KANOKKORN NAVAMAJITI RA5402002
ORTHOPAEDICS CONFERENCE
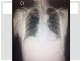
ผู้ป่วยชายไทย อายุ 78 ปี
No underlying disease
CC : ปวดไหล่ขวา 5 วันก่อนมาโรงพยาบาล
PRIMARY SURVEY
A : can speak, patent airway, c-spine not tender
B : no dyspnea, trachea in midline, no CW wound,
equally chest movement, equally breath sound,
no subcutaneous emphysema, CCT negative
C : BP 160/80 mmHg, PR 67 bpm, no site of external bleeding
D : E4V5M6, pupil 3 mm RTLBE
E : deformity Rt. shoulder
SECONDARY SURVEY
A : no drug/food allergy
M : no medication used
P : no underlying disease
L : NPO time 10.30 am
E : 5 วันก่อนมาโรงพยาบาล ขี่จักรยาน ล้มเอง ไหล่ขวากระแทกพื้น เจ็บไหล่
ขวา ยังขยับได้ แต่ยกแขนได้ไม่สุด ไหล่ขวาบวมมากขึ้น เริ่มยกแขนลาบาก กินยา
แก้ปวดที่บ้าน อาการไม่ดีขึ้น จึงมาโรงพยาบาล
SECONDARY SURVEY
Head-to-toe examination
V/S – T 37c, BP 160/80 mmHg, PR 67 bpm, RR 20/min
HEENT – not pale conjunctiva, anicteric sclera, no scalp contusion
Heart – normal S1S2, no murmur
Lungs – equally breath sound, clear, no adventitious sound
Abdomen – no contusion, no distension, soft, not tender, BS+
Extremities – Rt shoulder deformity+, tender at AC and CC joint
limit Abduction due to pain
full Adduction, F/E, ER/IR
Radial pulse 2+
ORTHOPAEDICS CONFERENCE
ACROMIOCLAVICULAR JOINT INJURY
ANATOMY
o Contains intra-articular disk of
variable size.
o Thin capsule stabilized by
ligaments on all sides:
Coracoclavicular ligaments
Stronger than AC ligaments
Provide vertical stability to AC joint
MECHANISM OF INJURY
PHYSICAL FINDINGS
• Pain over lateral clavicle / AC joint
• May have prominent distal clavicle
• May have skin abrasions
• Unwilling to lift arm.
• Should have full passive ROM of the shoulder.
PHYSICAL EXAMINATION
Inspection
Evaluate deformity and/or displacement
Beware of rare inferior/posterior displacement of distal/medial ends of clavicle
Compare to opposite side.
Palpation
Evaluate pain / Look for instability with stress
Neurovascular examination
Must be done thoroughly and documented!
Evaluate upper extremity motor and sensation
Measure shoulder range-of-motion
RADIOGRAPHIC EVALUATION OF THE CLAVICLE
Anteroposterior View
Transcapular Y-View
RADIOGRAPHIC EVALUATION OF THE AC JOINT
Zanca View
• AP view centered at AC joint
with 10 degree cephalic tilt
• Less voltage than used for AP shoulder
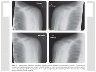
Axillary lateral View
demonstrate instability and differentiate grade III AC separations from
partial Grade I-II injuries.
Performed by having patient hold 10# weight with injured arm.
Rarely used today, since most Grade I-III AC joint injuries are treated
the same anyway, and management of distal clavicle fractures depends on
initial displacement and location of fracture.
RADIOGRAPHIC EVALUATION OF THE AC JOINT
Stress Views of the Distal Clavicle & AC Joint
RADIOGRAPHIC EVALUATION OF THE
ACROMIOCLAVICULAR JOINT
• Proper exposure of the AC joint requires one-third to one-half the x-ray
penetration of routine shoulder views
• Initial Views:
• Anteroposterior view
• Zanca view (15 degree cephalic tilt)
• Other views:
• Axillary: demonstrates anterior-posterior displacement
• Stress views: not generally relevant for treatment decisions.
CLASSIFICATION
Initially classified by both Allman and Tossy et al. into three types (I, II, and III).
Rockwood later added types IV, V, and VI, so that now six types are recognized.
Classified depending on the degree and direction of displacement of the distal clavicle.
CLASSIFICATION
TREATMENT OPTIONS
TYPES I - II ACROMIOCLAVICULAR JOINT INJURIES
Non-operative treatment
• Ice and protection until pain subsides (7 to 10 days).
• Return to sports as pain allows (1-2 weeks)
• No apparent benefit to the use of specialized braces.
(Type II) operative treatment
• Generally reserved only for the patient with chronic pain.
• Treatment is resection of the distal clavicle and reconstruction of
the coracoclavicular ligaments.
TREATMENT OPTIONS
TYPE III-VI ACROMIOCLAVICULAR JOINT INJURIES
• Nonoperative treatment
• Closed reduction and application of a sling and harness to maintain
reduction of the clavicle
• Short-term sling and early range of motion
• Operative treatment
• Primary AC joint fixation
• Primary CC ligament reconstruction (usually with allograft,
often with augmentation)
• Excision of the distal clavicle
• Dynamic muscle transfers
Type III Injuries **
• Need for acute surgical treatment remains very controversial.
• Most surgeons recommend conservative treatment except in
the throwing athlete or overhead worker.
• Repair generally avoided in contact athletes because of
the risk of reinjury.
LITERATURE UNABLE TO SUPPORT OPERATIVE OR
NONOPERATIVE TREATMENT AS SUPERIOR
• Functional outcomes appear similar.
• Cosmesis not different (scar vs bump)
• Only 50% of surgical cases reduced at follow-up.
• 10% complications after surgery.
Ceccarelli et al. J Orthopaed Traumatol 2008;9:105-108.
INDICATIONS FOR ACUTE SURGICAL TREATMENT OF
ACROMIOCLAVICULAR INJURIES
• Type III injuries in highly active patients
• Type IV, V, and VI injuries
SURGICAL OPTIONS FOR AC JOINT INSTABILITY
• Coracoid process transfer to distal transfer (Dynamic muscle transfer)
• Primary AC joint fixation
• Primary Coracoclavicular Fixation
• CC ligament reconstruction +/- distal clavicle excision.
WEAVER-DUNN PROCEDURE
• The distal clavicle is excised.
• The CA ligament is transferred to the
distal clavicle.
• The CC ligaments are repaired
and/or augmented with a
coracoclavicular screw or suture.
• Repair of deltotrapezial fascia
From Nuber GW and Bowen MK, JAAOS, 5:11, 1997
INDICATIONS FOR LATE SURGICAL TREATMENT OF
ACROMIOCLAVICULAR INJURIES
• Pain
• Weakness
• Deformity
TECHNIQUES
• Reduction of AC joint and repair of AC and CC ligaments
• Resection of distal clavicle and reconstruction of CC ligaments
(Weaver-Dunn Procedure)
THIS PATIENT
• Advice คนไข้ ขอลอง conservative (ปฏิเสธการผ่าตัด)
• On arm sling
• Pain control – Tramadol, Paracetamol
• นัด follow up 9/1/60 + film

Acromioclavicular joint injury

  • 1.
  • 2.
    ผู้ป่วยชายไทย อายุ 78ปี No underlying disease CC : ปวดไหล่ขวา 5 วันก่อนมาโรงพยาบาล
  • 3.
    PRIMARY SURVEY A :can speak, patent airway, c-spine not tender B : no dyspnea, trachea in midline, no CW wound, equally chest movement, equally breath sound, no subcutaneous emphysema, CCT negative C : BP 160/80 mmHg, PR 67 bpm, no site of external bleeding D : E4V5M6, pupil 3 mm RTLBE E : deformity Rt. shoulder
  • 4.
    SECONDARY SURVEY A :no drug/food allergy M : no medication used P : no underlying disease L : NPO time 10.30 am E : 5 วันก่อนมาโรงพยาบาล ขี่จักรยาน ล้มเอง ไหล่ขวากระแทกพื้น เจ็บไหล่ ขวา ยังขยับได้ แต่ยกแขนได้ไม่สุด ไหล่ขวาบวมมากขึ้น เริ่มยกแขนลาบาก กินยา แก้ปวดที่บ้าน อาการไม่ดีขึ้น จึงมาโรงพยาบาล
  • 5.
    SECONDARY SURVEY Head-to-toe examination V/S– T 37c, BP 160/80 mmHg, PR 67 bpm, RR 20/min HEENT – not pale conjunctiva, anicteric sclera, no scalp contusion Heart – normal S1S2, no murmur Lungs – equally breath sound, clear, no adventitious sound Abdomen – no contusion, no distension, soft, not tender, BS+ Extremities – Rt shoulder deformity+, tender at AC and CC joint limit Abduction due to pain full Adduction, F/E, ER/IR Radial pulse 2+
  • 9.
  • 10.
    ANATOMY o Contains intra-articulardisk of variable size. o Thin capsule stabilized by ligaments on all sides: Coracoclavicular ligaments Stronger than AC ligaments Provide vertical stability to AC joint
  • 11.
  • 12.
    PHYSICAL FINDINGS • Painover lateral clavicle / AC joint • May have prominent distal clavicle • May have skin abrasions • Unwilling to lift arm. • Should have full passive ROM of the shoulder.
  • 13.
    PHYSICAL EXAMINATION Inspection Evaluate deformityand/or displacement Beware of rare inferior/posterior displacement of distal/medial ends of clavicle Compare to opposite side. Palpation Evaluate pain / Look for instability with stress Neurovascular examination Must be done thoroughly and documented! Evaluate upper extremity motor and sensation Measure shoulder range-of-motion
  • 14.
    RADIOGRAPHIC EVALUATION OFTHE CLAVICLE Anteroposterior View Transcapular Y-View
  • 16.
    RADIOGRAPHIC EVALUATION OFTHE AC JOINT Zanca View • AP view centered at AC joint with 10 degree cephalic tilt • Less voltage than used for AP shoulder
  • 17.
  • 19.
    demonstrate instability anddifferentiate grade III AC separations from partial Grade I-II injuries. Performed by having patient hold 10# weight with injured arm. Rarely used today, since most Grade I-III AC joint injuries are treated the same anyway, and management of distal clavicle fractures depends on initial displacement and location of fracture. RADIOGRAPHIC EVALUATION OF THE AC JOINT Stress Views of the Distal Clavicle & AC Joint
  • 20.
    RADIOGRAPHIC EVALUATION OFTHE ACROMIOCLAVICULAR JOINT • Proper exposure of the AC joint requires one-third to one-half the x-ray penetration of routine shoulder views • Initial Views: • Anteroposterior view • Zanca view (15 degree cephalic tilt) • Other views: • Axillary: demonstrates anterior-posterior displacement • Stress views: not generally relevant for treatment decisions.
  • 21.
    CLASSIFICATION Initially classified byboth Allman and Tossy et al. into three types (I, II, and III). Rockwood later added types IV, V, and VI, so that now six types are recognized. Classified depending on the degree and direction of displacement of the distal clavicle.
  • 22.
  • 23.
    TREATMENT OPTIONS TYPES I- II ACROMIOCLAVICULAR JOINT INJURIES Non-operative treatment • Ice and protection until pain subsides (7 to 10 days). • Return to sports as pain allows (1-2 weeks) • No apparent benefit to the use of specialized braces. (Type II) operative treatment • Generally reserved only for the patient with chronic pain. • Treatment is resection of the distal clavicle and reconstruction of the coracoclavicular ligaments.
  • 24.
    TREATMENT OPTIONS TYPE III-VIACROMIOCLAVICULAR JOINT INJURIES • Nonoperative treatment • Closed reduction and application of a sling and harness to maintain reduction of the clavicle • Short-term sling and early range of motion • Operative treatment • Primary AC joint fixation • Primary CC ligament reconstruction (usually with allograft, often with augmentation) • Excision of the distal clavicle • Dynamic muscle transfers
  • 25.
    Type III Injuries** • Need for acute surgical treatment remains very controversial. • Most surgeons recommend conservative treatment except in the throwing athlete or overhead worker. • Repair generally avoided in contact athletes because of the risk of reinjury.
  • 26.
    LITERATURE UNABLE TOSUPPORT OPERATIVE OR NONOPERATIVE TREATMENT AS SUPERIOR • Functional outcomes appear similar. • Cosmesis not different (scar vs bump) • Only 50% of surgical cases reduced at follow-up. • 10% complications after surgery. Ceccarelli et al. J Orthopaed Traumatol 2008;9:105-108.
  • 27.
    INDICATIONS FOR ACUTESURGICAL TREATMENT OF ACROMIOCLAVICULAR INJURIES • Type III injuries in highly active patients • Type IV, V, and VI injuries
  • 28.
    SURGICAL OPTIONS FORAC JOINT INSTABILITY • Coracoid process transfer to distal transfer (Dynamic muscle transfer) • Primary AC joint fixation • Primary Coracoclavicular Fixation • CC ligament reconstruction +/- distal clavicle excision.
  • 29.
    WEAVER-DUNN PROCEDURE • Thedistal clavicle is excised. • The CA ligament is transferred to the distal clavicle. • The CC ligaments are repaired and/or augmented with a coracoclavicular screw or suture. • Repair of deltotrapezial fascia From Nuber GW and Bowen MK, JAAOS, 5:11, 1997
  • 30.
    INDICATIONS FOR LATESURGICAL TREATMENT OF ACROMIOCLAVICULAR INJURIES • Pain • Weakness • Deformity TECHNIQUES • Reduction of AC joint and repair of AC and CC ligaments • Resection of distal clavicle and reconstruction of CC ligaments (Weaver-Dunn Procedure)
  • 31.
    THIS PATIENT • Adviceคนไข้ ขอลอง conservative (ปฏิเสธการผ่าตัด) • On arm sling • Pain control – Tramadol, Paracetamol • นัด follow up 9/1/60 + film