APSDr.Yassin M Al-saleh
Dr.Mohammad Algufiliy
‫الرحيم‬ ‫الرحمن‬ ‫هللا‬ ‫بسم‬
(‫إال‬ ‫العلم‬ ‫من‬ ‫أوتيتم‬ ‫وما‬
‫قليال‬)
OBJIECTIVES
• Case.
• Introduction.
• Classification.
• APS-1
• Pathogenesis.
• Presentation.
• Management.
• APS-2.
• Other APS.
Case
• rafal is 3 year old girl referred from MCH- Qasseem
with hypoparathyrodisim.
• Where she presented with generalized convulsion .
• found to have low ca 1.1 ,high phosporus 3.7 ,low
PTH 0.27
• Also patient having malabsorption in regular follow
up with GIT clinic .
• Family history: consangious marriage.
• father have DM and hemihypertorphy.
• One cousin with APS-1.
case
• On exam:
• Wt:5th. Ht: 5th. Poor dentation,Hemihypertrophy.
• Screeing done for her:
• LFT:WNL .
• U/E:WNL.
• HbA1c:WNL.
• ACTH,cortisol:WNL
• TFT:WNL
• Islet cell, throid,adrenal antibodies :negative.
• AIRE gene mutation :positive.
synonyms
• autoimmune polyendorine syndromes (APS).
• autoimmune polyglandular syndromes (APS).
• polyglandular autoimmune syndromes (PAS)/ (PGAS).
• autoimmune polyendocrinopathy.
• polyglandular failure syndromes.
introduction
• Definition:
• are a heterogeneous group of uncommon diseases
characterized by autoimmune activity against more
than one organ (endocrine OR non-endocrine).
• The autoimmune polyglandular syndromes result
from a loss of tolerance to self-antigens.
Maurizio Cutolo. Autoimmune polyendocrine syndromes. Autoimmunity Reviews 13
(2014) 85–89
classification
Autoimmune polyendocrine syndrome type 1
(APS-1)
• This condition is also termed as APECED autoimmune
polyendocrinopathy candidiasis ectodermal
dystrophy.
• Also called Whitaker's syndrome
• Due to a monogenetic mutation
• Males and females are equally affected
Dtsch Med Wochenschr. 2013 Feb;138(7):319-26; quiz 327-8. doi: 10.1055/s-
0032-1327355. Epub 2013 Feb 7.[Autoimmune polyglandular syndromes].
introduction
epidemiology
• the disease is not common
• an incidence of 1:100 000 .
• The highest prevalence have been found in certain
populations with high degree of consanguinity .
• in Iranian Jews (1:9,000)
• in Finland (1:14,000)
• in Sardinia (1:25,000)
• In Norway (1:80,000)
George J Kahaly. Polyglandular autoimmune syndromes. European Journal of
Endocrinology (2009) 161 11–20
Autoimmune polyendocrine syndrome type 1
(APS-1)
pathogenesis
• an autosomal recessive disease.
• linked to mutation of the AIRE gene (Autoimmune
Regulator gene) on chromosome 21q22.3.
Autoimmune polyendocrine syndrome type 1
(APS-1)
MichelsAW: Autoimmune polyglandular syndromes.nat rev endocrinology. 2010
May;6(5):270-7. doi: 10.1038/nrendo.2010.40. Epub 2010 Mar 23.
pathogenesis
• AIRE gene is expressed mainly in the thymus.
• Expressed in medullary thymic epithelial cells
(mTECS) .
• But also in lymph nodes, liver, pancreas,
adrenal cortex, and testes.
Autoimmune polyendocrine syndrome type 1
(APS-1)
pathogenesis
• More than 70 different mutations in the AIRE gene
have now been reported.
• mutations can be confirmed in more than 95% of
patients with clinical diagnoses of APS I
Autoimmune polyendocrine syndrome type 1
(APS-1)
Pathogenesis
North
American,
British, and
Norwegian
Iranian Jews Sardinian
Finland
Autoimmune polyendocrine syndrome type 1
(APS-1)
pathogenesis
• several hypotheses have been put forward to explain how an
individual can lose its tolerance against self antigens.
• the release of sequestered antigens.
• environment-induced alterations of host membrane proteins.
• crossreactivity between environmental agents and host
antigens.
• A defect in the cells regulating the immune response
Corrado Betterle, Renato Zanchetta: Update on autoimmune polyendocrine
syndromes (APS) .ACTA BIO MEDICA 2003; 74; 9-33
Autoimmune polyendocrine syndrome type 1
(APS-1)
pathogenesis
• Also hypothesis is that organs deriving from a same
germ layer can express common germ-layer specific
antigens that could serve as targets for the
autoimmune responses in APS
• it has been suggested that an APS may be due to
external agents sharing one or more epitopes with a
common antigen in several endocrine tissues
Autoimmune polyendocrine syndrome type 1
(APS-1)
pathogenesis
• It has been hypothesized that mutations of the AIRE
gene cause loss of peripheral antigen expression in
the thymus and probably decreased deletion of
autoreactive T lymphocytes that target such
peripheral antigens.
Autoimmune polyendocrine syndrome type 1
(APS-1)
De martinilo :APECED: A Paradigm of Complex Interactions between Genetic Background and
Susceptibility Factors. Front immunology. 2013 Oct 23;4:331. eCollection 2013.
pathogenesis
• AIRE gene function : expression of tissue specific
antigen (self-antigin) to thymocytes
• which lead to self tolerance by elimination of
the autoreactive T cells.
Autoimmune polyendocrine syndrome type 1
(APS-1)
T T-cell precursor or developing T-cell
A Auto reactive, self-reactive, pathological T-cell (CD4+ or CD8+)
Rn
Ri
Natural regulatory T-cell or suppressor
induced regulatory T-cell or suppressor
mTEC Medullary thymic epithelial cell
APC Antigen presenting cell
Antigen
CD
4 H
CD4+ helper cell
(CD4+,CD25+, FOXP3)R
THYMUS
CENTRAL
TOLERANCE
T
T-cell precursor
negative
Selection
(apoptosis)
T
mTEC + AIRE
A
A APC + AIREA
anergy
Ignorance
Ri
Ri
A
A
A
A
A
A
PERIPHERY
Rn
Rn
Rn
positive
selection
A
Rn
Rn
Rn
Rn
Rn
Rn
CD
4 H
CD4+ and CD8+
TCD4+ or CD8+
TEC
Diagnosis of APS-1
• Clinical diagnosis requires the presence of two from three
major criteria (Whitaker’s triad) :
• 1-mucocutaneous candidiasis.
• 2-Hypoparathyroidism.
• 3- Adrenocortical insufficiency (or autoantibodies against 21
hydroxylase)
• or If a sibling has the syndrome only one major is required
• diagnosis could be made by molecular genetics in presence of
minors.
Proust- lemoine E. Polyglandular autoimmune syndrome type I. Presse Med .2012
Dec;41(12 P 2):e651-62. doi: 10.1016/j.lpm.2012.10.005. Epub 2012 Nov 23.
Autoimmune polyendocrine syndrome type 1
(APS-1)
• Different genotype lead to different
phenotypes.
• Different genotype can lead to
same phenotype. (overlaping)
• One genotype can lead to different
phenotypes
presentation
Autoimmune polyendocrine syndrome type 1
(APS-1)
presentation
• Patients begin with CMC, followed by
hypoparathyrodism and finally by addison.
• It has been observed that the earlier was the first
clinical presentation, greater will be the number of
diseases that will develop during the life of a patient
with APS-1
Sarinda Millar, Dennis Carson. Clinical phenotypes of autoimmune
polyendocrinopathycandidiasis-ectodermal dystrophy seen in the Northern Ireland
paediatric population over the last 30 years. Ulster Med J 2012;81(3):118-122
Autoimmune polyendocrine syndrome type 1
(APS-1)
Chronic mucocutaneous candidiasis CMC
• is often the first condition detected .
• The onset is usually before 5 years of age .
• the first sign of APS I in 60% patients.
• by 40 years of age 100% of patient with APS will
developed candidiasis .
Autoimmune polyendocrine syndrome type 1
(APS-1)
CMC
• the etiology :due to a selective immunological
deficiency of T cells towards Candida albicans.
• Humoral immunity B-cell function normal.
• Anticytokines autoantibodies against the Th17-
related cytokines (IL-22,IL-17A and IL-17F) were
implicated .
Sarinda Millar, Dennis Carson. Clinical phenotypes of autoimmune
polyendocrinopathycandidiasis-ectodermal dystrophy seen in the Northern Ireland
paediatric population over the last 30 years. Ulster Med J 2012;81(3):118-122
Autoimmune polyendocrine syndrome type 1
(APS-1)
• Presentation:
• Oral candidiasis (thrush)
• Diaper rash.
• vulvovaginal candidiasis at puberty in females.
• Nail infection :leading to a darkened discoloration, thickening,
or erosion.
• intestinal mucosal candidiasis :lead to intermittent abdominal
pain and diarrhea.
Chronic mucocutaneous candidiasis CMC
Autoimmune polyendocrine syndrome type 1
(APS-1)
Chronic mucocutaneous candidiasis CMC
• Retrosternal pain occurring in patients with
confirmed oral candidiasis suggests esophageal
candidiasis which may lead to stricture and
dysphagia.
• epithelial carcinoma of the oral mucosa, tongue or
esophagus with its high mortality is well described in
APS I patients with chronic mucosal candidiasis.
Autoimmune polyendocrine syndrome type 1
(APS-1)
Chronic hypoparathyroidism
• usually presents before puberty.
• Pathology:
• an atrophy and infiltration of the parathyroid glands with
mononuclear cells.
• clinically patient may present with paresthesias,
hypereccitability, hypotension, carbopedal spasim ,
laryngospasm and generalized seizures.
• These symptoms may, however, be masked in the presence of
adrenal insufficiency.
• Papilledema and calcification of the basal ganglia are other
signs of chronic hypocalcaemia.
Autoimmune polyendocrine syndrome type 1
(APS-1)
Chronic hypoparathyroidism
• hypocalcemia ,Hyperphosphatemia with a low
parathyroid hormone(PTH) level is diagnostic.
• Recently, in patients with APS-1 and
hypoparathyrodisim, autoantibodies against calcium-
sensing receptors and other autoantibodies have
been reported
• Antibodies aginest NALP5 have been found in 49% of
patient with APS-1.
Autoimmune polyendocrine syndrome type 1
(APS-1)
Addison disease
• is found in more than 85% of APS I
• adrenocortical failure usually has its peak onset
before adolescence.
• Pathology:
• showed atrophy of the glands and lymphocyte
infiltration
• Deficiencies of cortisol, aldosterone, and adrenal
andogens may present simultaneously or may evolve
over months to several years.
Autoimmune polyendocrine syndrome type 1
(APS-1)
Addison disease
• Clinical Presentation
• The initial clinical features are often non specific
• These include fatigue, weight loss, myalgias,
arthralgias, behavioral changes, nausea and
vomiting, abdominal pain, weight loss and diarrhea.
• Hyperpigmentation and postural hypotension
• Adrenal crises with hyponatremia, hyperkalemia, and
hypoglycemia .
Autoimmune polyendocrine syndrome type 1
(APS-1)
Other associated diseases (Minor)
Mohammed Al-Owain :Renal Failure Associated with APECED and Terminal 4q Deletion:Evidence of Autoimmune Nephropathy Case Report.
Clinical and Developmental Immunology Volume 2010, Article ID 586342, 7 pages
watanbe M .Myopathy in autoimmune polyendocrinopathy-candidiasis-ectodermal dystrophy. Uscle nerve. 2012 Jun;45(6):904-8.
hyposplenism or asplenia.Gonadal failure.
policlonal hypergammaglobulinemiaautoimmune thyroiditis.
IgA deficiency.autoimmune hepatitis.
Vasculitis.type 1 diabetes.
sublenticular cataract.Cholelithiasis.
calcification of basal ganglia.Atrophic gastritis.
tympanic membranes calcification.Malabsorption.
rheumatoid arthritisDental enamel hypoplasia.
pure red cell aplasia.Vitiligo.
Cerebellar Degeneration.Alopecia.
KeratoconjunctivitisPericarditis.
Sjögren’s syndrome.Pernicious anemia.
Polyneuropathy.pulmonary disease.
Myopathy*IDA
Autoimmune Nephropathy*Encephalopathy.
(APS-1)
gonadal failure (Hypergonadotropic hypogonadism)
• more common in females.
• 50% of women with APS I develop ovarian failure by 20
years of age.
• In most cases presents usually as secondary
amenorrhoea although in some cases as primary
Amenorrhoea
• Also menstrual irregularities, polycystic ovaries, or
infertility
• Less than 30% of men with APS I develop testicular
failure.
• In 60-80% of patients with APS-1, steroid-producing cell
antibodies (StCA) have been detected .
Autoimmune polyendocrine syndrome type 1
(APS-1)
Autoimmune thyroid diseases
• Autoimmune thyroid diseases (ATD) occur in 4- 36%
of cases .
• between 9-32 years of age and usually as chronic
thyroiditis
• Anti-microsomial (anti-peroxidase) and/or anti-
thyroglobulin antibodies are detected in most
patients with autoimmune thyroid diseases
Autoimmune polyendocrine syndrome type 1
(APS-1)
Autoimmune hepatitis
• Autoimmune Hepatitis occurs in 10% to 31% of APS I.
• Subclinical to fulminant hepatic failure.
• the leading cause of death in these patients.
• all patients suspected of having APS I should have their
liver function regularly monitored.
• Autoimmune hepatitis in APS-1 correlates with positive
antibodies against liver and kidney microsomes (anti-
LKM)
• Anti-LKM antibodies are present even in 25% without
alterations in their liver function tests.
Autoimmune polyendocrine syndrome type 1
(APS-1)
Bialkosowska J: Hepatitis and the polyglandular autoimmune syndrome, type 1.
Aech med sci . 2011 Jun;7(3):536-9. doi: 10.5114/aoms.2011.23427. Epub 2011 Jul 11.
malapsorption
• Many ossotiated condition implicated including:
• Coeliac disease ,cystic fibrosis, pancreatic
insufficiency ,intestinal infections from Candida
Albicans, intestinal lymphangectasia , idiopathic
cholecystokinin deficiency
• In some patients cause unknown “idiopathic
malabsorption”
• in 48% of patients with APS-1 the tryptophan
hydroxylase autoantibodies were detected.
• TPH-Abs are absent in patients with
gastrointestinaldisorders but unaffected by APS-1
Autoimmune polyendocrine syndrome type 1
(APS-1)
Management
Autoimmune polyendocrine syndrome type 1
(APS-1)
Specific
organ
autoantibody
screening
assessment
of endocrine
function
Genetic study
+ general
antibodies
screening
• In hypothyroid patients with confirmed APS,
evidence for adrenal autoimmunity must also be
sought before starting thyroid hormone replacement
therapy
• Usually, sudden hypercalcemia in hypoparathyroid
individuals may signal the beginning of adrenal
insufficiency
Autoimmune polyendocrine syndrome type 1
(APS-1)
screening
• Any patients with APS-1 should be seen and screen
for autoantibodies at 6-month intervals.
Autoimmune polyendocrine syndrome type 1
(APS-1)
Meloni A, Furcas Met al. Autoantibodies against type I interferons as an additional
diagnostic criterion for autoimmune polyendocrine syndrome type I. J Clin Endocrinol
Metab 2008;93:4389–97
• Studies showed that upto 100% of patients with
APS-1 have been found to express autoantibodies
reacting with interferon-omega .
• also the great majority express autoantibodies
reacting with interferon alpha.
• their role in pathogenesis still controversy.
PathogenesisAutoimmune polyendocrine syndrome type 1
(APS-1)
(Anti-IFN-ω and Anti-IFN-α)
jaaskelainen j ,Perheentupa Autoimmune polyendocrinopathy-candidosis-ectodermal dystrophy
(APECED)--a diagnostic and therapeutic challenge. endocrinology review 2009 Dec;7(2):15-28.
• search for autoantibodies against interferon-omega,
enables proof or exclusion of APECED with more
certainty than gene analysis.
• It is highly specific and sensitive for APECED if
thymoma and myasthenia gravis are excluded
• Its present early in course of the disease and persist
for years
Autoimmune polyendocrine syndrome type 1
(APS-1)
screening
• Any patient with suspected APS should be screened with a panel of
autoantibodies :
• type I interferons autoantibodies (α and ω)
• adrenal cortex cytoplasmic autoantibodies.
• 21 hydroxylase autoantibodies.
• GADA, IA-2A, IAA,ZnT8 andICA
• thyroid microsomal/thyroperoxidase autoantibodies.
• thyroglobulin autoantibodies.
• steroidal cell autoantibodies.
• P450 1A2 and AADC autoantibodies
• Anti-LKM antibodies.
• endomysial or transglutaminase autoantibodies.
• Internisic factor.
• H+ K+ ATPase autoantibodies.
• Parital cell autoantibodies.
• Autoantibodies against tyrosine hydroxylase
• Complement-fixing melanocyte antibodies
Assessment of end-organ function
• Assessment of end-organ function in any patient
with autoantibodies is recommended annually.
Investigation
early morning cortisol levels
electrolyte :sodium, potassium
renins
Fasting blood glucose testing
calcium, phosphate, and PTH
TSH level,FT4
Investigation
FSH and LH levels
Testesteron , estradiol
hemoglobin and hematocrit
mean corpuscular volume
vitamin B12 level
Liver function tests
Autoimmune polyendocrine syndrome type 1
(APS-1)
Treatment of APS-1
• will depend upon the autoimmune disorder identified .
• Candidiasis: antifungal.
• aggressive therapy of oral is indicated in order to prevent
the late complication of epithelial carcinoma.
• Fluconazole is preferred over ketconazole.
• Hypoparathyrodisim: calcium and one alph.
• Addision : hydrocortison or prednisolone +
fludrocortisone.
• Type 1 DM: insulin.
Autoimmune polyendocrine syndrome type 1
(APS-1)
• Hypothyrodisim: levothyroxine.
• Hypergonadotropic hypogonadism: testosterone in
male, estrogen and progestrone in female.
• asplenia :vaccinations and prophylactic antibiotic.
• Autoimmune hepatitis : immunosuppresent.
• Keratoconjunctivitis : immunosuppresent.
• Malabsorption : immunosuppresent.
• pure red cell aplasia : immunosuppresent.
Treatment of APS-1
Autoimmune polyendocrine syndrome type 1
(APS-1)
• APS-2 is the most common autoimmune
polyendocrine syndrome.
• incidence of 1:20 000
• more common in females than in males.
• onset in adulthood.
• particularly during the third or fourth decades.
Dtsch Med Wochenschr. 2013 Feb;138(7):319-26; quiz 327-8. doi: 10.1055/s-0032-1327355. Epub 2013 Feb
7.[Autoimmune polyglandular syndromes].
Autoimmune polyendocrine syndrome type 2
(APS-2)
pathogenesis of APS II
• the precise aetiology is unknown.
• cases occur sporadically or within families.
• inheritance of PAS II is complex.
• Within some families, it appears to be inherited as an
autosomal dominant.
• genes on chromosome 6 playing a predominant role.
this chromosome contains the major
histocompatibility loci.
George J Kahaly. Polyglandular autoimmune syndromes. European Journal of
Endocrinology (2009) 161 11–20
Autoimmune polyendocrine syndrome type 2
(APS-2)
pathogenesis
• patients with APS II have HLA associations similar to
those of patients with type 1 diabetes..
• The primary association of APS-2, appears to be with
class II HLA alleles with DR3/DQ2 and DR4/DQ8
• Primary adrenal insufficiency in type 2, but not in
type 1 APS, is strongly associated with both HLADR3
and HLA-DR4
Autoimmune polyendocrine syndrome type 2
(APS-2)
Diagnosis of APS II
• is defined by the coexistence of :
• Autoimmune adrenocortical insufficiency or serologic evidence of
adrenalitis with one or more of the following :
• 1- autoimmune thyroiditis or serologic evidence of thyroid
autoimmunity.
• 2- type 1 diabetes mellitus or islet autoimmunity.
• (Schmidt syndrome) : adrenocortical insufficiency + autoimmune
thyroiditis
• (Carpenter syndrome) Schmidt syndrome + type 1 diabetes
Autoimmune polyendocrine syndrome type 2
(APS-2)
Presentation
• Adrenocortical failure is the intial presentation in
approximately 50% of APS II cases.
• autoimmune thyroid disease (AITD) coexists in 80–
90% of females with Addison disease.
• Type 1 diabetes coexists in nearly 50% of patients
with Addison disease.
Autoimmune polyendocrine syndrome type 2
(APS-2)
Ali Y: Polyglandular autoimmune syndrome type 2: diagnosed in the intensive care unit.
Ther Adv Endocrinol Metab. 2013 Dec;4(6):170-2. doi: 10.1177/2042018813515698.
• Vitiligo.
• autoimmune lymphocytic
gastritis.
• Alopecia.
• Gonadal failure.
• Hypophysitis.
• empty sella syndrome.
• ulcerative colitis.
• primary biliary cirrhosis.
• Sarcoidosis.
• Achalasia.
• neuropathy.
• Thrombocytopenic purpura
• IgA deficiency.
• juvenile dermatomyositis
• dermatitis herpetiformis,
• scleroderma,
Other associated diseases
Autoimmune polyendocrine syndrome type 2
(APS-2)
Other APS
• IPEX.
• Thymic tumor
disease.
• POEMS syndrome.
• Hirata syndrome.
• Adult combined
pitutary hormone
deficincy(CPHD).
• Kearn-sayre
syndrome.
• DIDMOAD
syndrome.
IPEX
• IPEX (immune dysfunction, polyendocrinopathy, and enteropathy,
X-linked).
• also called XLAAD (X-linked autoimmunity and allergic
dysregulation)
• fatal autoimmune lymphoproliferative disease.
• rare X-linked recessive.
• Due to the absence of normal FoxP3 expression
• Neonatal onset type 1 diabetes,dermatitis, enteropathy, thyroiditis,
hemolytic anemia, and thrombocytopenia.
• long-term immunosuppression or bone marrow transplantation
appears to be the only effective therapy for IPEX.
‫رب‬ ‫يا‬ ‫األطفال‬ ‫ضحكة‬ ‫وصن‬‫انها‬
‫إذا‬‫غردت‬ ‫ما‬‫الرمل‬ ‫موحش‬ ‫في‬‫اعشبا‬
Autoimmune polyglandular syndromes

Autoimmune polyglandular syndromes

  • 1.
  • 2.
    ‫الرحيم‬ ‫الرحمن‬ ‫هللا‬‫بسم‬ (‫إال‬ ‫العلم‬ ‫من‬ ‫أوتيتم‬ ‫وما‬ ‫قليال‬)
  • 3.
    OBJIECTIVES • Case. • Introduction. •Classification. • APS-1 • Pathogenesis. • Presentation. • Management. • APS-2. • Other APS.
  • 4.
    Case • rafal is3 year old girl referred from MCH- Qasseem with hypoparathyrodisim. • Where she presented with generalized convulsion . • found to have low ca 1.1 ,high phosporus 3.7 ,low PTH 0.27 • Also patient having malabsorption in regular follow up with GIT clinic . • Family history: consangious marriage. • father have DM and hemihypertorphy. • One cousin with APS-1.
  • 5.
    case • On exam: •Wt:5th. Ht: 5th. Poor dentation,Hemihypertrophy. • Screeing done for her: • LFT:WNL . • U/E:WNL. • HbA1c:WNL. • ACTH,cortisol:WNL • TFT:WNL • Islet cell, throid,adrenal antibodies :negative. • AIRE gene mutation :positive.
  • 6.
    synonyms • autoimmune polyendorinesyndromes (APS). • autoimmune polyglandular syndromes (APS). • polyglandular autoimmune syndromes (PAS)/ (PGAS). • autoimmune polyendocrinopathy. • polyglandular failure syndromes.
  • 7.
    introduction • Definition: • area heterogeneous group of uncommon diseases characterized by autoimmune activity against more than one organ (endocrine OR non-endocrine). • The autoimmune polyglandular syndromes result from a loss of tolerance to self-antigens. Maurizio Cutolo. Autoimmune polyendocrine syndromes. Autoimmunity Reviews 13 (2014) 85–89
  • 8.
  • 9.
    Autoimmune polyendocrine syndrometype 1 (APS-1) • This condition is also termed as APECED autoimmune polyendocrinopathy candidiasis ectodermal dystrophy. • Also called Whitaker's syndrome • Due to a monogenetic mutation • Males and females are equally affected Dtsch Med Wochenschr. 2013 Feb;138(7):319-26; quiz 327-8. doi: 10.1055/s- 0032-1327355. Epub 2013 Feb 7.[Autoimmune polyglandular syndromes]. introduction
  • 10.
    epidemiology • the diseaseis not common • an incidence of 1:100 000 . • The highest prevalence have been found in certain populations with high degree of consanguinity . • in Iranian Jews (1:9,000) • in Finland (1:14,000) • in Sardinia (1:25,000) • In Norway (1:80,000) George J Kahaly. Polyglandular autoimmune syndromes. European Journal of Endocrinology (2009) 161 11–20 Autoimmune polyendocrine syndrome type 1 (APS-1)
  • 11.
    pathogenesis • an autosomalrecessive disease. • linked to mutation of the AIRE gene (Autoimmune Regulator gene) on chromosome 21q22.3. Autoimmune polyendocrine syndrome type 1 (APS-1) MichelsAW: Autoimmune polyglandular syndromes.nat rev endocrinology. 2010 May;6(5):270-7. doi: 10.1038/nrendo.2010.40. Epub 2010 Mar 23.
  • 12.
    pathogenesis • AIRE geneis expressed mainly in the thymus. • Expressed in medullary thymic epithelial cells (mTECS) . • But also in lymph nodes, liver, pancreas, adrenal cortex, and testes. Autoimmune polyendocrine syndrome type 1 (APS-1)
  • 13.
    pathogenesis • More than70 different mutations in the AIRE gene have now been reported. • mutations can be confirmed in more than 95% of patients with clinical diagnoses of APS I Autoimmune polyendocrine syndrome type 1 (APS-1)
  • 14.
    Pathogenesis North American, British, and Norwegian Iranian JewsSardinian Finland Autoimmune polyendocrine syndrome type 1 (APS-1)
  • 16.
    pathogenesis • several hypotheseshave been put forward to explain how an individual can lose its tolerance against self antigens. • the release of sequestered antigens. • environment-induced alterations of host membrane proteins. • crossreactivity between environmental agents and host antigens. • A defect in the cells regulating the immune response Corrado Betterle, Renato Zanchetta: Update on autoimmune polyendocrine syndromes (APS) .ACTA BIO MEDICA 2003; 74; 9-33 Autoimmune polyendocrine syndrome type 1 (APS-1)
  • 17.
    pathogenesis • Also hypothesisis that organs deriving from a same germ layer can express common germ-layer specific antigens that could serve as targets for the autoimmune responses in APS • it has been suggested that an APS may be due to external agents sharing one or more epitopes with a common antigen in several endocrine tissues Autoimmune polyendocrine syndrome type 1 (APS-1)
  • 19.
    pathogenesis • It hasbeen hypothesized that mutations of the AIRE gene cause loss of peripheral antigen expression in the thymus and probably decreased deletion of autoreactive T lymphocytes that target such peripheral antigens. Autoimmune polyendocrine syndrome type 1 (APS-1) De martinilo :APECED: A Paradigm of Complex Interactions between Genetic Background and Susceptibility Factors. Front immunology. 2013 Oct 23;4:331. eCollection 2013.
  • 20.
    pathogenesis • AIRE genefunction : expression of tissue specific antigen (self-antigin) to thymocytes • which lead to self tolerance by elimination of the autoreactive T cells. Autoimmune polyendocrine syndrome type 1 (APS-1)
  • 21.
    T T-cell precursoror developing T-cell A Auto reactive, self-reactive, pathological T-cell (CD4+ or CD8+) Rn Ri Natural regulatory T-cell or suppressor induced regulatory T-cell or suppressor mTEC Medullary thymic epithelial cell APC Antigen presenting cell Antigen CD 4 H CD4+ helper cell (CD4+,CD25+, FOXP3)R
  • 22.
    THYMUS CENTRAL TOLERANCE T T-cell precursor negative Selection (apoptosis) T mTEC +AIRE A A APC + AIREA anergy Ignorance Ri Ri A A A A A A PERIPHERY Rn Rn Rn positive selection A Rn Rn Rn Rn Rn Rn CD 4 H CD4+ and CD8+ TCD4+ or CD8+ TEC
  • 26.
    Diagnosis of APS-1 •Clinical diagnosis requires the presence of two from three major criteria (Whitaker’s triad) : • 1-mucocutaneous candidiasis. • 2-Hypoparathyroidism. • 3- Adrenocortical insufficiency (or autoantibodies against 21 hydroxylase) • or If a sibling has the syndrome only one major is required • diagnosis could be made by molecular genetics in presence of minors. Proust- lemoine E. Polyglandular autoimmune syndrome type I. Presse Med .2012 Dec;41(12 P 2):e651-62. doi: 10.1016/j.lpm.2012.10.005. Epub 2012 Nov 23. Autoimmune polyendocrine syndrome type 1 (APS-1)
  • 27.
    • Different genotypelead to different phenotypes. • Different genotype can lead to same phenotype. (overlaping) • One genotype can lead to different phenotypes presentation Autoimmune polyendocrine syndrome type 1 (APS-1)
  • 28.
    presentation • Patients beginwith CMC, followed by hypoparathyrodism and finally by addison. • It has been observed that the earlier was the first clinical presentation, greater will be the number of diseases that will develop during the life of a patient with APS-1 Sarinda Millar, Dennis Carson. Clinical phenotypes of autoimmune polyendocrinopathycandidiasis-ectodermal dystrophy seen in the Northern Ireland paediatric population over the last 30 years. Ulster Med J 2012;81(3):118-122 Autoimmune polyendocrine syndrome type 1 (APS-1)
  • 29.
    Chronic mucocutaneous candidiasisCMC • is often the first condition detected . • The onset is usually before 5 years of age . • the first sign of APS I in 60% patients. • by 40 years of age 100% of patient with APS will developed candidiasis . Autoimmune polyendocrine syndrome type 1 (APS-1)
  • 30.
    CMC • the etiology:due to a selective immunological deficiency of T cells towards Candida albicans. • Humoral immunity B-cell function normal. • Anticytokines autoantibodies against the Th17- related cytokines (IL-22,IL-17A and IL-17F) were implicated . Sarinda Millar, Dennis Carson. Clinical phenotypes of autoimmune polyendocrinopathycandidiasis-ectodermal dystrophy seen in the Northern Ireland paediatric population over the last 30 years. Ulster Med J 2012;81(3):118-122 Autoimmune polyendocrine syndrome type 1 (APS-1)
  • 31.
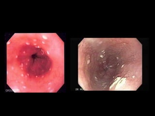
    • Presentation: • Oralcandidiasis (thrush) • Diaper rash. • vulvovaginal candidiasis at puberty in females. • Nail infection :leading to a darkened discoloration, thickening, or erosion. • intestinal mucosal candidiasis :lead to intermittent abdominal pain and diarrhea. Chronic mucocutaneous candidiasis CMC Autoimmune polyendocrine syndrome type 1 (APS-1)
  • 32.
    Chronic mucocutaneous candidiasisCMC • Retrosternal pain occurring in patients with confirmed oral candidiasis suggests esophageal candidiasis which may lead to stricture and dysphagia. • epithelial carcinoma of the oral mucosa, tongue or esophagus with its high mortality is well described in APS I patients with chronic mucosal candidiasis. Autoimmune polyendocrine syndrome type 1 (APS-1)
  • 37.
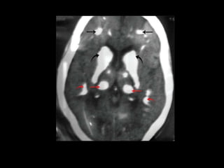
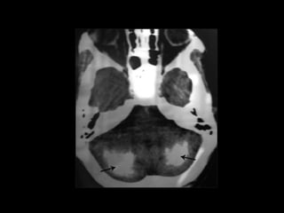
    Chronic hypoparathyroidism • usuallypresents before puberty. • Pathology: • an atrophy and infiltration of the parathyroid glands with mononuclear cells. • clinically patient may present with paresthesias, hypereccitability, hypotension, carbopedal spasim , laryngospasm and generalized seizures. • These symptoms may, however, be masked in the presence of adrenal insufficiency. • Papilledema and calcification of the basal ganglia are other signs of chronic hypocalcaemia. Autoimmune polyendocrine syndrome type 1 (APS-1)
  • 40.
    Chronic hypoparathyroidism • hypocalcemia,Hyperphosphatemia with a low parathyroid hormone(PTH) level is diagnostic. • Recently, in patients with APS-1 and hypoparathyrodisim, autoantibodies against calcium- sensing receptors and other autoantibodies have been reported • Antibodies aginest NALP5 have been found in 49% of patient with APS-1. Autoimmune polyendocrine syndrome type 1 (APS-1)
  • 41.
    Addison disease • isfound in more than 85% of APS I • adrenocortical failure usually has its peak onset before adolescence. • Pathology: • showed atrophy of the glands and lymphocyte infiltration • Deficiencies of cortisol, aldosterone, and adrenal andogens may present simultaneously or may evolve over months to several years. Autoimmune polyendocrine syndrome type 1 (APS-1)
  • 42.
    Addison disease • ClinicalPresentation • The initial clinical features are often non specific • These include fatigue, weight loss, myalgias, arthralgias, behavioral changes, nausea and vomiting, abdominal pain, weight loss and diarrhea. • Hyperpigmentation and postural hypotension • Adrenal crises with hyponatremia, hyperkalemia, and hypoglycemia . Autoimmune polyendocrine syndrome type 1 (APS-1)
  • 43.
    Other associated diseases(Minor) Mohammed Al-Owain :Renal Failure Associated with APECED and Terminal 4q Deletion:Evidence of Autoimmune Nephropathy Case Report. Clinical and Developmental Immunology Volume 2010, Article ID 586342, 7 pages watanbe M .Myopathy in autoimmune polyendocrinopathy-candidiasis-ectodermal dystrophy. Uscle nerve. 2012 Jun;45(6):904-8. hyposplenism or asplenia.Gonadal failure. policlonal hypergammaglobulinemiaautoimmune thyroiditis. IgA deficiency.autoimmune hepatitis. Vasculitis.type 1 diabetes. sublenticular cataract.Cholelithiasis. calcification of basal ganglia.Atrophic gastritis. tympanic membranes calcification.Malabsorption. rheumatoid arthritisDental enamel hypoplasia. pure red cell aplasia.Vitiligo. Cerebellar Degeneration.Alopecia. KeratoconjunctivitisPericarditis. Sjögren’s syndrome.Pernicious anemia. Polyneuropathy.pulmonary disease. Myopathy*IDA Autoimmune Nephropathy*Encephalopathy. (APS-1)
  • 46.
    gonadal failure (Hypergonadotropichypogonadism) • more common in females. • 50% of women with APS I develop ovarian failure by 20 years of age. • In most cases presents usually as secondary amenorrhoea although in some cases as primary Amenorrhoea • Also menstrual irregularities, polycystic ovaries, or infertility • Less than 30% of men with APS I develop testicular failure. • In 60-80% of patients with APS-1, steroid-producing cell antibodies (StCA) have been detected . Autoimmune polyendocrine syndrome type 1 (APS-1)
  • 47.
    Autoimmune thyroid diseases •Autoimmune thyroid diseases (ATD) occur in 4- 36% of cases . • between 9-32 years of age and usually as chronic thyroiditis • Anti-microsomial (anti-peroxidase) and/or anti- thyroglobulin antibodies are detected in most patients with autoimmune thyroid diseases Autoimmune polyendocrine syndrome type 1 (APS-1)
  • 48.
    Autoimmune hepatitis • AutoimmuneHepatitis occurs in 10% to 31% of APS I. • Subclinical to fulminant hepatic failure. • the leading cause of death in these patients. • all patients suspected of having APS I should have their liver function regularly monitored. • Autoimmune hepatitis in APS-1 correlates with positive antibodies against liver and kidney microsomes (anti- LKM) • Anti-LKM antibodies are present even in 25% without alterations in their liver function tests. Autoimmune polyendocrine syndrome type 1 (APS-1) Bialkosowska J: Hepatitis and the polyglandular autoimmune syndrome, type 1. Aech med sci . 2011 Jun;7(3):536-9. doi: 10.5114/aoms.2011.23427. Epub 2011 Jul 11.
  • 49.
    malapsorption • Many ossotiatedcondition implicated including: • Coeliac disease ,cystic fibrosis, pancreatic insufficiency ,intestinal infections from Candida Albicans, intestinal lymphangectasia , idiopathic cholecystokinin deficiency • In some patients cause unknown “idiopathic malabsorption” • in 48% of patients with APS-1 the tryptophan hydroxylase autoantibodies were detected. • TPH-Abs are absent in patients with gastrointestinaldisorders but unaffected by APS-1 Autoimmune polyendocrine syndrome type 1 (APS-1)
  • 51.
    Management Autoimmune polyendocrine syndrometype 1 (APS-1) Specific organ autoantibody screening assessment of endocrine function Genetic study + general antibodies
  • 52.
    screening • In hypothyroidpatients with confirmed APS, evidence for adrenal autoimmunity must also be sought before starting thyroid hormone replacement therapy • Usually, sudden hypercalcemia in hypoparathyroid individuals may signal the beginning of adrenal insufficiency Autoimmune polyendocrine syndrome type 1 (APS-1)
  • 53.
    screening • Any patientswith APS-1 should be seen and screen for autoantibodies at 6-month intervals. Autoimmune polyendocrine syndrome type 1 (APS-1)
  • 54.
    Meloni A, FurcasMet al. Autoantibodies against type I interferons as an additional diagnostic criterion for autoimmune polyendocrine syndrome type I. J Clin Endocrinol Metab 2008;93:4389–97 • Studies showed that upto 100% of patients with APS-1 have been found to express autoantibodies reacting with interferon-omega . • also the great majority express autoantibodies reacting with interferon alpha. • their role in pathogenesis still controversy. PathogenesisAutoimmune polyendocrine syndrome type 1 (APS-1) (Anti-IFN-ω and Anti-IFN-α)
  • 55.
    jaaskelainen j ,PerheentupaAutoimmune polyendocrinopathy-candidosis-ectodermal dystrophy (APECED)--a diagnostic and therapeutic challenge. endocrinology review 2009 Dec;7(2):15-28. • search for autoantibodies against interferon-omega, enables proof or exclusion of APECED with more certainty than gene analysis. • It is highly specific and sensitive for APECED if thymoma and myasthenia gravis are excluded • Its present early in course of the disease and persist for years Autoimmune polyendocrine syndrome type 1 (APS-1)
  • 56.
    screening • Any patientwith suspected APS should be screened with a panel of autoantibodies : • type I interferons autoantibodies (α and ω) • adrenal cortex cytoplasmic autoantibodies. • 21 hydroxylase autoantibodies. • GADA, IA-2A, IAA,ZnT8 andICA • thyroid microsomal/thyroperoxidase autoantibodies. • thyroglobulin autoantibodies. • steroidal cell autoantibodies. • P450 1A2 and AADC autoantibodies • Anti-LKM antibodies. • endomysial or transglutaminase autoantibodies. • Internisic factor. • H+ K+ ATPase autoantibodies. • Parital cell autoantibodies. • Autoantibodies against tyrosine hydroxylase • Complement-fixing melanocyte antibodies
  • 58.
    Assessment of end-organfunction • Assessment of end-organ function in any patient with autoantibodies is recommended annually. Investigation early morning cortisol levels electrolyte :sodium, potassium renins Fasting blood glucose testing calcium, phosphate, and PTH TSH level,FT4 Investigation FSH and LH levels Testesteron , estradiol hemoglobin and hematocrit mean corpuscular volume vitamin B12 level Liver function tests Autoimmune polyendocrine syndrome type 1 (APS-1)
  • 59.
    Treatment of APS-1 •will depend upon the autoimmune disorder identified . • Candidiasis: antifungal. • aggressive therapy of oral is indicated in order to prevent the late complication of epithelial carcinoma. • Fluconazole is preferred over ketconazole. • Hypoparathyrodisim: calcium and one alph. • Addision : hydrocortison or prednisolone + fludrocortisone. • Type 1 DM: insulin. Autoimmune polyendocrine syndrome type 1 (APS-1)
  • 60.
    • Hypothyrodisim: levothyroxine. •Hypergonadotropic hypogonadism: testosterone in male, estrogen and progestrone in female. • asplenia :vaccinations and prophylactic antibiotic. • Autoimmune hepatitis : immunosuppresent. • Keratoconjunctivitis : immunosuppresent. • Malabsorption : immunosuppresent. • pure red cell aplasia : immunosuppresent. Treatment of APS-1 Autoimmune polyendocrine syndrome type 1 (APS-1)
  • 62.
    • APS-2 isthe most common autoimmune polyendocrine syndrome. • incidence of 1:20 000 • more common in females than in males. • onset in adulthood. • particularly during the third or fourth decades. Dtsch Med Wochenschr. 2013 Feb;138(7):319-26; quiz 327-8. doi: 10.1055/s-0032-1327355. Epub 2013 Feb 7.[Autoimmune polyglandular syndromes]. Autoimmune polyendocrine syndrome type 2 (APS-2)
  • 63.
    pathogenesis of APSII • the precise aetiology is unknown. • cases occur sporadically or within families. • inheritance of PAS II is complex. • Within some families, it appears to be inherited as an autosomal dominant. • genes on chromosome 6 playing a predominant role. this chromosome contains the major histocompatibility loci. George J Kahaly. Polyglandular autoimmune syndromes. European Journal of Endocrinology (2009) 161 11–20 Autoimmune polyendocrine syndrome type 2 (APS-2)
  • 64.
    pathogenesis • patients withAPS II have HLA associations similar to those of patients with type 1 diabetes.. • The primary association of APS-2, appears to be with class II HLA alleles with DR3/DQ2 and DR4/DQ8 • Primary adrenal insufficiency in type 2, but not in type 1 APS, is strongly associated with both HLADR3 and HLA-DR4 Autoimmune polyendocrine syndrome type 2 (APS-2)
  • 65.
    Diagnosis of APSII • is defined by the coexistence of : • Autoimmune adrenocortical insufficiency or serologic evidence of adrenalitis with one or more of the following : • 1- autoimmune thyroiditis or serologic evidence of thyroid autoimmunity. • 2- type 1 diabetes mellitus or islet autoimmunity. • (Schmidt syndrome) : adrenocortical insufficiency + autoimmune thyroiditis • (Carpenter syndrome) Schmidt syndrome + type 1 diabetes Autoimmune polyendocrine syndrome type 2 (APS-2)
  • 66.
    Presentation • Adrenocortical failureis the intial presentation in approximately 50% of APS II cases. • autoimmune thyroid disease (AITD) coexists in 80– 90% of females with Addison disease. • Type 1 diabetes coexists in nearly 50% of patients with Addison disease. Autoimmune polyendocrine syndrome type 2 (APS-2) Ali Y: Polyglandular autoimmune syndrome type 2: diagnosed in the intensive care unit. Ther Adv Endocrinol Metab. 2013 Dec;4(6):170-2. doi: 10.1177/2042018813515698.
  • 67.
    • Vitiligo. • autoimmunelymphocytic gastritis. • Alopecia. • Gonadal failure. • Hypophysitis. • empty sella syndrome. • ulcerative colitis. • primary biliary cirrhosis. • Sarcoidosis. • Achalasia. • neuropathy. • Thrombocytopenic purpura • IgA deficiency. • juvenile dermatomyositis • dermatitis herpetiformis, • scleroderma, Other associated diseases Autoimmune polyendocrine syndrome type 2 (APS-2)
  • 69.
    Other APS • IPEX. •Thymic tumor disease. • POEMS syndrome. • Hirata syndrome. • Adult combined pitutary hormone deficincy(CPHD). • Kearn-sayre syndrome. • DIDMOAD syndrome.
  • 70.
    IPEX • IPEX (immunedysfunction, polyendocrinopathy, and enteropathy, X-linked). • also called XLAAD (X-linked autoimmunity and allergic dysregulation) • fatal autoimmune lymphoproliferative disease. • rare X-linked recessive. • Due to the absence of normal FoxP3 expression • Neonatal onset type 1 diabetes,dermatitis, enteropathy, thyroiditis, hemolytic anemia, and thrombocytopenia. • long-term immunosuppression or bone marrow transplantation appears to be the only effective therapy for IPEX.
  • 84.
    ‫رب‬ ‫يا‬ ‫األطفال‬‫ضحكة‬ ‫وصن‬‫انها‬ ‫إذا‬‫غردت‬ ‫ما‬‫الرمل‬ ‫موحش‬ ‫في‬‫اعشبا‬