Presentation Topic:
Anemia & its Classification
Presenting by
Muhammad Abbas
MS MLS
BS MLT
Subject:
Red Blood Cell Disorder & Hemostasis
Department of Medical Laboratory Technology
Baqai Medical University Karachi
Aims of Presentation
 Definition of Anemia
 Pathophysiology Of Anemia
 Sign and symptoms of Anemia
 Classification of anemia
 Investigation of Anemia
 Summary
Definition of Anemia
 Anemia is a Greek word ( ναιμία)(naimía) meaning
"without blood“ so
 it is the Decrease in Hb concentration below the lower
limit of normal value according to the age and sex of
the individual is know as Anemia.
Normal Values

Pathophysiology
Classification of Anemia
 Anemia is classified in three different Categories i-e
1) Clinical Classification
2) Etiology Classification
3) Morphological classification
1.Clinical Classification
Clinical classification is based on three different groups i-e
1. Mild anemia
With hemoglobin level 9-12 g/dl
2. Moderate anemia
With hemoglobin level 6-9g/dl
3. Severe anemia
With hemoglobin level <6g/dl
2. Etiological Classification
1. Impaired RBC production
 Pernicious anemia, Megaloblastic anemia, Iron deficiency
anemia, Thalassemia, Anemia of prematurity, Anemia of chronic
disorder.
2. Excessive/Increase destruction
 Intra-corpuscular:- Hereditary spherocytosis, Sickle cell anemia,
G6PD , Pyruvate kinase deficiency, PNH.
 Extra-corpuscular:- Autoimmune, Haemolytic disease of
newborn, Mismatch transfusion, Microangiopathic haemolytic
anemia TTP, HUS, DIC, infections.
3. Morphological classification
Classification of Anemia on the Basis of MCV (Mean
Cell Volume)
1. Microcytic hypochromic anemia
2. Macrocytic hyperchromic anemia
3. Normochromic normocytic anemia
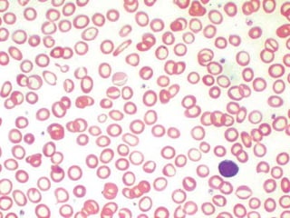
Microcytic hypochromic anemia
 Microcytic hypochromic anemia is defined as the
presence of small, often hypochromic, red blood cells in
a peripheral blood smear and is usually characterized by
a low MCV <83 fl.
Causes of Microcytic hypochromic
Iron deficiency anemia
Thalassemia
Sidroblastic anemia
Anemia of chronic diseases
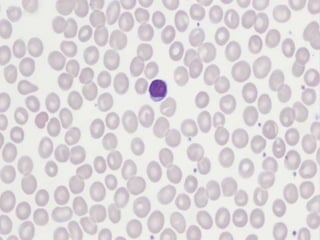
2.Macrocytic Hyperchromic Anemia
 Macrocytic hyperchromic anemia is a type of anemia that
causes unusually large red blood cells. Deficiencies in vitamin
B-12 or folate often cause macrocytic anemia, so it is also
sometimes called vitamins deficiency anemia.
 It has increase value of MCV i-e MCV >98 or >100.
Causes of Macrocytic anemia
 Megaloblastic anemia
 Pernicious anemia
 MDS (Myelodysplastic syndromes)
 Post spleenectomy
 Alcoholism
 Liver disease
 Drugs (anticonvulscents, anticancer etc)
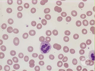
3.Normocytic Normochromic Anemia
 That type of anemia in which the average size and hemoglobin
content of the red blood cells are within normal limits are
called normocytic normochromic anemia.
 It has normal value of MCV i-e MCV 76-100 fl
Causes of Normocytic Normochromic
Anemia
 Acute Blood loss
 Chronic inflammatory disease—
(1)infection (2)collagen vascular disease (3)inflammatory bowel
disease
 Recent blood loss
 Malignancy/Marrow infiltration
 Chronic renal failure
 Marrow aplasia/hypoplasia
Investigations/Diagnoses of Anemia
1. Detail history
2. Careful physical examination
3. CBC/ CP
4. Isolated anemia
5. Reticulocytes count
Anemia and its classification
Anemia and its classification
Anemia and its classification

Anemia and its classification

  • 1.
    Presentation Topic: Anemia &its Classification Presenting by Muhammad Abbas MS MLS BS MLT Subject: Red Blood Cell Disorder & Hemostasis Department of Medical Laboratory Technology Baqai Medical University Karachi
  • 2.
    Aims of Presentation Definition of Anemia  Pathophysiology Of Anemia  Sign and symptoms of Anemia  Classification of anemia  Investigation of Anemia  Summary
  • 3.
    Definition of Anemia Anemia is a Greek word ( ναιμία)(naimía) meaning "without blood“ so  it is the Decrease in Hb concentration below the lower limit of normal value according to the age and sex of the individual is know as Anemia.
  • 4.
  • 7.
  • 10.
    Classification of Anemia Anemia is classified in three different Categories i-e 1) Clinical Classification 2) Etiology Classification 3) Morphological classification
  • 11.
    1.Clinical Classification Clinical classificationis based on three different groups i-e 1. Mild anemia With hemoglobin level 9-12 g/dl 2. Moderate anemia With hemoglobin level 6-9g/dl 3. Severe anemia With hemoglobin level <6g/dl
  • 12.
    2. Etiological Classification 1.Impaired RBC production  Pernicious anemia, Megaloblastic anemia, Iron deficiency anemia, Thalassemia, Anemia of prematurity, Anemia of chronic disorder. 2. Excessive/Increase destruction  Intra-corpuscular:- Hereditary spherocytosis, Sickle cell anemia, G6PD , Pyruvate kinase deficiency, PNH.  Extra-corpuscular:- Autoimmune, Haemolytic disease of newborn, Mismatch transfusion, Microangiopathic haemolytic anemia TTP, HUS, DIC, infections.
  • 13.
    3. Morphological classification Classificationof Anemia on the Basis of MCV (Mean Cell Volume) 1. Microcytic hypochromic anemia 2. Macrocytic hyperchromic anemia 3. Normochromic normocytic anemia
  • 15.
    Microcytic hypochromic anemia Microcytic hypochromic anemia is defined as the presence of small, often hypochromic, red blood cells in a peripheral blood smear and is usually characterized by a low MCV <83 fl.
  • 17.
    Causes of Microcytichypochromic Iron deficiency anemia Thalassemia Sidroblastic anemia Anemia of chronic diseases
  • 18.
    2.Macrocytic Hyperchromic Anemia Macrocytic hyperchromic anemia is a type of anemia that causes unusually large red blood cells. Deficiencies in vitamin B-12 or folate often cause macrocytic anemia, so it is also sometimes called vitamins deficiency anemia.  It has increase value of MCV i-e MCV >98 or >100.
  • 21.
    Causes of Macrocyticanemia  Megaloblastic anemia  Pernicious anemia  MDS (Myelodysplastic syndromes)  Post spleenectomy  Alcoholism  Liver disease  Drugs (anticonvulscents, anticancer etc)
  • 22.
    3.Normocytic Normochromic Anemia That type of anemia in which the average size and hemoglobin content of the red blood cells are within normal limits are called normocytic normochromic anemia.  It has normal value of MCV i-e MCV 76-100 fl
  • 23.
    Causes of NormocyticNormochromic Anemia  Acute Blood loss  Chronic inflammatory disease— (1)infection (2)collagen vascular disease (3)inflammatory bowel disease  Recent blood loss  Malignancy/Marrow infiltration  Chronic renal failure  Marrow aplasia/hypoplasia
  • 25.
    Investigations/Diagnoses of Anemia 1.Detail history 2. Careful physical examination 3. CBC/ CP 4. Isolated anemia 5. Reticulocytes count

Editor's Notes

  • #9 1. Tinnitus is the perception of noise or ringing in the ears 2. Presyncope is the sensation that one is about to pass out. It usually is described as a severe lightheaded feeling, often associated with unsteadiness or falling. ... Most adults have experienced transient presyncope after rapidly standing from the lying or sitting position. 3. Cognitive impairment is when a person has trouble remembering, learning new things, concentrating, or making decisions that affect their everyday life.Cognitive impairment ranges from mild to severe 4. Apathy lack of interest, enthusiasm, or concern
  • #13  1.Impaired RBC production ( Pure red cell aplasia, Pernicious anemia, Megaloblastic anemia, Iron deficiency anemia, Thalassemia, Anemia of prematurity, Anemia of chronic disorder) 2. Excessive destruction Intra-corpuscular:- Hereditary spherocytosis, Sickle cell anemia, G6PD , Pyruvate kinase deficiency, PNH) Extra-corpuscular:- Autoimmune, Haemolytic disease of newborn, Mismatch transfusion, Microangiopathic haemolytic anemia TTP, HUS, DIC, infections) 3. Blood loss (Trauma , Surgery, GI bleed, Gynecological disturbance)
  • #22 Myelodysplastic syndromes (MDS) are a group of cancers in which immature blood cells in the bone marrow do not mature and therefore do not become healthy blood cells. Early on, there are typically no symptoms. Later symptoms may include feeling tired, shortness of breath, easy bleeding, or frequent infections.