Blistering diseases
By
Carmen I Farid . MD
Definition :
 They are skin diseases presenting mainly by
blistering lesions
 Classification :

A. congenital :
 Epidermolysis bullosa

B. immunological :
 1. pemphigus
 2. dermatitis herpitiform

C. OTHERS :
 1. 4 S-syndrome
 2. toxic epidermal necrolysis
Autoimmune Blistering
Diseases
PEMPHIGUS
 PV is an autoimmune, intraepithelial,
blistering disease affecting the skin and
mucous membranes.
 mediated by circulating autoantibodies
directed against keratinocyte cell junction
proteins termed desmogleins.
Definition
 binding of IgG autoantibodies to
keratinocyte desmosomes results in a
loss of cell-cell adhesion, a process
termed acantholysis.
 Spaces formed between cells are filled
by transudate fluid causing a blister.
 occurs worldwide.
 incidence varies from 0.5-3.2 cases per
100,000.
 PV incidence is increased in patients of
Ashkenazi Jewish descent and those of
Mediterranean origin.
Frequency
Sex
Male-to-female ratio is approximately equal.
Age
Mean age of onset is approximately 50-60
years; however, the range is broad.
Mortality/Morbidity
 PV is a potentially life-threatening
autoimmune mucocutaneous disease.
 mortality rate is approximately 5-15%.
 Prognosis is worse in patients with
extensive disease and in older patients.
 The cause of Pemphigus remains unknown;
however, several potentially relevant factors
have been identified.
 Genetic factors: Predisposition to pemphigus is
linked to Certain major histocompatibility
complex (MHC) class II molecules,
Etiology
PEMPHIGUS should
encourage the physician to
consider
 pesticides (PE),
 malignancy (M),
 pharmaceuticals (P),
 hormones (H),
 infectious agents (I),
 gastronomy (G),
 ultraviolet light (U),
 and stress (S).
Clinical types
 Deep type: 100% mucosal affection
 Pemphigus vulgaris (Anti DsG3 Abs)
 Pemphigus vegetans (Anti DsG3 Abs)
 Superficial type. No or rare mucosal
affection.
 Pemphigus foliaceous (Anti DsG1 Abs)
 Pemphigus erythematosus (Anti DsG1
Abs)
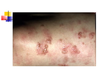
Pemphigus vulgaris
 Antibodies develop to deep intraepidermal
suprabasal desmosomal proteins common
to both skin and mucosa, so the blister is
deeper in location.
 Mucosal lesions may precede cutaneous
lesions by months.
 Patients with mucosal lesions may present
to dentists, oral surgeons, or
gynecologists.
Physical
 patients have ill-defined, irregularly
shaped, gingival, buccal or palatine
erosions, which are painful and slow to
heal.
 The erosions extend peripherally with
shedding of the epithelium.
 Erosions may spread to involve the larynx
with subsequent hoarseness.
 The patient often is unable to eat or drink
adequately because the erosions are so
uncomfortable.
 Other mucosal surfaces may be involved,
including the conjunctiva, esophagus, labia,
vagina, cervix, penis, urethra, and anus.
Pemphigus vulgaris
Pemphigus vulgaris
Pemphigus vulgaris
Pemphigus vulgaris
Pemphigus vulgaris
Pemphigus vulgaris
 The primary lesion of PV is a flaccid blister filled
with clear fluid that arises on normal skin or on an
erythematous base.
 The blisters are fragile; therefore, intact blisters
may be sparse.
 The contents soon become turbid, or the blisters
rupture producing painful erosions, which is the
most common skin presentation.
 Erosions often are large because of their tendency
to extend peripherally with the shedding of the
epithelium.
Skin:
 Nails: Acute paronychia, subungual
hematomas, and nail dystrophies have
been reported with PV.
 Nikolsky sign: In patients with active blistering,
firm sliding pressure with a finger separates
normal-appearing epidermis, producing an
erosion. This sign is not specific for PV and is
found in other active blistering diseases.
 Asboe-Hansen sign: Lateral pressure on the
edge of a blister may spread the blister into
clinically unaffected skin.
Bulla spreading testBulla spreading test
Vegetating Pemphigus
 In some patients, erosions tend to develop
excessive granulation tissue and crusting, and
these patients display more vegetating lesions.
 This type of lesion tends to occur more
frequently in intertriginous areas and on the
scalp or face.
 The vegetating type of response can be more
resistant to therapy and can remain in one place
for long periods of time.
P vegetans
Pemphigus Foliaceus
 IgG develops against a superficial epidermal
desmosomal Ag named DsG1.
 Acantholysis and separation occurs
subcorneally.
 The patient presents with exfoliative skin
lesions and very superficial erosions with mild
crusting.
 Usually no mucosal lesions.
P foliaceous
Pemphigus
erythematosus
(also known as "Senear–Usher syndrome") is
simply a localized form of pemphigus
foliaceus together with LE or seborrheic
dermatitis like manifestations on photo-
exposed areas.
P erythematosus
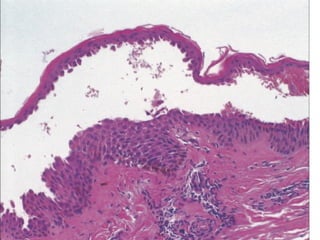
Histopathology
 Pemphigus vulgaris shows detachment of
keratinocytes from each other due to loss of
desmosome integrity, causing acantholysis
and intraepidermal bulla formation.
 The point of separation in pemphigus vulgaris
is usually in the suprabasal epidermis.  
Direct immunofluorescence showing intercellular immunoglobulin G
throughout the epidermis of a patient with pemphigus vulgaris.
Treatment
 The aim of treatment in pemphigus vulgaris
(PV) is to
 decrease blister formation,
 promote healing of blisters and erosions,
 and determine the minimal dose of medication
necessary to control the disease process.
Medical Care
Anti-inflammatory agents
 Inhibit the inflammatory process by inhibiting
specific cytokine production.
Corticosteroids (Prednisone)
 1-1.5 mg/kg/d PO initial every am or in divided
doses; taper as condition improves; single
morning dose is safer for long-term use, but
divided doses have more anti-inflammatory effect
 SE :
 - osteoprosis -DM
-hypertension hyperacidity
Immunosuppressive agents
 adjuvants in patients with PV unresponsive to
steroids and/or other anti-inflammatory agents or
in patients unable to tolerate prednisone.
Azathioprine(Imuran)
1 mg/kg/d
Cyclophosphamides
IVIG
Rituximab (anti CD20 monoclonal antibodies)
other adjuvant therapies :
 -treatment of 2ry infection
 - fluids
 - proteins
 - diuretics
Dermatitis herpetiformis (DH)
 is an autoimmune blistering disorder
associated with a gluten-sensitive
enteropathy (GSE)
 cutaneous manifestation of celiac disease.
 Gluten is a protein present in barley, rye, and
wheat.
 Rice and oats belong to different species and
are generally well tolerated.
Pathophysiology
 genetic predisposition for gluten sensitivity,
 coupled with a diet high in gluten,
 leads to the formation of IgA antibodies to gluten-
tissue transglutaminase (t-TG), which is found in the
gut.
 cross-react with epidermal transglutaminase (e-TG)
 Deposition of IgA and epidermal TG complexes in the
papillary dermis
 which triggers an immunologic cascade, resulting in
neutrophil recruitment and complement activation.
Clinically
characterized by waxing and waning, pruritic
eruption formed of:
 grouped excoriations;
 erythematous, urticarial plaques; and
papules
 with vesicles that are often excoriated to
erosions by the time of physical examination .
 on the extensor surfaces of the elbows,
knees, buttocks, and back.
 exquisitely pruritic,
Prognosis
 Dermatitis herpetiformis is a lifelong
disease, although periods of
exacerbation and remission are
common.
Diagnosis
 neutrophil accumulation at the
dermoepidermal junction, frequently localizing
to the papillary tips of the basement
membrane zone (dermal papillary neutrophilic
microabscesses).
 direct immunofluorescence of a skin biopsy
show deposition of immunoglobulin A (IgA) in
a granular pattern in the upper papillary
dermis.
Treatment
 Strict gluten-free diet results in normalization of
the small bowel mucosal changes and control of the
cutaneous manifestations of dermatitis herpetiformis
in most patients.
 Dapsone is the mainstay of treatment.
 dose : 2-4 tab/day (50 mg/tab) i.e. 100-200 mg/day
 -SE: hemolysis (so monitor RBCS) & liver insult (so
monitor Serum bilirubin)
 colchicine, cyclosporine, azathioprine, and
prednisone are second agents.
Complications :
 (1) 2ry infection
 (2) 2ry eczematization
 (3) psychological upset up to suicidal
attempts dt severe itching
 ??? Increased incidence of nonHodgkin
lymphoma is reported.
-mainly in newborns
-infection with staph occurs through the umbilical stump
-staph produces exotoxins which digest the desmosomal
proteins causing bullous eruption of the skin
-characteristically there is very large single bulla that involve the
Trunk & may involve both lower and upper limbs, its rupture
Causes severe agonizing pain & scalding of the skin
-bullae are filled with pus
-very bad general condition, so need ICU care
Staphylococcal scalded skin
syndrome (4S syndrome)
- treatment : in the ICU :
-(1) Fluids to replace fluid loss by oozing
-(2)antibiotics (anti-staph ) : Cloxacillin in large doses.
Similar to 4 S – SYNDROME , but:
-occurs at any age
- it is not dt infection , it is a hypersensitivity reaction to a
drug : antibiotics (sulpha),NSAIDS, Anticonvulsants ,
anxiolytics
- large bullae which are filled with serum not pus
- treatment :
1. stop the offending drugs
TOXIC EPIDERMAL NECROLYSIS
(TEN)
TEN

Bullous diseases(group a)

  • 1.
  • 2.
    Definition :  Theyare skin diseases presenting mainly by blistering lesions  Classification :  A. congenital :  Epidermolysis bullosa  B. immunological :  1. pemphigus  2. dermatitis herpitiform  C. OTHERS :  1. 4 S-syndrome  2. toxic epidermal necrolysis
  • 3.
  • 4.
  • 5.
     PV isan autoimmune, intraepithelial, blistering disease affecting the skin and mucous membranes.  mediated by circulating autoantibodies directed against keratinocyte cell junction proteins termed desmogleins. Definition
  • 6.
     binding ofIgG autoantibodies to keratinocyte desmosomes results in a loss of cell-cell adhesion, a process termed acantholysis.  Spaces formed between cells are filled by transudate fluid causing a blister.
  • 7.
     occurs worldwide. incidence varies from 0.5-3.2 cases per 100,000.  PV incidence is increased in patients of Ashkenazi Jewish descent and those of Mediterranean origin. Frequency
  • 8.
    Sex Male-to-female ratio isapproximately equal. Age Mean age of onset is approximately 50-60 years; however, the range is broad.
  • 9.
    Mortality/Morbidity  PV isa potentially life-threatening autoimmune mucocutaneous disease.  mortality rate is approximately 5-15%.  Prognosis is worse in patients with extensive disease and in older patients.
  • 10.
     The causeof Pemphigus remains unknown; however, several potentially relevant factors have been identified.  Genetic factors: Predisposition to pemphigus is linked to Certain major histocompatibility complex (MHC) class II molecules, Etiology
  • 11.
    PEMPHIGUS should encourage thephysician to consider  pesticides (PE),  malignancy (M),  pharmaceuticals (P),  hormones (H),  infectious agents (I),  gastronomy (G),  ultraviolet light (U),  and stress (S).
  • 12.
    Clinical types  Deeptype: 100% mucosal affection  Pemphigus vulgaris (Anti DsG3 Abs)  Pemphigus vegetans (Anti DsG3 Abs)  Superficial type. No or rare mucosal affection.  Pemphigus foliaceous (Anti DsG1 Abs)  Pemphigus erythematosus (Anti DsG1 Abs)
  • 13.
  • 14.
     Antibodies developto deep intraepidermal suprabasal desmosomal proteins common to both skin and mucosa, so the blister is deeper in location.  Mucosal lesions may precede cutaneous lesions by months.  Patients with mucosal lesions may present to dentists, oral surgeons, or gynecologists. Physical
  • 15.
     patients haveill-defined, irregularly shaped, gingival, buccal or palatine erosions, which are painful and slow to heal.  The erosions extend peripherally with shedding of the epithelium.
  • 16.
     Erosions mayspread to involve the larynx with subsequent hoarseness.  The patient often is unable to eat or drink adequately because the erosions are so uncomfortable.  Other mucosal surfaces may be involved, including the conjunctiva, esophagus, labia, vagina, cervix, penis, urethra, and anus.
  • 17.
  • 18.
  • 19.
  • 20.
  • 21.
  • 22.
  • 24.
     The primarylesion of PV is a flaccid blister filled with clear fluid that arises on normal skin or on an erythematous base.  The blisters are fragile; therefore, intact blisters may be sparse.  The contents soon become turbid, or the blisters rupture producing painful erosions, which is the most common skin presentation.  Erosions often are large because of their tendency to extend peripherally with the shedding of the epithelium. Skin:
  • 29.
     Nails: Acuteparonychia, subungual hematomas, and nail dystrophies have been reported with PV.
  • 30.
     Nikolsky sign:In patients with active blistering, firm sliding pressure with a finger separates normal-appearing epidermis, producing an erosion. This sign is not specific for PV and is found in other active blistering diseases.  Asboe-Hansen sign: Lateral pressure on the edge of a blister may spread the blister into clinically unaffected skin.
  • 31.
  • 32.
  • 33.
     In somepatients, erosions tend to develop excessive granulation tissue and crusting, and these patients display more vegetating lesions.  This type of lesion tends to occur more frequently in intertriginous areas and on the scalp or face.  The vegetating type of response can be more resistant to therapy and can remain in one place for long periods of time.
  • 34.
  • 35.
  • 36.
     IgG developsagainst a superficial epidermal desmosomal Ag named DsG1.  Acantholysis and separation occurs subcorneally.  The patient presents with exfoliative skin lesions and very superficial erosions with mild crusting.  Usually no mucosal lesions.
  • 37.
  • 39.
  • 40.
    (also known as"Senear–Usher syndrome") is simply a localized form of pemphigus foliaceus together with LE or seborrheic dermatitis like manifestations on photo- exposed areas.
  • 41.
  • 42.
    Histopathology  Pemphigus vulgarisshows detachment of keratinocytes from each other due to loss of desmosome integrity, causing acantholysis and intraepidermal bulla formation.  The point of separation in pemphigus vulgaris is usually in the suprabasal epidermis.  
  • 46.
    Direct immunofluorescence showingintercellular immunoglobulin G throughout the epidermis of a patient with pemphigus vulgaris.
  • 47.
  • 48.
     The aimof treatment in pemphigus vulgaris (PV) is to  decrease blister formation,  promote healing of blisters and erosions,  and determine the minimal dose of medication necessary to control the disease process. Medical Care
  • 49.
    Anti-inflammatory agents  Inhibitthe inflammatory process by inhibiting specific cytokine production. Corticosteroids (Prednisone)  1-1.5 mg/kg/d PO initial every am or in divided doses; taper as condition improves; single morning dose is safer for long-term use, but divided doses have more anti-inflammatory effect  SE :  - osteoprosis -DM -hypertension hyperacidity
  • 50.
    Immunosuppressive agents  adjuvantsin patients with PV unresponsive to steroids and/or other anti-inflammatory agents or in patients unable to tolerate prednisone. Azathioprine(Imuran) 1 mg/kg/d Cyclophosphamides IVIG Rituximab (anti CD20 monoclonal antibodies)
  • 51.
    other adjuvant therapies:  -treatment of 2ry infection  - fluids  - proteins  - diuretics
  • 52.
  • 53.
     is anautoimmune blistering disorder associated with a gluten-sensitive enteropathy (GSE)  cutaneous manifestation of celiac disease.  Gluten is a protein present in barley, rye, and wheat.  Rice and oats belong to different species and are generally well tolerated.
  • 54.
    Pathophysiology  genetic predispositionfor gluten sensitivity,  coupled with a diet high in gluten,  leads to the formation of IgA antibodies to gluten- tissue transglutaminase (t-TG), which is found in the gut.  cross-react with epidermal transglutaminase (e-TG)  Deposition of IgA and epidermal TG complexes in the papillary dermis  which triggers an immunologic cascade, resulting in neutrophil recruitment and complement activation.
  • 55.
    Clinically characterized by waxingand waning, pruritic eruption formed of:  grouped excoriations;  erythematous, urticarial plaques; and papules  with vesicles that are often excoriated to erosions by the time of physical examination .  on the extensor surfaces of the elbows, knees, buttocks, and back.  exquisitely pruritic,
  • 58.
    Prognosis  Dermatitis herpetiformisis a lifelong disease, although periods of exacerbation and remission are common.
  • 59.
    Diagnosis  neutrophil accumulationat the dermoepidermal junction, frequently localizing to the papillary tips of the basement membrane zone (dermal papillary neutrophilic microabscesses).  direct immunofluorescence of a skin biopsy show deposition of immunoglobulin A (IgA) in a granular pattern in the upper papillary dermis.
  • 60.
    Treatment  Strict gluten-freediet results in normalization of the small bowel mucosal changes and control of the cutaneous manifestations of dermatitis herpetiformis in most patients.  Dapsone is the mainstay of treatment.  dose : 2-4 tab/day (50 mg/tab) i.e. 100-200 mg/day  -SE: hemolysis (so monitor RBCS) & liver insult (so monitor Serum bilirubin)  colchicine, cyclosporine, azathioprine, and prednisone are second agents.
  • 61.
    Complications :  (1)2ry infection  (2) 2ry eczematization  (3) psychological upset up to suicidal attempts dt severe itching  ??? Increased incidence of nonHodgkin lymphoma is reported.
  • 62.
    -mainly in newborns -infectionwith staph occurs through the umbilical stump -staph produces exotoxins which digest the desmosomal proteins causing bullous eruption of the skin -characteristically there is very large single bulla that involve the Trunk & may involve both lower and upper limbs, its rupture Causes severe agonizing pain & scalding of the skin -bullae are filled with pus -very bad general condition, so need ICU care Staphylococcal scalded skin syndrome (4S syndrome)
  • 64.
    - treatment :in the ICU : -(1) Fluids to replace fluid loss by oozing -(2)antibiotics (anti-staph ) : Cloxacillin in large doses.
  • 65.
    Similar to 4S – SYNDROME , but: -occurs at any age - it is not dt infection , it is a hypersensitivity reaction to a drug : antibiotics (sulpha),NSAIDS, Anticonvulsants , anxiolytics - large bullae which are filled with serum not pus - treatment : 1. stop the offending drugs TOXIC EPIDERMAL NECROLYSIS (TEN)
  • 66.