EVERSE SHOULDER ARTHROPLASTY
Gonzalo Samitier MD, PhD
HFHS Sports Medicine Fellow
NO INTEREST CONFLICT
1917 - 2011
“… outcomes of shoulder
arthroplasty were poorer when
the rotator cuff was not
functional"
Charles S. Neer
Rocking horse phenomenon
"Rocking horse phenomenon"
ROTATOR CUFF ARTHROPATHY
"If at first the idea is not absurd, then there is no hope
for it."
"Get a good idea and stay with it. Dog it, and
work at it until it’s done right."
- Walt Disney
Grammont Type Reverse
(France 1987)
Grammont P, Trouilloud P, Laffay JP, et al. Etude et realisation d’unenouvelle
prothe`sed’e`paule.Rheumatologie. 1987;39:407–418. [French]
EARLY RESULTS
Sirveaux JBJS Br 2004 – Delta III
• 80 shoulders
• 44 mo f/u average
• 92.5% satisfied
• Elevation improved 73 to 138
• 64% scapular notching
Frankle et al JBJS Aug 2005 – Encore RSP
• 60 shoulders
• 33 mo f/u
• 95% satis
• Elevation improved 55 to 105
• No scapular notching
Increasing Indications, complications
and … Imitations
INDICATIONS RSA
• Cuff Tear Arthropathy (CTA)
• Irreparable Massive cuff tear in elderly
• Osteoarthritis with cuff tear in elderly
• Proximal humerus malunion/nonunion of Tuberosities
• Acute proximal humerus fractures in elderly??
• Revision TSA – loose glenoid or failed cuff
• Old infection (infection cleared)
• Inflammatory arthritis with severe cuff deficiency
• Tumor resection
• Others
“… symptomatic shoulder with rotator cuff
non functional"
DESIGNS
PROBLEMS & COMPLICATIONS RSA
• Scapular notching 35.4%
• Instability 4.7%
• Infection 3.8%
• Glenoid loosening 3.5%
• Hematoma
• Acromial insufficiency fracture 1.5%
• Humeral loosening 1.3%
• Humerus fx 1.4%
• Neuropraxia 1.2%
• Glenoid disassembly Humeral disassembly
• Polyethylene dislocation
Matthias A. Zumstein, MDa,b, Miguel Pinedo, MDa,d, Jason Old, MD, FRCSCa,c, Pascal
Boileau, MDa,* Problems, complications, reoperations, and revisions in reverse total
shoulder arthroplasty: A systematic review. J Shoulder Elbow Surg (2011) 20, 146-157
• Problems 44%
• Complications 24%
• Reoperations 3.5%
• Revisions after 10%.
Matthias A. Zumstein, MDa,b, Miguel Pinedo, MDa,d, Jason Old, MD, FRCSCa,c, Pascal
Boileau, MDa,* Problems, complications, reoperations, and revisions in reverse total
shoulder arthroplasty: A systematic review. J Shoulder Elbow Surg (2011) 20, 146-157
PROBLEMS & COMPLICATIONS RSA
Lieven F de Wilde, Didier Poncet, Bart Middernacht, and Anders Ekelund
Prosthetic overhang is the most effective way to prevent scapular conflict in a
reverse total shoulder prosthesis. Acta Orthopaedica 2010; 81 (6): 719–726
RESULTS
Smith CD, Guyver P, Bunker TD. Indications for reverse shoulder replacement: a
systematic review. J Bone Joint Surg Br. 2012 May;94(5):577-83
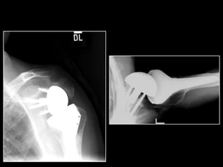
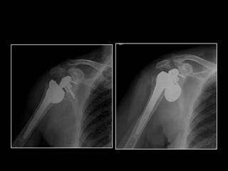
Result Reverse TSA 1 Year F/U
Result after irreparable RCT
SURGICAL TECHNIQUE
https://www.vumedi.com/video/reverse-total-shoulder-arthroplasty-technical-
note-and-results-at-uf/
MADRID
MADRID
MADRID

Reverse Shoulder Arthroplasty

  • 1.
    EVERSE SHOULDER ARTHROPLASTY GonzaloSamitier MD, PhD HFHS Sports Medicine Fellow
  • 2.
  • 3.
    1917 - 2011 “…outcomes of shoulder arthroplasty were poorer when the rotator cuff was not functional" Charles S. Neer
  • 4.
  • 7.
  • 9.
    "If at firstthe idea is not absurd, then there is no hope for it."
  • 11.
    "Get a goodidea and stay with it. Dog it, and work at it until it’s done right." - Walt Disney
  • 12.
    Grammont Type Reverse (France1987) Grammont P, Trouilloud P, Laffay JP, et al. Etude et realisation d’unenouvelle prothe`sed’e`paule.Rheumatologie. 1987;39:407–418. [French]
  • 13.
    EARLY RESULTS Sirveaux JBJSBr 2004 – Delta III • 80 shoulders • 44 mo f/u average • 92.5% satisfied • Elevation improved 73 to 138 • 64% scapular notching Frankle et al JBJS Aug 2005 – Encore RSP • 60 shoulders • 33 mo f/u • 95% satis • Elevation improved 55 to 105 • No scapular notching
  • 14.
  • 15.
    INDICATIONS RSA • CuffTear Arthropathy (CTA) • Irreparable Massive cuff tear in elderly • Osteoarthritis with cuff tear in elderly • Proximal humerus malunion/nonunion of Tuberosities • Acute proximal humerus fractures in elderly?? • Revision TSA – loose glenoid or failed cuff • Old infection (infection cleared) • Inflammatory arthritis with severe cuff deficiency • Tumor resection • Others “… symptomatic shoulder with rotator cuff non functional"
  • 17.
  • 18.
    PROBLEMS & COMPLICATIONSRSA • Scapular notching 35.4% • Instability 4.7% • Infection 3.8% • Glenoid loosening 3.5% • Hematoma • Acromial insufficiency fracture 1.5% • Humeral loosening 1.3% • Humerus fx 1.4% • Neuropraxia 1.2% • Glenoid disassembly Humeral disassembly • Polyethylene dislocation Matthias A. Zumstein, MDa,b, Miguel Pinedo, MDa,d, Jason Old, MD, FRCSCa,c, Pascal Boileau, MDa,* Problems, complications, reoperations, and revisions in reverse total shoulder arthroplasty: A systematic review. J Shoulder Elbow Surg (2011) 20, 146-157
  • 19.
    • Problems 44% •Complications 24% • Reoperations 3.5% • Revisions after 10%. Matthias A. Zumstein, MDa,b, Miguel Pinedo, MDa,d, Jason Old, MD, FRCSCa,c, Pascal Boileau, MDa,* Problems, complications, reoperations, and revisions in reverse total shoulder arthroplasty: A systematic review. J Shoulder Elbow Surg (2011) 20, 146-157 PROBLEMS & COMPLICATIONS RSA
  • 26.
    Lieven F deWilde, Didier Poncet, Bart Middernacht, and Anders Ekelund Prosthetic overhang is the most effective way to prevent scapular conflict in a reverse total shoulder prosthesis. Acta Orthopaedica 2010; 81 (6): 719–726
  • 28.
    RESULTS Smith CD, GuyverP, Bunker TD. Indications for reverse shoulder replacement: a systematic review. J Bone Joint Surg Br. 2012 May;94(5):577-83
  • 30.
  • 31.
  • 32.
  • 33.
  • 34.
  • 35.