Intestinal obstruction,
volvulus & Ileus
By: Khaled Alkhodari, MD
Definition
• Partial or complete blockage of the lumen of the small or large
intestine or via systemic alterations, involving both the small
and large intestine (generalized ileus) causing an interruption in
the normal flow of intestinal contents along the intestinal tract
• The block may or may not compromise the vascular supply
Classification
Classification
Sites : Small bowel / Large bowel
Duration :
Acute
/Chronic
Extent :
partial
/complete
etiopathogenesis
mechanical
/ paralytic
Ileus
Type:
Simple
strangulation
closed-loop
(complicated
obstruction(
Mechanical Small bowel
obstruction
Obstruction is the most
common surgical disorder
of the small intestine
Etiology:
Intraluminal
Extraluminal
Intramural
Causes?
Extrinsic causes
Intrinsic
Intraluminal
Mechanical Large bowel Obst
Aetiology
tumor 65%,Usually Lt sided tumors
18% of colonic ca. Present with obstruction
Diverticular disease 20%
Volvulus 5%
Others 10%
Chronic, partial obstruction
• Chronic small bowel obstruction occurs in a fixed segment of bowel,
and the obstruction is, by definition, partial. The most common
causes are chronic stricture from Crohn disease, adhesions from prior
surgery, slowly growing tumors, and stricture related to prior bowel
resection or irradiation.
• Patients usually present with chronic postprandial abdominal
discomfort and variable nausea. Abdominal distention and tympany
may be present, but usually without any fluid or electrolyte
derangements.
• When a patient with chronic, partial small bowel obstruction
becomes completely obstructed, the clinical presentation becomes
indistinguishable from acute obstruction as described above.
Recurrent obstruction
• Recurrent obstruction due to adhesions can occur in a fixed segment
of bowel or differing segments of bowel. Those that occur at the
same site due to a focal band adhesion are more likely to respond to
surgery compared with those that occur at varying locations within
the abdomen due to diffuse adhesions, for which surgery is likely to
increase the risk of future obstructions.
• During an episode of obstruction, symptoms are identical to those of
patients with acute small bowel obstruction described above, but
symptoms resolve and the patient may report post-obstructive
diarrhea. In the period between obstructive episodes, the patient is
usually asymptomatic with a normal abdominal exam.
Recurrent obstruction
• For patients with a history of prior bowel obstruction, whether
managed medically or surgically, the likelihood of recurrent
obstruction increases with an increasing number of episodes, and the
asymptomatic time period between episodes decreases.
• After three prior episodes, the likelihood of recurrent obstruction is
>80 percent
Acute Bowel obstruction
Pathophysiology
Pathophysiology
1. Increased intraluminal pressure by fluid & gas
2. sequestration of fluid into the lumen from the surrounding
circulation
3. Lymphatic and venous congestion ► in oedematous tissues
4. Further:impaired arterial microcirculation of intestine ►
localised anoxia, mucosal depletion necrosis , perforation &
peritonitis.
5. Bacterial over growth with translocation of bacteria and it’s
toxins ► bacteraemia and septicaemia. toxaemia
loss of fluid and electrolytes
in intestinal obstruction
• into the bowel lumen
• into the edematous bowel wall
• into the peritoneum
• vomiting or NG suction
hypovolemia ,oliguria & electrolytes imbalance.
restricted ventilation & atelectasis
Decreased venous return to the heart
septicaemia
Diagnosis
• The diagnosis suspected clinically based on the presence of
classic signs and symptoms and then confirmed by imaging
studies.
• The etiology can often be pinpointed by careful history-taking
complemented with imaging studies.
4 cardinal features
I. colicky abdominal pain
II. distension
III. nausea and vomiting
IV. Obstipation
Usually the abdominal pain and then distention precede the
appearance of nausea and vomiting by several hours.
Abdominal pain
• Abdominal pain associated with small bowel obstruction is frequently
described as periumbilical and cramping with paroxysms of pain
occurring every four or five minutes.
• A progression from cramping to more focal and constant pain may
indicate peritoneal irritation related to complications (ischemia,
bowel necrosis).
• A sudden onset of severe pain may suggest acute intestinal
perforation.
• With proximal small bowel obstruction (duodenum, proximal
jejunum), nausea and vomiting can be relatively severe, and patients
with proximal small bowel obstruction typically cease taking in food
or liquids orally.
Abdominal pain
• usually described as visceral, poorly localized, and crampy with
recurrent episodes
with mechanical small bowel obstruction, the pain usually last
(4-5minutes)
in mechanical large bowel obstruction last longer (minutes
rather than seconds)
In strangulated obstruction
the pain is localized and persistent .
Nausea and vomiting
Vomiting Frequency & nature of vomitus depends on the level
of obstruction.
• High Small Bowel Obstruction Bile-Stained vomitus
• Lower Small Bowel Obstruction Feculent Vomitus
• Large Bowel Obstruction Uncommon & late symptom.
Abdominal distension
 more prominent in distal I.O. and may be absent in upper SBO.
Central in SBO . More in the flanks in colonic obstruction
Obstipation
• Early in “lower” Large Bowel Obstruction.
• Late in “High” Small Bowel Obstruction.
• H/O diarrhoea that is secondary to increased peristalsis
Understanding the clinical
findings
Colonic
•? Preexisting change
in bowel habit
•Colicky in the lower
abdomin
•Vomiting is late
•Distension prominent
•Cecum ? distended
Distal small bowel
•Pain: central and
colicky
•Vomitus is feculunt
•Distension is severe
•Visible peristalsis
•May continue to pass
flatus and feacus
before absolute
constipation
High small bowel
•Pain is rapid
•Vomiting copious and
contains bile jejunal
content
•Abdominal distension
is limited or localized
•Rapid dehydration
The Universal Features
Colicky abdominal pain, vomiting, constipation (absolute), abdominal
distension.
Physical examination
assessment of vital signs and hydration status,
• Pyrexia may suggests strangulation, infectious cause (intestinal
perforation)
• Hypothermia indicates septicaemic shock.
abdominal inspection, auscultation, palpation,
• succussion splash usually present In both mechanical and functional
bowel obstruction
Physical examination Inspection
• Surgical Scars ,
• Hernias,
• Distention,
• Visible Peristalsis
Physical examination Palpation
• diffuse, localized tenderness. rebound,and guarding suggest peritonitis
and strangulation
• Masses, abdominal mass may suggest closed loop obst.
• Hernias ,
• Perform Rectal Exam.
Physical examination
Percussion :
• Percuss to hear any Dullness or Resonance related to site of
obstruction.
Auscultation:
• Initially Hyperactive and frequent BS ( tinkles and Rushes ) →
Then as bowel distends the sounds become more resonant (No
sounds audible in late cases)
nondiagnostic, Assess dehydration
C.B.C.
Mild leucocytosis,
WBC 15,000- 25,000 suggestive for strangulation but not
sensitive .normal WBC does not exclude strangulation
Very high WBC 40,000-60,000 suggest primary
mesenteric vascular occlusion
Laboratory investigation
Electrolyte
BUN& creatinin, K, Na,
serum lactate concentrations, amylase & LDH are useful (but
not sensitive) tests in the evaluation of bowel obstruction,
suggest bowel necrosis.
A.B.G. metabolic acidosis or
hypochloremic hypokalemic metabolic
alkalosis by recurrent vomiting
Is there strangulation?
fever, tachycardia, localized tenderness
continuous pain, leucocytosis and
peritonitis
The presence of any three of the above signs
—has an 82% predictive value for strangulation
the presence of any four of the above signs has
a near 100% predictive value for strangulation
It is difficult to distinguish clinically between simple obstruction &
strangulation but there are features which suggests strangulation:
Radiological Examination
Always request: Supine, Erect and CXR
• Initial diagnostic study
• diagnostic of bowel obstruction in 50-80% of the cases,
Specificity is low because ileus and colonic obstruction can be associated
with finding similar to SB obst.
False negative finding
• in proximal SB obstruction and
• Closed-loop obstruction and
• When the bowel becomes markedly dilated, it may be impossible to
differentiate large from small bowel.
Plain radiography
• For most patients, we suggest plain radiographs to quickly confirm a
diagnosis of bowel obstruction because it is:
• widely available,
• inexpensive,
• and may demonstrate findings that indicate the immediate need for urgent
decompression (eg, sigmoid volvulus) or surgical intervention (eg,
pneumoperitoneum, cecal or midgut volvulus).
• Plain radiography also assesses the lungs for evidence of aspiration in those
who have been vomiting and can easily be repeated to follow the patient's
progress.
• The basic radiologic examination should include:
• an upright chest film and
• upright and supine abdominal films.
• If the patient cannot be placed into an upright position, a
lateral decubitus abdominal film can show free air and/or air-
fluid levels.
Radiological Examination
Radiological features in large bowel obstruction
• Colonic distension usually visualized in the periphery
• show the hustrations of the Taenia Coli.
• absence of rectal air and air fluid level if ileocecal valve incompetent
• May also demonstrate the cause of obstruction (volvulus)
The Difference between small and large
bowel obstruction
Small BowelLarge bowel
•Central ( diameter > 3 cm )
•Vulvulae coniventae
•Ileum: may appear tubeless
•Peripheral ( diameter >5- 9 cm )
•Presence of haustration
• Mechanical obstruction: The bowel proximal to the obstruction is
dilated. Therefore, the more distal the obstruction, the more loops of
bowel are visible.
• Mechanical obstruction and ileus appear identical, and in most cases
the underlying cause cannot be determined on an abdominal X‐ray
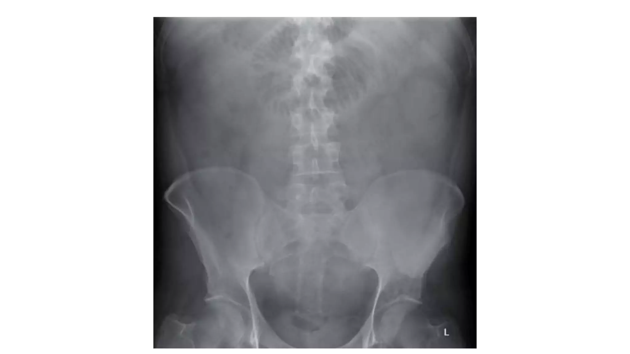
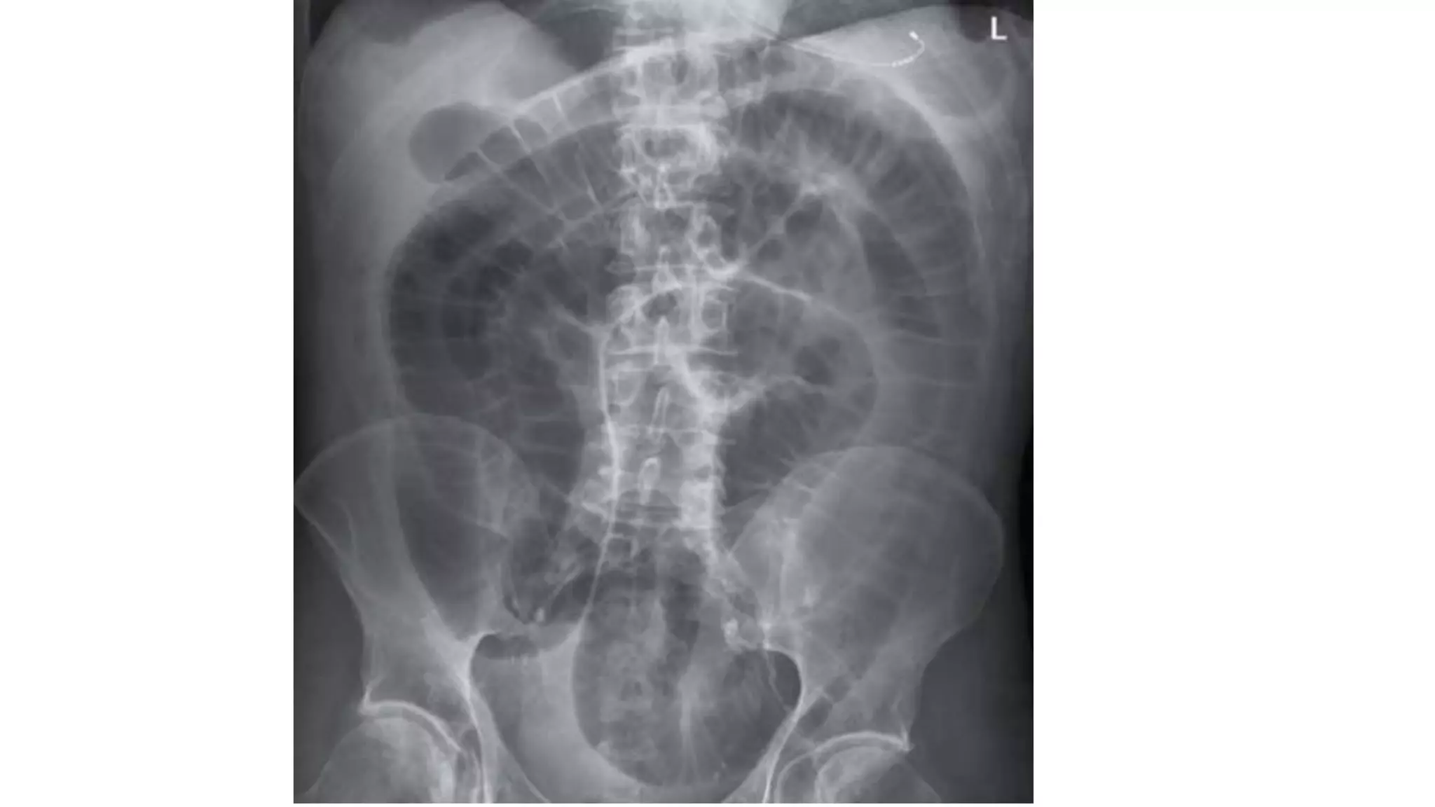
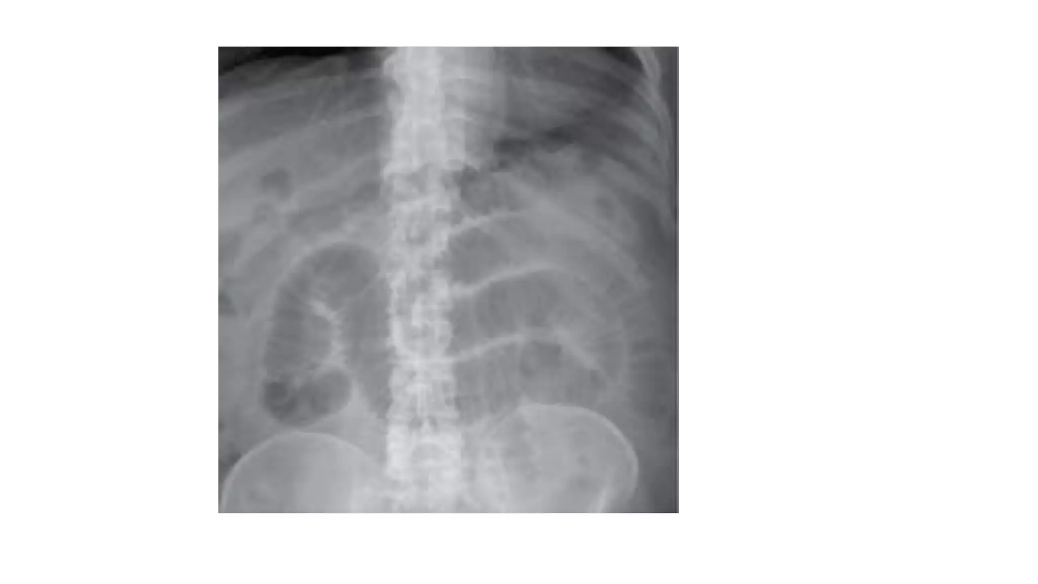
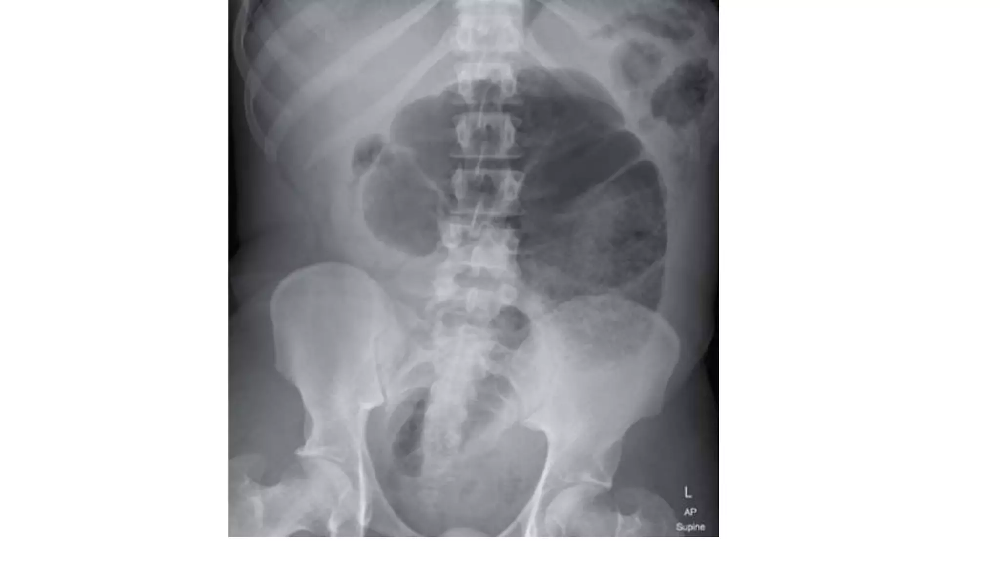
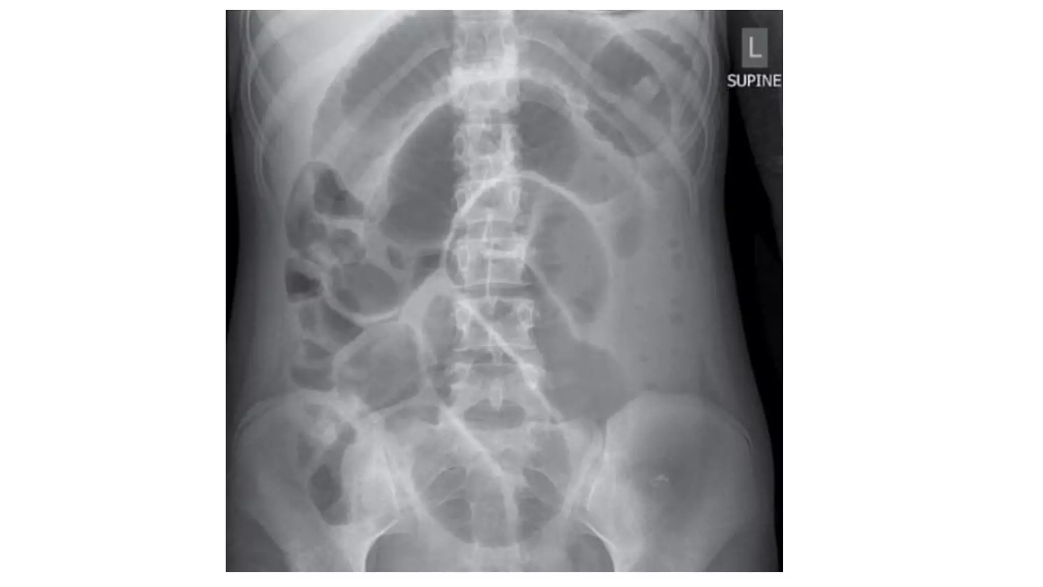
Radiological signs to look for in SB & LB:
Radiological signs to look for:
• Dilation >3 cm: The small bowel is dilated if it measures over 3 cm in
diameter.
• Central location: The dilated loops are more likely to be centrally
located on the abdominal radiograph.
• Valvulae conniventes: These are the mucosal folds of the small
intestine. They are thin, closely spaced and classically seen as a
continuous thin line across the entire width of the bowel.
• Air fluid level in upright position
Who wants to be a hero ?
Pick up 3 findings
Who wants to be a hero ?
Radiological Examination
Contrast Studies:
prograde enteroclysis or retrograde
• recommended in patients with a history of recurrent obstruction or a
nonresolving partial SBO
• differentiate between partial & complete obstruction
• can demonstrate the site, degree and often the cause of obstruction.
• A retrograde contrast study useful in the patient with suspected large
bowel obstruction
Radiological Examination
Contrast Studies:
• The contrast agent of choice controversial .
• dilute barium ??,
• water-soluble contrast??
• The use of both types of contrast agent has risks
contraindicated in patients with a clear diagnosis of complete
bowel obstruction and when strangulation or perforation is
suspected
Radiological Examination
Contrast Studies:
Differentiate mechanical from pseudoobstruction
Define level and type of obstruction
volvulus bird beak appearance
Rectal cancer apple- core appearance
.
• Specificity and sensitivity > 90% for complete obstruction Less for
partial
• Used with iv contrast, oral and rectal contrast (triple contrast).
• demonstrate abnormality in the bowel wall, mesentery, mesenteric
vessels and peritoneum.
• CT has replaced the typical small bowel contrast studies in many
centers.
• Indicated especially when abdominal films are nonspecific or
when strangulation is suspected
advantage of CT
• imaging of structures other than just mucosal detail,
• visualize all intra-abdominal compartment as well as defects in
the abdominal wall.
• the ability to visualize closed loop obstruction presence of U or
C shaped dilated bowel
• the ability to visualize strangulation & ischaemia
• It can define Free fluid and gas
• Partial / complete
some have argued that because abdominal CT is more effective for
identifying patients who will need intervention, abdominal CT should
be performed initially instead of plain films. However, we generally
obtain plain abdominal films (flat and upright/left lateral decubitus)
prior to proceeding to abdominal CT scan, since radiographs are readily
available, less expensive, expose the patient to less radiation, and may
obviate the need for abdominal CT in some patients
Radiological Examination
USG - useful in pregnant patients
• Shows ( free fluid, masses, mucosal folds, solid organs, pattern
of paristalsis, Doppler of mesenteric vasulature,)
• more sensitive and specific than plain abdominal films for the
diagnosis of bowel obstruction but less accurate than CT.
• US is very much operator-dependent
MRI - no better diagnostically than CT.
• have diagnostic and therapeutic roles in decompression of
volvulus and pseudoobstruction
Treatment
• Aim of Rx: is to relieve obstruction as soon as possible before
strangulation occurs or before systemic complications set in.
Supportive Treatment
Nil per os
fluid resuscitation most important initial step
sometimes with central venous assessment
Nasogastric aspiration
urine output monitoring.
broad spectrum antibiotic
TO OPERATE OR NOT TO OPERATE
Conservative treatment
• Partial obstruction ( progression to strangulation unlikely)
• Obstruction secondary to Crohn’s disease often respond to
medical therapy
• Recurrent obstruction
• abdominal carcinomatosis
• previous abdominal radiation
• Pat. With previously massive small bowel resection
The timing of conversion to
operative management
• more controversial.
• No improvement within 48 hours of initiating therapy.
• Others advocate longer than 48 hours
When to Convert to Operative
Management
• If a patient being treated nonoperatively develops evidence of a
complicated obstruction,
• Patients who develop free air or signs of a closed-loop
obstruction
• If evidence of ischemia, strangulation, or vascular compromise
is noted on CT,
Contraindications to
non operative management
• suspected ischemia,
• large bowel obstruction,
• closed-loop obstruction,
• strangulated hernia,
• perforation.
A relative contraindication
• complete small bowel obstruction.
Operative Treatment
Laparoscopic management
criteria for laparoscopic surgery include those
with the following symptoms:
• Mild abdominal distension allowing adequate visualization
• Proximal obstruction
• Partial obstruction
• Anticipated single-band obstruction
• Virtually all patients with complete acute large bowel obstruction
require prompt surgical intervention and should not undergo
a trial of nonoperative management because of the high risk of
perforation.
• Treatment according to the cause
• The role of laparoscopic exploration for large bowel obstruction
is much less well defined
Sigmoid volvulus, Management
• The goal of treatment of sigmoid volvulus is to reduce the sigmoid volvulus
and to prevent recurrent episodes.
• We perform a flexible sigmoidoscopy to reduce a sigmoid volvulus and then
perform definitive surgery to prevent recurrent volvulus.
• We perform immediate laparotomy when endoscopic detorsion is unsuccessful
or in patients with signs and symptoms suggestive of peritonitis.
• However, the management of sigmoid volvulus is controversial. Some experts
recommend that endoscopy be reserved for patients who are not candidates
for definitive surgical therapy, while others recommend surgery be reserved for
patients in whom sigmoidoscopic reduction is unsuccessful since approximately
40 to 50 percent of patients with sigmoid volvulus will not have a recurrence.
• Endoscopy — A sigmoidoscope can detorse the sigmoid volvulus when
advanced through the twisted segment of the colon, thereby restoring the
blood supply. An additional advantage of sigmoidoscopy is that it allows for
an assessment of the viability of the colon. Endoscopic reduction of a
sigmoid volvulus has been reported to be successful in 75 to 95 percent of
cases.
• Initial sigmoidoscopic reduction of the volvulus converts an emergency
procedure into a semiurgent procedure, performed 24 to 72 hours after
endoscopic reduction of the volvulus, such that bowel preparation
(cleanout) can be accomplished. Although surgical resection without
decompression has been used at some centers with acceptable outcomes,
we favor preoperative decompression whenever feasible.
PROGNOSIS
• The mortality related to sigmoid volvulus is highest in patients who
have developed gangrene and ranges from 11 to 60 percent in case
series.
• In contrast, the mortality is less than 10 percent in patients who have
not developed gangrene.
• Recurrence of an initial episode of sigmoid volvulus that is not
treated with surgery occurs in up to 60 percent of patients.
• The recurrence rate after a second episode is probably even higher,
and therefore surgery is almost always recommended after repeated
episodes of sigmoid volvulus. The time to recurrence can vary from
hours to weeks or months.
Cecal volvolus
• CT scan — In patients with axial torsion of the cecum (type I or II), a
computed tomography (CT) finding of the "whirl sign" (twisting of the
mesentery around the ileocolic vessels) is pathognomonic for cecal
volvulus. In addition, CT scan may also demonstrate signs of bowel
obstruction (a massively dilated cecum with associated small bowel
dilation) (image 5) or signs of colonic or small bowel ischemia (mural
thickening or mesenteric edema) [9]. In patients with a cecal bascule (type
III), CT scan shows the cecum folding upward, resulting in obstruction
without the axial twist of the mesentery (image 6).
• Contrast studies — A single-contrast barium or Hypaque enema
demonstrates a tapered or "bird's-beak" narrowing in the right colon,
confirming a cecal volvulus (image 7).
MANAGEMENT
• The management for patients with a cecal volvulus is primarily
surgical. Nonoperative reduction of cecal volvulus (eg, by
colonoscopy or barium enema) is rarely successful (<5 percent) and
could cause perforation; it therefore should not be attempted.
• In addition, colonic necrosis may be missed in 20 to 25 percent of
patients who undergo nonoperative reduction, and such patients may
develop colonic perforation [2,14,30-32].
• Surgical approaches to cecal volvulus vary depending upon
intraoperative findings and patient stability
Definition
• Impaired intestinal motility due to paralysis of intestinal
musculature that prevents coordinated transit of luminal
contents
Ileus can be classified as
Ileus
Functional
"physiologic“
Postoperative ileus
adynamic
"paralytic" ileus
Colonic
pseudoobstruction
Postoperative ileus
• An international consensus panel proposed that "normal" or
"obligatory" postoperative ileus be defined as the period of time,
lasting fewer than four days, from surgery until the passage of flatus
or stool and tolerance of an oral diet.
• The same panel defined "prolonged" postoperative ileus as the
occurrence of two or more of the following signs and symptoms on
postoperative day 4 or after [23]:
• ●Nausea or vomiting
• ●Inability to tolerate an oral diet over the preceding 24 hours
• ●Absence of flatus over the preceding 24 hours
• ●Abdominal distention
• ●Radiologic confirmation
• Following abdominal surgery, "normal" physiologic
postoperative ileus due to postoperative gut dysmotility is
widely reported as lasting:
• 0 to 24 hours in the small intestine,
• 24 to 48 hours in the stomach,
• and 48 to 72 hours in the colon
Definitions of "prolonged" postoperative ileus
have included:
• No return of bowel function postoperatively (ranging from postoperative
days 4 to 6)
• Absence of flatus or stool on postoperative day 6
• Postoperative nausea or vomiting requiring cessation of oral intake,
intravenous support, or nasogastric tube placement by postoperative day 5
• Return of bowel function after postoperative day 5
• Absence of flatus and/or bowel movement prolonging hospitalization
beyond discharge goal (ranging from postoperative days 6 to 8)
• Lack of bowel activity more than five days after surgery
Measures to
prevent
prolonged post
op ileus
Paralytic ileus
(Adynamic ileus )
• can take days or even weeks to resolve.
• usually is secondary to or caused by different pathophysiologic
mechanisms
Causes of Adynamic ileus
• Metabolic Causes Hypokalemia. Hypomagnesemia. Hyponatremia.
Ketoacidosis. Uremia, hypothyroidism
• Medications Narcotics. Antidepressant, Anticholinergics. Ca-channel
blockers
• Retroperitoneal irritation hematoma. Pancreatitis. infection ,ureteric
stones, Spinal or pelvic fracture.
• peritoneal irritation Infection, sepsis, intraabdominal abscess, peritonitis
• Thoracic conditions e.g. pneumonia, # ribs
• Abdominal distension
• minimal or Without abdominal pain
• +/- Nausea, vomiting
• +/- Flatus, diarrhea
decreased or absent bowel sounds.
Plain abdominal radiography
distended gas-filled loops of
small and large intestine.
Air-fluid levels may be seen
 Under some circumstances, it may be difficult to distinguish ileus from partial
small bowel obstruction. ►
CT scan may be useful to
exclude mechanical
obstruction, especially
in postoperative patients.
Treatment
Fluid , NGT, Correct electrolyte abnormalities
Most importantly, the underlying cause of ileus needs to be
addressed
• Aggressive treatment of sepsis, and associated intra-abdominal
processes
Check medicines
Block sympathetic& stimulate parasympathetic (parenteral
neostigmine)
meteclopramide & I.V.erythromycin
Cispraide out of mark due to cardiac toxicity
• Acute colonic pseudo-obstruction (Ogilvie's syndrome) is a
disorder characterized by acute dilatation of the colon in the
absence of an anatomic lesion that obstructs the flow of
intestinal contents.
• Pseudo-obstruction is characterized by signs and symptoms of a
mechanical obstruction of the small or large bowel in the absence of
a mechanical cause. Pseudo-obstruction may be acute or chronic and
is characterized by the presence of dilation of the bowel on imaging
Presentation
• Abdominal distension usually occurs gradually over three to seven
days but may develop rapidly within 24 to 48 hours.
• Approximately 80 percent of patients have associated abdominal
pain.
• Nausea and vomiting may be seen in up to 60 percent of patients.
• Constipation and, paradoxically, diarrhea have also been reported in
approximately 50 and 40 percent of patients, respectively
• On physical examination,
• the abdomen is tympanitic,
• but bowel sounds are present in almost 90 percent of patients.
• However, the presence of fever, marked abdominal tenderness, and
the presence of peritoneal signs (eg, guarding, rigidity, rebound
tenderness) are suggestive of colonic ischemia or perforation or their
impending development
DIAGNOSIS
• The diagnosis of acute intestinal pseudo-obstruction should be
suspected in patients with abdominal distension or pain and a
physical examination that reveals a distended and tympanitic
abdomen.
• The diagnosis of acute intestinal pseudo-obstruction is established by
abdominal imaging.
• Colonoscopy should not be used to make the diagnosis of acute
intestinal pseudo-obstruction, as insufflation of air may increase the
colonic dilatation.
Management
• Initial management of acute colonic pseudo-obstruction is usually
conservative in patients without
• significant abdominal pain,
• extreme (>12 cm) colonic distension,
• or signs of peritonitis
• and those who have one or more potential factors that are reversible
Management
• In patients with cecal diameter >12 cm and in patients who have
failed 24 to 48 hours of conservative therapy, we use pharmacologic
therapy with neostigmine.
• In patients who fail or who have contraindications to neostigmine, we
perform colonoscopic decompression
• Percutaneous colostomy should be reserved for patients who fail
endoscopic decompression and are not surgical candidates.
• We reserve surgical decompression for patients who fail endoscopic
and pharmacologic therapy or have evidence of perforation or
peritonitis
Thank you

Intestinal obstruction, Ileus, and volvulus

  • 1.
    Intestinal obstruction, volvulus &Ileus By: Khaled Alkhodari, MD
  • 2.
    Definition • Partial orcomplete blockage of the lumen of the small or large intestine or via systemic alterations, involving both the small and large intestine (generalized ileus) causing an interruption in the normal flow of intestinal contents along the intestinal tract • The block may or may not compromise the vascular supply
  • 3.
  • 4.
    Classification Sites : Smallbowel / Large bowel Duration : Acute /Chronic Extent : partial /complete etiopathogenesis mechanical / paralytic Ileus Type: Simple strangulation closed-loop (complicated obstruction(
  • 5.
    Mechanical Small bowel obstruction Obstructionis the most common surgical disorder of the small intestine Etiology: Intraluminal Extraluminal Intramural
  • 6.
  • 7.
  • 8.
  • 9.
  • 10.
    Mechanical Large bowelObst Aetiology tumor 65%,Usually Lt sided tumors 18% of colonic ca. Present with obstruction Diverticular disease 20% Volvulus 5% Others 10%
  • 11.
    Chronic, partial obstruction •Chronic small bowel obstruction occurs in a fixed segment of bowel, and the obstruction is, by definition, partial. The most common causes are chronic stricture from Crohn disease, adhesions from prior surgery, slowly growing tumors, and stricture related to prior bowel resection or irradiation. • Patients usually present with chronic postprandial abdominal discomfort and variable nausea. Abdominal distention and tympany may be present, but usually without any fluid or electrolyte derangements. • When a patient with chronic, partial small bowel obstruction becomes completely obstructed, the clinical presentation becomes indistinguishable from acute obstruction as described above.
  • 12.
    Recurrent obstruction • Recurrentobstruction due to adhesions can occur in a fixed segment of bowel or differing segments of bowel. Those that occur at the same site due to a focal band adhesion are more likely to respond to surgery compared with those that occur at varying locations within the abdomen due to diffuse adhesions, for which surgery is likely to increase the risk of future obstructions. • During an episode of obstruction, symptoms are identical to those of patients with acute small bowel obstruction described above, but symptoms resolve and the patient may report post-obstructive diarrhea. In the period between obstructive episodes, the patient is usually asymptomatic with a normal abdominal exam.
  • 13.
    Recurrent obstruction • Forpatients with a history of prior bowel obstruction, whether managed medically or surgically, the likelihood of recurrent obstruction increases with an increasing number of episodes, and the asymptomatic time period between episodes decreases. • After three prior episodes, the likelihood of recurrent obstruction is >80 percent
  • 14.
  • 15.
  • 16.
    Pathophysiology 1. Increased intraluminalpressure by fluid & gas 2. sequestration of fluid into the lumen from the surrounding circulation 3. Lymphatic and venous congestion ► in oedematous tissues 4. Further:impaired arterial microcirculation of intestine ► localised anoxia, mucosal depletion necrosis , perforation & peritonitis. 5. Bacterial over growth with translocation of bacteria and it’s toxins ► bacteraemia and septicaemia. toxaemia
  • 17.
    loss of fluidand electrolytes in intestinal obstruction • into the bowel lumen • into the edematous bowel wall • into the peritoneum • vomiting or NG suction
  • 18.
    hypovolemia ,oliguria &electrolytes imbalance. restricted ventilation & atelectasis Decreased venous return to the heart septicaemia
  • 19.
    Diagnosis • The diagnosissuspected clinically based on the presence of classic signs and symptoms and then confirmed by imaging studies. • The etiology can often be pinpointed by careful history-taking complemented with imaging studies.
  • 20.
    4 cardinal features I.colicky abdominal pain II. distension III. nausea and vomiting IV. Obstipation Usually the abdominal pain and then distention precede the appearance of nausea and vomiting by several hours.
  • 21.
    Abdominal pain • Abdominalpain associated with small bowel obstruction is frequently described as periumbilical and cramping with paroxysms of pain occurring every four or five minutes. • A progression from cramping to more focal and constant pain may indicate peritoneal irritation related to complications (ischemia, bowel necrosis). • A sudden onset of severe pain may suggest acute intestinal perforation. • With proximal small bowel obstruction (duodenum, proximal jejunum), nausea and vomiting can be relatively severe, and patients with proximal small bowel obstruction typically cease taking in food or liquids orally.
  • 22.
    Abdominal pain • usuallydescribed as visceral, poorly localized, and crampy with recurrent episodes with mechanical small bowel obstruction, the pain usually last (4-5minutes) in mechanical large bowel obstruction last longer (minutes rather than seconds) In strangulated obstruction the pain is localized and persistent .
  • 23.
    Nausea and vomiting VomitingFrequency & nature of vomitus depends on the level of obstruction. • High Small Bowel Obstruction Bile-Stained vomitus • Lower Small Bowel Obstruction Feculent Vomitus • Large Bowel Obstruction Uncommon & late symptom.
  • 24.
    Abdominal distension  moreprominent in distal I.O. and may be absent in upper SBO. Central in SBO . More in the flanks in colonic obstruction
  • 25.
    Obstipation • Early in“lower” Large Bowel Obstruction. • Late in “High” Small Bowel Obstruction. • H/O diarrhoea that is secondary to increased peristalsis
  • 26.
    Understanding the clinical findings Colonic •?Preexisting change in bowel habit •Colicky in the lower abdomin •Vomiting is late •Distension prominent •Cecum ? distended Distal small bowel •Pain: central and colicky •Vomitus is feculunt •Distension is severe •Visible peristalsis •May continue to pass flatus and feacus before absolute constipation High small bowel •Pain is rapid •Vomiting copious and contains bile jejunal content •Abdominal distension is limited or localized •Rapid dehydration The Universal Features Colicky abdominal pain, vomiting, constipation (absolute), abdominal distension.
  • 27.
    Physical examination assessment ofvital signs and hydration status, • Pyrexia may suggests strangulation, infectious cause (intestinal perforation) • Hypothermia indicates septicaemic shock. abdominal inspection, auscultation, palpation, • succussion splash usually present In both mechanical and functional bowel obstruction
  • 28.
    Physical examination Inspection •Surgical Scars , • Hernias, • Distention, • Visible Peristalsis
  • 29.
    Physical examination Palpation •diffuse, localized tenderness. rebound,and guarding suggest peritonitis and strangulation • Masses, abdominal mass may suggest closed loop obst. • Hernias , • Perform Rectal Exam.
  • 30.
    Physical examination Percussion : •Percuss to hear any Dullness or Resonance related to site of obstruction. Auscultation: • Initially Hyperactive and frequent BS ( tinkles and Rushes ) → Then as bowel distends the sounds become more resonant (No sounds audible in late cases)
  • 31.
    nondiagnostic, Assess dehydration C.B.C. Mildleucocytosis, WBC 15,000- 25,000 suggestive for strangulation but not sensitive .normal WBC does not exclude strangulation Very high WBC 40,000-60,000 suggest primary mesenteric vascular occlusion
  • 32.
    Laboratory investigation Electrolyte BUN& creatinin,K, Na, serum lactate concentrations, amylase & LDH are useful (but not sensitive) tests in the evaluation of bowel obstruction, suggest bowel necrosis. A.B.G. metabolic acidosis or hypochloremic hypokalemic metabolic alkalosis by recurrent vomiting
  • 33.
    Is there strangulation? fever,tachycardia, localized tenderness continuous pain, leucocytosis and peritonitis The presence of any three of the above signs —has an 82% predictive value for strangulation the presence of any four of the above signs has a near 100% predictive value for strangulation It is difficult to distinguish clinically between simple obstruction & strangulation but there are features which suggests strangulation:
  • 34.
    Radiological Examination Always request:Supine, Erect and CXR • Initial diagnostic study • diagnostic of bowel obstruction in 50-80% of the cases, Specificity is low because ileus and colonic obstruction can be associated with finding similar to SB obst. False negative finding • in proximal SB obstruction and • Closed-loop obstruction and • When the bowel becomes markedly dilated, it may be impossible to differentiate large from small bowel.
  • 35.
    Plain radiography • Formost patients, we suggest plain radiographs to quickly confirm a diagnosis of bowel obstruction because it is: • widely available, • inexpensive, • and may demonstrate findings that indicate the immediate need for urgent decompression (eg, sigmoid volvulus) or surgical intervention (eg, pneumoperitoneum, cecal or midgut volvulus). • Plain radiography also assesses the lungs for evidence of aspiration in those who have been vomiting and can easily be repeated to follow the patient's progress.
  • 36.
    • The basicradiologic examination should include: • an upright chest film and • upright and supine abdominal films. • If the patient cannot be placed into an upright position, a lateral decubitus abdominal film can show free air and/or air- fluid levels.
  • 37.
    Radiological Examination Radiological featuresin large bowel obstruction • Colonic distension usually visualized in the periphery • show the hustrations of the Taenia Coli. • absence of rectal air and air fluid level if ileocecal valve incompetent • May also demonstrate the cause of obstruction (volvulus)
  • 38.
    The Difference betweensmall and large bowel obstruction Small BowelLarge bowel •Central ( diameter > 3 cm ) •Vulvulae coniventae •Ileum: may appear tubeless •Peripheral ( diameter >5- 9 cm ) •Presence of haustration
  • 39.
    • Mechanical obstruction:The bowel proximal to the obstruction is dilated. Therefore, the more distal the obstruction, the more loops of bowel are visible. • Mechanical obstruction and ileus appear identical, and in most cases the underlying cause cannot be determined on an abdominal X‐ray
  • 40.
    Radiological signs tolook for in SB & LB:
  • 43.
    Radiological signs tolook for: • Dilation >3 cm: The small bowel is dilated if it measures over 3 cm in diameter. • Central location: The dilated loops are more likely to be centrally located on the abdominal radiograph. • Valvulae conniventes: These are the mucosal folds of the small intestine. They are thin, closely spaced and classically seen as a continuous thin line across the entire width of the bowel. • Air fluid level in upright position
  • 61.
    Who wants tobe a hero ?
  • 62.
    Pick up 3findings
  • 65.
    Who wants tobe a hero ?
  • 68.
    Radiological Examination Contrast Studies: progradeenteroclysis or retrograde • recommended in patients with a history of recurrent obstruction or a nonresolving partial SBO • differentiate between partial & complete obstruction • can demonstrate the site, degree and often the cause of obstruction. • A retrograde contrast study useful in the patient with suspected large bowel obstruction
  • 69.
    Radiological Examination Contrast Studies: •The contrast agent of choice controversial . • dilute barium ??, • water-soluble contrast?? • The use of both types of contrast agent has risks contraindicated in patients with a clear diagnosis of complete bowel obstruction and when strangulation or perforation is suspected
  • 70.
  • 71.
    Differentiate mechanical frompseudoobstruction Define level and type of obstruction volvulus bird beak appearance Rectal cancer apple- core appearance
  • 72.
    . • Specificity andsensitivity > 90% for complete obstruction Less for partial • Used with iv contrast, oral and rectal contrast (triple contrast). • demonstrate abnormality in the bowel wall, mesentery, mesenteric vessels and peritoneum. • CT has replaced the typical small bowel contrast studies in many centers. • Indicated especially when abdominal films are nonspecific or when strangulation is suspected
  • 73.
    advantage of CT •imaging of structures other than just mucosal detail, • visualize all intra-abdominal compartment as well as defects in the abdominal wall. • the ability to visualize closed loop obstruction presence of U or C shaped dilated bowel • the ability to visualize strangulation & ischaemia • It can define Free fluid and gas • Partial / complete
  • 74.
    some have arguedthat because abdominal CT is more effective for identifying patients who will need intervention, abdominal CT should be performed initially instead of plain films. However, we generally obtain plain abdominal films (flat and upright/left lateral decubitus) prior to proceeding to abdominal CT scan, since radiographs are readily available, less expensive, expose the patient to less radiation, and may obviate the need for abdominal CT in some patients
  • 75.
    Radiological Examination USG -useful in pregnant patients • Shows ( free fluid, masses, mucosal folds, solid organs, pattern of paristalsis, Doppler of mesenteric vasulature,) • more sensitive and specific than plain abdominal films for the diagnosis of bowel obstruction but less accurate than CT. • US is very much operator-dependent MRI - no better diagnostically than CT.
  • 76.
    • have diagnosticand therapeutic roles in decompression of volvulus and pseudoobstruction
  • 77.
    Treatment • Aim ofRx: is to relieve obstruction as soon as possible before strangulation occurs or before systemic complications set in.
  • 78.
    Supportive Treatment Nil peros fluid resuscitation most important initial step sometimes with central venous assessment Nasogastric aspiration urine output monitoring. broad spectrum antibiotic TO OPERATE OR NOT TO OPERATE
  • 79.
    Conservative treatment • Partialobstruction ( progression to strangulation unlikely) • Obstruction secondary to Crohn’s disease often respond to medical therapy • Recurrent obstruction • abdominal carcinomatosis • previous abdominal radiation • Pat. With previously massive small bowel resection
  • 80.
    The timing ofconversion to operative management • more controversial. • No improvement within 48 hours of initiating therapy. • Others advocate longer than 48 hours
  • 81.
    When to Convertto Operative Management • If a patient being treated nonoperatively develops evidence of a complicated obstruction, • Patients who develop free air or signs of a closed-loop obstruction • If evidence of ischemia, strangulation, or vascular compromise is noted on CT,
  • 82.
    Contraindications to non operativemanagement • suspected ischemia, • large bowel obstruction, • closed-loop obstruction, • strangulated hernia, • perforation. A relative contraindication • complete small bowel obstruction.
  • 83.
    Operative Treatment Laparoscopic management criteriafor laparoscopic surgery include those with the following symptoms: • Mild abdominal distension allowing adequate visualization • Proximal obstruction • Partial obstruction • Anticipated single-band obstruction
  • 84.
    • Virtually allpatients with complete acute large bowel obstruction require prompt surgical intervention and should not undergo a trial of nonoperative management because of the high risk of perforation. • Treatment according to the cause • The role of laparoscopic exploration for large bowel obstruction is much less well defined
  • 91.
    Sigmoid volvulus, Management •The goal of treatment of sigmoid volvulus is to reduce the sigmoid volvulus and to prevent recurrent episodes. • We perform a flexible sigmoidoscopy to reduce a sigmoid volvulus and then perform definitive surgery to prevent recurrent volvulus. • We perform immediate laparotomy when endoscopic detorsion is unsuccessful or in patients with signs and symptoms suggestive of peritonitis. • However, the management of sigmoid volvulus is controversial. Some experts recommend that endoscopy be reserved for patients who are not candidates for definitive surgical therapy, while others recommend surgery be reserved for patients in whom sigmoidoscopic reduction is unsuccessful since approximately 40 to 50 percent of patients with sigmoid volvulus will not have a recurrence.
  • 92.
    • Endoscopy —A sigmoidoscope can detorse the sigmoid volvulus when advanced through the twisted segment of the colon, thereby restoring the blood supply. An additional advantage of sigmoidoscopy is that it allows for an assessment of the viability of the colon. Endoscopic reduction of a sigmoid volvulus has been reported to be successful in 75 to 95 percent of cases. • Initial sigmoidoscopic reduction of the volvulus converts an emergency procedure into a semiurgent procedure, performed 24 to 72 hours after endoscopic reduction of the volvulus, such that bowel preparation (cleanout) can be accomplished. Although surgical resection without decompression has been used at some centers with acceptable outcomes, we favor preoperative decompression whenever feasible.
  • 93.
    PROGNOSIS • The mortalityrelated to sigmoid volvulus is highest in patients who have developed gangrene and ranges from 11 to 60 percent in case series. • In contrast, the mortality is less than 10 percent in patients who have not developed gangrene. • Recurrence of an initial episode of sigmoid volvulus that is not treated with surgery occurs in up to 60 percent of patients. • The recurrence rate after a second episode is probably even higher, and therefore surgery is almost always recommended after repeated episodes of sigmoid volvulus. The time to recurrence can vary from hours to weeks or months.
  • 99.
    Cecal volvolus • CTscan — In patients with axial torsion of the cecum (type I or II), a computed tomography (CT) finding of the "whirl sign" (twisting of the mesentery around the ileocolic vessels) is pathognomonic for cecal volvulus. In addition, CT scan may also demonstrate signs of bowel obstruction (a massively dilated cecum with associated small bowel dilation) (image 5) or signs of colonic or small bowel ischemia (mural thickening or mesenteric edema) [9]. In patients with a cecal bascule (type III), CT scan shows the cecum folding upward, resulting in obstruction without the axial twist of the mesentery (image 6). • Contrast studies — A single-contrast barium or Hypaque enema demonstrates a tapered or "bird's-beak" narrowing in the right colon, confirming a cecal volvulus (image 7).
  • 103.
    MANAGEMENT • The managementfor patients with a cecal volvulus is primarily surgical. Nonoperative reduction of cecal volvulus (eg, by colonoscopy or barium enema) is rarely successful (<5 percent) and could cause perforation; it therefore should not be attempted. • In addition, colonic necrosis may be missed in 20 to 25 percent of patients who undergo nonoperative reduction, and such patients may develop colonic perforation [2,14,30-32]. • Surgical approaches to cecal volvulus vary depending upon intraoperative findings and patient stability
  • 107.
    Definition • Impaired intestinalmotility due to paralysis of intestinal musculature that prevents coordinated transit of luminal contents
  • 108.
    Ileus can beclassified as Ileus Functional "physiologic“ Postoperative ileus adynamic "paralytic" ileus Colonic pseudoobstruction
  • 109.
    Postoperative ileus • Aninternational consensus panel proposed that "normal" or "obligatory" postoperative ileus be defined as the period of time, lasting fewer than four days, from surgery until the passage of flatus or stool and tolerance of an oral diet. • The same panel defined "prolonged" postoperative ileus as the occurrence of two or more of the following signs and symptoms on postoperative day 4 or after [23]: • ●Nausea or vomiting • ●Inability to tolerate an oral diet over the preceding 24 hours • ●Absence of flatus over the preceding 24 hours • ●Abdominal distention • ●Radiologic confirmation
  • 110.
    • Following abdominalsurgery, "normal" physiologic postoperative ileus due to postoperative gut dysmotility is widely reported as lasting: • 0 to 24 hours in the small intestine, • 24 to 48 hours in the stomach, • and 48 to 72 hours in the colon
  • 111.
    Definitions of "prolonged"postoperative ileus have included: • No return of bowel function postoperatively (ranging from postoperative days 4 to 6) • Absence of flatus or stool on postoperative day 6 • Postoperative nausea or vomiting requiring cessation of oral intake, intravenous support, or nasogastric tube placement by postoperative day 5 • Return of bowel function after postoperative day 5 • Absence of flatus and/or bowel movement prolonging hospitalization beyond discharge goal (ranging from postoperative days 6 to 8) • Lack of bowel activity more than five days after surgery
  • 112.
  • 113.
    Paralytic ileus (Adynamic ileus) • can take days or even weeks to resolve. • usually is secondary to or caused by different pathophysiologic mechanisms
  • 114.
    Causes of Adynamicileus • Metabolic Causes Hypokalemia. Hypomagnesemia. Hyponatremia. Ketoacidosis. Uremia, hypothyroidism • Medications Narcotics. Antidepressant, Anticholinergics. Ca-channel blockers • Retroperitoneal irritation hematoma. Pancreatitis. infection ,ureteric stones, Spinal or pelvic fracture. • peritoneal irritation Infection, sepsis, intraabdominal abscess, peritonitis • Thoracic conditions e.g. pneumonia, # ribs
  • 115.
    • Abdominal distension •minimal or Without abdominal pain • +/- Nausea, vomiting • +/- Flatus, diarrhea
  • 116.
    decreased or absentbowel sounds. Plain abdominal radiography distended gas-filled loops of small and large intestine. Air-fluid levels may be seen
  • 117.
     Under somecircumstances, it may be difficult to distinguish ileus from partial small bowel obstruction. ► CT scan may be useful to exclude mechanical obstruction, especially in postoperative patients.
  • 119.
    Treatment Fluid , NGT,Correct electrolyte abnormalities Most importantly, the underlying cause of ileus needs to be addressed • Aggressive treatment of sepsis, and associated intra-abdominal processes Check medicines Block sympathetic& stimulate parasympathetic (parenteral neostigmine) meteclopramide & I.V.erythromycin Cispraide out of mark due to cardiac toxicity
  • 120.
    • Acute colonicpseudo-obstruction (Ogilvie's syndrome) is a disorder characterized by acute dilatation of the colon in the absence of an anatomic lesion that obstructs the flow of intestinal contents. • Pseudo-obstruction is characterized by signs and symptoms of a mechanical obstruction of the small or large bowel in the absence of a mechanical cause. Pseudo-obstruction may be acute or chronic and is characterized by the presence of dilation of the bowel on imaging
  • 122.
    Presentation • Abdominal distensionusually occurs gradually over three to seven days but may develop rapidly within 24 to 48 hours. • Approximately 80 percent of patients have associated abdominal pain. • Nausea and vomiting may be seen in up to 60 percent of patients. • Constipation and, paradoxically, diarrhea have also been reported in approximately 50 and 40 percent of patients, respectively
  • 123.
    • On physicalexamination, • the abdomen is tympanitic, • but bowel sounds are present in almost 90 percent of patients. • However, the presence of fever, marked abdominal tenderness, and the presence of peritoneal signs (eg, guarding, rigidity, rebound tenderness) are suggestive of colonic ischemia or perforation or their impending development
  • 124.
    DIAGNOSIS • The diagnosisof acute intestinal pseudo-obstruction should be suspected in patients with abdominal distension or pain and a physical examination that reveals a distended and tympanitic abdomen. • The diagnosis of acute intestinal pseudo-obstruction is established by abdominal imaging. • Colonoscopy should not be used to make the diagnosis of acute intestinal pseudo-obstruction, as insufflation of air may increase the colonic dilatation.
  • 126.
    Management • Initial managementof acute colonic pseudo-obstruction is usually conservative in patients without • significant abdominal pain, • extreme (>12 cm) colonic distension, • or signs of peritonitis • and those who have one or more potential factors that are reversible
  • 128.
  • 129.
    • In patientswith cecal diameter >12 cm and in patients who have failed 24 to 48 hours of conservative therapy, we use pharmacologic therapy with neostigmine. • In patients who fail or who have contraindications to neostigmine, we perform colonoscopic decompression • Percutaneous colostomy should be reserved for patients who fail endoscopic decompression and are not surgical candidates. • We reserve surgical decompression for patients who fail endoscopic and pharmacologic therapy or have evidence of perforation or peritonitis
  • 130.

Editor's Notes

  • #41 Note: The height of an adult vertebral body is approximately 4 cm. You can use this as a quick comparison to estimate the diameter of the bowel. Note: Large bowel tends to be peripherally located.
  • #44 Note: The height of an adult vertebral body is approximately 4 cm. You can use this as a quick comparison to estimate the diameter of the bowel. Note: Large bowel tends to be peripherally located.