Introduction:
 Genomic conditions affects up dental enamel.
 Teeth affected may be discolored/sensitive or prone to disintegration.
It may show autosomal dominant, autosomal recessive, sex linked and
sporadic inheritance pattern.
 Diagnosis is based on the family history, pedigree plotting and meticulous
clinical observations.
Amelogenesis Imperfecta
Hereditary:
 Hereditary Enamel Dysplasia.
 Hereditary Brown Enamel.
 Hereditary Brown Opalescent Teeth.
Types Of Enamel Defects
 Genetic:
 Hypoplastic (Type 1)
 Hypomaturation (Type 2)
 Hypocalcified (Type3)
 Hypomatured/ Hypoplactric (Type 4)
 Differential Interpretation
 Non-Genetic:
 Dental Imperfecta
 Dental Fluorosis
 Chronological Enamel Formation
 Caries
 Attrition
 Abrasion
 Erosion
 Localized Nonhereditary Enamel Hypoplasia
 Localized Nonhereditary Enamel Hypocalcification
 Fluorosis
Amelogenesis Imperfecta is a group of conditions caused by defects in the
genes encoding enamel matrix proteins.
Amelogenesis Imperfecta
Type 1: Hypoplastic Amelogenesis Imperfecta:
 The main defect is in formation of the matrix (protein).
 Enamel is not formed to full thickness because ameloblasts fail to lay down
sufficient matrix.
 Enamel is randomly pitted, grooved or very thin, but hard and translucent.
 Affected teeth appear small with open contacts due to very thin or
nonexistent enamel causing thermal sensitivity.
 Teeth are not susceptible to caries unless the enamel is scanty and easily
damaged.
 Commonly in men.
Amelogenesis Imperfecta
Type 2: Hypomaturation Amelogenesis Imperfecta
 Occurs during matrix apposition.
 Enamel is softer and chips from the underlying dentin.
 Enamel has a mottled brown-yellow-white color.
 Contact points present as enamel is of normal thickness.
 Radiographically enamel approaches the radio density of dentin.
Amelogenesis Imperfecta
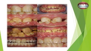
Type 3: Hypocalcified Amelogenesis Imperfecta
 Occurs during the calcification stage.
 Most common type.
 Enamel is of normal thickness but soft, friable, and easily lost by attrition.
 Enamel appears dull, lustrous, honey colored and stains easily.
Clinical Features– Hypoplastic
Generalized pitted – it appears as thin enamel on teeth
that do not contact each other mesiodistally. Pinpoint to
pinhead pits are randomly distributed over the surface
Localised pitted – horizontal rows of depressions or one
large hypoplastic area with hypocalcification adjacent to
and below the hypoplastic area is found
Diffuse smooth – in this enamel is thin, hard and glossy
with smooth surface
Diffuse rough – enamel is hard with rough granular surface
that may be chipped from underlying dentine, rather than
abrade away as soon with smooth type
Genetic
Type 1: Hypoplastic Amelogenesis
Imperfecta
Type 2: Hypomaturation Amelogenesis
Imperfecta
Type 3: Hypocalcified Amelogenesis
Imperfecta
Type 4: Hypomatured/ Hypoplactric
Amelogenesis Imperfecta
Clinical features – Hypocalcified
In this, enamel matrix is formed
normally but without significant
mineralization
The enamel is so soft that it can be
removed by prophylactic
instrument
Genetic
Clinical Features – Hypomaturation Type
In this there is defect in the maturation of
enamel crystal structure
The enamel can be pierced by an Explorer
point under firm pressure and can be lost
by chipping away from the underlying,
normal appearing dentine
Genetic
Differential Interpretation
Squarish type of Crown being devoid of the normal
mesial and distal contours
The normal enamel cap is missing and in its place
there is thin and opaque layer of enamel
Abrasion is advanced then there is obliteration of
pulp chamber
Enamel is less radiolucent than normal
Genetic
Non-Genetic
Fluorosis is a cosmetic condition that affects the teeth
It’s caused by overexposure to fluoride during the first eight years of
life. This is the time when most permanent teeth are being formed.
Stains ranging from yellow to dark brown
Surface irregularities
Pits that are highly noticeable
Dental fluorosis
Amelogenesis imperfecta

Amelogenesis imperfecta

  • 1.
    Introduction:  Genomic conditionsaffects up dental enamel.  Teeth affected may be discolored/sensitive or prone to disintegration. It may show autosomal dominant, autosomal recessive, sex linked and sporadic inheritance pattern.  Diagnosis is based on the family history, pedigree plotting and meticulous clinical observations. Amelogenesis Imperfecta Hereditary:  Hereditary Enamel Dysplasia.  Hereditary Brown Enamel.  Hereditary Brown Opalescent Teeth.
  • 2.
    Types Of EnamelDefects  Genetic:  Hypoplastic (Type 1)  Hypomaturation (Type 2)  Hypocalcified (Type3)  Hypomatured/ Hypoplactric (Type 4)  Differential Interpretation  Non-Genetic:  Dental Imperfecta  Dental Fluorosis  Chronological Enamel Formation  Caries  Attrition  Abrasion  Erosion  Localized Nonhereditary Enamel Hypoplasia  Localized Nonhereditary Enamel Hypocalcification  Fluorosis
  • 3.
    Amelogenesis Imperfecta isa group of conditions caused by defects in the genes encoding enamel matrix proteins. Amelogenesis Imperfecta Type 1: Hypoplastic Amelogenesis Imperfecta:  The main defect is in formation of the matrix (protein).  Enamel is not formed to full thickness because ameloblasts fail to lay down sufficient matrix.  Enamel is randomly pitted, grooved or very thin, but hard and translucent.  Affected teeth appear small with open contacts due to very thin or nonexistent enamel causing thermal sensitivity.  Teeth are not susceptible to caries unless the enamel is scanty and easily damaged.  Commonly in men.
  • 4.
    Amelogenesis Imperfecta Type 2:Hypomaturation Amelogenesis Imperfecta  Occurs during matrix apposition.  Enamel is softer and chips from the underlying dentin.  Enamel has a mottled brown-yellow-white color.  Contact points present as enamel is of normal thickness.  Radiographically enamel approaches the radio density of dentin.
  • 5.
    Amelogenesis Imperfecta Type 3:Hypocalcified Amelogenesis Imperfecta  Occurs during the calcification stage.  Most common type.  Enamel is of normal thickness but soft, friable, and easily lost by attrition.  Enamel appears dull, lustrous, honey colored and stains easily.
  • 6.
    Clinical Features– Hypoplastic Generalizedpitted – it appears as thin enamel on teeth that do not contact each other mesiodistally. Pinpoint to pinhead pits are randomly distributed over the surface Localised pitted – horizontal rows of depressions or one large hypoplastic area with hypocalcification adjacent to and below the hypoplastic area is found Diffuse smooth – in this enamel is thin, hard and glossy with smooth surface Diffuse rough – enamel is hard with rough granular surface that may be chipped from underlying dentine, rather than abrade away as soon with smooth type Genetic
  • 7.
    Type 1: HypoplasticAmelogenesis Imperfecta
  • 8.
    Type 2: HypomaturationAmelogenesis Imperfecta
  • 9.
    Type 3: HypocalcifiedAmelogenesis Imperfecta
  • 10.
    Type 4: Hypomatured/Hypoplactric Amelogenesis Imperfecta
  • 11.
    Clinical features –Hypocalcified In this, enamel matrix is formed normally but without significant mineralization The enamel is so soft that it can be removed by prophylactic instrument Genetic
  • 12.
    Clinical Features –Hypomaturation Type In this there is defect in the maturation of enamel crystal structure The enamel can be pierced by an Explorer point under firm pressure and can be lost by chipping away from the underlying, normal appearing dentine Genetic
  • 13.
    Differential Interpretation Squarish typeof Crown being devoid of the normal mesial and distal contours The normal enamel cap is missing and in its place there is thin and opaque layer of enamel Abrasion is advanced then there is obliteration of pulp chamber Enamel is less radiolucent than normal Genetic
  • 14.
    Non-Genetic Fluorosis is acosmetic condition that affects the teeth It’s caused by overexposure to fluoride during the first eight years of life. This is the time when most permanent teeth are being formed. Stains ranging from yellow to dark brown Surface irregularities Pits that are highly noticeable Dental fluorosis