AMELOGENESIS IMPERFECTA
CONTENTS
 Introduction.
 Classification.
 Pathogenesis.
 Clinical and radiographic
features.
 Histopathological features.
 Diagnostic methods.
 Differential diagnosis.
 Treatment planning.
 Conclusion.
 References.
 Hereditary Enamel Dysplasia
 Hereditary Brown Enamel
 Hereditary Brown Opalescent Teeth
ALSO KNOWN AS
Term 1st intro  Winmann & co-workers in 1945.
Amelo : Enamel. Genesis : Growth, Development.
Imperfecta : Poor, less than brilliant.
A complicated group conditions that demonstrate developmental
alterations in structure of enamel in absence of systemic disorder.
INTRODUCTION
 Represents a group of conditions, genomic in origin, which affect
structure & clinical appearance of enamel in > or < equal manner.
 AI associated mutation was 1st discovered by Lagerstrom et al., 1991.
 5 Kb deletion, including all genomic DNA from beginning of exon 3
through part of exon 7.
 Developmental condition of enamel (characterised by hypoplasia
and/or hypomineralisation) that shows autosomal dominant, autosomal
recessive, sexlinked & sporadic inheritance patterns.
 Maximum thickness  2 – 2.5 mm.
 Specific gravity  2.8
 Non electrical conductive material.
 Yellowish white to grayish yellow.
PHYSICAL CHARACTERISTICS
 Translucency with wavelengths.
 Dehydration translucency but was reversed on rehydration.
 Rate of enamel formation  4um/day. 1mm ~ 240 days.
CHEMICAL PROPERTIES
Amelogenins
90%
proline, histidine,
glutamine, leucine
Hydroxyapatite
{Ca10(PO4)6(OH4)2}
Nonamelogenins
10%
enamelin,
ameloblastin
tuftelin
Organic substance & H2O – 4%
Inorganic material – 96%
FORMATION OF ENAMEL
 Elaboration of organic matrix.
 Mineralization of matrix.
 Maturation of enamel.
CLASSIFICATION
Amelogenesis imperfecta: a classification and catalogue for the 21st century. Oral Diseases.2007
Modified classification of amelogenesis imperfecta
Neville B .Text book of oral and maxillofacial pathology.3rd ed
Inheritance Phenotype Related genes
Autosomal dominant Generalized pitted
Autosomal dominant Localized hypoplastic ENAM
Autosomal dominant Generalized thin ENAM
Autosomal dominant Hypocalcification
Autosomal dominant With taurodontism DLX3
Autosomal recessive Localized hypoplastic
Autosomal recessive Generalized thin
Autosomal recessive Pigmented hypomaturation MMP 20,KLK 4
Autosomal recessive Hypocalcification
X-linked Generalized thin AMELX
X-linked Diffuse hypomaturation AMELX
X-linked Snow capped hypomaturation
Genetics of amelogenesis imperfecta
 Mutations in 5 genes  AI.
 Each gene mutated in variety of ways, often creating distinct &
diverse phenotypic patterns.
 AMLEX GENE
 ENAM GENE
 MMP-20 GENE
 KLK-4 GENE
 DLX3 GENE
AMELX gene
 Maps to Xp22.3-p22.1 & codes for amelogenin protein which
constitutes up to 90% of enamel matrix.
 X linked with 14 different mutations known.
 Male phenotype include both diffuse smooth hypoplastic &
hypomaturation variants.
ENAM gene
 Maps to chromosome 4q.
 Rajhpar et al, gene mapped to 4q11–q21.
 Enamel protein enamelin  1 - 5% of enamel matrix.
 Mutations of this gene have been correlated with some autosomal
dominant & recessive patterns of hypoplastic amelogenesis imperfecta,
Minor pitting to diffuse generalized thin enamel.
MMP-20 gene
 Mutation in region 11q22.3–q23.
 Codes for a proteniase named enamelysin.
 Mutation of this gene  autosomal recessive pigmented
hypomaturation variant of AI.
KLK-4 gene
 Maps to chromosome 19q13.4.
 Associated with protease kallikrein-4.
Mutation is involved in some forms of hypomaturation AI.
 Both enamelysin and kallikrein-4  removal of enamel matrix
proteins during maturation stage of enamel development.
DLX-3 gene
 Group of genes that code for no of proteins that are critical for
craniofacial, tooth, hair, brain & neural development.
 Mutation of this gene  hypoplastic hypomaturation variants of AI
with taurodontism.
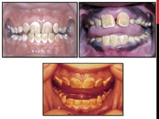
CLINICAL & RADIOGRAPHIC FEATURES
 Inherited as autosomal dominant, autosomal recessive or x-linked
disorder.
 Estimated frequency between 1:718 and 1:14,000 population.
 Both deciduous and permanent dentition is involved.
Hypoplastic amelogenesis imperfecta:
Basic alteration centers on inadequate deposition of enamel matrix.
• Generalized pattern
• Localized pattern
• Autosomal dominant smooth pattern
• X- linked smooth pattern
• X-linked rough pattern
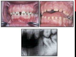
Hypomaturation amelogenesis imperfecta
 Enamel matrix is laid down appropriately & begins to mineralize.
 There is defect in maturation of enamel crystal structure.
• Pigmented pattern
• X linked pattern
• Snow-capped pattern
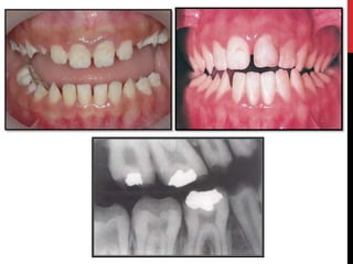
Hypocalcified amelogenesis imperfecta
 Enamel matrix is laid down properly but no significant
mineralization occur.
Amelogenesis imperfecta with taurodontism
(hypomaturation/hypoplastic AI)
 Combination of enamel hypoplasia with hypomaturation.
 Deciduous & permanent dentition involved.
 2 patterns.
GROSS SPECIMEN
HISTOPATHOLOGIC FEATURES
ADDITIONAL INFORMATION
Syndromes including amelogenesis imperfecta
Amelogenesis imperfecta: a classification and catalogue for the 21st century. Oral Diseases.2007
Amelogenesis imperfecta : a syndrome in itself
Amelogenesis imperfecta in syndromes
Enamel defects but not Amelogenesis imperfecta in
syndromes
Amelo-Onycho-Hypohydrotic Syndrome.
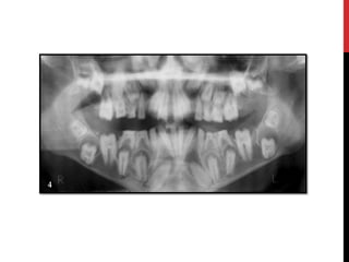
DIAGNOSTIC METHODS
 Family history, clinical observation & meticulous recording form
backbone of diagnosis.
 Extraoral radiographs  unerupted & sometimes spontaneously
resorbing teeth.
 Intra-oral radiographs  relative contrast b/w enamel & dentine in
cases where mineralisation may have been affected.
Clinical
Genetic diagnosis
Laboratory genetic diagnosis is presently only a research tool.
Four simple questions
 Does anyone else in family have anything like this.
 Are all of teeth affected in similar manner.
 Is there a chronological distribution to appearance seen.
 Is there anything in past medical history which might have caused
sufficient metabolic disturbance to affect enamel formation.
Review Amelogenesis Imperfecta. Crawford P J M, Aldred M, Zupan A B, Orphanet Journal of Rare Diseases 2007, 2:17
DIFFERENTIAL DIAGNOSIS
Extrinsic disorders, chronological disorders & localised disorders
considered in D/D.
 Commonest D/D  Dental Fluorosis.
 Dentinogenesis imperfecta.
 Molar incisor hypominerilization.
 Gunther disease.
 Hyperbilirubinemia-related discolouration.
 Tetracycline-related discolouration.
TREATMENT PLANNING
Genetic counseling:
 Genetic counseling of affected individuals & their families.
 Sensitive interview & early supportive intervention are essential.
 Families greatly appreciate discussion of likely risk & future
inheritance.
Treatment:
 Supportive clinical care  clinical & emotional demands.
 Cover their teeth with pieces of paper, chewing gum or other materials
in order to mimic an "ordinary" appearance.
Adolescents threaten suicide because of their disfigured teeth.
 Request for removal of their teeth & fitting of dentures.
 Multidisciplinary approach  orthodontist, prosthodontist &
endodontist .
 Treatment planning must focus on early diagnosis, pain management,
stabilization, restoration of defects & regular long-term management .
 Also accommodate factors including patient’s age, socioeconomic
status, disease type, severity & overall oral condition.
 Therapeutic goals should focus on recovering aesthetic appearance,
functional phonation as well as preserving gingival health.
Two phases: Temporary phase & Transitory phase.
 Primary dentition protected by preformed metal crowns on posterior
teeth.
 Either polycarbonate crowns or composite restorations are used on
anterior teeth.
 Restorations placed using local or general anaesthesia.
 Children with malocclusions along with restorative dentist, an
orthodontist is involved.
 The anterior open bite requires consideration of surgical
management.
 Longer-term care  either crowns or more frequently these days,
adhesive, plastic restorations.
 Rx of hypoplastic & hypocalcified type is comparatively different.
Sundell et al  prosthetic restoration in hypocalcified, hypoplastic type
with composite restoration.
Effect of acid etching time on bond strength of an etch-
and rinse adhesive to primary tooth dentine affected
by amelogenesis imperfecta.
Hiraishi N, Yiu C K Y & King N M. Int J of Paediatric Dentistry 2008; 18: 224–230
Hardness and microshear bond strength to enamel and
dentin of permanent teeth with hypocalcified
amelogenesis imperfecta
Silva A L F E et al,. International Journal of Paediatric Dentistry 2011; 21: 314–320
CASE REPORTS
A case of amelogenesis imperfecta, cleft lip and palate
and polycystic kidney disease.
Suda N, Kitahara Y, Ohyama K. Orthod Craniofacial Res 9, 2006/52–56.
Is amelogenesis imperfecta an indication for renal
examination?
Hunter L et al. International Journal of Paediatric Dentistry 2007; 17: 62–65
Amelogenesis imperfecta with renal disease – a report
of two cases.
Elizabeth J et al. J Oral Pathol Med 2007; 36: 625–8
Brachyolmia with amelogenesis imperfecta: Further
evidence of a distinct entity.
Bertola DR et al. Am J Med Genet Part A 149A:532–534.
A Progressive cone-rod dystrophy and Amelogenesis
imperfecta : a new syndrome
Jalili I K, Smith N J D. J Med genetics. 1988,25:738-40.
SYNDROMES
 Morquio Syndrome.
 Kohlschutter-Tonz Syndrome.
 Trico-Dento-Osseous Syndrome.
CONCLUSION
REFERENCES
 Rajendra R, Sivapathasundharam B. Developmental disturbances of oral and paraoral
structures. Shafer’s text book of oral pathology.5th Ed. Elsevier.2006; p.48-50.
 Neville B W, Damm D D, Allen C M, Bouquot J E. Developmental defects of the oral
and maxillofacial region. Text book of oral and maxillofacial pathology.3rd Ed.
Elsevier: St. Louis. 2009; p.99-106.
 Kumar G S. Enamel. Text book of Orban’s oral histology & embryology. 13th Ed.
Elsevier. 2013; p.50-92.
 Nanci A. Enamel: Composition, Formation, And structure. Text book of Ten Cate’s
Oral Histology Development, Structure, And function. 7th Ed. Elsevier.2008; p.141-90
 Marx, Robert E. Oral and maxillofacial pathology : a rationale for diagnosis and
treatment / Robert E. Marx, Diane Stern.
 Wright J T. The Molecular Etiologies and Associated Phenotypes of
Amelogenesis Imperfecta. American Journal of Medical Genetics Part A
140A:2547–2555 (2006).
 Amelogenesis imperfecta Crawford P J M, Aldred M, Zupan A B. Orphanet
Journal of Rare Diseases 2007; 2:17.
 A Progressive cone-rod dystrophy and Amelogenesis imperfecta : a new
syndrome. Jalili I K, Smith N J D. J Med genetics. 1988; 25:738-40.
 Garg K S, Mittal S, Kamra M,Deepika.Amelogenesis Imperfecta - Etiology and
Prosthodontic Management. Int. Journal of Clinical Dental Science.2011;
2(3):67-70.
 Aldred M J, Savarirayan R, Crawford PJM. Amelogenesis imperfecta: A
classification and catalogue for the 21st century. Oral Diseases.2003;(9):19-23.
 ANTOS M C L G dos, LINE S R P. The Genetics of Amelogenesis Imperfecta. A
review of the literature. J Appl Oral Sci. 2005; 13(3): 212-7.
 A. Dawasaz et al. Hypocalcified autosomal recessive amelogenesis imperfecta -
A case report. Open Journal of Stomatology. 2012; 251-254.
 A case of amelogenesis imperfecta, cleft lip and palate and polycystic kidney
disease. Suda N, Kitahara Y, Ohyama K. Orthod Craniofacial Res 9, 2006/52–56.
 Brachyolmia with amelogenesis imperfecta: Further evidence of a distinct entity.
Bertola DR et al. Am J Med Genet Part A 149A:532–534.
 Amelogenesis imperfecta with renal disease – a report of two cases.
Elizabeth J et al. J Oral Pathol Med 2007; 36: 625–8.
 Case report of a rare syndrome associating amelogenesis imperfecta and
nephrocalcinosis in a consanguineous family. L.M. Paula. Archives of Oral
Biology (2005) 50, 237—242.
Amelogenesis imperfecta

Amelogenesis imperfecta

  • 1.
  • 2.
    CONTENTS  Introduction.  Classification. Pathogenesis.  Clinical and radiographic features.  Histopathological features.  Diagnostic methods.  Differential diagnosis.  Treatment planning.  Conclusion.  References.
  • 3.
     Hereditary EnamelDysplasia  Hereditary Brown Enamel  Hereditary Brown Opalescent Teeth ALSO KNOWN AS
  • 4.
    Term 1st intro Winmann & co-workers in 1945. Amelo : Enamel. Genesis : Growth, Development. Imperfecta : Poor, less than brilliant. A complicated group conditions that demonstrate developmental alterations in structure of enamel in absence of systemic disorder. INTRODUCTION
  • 5.
     Represents agroup of conditions, genomic in origin, which affect structure & clinical appearance of enamel in > or < equal manner.  AI associated mutation was 1st discovered by Lagerstrom et al., 1991.  5 Kb deletion, including all genomic DNA from beginning of exon 3 through part of exon 7.
  • 6.
     Developmental conditionof enamel (characterised by hypoplasia and/or hypomineralisation) that shows autosomal dominant, autosomal recessive, sexlinked & sporadic inheritance patterns.
  • 8.
     Maximum thickness 2 – 2.5 mm.  Specific gravity  2.8  Non electrical conductive material.  Yellowish white to grayish yellow. PHYSICAL CHARACTERISTICS
  • 9.
     Translucency withwavelengths.  Dehydration translucency but was reversed on rehydration.  Rate of enamel formation  4um/day. 1mm ~ 240 days.
  • 10.
    CHEMICAL PROPERTIES Amelogenins 90% proline, histidine, glutamine,leucine Hydroxyapatite {Ca10(PO4)6(OH4)2} Nonamelogenins 10% enamelin, ameloblastin tuftelin Organic substance & H2O – 4% Inorganic material – 96%
  • 11.
  • 13.
     Elaboration oforganic matrix.  Mineralization of matrix.  Maturation of enamel.
  • 14.
    CLASSIFICATION Amelogenesis imperfecta: aclassification and catalogue for the 21st century. Oral Diseases.2007
  • 19.
    Modified classification ofamelogenesis imperfecta Neville B .Text book of oral and maxillofacial pathology.3rd ed Inheritance Phenotype Related genes Autosomal dominant Generalized pitted Autosomal dominant Localized hypoplastic ENAM Autosomal dominant Generalized thin ENAM Autosomal dominant Hypocalcification Autosomal dominant With taurodontism DLX3 Autosomal recessive Localized hypoplastic Autosomal recessive Generalized thin Autosomal recessive Pigmented hypomaturation MMP 20,KLK 4 Autosomal recessive Hypocalcification X-linked Generalized thin AMELX X-linked Diffuse hypomaturation AMELX X-linked Snow capped hypomaturation
  • 20.
    Genetics of amelogenesisimperfecta  Mutations in 5 genes  AI.  Each gene mutated in variety of ways, often creating distinct & diverse phenotypic patterns.  AMLEX GENE  ENAM GENE  MMP-20 GENE  KLK-4 GENE  DLX3 GENE
  • 21.
    AMELX gene  Mapsto Xp22.3-p22.1 & codes for amelogenin protein which constitutes up to 90% of enamel matrix.  X linked with 14 different mutations known.  Male phenotype include both diffuse smooth hypoplastic & hypomaturation variants.
  • 22.
    ENAM gene  Mapsto chromosome 4q.  Rajhpar et al, gene mapped to 4q11–q21.  Enamel protein enamelin  1 - 5% of enamel matrix.  Mutations of this gene have been correlated with some autosomal dominant & recessive patterns of hypoplastic amelogenesis imperfecta, Minor pitting to diffuse generalized thin enamel.
  • 23.
    MMP-20 gene  Mutationin region 11q22.3–q23.  Codes for a proteniase named enamelysin.  Mutation of this gene  autosomal recessive pigmented hypomaturation variant of AI.
  • 24.
    KLK-4 gene  Mapsto chromosome 19q13.4.  Associated with protease kallikrein-4. Mutation is involved in some forms of hypomaturation AI.  Both enamelysin and kallikrein-4  removal of enamel matrix proteins during maturation stage of enamel development.
  • 25.
    DLX-3 gene  Groupof genes that code for no of proteins that are critical for craniofacial, tooth, hair, brain & neural development.  Mutation of this gene  hypoplastic hypomaturation variants of AI with taurodontism.
  • 26.
    CLINICAL & RADIOGRAPHICFEATURES  Inherited as autosomal dominant, autosomal recessive or x-linked disorder.  Estimated frequency between 1:718 and 1:14,000 population.  Both deciduous and permanent dentition is involved.
  • 27.
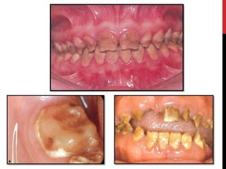
    Hypoplastic amelogenesis imperfecta: Basicalteration centers on inadequate deposition of enamel matrix. • Generalized pattern • Localized pattern • Autosomal dominant smooth pattern • X- linked smooth pattern • X-linked rough pattern
  • 32.
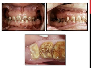
    Hypomaturation amelogenesis imperfecta Enamel matrix is laid down appropriately & begins to mineralize.  There is defect in maturation of enamel crystal structure. • Pigmented pattern • X linked pattern • Snow-capped pattern
  • 37.
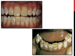
    Hypocalcified amelogenesis imperfecta Enamel matrix is laid down properly but no significant mineralization occur.
  • 42.
    Amelogenesis imperfecta withtaurodontism (hypomaturation/hypoplastic AI)  Combination of enamel hypoplasia with hypomaturation.  Deciduous & permanent dentition involved.  2 patterns.
  • 44.
  • 46.
  • 50.
    ADDITIONAL INFORMATION Syndromes includingamelogenesis imperfecta Amelogenesis imperfecta: a classification and catalogue for the 21st century. Oral Diseases.2007
  • 51.
    Amelogenesis imperfecta :a syndrome in itself
  • 52.
  • 53.
    Enamel defects butnot Amelogenesis imperfecta in syndromes Amelo-Onycho-Hypohydrotic Syndrome.
  • 54.
    DIAGNOSTIC METHODS  Familyhistory, clinical observation & meticulous recording form backbone of diagnosis.  Extraoral radiographs  unerupted & sometimes spontaneously resorbing teeth.  Intra-oral radiographs  relative contrast b/w enamel & dentine in cases where mineralisation may have been affected. Clinical
  • 55.
    Genetic diagnosis Laboratory geneticdiagnosis is presently only a research tool.
  • 56.
    Four simple questions Does anyone else in family have anything like this.  Are all of teeth affected in similar manner.  Is there a chronological distribution to appearance seen.  Is there anything in past medical history which might have caused sufficient metabolic disturbance to affect enamel formation. Review Amelogenesis Imperfecta. Crawford P J M, Aldred M, Zupan A B, Orphanet Journal of Rare Diseases 2007, 2:17
  • 57.
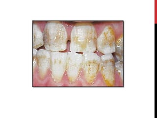
    DIFFERENTIAL DIAGNOSIS Extrinsic disorders,chronological disorders & localised disorders considered in D/D.  Commonest D/D  Dental Fluorosis.  Dentinogenesis imperfecta.  Molar incisor hypominerilization.  Gunther disease.
  • 58.
     Hyperbilirubinemia-related discolouration. Tetracycline-related discolouration.
  • 59.
  • 60.
    Genetic counseling:  Geneticcounseling of affected individuals & their families.  Sensitive interview & early supportive intervention are essential.  Families greatly appreciate discussion of likely risk & future inheritance.
  • 61.
    Treatment:  Supportive clinicalcare  clinical & emotional demands.  Cover their teeth with pieces of paper, chewing gum or other materials in order to mimic an "ordinary" appearance. Adolescents threaten suicide because of their disfigured teeth.  Request for removal of their teeth & fitting of dentures.
  • 62.
     Multidisciplinary approach orthodontist, prosthodontist & endodontist .  Treatment planning must focus on early diagnosis, pain management, stabilization, restoration of defects & regular long-term management .
  • 63.
     Also accommodatefactors including patient’s age, socioeconomic status, disease type, severity & overall oral condition.  Therapeutic goals should focus on recovering aesthetic appearance, functional phonation as well as preserving gingival health.
  • 64.
    Two phases: Temporaryphase & Transitory phase.  Primary dentition protected by preformed metal crowns on posterior teeth.  Either polycarbonate crowns or composite restorations are used on anterior teeth.  Restorations placed using local or general anaesthesia.
  • 65.
     Children withmalocclusions along with restorative dentist, an orthodontist is involved.  The anterior open bite requires consideration of surgical management.
  • 66.
     Longer-term care either crowns or more frequently these days, adhesive, plastic restorations.  Rx of hypoplastic & hypocalcified type is comparatively different. Sundell et al  prosthetic restoration in hypocalcified, hypoplastic type with composite restoration.
  • 67.
    Effect of acidetching time on bond strength of an etch- and rinse adhesive to primary tooth dentine affected by amelogenesis imperfecta. Hiraishi N, Yiu C K Y & King N M. Int J of Paediatric Dentistry 2008; 18: 224–230
  • 68.
    Hardness and microshearbond strength to enamel and dentin of permanent teeth with hypocalcified amelogenesis imperfecta Silva A L F E et al,. International Journal of Paediatric Dentistry 2011; 21: 314–320
  • 69.
  • 70.
    A case ofamelogenesis imperfecta, cleft lip and palate and polycystic kidney disease. Suda N, Kitahara Y, Ohyama K. Orthod Craniofacial Res 9, 2006/52–56.
  • 71.
    Is amelogenesis imperfectaan indication for renal examination? Hunter L et al. International Journal of Paediatric Dentistry 2007; 17: 62–65 Amelogenesis imperfecta with renal disease – a report of two cases. Elizabeth J et al. J Oral Pathol Med 2007; 36: 625–8
  • 72.
    Brachyolmia with amelogenesisimperfecta: Further evidence of a distinct entity. Bertola DR et al. Am J Med Genet Part A 149A:532–534.
  • 74.
    A Progressive cone-roddystrophy and Amelogenesis imperfecta : a new syndrome Jalili I K, Smith N J D. J Med genetics. 1988,25:738-40.
  • 75.
    SYNDROMES  Morquio Syndrome. Kohlschutter-Tonz Syndrome.  Trico-Dento-Osseous Syndrome.
  • 76.
  • 78.
    REFERENCES  Rajendra R,Sivapathasundharam B. Developmental disturbances of oral and paraoral structures. Shafer’s text book of oral pathology.5th Ed. Elsevier.2006; p.48-50.  Neville B W, Damm D D, Allen C M, Bouquot J E. Developmental defects of the oral and maxillofacial region. Text book of oral and maxillofacial pathology.3rd Ed. Elsevier: St. Louis. 2009; p.99-106.  Kumar G S. Enamel. Text book of Orban’s oral histology & embryology. 13th Ed. Elsevier. 2013; p.50-92.  Nanci A. Enamel: Composition, Formation, And structure. Text book of Ten Cate’s Oral Histology Development, Structure, And function. 7th Ed. Elsevier.2008; p.141-90
  • 79.
     Marx, RobertE. Oral and maxillofacial pathology : a rationale for diagnosis and treatment / Robert E. Marx, Diane Stern.  Wright J T. The Molecular Etiologies and Associated Phenotypes of Amelogenesis Imperfecta. American Journal of Medical Genetics Part A 140A:2547–2555 (2006).  Amelogenesis imperfecta Crawford P J M, Aldred M, Zupan A B. Orphanet Journal of Rare Diseases 2007; 2:17.  A Progressive cone-rod dystrophy and Amelogenesis imperfecta : a new syndrome. Jalili I K, Smith N J D. J Med genetics. 1988; 25:738-40.
  • 80.
     Garg KS, Mittal S, Kamra M,Deepika.Amelogenesis Imperfecta - Etiology and Prosthodontic Management. Int. Journal of Clinical Dental Science.2011; 2(3):67-70.  Aldred M J, Savarirayan R, Crawford PJM. Amelogenesis imperfecta: A classification and catalogue for the 21st century. Oral Diseases.2003;(9):19-23.  ANTOS M C L G dos, LINE S R P. The Genetics of Amelogenesis Imperfecta. A review of the literature. J Appl Oral Sci. 2005; 13(3): 212-7.  A. Dawasaz et al. Hypocalcified autosomal recessive amelogenesis imperfecta - A case report. Open Journal of Stomatology. 2012; 251-254.
  • 81.
     A caseof amelogenesis imperfecta, cleft lip and palate and polycystic kidney disease. Suda N, Kitahara Y, Ohyama K. Orthod Craniofacial Res 9, 2006/52–56.  Brachyolmia with amelogenesis imperfecta: Further evidence of a distinct entity. Bertola DR et al. Am J Med Genet Part A 149A:532–534.  Amelogenesis imperfecta with renal disease – a report of two cases. Elizabeth J et al. J Oral Pathol Med 2007; 36: 625–8.  Case report of a rare syndrome associating amelogenesis imperfecta and nephrocalcinosis in a consanguineous family. L.M. Paula. Archives of Oral Biology (2005) 50, 237—242.

Editor's Notes

  • #6 AI represents a group of conditions, genomic in origin, which affect the structure and clinical appearance of the enamel of all or nearly all the teeth in a more or less equal manner, and which may be associated with morphologic or biochemical changes elsewhere in the body. AI is a developmental condition of the dental enamel (characterised by hypoplasia and/or hypomineralisation) that shows autosomal dominant, autosomal recessive, sexlinked and sporadic inheritance patterns, as well as sporadic cases.
  • #8 Autosomal recessive is one of several ways that a trait, disorder, or disease can be passed down through families. An autosomal recessive disorder means two copies of an abnormal gene must be present in order for the disease or trait to develop. Autosomal dominant is one of several ways that a trait or disorder can be passed down (inherited) through families. In an autosomal dominant disease, if you inherit the abnormal gene from only one parent, you can get the disease. X-linked recessive inheritance is a mode of inheritance in which a mutation in a gene on the X chromosome causes the phenotype to be expressed (1) in males (who are necessarily homozygous for the gene mutation because they have only one X chromosome) and (2) in females who are homozygous for the gene mutation (i.e., they have a copy of the gene mutation on each of their two X chromosomes). X-linked inheritance means that the gene causing the trait or the disorder is located on the X chromosome. Females have two X chromosomes, while males have one X and one Y chromosome. Carrier females who have only one copy of the mutation do not usually express the phenotype, although differences in X chromosome inactivation can lead to varying degrees of clinical expression in carrier females since some cells will express one X allele and some will express the other. The current estimate of sequenced X-linked genes is 499 and the total including vaguely defined traits is 983.[1] Some scholars have suggested discontinuing the terms dominant and recessive when referring to X-linked inheritance due to the multiple mechanisms that can result in the expression of X-linked traits in females, which include cell autonomous expression, skewed X-inactivation, clonal expansion, and somatic mosaicism.[2
  • #11 Crystaline calcium phosphate Glycine aspartic acid and serine
  • #15 Diagnostic codes used in systems such as the International Classification of Diseases (ICD) are extremely limited in their application to AI, each having only a single code for the disorder as well as other abnormalities (e.g. ICD-9 520.5 for "hereditary disturbances in tooth structure not elsewhere classified: amelogenesis imperfecta, dentinogenesis imperfecta, odontogenesis imperfecta, dentinal dysplasia, shell teeth" without further subdivision and clearly with no distinction made according to either phenotype or mode of inheritance in each disorder). The Systematized Nomenclature in Medicine (SNOMED) records AI under a single numerical morphological category (M- 23360) without taking into account the mode of inheritance and/or further phenotypic categorisation.
  • #21 Mutations of five genes have been associated with amelogenesis imperfecta. Each gene is mutated in variety of ways, often creating distinct and diverse phenotypic patterns.
  • #22 AMELX gene Maps to Xp22.3-p22.1 & codes for amelogenin protein which constitutes up to 90% of enamel matrix.. It consists of seven exons spanning over 9 kilobases. Mutations reported include deletions of parts of the gene, single base mutations & premature stop codons. AMELX associated variants of amelogenesis imperfecta are X linked with 14 different mutations known.
  • #23 ENAM gene Maps to chromosome 4q. Rajhpar et al. have described an extensive family in which the causative gene mapped to 4q11–q21 It is associated with enamel protein enamelin which constitutes 1 to 5% of enamel matrix. Mutations of the ENAM gene have been correlated with some autosomal dominant and recessive patterns of hypoplastic amelogenesis imperfecta, ranging from minor pitting to diffuse generalized thin enamel.
  • #24 MMP-20 gene A mutation in the matrix metalloproteinase 20 gene (MMP-20) in the region 11q22.3–q23Codes for a proteniase named enamelysin Mutation of this gene  autosomal recessive pigmented hypomaturation variant of amelogenesis imperfecta.
  • #25 KLK-4 gene Maps to chromosome 19q13.4 Associated with protease kallikrein-4, mutation is involved in some forms of hypomaturation AI. Both enamelysin and kallikrein-4 are necessary for removal of enamel matrix proteins during maturation stage of enamel development
  • #26 DLX-3 gene Group of genes that code for no of proteins that are critical for craniofacial, tooth, hair, brain & neural development. Mutation of this gene is associated the hypoplastic hypomaturation variants of amelogenesis imperfecta with taurodontism.
  • #27 Amelogenesis imperfecta may be inherited as autosomal dominant, autosomal recessive or x-linked disorder. Estimated frequency between 1:718 and 1:14,000 (US) population. Both deciduous and permanent dentition is involved.
  • #28 Hypoplastic amelogenesis imperfecta: Basic alteration centers on inadequate deposition of enamel matrix. Generalized pattern: Pin point to pin head sized pits are scattered across the surface of the teeth. The buccal surface of the teeth are affected more severely and the pits are arranged in rows or columns. Staining of the pits may occur. The enamel between pits is of normal thickness, hardness and coloration.
  • #30 Localized pattern The affected teeth demonstrates horizontal rows of pits,a linear depression,or one large area of hypoplastic enamel surrounded by a zone of hypocalcification. Altered area is located in the middle third of the buccal surfaces of the teeth.The incisial third or occlusal surfaces is not affected. Both the dentitions are affected.The autosomal recessive type is more severe and typically demonstrates involvement of all teeth in both the dentitions.
  • #31 Autosomal dominant smooth pattern: The enamel of all teeth exhibits a smooth surface and is thin hard and glossy. The absence of appropriate enamel thickness results in teeth that are shaped like crown preparations and demonstrate open contact points. The color of teeth varies from opaque white to translucent brown. Radiographically the teeth exhibit a thin peripheral outline of radiopaque enamel.
  • #32 X-linked smooth pattern Exhibits diffuse thin, smooth, and shiny enamel in both dentitions. The teeth often have the shape of crown preparations,and the contacts points open. The color varies from brown to yellow-brown. Radiographs show a peripheral outline of radioopaque enamel.unerupted teeth undergo resorption. An open bite is seen in almost all males and in a minority of females. X-linked rough pattern The enamel is thin, hard and rough surfaced.As in smooth forms, the teeth taper towards the incisial occlusal surface and demonstrate open contact points. The color varies from white to yellow white. The enamel is denser than that seen in smooth patterns and the teeth are less vulnerable to attrition. Radiographs exhibit a thin peripheral outline of radio dense enamel.
  • #33 The enamel is softer than normal and tends to chip of from the underlying dentin. Radiographically the affected enamel exhibits a radiodensity that is similar to dentin.
  • #34 Pigmented pattern The surface enamel is mottled and agar brown. The enamel often fractures from the underlying dentin. Anterior open bite and unerupted teeth exhibiting resorption are common.
  • #35 X linked pattern The affected males exhibits different patterns in the deciduous and permanent dentitions. The deciduous teeth are opaque white with a translucent mottling, the permanent teeth are opaque yellow white and may darken with age.
  • #37 Snow capped patterns Exhibit a zone of white opaque enamel on the incisal or occlusal one third of the crown. The affected teeth often demonstrates an anterior to posterior distribution .Both the dentitions are affected.
  • #46 Fig. 4.2a–d Amelogenesis imperfecta of the hypomineralised type. The enamel cap is worn away due to masticatory forces leaving a bare dentin surface with enamel remnants present only at the cervical part of the crown (a). Gross appearance (b), cut surface (c) and ground section (d) showing thin and friable enamel cap
  • #47 Fig. 4.3 Sometimes, teeth are covered by a defective enamel layer displaying both features of hypoplasia and hypomineralisation as shown in this photomicrograph. The enamel layer shows variation in thickness and absence of regular lamellation Underlying dentin does not show any abnormalities Fig. 2.5 Photomicrograph showing enamel matrix. Due to the low mineral content, its lamellated structure is still visible
  • #49 Ground sections of the present patient. Boxed areas (b and c) in A are shown in higher magnification in B and C, respectively. The integration of the enamel structure was disturbed The section showed that the enamel thickness was almost normal but the structure was immature (Fig. 1A, B) and torn off (Fig. 1A, C). Based on these observations, his AI was classified as hypomaturation type
  • #51 Syndromes including amelogenesis imperfecta Earlier strict definitions of AI have specified an enamel defect without the involvement of other structures. However, there is an intellectual problem in adopting too narrow a definition and such a restriction is probably counterproductive as far as families are concerned. AI is a genetic disease that may exist either in isolation or associated to or with other features in syndromes. It is either related to a single gene defect or arises from a microdeletion or chromosomal defect. AI, showing linkage to 2q11 and associated with cone-rod dystrophy, is such an example.
  • #52 Amelogenesis imperfecta a syndrome in itself Clinically, a skeletal anterior open bite is seen in approximately 50% of patients with AI of either X-linked or autosomal inheritance. Such an association might be regarded as a syndrome but this does not appear as such in any classification. The significance of this common association has yet to be elucidated. Predominantly phenotypic classifications of AI have included a variant with taurodontism as an intrinsic feature – AI with taurodontism. This also goes beyond the strict definition of AI yet it is reasonable to include the condition in any classification of AI given that taurodontism is regarded as an ectodermal trait. The sheath of Hertwig, that maps the shape of the roots of teeth, is a derivative of the enamel organ and is also responsible for differentiation of the inner dental epithelial cells to ameloblasts producing enamel proteins. The subtle dentine changes reported by Winter et al. (1969) add further to our difficulties in understanding the complexities involved in some cases
  • #53 Amelogenesis imperfecta in syndromes there are strong similarities between AIT and the tricho-dento-osseous (TDO) syndrome, which has the additional features of "curly hair" and skeletal changes including bone sclerosis. While the hair changes might represent a common ectodermal defect in TDO, the bony changes are more difficult to explain via a common pathway, as this assumes a mesodermal defect. TDO is caused by a mutation in the DLX3 gene [50]. One molecular study has reported that AIT and TDO are genetically distinct [51], whereas a later paper suggests that TDO and Amelogenesis imperfecta hypoplastic- hypomaturation with taurodontism (AIHHT) are allelic for DLX3 [52]. The literature records further examples of seemingly Ailike changes associated with other whole body findings, hitherto excluded from a diagnosis of AI. If we accept that AI may occur as an isolated trait, but also in association with a range of other abnormalities, then many different syndromes need to be considered in the differential diagnosis of patients with enamel defects. For further information regarding the full range of symptoms associated with AI, the reader is referred to Online Mendelian Inheritance in Man (For example see Kohlschutter syndrome, Platyspondyly with amelogenesis imperfecta, Amelogenesis imperfecta and nephrocalcinosis, cone rod dystrophy and amelogenesis imperfecta.
  • #54 Enamel defects but not Amelogenesis imperfecta in syndromes Differential diagnosis of the causes of enamel defects is important for both therapeutic, professional and patient personal reasons. There are many alternative causes of enamel defects but, for example, a localised defect of a central incisor, coupled with the non-eruption of an adjacent tooth, may point to an injury in childhood and possible damage to the unerupted tooth. Rarely, the recognition of regional odontodysplasia, a rare developmental abnormality of all three dental tissues, enamel, dentine and pulp affecting a segment of the dentition, will assist in its management, which has all too often previously condemned the teeth to extraction. Many persons affected by these conditions are concerned for the teeth of their children. A careful diagnosis, particularly in relation to inheritance, will be important to many such affected families.
  • #55 Family history, clinical observation & meticulous recording form backbone of diagnosis. in this, as in any potentially inherited condition. Extraoral radiographs may reveal the presence of unerupted and sometimes spontaneously resorbing teeth. Intra-oral radiographs will reveal the relative contrast between enamel and dentine in cases where mineralisation may have been affected.
  • #58 Extrinsic disorders of tooth formation, chronological disorders of tooth formation and localised disorders of tooth formation should be considered in the differential diagnosis. The commonest differential diagnosis is dental fluorosis. The variability of this condition, from mild white "flecking“ of the enamel to profoundly dense white colouration with random, disfiguring areas of staining and hypoplasia, requires careful questioning to distinguish from AI. Fluorosis may present with areas of horizontal white banding corresponding to periods of more intense fluoride intake and may show the premolars or second permanent molars to be spared (chronological distribution). DIFFERENTIAL DIAGNOSIS The eruption of teeth that are discolored or that soon become discolored suggests fluorosis or dentinogenesis imperfecta. Fluorosis may be clinically difficult to distinguish from amelogenesis imperfecta, but family history and testing of water sources can separate the two. In addition, teeth affected by amelogenesis imperfecta have soft enamel, whereas teeth affected by fluorosis have a hardened enamel. Amelogenesis imperfecta is best separated from dentinogenesis imperfecta by examination of the enamel, which will be pitted, globular at the incisors, and clinically soft. The radiographs will show normal pulp chambers in amelogenesis imperfecta, which in dentinogenesis imperfecta are usually obliterated.
  • #60 Amelogenesis imperfecta presents with problems of socialization, function and discomfort which may be managed by early vigorous intervention, both preventively and restoratively. In adult, the permanent dentition may be protected by use of full cast crowns on posterior teeth and veneers on anterior teeth.
  • #61 Genetic counselling There is a growing acceptance that a classification of (inherited) enamel defects based primarily or exclusively on phenotype (appearance) is problematical. For this reason, the mode of inheritance and underlying genomic change are as important or more important discriminators. This is particularly so in relation to genetic counselling of affected individuals and their families. With the clearly stated proviso that genetic heterogeneity may make difficulties for any discussion of Mendelian inheritance, but with increasing access to molecular identification, families greatly appreciate discussion of likely risk and future inheritance. These conditions are often embarrassing, distressing and lead to social exclusion and ridicule. Sensitive interview and early supportive intervention are essential.
  • #62 Treatment: Supportive clinical care needed by these individuals is substantial both in terms of clinical and emotional demands. Patients have been known to cover their teeth with pieces of paper, chewing gum or other materials in order to mimic an "ordinary" appearance. At least one individual stole to fund his dental care. Adolescents in particular have been known to become reclusive and withdrawn, and even to threaten suicide because of their disfigured teeth. Many young people with AI request the removal of their teeth and the fitting of dentures in a society where having one's own teeth is the longed-for norm. Treatment is as ever based on the principles of prevention before intervention. However, in these patients' cases, intervention will likely be earlier and more radical than for others.
  • #63  Multidisciplinary approach  orthodontist, prosthodontist & endodontist should be planned. Treatment planning must focus on early diagnosis, pain management, prevention, stabilization, restoration of defects, and regular long-term management .
  • #64 The treatment plan should also accommodate factors including the patient’s age, socioeconomic status, disease type and severity, and overall oral condition. The therapeutic goals for these patients should focus on recovering aesthetic appearance and functional phonation, as well as preserving gingival health.
  • #65 The progression of treatment during childhood has been described as a temporary phase followed by a transitory phase. In infancy, the primary dentition is protected by the use of preformed metal crowns on posterior teeth. Either polycarbonate crowns or composite restorations are used on anterior teeth. Whilst it is to be hoped that such restorations may be placed using local anaesthetic, either behavioural considerations, or rapid wear of the teeth, may force a decision to be made to use some form of altered consciousness in young or fearful children. If general anaesthesia is contemplated, this is a difficult decision for many parents and operators. It is little consolation whilst facing such a decision that delay might itself lead to the need for a similar decision in order to remove decayed and painful teeth, which might otherwise have been useful and aesthetic until the normal time of shedding.
  • #66 The eruption of the permanent dentition, beginning at six years of age, presents a particularly difficult period. Some of the forms of AI present with hypersensitive teeth or with teeth that crumble, and both presentations provide a very real disincentive to good oral hygiene and are very difficult to restore. Those cases with enamel which is reasonably hard (i.e. less hypomineralised) and thin (i.e. more hypoplastic) lend themselves fairly readily to the use of preformed metal crowns on posterior teeth, as they erupt and composite restorations on anterior teeth. These latter may need to be added to as more of the cervical part of the tooth is revealed. Restorative treatment requires local analgesia at least. Children with AI are not without malocclusions and it is important that a restorative dentist and an orthodontist are involved with the paediatric dentist in the care plan from the child's early age. It is the paediatric dentist's role to deliver to the (adult) restorative dentist a patient who is motivated, with good oral care practices and with no treatment option compromised by previous activity. The anterior open bite seen in some cases of AI requires consideration of surgical as well as restorative management.
  • #67 The longer-term care still revolves around either crowns or, more frequently these days, adhesive, plastic restorations. However, whilst many practitioners strive rightly to delay the first "tooth-cutting" restoration, conversations with a substantial number of adults with AI suggest that this professional restraint may be unwelcome and paternalistic. Some of these same adults will recount that, if they had realised that restored teeth must eventually fail, they would have chosen tooth-tissue destructive, but aesthetically more attractive restorations earlier in their adolescence, in order to appear most "ordinary" to their peers at an important time in social development. Treatment of hypoplastic and hypocalcified type is comparatively different. Sundell et al reported that teeth were treated with prosthetic restoration in hypocalcified AI, while hypoplastic type teeth were treated with composite restoration.
  • #68 What this paper adds • This study demonstrated that the microtensile strength of an etch-and-rinse adhesive to AI-affected dentine from primary teeth was lower than that to normal dentine. • Increasing the etching time to 30 s could not improve the bond strength of an etch-and-rinse adhesive to AI-affected dentine. Why this paper is important to paediatric dentists • Paediatric dentists are often the first to encounter children with such anomalies. Bonded restorations are indicated clinically in a growing child to improve the appearance and function of teeth affected with AI. • This paper showed that bonding to AI-affected primary tooth is more challenging than normal teeth. The reduced bond strength to AI-affected dentine from primary teeth could not be improved by extending the etching to 30 s as over-etching of the dentine matrix could compromise the bonding efficacy.
  • #69 What this paper adds • Hardness of enamel affected by hypocalcified amelogenesis imperfecta is lower compared with normal enamel, whereas the subjacent dentin shows no alteration in hardness; • The bond strength to permanent teeth affected by hypocalcified amelogenesis imperfecta is lower than that to sound teeth; • There is a linear relationship between hardness and bond strength to enamel; • Exposure to 5% NaOCl solution before the adhesive procedure does not improve bond strength. Why this paper is important to paediatric dentists • Hypocalcified amelogenesis imperfecta imposes challenges to the bond of adhesive restorations; • A continuing study on the alterations of teeth affectedby amelogenesis imperfecta may help in developing longer-lasting adhesive restorations.