AMELOGENESIS
IMPERFECTA
BY: PATRICK SSEREMBA
Amelogenesis imperfecta
• Is a term for a clinically and genetically heterogeneous group of conditions
that affect the dental enamel, occasionally in conjunction with other dental,
oral and extraoral tissues
• Is a group of conditions caused by defects in the genes encoding enamel
matrix proteins.
• Classification is complex and based on pattern of inheritance, enamel
hypoplasia, hypomineralisation or hypomaturation and appearance; smooth,
rough or pitted. At least 16 forms are recognized.
• Inheritance can be autosomal dominant, recessive or X-linked.
• However, the most common types have an autosomal inheritance and are
thought to be caused by mutations in the AMEL X gene, which codes for
ameloblastin (C4), enamelin (C4) or tuftelin (Cl).
• In the case of the autosomal dominant type of amelogenesis imperfecta, the
locus of the defective gene is on chromosome 4q21 to which enamelin maps.
Cont……
• The less common X-linked types are caused by a variety of defects in the
amelogenin genes and, confusingly
• It seems the same mutation can sometimes cause hypoplastic,
hypomineralisation or hypomaturation forms in different patients
• Genetic factors act throughout the whole duration of amelogenesis
• Characteristically therefore, all teeth are affected and defects involve the
whole, or are randomly distributed in the enamel.
• By contrast, exogenous factors affecting enamel formation (with the
important exception of fluorosis) tend to act for a relatively brief period
and produce defects related to that period of enamel formation.
Cont….
• Dental enamel formation is divided into secretory, transition, and
maturation stages.
• During the secretory stage, enamel crystals grow primarily in length. During
the maturation stage, mineral is deposited exclusively on the sides of the
crystallites, which grow in width and thickness to coalesce with adjacent
crystals.
• The main structural proteins in forming enamel are amelogenin,
ameloblastin, and enamelin.
• During the secretory stage, enamel proteins are being secreted along with
proteases. This is a major factor in determining the composition of the
enamel matrix. Changes in this mechanism by genetic defects of proteins
or proteinases can result in the pathological changes during the enamel
formation.
Hypoplastic amelogenesis
imperfecta
• The main defect is in formation of the matrix.
• The enamel is randomly pitted, grooved or very thin, but hard and
translucent
• The defects tend to become stained, but the teeth are not especially
susceptible to caries unless the enamel is scanty and easily damaged.
• The main patterns of inheritance are autosomal dominant and
recessive, X-linked, and (a genetic rarity) an X-linked dominant type.
• In the last stage there is almost complete failure of enamel formation
in affected males, while in females the enamel is ridged
Amelogenesis imperfecta X-linked
hypoplastic form in a male. This
premolar has a cap of enamel so thin
that the shape of the tooth is virtually
that of the dentine core
.
Close-up of X-linked hypoplastic type
amelogenesis imperfecta. These teeth from
an affected female show the typical vertical
ridged pattern of normal and abnormal
enamel
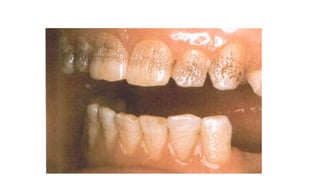
Hypomaturation amelogenesis
imperfecta
• The enamel is normal in form on eruption but opaque, white to
brownish-yellow.
• The teeth appear similar to mottled fluoride effects.
• However, they are soft and vulnerable to attrition, though not as
severely as the hypocalcified type.
• There are several variants of hypomaturation defects such as a more
severe, autosomal dominant (type 4) of hypomaturation combined
with hypoplasia.
Amelogenesis imperfecta,
hypomaturation types
In this form there are opaque white
flecks and patches affecting the
occlusal half of the tooth surface.
Tooth morphology is normal but there
are opaque white and discoloured
patches.
Hypocalcified amelogenesis
imperfecta
• Enamel matrix is formed in normal quantity but poorly calcified.
• When newly erupted, the enamel is normal in thickness and
form, but weak and opaque or chalky in appearance.
• The teeth tend to become stained and relatively rapidly worn
away.
• The upper incisors may acquire a shouldered form due to the
chipping away of the thin, soft enamel of the incisal edge
• There are dominant and recessive patterns of inheritance
Amelogenesis imperfecta,
hypocalcified type
The soft chalky enamel was
virtually of normal thickness
and form but has chipped
away during mastication.

Amelogenesis imperfecta

  • 1.
  • 2.
    Amelogenesis imperfecta • Isa term for a clinically and genetically heterogeneous group of conditions that affect the dental enamel, occasionally in conjunction with other dental, oral and extraoral tissues • Is a group of conditions caused by defects in the genes encoding enamel matrix proteins. • Classification is complex and based on pattern of inheritance, enamel hypoplasia, hypomineralisation or hypomaturation and appearance; smooth, rough or pitted. At least 16 forms are recognized. • Inheritance can be autosomal dominant, recessive or X-linked. • However, the most common types have an autosomal inheritance and are thought to be caused by mutations in the AMEL X gene, which codes for ameloblastin (C4), enamelin (C4) or tuftelin (Cl). • In the case of the autosomal dominant type of amelogenesis imperfecta, the locus of the defective gene is on chromosome 4q21 to which enamelin maps.
  • 3.
    Cont…… • The lesscommon X-linked types are caused by a variety of defects in the amelogenin genes and, confusingly • It seems the same mutation can sometimes cause hypoplastic, hypomineralisation or hypomaturation forms in different patients • Genetic factors act throughout the whole duration of amelogenesis • Characteristically therefore, all teeth are affected and defects involve the whole, or are randomly distributed in the enamel. • By contrast, exogenous factors affecting enamel formation (with the important exception of fluorosis) tend to act for a relatively brief period and produce defects related to that period of enamel formation.
  • 4.
    Cont…. • Dental enamelformation is divided into secretory, transition, and maturation stages. • During the secretory stage, enamel crystals grow primarily in length. During the maturation stage, mineral is deposited exclusively on the sides of the crystallites, which grow in width and thickness to coalesce with adjacent crystals. • The main structural proteins in forming enamel are amelogenin, ameloblastin, and enamelin. • During the secretory stage, enamel proteins are being secreted along with proteases. This is a major factor in determining the composition of the enamel matrix. Changes in this mechanism by genetic defects of proteins or proteinases can result in the pathological changes during the enamel formation.
  • 6.
    Hypoplastic amelogenesis imperfecta • Themain defect is in formation of the matrix. • The enamel is randomly pitted, grooved or very thin, but hard and translucent • The defects tend to become stained, but the teeth are not especially susceptible to caries unless the enamel is scanty and easily damaged. • The main patterns of inheritance are autosomal dominant and recessive, X-linked, and (a genetic rarity) an X-linked dominant type. • In the last stage there is almost complete failure of enamel formation in affected males, while in females the enamel is ridged
  • 7.
    Amelogenesis imperfecta X-linked hypoplasticform in a male. This premolar has a cap of enamel so thin that the shape of the tooth is virtually that of the dentine core . Close-up of X-linked hypoplastic type amelogenesis imperfecta. These teeth from an affected female show the typical vertical ridged pattern of normal and abnormal enamel
  • 8.
    Hypomaturation amelogenesis imperfecta • Theenamel is normal in form on eruption but opaque, white to brownish-yellow. • The teeth appear similar to mottled fluoride effects. • However, they are soft and vulnerable to attrition, though not as severely as the hypocalcified type. • There are several variants of hypomaturation defects such as a more severe, autosomal dominant (type 4) of hypomaturation combined with hypoplasia.
  • 9.
    Amelogenesis imperfecta, hypomaturation types Inthis form there are opaque white flecks and patches affecting the occlusal half of the tooth surface. Tooth morphology is normal but there are opaque white and discoloured patches.
  • 10.
    Hypocalcified amelogenesis imperfecta • Enamelmatrix is formed in normal quantity but poorly calcified. • When newly erupted, the enamel is normal in thickness and form, but weak and opaque or chalky in appearance. • The teeth tend to become stained and relatively rapidly worn away. • The upper incisors may acquire a shouldered form due to the chipping away of the thin, soft enamel of the incisal edge • There are dominant and recessive patterns of inheritance
  • 11.
    Amelogenesis imperfecta, hypocalcified type Thesoft chalky enamel was virtually of normal thickness and form but has chipped away during mastication.