FORENSIC ODONTOLOGY
( Forensic Dentistry / Forensic Odontostomatology )
The word ‘forensic’, states Clark » Lt.‘forensis’ = ‘before
the forum’(ie; Court of Law in Ancient Rome) and
Odontology =The scientific study of the structure and
diseases of teeth.
Forensic Odontology(FDI definition):
‘that branch of dentistry which,in the interest of
justice,deals with the proper handling and
examination of dental evidence,and with the
proper evaluation and presentation of dental
findings.’
history
• Acc. to Harvey,the earliest known example of identification by dental
means dates back to 66 A.D.
• In 49 A.D. – used by Agrippine,the wife of Claudius(a Roman emperor) to
identify Lollia Poulina after getting her beheaded.
• In India,the Rathore raja of Kannauj,Jai Chandra was recognized by his
false teeth after he was beaten and killed in battle (1119 A.D. ) [In
Elphinstone’s ₺History Of India ₺,5th Edition.]
• Identification of John Talbot ,Earl of Shrewsbury in 1453; Charles the
Bold in 1477,…
• First case of identification of a person by a dentist –in 1770,by Paul
Revere-identified his friend Dr.Joseph Warren from the silver-wire fixed
bridge made by him.
Father of Forensic Odontology
-presented a paper entitled ₺The Role Of Dentists In
The Identification Of Victims Of The Catastrophe of
The Bazaar de la Charite,Paris,4 May,1897 ₺ at the
International Medical Congress of Moscow.
He suggested the use for an international
system of Uniform Charting and Mutual Understanding
Nomenclature.
• For identifying various leaders like :
 Adolph Hitler(from elaborate dental records including radiographs and
spare crowns)
 Zia Ul Haq- former Pakistan President
 Rajiv Gandhi-former Indian Prime Minister
Areas Involved
• Identifying unknown human remains through dental
records,& assisting at the scene of mass disasters.
• Eliciting the ethnicity & assisting in building up a picture of
lifestyle and diet of skeletal remains at archaeological sites.
• Determining the sex of unidentified individuals.
• Age estimation of both the living & the deceased.
• Analysis & identification of bite marks found on victims of
attack and in other substances such as food-stuffs.
• Presenting evidence in court as expert witnesses.
• When circumstantial evidence may not give an indication
about the putative identity of the deceased,in which case dental
records are not traceable.
• Dental profiling includes extracting a triad of information-
1)The decendent’s ethnic origin
2) Gender
3)Age
• Acc. to Pretty & Sweet,the information from this process will
enable a more focused search for antemortem records…
AGE DETERMINATION
• Final step in the triad of dental profiling.
• Age estimation has application in postmortem identification as
well as in living individuals in whom the chronological age is
under dispute.
• Teeth considered better than bones for age determination-one
of few measures of physiologic development that is uniformly
applicable from infancy to late adolescence.After attaining
maturity,teeth continue to undergo changes,making age
estimation possible among adults.
Dental age estimation makes use of
morphologic,radiographic,histological & biochemical
method to examine age dependant changes in teeth.
Age estimation using dentition may be grouped
into 3 phases:
1) Pre-natal,neonatal & early post-natal period
2) Children & adolescents
3) Adults
• Forensic dentist rarely involved in age estimation of
unknown fetus,but occasionally premature births or abortion
specimens have to be examined(feticide & infanticide)
• 1st sign of tooth development in man seen at about
6-7 wks IU,when individual tooth germs differentiate at the
future sites of deciduous teeth & later the permanent molars.
but not untill about 14-16 wks that the first of these,
dec.incisors,begin to mineralize.
• Enamel formation of all deciduos teeth complete by 1st yr.
Among permanent teeth, M1 shows germ fomation 1st at about
3 ½ – 4 mo IU.
• Age estimation of this gp. can be very accurate-use histological techniques
which enable observation of tooth mineralization upto 12wks before its
actually apparent on radiographs.
• Radiographs non-invasive ; require no tissue dissection.
# Indicator of birth.
# Bowers – attributes its formation to the slowing down of enamel prism
growth rate,thus “creating an apparent line of demarcation.
• Ciapparelli-the neonatal lines may take upto 3wks after birth to form.Hence
absence of NN line still birth !
prenatal enamel
neonatal line
dentin
postnatal enamel
• Forensic investigation-age estimation in young skeletal remains-- histological &
radiographic methods not practical.
measure dry wt. of mineralized tooth cusps.
Developing teeth at 6 mo IU 60mg
newborn 0.5g
6 mo after birth 1.8g
Bud stage Cap satge Bell stage
Age Estimation In Children & Adolescents
• 2 events used :
- tooth emergence(eruption)
- tooth calcification
-study of tooth emergence is convenient clinical method
- It involves visual assessment of teeth present in the mouth.
- Requires little expertise or equipment.
! should be ltd. to dec.teeth-under genetic control & relatively regular,commencing
at about 6 mo after birth & completing by about 2 ½ yrs .
-dental calcification considered as one of the three most
suitable methods of age estimation in criminal procedures-techniques used are
simple and easy to master.
• Age estimation in this gp. relatively accurate since a no. of teeth,passing through
various stages of calcification,are available.
• Dental calcification accepted as a better indicator of age in the 1st 2 decades
of life.
• Few of the many methods that exist(for reasons of brevity) ,for estimating age in
children & adolescents are:
• Chart of Schour & Massler –probably the 1st attempt at scientific dental
age estimation.
• Described 20 chronological stages of tooth development starting from 5 mo
IU untill 21 yrs of age.
• The chart(or atlas) is based on histological sections & permit direct
comparisons with radiographs.
• Bowers states that,the charts were improved by Ubelaker,who included data
from additional population studies.
• Dental development of males & females were combined and each stage
includes the amount of age variation.
• Bowers stresses that the improved charts should be used for age
assessment,since the original Schour & Massler’s atlas has serious draw
backs!
The Schour & Massler’s pictorial representation of teeth development
Demirjian’s Method
• Demirjian & colleagues developed
an age estimation method that
assesses the mandibular left side
teeth.
• Development of mand.teeth,as it
appears on radiographs,was
divided into 10 stages.
• Demirjian & colleagues provided
diff. maturity scores for each tooth
for the diff. developmental stages.
• Separate maturity scores for males
& females
• Based on developmental stages
,each tooth is given an appropriate
score.
Stages Teeth
Girls 31 32 33 34 35 36 37 38
0 6.40
1 2.57 7.74
2 2.43 8.92
3 2.56 3.43 2.65 9.31
4 2.55 3.54 3.83 4.10 10.22
5 2.58 2.65 3.15 5.09 5.75 2.58 6.51 11.04
6 3.10 4.54 5.40 6.31 6.81 3.25 8.00 12.65
7 5.02 5.40 7.19 8.09 8.70 4.25 9.13 13.77
8 6.66 7.02 9.22 9.82 10.80 6.88 11.00 14.45
9 10.61 10.89 11.99 12.29 12.79 10.94 13.84 16.65
Boys
0 1.70 6.19
1 1.69 2.98 7.64
2 1.70 2.27 3.41 8.28
3 1.70 1.98 3.41 4.74 8.86
4 2.67 3.52 3.41 4.88 9.89
5 2.31 2.55 4.34 5.19 5.59 2.13 6.69 11.17
6 4.35 4.71 6.14 6.47 6.96 3.73 7.89 12.25
7 5.16 5.75 7.59 8.18 8.68 4.94 9.08 13.66
8 6.56 6.97 9.52 9.84 10.64 7.00 11.13 14.07
9 10.68 10.91 12.56 12.57 13.11 11.22 13.63 15.32
Demirjian’s Matrurity Scores
• Based on developmental stages,each tooth is given an appropriate score.The
score assigned for each of the 8 teeth is added and a Total Maturity Score
(S) is obtained.
• The total is substituted in regression formulas to derive age:
In females, Age =(0.0000615 × S³ ) – (0.0106 × S²) + (0.6997 × S) – 9.3178
In males, Age =(0.000055 × S³) - (0.0095×S²) + (0.6479 × S) - 8.4583
 The method was developed on children of European origin and its use in
other populations has resulted in an over estimation of age.
 Results obtained by Koshy & Tandon,who applied an earlier version of
Demirjian’s method on south Indian children over estimated age by 3yrs!
== Suggests that the method need to be adapted to the local population
before using in age assessment.
• The method is the most widely used technique-due to detailed description
and radiographic illustration of tooth development stages,as well as its
relative simplicity.
Value Of Third Molar
• Valuable indicator of age in 16-23yr old age gp.,where all other teeth have
completely developed.
• Its accuracy in age estimation is questionable due to great variation in its
genesis,position,morphology & time of formation.
• Gunst & associates underscore its importance due to inaccuracy of skeletal
predictors of age in this age gp.
• Age of an individual,specifically whether the individual is 18yrs old or not can
reliably be estimated.
• When all four 3rd molars have completely calcified,the individual being 18yr old is
96% & 95% for males & females respectively.
• When all M3’s are not present(only 1 or 2 available for age estimation),
» lower M3’s are better predictors of whether an individual is 18yrs old.
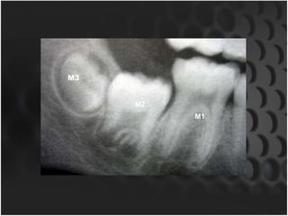
M3
M2
M1
Growth variations exist between different
population groups due to disimilar genetic & environmental
factors.Ideally,therefore,population specific
developmental data is essential for optimized age
estimation.
Ultimately , one need to remember,that dental age
cannot be expressed precisely but,at best , within an age-
range…!
BIBLIOGRAPHY
• Shafer’s Textbook of Oral Pathology, 6th
Edition
• Textbook Of Forensic Odontology by
K.M.K.Masthan
Forensic Dentistry-Age Determination In Children

Forensic Dentistry-Age Determination In Children

  • 3.
    FORENSIC ODONTOLOGY ( ForensicDentistry / Forensic Odontostomatology ) The word ‘forensic’, states Clark » Lt.‘forensis’ = ‘before the forum’(ie; Court of Law in Ancient Rome) and Odontology =The scientific study of the structure and diseases of teeth. Forensic Odontology(FDI definition): ‘that branch of dentistry which,in the interest of justice,deals with the proper handling and examination of dental evidence,and with the proper evaluation and presentation of dental findings.’
  • 4.
    history • Acc. toHarvey,the earliest known example of identification by dental means dates back to 66 A.D. • In 49 A.D. – used by Agrippine,the wife of Claudius(a Roman emperor) to identify Lollia Poulina after getting her beheaded. • In India,the Rathore raja of Kannauj,Jai Chandra was recognized by his false teeth after he was beaten and killed in battle (1119 A.D. ) [In Elphinstone’s ₺History Of India ₺,5th Edition.] • Identification of John Talbot ,Earl of Shrewsbury in 1453; Charles the Bold in 1477,… • First case of identification of a person by a dentist –in 1770,by Paul Revere-identified his friend Dr.Joseph Warren from the silver-wire fixed bridge made by him.
  • 5.
    Father of ForensicOdontology -presented a paper entitled ₺The Role Of Dentists In The Identification Of Victims Of The Catastrophe of The Bazaar de la Charite,Paris,4 May,1897 ₺ at the International Medical Congress of Moscow. He suggested the use for an international system of Uniform Charting and Mutual Understanding Nomenclature. • For identifying various leaders like :  Adolph Hitler(from elaborate dental records including radiographs and spare crowns)  Zia Ul Haq- former Pakistan President  Rajiv Gandhi-former Indian Prime Minister
  • 6.
    Areas Involved • Identifyingunknown human remains through dental records,& assisting at the scene of mass disasters. • Eliciting the ethnicity & assisting in building up a picture of lifestyle and diet of skeletal remains at archaeological sites. • Determining the sex of unidentified individuals. • Age estimation of both the living & the deceased. • Analysis & identification of bite marks found on victims of attack and in other substances such as food-stuffs. • Presenting evidence in court as expert witnesses.
  • 7.
    • When circumstantialevidence may not give an indication about the putative identity of the deceased,in which case dental records are not traceable. • Dental profiling includes extracting a triad of information- 1)The decendent’s ethnic origin 2) Gender 3)Age • Acc. to Pretty & Sweet,the information from this process will enable a more focused search for antemortem records…
  • 8.
    AGE DETERMINATION • Finalstep in the triad of dental profiling. • Age estimation has application in postmortem identification as well as in living individuals in whom the chronological age is under dispute. • Teeth considered better than bones for age determination-one of few measures of physiologic development that is uniformly applicable from infancy to late adolescence.After attaining maturity,teeth continue to undergo changes,making age estimation possible among adults.
  • 9.
    Dental age estimationmakes use of morphologic,radiographic,histological & biochemical method to examine age dependant changes in teeth. Age estimation using dentition may be grouped into 3 phases: 1) Pre-natal,neonatal & early post-natal period 2) Children & adolescents 3) Adults
  • 10.
    • Forensic dentistrarely involved in age estimation of unknown fetus,but occasionally premature births or abortion specimens have to be examined(feticide & infanticide) • 1st sign of tooth development in man seen at about 6-7 wks IU,when individual tooth germs differentiate at the future sites of deciduous teeth & later the permanent molars. but not untill about 14-16 wks that the first of these, dec.incisors,begin to mineralize. • Enamel formation of all deciduos teeth complete by 1st yr. Among permanent teeth, M1 shows germ fomation 1st at about 3 ½ – 4 mo IU. • Age estimation of this gp. can be very accurate-use histological techniques which enable observation of tooth mineralization upto 12wks before its actually apparent on radiographs. • Radiographs non-invasive ; require no tissue dissection.
  • 11.
    # Indicator ofbirth. # Bowers – attributes its formation to the slowing down of enamel prism growth rate,thus “creating an apparent line of demarcation. • Ciapparelli-the neonatal lines may take upto 3wks after birth to form.Hence absence of NN line still birth ! prenatal enamel neonatal line dentin postnatal enamel
  • 14.
    • Forensic investigation-ageestimation in young skeletal remains-- histological & radiographic methods not practical. measure dry wt. of mineralized tooth cusps. Developing teeth at 6 mo IU 60mg newborn 0.5g 6 mo after birth 1.8g Bud stage Cap satge Bell stage
  • 15.
    Age Estimation InChildren & Adolescents • 2 events used : - tooth emergence(eruption) - tooth calcification -study of tooth emergence is convenient clinical method - It involves visual assessment of teeth present in the mouth. - Requires little expertise or equipment. ! should be ltd. to dec.teeth-under genetic control & relatively regular,commencing at about 6 mo after birth & completing by about 2 ½ yrs . -dental calcification considered as one of the three most suitable methods of age estimation in criminal procedures-techniques used are simple and easy to master. • Age estimation in this gp. relatively accurate since a no. of teeth,passing through various stages of calcification,are available. • Dental calcification accepted as a better indicator of age in the 1st 2 decades of life. • Few of the many methods that exist(for reasons of brevity) ,for estimating age in children & adolescents are:
  • 16.
    • Chart ofSchour & Massler –probably the 1st attempt at scientific dental age estimation. • Described 20 chronological stages of tooth development starting from 5 mo IU untill 21 yrs of age. • The chart(or atlas) is based on histological sections & permit direct comparisons with radiographs. • Bowers states that,the charts were improved by Ubelaker,who included data from additional population studies. • Dental development of males & females were combined and each stage includes the amount of age variation. • Bowers stresses that the improved charts should be used for age assessment,since the original Schour & Massler’s atlas has serious draw backs!
  • 17.
    The Schour &Massler’s pictorial representation of teeth development
  • 18.
    Demirjian’s Method • Demirjian& colleagues developed an age estimation method that assesses the mandibular left side teeth. • Development of mand.teeth,as it appears on radiographs,was divided into 10 stages. • Demirjian & colleagues provided diff. maturity scores for each tooth for the diff. developmental stages. • Separate maturity scores for males & females • Based on developmental stages ,each tooth is given an appropriate score.
  • 19.
    Stages Teeth Girls 3132 33 34 35 36 37 38 0 6.40 1 2.57 7.74 2 2.43 8.92 3 2.56 3.43 2.65 9.31 4 2.55 3.54 3.83 4.10 10.22 5 2.58 2.65 3.15 5.09 5.75 2.58 6.51 11.04 6 3.10 4.54 5.40 6.31 6.81 3.25 8.00 12.65 7 5.02 5.40 7.19 8.09 8.70 4.25 9.13 13.77 8 6.66 7.02 9.22 9.82 10.80 6.88 11.00 14.45 9 10.61 10.89 11.99 12.29 12.79 10.94 13.84 16.65 Boys 0 1.70 6.19 1 1.69 2.98 7.64 2 1.70 2.27 3.41 8.28 3 1.70 1.98 3.41 4.74 8.86 4 2.67 3.52 3.41 4.88 9.89 5 2.31 2.55 4.34 5.19 5.59 2.13 6.69 11.17 6 4.35 4.71 6.14 6.47 6.96 3.73 7.89 12.25 7 5.16 5.75 7.59 8.18 8.68 4.94 9.08 13.66 8 6.56 6.97 9.52 9.84 10.64 7.00 11.13 14.07 9 10.68 10.91 12.56 12.57 13.11 11.22 13.63 15.32 Demirjian’s Matrurity Scores
  • 20.
    • Based ondevelopmental stages,each tooth is given an appropriate score.The score assigned for each of the 8 teeth is added and a Total Maturity Score (S) is obtained. • The total is substituted in regression formulas to derive age: In females, Age =(0.0000615 × S³ ) – (0.0106 × S²) + (0.6997 × S) – 9.3178 In males, Age =(0.000055 × S³) - (0.0095×S²) + (0.6479 × S) - 8.4583  The method was developed on children of European origin and its use in other populations has resulted in an over estimation of age.  Results obtained by Koshy & Tandon,who applied an earlier version of Demirjian’s method on south Indian children over estimated age by 3yrs! == Suggests that the method need to be adapted to the local population before using in age assessment. • The method is the most widely used technique-due to detailed description and radiographic illustration of tooth development stages,as well as its relative simplicity.
  • 21.
    Value Of ThirdMolar • Valuable indicator of age in 16-23yr old age gp.,where all other teeth have completely developed. • Its accuracy in age estimation is questionable due to great variation in its genesis,position,morphology & time of formation. • Gunst & associates underscore its importance due to inaccuracy of skeletal predictors of age in this age gp. • Age of an individual,specifically whether the individual is 18yrs old or not can reliably be estimated. • When all four 3rd molars have completely calcified,the individual being 18yr old is 96% & 95% for males & females respectively. • When all M3’s are not present(only 1 or 2 available for age estimation), » lower M3’s are better predictors of whether an individual is 18yrs old.
  • 22.
  • 23.
    Growth variations existbetween different population groups due to disimilar genetic & environmental factors.Ideally,therefore,population specific developmental data is essential for optimized age estimation. Ultimately , one need to remember,that dental age cannot be expressed precisely but,at best , within an age- range…!
  • 24.
    BIBLIOGRAPHY • Shafer’s Textbookof Oral Pathology, 6th Edition • Textbook Of Forensic Odontology by K.M.K.Masthan