OBSTETRICAL ULTRASOUND
Moderator: Dr. C. Lalthantluanga
Speaker: Dr. C. Hmingthansanga
Tuesday, the 16th May, 2023.
• Obstetrical ultrasound (USG) is fundamental to prenatal care.
• It is used to confirm gestational age, viability, to detect & characterize
abnormalities of the fetus, amniotic fluid, and placenta; and to assist
with diagnostic and therapeutic procedures.
• Ultrasound practice continues to evolve.
• Fetal abnormalities are increasingly identified in the late first
trimester.
Technology of Ultrasound:
• The image on the ultrasound screen is produced by sound waves that
are reflected back from fluid and tissue interfaces of the fetus, amniotic
fluid, and placenta.
• It is the sound wave beyond the audible range of frequency greater
than 2 MHz (cycle/ second).
• Clinical application of USG in obstetrics was introduced & popularised
by Ian Donald in Glasgow in 1958.
• Ultrasound transducers contain groups of piezoelectric crystals that
convert electrical energy into sound waves and convert returning
sound waves back into electrical energy
• The syncronized sound waves pass through tissue layers, dense tissue
such as bone produces high-velocity reflected waves. With routine
grayscale imaging, which is also known as brightness-mode (B-mode),
these reflected waves are displayed as bright echoes on the screen.
• Higher-frequency transducers yield better image resolution, whereas
lower frequencies penetrate tissue more effectively.
• In early pregnancy, a 5- to 12-megahertz (MHz) trans-vaginal
transducer usually provides excellent resolution, because the early
fetus lies close to the transducer.
• In the first and second trimesters, a 4- to 6-MHz trans-abdominal
transducer is similarly sufficiently close to the fetus to yield precise
images.
• By the third trimester, however, a lower-frequency 2- to 5- MHz
transducer may be needed for tissue penetration—particularly in obese
patients—and this can lead to compromised image resolution.
SAFETY:
• USG should be performed only for a valid medical indication and use
the lowest possible exposure to avoid ultrasound exposure beyond what
is considered safe for the fetus (ACOG 2020).
• But there is no scientifically proven association between ultrasound
exposure in the 1st / 2nd trimesters and autism spectrum disorder or its
severity.
• No causal relationship has been demonstrated between diagnostic
ultrasound and any recognized adverse effect in human pregnancy
SAFETY:
• All ultrasound machines are required to display two indices: the thermal
index and the mechanical index.
• Thermal index measures the relative probability to induce injury.
• Theoretical risks are higher during organogenesis than later in gestation.
• However, fetal damage resulting from commercially available ultrasound
equipment in routine practice is extremely unlikely.
• The thermal index for soft tissue, should be used before 10 weeks’
gestation, and that for bone, at or beyond 10 weeks (higher with longer
examination time and is greater near bone than in soft tissue).
• The mechanical index is a measure of the likelihood of adverse effects
related to rarefactional pressure, such as cavitation, which is relevant only
in tissues that contain air.
• In mammalian tissues that do not contain gas bodies, no adverse effects
have been reported over the range of diagnostically relevant exposures.
• Fetuses cannot contain gas bodies and thus are not considered at risk.
• USG Images or video clips from medically indicated may be shared with
patients.
OPERATOR SAFETY:
• The reported prevalence of work-related musculoskeletal discomfort or
injury among sonographers approximates 70 percent.
• The most common injuries are capsulitis and tendonitis of the shoulder,
epicondylitis of the elbow, carpal and cubital tunnel syndrome, and neck or
back strain due to awkward posture, sustained static forces, and various
pinch grips used to maneuver the transducer.
• Excessive flexion, extension, or abduction while scanning places stress on
joints and muscles.
• Task repetition without adequate recovery time may compound risks.
GESTATIONALAGE (GA) ASSESSMENT BY USG
• GA is based on two things: certainty of LMP date and early scan GA
estimation.
• G-sac measurement is not suitable for GA assignment.
• If LMP is certain, the EDD is based on LMP unless the date –
measurement discrepancy exceeds thresholds (table on next slide). If the
discrepancy exceeds these thresholds, or if the LMP is uncertain or
unknown, USG establish the EDD.
Source:Williams
MEAN SAC DIAMETER (MSD)
MSD is usually first seen at around 3 weeks after conception (5 weeks
after the last menstrual period), when it measures 2-3 mm.
MSD = (length + height + width)/3
Normal MSD (in mm) + 30 = days of pregnancy
• Should be at least 5 mm greater than the crown rump length
• The diagnosis of pregnancy failure should not be made on the basis of
MSD growth
• When the MSD measures 8 mm (TVS) a yolk sac should be visible,
however, lack of a yolk sac is not an indication of pregnancy failure.
YOLK SAC (YS)
• Before placental circulation is established, yolk sac is the primary source
of exchange between the embryo & mother.
• In a normal early pregnancy, diameter is < 6mm where it’s shape should
be near spherical.
• Natural course: As pregnancy advances, it disappears & sonographically
not detectable after 14 weeks.
• Absence of YS in the presence of an embryo is always abnormal and is
associated with fetal desmise.
• A larger than normal YS is also associated with adverse outcome in the
fetus.
• Visualization of multiple YS is the earliest sign of a poly-amniotic
pregnancy (e.g. twins)
CROWN-RUMP LENGTH (CRL)
• CRL - the most accurate method to establish or confirm gestational age
(TVS - higher resolution images)
• CRL is measured in the mid-sagittal plane with the embryo or fetus in a
neutral, non-flexed position.
• Most accurate @ 7-12 weeks
• CRL EDD estimation should not be changed by subsequent scan.
Application
• Fetal Biometry
• Fetal Cardiac Activity
• Fetal Lie
• Fetal Number
• Placental Location
• Amniotic Fluid Index (AFI)
• Biophysical profile
SECOND & THIRD TRIMESTER SCAN
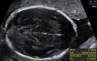
• Bi-parietal Diameter (BPD)
• Head Circumference (HC)
• Femur Length (FL)
• Abdominal Circumference (AC)
• All can be of – or + 2 weeks
SECOND TRIMESTER SCAN
Biparietal Diameter (BPD)
• Measured after 13 weeks
• Babies of same weight can have different head size – dating
at later pregnancy is unreliable with BPD alone.
• A wrong measurement plane can produce errors up to
20mm.
• BPD remains the standard against which other parameters
of GA assessment are compared.
BPD Measurement Technique
• Measurement; Outer edge of the near cranium to the inner
edge of the far cranium.
• Middle to middle is also acceptable.
• BPD can be smaller (and sometimes much smaller than is
expected) in fetuses with flatter head (check the head
circumference).
Head Circumference (HC)
• An essential parameter for the estimation of fetal weight as
well as in cases with abnormal fetal head size (i.e.,
microcephaly/macrocephaly)
Occipito-frontal Diameter (OFD)
• Distance between the back of the head and the forehead.
• To assess the growth and development.
• an important indicator of overall fetal health and well-being.
FEMUR LENGTH (FL)
• FL growth presents a characteristic appearance between the 12th and
42nd pregnancy week.
• In the 12th pregnancy week it is 11 mm on the average, 33 m in the 20th,
58 mm in the 30th, and 76 mm at birth.
• Mean growth rate of foetal FL during the entire period under
observation is about 1 to 3 mm per pregnancy week.
• The range of error of the estimate is +/- 20.6 days.
• For growth/ weight estimation, and, also for diagnosing the maturity.
PLACENTAL GRADINGS
• Placental grading is based on its maturity. This primarily affects the extent of
calcifications.
• The grading system is as follows:
Grade 0: <18 weeks
uniform echogenicity
smooth chorionic plate
Grade I: 18-29 weeks
Occasional parenchymal calcification/ hyperechoic areas
subtle indentations of chorionic plate
Grade II: ​30-38 weeks
• Occasional basal calcification/ hyperechoic areas
• Deeper indentations of the chorionic plate (does not reach up to the
basal plate).
• Seen as comma type densities at the chorionic plate
Grade III: ​​≥ 39 weeks
• Significant basal plate calcification
• Chorionic plate interrupted by indentations (frequently calcified) that
reach up to the basal plate: cotyledons
NORMAL & ABNORMAL
PICTURES
Nuchal Translucency (NT)
• NT evaluation—between 11 and 14 weeks
• Increased NT > 3mm by TVS is a strong marker for Chromosomal
Abnormalities (Trisomy 21, 18, 13, Triploidy & Tuner’s syndrome)
TWINS
• Identification of 2 G-SAC indicates twin birth in 52-63 % of cases.
Ectopic Pregnancy (EP)
• TVS can detect 90% of tubal ectopic pregnancy.
• Double decidual sac sign differentiates normal pregnancy from EP.
• Echogenic fluid in POD suggest probable EP.
• Echogenic ring (ring of fire) outside of uterus suggests EP.
Placenta Praevia
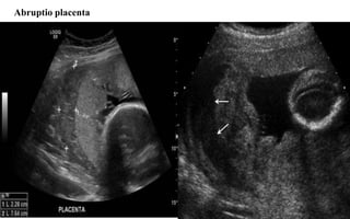
Abruptio placenta
Molar pregnancy
Complete & Incomplete
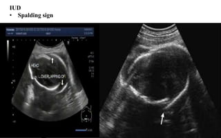
IUD
• Spalding sign
Omphalocele
Anencephaly
RPOC
THANK YOU

Obstetrical imaging-1.pptx

  • 1.
    OBSTETRICAL ULTRASOUND Moderator: Dr.C. Lalthantluanga Speaker: Dr. C. Hmingthansanga Tuesday, the 16th May, 2023.
  • 2.
    • Obstetrical ultrasound(USG) is fundamental to prenatal care. • It is used to confirm gestational age, viability, to detect & characterize abnormalities of the fetus, amniotic fluid, and placenta; and to assist with diagnostic and therapeutic procedures. • Ultrasound practice continues to evolve. • Fetal abnormalities are increasingly identified in the late first trimester.
  • 3.
    Technology of Ultrasound: •The image on the ultrasound screen is produced by sound waves that are reflected back from fluid and tissue interfaces of the fetus, amniotic fluid, and placenta. • It is the sound wave beyond the audible range of frequency greater than 2 MHz (cycle/ second). • Clinical application of USG in obstetrics was introduced & popularised by Ian Donald in Glasgow in 1958.
  • 4.
    • Ultrasound transducerscontain groups of piezoelectric crystals that convert electrical energy into sound waves and convert returning sound waves back into electrical energy • The syncronized sound waves pass through tissue layers, dense tissue such as bone produces high-velocity reflected waves. With routine grayscale imaging, which is also known as brightness-mode (B-mode), these reflected waves are displayed as bright echoes on the screen. • Higher-frequency transducers yield better image resolution, whereas lower frequencies penetrate tissue more effectively.
  • 5.
    • In earlypregnancy, a 5- to 12-megahertz (MHz) trans-vaginal transducer usually provides excellent resolution, because the early fetus lies close to the transducer. • In the first and second trimesters, a 4- to 6-MHz trans-abdominal transducer is similarly sufficiently close to the fetus to yield precise images. • By the third trimester, however, a lower-frequency 2- to 5- MHz transducer may be needed for tissue penetration—particularly in obese patients—and this can lead to compromised image resolution.
  • 6.
    SAFETY: • USG shouldbe performed only for a valid medical indication and use the lowest possible exposure to avoid ultrasound exposure beyond what is considered safe for the fetus (ACOG 2020). • But there is no scientifically proven association between ultrasound exposure in the 1st / 2nd trimesters and autism spectrum disorder or its severity. • No causal relationship has been demonstrated between diagnostic ultrasound and any recognized adverse effect in human pregnancy
  • 7.
    SAFETY: • All ultrasoundmachines are required to display two indices: the thermal index and the mechanical index. • Thermal index measures the relative probability to induce injury. • Theoretical risks are higher during organogenesis than later in gestation. • However, fetal damage resulting from commercially available ultrasound equipment in routine practice is extremely unlikely. • The thermal index for soft tissue, should be used before 10 weeks’ gestation, and that for bone, at or beyond 10 weeks (higher with longer examination time and is greater near bone than in soft tissue).
  • 8.
    • The mechanicalindex is a measure of the likelihood of adverse effects related to rarefactional pressure, such as cavitation, which is relevant only in tissues that contain air. • In mammalian tissues that do not contain gas bodies, no adverse effects have been reported over the range of diagnostically relevant exposures. • Fetuses cannot contain gas bodies and thus are not considered at risk. • USG Images or video clips from medically indicated may be shared with patients.
  • 9.
    OPERATOR SAFETY: • Thereported prevalence of work-related musculoskeletal discomfort or injury among sonographers approximates 70 percent. • The most common injuries are capsulitis and tendonitis of the shoulder, epicondylitis of the elbow, carpal and cubital tunnel syndrome, and neck or back strain due to awkward posture, sustained static forces, and various pinch grips used to maneuver the transducer. • Excessive flexion, extension, or abduction while scanning places stress on joints and muscles. • Task repetition without adequate recovery time may compound risks.
  • 10.
    GESTATIONALAGE (GA) ASSESSMENTBY USG • GA is based on two things: certainty of LMP date and early scan GA estimation. • G-sac measurement is not suitable for GA assignment. • If LMP is certain, the EDD is based on LMP unless the date – measurement discrepancy exceeds thresholds (table on next slide). If the discrepancy exceeds these thresholds, or if the LMP is uncertain or unknown, USG establish the EDD.
  • 11.
  • 12.
    MEAN SAC DIAMETER(MSD) MSD is usually first seen at around 3 weeks after conception (5 weeks after the last menstrual period), when it measures 2-3 mm. MSD = (length + height + width)/3 Normal MSD (in mm) + 30 = days of pregnancy • Should be at least 5 mm greater than the crown rump length • The diagnosis of pregnancy failure should not be made on the basis of MSD growth • When the MSD measures 8 mm (TVS) a yolk sac should be visible, however, lack of a yolk sac is not an indication of pregnancy failure.
  • 13.
    YOLK SAC (YS) •Before placental circulation is established, yolk sac is the primary source of exchange between the embryo & mother. • In a normal early pregnancy, diameter is < 6mm where it’s shape should be near spherical. • Natural course: As pregnancy advances, it disappears & sonographically not detectable after 14 weeks.
  • 15.
    • Absence ofYS in the presence of an embryo is always abnormal and is associated with fetal desmise. • A larger than normal YS is also associated with adverse outcome in the fetus. • Visualization of multiple YS is the earliest sign of a poly-amniotic pregnancy (e.g. twins)
  • 16.
    CROWN-RUMP LENGTH (CRL) •CRL - the most accurate method to establish or confirm gestational age (TVS - higher resolution images) • CRL is measured in the mid-sagittal plane with the embryo or fetus in a neutral, non-flexed position. • Most accurate @ 7-12 weeks • CRL EDD estimation should not be changed by subsequent scan.
  • 20.
    Application • Fetal Biometry •Fetal Cardiac Activity • Fetal Lie • Fetal Number • Placental Location • Amniotic Fluid Index (AFI) • Biophysical profile SECOND & THIRD TRIMESTER SCAN
  • 21.
    • Bi-parietal Diameter(BPD) • Head Circumference (HC) • Femur Length (FL) • Abdominal Circumference (AC) • All can be of – or + 2 weeks SECOND TRIMESTER SCAN
  • 22.
    Biparietal Diameter (BPD) •Measured after 13 weeks • Babies of same weight can have different head size – dating at later pregnancy is unreliable with BPD alone. • A wrong measurement plane can produce errors up to 20mm. • BPD remains the standard against which other parameters of GA assessment are compared.
  • 23.
    BPD Measurement Technique •Measurement; Outer edge of the near cranium to the inner edge of the far cranium. • Middle to middle is also acceptable. • BPD can be smaller (and sometimes much smaller than is expected) in fetuses with flatter head (check the head circumference).
  • 27.
    Head Circumference (HC) •An essential parameter for the estimation of fetal weight as well as in cases with abnormal fetal head size (i.e., microcephaly/macrocephaly) Occipito-frontal Diameter (OFD) • Distance between the back of the head and the forehead. • To assess the growth and development. • an important indicator of overall fetal health and well-being.
  • 31.
    FEMUR LENGTH (FL) •FL growth presents a characteristic appearance between the 12th and 42nd pregnancy week. • In the 12th pregnancy week it is 11 mm on the average, 33 m in the 20th, 58 mm in the 30th, and 76 mm at birth. • Mean growth rate of foetal FL during the entire period under observation is about 1 to 3 mm per pregnancy week. • The range of error of the estimate is +/- 20.6 days. • For growth/ weight estimation, and, also for diagnosing the maturity.
  • 32.
    PLACENTAL GRADINGS • Placentalgrading is based on its maturity. This primarily affects the extent of calcifications. • The grading system is as follows: Grade 0: <18 weeks uniform echogenicity smooth chorionic plate
  • 33.
    Grade I: 18-29weeks Occasional parenchymal calcification/ hyperechoic areas subtle indentations of chorionic plate
  • 34.
    Grade II: ​30-38weeks • Occasional basal calcification/ hyperechoic areas • Deeper indentations of the chorionic plate (does not reach up to the basal plate). • Seen as comma type densities at the chorionic plate
  • 35.
    Grade III: ​​≥39 weeks • Significant basal plate calcification • Chorionic plate interrupted by indentations (frequently calcified) that reach up to the basal plate: cotyledons
  • 37.
  • 39.
    Nuchal Translucency (NT) •NT evaluation—between 11 and 14 weeks • Increased NT > 3mm by TVS is a strong marker for Chromosomal Abnormalities (Trisomy 21, 18, 13, Triploidy & Tuner’s syndrome)
  • 40.
    TWINS • Identification of2 G-SAC indicates twin birth in 52-63 % of cases.
  • 41.
    Ectopic Pregnancy (EP) •TVS can detect 90% of tubal ectopic pregnancy. • Double decidual sac sign differentiates normal pregnancy from EP. • Echogenic fluid in POD suggest probable EP. • Echogenic ring (ring of fire) outside of uterus suggests EP.
  • 42.
  • 43.
  • 44.
  • 45.
  • 46.
  • 47.
  • 48.
  • 49.