ESTIMATION OF BONE
AGE BY RADIOGRAPHY
Dr. Somashekar C.
Department of Forensic Medicine and
Toxicology
AIMS, B G Nagara
1
March 8, 2014
Facts about Ossification:
• Bones are formed as mesodermal
condensations
• Formation of bone from these mesodermal
models is called Ossification
• Two centres of ossification for a bone
primary diaphysis
secondary epiphysis
• Embryonic period 806 centres, at birth 450
and in adults 206 2
• Sometimes confused for fractures esp. if
in association with joint.
3
• The process of appearance and fusion of
centers follow a sequence and time,
which is being utilized for age
estimation.
• On X-ray, fusion is seen 6 to 12 months
earlier than the actual bone fusion, as
the thin gap of non-union are not
noticed.
• Long bones ossify/fuse 1 year early in
females.
4
• The center which appears first, will
fuse with the diaphysis last usually.
• Ossification starts at the centre of
epiphysis and spreads to periphery.
5
Epiphysis grows in a typical fashion
(stages of progressive growth)
6
7
8
9
10
11
Age
Chronological age
Anatomical bone age
Radiological bone age
In normal subjects, bone age should be
roughly within 10% of chronological age.
Discordance may be seen if obese or early
attainment of puberty
12
• Appearance and fusion of centers vary
in different individuals depending on
environment, nutrition, endocrinal
factors.
• There may be maturity imbalance
between bones from different parts of
the same individual.
13
Why study skeletal age?
Clinical applications:
Diagnosis of growth disorders
-primary growth deficiency like bone
dysplasia
-sec. growth deficiencies like
nutritional, metabolic and unknown
(constitutional delay)
 Prediction of final adult height.
14
Forensic applications:
 criminal responsibility
 judicial punishment
 rape
 kidnapping
 consent and contract
 attainment of majority, marriage
 employment, joining govt. services
 sports etc.
15
Methods of age estimation:
• Physical examination (hair/sec sex ch./genital
development.)
• Dental examination (oral examination and dental X-ray esp
OPG)
• Radiological examination
 No single method is accurate in estimating age.
 In fact, multiple methods should be employed.
 Usually all the three methods are employed to estimate
the age of the individual.
16
Radiological methods of skeletal
age estimation:
a. Study of ossification centres
b. Other methods
1. Atlas technique
– Todd’s atlas
– Greulich and Pyle atlas
2. Scoring technique (preferred)
- Acheson’s method (Oxford method)
- Tanner and Whitehouse Method (TW1, TW2 &
TW3)
- FELS method
3. Individual Profile Maturity Technique
17
Practical issues:
• For age estimation, usually standard right sided
X-rays are taken in AP view
-with few exceptions elbow (AP and Lat)
• Selection of regions/joints:
for age 6-12 years  elbow and wrist
for age 13-16 years  elbow and pelvis
• Wrist (& hand) is most studied region by
foreign authors/researchers.
18
Ossification-age of appearance
and fusion:
• In Indian scenario, the following
estimates are being practiced currently,
though further research is needed in
this field.
19
BONE OSSIFICATION CENTRE APPEARANCE CONJOINT
EPIPHYSIS
FUSION/UNION
Clavicle Medial end 18-19 yrs - 20-22 yrs
Sternum
Manubrium& 1st piece
2nd & 3rd piece
4th piece
xyphisternum
5th m of iul
7th m of iul
10th m of iul
3 yrs
-
All fuse
from below
upwards
between 14
and 25 yrs
Old age
40 yrs
Scapula Coracoid process
Acromion process
10-11 yrs
14-15 yrs
15-16 yrs
17-18 yrs
Humerus
Head
Greater tuberosity
Lesser tuberosity
1
3-4 yrs
5
5-6 yrs 18-19 yrs
20
21
BONE OSSIFICATION
CENTRE
APPEARANCE CONJOINT
EPIPHYSIS
FUSION/UNION
Humerus
Capitulum
Trochlea
Lateral epicondyle
Medial epicondyle
1
9-11
11-12
5-6
14-16
-
16-17
15-16
Radius Head
Lower end
4-5
2
- 16-17
18-19
ulna Olecranon process
Lower end
8-9
5-6
- 16-17
17-18
Carpal
bones
Capitate
Hamate
Triquetral
Lunate
Scaphoid, trapezoid
Trapezium
pisiform
2m of iul
3 m of iul
3 yrs
4 yrs
5 yrs
6 yrs
10-12 yrs
- -
22
23
24
BONE
(hand)
OSSIFICATION
CENTRE
APPEARANC
E
CONJOINT
EPIPHYSIS
FUSION/U
NION
First Metacarpal 2-3 - 15-17
Proximal phalanges 1.5-2 - 15-18
Metacarpals 2-3 -
15-19
Middle phalanges 2-4 - 15-18
Distal phalanges 2-4 - 15-18
25
26
27
BONE OSSIFICATION
CENTRE
APPEARANCE C1ONJOIN
T
EPIPHYSIS
FUSION/UNI
ON
Hip bone Ischio-pubic rami
Tri-radiate cartilage
Iliac crest
Ischial tuberosity
-
-
14-16
16
- 6
13-15
18-21
20-22
Femur Head
Greater trochanter
Lesser trochanter
Lower end
1
4
12-14
At birth
- 17-18
17-18
17-18
18-19
Tibia Upper end
Lower end
At birth
1
- 18-19
16-17
Fibula Upper end
Lower end
4
1
- 18-19
16-17 28
29
30
BONE
(foot)
OSSIFICATION
CENTRE
APPEARANCE CONJOINT
EPIPHYSIS
FUSION/UNI
ON
Tarsal
bones
Primary
Calcaneum
Talus
cuboid
5th m of iul
7th
9th
- -
Calcaneum
Lateral cunieform
Medial cuniefoem
Middle cunieform
Navicular
6-8 yrs
1
2
3
3
- -
Phalanges Proximal phalanges 2-4 - 17-20
Metatarpals 3-4 - 17-20
Middle phalanges 3-6 - 18
Distal phalanges 6 -
18
31
32
Conclusions:
• Multiple criteria have to be employed.
Opinion should be based on physical,
dental and radiological examination of
individual.
• It is advisable to give a range for the
age.
• There is a need for further research in
this field.
33
34
THANK YOU
Elbow joint
• Secondary ossification Centres : (3 bones; 6 Ocs)
Capitulum (C) - appearance - 1 year of life
Head of Radius (R)– appearance -4 to 5 years
Medial Epicondyle (ME)
Appearance – 5 to 6 years
Fusion – 16 to 17 years
Trochlea (T) – appearance – 9 to 11 years
Olecranon Process of Ulna (OP)
Appearance - 8 to 9 years
Fusion- 16-17 years
Lateral Epicondyle(LE) – 11 to 12 years
Conjoint (Composite)Epiphysis (CE) [fusion of C+T+LE]
Formation – 14 to 16 years
Fusion – 16-17 years
Note: Fusion of O.Centres at elbow joint is 16-17 years in male, 15-16 years in female
35
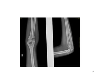
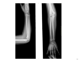
ELBOW JOINT
All OCs Appeared and fused (>16-17 years)
36
No OC has appeared (< 1 year)
37
Only Capitulum appeared (> 1 year)
38
39
40
41
42
43
44
45
46
47
48
49

Age estimation by radiological method (using X-rays)

  • 1.
    ESTIMATION OF BONE AGEBY RADIOGRAPHY Dr. Somashekar C. Department of Forensic Medicine and Toxicology AIMS, B G Nagara 1 March 8, 2014
  • 2.
    Facts about Ossification: •Bones are formed as mesodermal condensations • Formation of bone from these mesodermal models is called Ossification • Two centres of ossification for a bone primary diaphysis secondary epiphysis • Embryonic period 806 centres, at birth 450 and in adults 206 2
  • 3.
    • Sometimes confusedfor fractures esp. if in association with joint. 3
  • 4.
    • The processof appearance and fusion of centers follow a sequence and time, which is being utilized for age estimation. • On X-ray, fusion is seen 6 to 12 months earlier than the actual bone fusion, as the thin gap of non-union are not noticed. • Long bones ossify/fuse 1 year early in females. 4
  • 5.
    • The centerwhich appears first, will fuse with the diaphysis last usually. • Ossification starts at the centre of epiphysis and spreads to periphery. 5
  • 6.
    Epiphysis grows ina typical fashion (stages of progressive growth) 6
  • 7.
  • 8.
  • 9.
  • 10.
  • 11.
  • 12.
    Age Chronological age Anatomical boneage Radiological bone age In normal subjects, bone age should be roughly within 10% of chronological age. Discordance may be seen if obese or early attainment of puberty 12
  • 13.
    • Appearance andfusion of centers vary in different individuals depending on environment, nutrition, endocrinal factors. • There may be maturity imbalance between bones from different parts of the same individual. 13
  • 14.
    Why study skeletalage? Clinical applications: Diagnosis of growth disorders -primary growth deficiency like bone dysplasia -sec. growth deficiencies like nutritional, metabolic and unknown (constitutional delay)  Prediction of final adult height. 14
  • 15.
    Forensic applications:  criminalresponsibility  judicial punishment  rape  kidnapping  consent and contract  attainment of majority, marriage  employment, joining govt. services  sports etc. 15
  • 16.
    Methods of ageestimation: • Physical examination (hair/sec sex ch./genital development.) • Dental examination (oral examination and dental X-ray esp OPG) • Radiological examination  No single method is accurate in estimating age.  In fact, multiple methods should be employed.  Usually all the three methods are employed to estimate the age of the individual. 16
  • 17.
    Radiological methods ofskeletal age estimation: a. Study of ossification centres b. Other methods 1. Atlas technique – Todd’s atlas – Greulich and Pyle atlas 2. Scoring technique (preferred) - Acheson’s method (Oxford method) - Tanner and Whitehouse Method (TW1, TW2 & TW3) - FELS method 3. Individual Profile Maturity Technique 17
  • 18.
    Practical issues: • Forage estimation, usually standard right sided X-rays are taken in AP view -with few exceptions elbow (AP and Lat) • Selection of regions/joints: for age 6-12 years  elbow and wrist for age 13-16 years  elbow and pelvis • Wrist (& hand) is most studied region by foreign authors/researchers. 18
  • 19.
    Ossification-age of appearance andfusion: • In Indian scenario, the following estimates are being practiced currently, though further research is needed in this field. 19
  • 20.
    BONE OSSIFICATION CENTREAPPEARANCE CONJOINT EPIPHYSIS FUSION/UNION Clavicle Medial end 18-19 yrs - 20-22 yrs Sternum Manubrium& 1st piece 2nd & 3rd piece 4th piece xyphisternum 5th m of iul 7th m of iul 10th m of iul 3 yrs - All fuse from below upwards between 14 and 25 yrs Old age 40 yrs Scapula Coracoid process Acromion process 10-11 yrs 14-15 yrs 15-16 yrs 17-18 yrs Humerus Head Greater tuberosity Lesser tuberosity 1 3-4 yrs 5 5-6 yrs 18-19 yrs 20
  • 21.
  • 22.
    BONE OSSIFICATION CENTRE APPEARANCE CONJOINT EPIPHYSIS FUSION/UNION Humerus Capitulum Trochlea Lateralepicondyle Medial epicondyle 1 9-11 11-12 5-6 14-16 - 16-17 15-16 Radius Head Lower end 4-5 2 - 16-17 18-19 ulna Olecranon process Lower end 8-9 5-6 - 16-17 17-18 Carpal bones Capitate Hamate Triquetral Lunate Scaphoid, trapezoid Trapezium pisiform 2m of iul 3 m of iul 3 yrs 4 yrs 5 yrs 6 yrs 10-12 yrs - - 22
  • 23.
  • 24.
  • 25.
    BONE (hand) OSSIFICATION CENTRE APPEARANC E CONJOINT EPIPHYSIS FUSION/U NION First Metacarpal 2-3- 15-17 Proximal phalanges 1.5-2 - 15-18 Metacarpals 2-3 - 15-19 Middle phalanges 2-4 - 15-18 Distal phalanges 2-4 - 15-18 25
  • 26.
  • 27.
  • 28.
    BONE OSSIFICATION CENTRE APPEARANCE C1ONJOIN T EPIPHYSIS FUSION/UNI ON Hipbone Ischio-pubic rami Tri-radiate cartilage Iliac crest Ischial tuberosity - - 14-16 16 - 6 13-15 18-21 20-22 Femur Head Greater trochanter Lesser trochanter Lower end 1 4 12-14 At birth - 17-18 17-18 17-18 18-19 Tibia Upper end Lower end At birth 1 - 18-19 16-17 Fibula Upper end Lower end 4 1 - 18-19 16-17 28
  • 29.
  • 30.
  • 31.
    BONE (foot) OSSIFICATION CENTRE APPEARANCE CONJOINT EPIPHYSIS FUSION/UNI ON Tarsal bones Primary Calcaneum Talus cuboid 5th mof iul 7th 9th - - Calcaneum Lateral cunieform Medial cuniefoem Middle cunieform Navicular 6-8 yrs 1 2 3 3 - - Phalanges Proximal phalanges 2-4 - 17-20 Metatarpals 3-4 - 17-20 Middle phalanges 3-6 - 18 Distal phalanges 6 - 18 31
  • 32.
  • 33.
    Conclusions: • Multiple criteriahave to be employed. Opinion should be based on physical, dental and radiological examination of individual. • It is advisable to give a range for the age. • There is a need for further research in this field. 33
  • 34.
  • 35.
    Elbow joint • Secondaryossification Centres : (3 bones; 6 Ocs) Capitulum (C) - appearance - 1 year of life Head of Radius (R)– appearance -4 to 5 years Medial Epicondyle (ME) Appearance – 5 to 6 years Fusion – 16 to 17 years Trochlea (T) – appearance – 9 to 11 years Olecranon Process of Ulna (OP) Appearance - 8 to 9 years Fusion- 16-17 years Lateral Epicondyle(LE) – 11 to 12 years Conjoint (Composite)Epiphysis (CE) [fusion of C+T+LE] Formation – 14 to 16 years Fusion – 16-17 years Note: Fusion of O.Centres at elbow joint is 16-17 years in male, 15-16 years in female 35
  • 36.
    ELBOW JOINT All OCsAppeared and fused (>16-17 years) 36
  • 37.
    No OC hasappeared (< 1 year) 37
  • 38.
  • 39.
  • 40.
  • 41.
  • 42.
  • 43.
  • 44.
  • 45.
  • 46.
  • 47.
  • 48.
  • 49.