Practical diagnostic approach
of
Abnormal uterine bleeding
Dr. Asaad Hashim
• AUB may be defined as any variation from the
normal menstrual cycle, and includes changes in
regularity and frequency of menses, in duration
of flow, or in amount of blood loss.
• Under the category of AUB, further definitions
may be subdivided based on volume of
menstruation, regularity, frequency, duration,
chronicity, and timing related to reproductive
status.
Tables 1.1 and 1.2 provides the terminology and descriptions
consistent with the FIGO Menstrual Disorders Working Group
consensus statement.
Differential Diagnosis
• AUB may be categorized as either organic, dysfunctional, or iatrogenic
(Table 36.1), with the frequency of the cause related to age (Table 36.2).
Therefore, diagnosis and subsequent treatment of AUB is guided by a
woman's age and menopausal status.
• In adolescent girls, anovulatory bleeding(DUB) and coagulation disorders
explain a significant proportion of AUB.
• During the reproductive years, pregnancy and anovulation are the
primary causes of AUB;
• Whereas in the perimenopause, anovulation and uterine fibroids are the
most common causes.
• AUB in a postmenopausal woman should be assumed to be due to a
malignancy until proven otherwise (e.g., by tissue sampling, hormonal
studies).
• Although the primary cause of postmenopausal bleeding is endometrial
atrophy (56%), approximately 15% will have some form of hyperplasia,
and 7% to 10% will have endometrial cancer.
How old is the patient?
The causes of abnormal uterine bleeding newly categorized by The International
Fedration of Gynecology and Obstetrics (FIGO) into a new classification system
(PALM-COEIN)
Evaluation
• The differential diagnosis of AUB can be
classified according to the suspected cause,
based on findings from the history and
physical examination.
A practical approach (step 1)
History
• Exclude the diagnosis of pregnancy first.
• Address the presence of local and systemic disease.
• Rule out the presence of signs or symptoms indicative
of bleeding disorders.
• Screening for personal and family history of easy
bruising, bleeding gums, epistaxis, and excessive
bleeding episodes during childbirth, surgery, or dental
procedures may be useful.
• Rule out iatrogenic causes of bleeding, including
bleeding secondary to steroid hormone contraception,
hormone replacement therapy, or other hormone
treatments, which are common causes.
A practical approach (step2)
Physical examination
• General: obesity {(body mass index (BMI)]?
thyroid? Pallor ? pulse? Cachexia ?
• Abdomen: palpable mass?
• Pelvis: cervical or vaginal lesion?
• Bimanual exam: uterine size
• Speculum :cervical lesion
• PR: rectum or parametrium
Physical
• The physical examination can elicit several anatomic and organic
causes of abnormal uterine bleeding.
• A complete physical examination should begin with assessment of
hemodynamic stability (vital signs) and proceed with evaluation of
the following:
• Obesity (BMI)
• Signs of androgen excess (hirsutism, acne)
• Thyroid enlargement or manifestations of hyperthyroidism or
hypothyroidism.
• Galactorrhea (may suggest hyperprolactinemia)
• Visual field deficits (raise suspicion of intracranial/pituitary lesion)
• Ecchymosis, purpura (signs of bleeding disorder)
• Signs of anemia or chronic blood loss
A practical approach (step3)
Laboratory tests
• A pregnancy test
• A full blood count test should be carried out
• Testing for coagulation disorders (von Willebrand’s
disease) should be considered
– 1. HMB since menarche
– 2. Personal or family history suggesting a coagulation
disorder.
• liver function test and thyroid function test if there
was clinical suspicion of thyroid and liver diseases
• A serum ferritin test should not routinely be carried
out
A practical approach(step 4)
investigation
• Assessment of the endometrium
– Cervical smear if sexually active and last smear
more than 1 year ago
– endometrial aspirate
– ultrasound pelvis (transvaginal) to assess
endometrial thickness
– Sonohystrography
– Hysteroscopy
– CT ,MRI for endometrial invasion
Ultrasound
US is the first-line
diagnostic tool for
identifying structural
abnormalities.
US should be
undertaken when:
1. The uterus is palpable
abdominally.
2. Vaginal exam: a pelvic
mass of uncertain origin.
3. Pharmaceutical
treatment fails.
Endometrial aspiration and U/S if
• 1. Over 40 years
• 2. high risk of endometrial carcinoma
• 3. genital tract lesion suspected
(exceptcervical polyp)
• 4. bulky uterus
• 5. previous medical treatment fail
• The most common methods of endometrial
sampling in current clinical use are
• 1-Diagnostic dilatation and curettage (D&C).
• 2-Outpatient (Pipelle) endometrial biopsy .
• 3-Hysteroscopy.
Dilatation and Curettage
• Histological characteristics of endometrial
biopsy, taken by dilatation and curettage and
assessed by light microscopy, remain the
diagnostic standard for the clinical diagnosis
of endometrial pathology and should be
considered in all women with abnormal
uterine bleeding particularly in those above
the age of (40) years, and in women who are
at increased risk of endometrial cancer
• Indeed, the initial diagnosis is made by endometrial
biopsy taken by curettage, which in itself may be
therapeutic, useful and cost effective for detecting
intrauterine pathologies and very few lesions escape
detection, however associated risks of general
anesthesia, uterine perforation, infection,
• Conversely, the outpatient endometrial biopsy or may
not sample the entire endometrium, and the areas of
greatest histological or cytological severity may thus
escape histological Identification
Adequacy issues
• Atrophic endometrium is often very scant in a
biopsy and such biopsies are still “adequate”
• Lower uterine segment or basalis
endometrium are inappropriate for
endometrial dating
The Abnormal Uterine Bleeding (AUB) biopsy
Clinical questions
• Is there any evidence of endomerial
hyperplasia, carcinoma or other neoplasia?
• Are there any other organic lesions that
would explain the bleeding, e.g gestation,
endometrial polyps, inflammation?
• Are the findings suggestive of dysfunctional
uterine bleeding?
Dysfunctional uterine bleeding(DUB)
• Dysfunctional uterine bleeding is a common diagnosis,
making up 5-10% of cases in the outpatient clinic
setting
• DUB occurs without recognizable pelvic pathology,
general medical disease, or pregnancy.
• It is considered a diagnosis of exclusion.
• It reflects a disruption in the normal cyclic pattern of
ovulatory hormonal stimulation to the endometrial
lining.
• The bleeding is unpredictable in many ways. It might
be excessively heavy or light, prolonged, frequent, or
random.
Dysfunctional uterine bleeding(DUB)
Ovulatory AUB
• Ovulatory AUB is usually regular and is often associated
with premenstrual symptoms and dysmenorrhea.
• In ovulatory cycles, progesterone production from the
corpus luteum converts estrogen primed proliferative
endometrium to secretory endometrium, which sloughs
predictably in a cyclic fashion if pregnancy does not occur.
• Heavy but regular uterine bleeding implies ovulatory
bleeding and should not be diagnosed as DUB.
• Subtle disturbances in endometrial tissue mechanisms,
other forms of uterine pathology, or systemic causes might
be implicated
Anovulatory bleeding
• Anovulatory bleeding, which is more common near
menarche and the perimenopause, is often irregular, heavy,
and prolonged.
• It is more likely to be associated with endometrial
hyperplasia and cancer.
• Patients with dysfunctional uterine bleeding (DUB) have
lost cyclic endometrial stimulation that arises from the
ovulatory cycle.
• As a result, these patients have constant, noncycling
estrogen levels that stimulate endometrial growth.
• Proliferation without periodic shedding causes the
endometrium to outgrow its blood supply.
• The tissue breaks down and sloughs from the uterus.
Age
• DUB is very common in the post-menarche
period due to immaturity of the
hypothalamic-pituitary-ovarian axis and in
perimenopause secondary to declining
estrogen levels (and hence failure of the LH
surge) and is commonly anovulatory in nature
• About 20% of affected individuals are in the
adolescent age group, and 50% of affected
individuals are aged 40-50 years.
Mortality/Morbidity
• Single episodes of anovulatory bleeding generally carry a good
prognosis.
• Patients who experience repetitive episodes might experience
significant consequences.
• Frequent uterine bleeding will increase the risk for iron deficiency
anemia in up to 30% of cases.
• Flow can be copious enough to require hospitalization for fluid
management, transfusion, or intravenous hormone therapy.
• Chronic unopposed estrogenic stimulation of the endometrial lining
increases the risk of both endometrial hyperplasia and endometrial
carcinoma of about 1-2%
• Infertility associated with chronic anovulation, with or without
excess androgen production, is frequently seen in these patients.
• Timely and appropriate management will
prevent most of these problems.
• Many individuals with dysfunctional uterine
bleeding are exposed to unnecessary surgical
intervention, such as repeated uterine
curettage, endometrial ablative therapy, or
hysterectomy, before adequate workup and a
trial of medical therapy can be completed.
Anovulatory cycles are associated with a
variety of bleeding manifestations:
• Estrogen withdrawal bleeding
• Estrogen breakthrough bleeding
• these are the most common spontaneous
patterns encountered in clinical practice.
Estrogen breakthrough bleeding
• Anovulatory cycles have no corpus luteal
formation.
• Progesterone is not produced and the
endometrium continues to proliferate under the
influence of unopposed estrogen.
• Eventually, this out-of-phase endometrium is
shed in an irregular manner that might be
prolonged and heavy.
• This pattern is known as estrogen breakthrough
bleeding and occurs in the absence of estrogen
decline.
Estrogen breakthrough bleeding
Irregular (Disordered) Proliferation
• In irregular proliferation , the growth of glands and
stroma exceeds that of the normal proliferative phase.
• The endometrial glands are irregular in shape, width,
and distribution; the lining epithelial cells are
pseudostratified and form a dense row, their nuclei are
large and rich in chromatin, and mitoses are frequent.
• The stroma is densely cellular and focally edematous.
• Irregular proliferation is a transitional form to simple
(glandular cystic) hyperplasia.
Irregular (disordered) proliferation
without signs of secretion. H & E,
×100
Irregular (disordered)
proliferation without sings of
secretion. H & E, ×250
Clinical Possibilities and Differential
Diagnosis
• (a) Excessive estrogen production from a
persistent follicle or polycystic ovaries with
repeated anovulatory cycles, ovarian stromal
hyperplasia, or ovarian tumors;
• (b) absence of progesterone receptors in the
endometrium; and
• (c) iatrogenic stimulation by synthetic
estrogens.
Estrogen withdrawal bleeding
• This frequently occurs in women approaching the end of
reproductive life.
• In older women, the mean length of menstrual cycle is shortened
significantly due to aberrant follicular recruitment, resulting in a
shortened proliferative phase.
• Ovarian follicles in these women secrete less estradiol.
• Fluctuating estradiol levels might lead to insufficient endometrial
proliferation with irregular menstrual shedding.
• This bleeding might be experienced as light, irregular spotting.
• Eventually, the duration of the luteal phase shortens, and, finally,
ovulation stops.
• Dyssynchronous endometrial histology with irregular menstrual
shedding and eventual amenorrhea result.
Fresh hemorrhages can be
demonstrated around deficiently
or irregularly proliferating glands.
The glandular nuclei are often
pyknotic due to the slow
regression
OVULATORY DUB
• Luteal phase defects
• Irregular shedding
• Abnormal secretory phase not
otherwise specifed
• Overlapping morphologic features between biopsies
obtained from patients with Luteal phase defect -
related bleeding and those with abnormal secretory
phase not otherwise specified.
• All are descriptive, not diagnostic terms.
Luteal phase defects
• Ovulation occurs, but the corpus luteum is functionally inadequate,
regressing too early or producing inadequate progesterone (or the
endometrium fails to respond), causing either infertility or non-
menstrual secretory bleeding
• Pathology: In the infertility setting, histologic dating of the
endometrium is required; LPD is a clinical diagnosis
• In the AUB setting, glands appear secretory, but do not match any
one date of the cycle in that they are straight or abnormally
stellate; predecidualization is suboptimal; breakdown is variably
present before menstrual phase
• Lag of histologic endometrial date of 3+ days from actual post-
ovulatory date (some say 2+ days)
● Must be found in 2 consecutive cycles to be clinically significant
Inadequate secretory phase
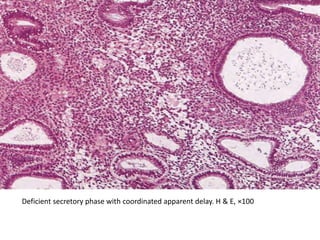
• In deficient secretory phase with coordinated apparent delay , the
functional disturbance is preceded by a persistent follicle with
irregular proliferation and late ovulation; the secretory changes that
are induced by ovulation are therefore only apparently delayed, not
delayed in relation to the day of ovulation.
• Part of the glands are cystically dilated, others narrow and only
occasionally slightly convoluted.
• The glandular epithelium shows the beginning of secretion with
basal glycogen vacuoles and slightly rounded nuclei corresponding
to the second day after ovulation in a normal secretory phase.
• The stromal cells are spindle shaped or large and separated by
focal edema.
• Spiral arterioles are present and only underdeveloped focally.
Deficient secretory phase with coordinated apparent delay.
Deficient secretory phase with coordinated apparent delay. H & E, ×100
Irregular Shedding
• In irregular shedding , the corpus luteum
develops normally but fails to regress at the
proper time and continues to secrete
progesterone until this secretion subsides
slowly and gradually.
• Consequently, endometrial regression is
protracted and shedding is prolonged and
irregular.
Histopathology:
• Mixed phase pattern of proliferative and
secretory endometrium, at least 5 days after
onset of bleeding; breakdown, if present, is
usually focal
• Secretory endometrium with 4 days or more
morphologic difference in different areas
• Mixed phase pattern may also be seen in delayed
ovulation, anovulation with superimposed
progestins, exogenous hormones with HRT or
OCPs, and neoplasia
Abnormal Decidual Shedding
• A special type of abnormal endometrial shedding corresponds with
the clinical diagnosis of dysmenorrhoea membranacea.
• Its morphologic substrate is the finding of large, sheet-like pieces
of more or less well preserved predecidual or decidual
endometrium which have been shed undissociated from the
uterine cavity.
• The plane of separation is clearly recognized by the zone of
hemorrhagic necrosis
• The glandular lumina may be narrow or wide, but are usually
devoid of secretion.
• The abundant endometrial stroma consists of predecidual or
decidual cells. Occasionally, inflammatory infiltrates extend
beyond the line of demarcation.
Decidual cast shed from dysmenorrhea membranacea. H & E, ×25
• Iatrogenically induced anovulatory uterine
bleeding might occur during
– treatment with oral contraceptives,
– progestin-only preparations, or
– postmenopausal steroid replacement therapy.
• Treatment with oral contraceptives, progestin-only preparations, or
postmenopausal steroid replacement therapy might be associated
with iatrogenically induced uterine bleeding.
• Progesterone breakthrough bleeding occurs in the presence of an
unfavorably high ratio of progestin to estrogen.
• Intermittent bleeding of variable duration can occur with progestin-
only oral contraceptives, depo-medroxyprogesterone, and depo-
levonorgestrel.
• Progesterone withdrawal bleeding can occur if the endometrium
initially has been primed with endogenous or exogenous estrogen,
exposed to progestin, and then withdrawn from progestin.
• Such a pattern is seen in cyclic hormonal replacement therapy.
Medical Care
• Options for medical care of dysfunctional
uterine bleeding usually involve various
protocols of estrogen or progesterone
supplementation, yet there is no clear
consensus on which exact regimen is most
effective
• Medical therapy options are discussed below.
Oral contraceptives
• Oral contraceptive pills (OCPs) suppress endometrial
development, reestablish predictable bleeding patterns,
decrease menstrual flow, and lower the risk of iron
deficiency anemia.
• OCPs can be used effectively in a cyclic or continuous
regimen to control dysfunctional bleeding.
• Acute episodes of heavy bleeding suggest an environment
of prolonged estrogenic exposure and buildup of the lining.
• Bleeding usually is controlled within the first 24 hours, as
the overgrown endometrium becomes pseudodecidualized.
• Seek alternate diagnosis if flow fails to abate in 24 hours
Estrogen
• Estrogen alone, in high doses, is indicated in certain clinical
situations.
• Prolonged uterine bleeding suggests the epithelial lining of
the cavity has become denuded over time.
• In this setting, a progestin is unlikely to control bleeding.
• Estrogen alone will induce return to normal endometrial
growth rapidly.
• Hemorrhagic uterine bleeding requires high-dose estrogen
therapy.
• If bleeding is not controlled within 12-24 hours, a D&C is
indicated.
• Beginning progestin therapy shortly after initiating estrogen
therapy to prevent a subsequent bleeding episode from
treatment with prolonged unopposed estrogen is wise.
Progestins
• Chronic management of DUB requires episodic or
continuous exposure to a progestin.
• In patients without contraindications, this is best
accomplished with an oral contraceptive given the many
additional benefits, including decreased dysmenorrhea,
decreased blood loss, ovarian cancer prophylaxis, and
decreased androgens.
• In some women, including those who are unable to tolerate
systemic progestins/progesterone or those who have
contraindications to estrogen-containing agents, a
progestin-secreting IUD may be considered that controls
the endometrium via a local release of levonorgestrel,
avoiding elevated systemic levels.
Surgical Care
• Most cases of DUB can be treated medically.
Surgical measures are reserved for situations
when medical therapy has failed or is
contraindicated.
• Dilation and curettage
• D&C is an appropriate diagnostic step in a
patient who fails to respond to hormonal
management.
Hysterectomy
• Abdominal or vaginal hysterectomy might be
necessary in patients who have failed or
declined hormonal therapy, have symptomatic
anemia, and who experience a disruption in
their quality of life from persistent,
unscheduled bleeding.
Endometrial ablation
• Endometrial ablation is an alternative for those
who wish to avoid hysterectomy or who are not
candidates for major surgery.
• Ablation techniques are varied and can employ
laser, rollerball, resectoscope, or thermal
destructive modalities.
• Most of these procedures are associated with
high patient satisfaction rates.
• Pretreat the patient with an agent, such as
leuprolide acetate, medroxyprogesterone
acetate, or danazol, to thin the endometrium.
THANKS

DUB

  • 1.
    Practical diagnostic approach of Abnormaluterine bleeding Dr. Asaad Hashim
  • 2.
    • AUB maybe defined as any variation from the normal menstrual cycle, and includes changes in regularity and frequency of menses, in duration of flow, or in amount of blood loss. • Under the category of AUB, further definitions may be subdivided based on volume of menstruation, regularity, frequency, duration, chronicity, and timing related to reproductive status.
  • 3.
    Tables 1.1 and1.2 provides the terminology and descriptions consistent with the FIGO Menstrual Disorders Working Group consensus statement.
  • 8.
    Differential Diagnosis • AUBmay be categorized as either organic, dysfunctional, or iatrogenic (Table 36.1), with the frequency of the cause related to age (Table 36.2). Therefore, diagnosis and subsequent treatment of AUB is guided by a woman's age and menopausal status. • In adolescent girls, anovulatory bleeding(DUB) and coagulation disorders explain a significant proportion of AUB. • During the reproductive years, pregnancy and anovulation are the primary causes of AUB; • Whereas in the perimenopause, anovulation and uterine fibroids are the most common causes. • AUB in a postmenopausal woman should be assumed to be due to a malignancy until proven otherwise (e.g., by tissue sampling, hormonal studies). • Although the primary cause of postmenopausal bleeding is endometrial atrophy (56%), approximately 15% will have some form of hyperplasia, and 7% to 10% will have endometrial cancer.
  • 9.
    How old isthe patient?
  • 10.
    The causes ofabnormal uterine bleeding newly categorized by The International Fedration of Gynecology and Obstetrics (FIGO) into a new classification system (PALM-COEIN)
  • 11.
    Evaluation • The differentialdiagnosis of AUB can be classified according to the suspected cause, based on findings from the history and physical examination.
  • 12.
    A practical approach(step 1) History • Exclude the diagnosis of pregnancy first. • Address the presence of local and systemic disease. • Rule out the presence of signs or symptoms indicative of bleeding disorders. • Screening for personal and family history of easy bruising, bleeding gums, epistaxis, and excessive bleeding episodes during childbirth, surgery, or dental procedures may be useful. • Rule out iatrogenic causes of bleeding, including bleeding secondary to steroid hormone contraception, hormone replacement therapy, or other hormone treatments, which are common causes.
  • 13.
    A practical approach(step2) Physical examination • General: obesity {(body mass index (BMI)]? thyroid? Pallor ? pulse? Cachexia ? • Abdomen: palpable mass? • Pelvis: cervical or vaginal lesion? • Bimanual exam: uterine size • Speculum :cervical lesion • PR: rectum or parametrium
  • 14.
    Physical • The physicalexamination can elicit several anatomic and organic causes of abnormal uterine bleeding. • A complete physical examination should begin with assessment of hemodynamic stability (vital signs) and proceed with evaluation of the following: • Obesity (BMI) • Signs of androgen excess (hirsutism, acne) • Thyroid enlargement or manifestations of hyperthyroidism or hypothyroidism. • Galactorrhea (may suggest hyperprolactinemia) • Visual field deficits (raise suspicion of intracranial/pituitary lesion) • Ecchymosis, purpura (signs of bleeding disorder) • Signs of anemia or chronic blood loss
  • 15.
    A practical approach(step3) Laboratory tests • A pregnancy test • A full blood count test should be carried out • Testing for coagulation disorders (von Willebrand’s disease) should be considered – 1. HMB since menarche – 2. Personal or family history suggesting a coagulation disorder. • liver function test and thyroid function test if there was clinical suspicion of thyroid and liver diseases • A serum ferritin test should not routinely be carried out
  • 16.
    A practical approach(step4) investigation • Assessment of the endometrium – Cervical smear if sexually active and last smear more than 1 year ago – endometrial aspirate – ultrasound pelvis (transvaginal) to assess endometrial thickness – Sonohystrography – Hysteroscopy – CT ,MRI for endometrial invasion
  • 17.
    Ultrasound US is thefirst-line diagnostic tool for identifying structural abnormalities. US should be undertaken when: 1. The uterus is palpable abdominally. 2. Vaginal exam: a pelvic mass of uncertain origin. 3. Pharmaceutical treatment fails.
  • 18.
    Endometrial aspiration andU/S if • 1. Over 40 years • 2. high risk of endometrial carcinoma • 3. genital tract lesion suspected (exceptcervical polyp) • 4. bulky uterus • 5. previous medical treatment fail
  • 19.
    • The mostcommon methods of endometrial sampling in current clinical use are • 1-Diagnostic dilatation and curettage (D&C). • 2-Outpatient (Pipelle) endometrial biopsy . • 3-Hysteroscopy.
  • 20.
    Dilatation and Curettage •Histological characteristics of endometrial biopsy, taken by dilatation and curettage and assessed by light microscopy, remain the diagnostic standard for the clinical diagnosis of endometrial pathology and should be considered in all women with abnormal uterine bleeding particularly in those above the age of (40) years, and in women who are at increased risk of endometrial cancer
  • 21.
    • Indeed, theinitial diagnosis is made by endometrial biopsy taken by curettage, which in itself may be therapeutic, useful and cost effective for detecting intrauterine pathologies and very few lesions escape detection, however associated risks of general anesthesia, uterine perforation, infection, • Conversely, the outpatient endometrial biopsy or may not sample the entire endometrium, and the areas of greatest histological or cytological severity may thus escape histological Identification
  • 22.
    Adequacy issues • Atrophicendometrium is often very scant in a biopsy and such biopsies are still “adequate” • Lower uterine segment or basalis endometrium are inappropriate for endometrial dating
  • 23.
    The Abnormal UterineBleeding (AUB) biopsy Clinical questions • Is there any evidence of endomerial hyperplasia, carcinoma or other neoplasia? • Are there any other organic lesions that would explain the bleeding, e.g gestation, endometrial polyps, inflammation? • Are the findings suggestive of dysfunctional uterine bleeding?
  • 24.
    Dysfunctional uterine bleeding(DUB) •Dysfunctional uterine bleeding is a common diagnosis, making up 5-10% of cases in the outpatient clinic setting • DUB occurs without recognizable pelvic pathology, general medical disease, or pregnancy. • It is considered a diagnosis of exclusion. • It reflects a disruption in the normal cyclic pattern of ovulatory hormonal stimulation to the endometrial lining. • The bleeding is unpredictable in many ways. It might be excessively heavy or light, prolonged, frequent, or random.
  • 25.
    Dysfunctional uterine bleeding(DUB) OvulatoryAUB • Ovulatory AUB is usually regular and is often associated with premenstrual symptoms and dysmenorrhea. • In ovulatory cycles, progesterone production from the corpus luteum converts estrogen primed proliferative endometrium to secretory endometrium, which sloughs predictably in a cyclic fashion if pregnancy does not occur. • Heavy but regular uterine bleeding implies ovulatory bleeding and should not be diagnosed as DUB. • Subtle disturbances in endometrial tissue mechanisms, other forms of uterine pathology, or systemic causes might be implicated
  • 26.
    Anovulatory bleeding • Anovulatorybleeding, which is more common near menarche and the perimenopause, is often irregular, heavy, and prolonged. • It is more likely to be associated with endometrial hyperplasia and cancer. • Patients with dysfunctional uterine bleeding (DUB) have lost cyclic endometrial stimulation that arises from the ovulatory cycle. • As a result, these patients have constant, noncycling estrogen levels that stimulate endometrial growth. • Proliferation without periodic shedding causes the endometrium to outgrow its blood supply. • The tissue breaks down and sloughs from the uterus.
  • 27.
    Age • DUB isvery common in the post-menarche period due to immaturity of the hypothalamic-pituitary-ovarian axis and in perimenopause secondary to declining estrogen levels (and hence failure of the LH surge) and is commonly anovulatory in nature • About 20% of affected individuals are in the adolescent age group, and 50% of affected individuals are aged 40-50 years.
  • 28.
    Mortality/Morbidity • Single episodesof anovulatory bleeding generally carry a good prognosis. • Patients who experience repetitive episodes might experience significant consequences. • Frequent uterine bleeding will increase the risk for iron deficiency anemia in up to 30% of cases. • Flow can be copious enough to require hospitalization for fluid management, transfusion, or intravenous hormone therapy. • Chronic unopposed estrogenic stimulation of the endometrial lining increases the risk of both endometrial hyperplasia and endometrial carcinoma of about 1-2% • Infertility associated with chronic anovulation, with or without excess androgen production, is frequently seen in these patients.
  • 29.
    • Timely andappropriate management will prevent most of these problems. • Many individuals with dysfunctional uterine bleeding are exposed to unnecessary surgical intervention, such as repeated uterine curettage, endometrial ablative therapy, or hysterectomy, before adequate workup and a trial of medical therapy can be completed.
  • 30.
    Anovulatory cycles areassociated with a variety of bleeding manifestations: • Estrogen withdrawal bleeding • Estrogen breakthrough bleeding • these are the most common spontaneous patterns encountered in clinical practice.
  • 31.
    Estrogen breakthrough bleeding •Anovulatory cycles have no corpus luteal formation. • Progesterone is not produced and the endometrium continues to proliferate under the influence of unopposed estrogen. • Eventually, this out-of-phase endometrium is shed in an irregular manner that might be prolonged and heavy. • This pattern is known as estrogen breakthrough bleeding and occurs in the absence of estrogen decline.
  • 32.
  • 33.
    Irregular (Disordered) Proliferation •In irregular proliferation , the growth of glands and stroma exceeds that of the normal proliferative phase. • The endometrial glands are irregular in shape, width, and distribution; the lining epithelial cells are pseudostratified and form a dense row, their nuclei are large and rich in chromatin, and mitoses are frequent. • The stroma is densely cellular and focally edematous. • Irregular proliferation is a transitional form to simple (glandular cystic) hyperplasia.
  • 34.
    Irregular (disordered) proliferation withoutsigns of secretion. H & E, ×100 Irregular (disordered) proliferation without sings of secretion. H & E, ×250
  • 35.
    Clinical Possibilities andDifferential Diagnosis • (a) Excessive estrogen production from a persistent follicle or polycystic ovaries with repeated anovulatory cycles, ovarian stromal hyperplasia, or ovarian tumors; • (b) absence of progesterone receptors in the endometrium; and • (c) iatrogenic stimulation by synthetic estrogens.
  • 36.
    Estrogen withdrawal bleeding •This frequently occurs in women approaching the end of reproductive life. • In older women, the mean length of menstrual cycle is shortened significantly due to aberrant follicular recruitment, resulting in a shortened proliferative phase. • Ovarian follicles in these women secrete less estradiol. • Fluctuating estradiol levels might lead to insufficient endometrial proliferation with irregular menstrual shedding. • This bleeding might be experienced as light, irregular spotting. • Eventually, the duration of the luteal phase shortens, and, finally, ovulation stops. • Dyssynchronous endometrial histology with irregular menstrual shedding and eventual amenorrhea result.
  • 37.
    Fresh hemorrhages canbe demonstrated around deficiently or irregularly proliferating glands. The glandular nuclei are often pyknotic due to the slow regression
  • 38.
    OVULATORY DUB • Lutealphase defects • Irregular shedding • Abnormal secretory phase not otherwise specifed • Overlapping morphologic features between biopsies obtained from patients with Luteal phase defect - related bleeding and those with abnormal secretory phase not otherwise specified. • All are descriptive, not diagnostic terms.
  • 39.
    Luteal phase defects •Ovulation occurs, but the corpus luteum is functionally inadequate, regressing too early or producing inadequate progesterone (or the endometrium fails to respond), causing either infertility or non- menstrual secretory bleeding • Pathology: In the infertility setting, histologic dating of the endometrium is required; LPD is a clinical diagnosis • In the AUB setting, glands appear secretory, but do not match any one date of the cycle in that they are straight or abnormally stellate; predecidualization is suboptimal; breakdown is variably present before menstrual phase • Lag of histologic endometrial date of 3+ days from actual post- ovulatory date (some say 2+ days) ● Must be found in 2 consecutive cycles to be clinically significant
  • 41.
    Inadequate secretory phase •In deficient secretory phase with coordinated apparent delay , the functional disturbance is preceded by a persistent follicle with irregular proliferation and late ovulation; the secretory changes that are induced by ovulation are therefore only apparently delayed, not delayed in relation to the day of ovulation. • Part of the glands are cystically dilated, others narrow and only occasionally slightly convoluted. • The glandular epithelium shows the beginning of secretion with basal glycogen vacuoles and slightly rounded nuclei corresponding to the second day after ovulation in a normal secretory phase. • The stromal cells are spindle shaped or large and separated by focal edema. • Spiral arterioles are present and only underdeveloped focally.
  • 42.
    Deficient secretory phasewith coordinated apparent delay.
  • 43.
    Deficient secretory phasewith coordinated apparent delay. H & E, ×100
  • 44.
    Irregular Shedding • Inirregular shedding , the corpus luteum develops normally but fails to regress at the proper time and continues to secrete progesterone until this secretion subsides slowly and gradually. • Consequently, endometrial regression is protracted and shedding is prolonged and irregular.
  • 45.
    Histopathology: • Mixed phasepattern of proliferative and secretory endometrium, at least 5 days after onset of bleeding; breakdown, if present, is usually focal • Secretory endometrium with 4 days or more morphologic difference in different areas • Mixed phase pattern may also be seen in delayed ovulation, anovulation with superimposed progestins, exogenous hormones with HRT or OCPs, and neoplasia
  • 48.
    Abnormal Decidual Shedding •A special type of abnormal endometrial shedding corresponds with the clinical diagnosis of dysmenorrhoea membranacea. • Its morphologic substrate is the finding of large, sheet-like pieces of more or less well preserved predecidual or decidual endometrium which have been shed undissociated from the uterine cavity. • The plane of separation is clearly recognized by the zone of hemorrhagic necrosis • The glandular lumina may be narrow or wide, but are usually devoid of secretion. • The abundant endometrial stroma consists of predecidual or decidual cells. Occasionally, inflammatory infiltrates extend beyond the line of demarcation.
  • 49.
    Decidual cast shedfrom dysmenorrhea membranacea. H & E, ×25
  • 50.
    • Iatrogenically inducedanovulatory uterine bleeding might occur during – treatment with oral contraceptives, – progestin-only preparations, or – postmenopausal steroid replacement therapy.
  • 51.
    • Treatment withoral contraceptives, progestin-only preparations, or postmenopausal steroid replacement therapy might be associated with iatrogenically induced uterine bleeding. • Progesterone breakthrough bleeding occurs in the presence of an unfavorably high ratio of progestin to estrogen. • Intermittent bleeding of variable duration can occur with progestin- only oral contraceptives, depo-medroxyprogesterone, and depo- levonorgestrel. • Progesterone withdrawal bleeding can occur if the endometrium initially has been primed with endogenous or exogenous estrogen, exposed to progestin, and then withdrawn from progestin. • Such a pattern is seen in cyclic hormonal replacement therapy.
  • 52.
    Medical Care • Optionsfor medical care of dysfunctional uterine bleeding usually involve various protocols of estrogen or progesterone supplementation, yet there is no clear consensus on which exact regimen is most effective • Medical therapy options are discussed below.
  • 53.
    Oral contraceptives • Oralcontraceptive pills (OCPs) suppress endometrial development, reestablish predictable bleeding patterns, decrease menstrual flow, and lower the risk of iron deficiency anemia. • OCPs can be used effectively in a cyclic or continuous regimen to control dysfunctional bleeding. • Acute episodes of heavy bleeding suggest an environment of prolonged estrogenic exposure and buildup of the lining. • Bleeding usually is controlled within the first 24 hours, as the overgrown endometrium becomes pseudodecidualized. • Seek alternate diagnosis if flow fails to abate in 24 hours
  • 54.
    Estrogen • Estrogen alone,in high doses, is indicated in certain clinical situations. • Prolonged uterine bleeding suggests the epithelial lining of the cavity has become denuded over time. • In this setting, a progestin is unlikely to control bleeding. • Estrogen alone will induce return to normal endometrial growth rapidly. • Hemorrhagic uterine bleeding requires high-dose estrogen therapy. • If bleeding is not controlled within 12-24 hours, a D&C is indicated. • Beginning progestin therapy shortly after initiating estrogen therapy to prevent a subsequent bleeding episode from treatment with prolonged unopposed estrogen is wise.
  • 55.
    Progestins • Chronic managementof DUB requires episodic or continuous exposure to a progestin. • In patients without contraindications, this is best accomplished with an oral contraceptive given the many additional benefits, including decreased dysmenorrhea, decreased blood loss, ovarian cancer prophylaxis, and decreased androgens. • In some women, including those who are unable to tolerate systemic progestins/progesterone or those who have contraindications to estrogen-containing agents, a progestin-secreting IUD may be considered that controls the endometrium via a local release of levonorgestrel, avoiding elevated systemic levels.
  • 56.
    Surgical Care • Mostcases of DUB can be treated medically. Surgical measures are reserved for situations when medical therapy has failed or is contraindicated. • Dilation and curettage • D&C is an appropriate diagnostic step in a patient who fails to respond to hormonal management.
  • 57.
    Hysterectomy • Abdominal orvaginal hysterectomy might be necessary in patients who have failed or declined hormonal therapy, have symptomatic anemia, and who experience a disruption in their quality of life from persistent, unscheduled bleeding.
  • 58.
    Endometrial ablation • Endometrialablation is an alternative for those who wish to avoid hysterectomy or who are not candidates for major surgery. • Ablation techniques are varied and can employ laser, rollerball, resectoscope, or thermal destructive modalities. • Most of these procedures are associated with high patient satisfaction rates. • Pretreat the patient with an agent, such as leuprolide acetate, medroxyprogesterone acetate, or danazol, to thin the endometrium.
  • 59.