By
Dr.Ahmed Samy
lecturer of obstetric& gynecology
Cairo university
 Definition of Ultrasound
Ultrasound means sound waves of frequency
higher than those heard by the human ear.
SAFETY
no definite complications for diagnostic ultrasound
when the frequency used is less than 10 MHz
Ultrasound in diagnostic obstetrics and gynecology is
used in the range between 3-8 MHz
 Ultrasonic Fetal Heart Detectors
(Doppler Apparatus).
 Real-time Ultrasound Imaging
Systems.
two-dimensional ultrasound (2D)
three and four-dimensional
ultrasound (3D/4D)
color Doppler ultrasound.
 A- In normal pregnancy
The early pregnancy scan
Mid-pregnancy Scan (Anomaly Scan)
Late Pregnancy Scan.
 B- In abnormal pregnancy
Timing
 From 10-13 weeks is best for early
detection of trisomy.
 From 5-8 weeks is best for early
detection of ectopic pregnancy.
 Trans-vaginal if 5-8 weeks.
 Trans-abdominal if 10-13 weeks.
 Accurate Evaluation of gestational age
Using crown-rump length (CRL)
 accuracy close to +/- 4 days.
 Early Detection of Ectopic Pregnancy
 Early Exclusion of trisomy 21(congenital
abnormalities)
 establish the presence of a living
embryo/fetus
Obstetrical ultrasound is a useful clinical test to:
 establish the presence of a living embryo/fetus.
 estimate the age of the pregnancy.
 diagnose congenital abnormalities of the fetus.
 evaluate the position of the fetus.
 evaluate the position of the placenta.
 determine if there are multiple pregnancies.
 determine the amount of amniotic fluid around the
baby.
 check for opening or shortening of the cervix.
 assess fetal growth.
 assess fetal well-being.
 You should wear a loose-fitting, two-
piece outfit for the examination
 Only the lower abdominal area needs to
be exposed during this procedure.
 In early pregnancy US, full bladder is
necessary.
 In transvaginal US, empty bladder is
necessary.
Console
The transducer
Abdominal probes.
Endocavitary probes: Trans-vaginal
& Trans-rectal.
a video display screen
 the patient is positioned lying face-up on an
examination table that can be tilted or moved.
 A clear water-based gel
 help the transducer make secure contact with the body
 eliminate air pockets between the transducer and the skin
 The sonographer
 presses the transducer firmly against the skin in various
locations
 sweeps over the area of interest.
 angling the sound beam from a farther location to better
see an area of concern.
 Transvaginal ultrasound is performed very
much like a gynecologic exam and
involves the insertion of the transducer into
the vagina after the patient empties her
bladder, lying on her back, possibly with her
feet in stirrups.
 A protective cover is placed over the
transducer, lubricated with a small amount
of gel, and then inserted into the vagina.
 Only two to three inches of the transducer
end are inserted into the vagina
 The images are obtained from different
orientations to get the best views of the
uterus and ovaries.
 Most ultrasound examinations are painless, fast and
easy, usually no discomfort from pressure.
 If scanning is performed over an area of
tenderness, you may feel pressure or minor pain
from the transducer.
 With transvaginal scanning, there may be minimal
discomfort as the transducer is moved in the
vagina.
 Once the imaging is complete, the gel will be
wiped off your skin.
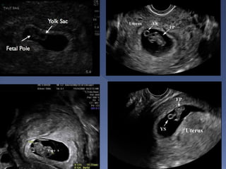
 Earliest sign of
pregnancy
 seen at 4-4.5 weeks
 It is intradecidual
 Surrounded by
decidual reaction
 Can be used for
dating.
 A normal gestational
sac grows by 1 mm
per day.
 its normal eccentric location: it is
embedded in endometrium, rather than
centrally within the uterine cavity
 presence of a yolk sac : seen at
approximately 5.5 weeks or with a beta-
HCG of ~7000m IU/ml
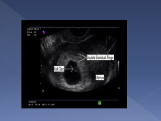
 presence of the double decidual sign
 Seen at 5 weeks
gestation
 Differentiates
true from pseudo
gestational sac
 Seen at 20 mm
sac diameter
abdominally and
8 mm sac
diameter
vaginally
 Seen at 6
weeks vaginally
 Should be seen
at sac diameter
of 18mm
vaginally and
25mm
abdominally
 Heart beat is
seen at CRL of
5mm vaginally
 Gestational sac – 4 to 5 weeks
 Yolk sac – 5 to 6 weeks
 Fetal pole - 6 to 7 weeks
 Cardiac Activity - 6 to 7 weeks.
 Failed early pregnancy refers to the
death of the embryo and
therefore, miscarriage.
 The most common cause of embryonic
death is a chromosomal abnormality.
A pregnancy is considered non-viable on
transvaginal ultrasound if:
 no fetal heart beat where:
› CRL ≥ 7 mm
 no fetal pole where:
› MSD > 25 mm with no embryo
 Both fetus and gestational sac are
expected to grow 1mm/day. Hence,
absence or inadequate growth on serial
scans at least 7-10 days apart
is suggestive of non-viability.
 no yolk sac, where:
› MSD > 8 mm
› embryo seen
 irregular gestational sac
 low position of the gestational sac
 Normally BHCG doubles every 48hours
 Discrimination zone: relies on BHCG
increasing by >66% in 48 hours, if not and
no considerable bleeding think of
ectopic pregnancy if uterus is empty on
scan
 However 5% of normal pregnancies
don’t behave like that
 Direct visualization
of ectopic
pregnancy
 Only seen in 10-20%
of ectopic
pregnancies
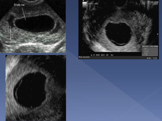
 Empty uterus
 Empty Uterus
 Pseudo gestational
sac
 Sac is intra-decidual
 No yolk sac or fetal
pole at sac
diameter of 25 mm
or more
transvaginally
 Sac can be irregular
 Low uterine position
 Weak decidual
reaction
 If unsure repeat in 1
week
 Clinical presentation
 Snow storm
appearance
 Very High BHCG
 Theca lutein cysts in
both ovaries
 Always check
pathology
 The ovaries are commonly the site for theca lutein
cysts secondary to the BHCG.
 Gestational sac seen at 4.5 weeks
 Yolk sac seen at 5 weeks
 CRL seen at 6 weeks with sac diameter
of 20mm
 Heat beat seen at CRL of 5mm
 If too early or unsure repeat in 1 week
 It is essential to accurately date the
pregnancy for adequate timing of
delivery, management of post-maturity
and small for gestational age.
 Use LMP if regular periods and certain
dates, then first trimester ultrasound to
confirm dates
 Visible form 4.5 weeks
by T.V scan
 Implanted on one
side of the uterine
cavity
 As the sac is not
usually round, an
average of the
length, width and
depth is made.
 The accuracy of
dating using GS size is
low and can be off
by a whole week
 This is therefore not
recommended
 Before placental circulation is established, the yolk
sac is the primary source of exchange between
the embryo and the mother.
 In a normal early pregnancy, the diameter of the
yolk sac should usually be < 6 mm while its shape
should be near spherical.
 Natural course
As the pregnancy advances, the yolk sac
disappears and is often sonographically not
detectable after 14 weeks
 Absence of the YS in the presence of
an embryo is always abnormal and is
associated with fetal demise.
 A larger than normal YS is also
associated with adverse outcome in
the fetus
 Visualization of multiple yolk sacs is the
earliest sign of a polyamniotic
pregnancy, e.g. twins.
 Measure from top of head
to rump
 Always measure in neutral
position
 made between 7 to 13
weeks
 Very accurate(Dating
with the CRL can be
within 3-4 days of LMP)
 it should not be changed
by a subsequent scan.
• Standard – Anatomic Survey
• Limited – Targeted to answer a question
• Specialized – Targeted anatomic
• Fetal biometry
• Fetal Cardiac Activity
• Fetal Lie
• Fetal Number
• Placental Location
• AFI
• BPP/Modified BPP
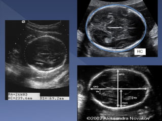
 Bi-parietal diameter
 Occipto-frontal diameter
 Head circumference
 Abdominal circumference
 Femur length
 All can be + or – 2 weeks
Landmarks :
 Midline Falx
cerebri
 Cavum septum
pellucidum
 Thalami
symmetrically
positioned on
either side of the
falx
 Lateral ventricle
 The diameter between the 2 sides of the
head
 This is measured after 13 weeks.
 Dating using the BPD should be done as
early as is feasible.
 Different babies of the same weight can
have different head size, therefore dating in
the later part of pregnancy is generally
considered unreliable
 The BPD remains the standard against
which other parameters of gestational age
assessment are compared
 A wrong measurement plane can produce
errors up to 20mm !
 The measurement is taken from the
outer edge of the near cranium to the
inner edge of the far cranium.
 a middle-to-middle measurement is
also acceptable.
 The BPD can be smaller (and sometimes
much smaller than is expected) in
fetuses with flatter heads(check the
head circumference)
Landmarks:
 Same as BPD
 On the outer
margin of the bony
skull
 Independent of
skull shape
 More indicative of
gestational age
 serves as a monitor for growth of the long
bones.
 The femoral shaft is seen as a slightly
curved, echogenic structure that produces
an acoustic shadow
 The longest dimension of the femoral shaft is
measured for the FL
 The transducer should be aligned along the
long axis of the bone should include
measurement of the entire diaphysis.
 The femoral epiphysis, seen as a spike on
one end of the femoral shaft, is not
included in the measurement.
 The measurement is most accurate when
the femur is perpendicular to the US beam
 Measures the longest bone in the body and
reflects the longitudinal growth of the fetus
 The use of FL in dating is similar to the BPD,
and is not superior unless a good plane for
the BPD cannot be obtained or that the
head has an abnormal shape.
 Similar to the BPD, dating using the FL
should be done as early as is feasible.
 The FL is a mandatory measurement
 the FL has a very important function of
excluding dwarfism in the fetus.
 The extension to the greater trochanter and
the head of femur should not be included
 The measurement is also consider
inaccurate when the femur image is at an
angle of over 30 degrees to the horizontal.
 measurement of the FL is considered
accurate only when the image shows
two blunted ends.
 Do not take an average of the BPD and FL
for dating, because you can always have a
fetus with an average size head and a
longer or shorter than average lower limb
 The measurements should be reported as
they are. Do not take an average.
 Appropriate plane
› U/S beam should be perpendicular to the bone
› Measurement is made along the femur diaphysis
› Exclude the distal femoral diaphysis
Landmarks:
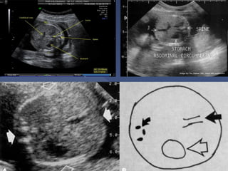
o Spine + rib
o Stomach
o Part of portal
vein
o Picture should
be as round as
possible
 The single most important measurement
to make in late pregnancy
 It reflects more of fetal size and weight
rather than age.
 Serial measurements are useful in
monitoring growth of the fetus.
 AC measurements should not be used
for dating a fetus.
 It is also a mandatory measurement.
Plane
 The best plane is the one in which the portal
vein is visualized in a tangential section.
 The plane in which the stomach is visualized
is also acceptable.
 The outer edge of the circumference is
measured
 On screen computer-generated elliptical
measurements probably yield the best
results
• Fetal Cardiac Activity.
• Fetal Lie
• Fetal Number
• Placental Location
• AFI
• BPP/Modified BPP
Positive cardiac activity
Fetal death
› Absence of cardiac activity for
at least 2-3 minutes
› Ideally confirmed by two or
more examiners
 Lie - relationship of long axis of fetus to
the long axis of the mother
› Longitudinal
› Transverse
› Oblique
 Presentation – part of the fetus closest to
maternal pelvic inlet or cervix
› Cephalic (vertex, sinciput, brow, face)
› Breech
› Shoulder
› Compound
When
 The earliest time is 12 weeks if in right
position
 Best done between 17-20 weeks
gestation
 What you will see????
 Male: penis or scrotum
 Female: The 3-lines sign which denotes
the labia
 The absence of the penis must not be
taken as sufficient evidence of the fetus
being a girl
AGAIN
MALE:dome shaped genital swelling with a
cephalic-directed phallus
FEMALE:three or four parallel
lines representing the labia
 Anterior/Posterior/Lateral/Fundal
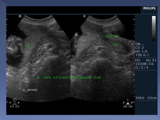
 Placenta Previa
› Marginal
› Partial
› Complete
 Low-Lying
 Inner border of placenta against the uterine wall
has the combined hypoechoic myometrium and
interposed basilar layer = hypoechoic band called
the decidua basalis (contains maternal blood
vessels)
 Outer surface abutting the amniotic fluid =
chorionic plate (chorioamniotic membrane)
= bright specular reflector
 Placental thickness judged subjectively
But if measure at mid position or cord insertion 2-4 cm
= normal
Placental calcification. Scan of posterior placenta at 39 wks
shows calcification along the basal plate (arrows), chorionic
plate (open arrows), and septa (arrowheads
Midline sagittal scan at 28 weeks shows the posterior
placenta (P) completely covering the cervix (C). B,
maternal bladder
the placenta had invaded
through the myometrium to
the bladder wall
 Combination of NST with 4 real-time
ultrasound observations
 2 points given to each observation
that is normal or present
 Maximum 30 minute time frame.
 Each of the 5 components of the
biophysical profile score do not have
equal significance. Fetal breathing
movements, amniotic fluid volume, and
the non-stress test are the most powerful
variables.
Components of the 30 minute
Biophysical Profile Score
Component Definition
Fetal
movements
> 3 body or limb movements
Fetal tone One episode of active extension and
flexion of the limbs; opening and
closing of hand
Fetal breathing
movements
>1 episode of >30 seconds in 30 minutes
- Hiccups are considered breathing activity.
Amniotic fluid
volume
A single 2 cm x 2 cm pocket is considered
adequate.
Non-stress test
2 accelerations > 15 beats per minute of at least
15 seconds duration.
Modified BPP
Combines
› NST (short-term indicator of acid/base status)
› AFI
 Considered normal if NST is reactive and AFI
is >5 cm
 Positive end diastolic
 flow
Absent / Reverse EDF in
Umbilical Artery of
Donor
 Low resistance can be a sign of redistribution of
blood in the foetus in cases of IUGR
 This is the last vessel to be affected in IUGR
and is used to decide timing of delivery.
 Measure the dimensions of the largest
vertical pocket of amniotic fluid.
 Pocket of fluid
<1cm = oligohydramnios
1-2cm = decreased fluid
2-8cm = normal
>8cm = polyhydramnios
 Controversies in cut-off criteria for
oligohydramnios:
› < 0.5 mm
› < 1 cm
› < 2 cm
› < 3 cm
 Most reproducible/accurate
 Technique(4 quadrant technique)
Divide the uterus into four quadrants using the
linea nigra as the vertical axis and the
umbilicus as the horizontal axis.
 Linear transducer head placed along mother’s
longitudinal axis and held perpendicular to the
floor in the sagittal plane.
The pocket with the largest vertical dimension
is measured in each quadrant.
Sum of all four measurements = AFI
 Cord or extremities may traverse the
pocket, but may not be measured as
part of the vertical depth
 Values
<5cm = very low (oligohydramnios)
5-8cm = low
8-25cm = normal term AFI
>25cm = polyhydramnios
• Excessive transducer pressure
• Cord-filled pockets should not be used
• Obese patients may introduce scatter
that creates artifact echoes
– May overcome with lower frequency
transducer
• Not measuring low in the uterine cavity
 https://www.facebook.com/doctorsask
Or
http://www.doctorsask.com
Dr Wafaa Hamed
Dr Heba Ghanem
Thank you

Basic Obstetric Ultrasound

  • 1.
    By Dr.Ahmed Samy lecturer ofobstetric& gynecology Cairo university
  • 3.
     Definition ofUltrasound Ultrasound means sound waves of frequency higher than those heard by the human ear. SAFETY no definite complications for diagnostic ultrasound when the frequency used is less than 10 MHz Ultrasound in diagnostic obstetrics and gynecology is used in the range between 3-8 MHz
  • 4.
     Ultrasonic FetalHeart Detectors (Doppler Apparatus).  Real-time Ultrasound Imaging Systems. two-dimensional ultrasound (2D) three and four-dimensional ultrasound (3D/4D) color Doppler ultrasound.
  • 6.
     A- Innormal pregnancy The early pregnancy scan Mid-pregnancy Scan (Anomaly Scan) Late Pregnancy Scan.  B- In abnormal pregnancy
  • 7.
    Timing  From 10-13weeks is best for early detection of trisomy.  From 5-8 weeks is best for early detection of ectopic pregnancy.
  • 8.
     Trans-vaginal if5-8 weeks.  Trans-abdominal if 10-13 weeks.
  • 9.
     Accurate Evaluationof gestational age Using crown-rump length (CRL)  accuracy close to +/- 4 days.  Early Detection of Ectopic Pregnancy  Early Exclusion of trisomy 21(congenital abnormalities)  establish the presence of a living embryo/fetus
  • 10.
    Obstetrical ultrasound isa useful clinical test to:  establish the presence of a living embryo/fetus.  estimate the age of the pregnancy.  diagnose congenital abnormalities of the fetus.  evaluate the position of the fetus.  evaluate the position of the placenta.  determine if there are multiple pregnancies.  determine the amount of amniotic fluid around the baby.  check for opening or shortening of the cervix.  assess fetal growth.  assess fetal well-being.
  • 11.
     You shouldwear a loose-fitting, two- piece outfit for the examination  Only the lower abdominal area needs to be exposed during this procedure.  In early pregnancy US, full bladder is necessary.  In transvaginal US, empty bladder is necessary.
  • 12.
    Console The transducer Abdominal probes. Endocavitaryprobes: Trans-vaginal & Trans-rectal. a video display screen
  • 15.
     the patientis positioned lying face-up on an examination table that can be tilted or moved.  A clear water-based gel  help the transducer make secure contact with the body  eliminate air pockets between the transducer and the skin  The sonographer  presses the transducer firmly against the skin in various locations  sweeps over the area of interest.  angling the sound beam from a farther location to better see an area of concern.
  • 16.
     Transvaginal ultrasoundis performed very much like a gynecologic exam and involves the insertion of the transducer into the vagina after the patient empties her bladder, lying on her back, possibly with her feet in stirrups.  A protective cover is placed over the transducer, lubricated with a small amount of gel, and then inserted into the vagina.  Only two to three inches of the transducer end are inserted into the vagina  The images are obtained from different orientations to get the best views of the uterus and ovaries.
  • 18.
     Most ultrasoundexaminations are painless, fast and easy, usually no discomfort from pressure.  If scanning is performed over an area of tenderness, you may feel pressure or minor pain from the transducer.  With transvaginal scanning, there may be minimal discomfort as the transducer is moved in the vagina.  Once the imaging is complete, the gel will be wiped off your skin.
  • 19.
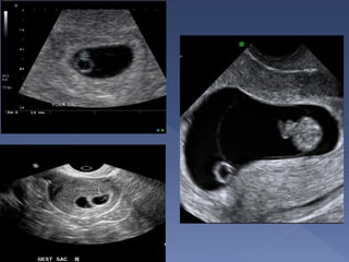
     Earliest signof pregnancy  seen at 4-4.5 weeks  It is intradecidual  Surrounded by decidual reaction  Can be used for dating.  A normal gestational sac grows by 1 mm per day.
  • 23.
     its normaleccentric location: it is embedded in endometrium, rather than centrally within the uterine cavity  presence of a yolk sac : seen at approximately 5.5 weeks or with a beta- HCG of ~7000m IU/ml  presence of the double decidual sign
  • 25.
     Seen at5 weeks gestation  Differentiates true from pseudo gestational sac  Seen at 20 mm sac diameter abdominally and 8 mm sac diameter vaginally
  • 28.
     Seen at6 weeks vaginally  Should be seen at sac diameter of 18mm vaginally and 25mm abdominally  Heart beat is seen at CRL of 5mm vaginally
  • 30.
     Gestational sac– 4 to 5 weeks  Yolk sac – 5 to 6 weeks  Fetal pole - 6 to 7 weeks  Cardiac Activity - 6 to 7 weeks.
  • 31.
     Failed earlypregnancy refers to the death of the embryo and therefore, miscarriage.  The most common cause of embryonic death is a chromosomal abnormality.
  • 32.
    A pregnancy isconsidered non-viable on transvaginal ultrasound if:  no fetal heart beat where: › CRL ≥ 7 mm  no fetal pole where: › MSD > 25 mm with no embryo  Both fetus and gestational sac are expected to grow 1mm/day. Hence, absence or inadequate growth on serial scans at least 7-10 days apart is suggestive of non-viability.
  • 33.
     no yolksac, where: › MSD > 8 mm › embryo seen  irregular gestational sac  low position of the gestational sac
  • 34.
     Normally BHCGdoubles every 48hours  Discrimination zone: relies on BHCG increasing by >66% in 48 hours, if not and no considerable bleeding think of ectopic pregnancy if uterus is empty on scan  However 5% of normal pregnancies don’t behave like that
  • 35.
     Direct visualization ofectopic pregnancy  Only seen in 10-20% of ectopic pregnancies  Empty uterus
  • 36.
     Empty Uterus Pseudo gestational sac
  • 38.
     Sac isintra-decidual  No yolk sac or fetal pole at sac diameter of 25 mm or more transvaginally  Sac can be irregular  Low uterine position  Weak decidual reaction  If unsure repeat in 1 week
  • 40.
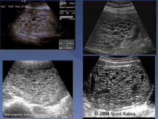
     Clinical presentation Snow storm appearance  Very High BHCG  Theca lutein cysts in both ovaries  Always check pathology
  • 42.
     The ovariesare commonly the site for theca lutein cysts secondary to the BHCG.
  • 44.
     Gestational sacseen at 4.5 weeks  Yolk sac seen at 5 weeks  CRL seen at 6 weeks with sac diameter of 20mm  Heat beat seen at CRL of 5mm  If too early or unsure repeat in 1 week
  • 45.
     It isessential to accurately date the pregnancy for adequate timing of delivery, management of post-maturity and small for gestational age.  Use LMP if regular periods and certain dates, then first trimester ultrasound to confirm dates
  • 46.
     Visible form4.5 weeks by T.V scan  Implanted on one side of the uterine cavity  As the sac is not usually round, an average of the length, width and depth is made.  The accuracy of dating using GS size is low and can be off by a whole week  This is therefore not recommended
  • 47.
     Before placentalcirculation is established, the yolk sac is the primary source of exchange between the embryo and the mother.  In a normal early pregnancy, the diameter of the yolk sac should usually be < 6 mm while its shape should be near spherical.  Natural course As the pregnancy advances, the yolk sac disappears and is often sonographically not detectable after 14 weeks
  • 48.
     Absence ofthe YS in the presence of an embryo is always abnormal and is associated with fetal demise.  A larger than normal YS is also associated with adverse outcome in the fetus  Visualization of multiple yolk sacs is the earliest sign of a polyamniotic pregnancy, e.g. twins.
  • 50.
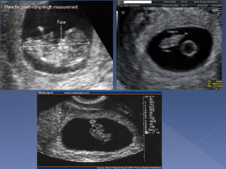
     Measure fromtop of head to rump  Always measure in neutral position  made between 7 to 13 weeks  Very accurate(Dating with the CRL can be within 3-4 days of LMP)  it should not be changed by a subsequent scan.
  • 57.
    • Standard –Anatomic Survey • Limited – Targeted to answer a question • Specialized – Targeted anatomic
  • 58.
    • Fetal biometry •Fetal Cardiac Activity • Fetal Lie • Fetal Number • Placental Location • AFI • BPP/Modified BPP
  • 59.
     Bi-parietal diameter Occipto-frontal diameter  Head circumference  Abdominal circumference  Femur length  All can be + or – 2 weeks
  • 60.
    Landmarks :  MidlineFalx cerebri  Cavum septum pellucidum  Thalami symmetrically positioned on either side of the falx  Lateral ventricle
  • 63.
     The diameterbetween the 2 sides of the head  This is measured after 13 weeks.  Dating using the BPD should be done as early as is feasible.  Different babies of the same weight can have different head size, therefore dating in the later part of pregnancy is generally considered unreliable  The BPD remains the standard against which other parameters of gestational age assessment are compared  A wrong measurement plane can produce errors up to 20mm !
  • 64.
     The measurementis taken from the outer edge of the near cranium to the inner edge of the far cranium.  a middle-to-middle measurement is also acceptable.  The BPD can be smaller (and sometimes much smaller than is expected) in fetuses with flatter heads(check the head circumference)
  • 65.
    Landmarks:  Same asBPD  On the outer margin of the bony skull  Independent of skull shape  More indicative of gestational age
  • 67.
     serves asa monitor for growth of the long bones.  The femoral shaft is seen as a slightly curved, echogenic structure that produces an acoustic shadow
  • 68.
     The longestdimension of the femoral shaft is measured for the FL  The transducer should be aligned along the long axis of the bone should include measurement of the entire diaphysis.  The femoral epiphysis, seen as a spike on one end of the femoral shaft, is not included in the measurement.  The measurement is most accurate when the femur is perpendicular to the US beam
  • 69.
     Measures thelongest bone in the body and reflects the longitudinal growth of the fetus  The use of FL in dating is similar to the BPD, and is not superior unless a good plane for the BPD cannot be obtained or that the head has an abnormal shape.  Similar to the BPD, dating using the FL should be done as early as is feasible.  The FL is a mandatory measurement  the FL has a very important function of excluding dwarfism in the fetus.
  • 70.
     The extensionto the greater trochanter and the head of femur should not be included  The measurement is also consider inaccurate when the femur image is at an angle of over 30 degrees to the horizontal.  measurement of the FL is considered accurate only when the image shows two blunted ends.
  • 71.
     Do nottake an average of the BPD and FL for dating, because you can always have a fetus with an average size head and a longer or shorter than average lower limb  The measurements should be reported as they are. Do not take an average.
  • 72.
     Appropriate plane ›U/S beam should be perpendicular to the bone › Measurement is made along the femur diaphysis › Exclude the distal femoral diaphysis
  • 77.
    Landmarks: o Spine +rib o Stomach o Part of portal vein o Picture should be as round as possible
  • 78.
     The singlemost important measurement to make in late pregnancy  It reflects more of fetal size and weight rather than age.  Serial measurements are useful in monitoring growth of the fetus.  AC measurements should not be used for dating a fetus.  It is also a mandatory measurement.
  • 79.
    Plane  The bestplane is the one in which the portal vein is visualized in a tangential section.  The plane in which the stomach is visualized is also acceptable.  The outer edge of the circumference is measured  On screen computer-generated elliptical measurements probably yield the best results
  • 83.
    • Fetal CardiacActivity. • Fetal Lie • Fetal Number • Placental Location • AFI • BPP/Modified BPP
  • 84.
    Positive cardiac activity Fetaldeath › Absence of cardiac activity for at least 2-3 minutes › Ideally confirmed by two or more examiners
  • 87.
     Lie -relationship of long axis of fetus to the long axis of the mother › Longitudinal › Transverse › Oblique  Presentation – part of the fetus closest to maternal pelvic inlet or cervix › Cephalic (vertex, sinciput, brow, face) › Breech › Shoulder › Compound
  • 89.
    When  The earliesttime is 12 weeks if in right position  Best done between 17-20 weeks gestation  What you will see????  Male: penis or scrotum  Female: The 3-lines sign which denotes the labia
  • 90.
     The absenceof the penis must not be taken as sufficient evidence of the fetus being a girl AGAIN MALE:dome shaped genital swelling with a cephalic-directed phallus FEMALE:three or four parallel lines representing the labia
  • 95.
     Anterior/Posterior/Lateral/Fundal  PlacentaPrevia › Marginal › Partial › Complete  Low-Lying
  • 96.
     Inner borderof placenta against the uterine wall has the combined hypoechoic myometrium and interposed basilar layer = hypoechoic band called the decidua basalis (contains maternal blood vessels)  Outer surface abutting the amniotic fluid = chorionic plate (chorioamniotic membrane) = bright specular reflector  Placental thickness judged subjectively But if measure at mid position or cord insertion 2-4 cm = normal
  • 101.
    Placental calcification. Scanof posterior placenta at 39 wks shows calcification along the basal plate (arrows), chorionic plate (open arrows), and septa (arrowheads
  • 105.
    Midline sagittal scanat 28 weeks shows the posterior placenta (P) completely covering the cervix (C). B, maternal bladder
  • 106.
    the placenta hadinvaded through the myometrium to the bladder wall
  • 107.
     Combination ofNST with 4 real-time ultrasound observations  2 points given to each observation that is normal or present  Maximum 30 minute time frame.  Each of the 5 components of the biophysical profile score do not have equal significance. Fetal breathing movements, amniotic fluid volume, and the non-stress test are the most powerful variables.
  • 108.
    Components of the30 minute Biophysical Profile Score Component Definition Fetal movements > 3 body or limb movements Fetal tone One episode of active extension and flexion of the limbs; opening and closing of hand Fetal breathing movements >1 episode of >30 seconds in 30 minutes - Hiccups are considered breathing activity. Amniotic fluid volume A single 2 cm x 2 cm pocket is considered adequate. Non-stress test 2 accelerations > 15 beats per minute of at least 15 seconds duration.
  • 109.
    Modified BPP Combines › NST(short-term indicator of acid/base status) › AFI  Considered normal if NST is reactive and AFI is >5 cm
  • 110.
     Positive enddiastolic  flow Absent / Reverse EDF in Umbilical Artery of Donor
  • 111.
     Low resistancecan be a sign of redistribution of blood in the foetus in cases of IUGR
  • 112.
     This isthe last vessel to be affected in IUGR and is used to decide timing of delivery.
  • 114.
     Measure thedimensions of the largest vertical pocket of amniotic fluid.  Pocket of fluid <1cm = oligohydramnios 1-2cm = decreased fluid 2-8cm = normal >8cm = polyhydramnios  Controversies in cut-off criteria for oligohydramnios: › < 0.5 mm › < 1 cm › < 2 cm › < 3 cm
  • 116.
     Most reproducible/accurate Technique(4 quadrant technique) Divide the uterus into four quadrants using the linea nigra as the vertical axis and the umbilicus as the horizontal axis.  Linear transducer head placed along mother’s longitudinal axis and held perpendicular to the floor in the sagittal plane. The pocket with the largest vertical dimension is measured in each quadrant. Sum of all four measurements = AFI
  • 117.
     Cord orextremities may traverse the pocket, but may not be measured as part of the vertical depth  Values <5cm = very low (oligohydramnios) 5-8cm = low 8-25cm = normal term AFI >25cm = polyhydramnios
  • 118.
    • Excessive transducerpressure • Cord-filled pockets should not be used • Obese patients may introduce scatter that creates artifact echoes – May overcome with lower frequency transducer • Not measuring low in the uterine cavity
  • 125.
  • 126.
    Dr Wafaa Hamed DrHeba Ghanem
  • 127.