Charles J. Goodacre, DDS, MSD
Professor of Restorative Dentistry
Loma Linda University School of Dentistry
This program of instruction is protected by copyright ©. No portion of this
program of instruction may be reproduced, recorded or transferred by any
means electronic, digital, photographic, mechanical etc., or by any information
storage or retrieval system, without prior permission.
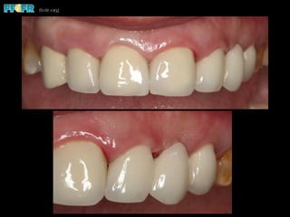
Provisional restorations in fixed
prosthodontics
Provisional Restorations
•  They are restorations that provide interim protection,
mastication, esthetics, and positional stability while the
definitive restoration is being fabricated
•  FUNCTIONS / REQUIREMENTS
1) Protection / Preservation; (prepared tooth from
damage; pulp from irritation; cheeks / tongue / lips
from trauma; periodontal health by good fit, contour, & surface
smoothness)
2) Mastication; (allow some chewing of food)
3) Positional stability; (tooth; gingiva; lips / cheeks)
4) Esthetics for visible teeth;
5) Provide diagnostic information
Provisional Restoration Resins
•  Methyl methacrylate (Jet)
- Reasonably hard; sets somewhat
rapidly; reasonable color stability
•  Ethyl methacrylate (Trim)
- Not as hard as methyl methacrylate;
slower set and more working
time; susceptible to
discoloration
•  Composite resin (Protemp; Integrity)
- Hardest; rapid polymerization; best
color stability
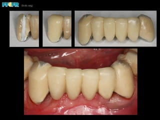
Types of Provisional Restorations
•  Prefabricated
1) Metal shell / relined metal shell
2) Relined polycarbonate shell
•  Custom-fabricated
1) Template & unfilled resin
2) Template & composite resin
3) Laboratory produced shell
4) Cast metal (long-term service needed)
• “Direct on tooth” versus “Indirect on cast”
Direct versus Indirect
•  Direct is faster for routine provisional
restorations
•  Indirect can save time with multiple units
or complex fixed partial dentures
•  Indirect provisionals can be fabricated in
advance of the tooth preparation
appointment
Direct Technique:
Types of Templates
•  Putty index made on cast or intraorally
using a tray
•  Clear plastic vacuum-formed template
•  Repair of crown / prosthesis that was
removed
DIRECT TECHNIQUES
Relined Aluminum Shells
Relined Polycarbonate
Crowns
Putty Template
Putty Template
TEMP TABS® – TRUE BLUE
•  Do a Google search “temp tabs dental”
•  Heat at 135 degrees Fahrenheit
•  Mold over teeth & then blow air for 10 seconds
Vacuum-Formed Template
Crown Removal & Repair
Products Used
•  Carbide bur
•  Bonding resin
•  Color modifier
•  Resin glaze
Brasseler XTREMECUT 330MZ
PermaSeal by Ultradent
Crown Removal & Repair
Provisional Restoration for RCT
with Prefabricated P&C
Provisional Restoration for RCT while
Custom Cast P&C is being Fabricated
INDIRECT TECHNIQUES
•  Prepare tooth / teeth and make impression
•  Laboratory then fabricates provisional
restoration(s) while patient waits
OR
•  Laboratory fabricates shell provisional
restoration before the patient comes for the
tooth preparation appointment
Shell Fabrication
Minimal tooth preparations completed on cast;
Less reduction than will be achieved clinically
Space between shell
and minimal tooth
preparations will be
filled with resin
Video of Shell Fabricated by Laboratory
in Advance of Tooth Preparation
Provisional Cements
•  They are typically zinc oxide powder or
zinc oxide paste mixed with eugenol liquid
•  Noneugenol formulations are available
that do not soften resin (as in provisional
crown). They use carboxylic acids in
place of eugenol
•  The liquid can be ethoxybenzoic acid,
known as ZOEBA, making it stronger
•  TempBond Clear is a translucent cement
with Triclosan (an antibacterial &
antifungal agent)
Thank You For Your
Kind Attention
Charles J. Goodacre, DDS, MSD
Professor of Restorative Dentistry
Loma Linda University School of Dentistry
v Visit ffofr.org for hundreds of
additional lectures on Complete
Dentures, Implant Dentistry,
Removable Partial Dentures,
Esthetic Dentistry and
Maxillofacial Prosthetics.
v The lectures are free.
v Our objective is to create the
best and most comprehensive
online programs of instruction in
Prosthodontics

8.prov rest

  • 1.
    Charles J. Goodacre,DDS, MSD Professor of Restorative Dentistry Loma Linda University School of Dentistry This program of instruction is protected by copyright ©. No portion of this program of instruction may be reproduced, recorded or transferred by any means electronic, digital, photographic, mechanical etc., or by any information storage or retrieval system, without prior permission. Provisional restorations in fixed prosthodontics
  • 2.
    Provisional Restorations •  Theyare restorations that provide interim protection, mastication, esthetics, and positional stability while the definitive restoration is being fabricated •  FUNCTIONS / REQUIREMENTS 1) Protection / Preservation; (prepared tooth from damage; pulp from irritation; cheeks / tongue / lips from trauma; periodontal health by good fit, contour, & surface smoothness) 2) Mastication; (allow some chewing of food) 3) Positional stability; (tooth; gingiva; lips / cheeks) 4) Esthetics for visible teeth; 5) Provide diagnostic information
  • 3.
    Provisional Restoration Resins • Methyl methacrylate (Jet) - Reasonably hard; sets somewhat rapidly; reasonable color stability •  Ethyl methacrylate (Trim) - Not as hard as methyl methacrylate; slower set and more working time; susceptible to discoloration •  Composite resin (Protemp; Integrity) - Hardest; rapid polymerization; best color stability
  • 4.
    Types of ProvisionalRestorations •  Prefabricated 1) Metal shell / relined metal shell 2) Relined polycarbonate shell •  Custom-fabricated 1) Template & unfilled resin 2) Template & composite resin 3) Laboratory produced shell 4) Cast metal (long-term service needed) • “Direct on tooth” versus “Indirect on cast”
  • 5.
    Direct versus Indirect • Direct is faster for routine provisional restorations •  Indirect can save time with multiple units or complex fixed partial dentures •  Indirect provisionals can be fabricated in advance of the tooth preparation appointment
  • 6.
    Direct Technique: Types ofTemplates •  Putty index made on cast or intraorally using a tray •  Clear plastic vacuum-formed template •  Repair of crown / prosthesis that was removed
  • 7.
  • 8.
  • 9.
  • 10.
  • 11.
  • 14.
    TEMP TABS® –TRUE BLUE •  Do a Google search “temp tabs dental” •  Heat at 135 degrees Fahrenheit •  Mold over teeth & then blow air for 10 seconds
  • 15.
  • 16.
  • 22.
    Products Used •  Carbidebur •  Bonding resin •  Color modifier •  Resin glaze Brasseler XTREMECUT 330MZ PermaSeal by Ultradent
  • 23.
  • 24.
    Provisional Restoration forRCT with Prefabricated P&C
  • 25.
    Provisional Restoration forRCT while Custom Cast P&C is being Fabricated
  • 26.
    INDIRECT TECHNIQUES •  Preparetooth / teeth and make impression •  Laboratory then fabricates provisional restoration(s) while patient waits OR •  Laboratory fabricates shell provisional restoration before the patient comes for the tooth preparation appointment
  • 27.
  • 28.
    Minimal tooth preparationscompleted on cast; Less reduction than will be achieved clinically Space between shell and minimal tooth preparations will be filled with resin
  • 30.
    Video of ShellFabricated by Laboratory in Advance of Tooth Preparation
  • 31.
    Provisional Cements •  Theyare typically zinc oxide powder or zinc oxide paste mixed with eugenol liquid •  Noneugenol formulations are available that do not soften resin (as in provisional crown). They use carboxylic acids in place of eugenol •  The liquid can be ethoxybenzoic acid, known as ZOEBA, making it stronger •  TempBond Clear is a translucent cement with Triclosan (an antibacterial & antifungal agent)
  • 32.
    Thank You ForYour Kind Attention Charles J. Goodacre, DDS, MSD Professor of Restorative Dentistry Loma Linda University School of Dentistry
  • 33.
    v Visit ffofr.org forhundreds of additional lectures on Complete Dentures, Implant Dentistry, Removable Partial Dentures, Esthetic Dentistry and Maxillofacial Prosthetics. v The lectures are free. v Our objective is to create the best and most comprehensive online programs of instruction in Prosthodontics