Age determination Dr. Enas El Taftazani Prof. of Forensic medicine and Toxicology
I ntroduction Why we need to learn how to estimate age ? So age can be determined by four main criteria: Teeth examination. Secondary sexual characters  Ossification centers. General development in children Bone examination
Stages of life and their main characteristics Intrauterine life  (during pregnancy)  By ultra sonography and date of the last menstrual period From 0-15 days  (neonatal period) By umbilical stump examination From 15 days - 2 years (Infancy period) By primary dentition
From 2- 6 years Closure of metopic suture Appearance of  ossific centers From 6-12 years Secondary dentition Stages of life and their main characteristics Childhood period: rapid dental and bony growth and development
From 12- 18 (Adolescence period) Closure of epiphysial plates Adulthood Early stage: bone remodeling and maintenance Late stage: bone wear and tear Stages of life and their main characteristics
 
Appearance of ossific centers after birth
Appearance of ossific centers after birth
 
 
 
 
 
 
 
Appearance of ossific centers after birth 1 year  :  head of humerus ,femur and tibia . 2 years  : lower radius and tibia. 3 years  ; Patella. 4 years  ; upper fibula ,greater trochanter of femur. 5 years  lower fibula 6 years  ;head of radius ,lower ulna.calcanium
Below1 year as ossific center of the head of femur not appeared .
 
Below 2 years (no ossific centre in the wrist)
Ossific centre at lower radius = 2 years
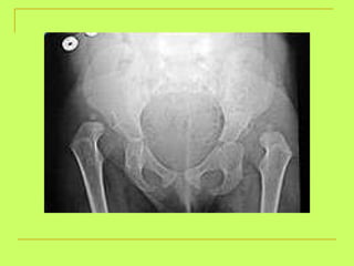
What is the age ? > 1 year(ossific center at head of femur <4years  no ossific center of greater trochanter
What is the age ? Above 2 years. Ossific center of lower radius
 
Determination of age by bone examination - Sternum
What is the age? < 15 y (non-united segments)
Determination of age by bone examination – Epiphyseal closure
Determination of age by bone examination – Epiphyseal closure
Age from upper limb examination 1)At the wrist and shoulder joint (lower ends of radius and ulna and head of the humerus) 19-20  years. 2) At the elbow region: trochlea and capitulum  (14 years)- trochlea and capitulum + lower end of the humerus  (15years) 3)Lat.epicondyle and head of  ulna(17 years). 4)Med epicondyles and the head of the radius  (18years) 5)Metacarpals and phalanges  (16 y in females and 18 years in males).
 
 
 
What is the age ? >17 y (completely developed elbow)
What is the age ? >19 years (united head of humerus)
What is the age ? <19 (not united head of humerus with the body)
What is the age ? >20-21years ( closed lower ends of radius and ulna)
What is the age ? < 20-21 ( non united lower ends of radius and ulna)
Less than18 ys
What is the age ? < 2 years < 2 y (no ossifc center of ulna ,<  18 y in female < 18 in males
What are the ages? Less than18  more than18  less than18
What is the age? More than20-21  more than20-21
Determination of age by bone examination – Epiphyseal closure
Age from lower limb examination 1) Lesser trochanter  (16y )-----Greater trochanter  (17y)  ------ Head of the femur  (18y). 2) Lower end of the femur + shaft  (21y). 3) Upper end of the tibia +shaft  (21y). 4) Lower end of the tibia +shaft  (18 y).   By foot examination ossific center appears at calcanium at  6 years  and union of epiphysis at the calcanium at  14 years  ,so examining only this bone gives us a range of 8 years
What is the age ? >18 years (united head of femur)
What is the age? above18ys
What is the age? <21 knee
What is the age? >21 y
What is the age ? > 19 y ( ankle closed)
What is the age ? > 19 y ( ankle closed). Notice the calcaneus
What are the ages ? above18 below18
What is the age ? <14 y (not united epiphysis of calcaneus)
What are the ages ?
What  is the age? >14(calcaneus) and < 18 y (opened lower ends of tibia and fibula)
Age from hip bone examination: Two pubic rami of the hip  (6y) Suture at the acetabulum  (15y). Ischeal tuberosity with the ischium  (21y). Iliac crest with the ilium  (23y).
What is the age? >23 y (iliac crest)
What is the age ? From4-6 Open ischial ramus(less than6) >4years (ossific center at greater trochanter) <15years (opened triradiate suture)
> 18 y (head of femur)<23 opened iliac crest  >23 y (iliac crest)
What is the age ? >4 y (ossific center at greater trochanter)<15 y  (triradiate suture is opened )
What is the age? <23 y (non-united iliac crest)
Ages of legal importance in Egypt:   6 years . Age of education. First molar and pubic ramus 7 years Age of discrimination  Central incisors. 10 years  In case of divorce father claims his son. Second premolar)
Ages of legal importance in Egypt: 12 years : In case of divorce father claims his daughter Second molar This low has been changed ,where the custody of the mother ends at 15 years for both son and daughter ,at which they are allowed to choose their custodian till age of21 for son or marriage for daughter. how can you estimate age of 15?
Ages of legal importance in Egypt: 14 years:   Under this age the child cannot commit the crime of rape.  Also under this age child work is not legal . Union of the trochlea and capitulum.  15 years: The child is considered partially responsible i.e. trial in front of juvenile court Union of trochlea and capitulum with lower end of humerus.+acetabular suture union
Ages of legal importance in Egypt: 16years: Age of legal marriage in females-identity card) Metecarpals in females. 18 years: Legal marriage in males ---legal age for consent----- governmental employment---- driving license ----- Full criminal responsibility-------Voting. Metacarpals with their bodies 21 years: Civil rights  X - ray knee
Ages of legal importance in Egypt: 30 years Member of people assembly Sagittal suture. 35 years  Legal age of the  president of the public 60 years: Age of pension Union of body and manubrium of sternum
Post test Ques. 1 Write the estimated age for the following: Pic.1
Ques 2 Above 21
Quest. 3 Less than 21
Quest 4 above18
Quest.  5 Less than18
Quest.6 Above 2 years  Ossific centre of lower radius
Quest.7 Which is older a or b? Less than18 Above 20-21 Closed  Lower  Radius& Lower ulna
Quest.8 For more precise age estimation for the pic a I need to ask for x ray: Knee  Ankle Elbow pelvis
Quest.9 For more precise age estimation for the pic b I need to ask for x ray: Sternum Knee Shoulder hip
Quest 10 Suggest which picture is older a or b and why?   Below1 year(absent ossific centre of head of femur Between1-6 Above 1 year(ossific center of head femur) Less Than6 ys Opened Pubic  ramus
 

Age determination prof.enas

  • 1.
    Age determination Dr.Enas El Taftazani Prof. of Forensic medicine and Toxicology
  • 2.
    I ntroduction Whywe need to learn how to estimate age ? So age can be determined by four main criteria: Teeth examination. Secondary sexual characters Ossification centers. General development in children Bone examination
  • 3.
    Stages of lifeand their main characteristics Intrauterine life (during pregnancy) By ultra sonography and date of the last menstrual period From 0-15 days (neonatal period) By umbilical stump examination From 15 days - 2 years (Infancy period) By primary dentition
  • 4.
    From 2- 6years Closure of metopic suture Appearance of ossific centers From 6-12 years Secondary dentition Stages of life and their main characteristics Childhood period: rapid dental and bony growth and development
  • 5.
    From 12- 18(Adolescence period) Closure of epiphysial plates Adulthood Early stage: bone remodeling and maintenance Late stage: bone wear and tear Stages of life and their main characteristics
  • 6.
  • 7.
    Appearance of ossificcenters after birth
  • 8.
    Appearance of ossificcenters after birth
  • 9.
  • 10.
  • 11.
  • 12.
  • 13.
  • 14.
  • 15.
  • 16.
    Appearance of ossificcenters after birth 1 year : head of humerus ,femur and tibia . 2 years : lower radius and tibia. 3 years ; Patella. 4 years ; upper fibula ,greater trochanter of femur. 5 years lower fibula 6 years ;head of radius ,lower ulna.calcanium
  • 17.
    Below1 year asossific center of the head of femur not appeared .
  • 18.
  • 19.
    Below 2 years(no ossific centre in the wrist)
  • 20.
    Ossific centre atlower radius = 2 years
  • 21.
    What is theage ? > 1 year(ossific center at head of femur <4years no ossific center of greater trochanter
  • 22.
    What is theage ? Above 2 years. Ossific center of lower radius
  • 23.
  • 24.
    Determination of ageby bone examination - Sternum
  • 25.
    What is theage? < 15 y (non-united segments)
  • 26.
    Determination of ageby bone examination – Epiphyseal closure
  • 27.
    Determination of ageby bone examination – Epiphyseal closure
  • 28.
    Age from upperlimb examination 1)At the wrist and shoulder joint (lower ends of radius and ulna and head of the humerus) 19-20 years. 2) At the elbow region: trochlea and capitulum (14 years)- trochlea and capitulum + lower end of the humerus (15years) 3)Lat.epicondyle and head of ulna(17 years). 4)Med epicondyles and the head of the radius (18years) 5)Metacarpals and phalanges (16 y in females and 18 years in males).
  • 29.
  • 30.
  • 31.
  • 32.
    What is theage ? >17 y (completely developed elbow)
  • 33.
    What is theage ? >19 years (united head of humerus)
  • 34.
    What is theage ? <19 (not united head of humerus with the body)
  • 35.
    What is theage ? >20-21years ( closed lower ends of radius and ulna)
  • 36.
    What is theage ? < 20-21 ( non united lower ends of radius and ulna)
  • 37.
  • 38.
    What is theage ? < 2 years < 2 y (no ossifc center of ulna ,< 18 y in female < 18 in males
  • 39.
    What are theages? Less than18 more than18 less than18
  • 40.
    What is theage? More than20-21 more than20-21
  • 41.
    Determination of ageby bone examination – Epiphyseal closure
  • 42.
    Age from lowerlimb examination 1) Lesser trochanter (16y )-----Greater trochanter (17y) ------ Head of the femur (18y). 2) Lower end of the femur + shaft (21y). 3) Upper end of the tibia +shaft (21y). 4) Lower end of the tibia +shaft (18 y). By foot examination ossific center appears at calcanium at 6 years and union of epiphysis at the calcanium at 14 years ,so examining only this bone gives us a range of 8 years
  • 43.
    What is theage ? >18 years (united head of femur)
  • 44.
    What is theage? above18ys
  • 45.
    What is theage? <21 knee
  • 46.
    What is theage? >21 y
  • 47.
    What is theage ? > 19 y ( ankle closed)
  • 48.
    What is theage ? > 19 y ( ankle closed). Notice the calcaneus
  • 49.
    What are theages ? above18 below18
  • 50.
    What is theage ? <14 y (not united epiphysis of calcaneus)
  • 51.
  • 52.
    What isthe age? >14(calcaneus) and < 18 y (opened lower ends of tibia and fibula)
  • 53.
    Age from hipbone examination: Two pubic rami of the hip (6y) Suture at the acetabulum (15y). Ischeal tuberosity with the ischium (21y). Iliac crest with the ilium (23y).
  • 54.
    What is theage? >23 y (iliac crest)
  • 55.
    What is theage ? From4-6 Open ischial ramus(less than6) >4years (ossific center at greater trochanter) <15years (opened triradiate suture)
  • 56.
    > 18 y(head of femur)<23 opened iliac crest >23 y (iliac crest)
  • 57.
    What is theage ? >4 y (ossific center at greater trochanter)<15 y (triradiate suture is opened )
  • 58.
    What is theage? <23 y (non-united iliac crest)
  • 59.
    Ages of legalimportance in Egypt: 6 years . Age of education. First molar and pubic ramus 7 years Age of discrimination Central incisors. 10 years In case of divorce father claims his son. Second premolar)
  • 60.
    Ages of legalimportance in Egypt: 12 years : In case of divorce father claims his daughter Second molar This low has been changed ,where the custody of the mother ends at 15 years for both son and daughter ,at which they are allowed to choose their custodian till age of21 for son or marriage for daughter. how can you estimate age of 15?
  • 61.
    Ages of legalimportance in Egypt: 14 years: Under this age the child cannot commit the crime of rape. Also under this age child work is not legal . Union of the trochlea and capitulum. 15 years: The child is considered partially responsible i.e. trial in front of juvenile court Union of trochlea and capitulum with lower end of humerus.+acetabular suture union
  • 62.
    Ages of legalimportance in Egypt: 16years: Age of legal marriage in females-identity card) Metecarpals in females. 18 years: Legal marriage in males ---legal age for consent----- governmental employment---- driving license ----- Full criminal responsibility-------Voting. Metacarpals with their bodies 21 years: Civil rights X - ray knee
  • 63.
    Ages of legalimportance in Egypt: 30 years Member of people assembly Sagittal suture. 35 years Legal age of the president of the public 60 years: Age of pension Union of body and manubrium of sternum
  • 64.
    Post test Ques.1 Write the estimated age for the following: Pic.1
  • 65.
  • 66.
  • 67.
  • 68.
    Quest. 5Less than18
  • 69.
    Quest.6 Above 2years Ossific centre of lower radius
  • 70.
    Quest.7 Which isolder a or b? Less than18 Above 20-21 Closed Lower Radius& Lower ulna
  • 71.
    Quest.8 For moreprecise age estimation for the pic a I need to ask for x ray: Knee Ankle Elbow pelvis
  • 72.
    Quest.9 For moreprecise age estimation for the pic b I need to ask for x ray: Sternum Knee Shoulder hip
  • 73.
    Quest 10 Suggestwhich picture is older a or b and why? Below1 year(absent ossific centre of head of femur Between1-6 Above 1 year(ossific center of head femur) Less Than6 ys Opened Pubic ramus
  • 74.

Editor's Notes