Osteoid Osteoma

Vinod Naneria
Girish Yeotikar
Arjun Wadhwani
Choithram Hospital & Research Centre, Indore
India
Osteoid Osteoma
• Benign neoplasm most often seen in young
males.
• Found in the first three decades of life,
occasionally reported in older patients.
• Incidence is 13.5% in all benign tumors of
bones.
• M/F ratio is 4:1.
• Bergstrand -first described in 1930.
• Jaffe in 1935 - first to recognize it as a unique
entity.
Osteoid Osteoma
• Any bone can be involved,
• There is a predilection for the lower extremity,
with half the cases involving the femur or
tibia.
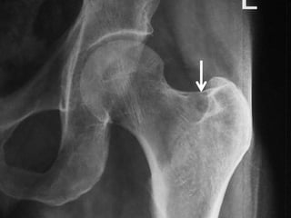
• The tumor may be found in cortical or
cancellous bone, producing a distinct x-ray
appearance of cortical sclerosis.
• 5% of tumors are subperiosteal.
Osteoid Osteoma
• Multicentric foci have been reported.
• No malignant change has ever been
documented.
• The typical patient has pain that is worse
at night and relieved by aspirin.
Osteoid Osteoma
• When the lesion is near a joint, swelling,
stiffness, and contracture may occur.
• When in a vertebra, scoliosis may occur.
• Occasionally, osteoid osteoma occurs
with minimal pain.
• In children, overgrowth and angular
deformities may occur.
Osteoid Osteoma - Diagnosis
• Routine roentgenograms often are diagnostic,
but bone scans or CT are often required to
localize the lesion accurately.
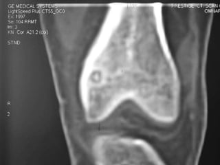
Osteoid Osteoma
• CT may detect the nidus, whereas
roentgenograms show only sclerosis.
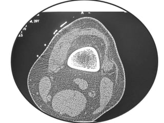
Osteoid Osteoma - CT
• CT is more accurate than MRI.
• CT helped in confirming the diagnosis of
osteoid osteoma in 74% of cases.
• Szendroi et al reported accuracies of about
66% in the diagnosis of intra-articular lesions
and 90% in extra-articular lesions.
• To date, CT scanning is the primary
investigational tool for the definitive diagnosis
of osteoid osteoma.
Osteoid Osteoma – Bone scan
• To date, no negative bone-scan findings have
been reported in patients with osteoid
osteoma.
• Bone scanning is currently the most accurate
means of localizing the tumour.
• Wells et al noted that the sensitivity of
skeletal bone scan for osteoid osteoma is
100%.
Osteoid Osteoma – Bone scan
• A bone scan is helpful in
detecting the "doubledensity sign," which is a
focal area of increased
activity with a second
smaller area of
increased uptake
superimposed on it, is
said to be diagnostic of
osteoid osteoma.
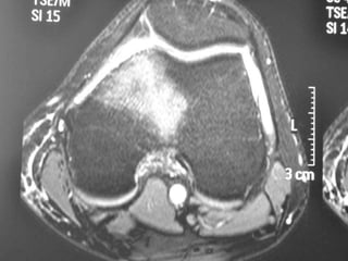
Osteoid Osteoma - MRI
• MRI has not been useful in the diagnosis of
osteoid osteoma.
• MRI is reserved for equivocal cases because it
can suggest the diagnosis of osteoid osteoma.
• MRI interpretation may result in errors in
diagnosis, most often confusion with
malignancies.
Natural History
• The literature suggests a history of resolving
pain and healing of the lesions.
• The course of this disease is unpredictable and
protracted, with intervals of resolution of pain
that sometimes last 6-15 years.
Natural History - Stages
• Atar et al (1992) described 2 stages of the
disease.
• The first is an acutely painful stage that lasts
18-36 months, during which patients require
steady use of analgesics.
• The second is the recovery stage, which
includes healing of the nidus and which
usually takes 3-7 years.
Natural History
• Barei et al noted that healing
involves ossification of the
untreated nidus, which cannot be
readily distinguished from
surrounding bone and which
resembles a localized zone of
cortical hypertrophy.
Osteoid Osteoma - Tx
• En bloc resection
• The entire nidus must be removed.
• Block resection of the nidus.

• Unroofing and curettage
• An alternative method - shave the reactive
bone with a sharp osteotome until the nidus is
encountered, then curettage of the exposed
nidus.
Osteoid Osteoma - Tx
• Intraoperative localization of the
nidus is possible with
preoperatively injected
technetium-labeled methylene
diphosphonate and a sterile,
wrapped Geiger counter.
Osteoid Osteoma - Tx
• Excision of the osteoid osteoma nidus using
CT–assisted localization, a Kirschner wire
inserted into the nidus, and a biopsy punch
inserted over the Kirschner wire into the
bone.
• They recommend using a trephine 2 mm
larger than the lesion for complete removal.
• Recurrence after apparently complete excision
has been reported but is rare.
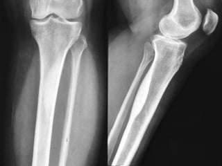
• A CT guided needle was passed to localize the
lesion.
• Through an anterior "Hernia" approach the
lesion was approached and excised.
• The Follow-up CT Scanning done to reveal
complete removal of lesion.
• A biopsy confirmed it later.
Post op – after drilling
CT – Guided Drilling
•
•
•
•
•
•
•
•

OPD procedure,
Localization of the nidus in CT Scan,
Local anesthesia,
K-wire passed into nidus,
Transferred to OT,
Short GA,
Drilling of the nidus by a cannulated drill,
Complete relief of pain.
Referrence
CT-guided percutaneous drilling is a safe and reliable
method of treating osteoid osteomas Edgard Eduard Engel,
Nelson Fabrício Gava,
Marcello Henrique Nogueira-Barbosa,
Filipe Almeida Botter
• doi:10.1186/2193-1801-2-34
Engel et al.: CT-guided percutaneous drilling is a safe
and reliable method of treating osteoid osteomas.
SpringerPlus 2013 2:34.
Summary
• Traditional open surgical treatment consists of en
bloc resection and unroofing and curettage,
which is the treatment of choice. The rate of
primary cure is approximately 100%.
• Disadvantages include perioperative morbidity,
extended hospital stay, perioperative fractures, a
need for bone grafts or internal fixation,
periarticular stiffness, and delayed functional
recovery. The recurrence rate is 9-28%.
Summary
• Minimally invasive surgical treatments include
radionuclide-guided excision, CT-guided
percutaneous excision, percutaneous laser
photocoagulation, percutaneous radiofrequency
coagulation, and computer-assisted surgery.
• Success rates can reach approximately 100%.
Disadvantages include incomplete resection in
35% of patients, persistence of symptoms in 23%,
and recurrence in 12%.
DISCLAIMER
• Information contained and transmitted by this presentation is based on
personal experience and collection of cases at Choithram Hospital &
Research centre, Indore, India, during last 34 years.
• It is intended for use only by the students of orthopaedic surgery.
• Views and opinion expressed in this presentation are personal.
• Depending upon the x-rays and clinical presentations viewers can make
their own opinion.
• For any confusion please contact the sole author for clarification.
• Every body is allowed to copy or download and use the material best
suited to him. I am not responsible for any controversies arise out of this
presentation.
• For any correction or suggestion please contact
• naneria@yahoo.com

Osteoid osteoma

  • 1.
    Osteoid Osteoma Vinod Naneria GirishYeotikar Arjun Wadhwani Choithram Hospital & Research Centre, Indore India
  • 2.
    Osteoid Osteoma • Benignneoplasm most often seen in young males. • Found in the first three decades of life, occasionally reported in older patients. • Incidence is 13.5% in all benign tumors of bones. • M/F ratio is 4:1. • Bergstrand -first described in 1930. • Jaffe in 1935 - first to recognize it as a unique entity.
  • 3.
    Osteoid Osteoma • Anybone can be involved, • There is a predilection for the lower extremity, with half the cases involving the femur or tibia. • The tumor may be found in cortical or cancellous bone, producing a distinct x-ray appearance of cortical sclerosis. • 5% of tumors are subperiosteal.
  • 4.
    Osteoid Osteoma • Multicentricfoci have been reported. • No malignant change has ever been documented. • The typical patient has pain that is worse at night and relieved by aspirin.
  • 5.
    Osteoid Osteoma • Whenthe lesion is near a joint, swelling, stiffness, and contracture may occur. • When in a vertebra, scoliosis may occur. • Occasionally, osteoid osteoma occurs with minimal pain. • In children, overgrowth and angular deformities may occur.
  • 6.
    Osteoid Osteoma -Diagnosis • Routine roentgenograms often are diagnostic, but bone scans or CT are often required to localize the lesion accurately.
  • 7.
    Osteoid Osteoma • CTmay detect the nidus, whereas roentgenograms show only sclerosis.
  • 8.
    Osteoid Osteoma -CT • CT is more accurate than MRI. • CT helped in confirming the diagnosis of osteoid osteoma in 74% of cases. • Szendroi et al reported accuracies of about 66% in the diagnosis of intra-articular lesions and 90% in extra-articular lesions. • To date, CT scanning is the primary investigational tool for the definitive diagnosis of osteoid osteoma.
  • 9.
    Osteoid Osteoma –Bone scan • To date, no negative bone-scan findings have been reported in patients with osteoid osteoma. • Bone scanning is currently the most accurate means of localizing the tumour. • Wells et al noted that the sensitivity of skeletal bone scan for osteoid osteoma is 100%.
  • 10.
    Osteoid Osteoma –Bone scan • A bone scan is helpful in detecting the "doubledensity sign," which is a focal area of increased activity with a second smaller area of increased uptake superimposed on it, is said to be diagnostic of osteoid osteoma.
  • 11.
    Osteoid Osteoma -MRI • MRI has not been useful in the diagnosis of osteoid osteoma. • MRI is reserved for equivocal cases because it can suggest the diagnosis of osteoid osteoma. • MRI interpretation may result in errors in diagnosis, most often confusion with malignancies.
  • 13.
    Natural History • Theliterature suggests a history of resolving pain and healing of the lesions. • The course of this disease is unpredictable and protracted, with intervals of resolution of pain that sometimes last 6-15 years.
  • 14.
    Natural History -Stages • Atar et al (1992) described 2 stages of the disease. • The first is an acutely painful stage that lasts 18-36 months, during which patients require steady use of analgesics. • The second is the recovery stage, which includes healing of the nidus and which usually takes 3-7 years.
  • 15.
    Natural History • Bareiet al noted that healing involves ossification of the untreated nidus, which cannot be readily distinguished from surrounding bone and which resembles a localized zone of cortical hypertrophy.
  • 16.
    Osteoid Osteoma -Tx • En bloc resection • The entire nidus must be removed. • Block resection of the nidus. • Unroofing and curettage • An alternative method - shave the reactive bone with a sharp osteotome until the nidus is encountered, then curettage of the exposed nidus.
  • 17.
    Osteoid Osteoma -Tx • Intraoperative localization of the nidus is possible with preoperatively injected technetium-labeled methylene diphosphonate and a sterile, wrapped Geiger counter.
  • 18.
    Osteoid Osteoma -Tx • Excision of the osteoid osteoma nidus using CT–assisted localization, a Kirschner wire inserted into the nidus, and a biopsy punch inserted over the Kirschner wire into the bone. • They recommend using a trephine 2 mm larger than the lesion for complete removal. • Recurrence after apparently complete excision has been reported but is rare.
  • 24.
    • A CTguided needle was passed to localize the lesion. • Through an anterior "Hernia" approach the lesion was approached and excised. • The Follow-up CT Scanning done to reveal complete removal of lesion. • A biopsy confirmed it later.
  • 59.
    Post op –after drilling
  • 60.
    CT – GuidedDrilling • • • • • • • • OPD procedure, Localization of the nidus in CT Scan, Local anesthesia, K-wire passed into nidus, Transferred to OT, Short GA, Drilling of the nidus by a cannulated drill, Complete relief of pain.
  • 61.
    Referrence CT-guided percutaneous drillingis a safe and reliable method of treating osteoid osteomas Edgard Eduard Engel, Nelson Fabrício Gava, Marcello Henrique Nogueira-Barbosa, Filipe Almeida Botter • doi:10.1186/2193-1801-2-34 Engel et al.: CT-guided percutaneous drilling is a safe and reliable method of treating osteoid osteomas. SpringerPlus 2013 2:34.
  • 62.
    Summary • Traditional opensurgical treatment consists of en bloc resection and unroofing and curettage, which is the treatment of choice. The rate of primary cure is approximately 100%. • Disadvantages include perioperative morbidity, extended hospital stay, perioperative fractures, a need for bone grafts or internal fixation, periarticular stiffness, and delayed functional recovery. The recurrence rate is 9-28%.
  • 63.
    Summary • Minimally invasivesurgical treatments include radionuclide-guided excision, CT-guided percutaneous excision, percutaneous laser photocoagulation, percutaneous radiofrequency coagulation, and computer-assisted surgery. • Success rates can reach approximately 100%. Disadvantages include incomplete resection in 35% of patients, persistence of symptoms in 23%, and recurrence in 12%.
  • 64.
    DISCLAIMER • Information containedand transmitted by this presentation is based on personal experience and collection of cases at Choithram Hospital & Research centre, Indore, India, during last 34 years. • It is intended for use only by the students of orthopaedic surgery. • Views and opinion expressed in this presentation are personal. • Depending upon the x-rays and clinical presentations viewers can make their own opinion. • For any confusion please contact the sole author for clarification. • Every body is allowed to copy or download and use the material best suited to him. I am not responsible for any controversies arise out of this presentation. • For any correction or suggestion please contact • naneria@yahoo.com