Intra-Epidermal
blistering disorders
Dr.Preethi chekuri
MD Dermatology
India
Types :
 Pemphigus vulgaris
 Pemphigus foliaceus
 Paraneoplastic pemphigus
Intoduction
 Term ‘pemphigus’ refers to a group of autoimmune
blistering disorders of skin and mucous membrane
that are characterised histologically by
intraepidermal blisters due to acantholysis and
immunopathologically by in vivo bound and
circulating immunoglobulins directed against the
cell surface of keratinocyte
Pemphigus vulgaris
Introduction
 Supra basal acantholysis
 The patients PV may present with more localised
disease, one form of which is called pemphigus
vegetans of hallopeau and a slightly more
extensive form called called pemphigus vegetans of
neumann
Epidemiology
 Depends on the geographic location as well as the
ethnic population in that area
 PV is more common in jews and also in people from
mediterranean and middle east decent
 Ratio of PV:PF ~ Iran – 12 :1
Finland – 0.5 :1
 male : female ~ 1 : 1.33 or 2.25
 Mean age of onset being 40 yrs
Etiopathogenesis
 Pemphigus antigens are desmogleins, transmembrane
glycoproteins of desmosomes
 Desmogleins are part of the cadherin superfamily of
calcium- dependent cell adhesion molecules.
 The PF antigen (as well as the fogo selvagem antigen) is
desmoglein 1, a 160-kDa protein. The PV antigen is
desmoglein 3, a 130-kDa protein
 All patients with PV have antidesmoglein 3 antibodies, and
some of these patients also have antidesmoglein 1
antibodies
 PF patients typically have antibodies against only
desmoglein 1
Clinical findings
 Cutaneous lesions
 Vegetating lesions
 Mucous membrane lesions
Cutaneous lesions
 Primary lesion – flaccid blister
 Blisters are fragile resulting in erosions
 May occur anywhere on the skin surface
 NIKOLSKY SIGN – erosions can be
extended into visibly normal skin by
pulling the remnant of the blister wall or
rubbing at the periphery of active lesions
and erosions can be induced in normal-
appearing skin distant from active lesions
by pressure or mechanical shear force
Vegetating lesions
 In certain patients, erosions have a tendency to
develop excessive granulation tissue and crusting,
referred to as vegetating lesions
 Intertriginous areas, scalp and face
Mucous membrane lesions
 Oropharynx
 Gastro – intestinal tract ~ oesophagus, stomach,
duodenum and anus
 Vulvovaginal ,nasal, laryngeal and conjunctival
mucosa can also get involved
 Rare case reports of corneal erosions are also
present
 Oral erosions are painful and makes the patient
unable to eat or drink
 Painful mucous membrane lesions may be the
presenting sign for 32% of the cases
 These patients progress to a more generalised from
in 5 months to 1 year period
 Skin involvement without mucous membrane
lesions is less common
Laboratory tests
 Skin biopsy
 Immunofluorescence – direct
indirect
 ELISA
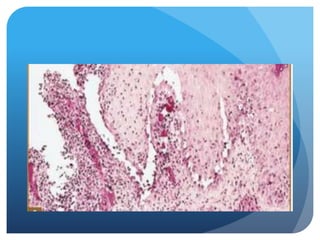
Histology
 The characteristic histopathologic finding in PV is a
suprabasal blister with acantholysis
 The basal cells stay attached to the basement membrane,
but may lose the contact with their neighbors; as a result,
they may appear to be a “row of tombstones”
 Usually, the upper epidermis remains intact
 Pemphigus vegetans shows not only suprabasilar
acantholysis, but also papillomatosis of the dermal
papillae and downward growth of epidermal stands
into the dermis, with hyperkeratosis and scale-
crust formation
 In addition, pemphigus vegetans lesions may show
intraepidermal abscesses composed of eosinophils
or neutrophils.
 Early PV lesions may show eosinophilic spongiosis
Direct immunofluorescence
 IgG auto-antibodies against the cell surface of
keratinocytes in perilesional skin
 It is important that the biopsy for DIF be performed on
normal-appearing perilesional skin, as the immune
reactants can be difficult to detect in blistered inflamed
epidermis (leading to a false negative result)
 This is a nonquantitative test (either negative or positive)
Indirect immunoflourescence
 Performed by incubating serial dilutions of patients
sera with epithelial substrates.
 It is reported as a semiquantitative titer (indicating
the last dilution at which the serum demonstrates a
positive cell surface staining pattern)
 Pemphigus patients have circulating antiepithelial
cell surface IgG
ELISA
 more sensitive and specific
than immunofluorescence
 ELISAs are easier to
perform and less subjective
 Use desmogleins 1,3 bound to
plates, which are then
incubated with patient sera
and developed with antihuman
IgG reagents
 help differentiate between PV
and PF due to the different
autoantigen profiles
Pemphigus foliaceus
Introduction
 Subcorneal acantholysis
 Patients with PF may present with a more localised
disease called PEMPHIGUS ERYTHEMATOSUS
Epidemiology
 Dependent on location
 Endemic foci – brazil, colombia and tunisia
 FOLO SELVAGEM (wild fire)
 Fogo selvagem occurs often in children and young
adults, unlike sporadic PF, which is a disease of
mostly middle-aged and older patients
Clinical findings
 The characteristic clinical lesions of PF
are scaly, crusted erosions, often on an
erythematous base
 In more localized and early disease,
these lesions are usually well
demarcated and scattered in a
seborrheic distribution, including the
face, scalp, and upper trunk
 In contrast to patients with PV, those
with PF very rarely, if ever, have
mucous membrane involvement, even
with widespread disease.
Histology
 Acantholysis just below the stratum corneum and in the
granular layer
 The epidermis, below the granular layer, remains intact.
 Another frequent finding is subcorneal pustules, with
neutrophils and acantholytic epidermal cells in the blister
cavity
Drug induced pemphigus
 Association with penicillamine and captopril is the
most significant
 PF is more common than PV
 Both penicillamine and captopril contain sulfhydryl
groups that are postulated to interact with the
sulfhydryl groups in desmoglein 1, 3
Treatment
 Corticosteroids
 Immunosuppressive agents - azathioprine
mycophenolate
mofetil
cyclophosphamide
dapsone
 Additional therapies - rituximab, plasmapheresis,
intravenous immunoglobulin
Corticosteroids
 1 to 1.5 mg/kg/ day of prednisolone equivalent
used singly or in combination with adjuvant
immunosuppressive therapy
 Some recommend controlling initial phase with
high doses ( upto 240mg/day)
 Topical - used to help heal new lesions
- mucosal disease benefitted from swish and
spit method
DCP pulse therapy
 Day 1 : Iv administration of 100mg dexamethasone
with 500mg cyclophosphamide in 500ml of 5%
dextrose over 1-2 hrs
 Day 2 and day 3 : 100mg dexamethasone
Pulses repeated every 4 weeks
On remaining days, 50 mg of cyclophosphamide given
orally
4 phases
Immunosuppressive agents
 Azathioprine - 2.5mg/kg/day
Due to its toxicity it is reasonable to start with 50-
100mg daily
 Mycophenolate mofetil - 30-40 mg/kg/day twice
daily
 Cyclophosphamide - 1- 2.5mg/kg/day or daily oral
therapy of 50 mg
Additional therapy
 Rituximab - monoclonal anti CD20 antibody, targets
B cells, the precursors of antibody producing cells
IV dose of 375mg/m2 once every 4 weeks
 Intravenous immunoglobulins - gamma globulin in
high doses is given
Paraneoplastic pemphigus
Introduction
 It is an autoimmune mucocutaneous blistering
disorder characterized by an associated neoplasm
and the presence of unique antibodies directed at
desmosomal plakins
 HLA-DRB1*03
Etiopathogenesis
3 mechanisms postulates :
 Molecular mimicry - an immune response against tumor
antigens cross reacts with normal epithelium
 Tumor may cause cytokine dysregulation leading to
synthesis of antibodies to pemphigus autoantigen Dsg 3,
with a subsequent secondary autoimmune reaction to
intercellular proteins of plakins
 Epitope spreading - tumor induces a cell mediated
lichenoid interface dermatitis that uncovers previously
hidden antigens
Clinical features
 Age - 45 to 70 yrs
 Recalcitrant stomatitis - painful erosions of
oropharynx and vermilion border of lips
 Polymorphous and pruritic
 Mucocutaneous lesions
 Palmoplantar target lesions
 Bronchiolitis obliterans
 malignancies
Malignancies associated are :
 Non - hodgskin lymphoma
 Chronic lymphocytic leukemia
 Castleman disease
 Retro peritoneal sarcoma
 thymoma
 Waldenstom’s macroglobulinemia
Histology
 Supra basal acantholysis, individual cell necrosis, vacuolar
interface dermatitis, lichenoid inflammation and
lymphocytic exocytosis
 The spectrum of changes can include:
(1) individual keratinocyte necrosis with lymphocytic
infiltration into the epidermis, reminiscent of that seen in
EMF or GVHD
(2) vacuolar interface change with sparse lymphocytic
infiltrate of the basilar epithelium, resembling LE and DM
(3) a thick lichenoid band along the DEJ
DIF
 the most characteristic changes are those of
deposition of IgG and complement components (C3)
on both the surface of basilar and suprabasilar
keratinocytes and along the epidermal basement
membrane zone
IIF and ELISA
 Identical to pemphigus vulgaris with staining of the
epidermal cell surface
 Demonstration of characteristic combination of
anti plakin and anti desmoglein auto antibodies by
ELISA
Special tests
 CT
 MRI
 Positron emission tomography/ computer tomog-
raphy (PET/CT) using fluorodeoxyglucose (FDG) as
a
biologically active molecule can be more specific
Diagnosis (Anhalt et al criteria)
1.Painful stomatitis and a polymorphous cutaneous eruption with
lesions that may be blistering, lichenoid, or resemble EMF .
2.Histologic findings that reflect the variability of the cutaneous
lesions, showing acantholysis, lichenoid, or interface change.
3.DIF findings of IgG and C3 deposition in the epidermal
intercellular spaces and granular/linear C3 deposition along the
epidermal BMZ
4.Serum autoantibodies that bind to the cell surface of skin and
mucosae in a pattern typical of pemphigus, but in addition, bind
to simple, columnar, and transitional epithelia.
5.The serum autoantibodies identify Dsg 1 and 3 in addition to
members of the plakin family of epithelial proteins, such as
desmoplakins, envoplakin, and periplakin
Differential diagnosis
Treatment
Thank you

Pemphigus - intra epidermal blistering disorders

  • 1.
  • 2.
    Types :  Pemphigusvulgaris  Pemphigus foliaceus  Paraneoplastic pemphigus
  • 3.
    Intoduction  Term ‘pemphigus’refers to a group of autoimmune blistering disorders of skin and mucous membrane that are characterised histologically by intraepidermal blisters due to acantholysis and immunopathologically by in vivo bound and circulating immunoglobulins directed against the cell surface of keratinocyte
  • 4.
  • 5.
    Introduction  Supra basalacantholysis  The patients PV may present with more localised disease, one form of which is called pemphigus vegetans of hallopeau and a slightly more extensive form called called pemphigus vegetans of neumann
  • 6.
    Epidemiology  Depends onthe geographic location as well as the ethnic population in that area  PV is more common in jews and also in people from mediterranean and middle east decent  Ratio of PV:PF ~ Iran – 12 :1 Finland – 0.5 :1  male : female ~ 1 : 1.33 or 2.25  Mean age of onset being 40 yrs
  • 7.
    Etiopathogenesis  Pemphigus antigensare desmogleins, transmembrane glycoproteins of desmosomes  Desmogleins are part of the cadherin superfamily of calcium- dependent cell adhesion molecules.  The PF antigen (as well as the fogo selvagem antigen) is desmoglein 1, a 160-kDa protein. The PV antigen is desmoglein 3, a 130-kDa protein  All patients with PV have antidesmoglein 3 antibodies, and some of these patients also have antidesmoglein 1 antibodies  PF patients typically have antibodies against only desmoglein 1
  • 9.
    Clinical findings  Cutaneouslesions  Vegetating lesions  Mucous membrane lesions
  • 10.
    Cutaneous lesions  Primarylesion – flaccid blister  Blisters are fragile resulting in erosions  May occur anywhere on the skin surface  NIKOLSKY SIGN – erosions can be extended into visibly normal skin by pulling the remnant of the blister wall or rubbing at the periphery of active lesions and erosions can be induced in normal- appearing skin distant from active lesions by pressure or mechanical shear force
  • 11.
    Vegetating lesions  Incertain patients, erosions have a tendency to develop excessive granulation tissue and crusting, referred to as vegetating lesions  Intertriginous areas, scalp and face
  • 12.
    Mucous membrane lesions Oropharynx  Gastro – intestinal tract ~ oesophagus, stomach, duodenum and anus  Vulvovaginal ,nasal, laryngeal and conjunctival mucosa can also get involved  Rare case reports of corneal erosions are also present
  • 13.
     Oral erosionsare painful and makes the patient unable to eat or drink  Painful mucous membrane lesions may be the presenting sign for 32% of the cases  These patients progress to a more generalised from in 5 months to 1 year period  Skin involvement without mucous membrane lesions is less common
  • 14.
    Laboratory tests  Skinbiopsy  Immunofluorescence – direct indirect  ELISA
  • 15.
    Histology  The characteristichistopathologic finding in PV is a suprabasal blister with acantholysis  The basal cells stay attached to the basement membrane, but may lose the contact with their neighbors; as a result, they may appear to be a “row of tombstones”  Usually, the upper epidermis remains intact
  • 16.
     Pemphigus vegetansshows not only suprabasilar acantholysis, but also papillomatosis of the dermal papillae and downward growth of epidermal stands into the dermis, with hyperkeratosis and scale- crust formation  In addition, pemphigus vegetans lesions may show intraepidermal abscesses composed of eosinophils or neutrophils.  Early PV lesions may show eosinophilic spongiosis
  • 17.
    Direct immunofluorescence  IgGauto-antibodies against the cell surface of keratinocytes in perilesional skin  It is important that the biopsy for DIF be performed on normal-appearing perilesional skin, as the immune reactants can be difficult to detect in blistered inflamed epidermis (leading to a false negative result)  This is a nonquantitative test (either negative or positive)
  • 18.
    Indirect immunoflourescence  Performedby incubating serial dilutions of patients sera with epithelial substrates.  It is reported as a semiquantitative titer (indicating the last dilution at which the serum demonstrates a positive cell surface staining pattern)  Pemphigus patients have circulating antiepithelial cell surface IgG
  • 19.
    ELISA  more sensitiveand specific than immunofluorescence  ELISAs are easier to perform and less subjective  Use desmogleins 1,3 bound to plates, which are then incubated with patient sera and developed with antihuman IgG reagents  help differentiate between PV and PF due to the different autoantigen profiles
  • 20.
  • 21.
    Introduction  Subcorneal acantholysis Patients with PF may present with a more localised disease called PEMPHIGUS ERYTHEMATOSUS
  • 22.
    Epidemiology  Dependent onlocation  Endemic foci – brazil, colombia and tunisia  FOLO SELVAGEM (wild fire)  Fogo selvagem occurs often in children and young adults, unlike sporadic PF, which is a disease of mostly middle-aged and older patients
  • 23.
    Clinical findings  Thecharacteristic clinical lesions of PF are scaly, crusted erosions, often on an erythematous base  In more localized and early disease, these lesions are usually well demarcated and scattered in a seborrheic distribution, including the face, scalp, and upper trunk  In contrast to patients with PV, those with PF very rarely, if ever, have mucous membrane involvement, even with widespread disease.
  • 24.
    Histology  Acantholysis justbelow the stratum corneum and in the granular layer  The epidermis, below the granular layer, remains intact.  Another frequent finding is subcorneal pustules, with neutrophils and acantholytic epidermal cells in the blister cavity
  • 25.
    Drug induced pemphigus Association with penicillamine and captopril is the most significant  PF is more common than PV  Both penicillamine and captopril contain sulfhydryl groups that are postulated to interact with the sulfhydryl groups in desmoglein 1, 3
  • 26.
    Treatment  Corticosteroids  Immunosuppressiveagents - azathioprine mycophenolate mofetil cyclophosphamide dapsone  Additional therapies - rituximab, plasmapheresis, intravenous immunoglobulin
  • 27.
    Corticosteroids  1 to1.5 mg/kg/ day of prednisolone equivalent used singly or in combination with adjuvant immunosuppressive therapy  Some recommend controlling initial phase with high doses ( upto 240mg/day)  Topical - used to help heal new lesions - mucosal disease benefitted from swish and spit method
  • 28.
    DCP pulse therapy Day 1 : Iv administration of 100mg dexamethasone with 500mg cyclophosphamide in 500ml of 5% dextrose over 1-2 hrs  Day 2 and day 3 : 100mg dexamethasone Pulses repeated every 4 weeks On remaining days, 50 mg of cyclophosphamide given orally 4 phases
  • 29.
    Immunosuppressive agents  Azathioprine- 2.5mg/kg/day Due to its toxicity it is reasonable to start with 50- 100mg daily  Mycophenolate mofetil - 30-40 mg/kg/day twice daily  Cyclophosphamide - 1- 2.5mg/kg/day or daily oral therapy of 50 mg
  • 30.
    Additional therapy  Rituximab- monoclonal anti CD20 antibody, targets B cells, the precursors of antibody producing cells IV dose of 375mg/m2 once every 4 weeks  Intravenous immunoglobulins - gamma globulin in high doses is given
  • 31.
  • 32.
    Introduction  It isan autoimmune mucocutaneous blistering disorder characterized by an associated neoplasm and the presence of unique antibodies directed at desmosomal plakins  HLA-DRB1*03
  • 33.
    Etiopathogenesis 3 mechanisms postulates:  Molecular mimicry - an immune response against tumor antigens cross reacts with normal epithelium  Tumor may cause cytokine dysregulation leading to synthesis of antibodies to pemphigus autoantigen Dsg 3, with a subsequent secondary autoimmune reaction to intercellular proteins of plakins  Epitope spreading - tumor induces a cell mediated lichenoid interface dermatitis that uncovers previously hidden antigens
  • 34.
    Clinical features  Age- 45 to 70 yrs  Recalcitrant stomatitis - painful erosions of oropharynx and vermilion border of lips  Polymorphous and pruritic  Mucocutaneous lesions  Palmoplantar target lesions  Bronchiolitis obliterans  malignancies
  • 35.
    Malignancies associated are:  Non - hodgskin lymphoma  Chronic lymphocytic leukemia  Castleman disease  Retro peritoneal sarcoma  thymoma  Waldenstom’s macroglobulinemia
  • 36.
    Histology  Supra basalacantholysis, individual cell necrosis, vacuolar interface dermatitis, lichenoid inflammation and lymphocytic exocytosis  The spectrum of changes can include: (1) individual keratinocyte necrosis with lymphocytic infiltration into the epidermis, reminiscent of that seen in EMF or GVHD (2) vacuolar interface change with sparse lymphocytic infiltrate of the basilar epithelium, resembling LE and DM (3) a thick lichenoid band along the DEJ
  • 38.
    DIF  the mostcharacteristic changes are those of deposition of IgG and complement components (C3) on both the surface of basilar and suprabasilar keratinocytes and along the epidermal basement membrane zone
  • 39.
    IIF and ELISA Identical to pemphigus vulgaris with staining of the epidermal cell surface  Demonstration of characteristic combination of anti plakin and anti desmoglein auto antibodies by ELISA
  • 40.
    Special tests  CT MRI  Positron emission tomography/ computer tomog- raphy (PET/CT) using fluorodeoxyglucose (FDG) as a biologically active molecule can be more specific
  • 41.
    Diagnosis (Anhalt etal criteria) 1.Painful stomatitis and a polymorphous cutaneous eruption with lesions that may be blistering, lichenoid, or resemble EMF . 2.Histologic findings that reflect the variability of the cutaneous lesions, showing acantholysis, lichenoid, or interface change. 3.DIF findings of IgG and C3 deposition in the epidermal intercellular spaces and granular/linear C3 deposition along the epidermal BMZ 4.Serum autoantibodies that bind to the cell surface of skin and mucosae in a pattern typical of pemphigus, but in addition, bind to simple, columnar, and transitional epithelia. 5.The serum autoantibodies identify Dsg 1 and 3 in addition to members of the plakin family of epithelial proteins, such as desmoplakins, envoplakin, and periplakin
  • 42.
  • 43.
  • 44.