15/4/2006Dr. Mahmoud Abdel-Aleem, 2012
Abnormal Uterine Bleeding
Dr. Mahmoud A. Abdel-Aleem
Diploma of Reproductive Medicine,
Geneva University, Suiss.
M.D. Obstetrics and Gynecology.
Assiut University.
15/4/2006Dr. Mahmoud Abdel-Aleem, 2006
Mechanism Of Normal
Menstruation
15/4/2006Dr. Mahmoud Abdel-Aleem, 2006
Menstruation occurs as a universal endometrial event following the
withdrawal of estrogen and progesterone subsequent to a normal
ovulatory cycle.
1. Phase of vasoconstriction:
i. The first morphological effect is shrinkage of the
tissue due to spiral arteriole vasoconstriction,
probably predominantly under the effect of PGF2a,
leading to reduced blood Flow.
ii. The arterioles undergo episodic vasoconstriction and
relaxation leading to endometrial ischaemia and
reperfusion damage leading to local release of a
range of cytokines.
iii. The vasoconstriction process is limited
predominantly to the first 24 h.
15/4/2006Dr. Mahmoud Abdel-Aleem, 2006
2. Phase of shedding:
i. With further shrinkage, a variable
quantity of the functional layer breaks
down into fragments which are shed into
the cavity and expelled.
ii. A variable quantity of blood and tissue
Fluid is also lost during this process.
15/4/2006Dr. Mahmoud Abdel-Aleem, 2006
3. Phase of clotting:
i. Fibrin generation is an essential part of
normal blood clotting, and is stimulated in
endometrium.
ii. The balance between generation of
coagulation factors, to control bleeding, and
fibrinolysis, to prevent clot organisation and
intrauterine adhesions, shifts from being
haemostatic in the secretory phase to be
fibrinolytic during menstruation.
15/4/2006Dr. Mahmoud Abdel-Aleem, 2006
Causes of AUB
15/4/2006Dr. Mahmoud Abdel-Aleem, 2006
• Systemic disease: conditions of impaired
hemostasis.
• Congenital:
• Traumatic:
• Inflammatory:
• Neoplasms:
• Causes of pelvic congestion: myoma,
prolapsed ovaries, uterine prolapse, chronic
PID, R.V.F, chronic cervicitis.
15/4/2006Dr. Mahmoud Abdel-Aleem, 2006
• Complication of early pregnancy:
• Iatrogenic:
• Dysfunctional: diagnosis by exclusion; it is
the abnormal uterine bleeding in the
absence of organic lesion, genital or extra
genital.
15/4/2006Dr. Mahmoud Abdel-Aleem, 2006
Types of AUB
15/4/2006Dr. Mahmoud Abdel-Aleem, 2006
How to know that the patient is having abnormal
uterine bleeding?
1.Bleeding away from the normal menses.
2.Menses lasting ≥8 days .
3.Menses occurring at intervals of ≤3 weeks.
4.Menses requiring more sanitary pads “> 2-3/ day"
5.Pallor" clinical sign " or anemia" laboratory term".
6.Flooding of blood.
7.Passage of blood clots " because the amount of
blood is more than the capacity of the fibrinolytic
system of the endometrium".
15/4/2006Dr. Mahmoud Abdel-Aleem, 2006
Metrrorhagia
Organic Dysfunctional
PolymenorrheaMenorrhagia
Regular=
Ovular=
Cyclic
Clinical Types of AUB
Irregular=
Anovular=
Acyclic
15/4/2006Dr. Mahmoud Abdel-Aleem, 2006
• Polymenorrhea: period occurs every less than 3
weeks.
• Menorrhagia: regular cyclic heavy "requiring
more daily sanitary pads "and /or prolonged
periods “lasting for 8 days or more".
• Polymenorrhagia: combination of the above 2
types.
• Metrorrhagia.
• Intermenstrual bleeding: bleeding of variable
amounts occurring between regular menstrual
periods.
• Postcoital (contact) bleeding: bleeding occurring
after intercourse.
• Postmenopausal bleeding.
15/4/2006Dr. Mahmoud Abdel-Aleem, 2006
Dysfunctional Uterine
Bleeding
15/4/2006Dr. Mahmoud Abdel-Aleem, 2006
• Definition:
• Types:
–Ovulatory bleeding:
• Polymenorrhea.
• Menorrhagia.
–Anovulatory bleeding:
• Metropathia hemorrhagica.
• Threshold bleeding.
15/4/2006Dr. Mahmoud Abdel-Aleem, 2006
• Diagnosis:
Obtain a good history
&
Perform meticulous general and local
examination
&
Do appropriate investigations
Because
The
aimis
to
exclude
all possible
causes
15/4/2006Dr. Mahmoud Abdel-Aleem, 2006
History and Physical findings
• Assessment of menstrual blood loss
A- Methods proved to be of little value:
– History:
– The number of sanitary pads or tampons
used.
– The duration of bleeding.
– Hemoglobin concentration: as women with
true menorrhagia may not necessarily drop
Hb their, as losses of 800–1000 ml can occur
without anemia.
15/4/2006Dr. Mahmoud Abdel-Aleem, 2006
B- Semi-quantitative methods:
• Pictorial blood loss assessment chart (PBAC):
C- Quantitative methods:
• Noninvasive ‘alkaline hematin method’, where sanitary devices are
soaked in 5% sodium hydroxide to convert the blood to alkaline
hematin and optical density is measured.
• Weighing technique:
Ovulatory or non-ovulatory: Cyclic, predictable menses every 21-35
days are usually associated with ovulation, whereas anovulatory
bleeding is typically irregular in timing and flow, and is often
interspersed with episodes of amenorrhea.
Exclude coagulopathy: congenital or acquired coagulopathy by
reviewing the medical and family history.
Bimanual examination: A careful bimanual examination of the corpus
should be performed, seeking evidence of pregnancy, adenomyosis
and leiomyomas, as well as findings that are suggestive of an
adnexal mass or an ectopic gestation.
15/4/2006Dr. Mahmoud Abdel-Aleem, 2006
• Laboratory investigation
–Hemoglobin.
–Hematocrit.
–Urinary (or serum) b-human chorionic
gonadotropin levels
–Coagulation profile
–Serum assay for progesterone
–Anovulatory patients:
• TSH assay
• Serum prolactin.
• Serum free testosterone.
15/4/2006Dr. Mahmoud Abdel-Aleem, 2006
• Evaluation of the endometrial cavity
• Histologic assessment:
– Recommended as an initial part of the investigation in
women with AUB who are >40 years, or in women of
any age with chronic anovulation.
– Office endometrial sampling with narrow disposable
catheters has generally been demonstrated to be
equivalent to the so-called `formal' dilatation and
curettage, utilizing dilators and sharp curettes.
– It is indicated for:
• All women with abnormal bleeding aged more than 40 years
and in women who are at increased risk of endometrial
cancer. Risk factors include nulliparity with a history of
infertility, obesity (>90 kg), a family history of
endometrial or colonic cancer, abnormal PAP-smear and
tamoxifen therapy.
15/4/2006Dr. Mahmoud Abdel-Aleem, 2006
• Younger women:
– if abnormal bleeding does not resolve with medical
treatment.
– In polycystic ovary syndrome in which endometrial
hyperplasia is more common, endometrial
assessment may be necessary if abnormal bleeding
is a presenting feature, or unusual sonographic
endometrial appearances are discovered.
15/4/2006Dr. Mahmoud Abdel-Aleem, 2006
15/4/2006Dr. Mahmoud Abdel-Aleem, 2006
• Imaging
– TVS: it is a suitable screening test for
evaluation of the endometrial cavity.
• Timing: should be performed after menstruation in
the follicular phase of the menstrual cycle.
• Value:
– Sonohysterography is the sonographic
evaluation of the endometrial cavity following
the transcervical instillation of saline, an
approach that has comparable results for
structural anomalies of the endometrial cavity to
those of hysteroscopy.
– Radiographic hysterography is less accurate
than hysteroscopy for cavity evaluation.
15/4/2006Dr. Mahmoud Abdel-Aleem, 2006
15/4/2006Dr. Mahmoud Abdel-Aleem, 2006
15/4/2006Dr. Mahmoud Abdel-Aleem, 2006
• Hysteroscopy:
– Hysteroscopy and biopsy is indicated for
women with erratic menstrual bleeding, failed
medical therapy, or transvaginal ultrasound
suggestive of intrauterine pathology such as
polyps or submucous fibroids.
– Diagnostic hysteroscopy can be performed
either as an outpatient procedure without
anesthetic or as a formal theater procedure.
15/4/2006Dr. Mahmoud Abdel-Aleem, 2006
Individual types of
AUB
15/4/2006Dr. Mahmoud Abdel-Aleem, 2006
POLYMENORRHEA
• The uterus is likely to be normal and the error is in the
ovary.
• If affecting the luteal phase , it is due to poor function of
the corpus luteum" i.e. the premenstrual endometrial
biopsy shows lagging secretory endometrium.
• Common causes:
– Dysfunctional: common cause: LPD.
– Organic: Pelvic Congestion Syndrome, because they reduce life
span of the corpus luteum.
• Diagnosis:
– Clinical examination: to exclude organic causes.
– U.S. an aid to exclude organic causes.
• Management:
– Organic: of the cause.
– Dysfunctional: hormonal treatment.
15/4/2006Dr. Mahmoud Abdel-Aleem, 2006
MENORRHAGIA
• May be due to:
– Increased surface area of the endometrium.
– Pelvic congestion.
– Conditions of impaired hemostasis.
– Dysfunctional:
Poor C.L. Persistent C.L.
--->inadequate hormonal support to
the endometrium ---> premature
shedding of the endometrium --->
premenstrual spotting.
D&C: lagging secretory endometrium
and low progesterone levels during
the luteal phase.
Incomplete and slow degeneration of
C.L. ----> delayed shedding of the
endometrium  postmenstrual
spotting.
D&C: mixed endometrium "patchy
progestational endometrium in a
proliferative endometrium".
15/4/2006Dr. Mahmoud Abdel-Aleem, 2006
• Diagnosis:
– Clinical examination:
– U.S. and sonohysterography :an aid to exclude
organic causes.
– Hysteroscopy.
– D&C.
• Treatment:
– Organic: treatment of the cause.
– Dysfunctional:
• First type: hormonal treatment: progesterone 15th
-25th day of the cycle.
• Second type: difficult; hormonal treatment:
suppression of ovulation.
15/4/2006Dr. Mahmoud Abdel-Aleem, 2006
Metrorrhagia
May be due to:
• Organic:
• Dysfunctional:
15/4/2006Dr. Mahmoud Abdel-Aleem, 2006
Threshold bleeding Metropathia Hemorrhagica
[Shroider disease]
Ovarian underactivity.
Flat ovary.
Atrophic endometrium.
Low FSH.
Low estrogen.
Common at extremes.
TTT: sequential O&P
Ovarian hyperactivity.
Cystic ovary.
Thickened endometrium.
No LH surge.
High estrogen.
Common at extremes.
TTT: suppression
O
n-O
ffbleeding
A
m
enorrhea
Painless
vaginal bleeding
15/4/2006Dr. Mahmoud Abdel-Aleem, 2006
Treatment of DUB
15/4/2006Dr. Mahmoud Abdel-Aleem, 2006
Aim of therapy
1. Control of bleeding.
2. Achieve regular cycles.
3. Induction of ovulation if there is infertility
15/4/2006Dr. Mahmoud Abdel-Aleem, 2006
General Lines
• Reassurance.
• Iron and vitamin c.
• Blood transfusion if there is a need for it
(Hb <6gm% or acute attack causing
hemodynamic instability).
15/4/2006Dr. Mahmoud Abdel-Aleem, 2006
Medical Treatment
A- Non-Hormonal
Antifibrinolytic
drugs
Capillary
stabilizers
Anti-PGs
Tranexamic acid Daflon Mefenamic acid
15/4/2006Dr. Mahmoud Abdel-Aleem, 2006
B- Hormonal
Acute attacks
Estrogen
therapy
High- dose
E&P therapy
[Medical curettage]
Oral- IV Oral - Parenteral
15/4/2006Dr. Mahmoud Abdel-Aleem, 2006
B- Hormonal
Chronic Attacks
Ovular Bleeding Anovular bleeding
Endometrial
Support
Suppression
Polymenorrhea
Menorrhagia [I]
Menorrhagia [II]
M. Hgica
Threshold
bleeding
Follicular Cyst
Corpus Luteum
Endometrial
Building
Induction of ovulation
15/4/2006Dr. Mahmoud Abdel-Aleem, 2006
Surgical
Treatment
D&C
Hysteroscopy Hysterectomy
Diagnostic DiagnosticTherapeutic Therapeutic
Radiotherapy
ZER
O
15/4/2006Dr. Mahmoud Abdel-Aleem, 2006
Postmenopausal Bleeding
• Definition:
• Causes:
• The most common is-----------
• The most risky is----------
• All women should be subjected to:
– TVS
– Endometrial assessment.
15/4/2006Dr. Mahmoud Abdel-Aleem, 2006
THANK YOU FOR
YOUR
ATTENTION

Abnormal uterine bleeding

  • 1.
    15/4/2006Dr. Mahmoud Abdel-Aleem,2012 Abnormal Uterine Bleeding Dr. Mahmoud A. Abdel-Aleem Diploma of Reproductive Medicine, Geneva University, Suiss. M.D. Obstetrics and Gynecology. Assiut University.
  • 2.
    15/4/2006Dr. Mahmoud Abdel-Aleem,2006 Mechanism Of Normal Menstruation
  • 3.
    15/4/2006Dr. Mahmoud Abdel-Aleem,2006 Menstruation occurs as a universal endometrial event following the withdrawal of estrogen and progesterone subsequent to a normal ovulatory cycle. 1. Phase of vasoconstriction: i. The first morphological effect is shrinkage of the tissue due to spiral arteriole vasoconstriction, probably predominantly under the effect of PGF2a, leading to reduced blood Flow. ii. The arterioles undergo episodic vasoconstriction and relaxation leading to endometrial ischaemia and reperfusion damage leading to local release of a range of cytokines. iii. The vasoconstriction process is limited predominantly to the first 24 h.
  • 4.
    15/4/2006Dr. Mahmoud Abdel-Aleem,2006 2. Phase of shedding: i. With further shrinkage, a variable quantity of the functional layer breaks down into fragments which are shed into the cavity and expelled. ii. A variable quantity of blood and tissue Fluid is also lost during this process.
  • 5.
    15/4/2006Dr. Mahmoud Abdel-Aleem,2006 3. Phase of clotting: i. Fibrin generation is an essential part of normal blood clotting, and is stimulated in endometrium. ii. The balance between generation of coagulation factors, to control bleeding, and fibrinolysis, to prevent clot organisation and intrauterine adhesions, shifts from being haemostatic in the secretory phase to be fibrinolytic during menstruation.
  • 6.
  • 7.
    15/4/2006Dr. Mahmoud Abdel-Aleem,2006 • Systemic disease: conditions of impaired hemostasis. • Congenital: • Traumatic: • Inflammatory: • Neoplasms: • Causes of pelvic congestion: myoma, prolapsed ovaries, uterine prolapse, chronic PID, R.V.F, chronic cervicitis.
  • 8.
    15/4/2006Dr. Mahmoud Abdel-Aleem,2006 • Complication of early pregnancy: • Iatrogenic: • Dysfunctional: diagnosis by exclusion; it is the abnormal uterine bleeding in the absence of organic lesion, genital or extra genital.
  • 9.
  • 10.
    15/4/2006Dr. Mahmoud Abdel-Aleem,2006 How to know that the patient is having abnormal uterine bleeding? 1.Bleeding away from the normal menses. 2.Menses lasting ≥8 days . 3.Menses occurring at intervals of ≤3 weeks. 4.Menses requiring more sanitary pads “> 2-3/ day" 5.Pallor" clinical sign " or anemia" laboratory term". 6.Flooding of blood. 7.Passage of blood clots " because the amount of blood is more than the capacity of the fibrinolytic system of the endometrium".
  • 11.
    15/4/2006Dr. Mahmoud Abdel-Aleem,2006 Metrrorhagia Organic Dysfunctional PolymenorrheaMenorrhagia Regular= Ovular= Cyclic Clinical Types of AUB Irregular= Anovular= Acyclic
  • 12.
    15/4/2006Dr. Mahmoud Abdel-Aleem,2006 • Polymenorrhea: period occurs every less than 3 weeks. • Menorrhagia: regular cyclic heavy "requiring more daily sanitary pads "and /or prolonged periods “lasting for 8 days or more". • Polymenorrhagia: combination of the above 2 types. • Metrorrhagia. • Intermenstrual bleeding: bleeding of variable amounts occurring between regular menstrual periods. • Postcoital (contact) bleeding: bleeding occurring after intercourse. • Postmenopausal bleeding.
  • 13.
    15/4/2006Dr. Mahmoud Abdel-Aleem,2006 Dysfunctional Uterine Bleeding
  • 14.
    15/4/2006Dr. Mahmoud Abdel-Aleem,2006 • Definition: • Types: –Ovulatory bleeding: • Polymenorrhea. • Menorrhagia. –Anovulatory bleeding: • Metropathia hemorrhagica. • Threshold bleeding.
  • 15.
    15/4/2006Dr. Mahmoud Abdel-Aleem,2006 • Diagnosis: Obtain a good history & Perform meticulous general and local examination & Do appropriate investigations Because The aimis to exclude all possible causes
  • 16.
    15/4/2006Dr. Mahmoud Abdel-Aleem,2006 History and Physical findings • Assessment of menstrual blood loss A- Methods proved to be of little value: – History: – The number of sanitary pads or tampons used. – The duration of bleeding. – Hemoglobin concentration: as women with true menorrhagia may not necessarily drop Hb their, as losses of 800–1000 ml can occur without anemia.
  • 17.
    15/4/2006Dr. Mahmoud Abdel-Aleem,2006 B- Semi-quantitative methods: • Pictorial blood loss assessment chart (PBAC): C- Quantitative methods: • Noninvasive ‘alkaline hematin method’, where sanitary devices are soaked in 5% sodium hydroxide to convert the blood to alkaline hematin and optical density is measured. • Weighing technique: Ovulatory or non-ovulatory: Cyclic, predictable menses every 21-35 days are usually associated with ovulation, whereas anovulatory bleeding is typically irregular in timing and flow, and is often interspersed with episodes of amenorrhea. Exclude coagulopathy: congenital or acquired coagulopathy by reviewing the medical and family history. Bimanual examination: A careful bimanual examination of the corpus should be performed, seeking evidence of pregnancy, adenomyosis and leiomyomas, as well as findings that are suggestive of an adnexal mass or an ectopic gestation.
  • 18.
    15/4/2006Dr. Mahmoud Abdel-Aleem,2006 • Laboratory investigation –Hemoglobin. –Hematocrit. –Urinary (or serum) b-human chorionic gonadotropin levels –Coagulation profile –Serum assay for progesterone –Anovulatory patients: • TSH assay • Serum prolactin. • Serum free testosterone.
  • 19.
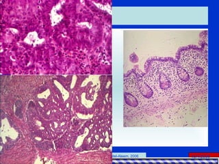
    15/4/2006Dr. Mahmoud Abdel-Aleem,2006 • Evaluation of the endometrial cavity • Histologic assessment: – Recommended as an initial part of the investigation in women with AUB who are >40 years, or in women of any age with chronic anovulation. – Office endometrial sampling with narrow disposable catheters has generally been demonstrated to be equivalent to the so-called `formal' dilatation and curettage, utilizing dilators and sharp curettes. – It is indicated for: • All women with abnormal bleeding aged more than 40 years and in women who are at increased risk of endometrial cancer. Risk factors include nulliparity with a history of infertility, obesity (>90 kg), a family history of endometrial or colonic cancer, abnormal PAP-smear and tamoxifen therapy.
  • 20.
    15/4/2006Dr. Mahmoud Abdel-Aleem,2006 • Younger women: – if abnormal bleeding does not resolve with medical treatment. – In polycystic ovary syndrome in which endometrial hyperplasia is more common, endometrial assessment may be necessary if abnormal bleeding is a presenting feature, or unusual sonographic endometrial appearances are discovered.
  • 21.
  • 22.
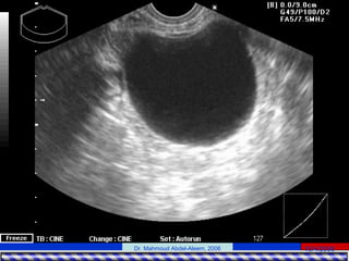
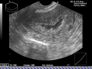
    15/4/2006Dr. Mahmoud Abdel-Aleem,2006 • Imaging – TVS: it is a suitable screening test for evaluation of the endometrial cavity. • Timing: should be performed after menstruation in the follicular phase of the menstrual cycle. • Value: – Sonohysterography is the sonographic evaluation of the endometrial cavity following the transcervical instillation of saline, an approach that has comparable results for structural anomalies of the endometrial cavity to those of hysteroscopy. – Radiographic hysterography is less accurate than hysteroscopy for cavity evaluation.
  • 23.
  • 24.
  • 25.
    15/4/2006Dr. Mahmoud Abdel-Aleem,2006 • Hysteroscopy: – Hysteroscopy and biopsy is indicated for women with erratic menstrual bleeding, failed medical therapy, or transvaginal ultrasound suggestive of intrauterine pathology such as polyps or submucous fibroids. – Diagnostic hysteroscopy can be performed either as an outpatient procedure without anesthetic or as a formal theater procedure.
  • 26.
    15/4/2006Dr. Mahmoud Abdel-Aleem,2006 Individual types of AUB
  • 27.
    15/4/2006Dr. Mahmoud Abdel-Aleem,2006 POLYMENORRHEA • The uterus is likely to be normal and the error is in the ovary. • If affecting the luteal phase , it is due to poor function of the corpus luteum" i.e. the premenstrual endometrial biopsy shows lagging secretory endometrium. • Common causes: – Dysfunctional: common cause: LPD. – Organic: Pelvic Congestion Syndrome, because they reduce life span of the corpus luteum. • Diagnosis: – Clinical examination: to exclude organic causes. – U.S. an aid to exclude organic causes. • Management: – Organic: of the cause. – Dysfunctional: hormonal treatment.
  • 28.
    15/4/2006Dr. Mahmoud Abdel-Aleem,2006 MENORRHAGIA • May be due to: – Increased surface area of the endometrium. – Pelvic congestion. – Conditions of impaired hemostasis. – Dysfunctional: Poor C.L. Persistent C.L. --->inadequate hormonal support to the endometrium ---> premature shedding of the endometrium ---> premenstrual spotting. D&C: lagging secretory endometrium and low progesterone levels during the luteal phase. Incomplete and slow degeneration of C.L. ----> delayed shedding of the endometrium  postmenstrual spotting. D&C: mixed endometrium "patchy progestational endometrium in a proliferative endometrium".
  • 29.
    15/4/2006Dr. Mahmoud Abdel-Aleem,2006 • Diagnosis: – Clinical examination: – U.S. and sonohysterography :an aid to exclude organic causes. – Hysteroscopy. – D&C. • Treatment: – Organic: treatment of the cause. – Dysfunctional: • First type: hormonal treatment: progesterone 15th -25th day of the cycle. • Second type: difficult; hormonal treatment: suppression of ovulation.
  • 30.
    15/4/2006Dr. Mahmoud Abdel-Aleem,2006 Metrorrhagia May be due to: • Organic: • Dysfunctional:
  • 31.
    15/4/2006Dr. Mahmoud Abdel-Aleem,2006 Threshold bleeding Metropathia Hemorrhagica [Shroider disease] Ovarian underactivity. Flat ovary. Atrophic endometrium. Low FSH. Low estrogen. Common at extremes. TTT: sequential O&P Ovarian hyperactivity. Cystic ovary. Thickened endometrium. No LH surge. High estrogen. Common at extremes. TTT: suppression O n-O ffbleeding A m enorrhea Painless vaginal bleeding
  • 32.
    15/4/2006Dr. Mahmoud Abdel-Aleem,2006 Treatment of DUB
  • 33.
    15/4/2006Dr. Mahmoud Abdel-Aleem,2006 Aim of therapy 1. Control of bleeding. 2. Achieve regular cycles. 3. Induction of ovulation if there is infertility
  • 34.
    15/4/2006Dr. Mahmoud Abdel-Aleem,2006 General Lines • Reassurance. • Iron and vitamin c. • Blood transfusion if there is a need for it (Hb <6gm% or acute attack causing hemodynamic instability).
  • 35.
    15/4/2006Dr. Mahmoud Abdel-Aleem,2006 Medical Treatment A- Non-Hormonal Antifibrinolytic drugs Capillary stabilizers Anti-PGs Tranexamic acid Daflon Mefenamic acid
  • 36.
    15/4/2006Dr. Mahmoud Abdel-Aleem,2006 B- Hormonal Acute attacks Estrogen therapy High- dose E&P therapy [Medical curettage] Oral- IV Oral - Parenteral
  • 37.
    15/4/2006Dr. Mahmoud Abdel-Aleem,2006 B- Hormonal Chronic Attacks Ovular Bleeding Anovular bleeding Endometrial Support Suppression Polymenorrhea Menorrhagia [I] Menorrhagia [II] M. Hgica Threshold bleeding Follicular Cyst Corpus Luteum Endometrial Building Induction of ovulation
  • 38.
    15/4/2006Dr. Mahmoud Abdel-Aleem,2006 Surgical Treatment D&C Hysteroscopy Hysterectomy Diagnostic DiagnosticTherapeutic Therapeutic Radiotherapy ZER O
  • 39.
    15/4/2006Dr. Mahmoud Abdel-Aleem,2006 Postmenopausal Bleeding • Definition: • Causes: • The most common is----------- • The most risky is---------- • All women should be subjected to: – TVS – Endometrial assessment.
  • 40.
    15/4/2006Dr. Mahmoud Abdel-Aleem,2006 THANK YOU FOR YOUR ATTENTION