CHAIRMAN : DR. P.H PATIL
CO-CHAIRMAN : DR.V.V HATTIHOLI
PRESENTER : DR. JASREEN SIDANA
 The FirstTrimester is defined as the first 12
weeks of pregnancy following the last normal
menstrual period.
(some authors refer to early pregnancy as 0 - 10
weeks).
It can be divided into a number of phases, each of
which has typical clinical issues.These phases
are:
1.Conceptus phase : 3 - 5 weeks
2.Embryonic phase : 6 - 9 weeks
3.Fetal phase : 10 - 12 weeks
 It is a part of WHO recommended 3 antenatal
visits.
 To define the cause of vaginal bleeding.
 To evaluate pelvic pain.
 Palpable mass per abdomen.
 To exclude a non viable pregnancy or an
ectopic pregnancy.
 To document foetal number in case of
multiple gestation.
According to American College of Radiology(ACR) and American
Institute of Ultrasound in medicine (AIUM), Ultrasound during
this period is predominantly concerned with the following
clinical issues:
 1.CONFIRMING INTRAUTERINE PREGNANCY (IUP)
 2. DATING OFTHE PREGNANCY
 3. EARLY PREGNANCY FAILURE
 4. NUCHAL LUCENCY
 5. ECTOPIC PREGNANCY
 6. FIRSTTRIMESTER MASSES
Sonographic appearance of the normal IUP
includes the visualization of –
1.GESTATIONAL SAC
2.YOLK SAC
3.EMBRYO AND AMNION
4.EMBRYONIC CARDIAC ACTIVITY
5.UMBILICAL CORD AND CORD CYST
1.GESTATIONAL SAC
 Earliest sonographic finding in pregnancy.
 The GS is an echogenic ring (formed by chorio-emryonic
cells) surrounding an anechoic centre (as fluid filled).
 An ectopic pregnancy will appear the same but it will not
be within the endometrial cavity.
 The GS is not identifiable until approximately 4 1/2
weeks with a transvaginal scan and 5 weeks withTAS.
Decidual Reaction
The hypertrophic changes of the endometrium which occur
as a hormonal response regardless of the site of
implantation, intrauterine or ectopic.
 Before ovulation, endometrial proliferation occurs in
response to the estrogen secretion.
 After ovulation, the endometrium becomes thickened, soft
and edematous under the influence of the progesterone.The
glandular epithelium secretes a glycogen rich fluid. If
pregnancy occurs, continued production of progesterone
results in more hypertrophic changes in the endometrial
cells and glands to provide nourishment to the blastocyst.
Endometrium in the pregnant
state is actually called
decidua, which has three layers
namely :
1.Decidua capsularis
2.Decidua vera
3.Decidua basalis
INTRADECIDUAL SAC SIGN:
 First reliable gray scale evidence of an IUP is
visualization of the gestational sac within the
thickened decidua ( echogenic focal area at the site of
implantation).
 An intradecidual gestational sac should be
eccentrically located within the endometrium and
should abut the endometrial canal.
 It is important to ensure that the sac abuts the
endometrial canal to distinguish an intra-uterine
gestational sac from a decidual cyst.
DOUBLE DECIDUAL SIGN
Described by Nyberg et al, as a method to differentiate between an
early IUP and the pseudosac of the ectopic pregnancy.
 Visualized by about 5.5 – 6 weeks of GA
 It is based on visualization of two echogenic rings.
 The inner ring is formed by the gestational sac as an
echogenic ring formed by the decidua capsularis and
chorionic laeve eccetrically.
 The outer ring is formed by the echogenic ring of the lining
of the uterus ( formed by decidua parietalis).
 Normal gestational sac can be differentiated
from pseudosac as the normal GS :
 Implants immediately beneath the echogenic
endometrium stripe
 As it enlarges, becomes oval in shape
 Can be distorted duringTVS examination
 GS is filled with chorionic sac fluid that is
normally more echogenic than the amniotic
fluid.
2.YOLK SAC
 Transfer of the nutrients to the developing embryo
in the third and fourth week.
 Angiogenesis : occurs in the wall of the yolk sac in
the fifth week.Vascular network formed by the
angioblasts in the wall of the yolk sac eventually joins
the fetal circulation via the paired vitelline arteries
and veins through a stalk called vitelline duct.
 Hematopoeisis: in fifth week
 Determination of the amnionicity of a multifetal
pregnancy.
 First structure to be
seen normally
within the
gestational sac.
 Diagnostic of IUP
 TAS: MSD of
10 – 15 mm
 TVS :MSD of
8.0 mm.
3. AMNION
Double bleb sign: it is a
sonographic feature where
there is visualisation of a
gestational sac containing
a yolk sac and amniotic
sac giving an appearence of
two small bubbles .The
embryonic disc is located
between the two bubbles.
It can be identified as early as
51/2 weeks when the CRL is
2.0mm.
 The 2 sacs are clearly visible.
 The outer chorion with the
developing placenta and the
inner amnion which will "inflate"
with the production of fetal
urine, to adhere to the chorion
obliterating the residual yolk
sac.
EMBRYO
 At 51/2 weeks, when the CR length is 2.o mm,
embryonic disc is situated between the yolk
sac and amnion.
 As the resolution of the ultrasound
equipment improves, visualization of the
embryonic structures become possible.
4. EMBRYONIC CARDIAC ACTIVITY
 Using a trans-vaginal approach the fetal heart beat can be
seen flickering before the fetal pole is even identified.
 It will be seen alongside the yolk sac.
 It may be below 100 beats per minute but this will increase to
between 120- 180 beats per minute by 7 weeks.
 In the early scans at 5-6 weeks just visualizing a heart
beating is the important thing.
 Failure to identify fetal cardiac activity in a fetus whose
overall length is greater than 4 mm (approx 4.5 weeks)is an
ominous sign .
 The very early embryonic
heart will be a subtle flicker.
 This may be measured using
M-Mode(avoid Doppler in the
first trimester due to risks of
bioeffects).
 Initially the heart rate may be
slow.
 It is advisable to compare the
maternal heart rate to
confirm that one is not seeing
an arteriole.
5.UMBILICAL CORD AND CORD CYST
 Formed at the end of the sixth week.
 Contents : all of which are embedded in
Wharton’s jelly.
Two umbilical arteries
single umbilical vein
allantois
Yolk stalk
 Cysts and pseudocysts within the cord occur
in first trimester.
 Seen usually in 8th week and disappear by 12th
week.
 Singular, with a mean size of 5.2 mm.
 Originate from the remnants of allantois or
yolk stalk and have an epithelial lining.
 If seen in 2nd and 3rd trimester they are
associated with chromosomal abnormalities.
 In order of their appearance, the following
structures can be measured as indicators of
the gestational age:
1.Gestational sac ( MSD)
2.CRL ( crown – rump length)
3.Biparietal diameter
1.Gestational sac
From 5 – 6 weeks gestation, two methods are
used to assign gestational age by USG:
1. Mean sac diameter
2. Sonographic identification of the
gestational sac contents
 MEAN SAC DIAMETER : the average internal
diameter of the gestational sac, is calculated
as the mean of theAP, transverse and the
longitudinal diameter.
Normally, a yolk sac will be present when MSD :
8 .0 mm.
Embryo will be present when MSD : 16.0 mm.
 MSD between 2-14 mm are accurate in
predicting the gestational age, before the
embryo is seen.
2.CROWN – RUMP LENGTH
( up to 11 weeks)
 GA closely correlates with CR length from 6
weeks until the end of the first trimester.
 The CRL is the length of the embryo or fetus
from the top of its head to the bottom of its
torso.
 It is measured as the longest dimension of
the embryo, excluding the yolk sac and
extremities.
 Once, the embryo can be visualized ( after 7
weeks), the measurement of choice for
estimation of GA becomes crown rump
length.
 MSD becomes progressively less reliable for
predictingGA as the first trimester of
pregnancy advances.
3.BIPARIETAL DIAMETER:
By the end of the first trimester, measurement
of the BPD becomes more accurate than the
CRL, which by that time reflects errors due to
biological variabilities.
In addition to BPD, corrected BPD, and HC are
the parameters which involve the fetal head.
Rules for measurement of the BPD:
 1. Correct plane of section is taken through
the third ventricle and paired thalami.
 2. the calvaria should be smooth and
symmetrical bilaterally.
 3.the cursors are positioned correctly.
 Measured from the outer edge of the cranium
nearest the transducer to the inner edge
farthest from the transducer.
 Corrected BPD =
square root of BPD X OFD/ 1.265
Significance: it represents the BPD of the
standard shaped head ( one with an OFD /
BPD ratio of 1.265) of the same cross
sectional area.
 Nuchal translucency is referred to as normal
subcutaneous fluid filled space between the
back of the fetal neck and the overlying skin.
 It is a measurement performed during a
specific period in the first trimester (11.3-13.6
weeks).
 An increased nuchal translucency is thought to
relate to dilated lymphatic channels.
1. Only values obtained when CRL
values are between 45-84 mm are
considered valid.
2. The lucent region is generally not
septated.
3. The thickness rather than the
appearance (morphology) is
considered to be directly related to
the incidence of chromosomal and
other anomalies.
4. A normal value is usually less than
roughly 2.5-3.0 mm in thickness
however it is maternal age dependent
needs to be matched to exact
gestational age and crown rump
length (CRL).
 The fetus should be transverse (sagittal) in the imaging plane.
 The vertebral column should be facing the bottom of the screen.
 Fetal head should not be extended or flexed
 Fetus should be floating free of the uterine wall (i.e. amniotic fluid should be
seen between its back and the uterus)
 Only the lucency is measured (again differing from nuchal thickness)
 Ideally only the head and upper thorax should be included in the
measurement
 The level of magnification should be appropriate (fetus should occupy most
of the image).
 The widest part of the measurement should be taken
 The nuchal translucency cannot be
adequately assessed if there is :
Unfavourable fetal lie
Unfavourable GA: CRL < 45 or > 84 mm.
Interpretation
 Detection rates for aneupliodic
anomalies with nuchal
translucency alone approaches 80 -
90 % with a false positive rate of ~
5%.
Correlation With Serum
Markers
 To increase the clinical accuracy of nuchal
lucency, it can be correlated with
serum markers such as
 maternal B-HCG
 alpha feto protein (AFP)
 pregnancy associated plasma
protein A (PAPP-A)
 oestriol
Further work up
 If abnormal > further work up is carried out
which includes
 Amniocentesis and / or ChorionicVillus
sampling
 Fetal echocardiography
Natural course - progression
 As the second trimester approaches, the
region of nuchal translucency might either
 Regress :
 if chromosomally normal, a large
proportion of fetuses will have a normal
outcome
 spontaneous regression does not
however mean a normal karyotype
 Evolve into a
 Nuchal Oedema
 Cystic Hygroma
 Can be done using sonographic criteria:
1. Embryonic cardiac activity
2. Gestational sac features
3. Amnion and yolk sac criteria
4. Doppler ultrasound assessment
1. Embryonic cardiac activity
 The presence of cardiac activity indicates that
the embryo is alive.
 The absence of cardiac activity does not
necessarily indicate embryonic demise,
however, because TVS can identify a normal
early embryo without cardiac activity.
Embryonic bradycardia:
Doubilet and Benson found that a heart rate
less than 80 beats / min in embryos with a
CRL less than 5.0 mm was universally
associated with subsequent embryonic
demise.
Normal : (120 or more beats/ min)
Arrhythmias :
another indicator of the first trimester loss.
Most common is ventricular bradycardia.
2.Gestational sac features
 Abnormal size :
Nyberg et al refined the definition of an
abnormal gestational sac as MSD of 25.0mm
or more without an embryo, or MSD of 20.0
mm or more without a yolk sac.
Bromley et al found that
difference between the
MSD and CRL should not
be less than 5.0 mm.
So if, between to 9 weeks’
GA with MSD less than
5.0mm greater than CRL.
( i.e MSD- CRL =
<5.0mm), sometimes
termed as early
oligohydramnios.
 Other features include :
• Distorted GS shape
• Thin trophoblastic reaction
• Weakly echogenic trophoblast
• Abnormally low position of the GS within the
endometrial cavity.
4. Amnion and yolk sac criterion
 Visualization of the amnion in the absence of a
sonographically demonstrable embryo after 7
weeks’ MA is abnormal and diagnostic of the non
viable pregnancy.
 The amnion is visualized after the embryo. So it
should never be visualized in the absence of the
embryo.
 Other findings that may be useful in the
diagnosis of the embryonic demise include a
collapsing, irregularly marginated amnion and yolk
sac calcification.
 Yolk sac size :
Internal diameter
of the yolk sac
greater than 5.6
mm between 5
and 10 weeks is
always
associated with
the abnormal
outcome.
 In general if the MSD is 16 mm or greater and no fetal pole / yolk sac
can be identified on trans-vaginal scanning then this suggests a non-
viable pregnancy (an-embryonic pregnancy).
 Repeat scanning with an larger MSD and serial quantitative beta-
HCGs is however thought prudent.
 In a normal early pregnancy, the diameter of the yolk sac should
usually be < 6 mm while its shape should be near spherical.
Natural course
 As the pregnancy advances, the yolk sac disappears and is
often sonographically not detectable after 14 weeks.
 Other abnormalities include :
Calcified yolk sac : shadowing echogenic mass.
Seen with a dead embryo and may calcify
within 36 hours after demise.
 Doppler ultrasound assessment:
Assessment of the uterine or spiral arteries for:
1.Resistive index
2.Pulsatility index
In the normal pregnancy, the indices within
these vessels demonstrate a progressive
decline from 6 to 12 weeks of POG.
the basis for this drop in early pregnancy is
the development of the intervillous
circulation.
1.Resistive index
If RI < 0.55 - normal pregnancy
If RI >0.55 - corresponds to the high pressure
blood flow, seen in cases with pre eclampsia
and IUGR. Subsequently, leading to
miscarriage resulting in early pregnancy
failure.
2. Pulsatility index
 Higher in the women with recurrent
pregnancy loss and
 Elevated levels of antiphospholipid
antibodies.
 A CRL of ≥ 7mm without a heart beat
on a transvaginal ultrasound confirms
the diagnosis
 Additional clues are presence of
abnormal hyperechoic material within
the uterine cavity and an irregular
gestational sac.
 If there is an absence of heart beat in a
fetus that is less than 7mm, the
diagnosis of miscarriage cannot be
made with certainty.
 This scenario is termed "Pregnancy Of
UncertainViability (PUV)", and
followup with ultrasound (generally in
7-10 days) and serial bHCG
recommended.
 Irregular Sac.
 Hyperechoic collection
within the sac.
 A subchorionic haemorrhage is often seen,
but unless large does not carry a poor
prognosis.
 Features which do predict poor outcome
include:
• Fetal bradycardia : < 80 - 90 bpm
• Small or Irregular Gestational Sac : MSD -
CRL < 5 mm
• Large Subchorionic Haemorrhage
 One important difference is to be deduced
between an actual irregular sac & a sac which
appears irregular due to Braxton-Hick’s
contractions.
 The former one, will not change its shape
to become normal with time.
 Refers to the presence of
an open cervix in the
context of bleeding in the
first trimester of
pregnancy.
 Essentially, a threatened
abortion progresses to an
inevitable abortion if
cervical dilatation
occurs. Once tissue has
passed through the
cervical os, this will then be
termed an incomplete
abortion and ultimately
a complete abortion.
 Shows an empty
uterus with no
fetal components
or products of
conception
 Retained Products of Conception, still seen within
the uterine / cervical cavity.
 An anembryonic
pregnancy may be
diagnosed when there
is no fetal
pole identified on trans-
vaginal scanning the size
of the gestational sac is
such that a fetal pole
should be seen.
 MSD ≥ 25 mm (by RCOG
criteria)
 There is little or no growth
of the gestational sac
between interval scans
 Normally the MSD should
increase by 1 mm per day
 If MSD is too small to
ascertain viability on the
initial ultrasound, a follow
up scan in 10-14 days
should differentiate early
pregnancy from a failed
pregnancy
 Other ancillary features
include
 Absent yolk sac
when MSD > 8 mm
 Poor decidual reaction :
often < 2 mm
 Irregular gestational
sac shape
 Abnormally low sac
position
 Ectopic pregnancy refers to the implantation of a
fertilised ovum outside of the uterine cavity.
 Risk factors :
 Any tubal abnormality that may prevent passage of the
zygote or result in the delayed transit
 Previous tubal pregnancy
 h/o tubal reconstructive surgery
 IUCD insertion
 Increased maternal age
 Increased parity
 Previous caesarean section
 TUBAL ECTOPIC : 93 - 97%
 Ampullary Ectopic : most common : ~ 70 % of tubal ectopics and ~ 65 - 68 %
of all ectopics.
 Isthmal Ectopic : ~ 12 % of tubal ectopics and ~ 11 % of all ectopics
 Fimbrial Ectopic : ~ 11 % of tubal ectopics and ~ 10 % of all ectopics
 ATYPICAL ECTOPIC PREGNANCIES
 Interstitial Ectopic - cornual ectopic : 3 - 4 % :
 Ovarian Ectopic - ovarian pregnancy : 0.5 - 1%
 Cervical Ectopic - cervical pregnancy : rare < 1 %
 Scar Ectopic : site of previous Caesarian section scar : rare
 Abdominal Ectopic : rare ( ~ 1.4%)
 Specific signs include:
1. Demonstration of the pseudosac
2. Peritrophoblastic flow
3. Demonstration of live embryo in the adnexa
 Non specific signs include:
1. Correlation with serum beta HCG levels
2. Assessment of the suspected ectopic mass
3. Ectopic tubal ring
4. Free pelvic fluid
TVS must be the first line of imaging investigation. BecauseTVS allows for better
visualization of the endometrium, endometrial canal and adnexa thanTAS.
 Pseudosac / pseudogestational sac / decidual cast : is an intrauterine fluid
collection surrounded by single decidual layer as opposed to the two
concentric rings of the double decidual sign.
 Peritrophoblastic
flow : colour flow
doppler imaging
helps in assessing the
peritrophoblastic
flow.
It is high velocity, low
resistance flow with
low RI and PI.
 Correlation with the serum beta HCG levels:
Negative beta HCG excludes the presence of a live
pregnancy.
Threshold level of beta HCG above which it is
always possible to identify a normal intrauterine
gestational sac
TAS : above 1800mIU/ml
TVS: 500 – 1000mIU/ml
If an intrauterine GS is not identified, ectopic
pregnancy becomes the diagnosis of exclusion.
 Adnexal mass assessment :
Conditions other than ectopic pregnancy
include:
• Hemorrhagic corpus luteum cyst
• Endometriosis
• Abscess
 Suspected ectopic mass should be assessed
duringTVS for:
• Local tenderness
• Movement of the ectopic pregnancy separate
from the ovary as the probe pressure is
applied ( specific for tubal pregnancy which is
most common).
 Free pelvic fluid :
TVS is sensitive in detecting free pelvic fluid.
The presence of the echogenic free fluid or blood
clots in the cul de sac, without sonographic
evidence of an IUP, suggests EP.
 Patients in whom the site of implantation has
not been identified with certainty have been
categorized as having PUL.
DIAGNOSTICCRITERIA:
 Empty endometrial cavity with
1. An inhomogeneous adnexal mass
2. Extrauterine gestational sac with or without a
yolk sac and / or embryonic pole.
 Differentials include:
1. Very early IUP
2. Abnormal IUP
3. Ectopic pregnancy
 Diagnosis is made when a live embryo is
demonstrated in the adnexa in a patient with
an intrauterine gestational sac.
 Suspected in patients undergoing ovulatory
induction or IVF.
 First trimester sonography plays an
important role in establishing the location of
the pregnancy and determining if the
pregnancy is potentially viable.
 Knowledge of the landmarks with respect to
the appearance of structures appearing
during first trimester are important in the
triage of patients who present with pain and
bleeding in the first trimester.
 Dignostic ultrasound
Carol M Rumack
 Ultrasonography in obstetrics and
gynaecology
Callen
OPPORTUNITY IS MISSED BY MOST PEOPLE BECAUSE
IT IS DRESSED IN OVERALLS AND LOOKS LIKE
WORK!!!

Imaging in first trimester

  • 1.
    CHAIRMAN : DR.P.H PATIL CO-CHAIRMAN : DR.V.V HATTIHOLI PRESENTER : DR. JASREEN SIDANA
  • 2.
     The FirstTrimesteris defined as the first 12 weeks of pregnancy following the last normal menstrual period. (some authors refer to early pregnancy as 0 - 10 weeks). It can be divided into a number of phases, each of which has typical clinical issues.These phases are: 1.Conceptus phase : 3 - 5 weeks 2.Embryonic phase : 6 - 9 weeks 3.Fetal phase : 10 - 12 weeks
  • 3.
     It isa part of WHO recommended 3 antenatal visits.  To define the cause of vaginal bleeding.  To evaluate pelvic pain.  Palpable mass per abdomen.  To exclude a non viable pregnancy or an ectopic pregnancy.  To document foetal number in case of multiple gestation.
  • 4.
    According to AmericanCollege of Radiology(ACR) and American Institute of Ultrasound in medicine (AIUM), Ultrasound during this period is predominantly concerned with the following clinical issues:  1.CONFIRMING INTRAUTERINE PREGNANCY (IUP)  2. DATING OFTHE PREGNANCY  3. EARLY PREGNANCY FAILURE  4. NUCHAL LUCENCY  5. ECTOPIC PREGNANCY  6. FIRSTTRIMESTER MASSES
  • 5.
    Sonographic appearance ofthe normal IUP includes the visualization of – 1.GESTATIONAL SAC 2.YOLK SAC 3.EMBRYO AND AMNION 4.EMBRYONIC CARDIAC ACTIVITY 5.UMBILICAL CORD AND CORD CYST
  • 6.
    1.GESTATIONAL SAC  Earliestsonographic finding in pregnancy.  The GS is an echogenic ring (formed by chorio-emryonic cells) surrounding an anechoic centre (as fluid filled).  An ectopic pregnancy will appear the same but it will not be within the endometrial cavity.  The GS is not identifiable until approximately 4 1/2 weeks with a transvaginal scan and 5 weeks withTAS.
  • 8.
    Decidual Reaction The hypertrophicchanges of the endometrium which occur as a hormonal response regardless of the site of implantation, intrauterine or ectopic.  Before ovulation, endometrial proliferation occurs in response to the estrogen secretion.  After ovulation, the endometrium becomes thickened, soft and edematous under the influence of the progesterone.The glandular epithelium secretes a glycogen rich fluid. If pregnancy occurs, continued production of progesterone results in more hypertrophic changes in the endometrial cells and glands to provide nourishment to the blastocyst.
  • 9.
    Endometrium in thepregnant state is actually called decidua, which has three layers namely : 1.Decidua capsularis 2.Decidua vera 3.Decidua basalis
  • 10.
    INTRADECIDUAL SAC SIGN: First reliable gray scale evidence of an IUP is visualization of the gestational sac within the thickened decidua ( echogenic focal area at the site of implantation).  An intradecidual gestational sac should be eccentrically located within the endometrium and should abut the endometrial canal.  It is important to ensure that the sac abuts the endometrial canal to distinguish an intra-uterine gestational sac from a decidual cyst.
  • 12.
    DOUBLE DECIDUAL SIGN Describedby Nyberg et al, as a method to differentiate between an early IUP and the pseudosac of the ectopic pregnancy.  Visualized by about 5.5 – 6 weeks of GA  It is based on visualization of two echogenic rings.  The inner ring is formed by the gestational sac as an echogenic ring formed by the decidua capsularis and chorionic laeve eccetrically.  The outer ring is formed by the echogenic ring of the lining of the uterus ( formed by decidua parietalis).
  • 16.
     Normal gestationalsac can be differentiated from pseudosac as the normal GS :  Implants immediately beneath the echogenic endometrium stripe  As it enlarges, becomes oval in shape  Can be distorted duringTVS examination  GS is filled with chorionic sac fluid that is normally more echogenic than the amniotic fluid.
  • 17.
    2.YOLK SAC  Transferof the nutrients to the developing embryo in the third and fourth week.  Angiogenesis : occurs in the wall of the yolk sac in the fifth week.Vascular network formed by the angioblasts in the wall of the yolk sac eventually joins the fetal circulation via the paired vitelline arteries and veins through a stalk called vitelline duct.  Hematopoeisis: in fifth week  Determination of the amnionicity of a multifetal pregnancy.
  • 18.
     First structureto be seen normally within the gestational sac.  Diagnostic of IUP  TAS: MSD of 10 – 15 mm  TVS :MSD of 8.0 mm.
  • 19.
    3. AMNION Double blebsign: it is a sonographic feature where there is visualisation of a gestational sac containing a yolk sac and amniotic sac giving an appearence of two small bubbles .The embryonic disc is located between the two bubbles. It can be identified as early as 51/2 weeks when the CRL is 2.0mm.
  • 21.
     The 2sacs are clearly visible.  The outer chorion with the developing placenta and the inner amnion which will "inflate" with the production of fetal urine, to adhere to the chorion obliterating the residual yolk sac.
  • 22.
    EMBRYO  At 51/2weeks, when the CR length is 2.o mm, embryonic disc is situated between the yolk sac and amnion.  As the resolution of the ultrasound equipment improves, visualization of the embryonic structures become possible.
  • 23.
    4. EMBRYONIC CARDIACACTIVITY  Using a trans-vaginal approach the fetal heart beat can be seen flickering before the fetal pole is even identified.  It will be seen alongside the yolk sac.  It may be below 100 beats per minute but this will increase to between 120- 180 beats per minute by 7 weeks.  In the early scans at 5-6 weeks just visualizing a heart beating is the important thing.  Failure to identify fetal cardiac activity in a fetus whose overall length is greater than 4 mm (approx 4.5 weeks)is an ominous sign .
  • 24.
     The veryearly embryonic heart will be a subtle flicker.  This may be measured using M-Mode(avoid Doppler in the first trimester due to risks of bioeffects).  Initially the heart rate may be slow.  It is advisable to compare the maternal heart rate to confirm that one is not seeing an arteriole.
  • 25.
    5.UMBILICAL CORD ANDCORD CYST  Formed at the end of the sixth week.  Contents : all of which are embedded in Wharton’s jelly. Two umbilical arteries single umbilical vein allantois Yolk stalk
  • 27.
     Cysts andpseudocysts within the cord occur in first trimester.  Seen usually in 8th week and disappear by 12th week.  Singular, with a mean size of 5.2 mm.  Originate from the remnants of allantois or yolk stalk and have an epithelial lining.  If seen in 2nd and 3rd trimester they are associated with chromosomal abnormalities.
  • 28.
     In orderof their appearance, the following structures can be measured as indicators of the gestational age: 1.Gestational sac ( MSD) 2.CRL ( crown – rump length) 3.Biparietal diameter
  • 29.
    1.Gestational sac From 5– 6 weeks gestation, two methods are used to assign gestational age by USG: 1. Mean sac diameter 2. Sonographic identification of the gestational sac contents
  • 30.
     MEAN SACDIAMETER : the average internal diameter of the gestational sac, is calculated as the mean of theAP, transverse and the longitudinal diameter. Normally, a yolk sac will be present when MSD : 8 .0 mm. Embryo will be present when MSD : 16.0 mm.
  • 32.
     MSD between2-14 mm are accurate in predicting the gestational age, before the embryo is seen.
  • 33.
    2.CROWN – RUMPLENGTH ( up to 11 weeks)  GA closely correlates with CR length from 6 weeks until the end of the first trimester.  The CRL is the length of the embryo or fetus from the top of its head to the bottom of its torso.  It is measured as the longest dimension of the embryo, excluding the yolk sac and extremities.
  • 34.
     Once, theembryo can be visualized ( after 7 weeks), the measurement of choice for estimation of GA becomes crown rump length.  MSD becomes progressively less reliable for predictingGA as the first trimester of pregnancy advances.
  • 36.
    3.BIPARIETAL DIAMETER: By theend of the first trimester, measurement of the BPD becomes more accurate than the CRL, which by that time reflects errors due to biological variabilities. In addition to BPD, corrected BPD, and HC are the parameters which involve the fetal head.
  • 38.
    Rules for measurementof the BPD:  1. Correct plane of section is taken through the third ventricle and paired thalami.  2. the calvaria should be smooth and symmetrical bilaterally.  3.the cursors are positioned correctly.
  • 39.
     Measured fromthe outer edge of the cranium nearest the transducer to the inner edge farthest from the transducer.  Corrected BPD = square root of BPD X OFD/ 1.265 Significance: it represents the BPD of the standard shaped head ( one with an OFD / BPD ratio of 1.265) of the same cross sectional area.
  • 40.
     Nuchal translucencyis referred to as normal subcutaneous fluid filled space between the back of the fetal neck and the overlying skin.  It is a measurement performed during a specific period in the first trimester (11.3-13.6 weeks).  An increased nuchal translucency is thought to relate to dilated lymphatic channels.
  • 41.
    1. Only valuesobtained when CRL values are between 45-84 mm are considered valid. 2. The lucent region is generally not septated. 3. The thickness rather than the appearance (morphology) is considered to be directly related to the incidence of chromosomal and other anomalies. 4. A normal value is usually less than roughly 2.5-3.0 mm in thickness however it is maternal age dependent needs to be matched to exact gestational age and crown rump length (CRL).
  • 42.
     The fetusshould be transverse (sagittal) in the imaging plane.  The vertebral column should be facing the bottom of the screen.  Fetal head should not be extended or flexed  Fetus should be floating free of the uterine wall (i.e. amniotic fluid should be seen between its back and the uterus)  Only the lucency is measured (again differing from nuchal thickness)  Ideally only the head and upper thorax should be included in the measurement  The level of magnification should be appropriate (fetus should occupy most of the image).  The widest part of the measurement should be taken
  • 43.
     The nuchaltranslucency cannot be adequately assessed if there is : Unfavourable fetal lie Unfavourable GA: CRL < 45 or > 84 mm.
  • 46.
    Interpretation  Detection ratesfor aneupliodic anomalies with nuchal translucency alone approaches 80 - 90 % with a false positive rate of ~ 5%. Correlation With Serum Markers  To increase the clinical accuracy of nuchal lucency, it can be correlated with serum markers such as  maternal B-HCG  alpha feto protein (AFP)  pregnancy associated plasma protein A (PAPP-A)  oestriol Further work up  If abnormal > further work up is carried out which includes  Amniocentesis and / or ChorionicVillus sampling  Fetal echocardiography Natural course - progression  As the second trimester approaches, the region of nuchal translucency might either  Regress :  if chromosomally normal, a large proportion of fetuses will have a normal outcome  spontaneous regression does not however mean a normal karyotype  Evolve into a  Nuchal Oedema  Cystic Hygroma
  • 47.
     Can bedone using sonographic criteria: 1. Embryonic cardiac activity 2. Gestational sac features 3. Amnion and yolk sac criteria 4. Doppler ultrasound assessment
  • 48.
    1. Embryonic cardiacactivity  The presence of cardiac activity indicates that the embryo is alive.  The absence of cardiac activity does not necessarily indicate embryonic demise, however, because TVS can identify a normal early embryo without cardiac activity.
  • 49.
    Embryonic bradycardia: Doubilet andBenson found that a heart rate less than 80 beats / min in embryos with a CRL less than 5.0 mm was universally associated with subsequent embryonic demise. Normal : (120 or more beats/ min) Arrhythmias : another indicator of the first trimester loss. Most common is ventricular bradycardia.
  • 51.
    2.Gestational sac features Abnormal size : Nyberg et al refined the definition of an abnormal gestational sac as MSD of 25.0mm or more without an embryo, or MSD of 20.0 mm or more without a yolk sac.
  • 52.
    Bromley et alfound that difference between the MSD and CRL should not be less than 5.0 mm. So if, between to 9 weeks’ GA with MSD less than 5.0mm greater than CRL. ( i.e MSD- CRL = <5.0mm), sometimes termed as early oligohydramnios.
  • 53.
     Other featuresinclude : • Distorted GS shape • Thin trophoblastic reaction • Weakly echogenic trophoblast • Abnormally low position of the GS within the endometrial cavity.
  • 55.
    4. Amnion andyolk sac criterion  Visualization of the amnion in the absence of a sonographically demonstrable embryo after 7 weeks’ MA is abnormal and diagnostic of the non viable pregnancy.  The amnion is visualized after the embryo. So it should never be visualized in the absence of the embryo.  Other findings that may be useful in the diagnosis of the embryonic demise include a collapsing, irregularly marginated amnion and yolk sac calcification.
  • 58.
     Yolk sacsize : Internal diameter of the yolk sac greater than 5.6 mm between 5 and 10 weeks is always associated with the abnormal outcome.
  • 60.
     In generalif the MSD is 16 mm or greater and no fetal pole / yolk sac can be identified on trans-vaginal scanning then this suggests a non- viable pregnancy (an-embryonic pregnancy).  Repeat scanning with an larger MSD and serial quantitative beta- HCGs is however thought prudent.  In a normal early pregnancy, the diameter of the yolk sac should usually be < 6 mm while its shape should be near spherical. Natural course  As the pregnancy advances, the yolk sac disappears and is often sonographically not detectable after 14 weeks.
  • 61.
     Other abnormalitiesinclude : Calcified yolk sac : shadowing echogenic mass. Seen with a dead embryo and may calcify within 36 hours after demise.
  • 62.
     Doppler ultrasoundassessment: Assessment of the uterine or spiral arteries for: 1.Resistive index 2.Pulsatility index In the normal pregnancy, the indices within these vessels demonstrate a progressive decline from 6 to 12 weeks of POG. the basis for this drop in early pregnancy is the development of the intervillous circulation.
  • 63.
    1.Resistive index If RI< 0.55 - normal pregnancy If RI >0.55 - corresponds to the high pressure blood flow, seen in cases with pre eclampsia and IUGR. Subsequently, leading to miscarriage resulting in early pregnancy failure.
  • 64.
    2. Pulsatility index Higher in the women with recurrent pregnancy loss and  Elevated levels of antiphospholipid antibodies.
  • 66.
     A CRLof ≥ 7mm without a heart beat on a transvaginal ultrasound confirms the diagnosis  Additional clues are presence of abnormal hyperechoic material within the uterine cavity and an irregular gestational sac.  If there is an absence of heart beat in a fetus that is less than 7mm, the diagnosis of miscarriage cannot be made with certainty.  This scenario is termed "Pregnancy Of UncertainViability (PUV)", and followup with ultrasound (generally in 7-10 days) and serial bHCG recommended.
  • 67.
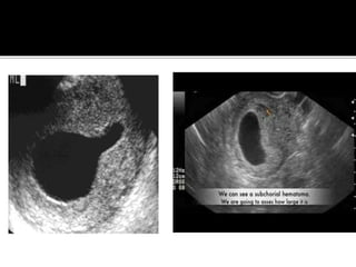
     Irregular Sac. Hyperechoic collection within the sac.
  • 68.
     A subchorionichaemorrhage is often seen, but unless large does not carry a poor prognosis.  Features which do predict poor outcome include: • Fetal bradycardia : < 80 - 90 bpm • Small or Irregular Gestational Sac : MSD - CRL < 5 mm • Large Subchorionic Haemorrhage
  • 70.
     One importantdifference is to be deduced between an actual irregular sac & a sac which appears irregular due to Braxton-Hick’s contractions.  The former one, will not change its shape to become normal with time.
  • 71.
     Refers tothe presence of an open cervix in the context of bleeding in the first trimester of pregnancy.  Essentially, a threatened abortion progresses to an inevitable abortion if cervical dilatation occurs. Once tissue has passed through the cervical os, this will then be termed an incomplete abortion and ultimately a complete abortion.
  • 72.
     Shows anempty uterus with no fetal components or products of conception
  • 73.
     Retained Productsof Conception, still seen within the uterine / cervical cavity.
  • 74.
     An anembryonic pregnancymay be diagnosed when there is no fetal pole identified on trans- vaginal scanning the size of the gestational sac is such that a fetal pole should be seen.  MSD ≥ 25 mm (by RCOG criteria)  There is little or no growth of the gestational sac between interval scans  Normally the MSD should increase by 1 mm per day  If MSD is too small to ascertain viability on the initial ultrasound, a follow up scan in 10-14 days should differentiate early pregnancy from a failed pregnancy
  • 76.
     Other ancillaryfeatures include  Absent yolk sac when MSD > 8 mm  Poor decidual reaction : often < 2 mm  Irregular gestational sac shape  Abnormally low sac position
  • 77.
     Ectopic pregnancyrefers to the implantation of a fertilised ovum outside of the uterine cavity.  Risk factors :  Any tubal abnormality that may prevent passage of the zygote or result in the delayed transit  Previous tubal pregnancy  h/o tubal reconstructive surgery  IUCD insertion  Increased maternal age  Increased parity  Previous caesarean section
  • 78.
     TUBAL ECTOPIC: 93 - 97%  Ampullary Ectopic : most common : ~ 70 % of tubal ectopics and ~ 65 - 68 % of all ectopics.  Isthmal Ectopic : ~ 12 % of tubal ectopics and ~ 11 % of all ectopics  Fimbrial Ectopic : ~ 11 % of tubal ectopics and ~ 10 % of all ectopics  ATYPICAL ECTOPIC PREGNANCIES  Interstitial Ectopic - cornual ectopic : 3 - 4 % :  Ovarian Ectopic - ovarian pregnancy : 0.5 - 1%  Cervical Ectopic - cervical pregnancy : rare < 1 %  Scar Ectopic : site of previous Caesarian section scar : rare  Abdominal Ectopic : rare ( ~ 1.4%)
  • 79.
     Specific signsinclude: 1. Demonstration of the pseudosac 2. Peritrophoblastic flow 3. Demonstration of live embryo in the adnexa  Non specific signs include: 1. Correlation with serum beta HCG levels 2. Assessment of the suspected ectopic mass 3. Ectopic tubal ring 4. Free pelvic fluid
  • 80.
    TVS must bethe first line of imaging investigation. BecauseTVS allows for better visualization of the endometrium, endometrial canal and adnexa thanTAS.  Pseudosac / pseudogestational sac / decidual cast : is an intrauterine fluid collection surrounded by single decidual layer as opposed to the two concentric rings of the double decidual sign.
  • 81.
     Peritrophoblastic flow :colour flow doppler imaging helps in assessing the peritrophoblastic flow. It is high velocity, low resistance flow with low RI and PI.
  • 83.
     Correlation withthe serum beta HCG levels: Negative beta HCG excludes the presence of a live pregnancy. Threshold level of beta HCG above which it is always possible to identify a normal intrauterine gestational sac TAS : above 1800mIU/ml TVS: 500 – 1000mIU/ml If an intrauterine GS is not identified, ectopic pregnancy becomes the diagnosis of exclusion.
  • 84.
     Adnexal massassessment : Conditions other than ectopic pregnancy include: • Hemorrhagic corpus luteum cyst • Endometriosis • Abscess
  • 85.
     Suspected ectopicmass should be assessed duringTVS for: • Local tenderness • Movement of the ectopic pregnancy separate from the ovary as the probe pressure is applied ( specific for tubal pregnancy which is most common).
  • 87.
     Free pelvicfluid : TVS is sensitive in detecting free pelvic fluid. The presence of the echogenic free fluid or blood clots in the cul de sac, without sonographic evidence of an IUP, suggests EP.
  • 88.
     Patients inwhom the site of implantation has not been identified with certainty have been categorized as having PUL. DIAGNOSTICCRITERIA:  Empty endometrial cavity with 1. An inhomogeneous adnexal mass 2. Extrauterine gestational sac with or without a yolk sac and / or embryonic pole.  Differentials include: 1. Very early IUP 2. Abnormal IUP 3. Ectopic pregnancy
  • 89.
     Diagnosis ismade when a live embryo is demonstrated in the adnexa in a patient with an intrauterine gestational sac.  Suspected in patients undergoing ovulatory induction or IVF.
  • 91.
     First trimestersonography plays an important role in establishing the location of the pregnancy and determining if the pregnancy is potentially viable.  Knowledge of the landmarks with respect to the appearance of structures appearing during first trimester are important in the triage of patients who present with pain and bleeding in the first trimester.
  • 92.
     Dignostic ultrasound CarolM Rumack  Ultrasonography in obstetrics and gynaecology Callen
  • 93.
    OPPORTUNITY IS MISSEDBY MOST PEOPLE BECAUSE IT IS DRESSED IN OVERALLS AND LOOKS LIKE WORK!!!