Acromioclavicular and
Sternoclavicular Joint Injuries
Presentor : Dr Sushil Pokhrel
Orthopeadics resident( T U)
Anatomy of AC Joint
Acromion process :
lateral apex of the triangle
S,A,L S,M,P
20° Gliding
Biceps,coracobarchilais ,pectoralis
Minor,CH ligament
Epidemology
• 40% of shoulder injuries involve the ACJ injury
• ACJ dislocations represent 12% to 15% of all
dislocations of the shoulder girdle
• ACJ dislocations :8% of all joint dislocations in
the body
Mechanism of injury ACJ
Direct injury Indirect
Fig: fall onto the adducted upper limb
Pathoanatomy and classification (Roockwood)
Symptoms and Signs
• H/o trauma – Pain ,Swelling , Tendreness
• Pain aggravated by movement or loss of ROM
or maneuvers that load the upper limb
• Asymmerty , ecchymosis,abrasion : +/-
• Lateral clavicle : prominent beneath the skin &
drooping of shoulder (>grade III)
Anteroposterior stress test :+ (type II)
Type III: possible to reduce or nearly reduce by
placing the hand beneath the flexed elbow and
applying a superiorly directed force sufficient to
obliterate visible deformity. Test for DT fascia.
Type III injury Posterior displacement : clavicle grade IV
Type V injury
• Type VI injuries: the normal sloping
appearance of the superior shoulder flattens.
• Acromion becomes unusually prominent
Imaging
• Weighted-stress view of the AC joint : AP view
- maneuver to differenciate type II from III
5 kg
deltotrapezial
TYPE VI :
subacromial :- distal clavicle is in a subacromial
subcoracoid : distal clavicle displaced inferior coracoid
trapezial
T
Type II
TYPE III
TYPE IV
TYPE V
Type VI: subcoracoid
Management
Nolte et a:Optimal Management of Acromioclavicular Dislocation: Current Perspectives:Orthopedic Research and Reviews 2020:1
Non operative for type I ,II,III
• Immobilization : arm pouch sling
till pain free -usually 1-2 week
• Ice and analgesics: pain and inflammation
• Physiotherapy : periscapular muscles
strengthening
: once pain subside -2 weeks
• Heavy stresses, lifting, and contact sports
: delayed until full ROM
: no tendreness
:usually 2 to 4 weeks
follow up : 6-8 weeks
Operative treatment
• Goals :pain-free shoulder movement in a
range-of-motion arc approaching normal
• Principle : accurate reduction of the AC joint
in both coronal and sagittal plane
• Indications :
Type III : High demand patient
Type : IV,V,VI
Operative treatment
1.AC joint satabilization after reduction
2.Coraco-calvicular satbilization after reduction
3. Mixed procedure
3.Ligament reconstruction
1.JOINT STABILIZATION
1.Transarticular fixation :eg :- pins or K wires
AIM:enhance temporary reduction allowing the
native soft tissue an opportunity to heal with
the AC joint in a reduced position
1.JOINT STABILIZATION
2.AC hook plates:
more biomechanical then trasarticular
fixatation
holds clavicle in reduced position by “hooking”
under the acromion
elevating the glenohumeral joint
2.CC space stabilization
1.Extra-articular transient fixation: SCREW
provide enough stability to allow CC ligament
healing or scar formation
eg:1. Bosworth “screw suspension” technique
2. Suture or tape, cortical button, suture
anchor
3.Ligament Reconstruction:
1.CC suspension techniques:
allow for motion with less rigid construct
provide enough fixation to hold the CC
distance reduced and allow for AC- and CC-
ligament healing
Eg: Weaver and Dunn
-nonanatomic technique
-inferior biomechanically
Modified D W
3.Ligament reconstruction:
2.Anatomic coracoclavicular ligament
reconstruction (ACCR) :
principle :
1. Reconstruct both CC ligaments by anatomically
fixing a tendon graft in two clavicle tunnels
placed in the anatomic insertion site of the
conoid and trapezoid ligaments.
2. AC ligaments are reconstructed with the
remaining limb of the graft exiting the more
lateral trapezoid tunnel.
Anatomic coracoclavicular ligament
Reconstruction (ACCR)(mazzocca et al.)
Method of garft harvesting-hamestring
• Arthroscopic: .Anatomic coracoclavicular
ligament reconstruction
- done for type III and V : acute /chronic
.
In 39 patient the study concluded that, coracoclavicular ligaments reconstruction by conjoint
tendon transfer - tenodesis technique achieves excellent results and could be considered a
valid surgical option of management in acute high grade acromioclavicular dislocations
Chronic Acromioclavicular Injuries
H/O: >3 weeks
Examination :
Deformity +
Cross-arm adduction test
Paxinos test: A/P stability
Chronic Acromioclavicular Injuries
• Type I and II AC joint injuries: may develop
degenerative changes
• Analgesics
• Avoidance of painful activity or positions
• Intra-articular injection with corticosteroids
Chronic :Type I AND Type II
Mumford procedure
resection of lateral 2.5 cm
<1 cm resection recommended
LIGAMENT RECONSTRUCTIONS:
Chronic :Type III,IV,V,VI
Coracoclavicular ligament reconstruction
conoid ligament
trapeziodal laigement
Acromio-clavicular ligament
usually after distal resection of clavicle
Reconstruction of superior AC ligament
DON’T RECONSTRUCT
CC LIGAMENT
INDICATION:
REDISLOCATION
NEVIASER TECHNIQUE
ACCL reconstruction -endobutton
Arthoscopic Rconstruction
Arthoscopic :
Weaver dubb-
chuinard
With double
button fixatation
Postoperative Care
First 6 to 8 weeks:
arm pouch sling
After 8 weeks:
upright range-of-motion exercises
At 12 weeks:
or pain-free normal range of motion,
strengthening exercises
At 3 to 5 months :Weight training exercise
Anatomy of SC joint
Sternoclavicular joint injury
• Traumatic SC joint dislocation
:distraction/compression forces
:direct trauma to the joint proper
eg :seat belt,
:direct trauma to anteromedial aspect of
clavicle
• Distraction force :indirect injury to the SC joint
Mechanisms
A.compression force is applied to the posterolateral aspect of the shoulder,:posteriorly.
B:compression force is directed from the anterior position:anteriorly
Incidence of SC dislocation:-3%
Injuries Associated with Sternoclavicular Joint
Injuries :
Tracheal compression ,Pleura injury
Laceration/compression of the great vessels
Esophageal perforation/rupture , vagus nerve
Imaging
• C -Xray AP view:
• Serendipity view :
• CT scan:Investigation of choice
espically in posterior disloaction
Traumatic SC joint injury
Management
Mild (type I): Sparin
Ligaments -intact,
Joint - stable
RX: Analgesics
Ice compresson
Moderate(type II):subluxation
partially disruption: capsular, intra-articular
disk, and costoclavicular ligaments
Instability : anterior or posterior +/-
Reduced by drawing the shoulders backward
Stable:-clavicle strap - first 4 to 6 weeks
Arm sling:support shoulder
prevent motion of the arm
• For unstable or chronic subluxation :
Resection arthroplasty
Ligament reconstruction
• Severe (type III): dislocation
• Complete disruption :-
capsular ,intra-articular ligaments
dislocation of the SC joint (anterior or
posterior)
Anterior disloaction :-
• majority of surgeons would not perform an
open reduction in an acute situation even if
closed reduction failed or redislocation
occurred.
• Posterior SC dislocation:
acute :- orthopedic emergency
vascular injuries suspected:- CT
angiography
Management :-
Closed reduction :operating room
with capacity for cardiac bypass,
with cardiothoracic team available
Closed Reduction of Acute
Sternoclavicular Joint Dislocation
• Technique: Abduction Traction Technique
A.Traction is applied to the arm in an abducted
and slightly extended position.
B.anterior dislocations: direct pressure
over the medial end of the clavicle
B.posterior dislocations,: manipulate the
medial end of the clavicle with the fingers to
dislodge the clavicle from behind the
manubrium
C.posterior dislocation: a sterile towel clip to
grasp around the medial clavicle to lift it back
Adduction Traction Technique
Posterior physeal injuries:-
should be reduced when they present acutely.
Stable reduction:-
figure-of-eight dressing or calvicular barce
Immobilization - 3 to 4 weeks.
Operative indication
Anterior SC joint disloaction :
• Symptom of post-traumatic arthritis for 6 to
12 months following dislocation
• Subcortical cystic changes and
• Symptoms can be completely relieved by
injection of local anesthesia
Operative indication
Posterior sc displacement :
• Symptomatic and cannot be reduced by closed
means
physeal separations eg the type II Salter–Harris
fracture
• Chronic :>48 hours closed reduction becomes
less likely to succeed
• Complications: late thoracic outlet syndrome,
late and significant vascular problems, respiratory
compromise, and dyspnea on exertion
Reconstruction Techniques of the SC joint
• Local Tendon Transfers :
to recreate anterior SC ligament
- Subclavius Tendon
- Sternocleidomastoid Tendon
Reconstruction Techniques of the SC
joint
sc/costoclavicular ligament reconstruction
Autograft
Allograft
biomechanically
figure of“8 “
has better result
Reconstruction Techniques of the
SC joint
Using Synthetic Materials :
• suture anchors
• nonabsorbable synthetic ligament
• combined suture-ligament constructs
Reconstruction of sc ligament
with suture anchor
Open Reduction and Internal Fixation
Interpositional Arthroplasty:
graft is placed within a bony trough created
after medial clavicle excision and fixed
• Resection of the Medial Clavicle (With and
Without Costoclavicular Ligament
Reconstruction)
usually done for post trauma OA
medial clavicle of no more than 1 cm in men
and 0.9 cm in women
Post op care
• Shoulder sling : 6 weeks
• Active range of motion of the hand, wrist, and
elbow and passive shoulder exercises below
the horizontal plane (e.g.pendulum)
• After 6-week : active-assisted shoulder range
of motion exercises in all planes
• After 3 months: progressive strengthening
program begins

Acromioclavicular and sternoclaviculr injuries

  • 1.
    Acromioclavicular and Sternoclavicular JointInjuries Presentor : Dr Sushil Pokhrel Orthopeadics resident( T U)
  • 2.
    Anatomy of ACJoint Acromion process : lateral apex of the triangle S,A,L S,M,P 20° Gliding Biceps,coracobarchilais ,pectoralis Minor,CH ligament
  • 3.
    Epidemology • 40% ofshoulder injuries involve the ACJ injury • ACJ dislocations represent 12% to 15% of all dislocations of the shoulder girdle • ACJ dislocations :8% of all joint dislocations in the body
  • 4.
    Mechanism of injuryACJ Direct injury Indirect Fig: fall onto the adducted upper limb
  • 5.
  • 6.
    Symptoms and Signs •H/o trauma – Pain ,Swelling , Tendreness • Pain aggravated by movement or loss of ROM or maneuvers that load the upper limb • Asymmerty , ecchymosis,abrasion : +/- • Lateral clavicle : prominent beneath the skin & drooping of shoulder (>grade III)
  • 7.
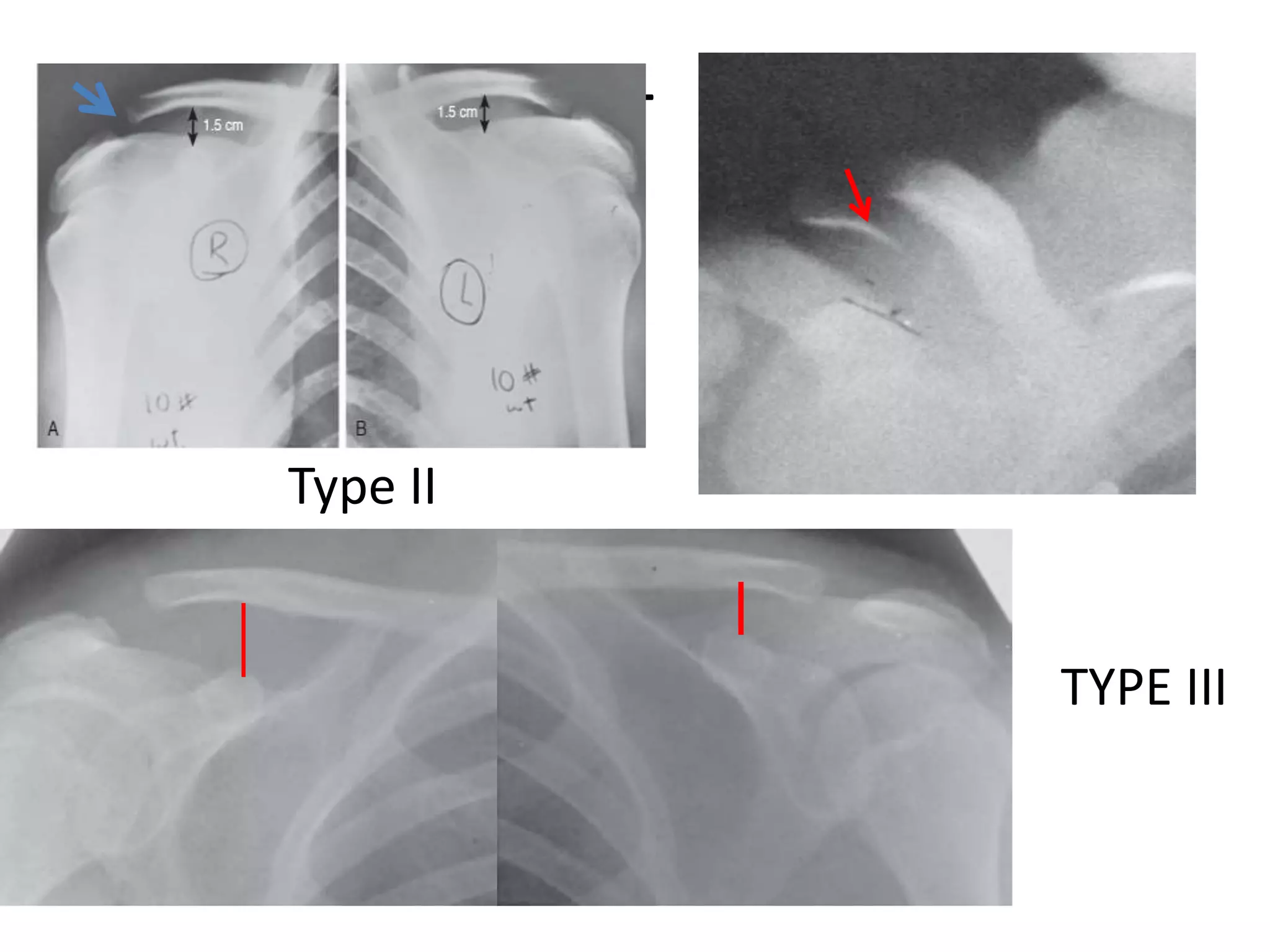
    Anteroposterior stress test:+ (type II) Type III: possible to reduce or nearly reduce by placing the hand beneath the flexed elbow and applying a superiorly directed force sufficient to obliterate visible deformity. Test for DT fascia.
  • 8.
    Type III injuryPosterior displacement : clavicle grade IV Type V injury
  • 9.
    • Type VIinjuries: the normal sloping appearance of the superior shoulder flattens. • Acromion becomes unusually prominent
  • 10.
  • 11.
    • Weighted-stress viewof the AC joint : AP view - maneuver to differenciate type II from III 5 kg
  • 12.
    deltotrapezial TYPE VI : subacromial:- distal clavicle is in a subacromial subcoracoid : distal clavicle displaced inferior coracoid trapezial
  • 13.
  • 14.
  • 15.
  • 16.
    Management Nolte et a:OptimalManagement of Acromioclavicular Dislocation: Current Perspectives:Orthopedic Research and Reviews 2020:1
  • 17.
    Non operative fortype I ,II,III • Immobilization : arm pouch sling till pain free -usually 1-2 week • Ice and analgesics: pain and inflammation • Physiotherapy : periscapular muscles strengthening : once pain subside -2 weeks
  • 18.
    • Heavy stresses,lifting, and contact sports : delayed until full ROM : no tendreness :usually 2 to 4 weeks follow up : 6-8 weeks
  • 19.
    Operative treatment • Goals:pain-free shoulder movement in a range-of-motion arc approaching normal • Principle : accurate reduction of the AC joint in both coronal and sagittal plane • Indications : Type III : High demand patient Type : IV,V,VI
  • 20.
    Operative treatment 1.AC jointsatabilization after reduction 2.Coraco-calvicular satbilization after reduction 3. Mixed procedure 3.Ligament reconstruction
  • 21.
    1.JOINT STABILIZATION 1.Transarticular fixation:eg :- pins or K wires AIM:enhance temporary reduction allowing the native soft tissue an opportunity to heal with the AC joint in a reduced position
  • 22.
    1.JOINT STABILIZATION 2.AC hookplates: more biomechanical then trasarticular fixatation holds clavicle in reduced position by “hooking” under the acromion elevating the glenohumeral joint
  • 23.
    2.CC space stabilization 1.Extra-articulartransient fixation: SCREW provide enough stability to allow CC ligament healing or scar formation eg:1. Bosworth “screw suspension” technique 2. Suture or tape, cortical button, suture anchor
  • 24.
    3.Ligament Reconstruction: 1.CC suspensiontechniques: allow for motion with less rigid construct provide enough fixation to hold the CC distance reduced and allow for AC- and CC- ligament healing Eg: Weaver and Dunn -nonanatomic technique -inferior biomechanically
  • 25.
  • 26.
    3.Ligament reconstruction: 2.Anatomic coracoclavicularligament reconstruction (ACCR) : principle : 1. Reconstruct both CC ligaments by anatomically fixing a tendon graft in two clavicle tunnels placed in the anatomic insertion site of the conoid and trapezoid ligaments. 2. AC ligaments are reconstructed with the remaining limb of the graft exiting the more lateral trapezoid tunnel.
  • 27.
  • 28.
    Method of garftharvesting-hamestring
  • 29.
    • Arthroscopic: .Anatomiccoracoclavicular ligament reconstruction - done for type III and V : acute /chronic
  • 30.
    . In 39 patientthe study concluded that, coracoclavicular ligaments reconstruction by conjoint tendon transfer - tenodesis technique achieves excellent results and could be considered a valid surgical option of management in acute high grade acromioclavicular dislocations
  • 31.
    Chronic Acromioclavicular Injuries H/O:>3 weeks Examination : Deformity + Cross-arm adduction test Paxinos test: A/P stability
  • 32.
    Chronic Acromioclavicular Injuries •Type I and II AC joint injuries: may develop degenerative changes • Analgesics • Avoidance of painful activity or positions • Intra-articular injection with corticosteroids
  • 33.
    Chronic :Type IAND Type II Mumford procedure resection of lateral 2.5 cm <1 cm resection recommended
  • 34.
    LIGAMENT RECONSTRUCTIONS: Chronic :TypeIII,IV,V,VI Coracoclavicular ligament reconstruction conoid ligament trapeziodal laigement Acromio-clavicular ligament usually after distal resection of clavicle
  • 35.
    Reconstruction of superiorAC ligament DON’T RECONSTRUCT CC LIGAMENT INDICATION: REDISLOCATION NEVIASER TECHNIQUE
  • 36.
  • 39.
    Arthoscopic Rconstruction Arthoscopic : Weaverdubb- chuinard With double button fixatation
  • 40.
    Postoperative Care First 6to 8 weeks: arm pouch sling After 8 weeks: upright range-of-motion exercises At 12 weeks: or pain-free normal range of motion, strengthening exercises At 3 to 5 months :Weight training exercise
  • 41.
  • 43.
    Sternoclavicular joint injury •Traumatic SC joint dislocation :distraction/compression forces :direct trauma to the joint proper eg :seat belt, :direct trauma to anteromedial aspect of clavicle • Distraction force :indirect injury to the SC joint
  • 44.
    Mechanisms A.compression force isapplied to the posterolateral aspect of the shoulder,:posteriorly. B:compression force is directed from the anterior position:anteriorly
  • 45.
    Incidence of SCdislocation:-3% Injuries Associated with Sternoclavicular Joint Injuries : Tracheal compression ,Pleura injury Laceration/compression of the great vessels Esophageal perforation/rupture , vagus nerve
  • 46.
    Imaging • C -XrayAP view: • Serendipity view :
  • 47.
    • CT scan:Investigationof choice espically in posterior disloaction
  • 49.
  • 50.
    Management Mild (type I):Sparin Ligaments -intact, Joint - stable RX: Analgesics Ice compresson
  • 51.
    Moderate(type II):subluxation partially disruption:capsular, intra-articular disk, and costoclavicular ligaments Instability : anterior or posterior +/- Reduced by drawing the shoulders backward
  • 52.
    Stable:-clavicle strap -first 4 to 6 weeks Arm sling:support shoulder prevent motion of the arm • For unstable or chronic subluxation : Resection arthroplasty Ligament reconstruction
  • 53.
    • Severe (typeIII): dislocation • Complete disruption :- capsular ,intra-articular ligaments dislocation of the SC joint (anterior or posterior)
  • 54.
    Anterior disloaction :- •majority of surgeons would not perform an open reduction in an acute situation even if closed reduction failed or redislocation occurred.
  • 55.
    • Posterior SCdislocation: acute :- orthopedic emergency vascular injuries suspected:- CT angiography Management :- Closed reduction :operating room with capacity for cardiac bypass, with cardiothoracic team available
  • 56.
    Closed Reduction ofAcute Sternoclavicular Joint Dislocation • Technique: Abduction Traction Technique A.Traction is applied to the arm in an abducted and slightly extended position. B.anterior dislocations: direct pressure over the medial end of the clavicle B.posterior dislocations,: manipulate the medial end of the clavicle with the fingers to dislodge the clavicle from behind the manubrium C.posterior dislocation: a sterile towel clip to grasp around the medial clavicle to lift it back
  • 57.
  • 58.
    Posterior physeal injuries:- shouldbe reduced when they present acutely. Stable reduction:- figure-of-eight dressing or calvicular barce Immobilization - 3 to 4 weeks.
  • 59.
    Operative indication Anterior SCjoint disloaction : • Symptom of post-traumatic arthritis for 6 to 12 months following dislocation • Subcortical cystic changes and • Symptoms can be completely relieved by injection of local anesthesia
  • 60.
    Operative indication Posterior scdisplacement : • Symptomatic and cannot be reduced by closed means physeal separations eg the type II Salter–Harris fracture • Chronic :>48 hours closed reduction becomes less likely to succeed • Complications: late thoracic outlet syndrome, late and significant vascular problems, respiratory compromise, and dyspnea on exertion
  • 61.
    Reconstruction Techniques ofthe SC joint • Local Tendon Transfers : to recreate anterior SC ligament - Subclavius Tendon - Sternocleidomastoid Tendon
  • 62.
    Reconstruction Techniques ofthe SC joint sc/costoclavicular ligament reconstruction Autograft Allograft biomechanically figure of“8 “ has better result
  • 63.
    Reconstruction Techniques ofthe SC joint Using Synthetic Materials : • suture anchors • nonabsorbable synthetic ligament • combined suture-ligament constructs Reconstruction of sc ligament with suture anchor
  • 64.
    Open Reduction andInternal Fixation Interpositional Arthroplasty: graft is placed within a bony trough created after medial clavicle excision and fixed
  • 65.
    • Resection ofthe Medial Clavicle (With and Without Costoclavicular Ligament Reconstruction) usually done for post trauma OA medial clavicle of no more than 1 cm in men and 0.9 cm in women
  • 67.
    Post op care •Shoulder sling : 6 weeks • Active range of motion of the hand, wrist, and elbow and passive shoulder exercises below the horizontal plane (e.g.pendulum) • After 6-week : active-assisted shoulder range of motion exercises in all planes • After 3 months: progressive strengthening program begins