml of ethylether. The milky appearance disappears in pseudochylothorax. • The exact diagnosis of chylothorax is based on the presence of chylomicrons in the pleural fluid.
  • 28.
    CHYLOTHORAX 28 • Chylomicronsare molecular complexes of proteins and lipids that are synthesised in the jejunum and transported via the thoracic duct to the circulation. • They are only found in the circulation postprandially with a peak 3 h after eating. • In centres with available facilities. lipoprotein analysis demonstrating chylomicrons is the gold standard. Where this facility is not available, institutions rely on the measurement of fluid cholesterol and triglyceride levels.
  • 29.
    CHYLOTHORAX 29 • Staatset al. introduced criteria for the biochemical diagnosis of chylothorax in 1980.They noted that a pleural fluid triglyceride of >110 mg/dl had a 1% chance of being non-chylous and that a triglyceride of <50 mg/dl had a 5% chance of being chylous. • As a result, pleural fluid triglyceride levels> 110 mg/dl with a cholesterol< 200 mg/dl is diagnostic of chylothorax. • A triglyceride level < 50 mg/dl with a cholesterol> 200 mg/dl is found in pseudochylothorax. Cholesterol crystals are also often seen in this condition. • A triglyceride level can be low in fasting patients . • triglyceride concentration <50 mg/dL almost rules out chylothorax.
  • 30.
    CHYLOTHORAX 30 • Chyleis also alkaline with a specific gravity of greater than 1.012 and will settle on standing with a fat-rich portion on the top and a cellular sediment on the bottom. • In cases where the triglyceride level is above the criteria set for pseudochylothorax but below those for chylothorax (55-110 mg/dl), lipoprotein analysis is required to confirm or exclude a diagnosis of chylothorax. • A fluid to serum cholesterol ratio<1 and triglyceride ratio>1 are also found in chylothorax. • Most cases of chylothorax are exudative (high protein, low lactate dehydrogenase [LDH]), but in about 25% of cases it can be transudative.
  • 31.
    CHYLOTHORAX 31 • Typicalchylus effusions are lymphocyte predominant - protein discordant exudates with triglyceride levels> 110 mg/dl and presence of chylomicrons . • transudative chylothoraces have been described in cirrhosis and nephrotic syndrome. • Cirrhosis related chylothorax results from ascites induced raised intra-abdominal pressure leading to functional obstruction of the thoracic duct. • Other well described causes of transudative chylous effusion include radiotherapy for Hodgkin’s disease, cardiac failure and constrictive pericarditis.
  • 32.
    CHYLOTHORAX 32 • Basically,a leak can be located non-invasively using radionuclides or magnetic resonance imaging . • Lymphography can also demonstrate a leak, but as the only invasive procedure is rarely indicated nowadays
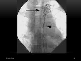
  • 33.
    CHYLOTHORAX 33 • Radionuclidelymphoscintigram and contrast lymphangiogram demonstrating a leak in the left upper mediastinum.
  • 34.
  • 35.
    CHYLOTHORAX 35 • patientwho persistently loses chyle will be losing considerable amounts of fat and fat-soluble vitamins, proteins (chyle contains 12–60 g/L, depending on nutritional intake), electrolytes, immunoglobulins, and T-lymphocytes, with resulting malnutrition, weight loss, and an impaired immune system • After only 8 days of T-cell depletion due to external chyle drainage, patients are already at risk of septicemia .
  • 36.
    CONSERVATIVE TREATMENT CHYLOTHORAX 36 •The cornerstones of treatment are adequate fluid and electrolyte replacement along with appropriate nutrition. • treatment of the underlying disease, or clinical symptoms are present that only require occasional aspiration. • Repeated thoracocentesis is usually only performed when improvement is expected from short-term , Otherwise, in patients with high-volume or, especially, symptomatic chylothorax, continuous drainage is put in place to allow the lung to re-expand and to optimize pulmonary function
  • 37.
    CHYLOTHORAX 37 • completeparenteral nutrition has in many places become established as the first step • Generally, the success rate of conservative treatment ranges from 16% to more than 75% • at output rates of more than 1000 mL/day, the success rate of conservative treatment is low • Chest tube drainage of less than 500 mL during the first 24 hours aftar complete oral intake cessation and total parenteral nutrition may predict successful conservative treatment.
  • 38.
  • 39.
    CHYLOTHORAX 39 SOMATOSTATIN • Neitherchylothorax as an indication nor the dose, method, and duration of drug administration have been confirmed or standardized in pro -spective studies . • If a drain output that has previously remained unchanged halves within 48 hours of the start of additional octreotide administration, this suggests that the reatment is working and the drug should therefore be continued . • Somatostatin is an inhibitor of gastric, pancreatic, and intestinal secretions, thereby helping to keep the gastrointestinal tract empty, which in turn decreases the chyle production.
  • 40.
    CHYLOTHORAX 40 OCTREOTIDE o Octreotideis an analog of somatostatin but longer half-life, it offers a subcutaneous as well as intravenous route of administration o 50 mcg SC q8hr initially; titrate up to 500 mcg SC q8hr if necessary . o It also suppresses gastrointestinal hormones including gastrin, motilin, secretin, and pancreatic polypeptide as well as decreasing splanchnic blood flow. o Octreotide is a potent inhibitor of insulin.
  • 41.
    CHYLOTHORAX 41 • Primaryside effects include suppression of GIT motility and secretion (loose stools, malabsorption, nausea and flatulance). • Other side effects such as cutaneous flush, transient hypothyroidism, elevated liver function tests .
  • 42.
  • 43.
    CHYLOTHORAX 43 • Midodrine(ProAmatine) is a readily available, oral, selective alpha adrenergic drug used in treating orthostatic and hemodialysis induced hypotension • Case reports suggest Etilefrine as an adjunct treatment of postoperative chyle leaks. • Etilefrine is a sympathomimetic drug with αlpha and β adrenergic properties used to treat postural hypotension. which cause smooth-muscle contraction, resulting in reduced diameter of the lymphatic vessels. may lead to decreased chyle flow and augment spontaneous closure of the chyle leaks.
  • 44.
  • 45.
  • 46.
  • 47.
  • 48.
    SURGICAL TREATMENT CHYLOTHORAX 48 Operativetreatment was and is regarded as indicated when : ●More than 1000–1500 mL chyle is being drained every day . ●For 5 treatment days drain output is up to 1000 mL/day. ●A leak persists for more than 2 weeks (100 mL/day >2 weeks) ●Clinical deterioration occurs, e.g., malnutrition or metabolic problems
  • 49.
  • 50.
    PLEURODESIS CHYLOTHORAX 50 • Ifan operation has failed, or if thoracic duct ligation does not appear feasible or worthwhile, pleurodesis may heal the chylothorax . • Pleurodesis also offers a treatment option when a malignant tumor is the cause of the chylothorax. • It must be borne in mind that pleurodesis can only be successful in patients with expandable lungs (i.e., nontrapped lungs)
  • 51.
  • 52.
  • 53.
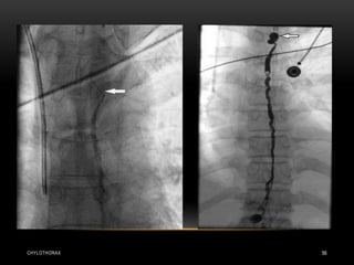
    INTERVENTIONAL RADIOLOGY CHYLOTHORAX 53 •Today there are several radiological treatments that can be used in both traumatic and non-traumatic chylothorax . • Much more experience is available for percutaneous embolization of the thoracic duct , which can be performed as an alternative to thoracic duct ligation and can be performed in both adults and children . • Embolization has a much higher success rate: if the thoracic duct can be intubated successfully, the procedure is successful in well over 90% of cases
  • 54.
  • 55.
  • 56.
  • 57.
  • 58.
  • 59.
  • 60.
  • 61.
  • 62.
    CHYLOTHORAX 62 • Chyloptysisis expectoration of milky-white sputum rich in chyle • Chyloptysis is a rare finding, and the accompanying respiratory symptoms are usually nonspecific. The recognition of the chylous nature of the sputum is requisite for proper diagnosis, especially if chyloptysis is not accompanied by chylous pleural effusion. • The key to the differential diagnosis of chyloptysis is to consider illnesses that can induce reflux of chyle into the bronchial tree. • There are two mechanisms postulated: the first requires the presence of an abnormal communication between the bronchial tree and the lymphatic channels, and the second requires a bronchopleural fistula in the context of a chylous pleural effusion.
  • 63.
    CHYLOTHORAX 63 • Chyloptysiscan also occur if the thoracic duct is not patent from agenesis, tumor obstruction, or trauma. • When the peribronchial lymphatics are subjected to a circulatory overload of chyle plus lymph fluid from the lungs, the overloaded peribronchial pulmonary lymphatics become dilated and engorged. • may herniate through the bronchial mucosa and may rupture into the bronchial lumen producing chyloptysis.
  • 64.
    DIFFERENTIAL DIAGNOSIS OF ISOLATEDCHYLOPTYSIS CHYLOTHORAX 64
  • 65.
    CHYLOTHORAX 65 • Theproduction of chylous sputum may be intermittent and is not always postprandial, nor is it always associated with fatty food intake. • Aside from cholesterol and triglyceride determination, lipoprotein electrophoresis may be of value in confirming the chylous nature of the sputum
  • 66.
    SPECIMEN HANDLING INSUSPECTED CHYLOPTYSIS CHYLOTHORAX 66 • Collect specimen in early morning • Photograph sample if possible • Sputum in sample container should be put in “wet ice” • Order cholesterol, triglyceride, and lipoprotein electrophoresis if available • Notify laboratory that specimen is coming , Run the analysis as soon as possible
  • 67.
  • 68.
  • 69.
    CHYLOTHORAX 69 • Themost frequent causes of chylothorax today are surgery and tumors. • Clinically, chylothorax manifests non-specifically as a pleural effusion, typically with a triglyceride content of over 110 mg/dL. The diagnosis is confirmed by demonstrating the presence of chylomicrons in the aspirate. • As a rule, conservative treatment is tried first. The aim is to bring about spontaneous closure of a lymph leak by reducing the flow of lymph
  • 70.
    CHYLOTHORAX 70 • Ifconservative treatment fails, the next option to consider is surgery. This may be in the form of, for example, thoracic duct ligation, pleurodesis, or placement of a pleuroperitoneal shunt. • Other alternatives available today are interventional radiological procedures such as percutaneous thoracic duct embolization. • Individual case management is determined by the clinical situation and local availability of the various treatment options, since no prospective studies are available as a basis for guidance
  • 71.