BENIGN BONE TUMORS
Dr. Debesh Shrestha
1st year resident
Department of Orthopaedics
GMC
 Bone tumors may be defined as a new growth
arising in a bone or derived from cells which
are components of skeletal tissue
Characters of benign tumor
Radiographic features
Benign bone tumors (Revised WHO
classification 1994)
 Bone forming
 Osteoma
 Osteoid osteoma
 Osteoblastoma
 Cartilage forming
 Chondroma
 Osteochondroma
 Chondroblastoma
 Chondromyxoid fibroma
 Fibrous tissue
 Fibroma
 Fibromatosis
 Giant cell tumors
 Benign osteoclastoma
 Vascular tissue
 Hemangioma
 Hemangiopericytoma
 Hemangioendothelioma
 Other connective tissue
 Fibroma
 Fibrous histiocytoma
 Lipoma
 Other tumors
 Neurofibroma
 Neurilemmoma
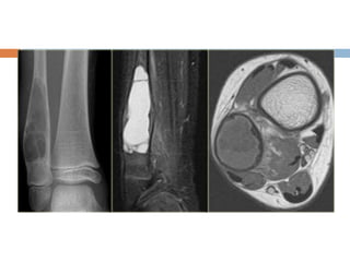
Osteoid Osteoma
 10% of benign bone tumors
 2nd – 3rd decade of life
 M:F = 3:1
 Lesion <1.5 cm
 Predilection for lower extremity – femur/ tibia
(half the cases)
 Malignant changes not documented
Clinical features
 Persistent pain
 Worse at night
 Relieved by NSAIDs (Aspirin)
 When lesion near joint– swelling, stiffness and
contracture
 When lesion in vertebra– scoliosis
Diagnosis
 X-ray/CT
 Lesion is small (<1.5 cm) central radiolucent nidus
with surrounding bony sclerosis
 CT is the best to identify nidus
 Technetium bone scan
 Increased uptake by the nidus
 MRI
 Limited role
 Soft tissue changes and surrounding edema
Bony trabeculae surrounded by loose fibrovascular
tissue
Treatment
1. Medical treatment
2. Percutaneous radiofrequency ablation
3. Open surgical procedures
Medical treatment
 If patient is willing and symptoms adequately
controlled
 NSAIDs
 Spontaneous healing in 3-4 years
Percutaneous radiofrequency
ablation
 For lesions of pelvis and long bones
 CT guided core needle biopsy after which a
radiofrequency electrode is inserted through
the canula of the biopsy needle
 Temperature of tip -90 degrees for 6 mins
 Outpatient procedure
 Recurrence <10%
 Not indication for vertebral lesions and small
bones of hands and feet (thermal injury)
Surgical management
1. Curettage
2. En bloc resection– low recurrence rate but
rarely indicated in long bones (post operative
fracture)
Burr-down technique
 Identify nidus by fluoroscopy
 Remove sclerotic bone overlying nidus by
power burr
 Nidus removed using curet
 Cavity treated again with power drill to remove
entire nidus
 Recurrence<10%
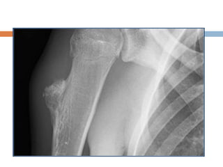
Osteoblastoma
 Giant osteoid osteoma
 Larger >1.5 cm
 3% of all benign bone tumors
 Young adults (10-25 years)
 M:F = 2:1
 Site : Spine (most common),
metaphysis/diaphysis of long bones, small
bones of hands/feet
Clinical features
 Pain
 No night pain
 Not relieved by NSAIDs
Diagnosis
 X-ray
 Well demarcated osteolytic lesion
 May contain flecks of ossification
 Surrounding sclerosis (thin)
 CT scan: investigation of choice
 Radioisotope scan: increased uptake
 MRI : soft tissue and intraspinal extension
anastomosing bony trabeculae
separated by loose fibrovascular
stroma.
Treatment
 Excision and bone grafting
 Local recurrence common
 Malignant transformation reported
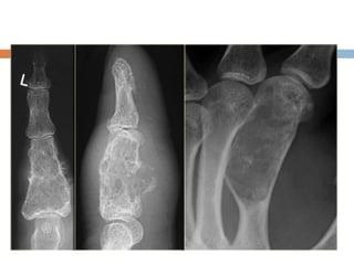
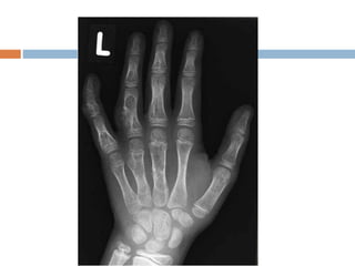
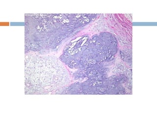
Chondroma
 Benign lesions of hyaling cartilage
 Common
 Affects all age groups
 Any bone can be involved but mainly affects
phalanges of the hands and feet
 Usually asymptomatic and discovered
incidentally or after a pathologic fracture
 Enchondromas: arise in the medullary cavity
 Periosteal/juxta-cortical chondromas: arise on
the surface of the bone (rare)
Multiple enchondromatosis
 Ollier disease
 rare
 Multiple enchondromatosis
 Many cartilaginous tumors appear in the large
and small tubular bones and in the flat bones
 Maffuci syndrome
 Multiple enchondromatosis occuring in
association with soft tissue hemangiomas
 Individual lesions are similar to solitary
enchondromas
 They have a tendency to become malignant
 25% of patients with Ollier disease are
diagnosed with sarcomas by 40.
Diagnosis
 Radiography
 Benign appearing tumors
 Translucent
 Intralesional calcification– irregular
(stippled/punctate/popcorn)
 Small bones of hand hands and feet–
considerable erosion and expansion of the
overlying cortex
 Long bones– deep endosteal erosion (>2/3 of
the thickness of cortex) indicates a
chondrosarcoma
 Associated soft tissue mass– indicates
chondrosarcoma
Histology
 Consists of mature hyaline cartilage
 Proximally located enchondromas–
hypocelluar
(hypercellularity/ atypia in proximally located
enchondromas indicates chondrosarcoma)
 Enchondromas of hand, juxta-cortical
chondromas and multiple enchondromatosis
may be relatively hypercellular and mild atypia
but still be benign
Treatment
 Solitary enchondromas
 observation and serial radiographs
 If asymptomatic and radiographically stable—
no further intervention
 If symptomatic or lesion grows– extended
curettage
 Recurrence is low
 Multiple enchondromatosis
 More difficult
 Lesions are not treated individually
 Obvious deformities corrected by osteotomy
 Monitored indefinitely for malignant changes
Osteochondroma
 Common
 Development malformations rather than true
neoplasms
 Originate within the periosteum as small
cartilaginous nodules
 Produced by progressive endochondral
ossification of a growing cartilaginous cap
 Growth of lesion parallels that of the patient and
stops once skeletal maturity is reached
 Most lesions found during the period of rapid
skeletal growth.
 Single lesion—90%
 Site– may involve any bone formed in cartilage
usually found on metaphysis of long bone
near the physis (distal femur, proximal tibia,
proximal humerus)
 Osteochondromas are of 2 types:
1. Pedunculated (more common)
2. Sessile
 Malignant degeneration– 1% for solitary
osteochondroma and 5% for multiple
osteochondromas
 Rarely develop in a joint
 Trevor disease (dysplasia epiphysealis
hemimelica) refers to intra-articular epiphyseal
osteochondroma
Clinical feature
 Asymptomatic mostly
 Discovered incidentally
 Mechanical symptoms
 Pathological fracture
 Neuropathies due to compression of nerve by
tumor
Hereditary multiple exostoses
 Autosomal dominant
 Multiple osteochondromas in bones arising
from osteochondral ossification
 Skeletal deformities and short stature
 Defect in EXT1/EXT2 genes
Diagnosis
 X-ray
 Eccentric bony outgrowth from metaphyseal
region of long bone composed of cortical and
medullary portions which are continuous with
the cortex and medulla of the underlying bone
 Cap not visible
 Usually sufficient
Treatment
 Small asymptomatic lesions—observation
 Indications for surgical excision:
1. Cosmesis
2. Joint dysfunction
3. Fracture
4. Impingement of nerve, vessels, tendons
5. Malignant change
Surgery
 Complete excision of osteochondroma
including the perichondrium
 Recurrence if incomplete removal
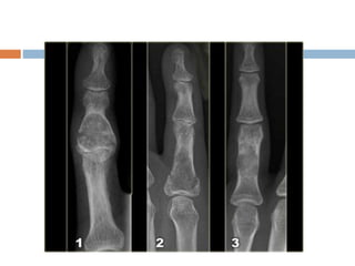
Chondroblastoma
 Benign tumor of immature cartilage
 Occurs primarily in the epiphysis
 Usually proximal humerus, femur or tibia
 Age– around the end of growth period or in
early adult life
 Male predilection
Clinical feature
 Constant pain over the joint
 Tenderness over the adjacent bone
Diagnosis
Rounded, well demarcated radiolucent area in the epiphysis
No central calcification
Sometimes the lesion extends across the physeal line
Occasionally the articular surface is breached
Large collection of chondroblasts
surrounded by immature fibrous tissue
Scattered giant cells seen
Treatment
 Lesion removed after the end of growth period
 options
1. Marginal excision (less satisfactory)
2. Curettage
3. Alcohol or phenol cauterization
 Recurrence if incomplete resection
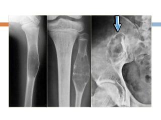
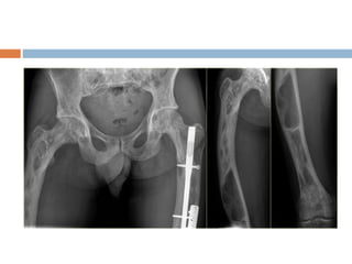
Fibrous dysplasia
 Developmental disorder in which areas of
trabecular bone are replaced by cellular
fibrous tissue containing flecks of osteoid and
woven bone.
 May affect one bone (mono-ostotic), one limb
(monomelic) or many bones (polyostotic)
 Sites– proximal femur, tibia, humerus, ribs and
cranio-facial bones
Clinical features
 Small single lesion asymptomatic
 Large mono-ostotic lesions– pain or
pathological fracture
 Polyostotic disease– pain, limp, bony
enlargement, deformity or pathological fracture
 Albright syndrome = fibrous dysplasia + cafe-
au-lait spots + precocious puberty in girls
 Malignant transformation– 0.5% in mono-
ostotic lesion and upto 5% in Albright
syndrome
Diagnosis
 X-ray
 Radiolucent cystic areas in the metaphysis or
shaft
 The lucent areas have a hazy or ground glass
appearance (due to fibrous tissue)
 Weight bearing bone may be bent –
shepherd’s crook deformity of proximal femur
Osteoid trabeculae that are narrow, curvilinear or
irregularly-shaped are arranged haphazardly in a
background of dense fibroblastic stroma.
Treatment
 Small lesions– no treatment
 Large,painful and fracture– curet and graft
 Recurrence may occur
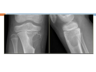
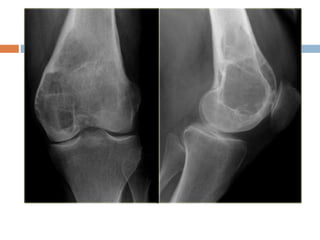
Giant cell tumor
 5% of all primary bone tumors.
 Uncertain origin
 appear in mature bone
 Hardly seen before closure of nearby physis
 Most common site: distal femur, proximal tibia,
proximal humerus, distal radius
Clinical features
 Young adult
 Pain at end of long bone
 Slight swelling (sometime)
 Hx of trauma not uncommon
 Pathological # 10-15%
 O/E: palpable mass with raised local
temperature
Xray
 Radiolucent area eccentrically at end of long
bone, bounded by sub-chondral plate
 Center has soap bubble appearance due to
ridging of surrounding bone
 Cortex is thin and ballooned
 Appearance of cystic lesion in mature bone
extending upto subchondral plate is
characterstic.
 Detail staging and extent of tumor can be done
by CT and MRI (imp to establish if articular
surface has been breached or not)
 Biopsy ; essential
 Potential to transform into osteosarcoma
 Rarely metastasize into lungs
numerous multinucleated giant
cells scattered in a background of uniform
mononuclear cells
Treatment
 Benign histology tumor: Curettege and
stripping of cavity with burrs and gouges
followed by swabing with hydrogen peroxide
 Aggressive: excision followed by bone grafting
or prosthetic replacement.
Chondromyxoid fibroma
 May occur any bone, more on bone of lower
limb
 Seen in adolescent and young adults
 Discovered on accident or after pathological #
 Malignant change rare
Xrays
 Very characteristic
 Rounded or ovoid radiolucent area placed
eccentrically in metaphysis
 In children extend upto physis
 Endosteal margin may be scalloped but
always bounded by dense zone of reactive
bone extending tongue like towards diaphysis
 Cortex asymmetrically expanded
Patches of myxomatous tissue + island of
hyaline cartilage + area of fibrous tissue
Treatment
 Excision
 Curettage followed by autologous bone
grafting
 Risk of recurrence present
 Care taken to prevent damage to physis or
nearby joint.
Simple bone cyst
 aka solitary cyst or unicameral bone cyst
 Appear in childhood.
 Metaphysis of long bone: mostly in proximal
humerus or femur
 It is not a tumor, Heal spontaneosly
 Never seen in adults.
 Discovered after pathological # or incidental
finding on xray.
Xray
 Well demarcated radiolucent area in
metaphysis
 often extending upto physeal plate
 Cortex may be thinned and bone expanded.
 Needle inserted into cyst on x-ray control;
straw colored fluid filled will be withdrawn
Treatment
 Asymptomatic lesion can be left alone but
cautioned to avoid injury
 Active cyst: aspiration of fluid and injection of
80-160mg methylprednisolone or autologous
bone marrow
 If cyst enlarging with pathological #: clean
cavity by curettege and packed by bone chips
 Recurrence with need of more than one
surgery.
Aneurysmal bone cyst
 At any age ,more on young adults
 Any bone, more on long bone metaphysis
 Arises spontaneously or after degenaration or
hemorrhage in some other lesion.
 Pain is most common complain
 Large cyst may cause visible or palpable
swelling of bone.
 Malignant transformation does not occur
Xray
 Well defined radiolucent cyst
 Trabeculated and eccentrically placed
 In growing tubular bone, vertebrae and flat
bones
 In adult may confuse with GCT
 Marked ballooning of bone end
large cystic spaces separated by septa
containing giant cells and spindle cells.
The spaces may be filled with blood and
lack an endothelial lining
Treatment
 Thoroughly curetted and packed with bone
graft
 Recurrence common as graft resorbed
 In recurrence: packing with
methylmethacrylate cement may be effective
 Occasionally heal spontaneously.
Osseus Hemangioma
 Consists of vascular channels
(capillary/venous/cavernous)
 Usually middle aged patients
 Spine- common site
 Asymptomatic / back ache
 Treatment– embolization
followed by operation
Coarse vertical
trabeculation
“corduroy
appearance”
References
 Campbell’s operative orthopaedics
 Apley’s system of orthopaedics and fractures
 Turek’s orthopaedics applications and their
applications
 www.webpathology.com
 www.radiologyassistant.com
Benign bone tumors

Benign bone tumors

  • 1.
    BENIGN BONE TUMORS Dr.Debesh Shrestha 1st year resident Department of Orthopaedics GMC
  • 2.
     Bone tumorsmay be defined as a new growth arising in a bone or derived from cells which are components of skeletal tissue
  • 3.
  • 5.
  • 6.
    Benign bone tumors(Revised WHO classification 1994)  Bone forming  Osteoma  Osteoid osteoma  Osteoblastoma  Cartilage forming  Chondroma  Osteochondroma  Chondroblastoma  Chondromyxoid fibroma
  • 7.
     Fibrous tissue Fibroma  Fibromatosis  Giant cell tumors  Benign osteoclastoma  Vascular tissue  Hemangioma  Hemangiopericytoma  Hemangioendothelioma
  • 8.
     Other connectivetissue  Fibroma  Fibrous histiocytoma  Lipoma  Other tumors  Neurofibroma  Neurilemmoma
  • 10.
    Osteoid Osteoma  10%of benign bone tumors  2nd – 3rd decade of life  M:F = 3:1  Lesion <1.5 cm  Predilection for lower extremity – femur/ tibia (half the cases)  Malignant changes not documented
  • 11.
    Clinical features  Persistentpain  Worse at night  Relieved by NSAIDs (Aspirin)  When lesion near joint– swelling, stiffness and contracture  When lesion in vertebra– scoliosis
  • 12.
    Diagnosis  X-ray/CT  Lesionis small (<1.5 cm) central radiolucent nidus with surrounding bony sclerosis  CT is the best to identify nidus  Technetium bone scan  Increased uptake by the nidus  MRI  Limited role  Soft tissue changes and surrounding edema
  • 14.
    Bony trabeculae surroundedby loose fibrovascular tissue
  • 15.
    Treatment 1. Medical treatment 2.Percutaneous radiofrequency ablation 3. Open surgical procedures
  • 16.
    Medical treatment  Ifpatient is willing and symptoms adequately controlled  NSAIDs  Spontaneous healing in 3-4 years
  • 17.
    Percutaneous radiofrequency ablation  Forlesions of pelvis and long bones  CT guided core needle biopsy after which a radiofrequency electrode is inserted through the canula of the biopsy needle  Temperature of tip -90 degrees for 6 mins  Outpatient procedure  Recurrence <10%  Not indication for vertebral lesions and small bones of hands and feet (thermal injury)
  • 18.
    Surgical management 1. Curettage 2.En bloc resection– low recurrence rate but rarely indicated in long bones (post operative fracture)
  • 19.
    Burr-down technique  Identifynidus by fluoroscopy  Remove sclerotic bone overlying nidus by power burr  Nidus removed using curet  Cavity treated again with power drill to remove entire nidus  Recurrence<10%
  • 20.
    Osteoblastoma  Giant osteoidosteoma  Larger >1.5 cm  3% of all benign bone tumors  Young adults (10-25 years)  M:F = 2:1  Site : Spine (most common), metaphysis/diaphysis of long bones, small bones of hands/feet
  • 21.
    Clinical features  Pain No night pain  Not relieved by NSAIDs
  • 22.
    Diagnosis  X-ray  Welldemarcated osteolytic lesion  May contain flecks of ossification  Surrounding sclerosis (thin)  CT scan: investigation of choice  Radioisotope scan: increased uptake  MRI : soft tissue and intraspinal extension
  • 24.
    anastomosing bony trabeculae separatedby loose fibrovascular stroma.
  • 25.
    Treatment  Excision andbone grafting  Local recurrence common  Malignant transformation reported
  • 26.
    Chondroma  Benign lesionsof hyaling cartilage  Common  Affects all age groups  Any bone can be involved but mainly affects phalanges of the hands and feet  Usually asymptomatic and discovered incidentally or after a pathologic fracture
  • 27.
     Enchondromas: arisein the medullary cavity  Periosteal/juxta-cortical chondromas: arise on the surface of the bone (rare)
  • 29.
    Multiple enchondromatosis  Ollierdisease  rare  Multiple enchondromatosis  Many cartilaginous tumors appear in the large and small tubular bones and in the flat bones
  • 31.
     Maffuci syndrome Multiple enchondromatosis occuring in association with soft tissue hemangiomas  Individual lesions are similar to solitary enchondromas  They have a tendency to become malignant  25% of patients with Ollier disease are diagnosed with sarcomas by 40.
  • 32.
    Diagnosis  Radiography  Benignappearing tumors  Translucent  Intralesional calcification– irregular (stippled/punctate/popcorn)  Small bones of hand hands and feet– considerable erosion and expansion of the overlying cortex
  • 34.
     Long bones–deep endosteal erosion (>2/3 of the thickness of cortex) indicates a chondrosarcoma  Associated soft tissue mass– indicates chondrosarcoma
  • 36.
    Histology  Consists ofmature hyaline cartilage  Proximally located enchondromas– hypocelluar (hypercellularity/ atypia in proximally located enchondromas indicates chondrosarcoma)  Enchondromas of hand, juxta-cortical chondromas and multiple enchondromatosis may be relatively hypercellular and mild atypia but still be benign
  • 38.
    Treatment  Solitary enchondromas observation and serial radiographs  If asymptomatic and radiographically stable— no further intervention  If symptomatic or lesion grows– extended curettage  Recurrence is low
  • 39.
     Multiple enchondromatosis More difficult  Lesions are not treated individually  Obvious deformities corrected by osteotomy  Monitored indefinitely for malignant changes
  • 40.
    Osteochondroma  Common  Developmentmalformations rather than true neoplasms  Originate within the periosteum as small cartilaginous nodules  Produced by progressive endochondral ossification of a growing cartilaginous cap
  • 41.
     Growth oflesion parallels that of the patient and stops once skeletal maturity is reached  Most lesions found during the period of rapid skeletal growth.  Single lesion—90%  Site– may involve any bone formed in cartilage usually found on metaphysis of long bone near the physis (distal femur, proximal tibia, proximal humerus)
  • 42.
     Osteochondromas areof 2 types: 1. Pedunculated (more common) 2. Sessile  Malignant degeneration– 1% for solitary osteochondroma and 5% for multiple osteochondromas
  • 43.
     Rarely developin a joint  Trevor disease (dysplasia epiphysealis hemimelica) refers to intra-articular epiphyseal osteochondroma
  • 44.
    Clinical feature  Asymptomaticmostly  Discovered incidentally  Mechanical symptoms  Pathological fracture  Neuropathies due to compression of nerve by tumor
  • 45.
    Hereditary multiple exostoses Autosomal dominant  Multiple osteochondromas in bones arising from osteochondral ossification  Skeletal deformities and short stature  Defect in EXT1/EXT2 genes
  • 46.
    Diagnosis  X-ray  Eccentricbony outgrowth from metaphyseal region of long bone composed of cortical and medullary portions which are continuous with the cortex and medulla of the underlying bone  Cap not visible  Usually sufficient
  • 49.
    Treatment  Small asymptomaticlesions—observation  Indications for surgical excision: 1. Cosmesis 2. Joint dysfunction 3. Fracture 4. Impingement of nerve, vessels, tendons 5. Malignant change
  • 50.
    Surgery  Complete excisionof osteochondroma including the perichondrium  Recurrence if incomplete removal
  • 51.
    Chondroblastoma  Benign tumorof immature cartilage  Occurs primarily in the epiphysis  Usually proximal humerus, femur or tibia  Age– around the end of growth period or in early adult life  Male predilection
  • 52.
    Clinical feature  Constantpain over the joint  Tenderness over the adjacent bone
  • 53.
    Diagnosis Rounded, well demarcatedradiolucent area in the epiphysis No central calcification Sometimes the lesion extends across the physeal line Occasionally the articular surface is breached
  • 54.
    Large collection ofchondroblasts surrounded by immature fibrous tissue Scattered giant cells seen
  • 55.
    Treatment  Lesion removedafter the end of growth period  options 1. Marginal excision (less satisfactory) 2. Curettage 3. Alcohol or phenol cauterization  Recurrence if incomplete resection
  • 56.
    Fibrous dysplasia  Developmentaldisorder in which areas of trabecular bone are replaced by cellular fibrous tissue containing flecks of osteoid and woven bone.  May affect one bone (mono-ostotic), one limb (monomelic) or many bones (polyostotic)  Sites– proximal femur, tibia, humerus, ribs and cranio-facial bones
  • 57.
    Clinical features  Smallsingle lesion asymptomatic  Large mono-ostotic lesions– pain or pathological fracture  Polyostotic disease– pain, limp, bony enlargement, deformity or pathological fracture  Albright syndrome = fibrous dysplasia + cafe- au-lait spots + precocious puberty in girls  Malignant transformation– 0.5% in mono- ostotic lesion and upto 5% in Albright syndrome
  • 58.
    Diagnosis  X-ray  Radiolucentcystic areas in the metaphysis or shaft  The lucent areas have a hazy or ground glass appearance (due to fibrous tissue)  Weight bearing bone may be bent – shepherd’s crook deformity of proximal femur
  • 60.
    Osteoid trabeculae thatare narrow, curvilinear or irregularly-shaped are arranged haphazardly in a background of dense fibroblastic stroma.
  • 61.
    Treatment  Small lesions–no treatment  Large,painful and fracture– curet and graft  Recurrence may occur
  • 62.
    Giant cell tumor 5% of all primary bone tumors.  Uncertain origin  appear in mature bone  Hardly seen before closure of nearby physis  Most common site: distal femur, proximal tibia, proximal humerus, distal radius
  • 63.
    Clinical features  Youngadult  Pain at end of long bone  Slight swelling (sometime)  Hx of trauma not uncommon  Pathological # 10-15%  O/E: palpable mass with raised local temperature
  • 64.
    Xray  Radiolucent areaeccentrically at end of long bone, bounded by sub-chondral plate  Center has soap bubble appearance due to ridging of surrounding bone  Cortex is thin and ballooned  Appearance of cystic lesion in mature bone extending upto subchondral plate is characterstic.
  • 66.
     Detail stagingand extent of tumor can be done by CT and MRI (imp to establish if articular surface has been breached or not)  Biopsy ; essential
  • 67.
     Potential totransform into osteosarcoma  Rarely metastasize into lungs
  • 68.
    numerous multinucleated giant cellsscattered in a background of uniform mononuclear cells
  • 69.
    Treatment  Benign histologytumor: Curettege and stripping of cavity with burrs and gouges followed by swabing with hydrogen peroxide  Aggressive: excision followed by bone grafting or prosthetic replacement.
  • 70.
    Chondromyxoid fibroma  Mayoccur any bone, more on bone of lower limb  Seen in adolescent and young adults  Discovered on accident or after pathological #  Malignant change rare
  • 71.
    Xrays  Very characteristic Rounded or ovoid radiolucent area placed eccentrically in metaphysis  In children extend upto physis  Endosteal margin may be scalloped but always bounded by dense zone of reactive bone extending tongue like towards diaphysis  Cortex asymmetrically expanded
  • 73.
    Patches of myxomatoustissue + island of hyaline cartilage + area of fibrous tissue
  • 74.
    Treatment  Excision  Curettagefollowed by autologous bone grafting  Risk of recurrence present  Care taken to prevent damage to physis or nearby joint.
  • 75.
    Simple bone cyst aka solitary cyst or unicameral bone cyst  Appear in childhood.  Metaphysis of long bone: mostly in proximal humerus or femur  It is not a tumor, Heal spontaneosly  Never seen in adults.  Discovered after pathological # or incidental finding on xray.
  • 76.
    Xray  Well demarcatedradiolucent area in metaphysis  often extending upto physeal plate  Cortex may be thinned and bone expanded.  Needle inserted into cyst on x-ray control; straw colored fluid filled will be withdrawn
  • 78.
    Treatment  Asymptomatic lesioncan be left alone but cautioned to avoid injury  Active cyst: aspiration of fluid and injection of 80-160mg methylprednisolone or autologous bone marrow  If cyst enlarging with pathological #: clean cavity by curettege and packed by bone chips  Recurrence with need of more than one surgery.
  • 79.
    Aneurysmal bone cyst At any age ,more on young adults  Any bone, more on long bone metaphysis  Arises spontaneously or after degenaration or hemorrhage in some other lesion.  Pain is most common complain  Large cyst may cause visible or palpable swelling of bone.  Malignant transformation does not occur
  • 80.
    Xray  Well definedradiolucent cyst  Trabeculated and eccentrically placed  In growing tubular bone, vertebrae and flat bones  In adult may confuse with GCT  Marked ballooning of bone end
  • 82.
    large cystic spacesseparated by septa containing giant cells and spindle cells. The spaces may be filled with blood and lack an endothelial lining
  • 83.
    Treatment  Thoroughly curettedand packed with bone graft  Recurrence common as graft resorbed  In recurrence: packing with methylmethacrylate cement may be effective  Occasionally heal spontaneously.
  • 84.
    Osseus Hemangioma  Consistsof vascular channels (capillary/venous/cavernous)  Usually middle aged patients  Spine- common site  Asymptomatic / back ache  Treatment– embolization followed by operation Coarse vertical trabeculation “corduroy appearance”
  • 85.
    References  Campbell’s operativeorthopaedics  Apley’s system of orthopaedics and fractures  Turek’s orthopaedics applications and their applications  www.webpathology.com  www.radiologyassistant.com