By
Shimaa Abd Alla Ahmed
defenition
 Progressive

accumulation of matureappearing, functionally incompetent,longlived B lymphocytes in peripheral blood,
bone marrow, lymph nodes,spleen, liver
and sometimes other organs.
Diagnosis: NCI guidelines for CLL
VARIABLE
CBC

CLL

SLL

≥5; B-cell
Marker (CD19, <5 B-Cell Marker
CD20, (CD19, CD20,
CD23) + CD5 CD23) + CD5

MBL
<5 B-Cell Marker
(CD19, CD20,
CD23) + CD5

Lymphadenopath
y+organomegaly

No aneamia
No
thrombocytobenia

BM >30% lymphocyte

STAGING

RIA,BINET

Ann Arpor
Incidence
 Commonest leukaemia in Western adults (25–30%
of all leukaemias).

 2.5/100,000 per year.
 Age
 Predominantly disease of elderly Median age at

diagnosis 65 years. (in over 70s,>20/100,000).
 m:f ratio ~2:1.
 Marked geographic difference e.g.
In China & Japan = 1/10 of Western world.
Aetiology
 Unknown. No causal relationship with radiation,

chemicals or viruses.
 Small proportion are familial. Genetic factors
suggested by low incidence in Japanese even after
emigration.
 Lymphocyte accumulation appears to result from
defects in intracellular apoptotic pathways: 90% of
CLL cases have high levels of BCL-2 which blocks
apoptosis.
Clinical features and presentation
 asymptomatic; lymphocytosis (>5.0 ¥ 109/L) on
routine FBC.

 Lymphadenopathy:
painless,
often
symmetrical,splenomegaly (66%), hepatomegaly
 BM failure due to infiltration causing
 anaemia,
 neutropenia and
 thrombocytopenia.

 Recurrent

infection
due
to
acquired
hypogammaglobulinaemia: esp.Herpes zoster.
Lymphadenopathy
Lymphadenopathy
• Patients with advanced disease:B-symptoms:
FUO.
Night sweats.
Wt loss.
general malaise.

 Autoimmune phenomena occur;
 DAT +ve in 10–20% cases, warm antibodyAIHA in <50%

of these cases.
 Autoimmune thrombocytopenia in 1–2%.
Diagnosis
 FBC:
 lymphocytosis >5.0

109/L

 Neutropenia
 anaemia,
 thrombocytopenia and
 absent in early stageCLL;

 autoimmune haemolysis
occur at any stage.

thrombocytopenia may
Morphology:

Peripheral Blood
•Absolute lymphocytosis > 5 X 109 /L.
Mature looking lymphocytes; characteristic artefactual damage to
cells in film preparation produces numerous ‘smear cells’
(Note:absence of smear cells should prompt review of diagnosis);
•Morphological subtypes:
Atypical or mixed CLL/PLL:
> 10% & < 54% prolymphocytes.
•Morphology is usually not enough to
differentiate from reactive lymphocytosis.
spherocytes,polychromasia
Increase retics if AIHA;
Comparison of CLL and PLL
B-CLL

CLL-PLL

CLL
slg
CD19
CD20
CD5

PLL

+
++
++
++

++
++
++
-/+

Courtesy of Randy Gascoyne, MD.
1. Bennett JM, et al. J Clin Pathol. 1989;42:567-584.
Immunophenotyping
 crucial

to differentiation from other
lymphocytoses
 First line panel: CD20; CD5; CD19; CD23;
FMC7; SmIg, CD22 or CD79b.
 CLL characteristically CD20 and FMC7 –
ve;
 CD5,CD19 and CD23 +ve;
 SmIg, CD22, CD79b weak;
 k or l light chain restricted.
 CD 38.Zab 70
Immunophenotype scoring
system
Scoring system for B-CLL
Points
Membrane
marker
Smlg

1

0

Weak

Moderate/strong

CD5

Positive

Negative

CD23

Positive

Negative

FMC7

Negative

Positive

CD79b (SN8)

Negative

Positive

1. Matutes E, et al. Leukemia. 1994;8:1640-1645.
2. Moreau EJ, et al. Am J Clin Pathol. 1997;108:378-382.
 Immunoglobulins:
 immuneparesis
(hypogammaglobulinaemia)
common;
 monoclonal paraprotein (usually IgM) <5%.
 Bone marrow: >30% ‘mature’ lymphocytes.

 Trephine

biopsy:
provides
prognostic
information: infiltration may be
 nodular (favourable); interstitial; mixed;
diffuse (unfavourable).
 Lymph
node
biopsy:
rarely
required;
appearances of lymphocytic lymphoma.
Bone marrow
Prognosis: histologic bone
Nodular
Interstitial
Diffuse
marrow patterns
(low risk)
(low risk)
(high risk)

 The

different
bone
marrow
patterns
probably
variations in amount of lymphoid accumulation
the natural course of the disease

Courtesy of Randy Gascoyne, MD.
1. Montserrat E, et al. Cancer. 1984;54:447-451.

reflect
during
Cytogenetics
 Conventional chromosome banding can no

longer be recommended in the diagnostic
work up of CLL ( detects abnormalities in 40-50
% of CLL patients only.
Cytogenetics
 prognostic value; abnormalities in >80% using FISH:
 13q–(55%),
 11q– (18%),
 12q+ (16%),
 17p– (7%),
 6q– (7%);
 11q–, 17q– veryunfavourable; sole 13q–favourable,or

6q– ,normal karotyping neutral out come ,Clonal
evolution occurs over time.
 11q– and 17q– associated with advanced disease.
Molecular biology:
 IgV genes mutational status:
 Relates to stage of differentiation of malignant B-cells
 Accordingly there are 2 variants of CLL :

* Pre-germinal variant :
- Naive B-lymphocytes with no IgV gene mutation
(CD38+ve)
- Unfavorable clinical outcome .
* Post-germinal Variant :
- Originates from memory B-lymphocytes,
exhibiting IgV mutation (CD38 – ve)
- Favorable clinical outcome
• bcl-2:
> 85% of B-cell cases express high levels of bcl-2 which is a potent inhibitor
of apoptosis (programmed cell death).

p53:
• The p53 tumour suppressor gene is mutated
in 8 % B-cell cases.
Other tests:
 U&E; LFTs;
 LDH;
 Uric acide
 b2-microglobulin;

 imaging .
 Ct chest and abdomine
 Pet scan(With richter transformation)
Poor prognostic factors
 male sex.
 Advanced clinical stage.
 Initial lymphocytosis > 50 ¥ 109/L.
 >5% prolymphocytes in blood film.
 Diffuse pattern of infiltrate on trephine.
 Blood lymphocyte doubling time <12 months.
 Cytogenetic abnormalities 11q– or 17q–.
 serum b2-microglobulin.
 serum LDH.
 serum thymidine kinase.
 soluble CD23.

 Unmutated IgVH genes.
 Poor response to therapy.
Staging: Rai and Binet staging systems for CLL
Clinical staging systems for CLL

Stage
Value

Rai

Binet

Median survival

Lymphocytosis
(>15,000/mm3)

0

-

150 months
(12.5 years)

Lymphocytosis plus
nodal involvement

I

A

Lymphocytosis plus
organomegaly

II

B

Anemia (RBCs)

III
Hgb <11 g/dL

<3
node groups
>3
node groups
Hgb <10 g/dL

C
Lymphocytosis plus
IV
thrombocytopenia
PLT <100,000/mm3
1. Rai KR, et al. Blood. 1975;46:219-234.
(platelets)
2. Binet JL, et al. Cancer. 1981;48:198-206.
3. Binet JL, et al. Cancer. 1977;40:855-864.

PLT <100,000/mm3

101-108 months
(8.5-9 years)
60-71 months
(5-6 years)

19-24 months
(1.5-2 years)
Response criteria to NCI guidelines for CLL
Variable
Response criteria
CR

NCI

Physical exam
Symptoms
Lymphocytes (x 109/L)
Neutrophils (x 109/L)
Platelets (x 109/L)
Hemoglobin (g/dL)
Bone marrow lymphs (%)

Normal
None
≤4
≥1.5
>100
>11 (untransfused)
<30, no nodules

PR
Physical exam (nodes and/or liver, spleen)
Plus ≥1 of:
Neutrophils (x 109/L)
Platelets (x 109/L)
Hemoglobin (g/dL)

Duration of CR or PR

1. Cheson BD, et al. Blood. 1996;87:4990-4997.

≥50% decrease
≥1.5
>100
>11 or 50%
improvement
≥2 months
PD:
•Physical ex. (LN , liver , spleen):
> 50% increase or new
•Circulating lymphocytes : > 50 %
increase..
•Others: Richter’s syndrome
SD:
•All 0ther than the above.
Cll ttt acording to NCCN 2013
Chemotherapy reserved for patients with symptomatic or
progressive disease:
1. anaemia (Hb <10g/dL)
2. Thrombocytopenia (<100 ¥109/L),
3. Constitutional Symptoms Due To CLL (>10% Weight
Loss In 6 Months, Fatigue, Fever, Night Sweats),
4. Progressive Lymphocytosis: Doubling Time <6 Months,
5. SymptomaticLymphadenopathy>10cm
splenomegay>6cm
BCM,
Autoimmune
Disease
Refractory To Steroids,
6. Repeated Infections Hypogammaglobulinaemia.
Frail patient with significant
comorbidity
 Chlorampucil ±rituximab
 Rituximab
 Pulse steriod
Cll patients indicated to ttt

Fish
T(11,14)
Del 13
Del11
Del17

1-cll without del
17p,11q

2-cll with del17p

3-cll with del 11q
Cll without del 17p,11q

>70 years
,significant
comorbidiyy

 Chlorampucil ±rituximab
 bendamastine
 Cyclophosphamide,predni






slone±R
Rituximab
Alemtuzumab
Fludarabine±R
Cladripine
Lenalidomide

<70 years , no
significant
comorbidiyy






FCR
FR
PCR(Pentostatin)
bendamastine±R
Cll without del 17p,11q
Relapse, no response
>70 years
,significant
comorbidiyy

 Reduced dose FCR,PCR
 Bendamastine±R
 Chlorampucil

±rituximab
 Alemtuzumab±R
 Lenalidomide±R
 HDMP+R

<70 years , no
significant
comorbidiyy












FCR
PCR(Pentostatin)
bendamastine±R
F+Alemtuzemab
Alemtuzemab±R
R-CHOP
OFAR
R-HYPER CVAD
Lenalidomide±R
Then allogenic SCT
Cll with del 17p

short term
relapse,no
response

First line
therapy

 FCR
 FR

 Alemtuzumab±R
 HDMP+R
 Then allogenic SCT










Alemtuzumab±R
RCHOP
CFAR
OFAR
HDMP+R
R±hyper CVAD
Lenalidomide±R
Then allogenic SCT
Cll Without Del 11q

>70 years
,significant
comorbidiyy

 Chlorampucil ±rituximab
 Bendamastine
 Cyclophosphamide,predni






slone±R
Rituximab
Alemtuzumab
Fludarabine±R
Cladripine
Lenalidomide

<70 years , no
significant
comorbidiyy

 FCR
 PCR(Pentostatin)
 bendamastine±R
 Then allogenic SCT with

PR,opserve With CR
Cll without del 11q
Relapse, no response
>70 years
,significant
comorbidiyy

 Reduced dose FCR,PCR
 Bendamastine±R
 Chlorampucil

±rituximab
 Alemtuzumab±R
 Lenalidomide±R
 HDMP+R

<70 years , no
significant
comorbidiyy











FCR
PCR(Pentostatin)
bendamastine±R
F+Alemtuzemab
Alemtuzemab±R
R-CHOP
R-HYPER CVAD
Lenalidomide±R
Then allogenic SCT
Treatment of CLL
CHLORAMBUCIL:

•Still the primary therapy of choice for older patients.
•CR rates: 8-13%.
•Addition of steroids: No advantage except in
autoimmune cytopenias.
•Dose: 0.4 mg/kg day 1 (repeat every 2 weeks)
or 0.1 mg/kg day 1-14 (repeat every 4 weeks)
•For how long?: Till max. response (may take months).
•Maintenance treatment: No advatage in CLL.
•Progress after 12 months of max. response: You may
repeat the same dose.
Treatment of CLL

FLUDARABINE (Purine analog):
•Salvage treatment in older patients.
•Primary treatment in young patients who will
receive stem cell transplantaion.
•It is the most active single agent in CLL.
•CR rates: 25% (up to 20 months duration) even if
strict NCI WG criteria are used.
•Most CR cases occur in the first 3 months of
• treatment. Dose:
25 mg / m2 D 1-5 repeated every 4 weeks for 3 - 6 cycles.
Side effects:•Lymphocytopenia + opportunistic infections.
•AIHA (contraindicated if AIHA is already present).
•Tumour lysis syndrome in the first cycle if counts are very high
due to rapid response.
•Transfusion-associated GVHD (irradiate blood components).
Treatment of CLL
CLADARABINE (2CdA, Leustatin)

•Purine analog
•Same effect in CLL as Fludarabine
•Dose:

0.1 mg / kg D 1-7 repeated every 4 weeks
for 3-6 cycles.
•Side effects:-

Almost the same like Fludarabine.
Treatment of CLL
(MONOCLONAL AB)

2- Campath-1H
 Anti CD 52 antibody

(CD 52 present on most B &T cells )
 Response rates 50 %
 Toxicities : rigors,chills, fever,immunosuppression & lymphocytopenia .
 CMV re-activation is a problem
3- Rituximab ( anti-CD20)
 In CLL CD 20 is moderately expressed on the cells ( possible reason for
low response rates )
 With high counts (TLC > 50,000) patient may develop “cytokine
release syndrome” (fever, rigor, skin rash , nausea, vomiting,
hypotension, & dyspnea )
Stem Cell
Transplantation
• The only treatment modality that
resulted in PCR-negative CRs in
a substantial number of patients.
• Minitransplants can be applied to a
higher age range group.

 Cll with del 17p after first crif patient eligible with doner
 Cll with del11q after first pr if patient eligible with doner
 Cll with relapse after receiving high dose chemotherapy
Complications of cll
 Recurrent infection(neutropenia,immunoparesis)
 Ivig
 Antimicrobial agent
 Anti infective prophylaxis
 Herpes
 Sulfa(neumocystic)
 CMV(alemtuzemab)
 Autoimmune disease
 ITP,AIHA,PRCA
 steriod,rituximab,cyclosporine,splenectomy
 Fludarabine is contraindicated with AIHA
Complicatins of cll
 Vaccination
 Influanza
 Pneumococal vaccin
 Avoid live vaccine
 Blood products(irradiated blood)
 Tumour lysis syndrome
 Tumour flair syndrome(lenalidomide)
 Ttt steriod
 Thrompoprophylaxis(asprine81 mg/day) with

lenalidomide
Chronic lymphocytic leukemia

Chronic lymphocytic leukemia

  • 1.
  • 2.
    defenition  Progressive accumulation ofmatureappearing, functionally incompetent,longlived B lymphocytes in peripheral blood, bone marrow, lymph nodes,spleen, liver and sometimes other organs.
  • 3.
    Diagnosis: NCI guidelinesfor CLL VARIABLE CBC CLL SLL ≥5; B-cell Marker (CD19, <5 B-Cell Marker CD20, (CD19, CD20, CD23) + CD5 CD23) + CD5 MBL <5 B-Cell Marker (CD19, CD20, CD23) + CD5 Lymphadenopath y+organomegaly No aneamia No thrombocytobenia BM >30% lymphocyte STAGING RIA,BINET Ann Arpor
  • 4.
    Incidence  Commonest leukaemiain Western adults (25–30% of all leukaemias).  2.5/100,000 per year.  Age  Predominantly disease of elderly Median age at diagnosis 65 years. (in over 70s,>20/100,000).  m:f ratio ~2:1.  Marked geographic difference e.g. In China & Japan = 1/10 of Western world.
  • 5.
    Aetiology  Unknown. Nocausal relationship with radiation, chemicals or viruses.  Small proportion are familial. Genetic factors suggested by low incidence in Japanese even after emigration.  Lymphocyte accumulation appears to result from defects in intracellular apoptotic pathways: 90% of CLL cases have high levels of BCL-2 which blocks apoptosis.
  • 6.
    Clinical features andpresentation  asymptomatic; lymphocytosis (>5.0 ¥ 109/L) on routine FBC.  Lymphadenopathy: painless, often symmetrical,splenomegaly (66%), hepatomegaly  BM failure due to infiltration causing  anaemia,  neutropenia and  thrombocytopenia.  Recurrent infection due to acquired hypogammaglobulinaemia: esp.Herpes zoster.
  • 7.
  • 8.
  • 9.
    • Patients withadvanced disease:B-symptoms: FUO. Night sweats. Wt loss. general malaise.  Autoimmune phenomena occur;  DAT +ve in 10–20% cases, warm antibodyAIHA in <50% of these cases.  Autoimmune thrombocytopenia in 1–2%.
  • 10.
    Diagnosis  FBC:  lymphocytosis>5.0 109/L  Neutropenia  anaemia,  thrombocytopenia and  absent in early stageCLL;  autoimmune haemolysis occur at any stage. thrombocytopenia may
  • 13.
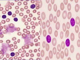
    Morphology: Peripheral Blood •Absolute lymphocytosis> 5 X 109 /L. Mature looking lymphocytes; characteristic artefactual damage to cells in film preparation produces numerous ‘smear cells’ (Note:absence of smear cells should prompt review of diagnosis); •Morphological subtypes: Atypical or mixed CLL/PLL: > 10% & < 54% prolymphocytes. •Morphology is usually not enough to differentiate from reactive lymphocytosis. spherocytes,polychromasia Increase retics if AIHA;
  • 14.
    Comparison of CLLand PLL B-CLL CLL-PLL CLL slg CD19 CD20 CD5 PLL + ++ ++ ++ ++ ++ ++ -/+ Courtesy of Randy Gascoyne, MD. 1. Bennett JM, et al. J Clin Pathol. 1989;42:567-584.
  • 15.
    Immunophenotyping  crucial to differentiationfrom other lymphocytoses  First line panel: CD20; CD5; CD19; CD23; FMC7; SmIg, CD22 or CD79b.  CLL characteristically CD20 and FMC7 – ve;  CD5,CD19 and CD23 +ve;  SmIg, CD22, CD79b weak;  k or l light chain restricted.  CD 38.Zab 70
  • 16.
    Immunophenotype scoring system Scoring systemfor B-CLL Points Membrane marker Smlg 1 0 Weak Moderate/strong CD5 Positive Negative CD23 Positive Negative FMC7 Negative Positive CD79b (SN8) Negative Positive 1. Matutes E, et al. Leukemia. 1994;8:1640-1645. 2. Moreau EJ, et al. Am J Clin Pathol. 1997;108:378-382.
  • 17.
     Immunoglobulins:  immuneparesis (hypogammaglobulinaemia) common; monoclonal paraprotein (usually IgM) <5%.  Bone marrow: >30% ‘mature’ lymphocytes.  Trephine biopsy: provides prognostic information: infiltration may be  nodular (favourable); interstitial; mixed; diffuse (unfavourable).  Lymph node biopsy: rarely required; appearances of lymphocytic lymphoma.
  • 18.
  • 19.
    Prognosis: histologic bone Nodular Interstitial Diffuse marrowpatterns (low risk) (low risk) (high risk)  The different bone marrow patterns probably variations in amount of lymphoid accumulation the natural course of the disease Courtesy of Randy Gascoyne, MD. 1. Montserrat E, et al. Cancer. 1984;54:447-451. reflect during
  • 20.
    Cytogenetics  Conventional chromosomebanding can no longer be recommended in the diagnostic work up of CLL ( detects abnormalities in 40-50 % of CLL patients only.
  • 21.
    Cytogenetics  prognostic value;abnormalities in >80% using FISH:  13q–(55%),  11q– (18%),  12q+ (16%),  17p– (7%),  6q– (7%);  11q–, 17q– veryunfavourable; sole 13q–favourable,or 6q– ,normal karotyping neutral out come ,Clonal evolution occurs over time.  11q– and 17q– associated with advanced disease.
  • 22.
    Molecular biology:  IgVgenes mutational status:  Relates to stage of differentiation of malignant B-cells  Accordingly there are 2 variants of CLL : * Pre-germinal variant : - Naive B-lymphocytes with no IgV gene mutation (CD38+ve) - Unfavorable clinical outcome . * Post-germinal Variant : - Originates from memory B-lymphocytes, exhibiting IgV mutation (CD38 – ve) - Favorable clinical outcome • bcl-2: > 85% of B-cell cases express high levels of bcl-2 which is a potent inhibitor of apoptosis (programmed cell death). p53: • The p53 tumour suppressor gene is mutated in 8 % B-cell cases.
  • 23.
    Other tests:  U&E;LFTs;  LDH;  Uric acide  b2-microglobulin;  imaging .  Ct chest and abdomine  Pet scan(With richter transformation)
  • 24.
    Poor prognostic factors male sex.  Advanced clinical stage.  Initial lymphocytosis > 50 ¥ 109/L.  >5% prolymphocytes in blood film.  Diffuse pattern of infiltrate on trephine.  Blood lymphocyte doubling time <12 months.  Cytogenetic abnormalities 11q– or 17q–.  serum b2-microglobulin.  serum LDH.  serum thymidine kinase.  soluble CD23.  Unmutated IgVH genes.  Poor response to therapy.
  • 25.
    Staging: Rai andBinet staging systems for CLL Clinical staging systems for CLL Stage Value Rai Binet Median survival Lymphocytosis (>15,000/mm3) 0 - 150 months (12.5 years) Lymphocytosis plus nodal involvement I A Lymphocytosis plus organomegaly II B Anemia (RBCs) III Hgb <11 g/dL <3 node groups >3 node groups Hgb <10 g/dL C Lymphocytosis plus IV thrombocytopenia PLT <100,000/mm3 1. Rai KR, et al. Blood. 1975;46:219-234. (platelets) 2. Binet JL, et al. Cancer. 1981;48:198-206. 3. Binet JL, et al. Cancer. 1977;40:855-864. PLT <100,000/mm3 101-108 months (8.5-9 years) 60-71 months (5-6 years) 19-24 months (1.5-2 years)
  • 26.
    Response criteria toNCI guidelines for CLL Variable Response criteria CR NCI Physical exam Symptoms Lymphocytes (x 109/L) Neutrophils (x 109/L) Platelets (x 109/L) Hemoglobin (g/dL) Bone marrow lymphs (%) Normal None ≤4 ≥1.5 >100 >11 (untransfused) <30, no nodules PR Physical exam (nodes and/or liver, spleen) Plus ≥1 of: Neutrophils (x 109/L) Platelets (x 109/L) Hemoglobin (g/dL) Duration of CR or PR 1. Cheson BD, et al. Blood. 1996;87:4990-4997. ≥50% decrease ≥1.5 >100 >11 or 50% improvement ≥2 months
  • 27.
    PD: •Physical ex. (LN, liver , spleen): > 50% increase or new •Circulating lymphocytes : > 50 % increase.. •Others: Richter’s syndrome SD: •All 0ther than the above.
  • 28.
    Cll ttt acordingto NCCN 2013 Chemotherapy reserved for patients with symptomatic or progressive disease: 1. anaemia (Hb <10g/dL) 2. Thrombocytopenia (<100 ¥109/L), 3. Constitutional Symptoms Due To CLL (>10% Weight Loss In 6 Months, Fatigue, Fever, Night Sweats), 4. Progressive Lymphocytosis: Doubling Time <6 Months, 5. SymptomaticLymphadenopathy>10cm splenomegay>6cm BCM, Autoimmune Disease Refractory To Steroids, 6. Repeated Infections Hypogammaglobulinaemia.
  • 29.
    Frail patient withsignificant comorbidity  Chlorampucil ±rituximab  Rituximab  Pulse steriod
  • 30.
    Cll patients indicatedto ttt Fish T(11,14) Del 13 Del11 Del17 1-cll without del 17p,11q 2-cll with del17p 3-cll with del 11q
  • 31.
    Cll without del17p,11q >70 years ,significant comorbidiyy  Chlorampucil ±rituximab  bendamastine  Cyclophosphamide,predni      slone±R Rituximab Alemtuzumab Fludarabine±R Cladripine Lenalidomide <70 years , no significant comorbidiyy     FCR FR PCR(Pentostatin) bendamastine±R
  • 32.
    Cll without del17p,11q Relapse, no response >70 years ,significant comorbidiyy  Reduced dose FCR,PCR  Bendamastine±R  Chlorampucil ±rituximab  Alemtuzumab±R  Lenalidomide±R  HDMP+R <70 years , no significant comorbidiyy           FCR PCR(Pentostatin) bendamastine±R F+Alemtuzemab Alemtuzemab±R R-CHOP OFAR R-HYPER CVAD Lenalidomide±R Then allogenic SCT
  • 33.
    Cll with del17p short term relapse,no response First line therapy  FCR  FR  Alemtuzumab±R  HDMP+R  Then allogenic SCT         Alemtuzumab±R RCHOP CFAR OFAR HDMP+R R±hyper CVAD Lenalidomide±R Then allogenic SCT
  • 34.
    Cll Without Del11q >70 years ,significant comorbidiyy  Chlorampucil ±rituximab  Bendamastine  Cyclophosphamide,predni      slone±R Rituximab Alemtuzumab Fludarabine±R Cladripine Lenalidomide <70 years , no significant comorbidiyy  FCR  PCR(Pentostatin)  bendamastine±R  Then allogenic SCT with PR,opserve With CR
  • 35.
    Cll without del11q Relapse, no response >70 years ,significant comorbidiyy  Reduced dose FCR,PCR  Bendamastine±R  Chlorampucil ±rituximab  Alemtuzumab±R  Lenalidomide±R  HDMP+R <70 years , no significant comorbidiyy          FCR PCR(Pentostatin) bendamastine±R F+Alemtuzemab Alemtuzemab±R R-CHOP R-HYPER CVAD Lenalidomide±R Then allogenic SCT
  • 36.
    Treatment of CLL CHLORAMBUCIL: •Stillthe primary therapy of choice for older patients. •CR rates: 8-13%. •Addition of steroids: No advantage except in autoimmune cytopenias. •Dose: 0.4 mg/kg day 1 (repeat every 2 weeks) or 0.1 mg/kg day 1-14 (repeat every 4 weeks) •For how long?: Till max. response (may take months). •Maintenance treatment: No advatage in CLL. •Progress after 12 months of max. response: You may repeat the same dose.
  • 37.
    Treatment of CLL FLUDARABINE(Purine analog): •Salvage treatment in older patients. •Primary treatment in young patients who will receive stem cell transplantaion. •It is the most active single agent in CLL. •CR rates: 25% (up to 20 months duration) even if strict NCI WG criteria are used. •Most CR cases occur in the first 3 months of • treatment. Dose: 25 mg / m2 D 1-5 repeated every 4 weeks for 3 - 6 cycles. Side effects:•Lymphocytopenia + opportunistic infections. •AIHA (contraindicated if AIHA is already present). •Tumour lysis syndrome in the first cycle if counts are very high due to rapid response. •Transfusion-associated GVHD (irradiate blood components).
  • 38.
    Treatment of CLL CLADARABINE(2CdA, Leustatin) •Purine analog •Same effect in CLL as Fludarabine •Dose: 0.1 mg / kg D 1-7 repeated every 4 weeks for 3-6 cycles. •Side effects:- Almost the same like Fludarabine.
  • 39.
    Treatment of CLL (MONOCLONALAB) 2- Campath-1H  Anti CD 52 antibody (CD 52 present on most B &T cells )  Response rates 50 %  Toxicities : rigors,chills, fever,immunosuppression & lymphocytopenia .  CMV re-activation is a problem 3- Rituximab ( anti-CD20)  In CLL CD 20 is moderately expressed on the cells ( possible reason for low response rates )  With high counts (TLC > 50,000) patient may develop “cytokine release syndrome” (fever, rigor, skin rash , nausea, vomiting, hypotension, & dyspnea )
  • 41.
    Stem Cell Transplantation • Theonly treatment modality that resulted in PCR-negative CRs in a substantial number of patients. • Minitransplants can be applied to a higher age range group.  Cll with del 17p after first crif patient eligible with doner  Cll with del11q after first pr if patient eligible with doner  Cll with relapse after receiving high dose chemotherapy
  • 42.
    Complications of cll Recurrent infection(neutropenia,immunoparesis)  Ivig  Antimicrobial agent  Anti infective prophylaxis  Herpes  Sulfa(neumocystic)  CMV(alemtuzemab)  Autoimmune disease  ITP,AIHA,PRCA  steriod,rituximab,cyclosporine,splenectomy  Fludarabine is contraindicated with AIHA
  • 43.
    Complicatins of cll Vaccination  Influanza  Pneumococal vaccin  Avoid live vaccine  Blood products(irradiated blood)  Tumour lysis syndrome  Tumour flair syndrome(lenalidomide)  Ttt steriod  Thrompoprophylaxis(asprine81 mg/day) with lenalidomide