Secondary impression materials in
fixed prosthodontics
Charles J. Goodacre, DDS, MSD
Professor of Restorative Dentistry
Loma Linda University School of Dentistry
This program of instruction is protected by copyright ©. No portion of this
program of instruction may be reproduced, recorded or transferred by any
means electronic, digital, photographic, mechanical etc., or by any information
storage or retrieval system, without prior permission.
Definition of an Impression
•  It is a negative reproduction of the prepared teeth or
implant(s), adjacent teeth, and surrounding soft
tissues that provides the information required for
fabrication of a crown or fixed prosthesis.
•  It is used to produce a positive replica of the oral
structures recorded in the impression.
•  It is used as a permanent record of the mouth and
for the fabrication of a restoration or prosthesis
How Impressions are Made
•  It can be made using a physical material or
•  The information can be recorded digitally
Cerec Bluecam by Sirona
Physical Impression
Direct Digital Impression
•  Digital scan using a camera
•  CAD design (Computer Aided Design)
Indirect Digital Scanning
Wax Pattern Made on Cast
Scan of Cast & Scan of Wax Pattern
CAD/CAM Milled Zirconia Crown
It is milled in an
oversized form
due to the
shrinkage that will
occur upon firing.
Fabrication Sequence
Scan of cast Scan of wax pattern
Milled green-state crown
Fired zirconia crownSurface colors applied
3Shape scanner was used to scan the cast
Katana CAD/CAM system was used to
design and mill the zirconia copings
Ideal Requirements of
a Good Impression
– Record all the prepared tooth surfaces and some
of the unprepared tooth cervical to the finish line.
– With implants, record their position in the bone
and relationship to teeth.
Ideal Requirements
of a Good Impression
•  Record unprepared teeth so their shape can be
used to establish the morphology of the crown /
prosthesis and their lingual & occlusal surfaces
can be used to establish the proper occlusion
Ideal Requirements of
a Good Impression
•  Be made using a material that accurately
records detail and maintains its
dimensional stability for sufficient time to
permit arrival at the dental laboratory so
accurate fabrication procedures can be
completed.
Impression Materials
•  Aqueous elastomers
Irreversible hydrocolloid (alginate)
Reversible hydrocolloid
•  Nonaqueous elastomers
Polysulfide
Condensation reaction silicone
Additional reaction silicone
Polyether
Alginate substitutes
Alginate (Irreversible) Hydrocolloid
•  Mixed with water to form a Sol and it hardens
chemically to form a Gel.
•  Undergoes distortion by syneresis (gives off
water) and imbibition (imbibes or takes on water)
•  Detail reproduction is not excellent
•  Not well suited for fixed prosthodontics
Reversible Hydrocolloid
•  Agar = 8-15%
•  Water = >80%
•  Borax to strengthen the gel
•  Potassium sulfate (an accelerator of the
setting of gypsum) is added to counteract
borax which is a retarder of gypsum setting
•  Sol-Gel transformation (Sol = softened form
and Gel = hardened form)
•  Hardening produces “brush-heap” intertwining
of fibrils
Reversible Hydrocolloid
•  Hysteresis = Ability to be heated the gelled form
to soften it and then cool it to create the gel form
again.
•  Gel is boiled to soften, then held in ready to use
state at 150 degrees F, then put in 110 degree
bath to temper for placement in syringe, tray,
and use in the mouth.
•  Uses special metal tray through which water
circulates to cool & create gel
•  Undergoes syneresis and imbibition like
alginate.
Characteristics of Reversible
Hydrocolloid
•  Good detail reproduction and dimensional
accuracy but must be poured before the
syneresis or imbibition occurs with water
changes that create distortion.
•  Today, it is not widely used in fixed
prosthodontics.
Condensation Silicone
•  Catalyst is Tin Octoate
•  Reaction by-product is Ethyl Alcohol
•  Dimensional stability - Rapid
evaporation of alcohol means you must
pour impression immediately to
maintain optimal accuracy
Condensation Silicone
•  Mainly used today for duplication
procedures and templates for fabrication
of provisional crowns
Polysulfide (Rubber base,
Thiokol, Mercaptan)
•  Polysulfide base contains mercaptan groups
(-SH) that produce sulfur smell
•  Catalyst is Lead Dioxide
•  Adding drop of water accelerates reaction
•  Reaction by-product is water
•  Dimensional stability - Evaporation of water
produces need to pour right away but not as
critical as condensation silicone
Polysulfide
•  It used to be the most commonly used
material (1970’s & 1980’s) but is not
commonly used today in fixed prosthodontics.
Polysulfide
•  It It is still used in complete denture
prosthodontics today by some clinicians
Polyether
•  No by-products of reaction but is hydrophilic and
therefore can give up or take on moisture
•  Dimensional stability – Excellent unless
substantial humidity change occurs
•  Very stiff originally
Addition Silicone
Poly (vinyl siloxane); Vinyl polysiloxane
•  Catalyst is chloroplatinic acid
•  Hydrogen gas byproduct was initial problem
that caused voids on surface of gypsum.
This problem has been virtually eliminated by
use of palladium but still should wait a few
minutes before pouring
•  Dimensionally accurate for a long time
Sample impressions
Custom Trays & Their
Fabrication
Requirements of a Tray
•  Rigid
•  Dimensionally stable
•  Provide space for impression material
(2-3 mm minimum)
•  Promote retention of impression
material
•  Possess a handle that allows a
positive grasp of tray
Types of Impression Trays
Stock trays
1. Plastic
2. Metal
Custom trays
1. Autopolymerizing resin
2. Light-polymerized resin
Advantages of Custom Trays
•  Made to fit the arch – needed for some
patients
•  Carries and confines the material to
certain difficult areas – distal surfaces of
last molar
•  Uses less impression material
Tray Extension, Form, & Thickness
•  Should extend to cover required areas
without impinging on other areas such as
bony undercuts
•  Extend 5 mm beyond gingival margin
•  Do not have to cover palate
•  Thickness of 3 mm
Tray Fabrication
•  Fabricate autopolymerizing resin trays well in
advance of appointment so all polymerization
shrinkage has occurred – 24 hours.
•  Some clinicians use stops to control the tray seating
while minimizing tooth contact with the tray because
contact affects the accuracy of the impression in the
area where the tray contacts the teeth.
Custom Tray Fabrication Technique
Autopolymerizing Resin
•  Diagnostic cast with extension marked
•  Diagnostic cast with extension marked
•  Covered with two layers of denture
baseplate wax or beeswax
Custom Tray Fabrication Technique
Autopolymerizing Resin
•  Diagnostic cast with extension marked
•  Covered with two layers of denture baseplate
wax or beeswax
•  Small notches can be cut into the wax for those
who wants stops
Custom Tray Fabrication Technique
Autopolymerizing Resin
•  Diagnostic cast with extension marked
•  Covered with two layers of denture baseplate
wax or beeswax
•  Small notches can be cut into the wax for those
who wants stops
•  Cover the wax with aluminum foil
Custom Tray Fabrication Technique
Autopolymerizing Resin
•  Diagnostic cast with extension marked
•  Covered with two layers of denture baseplate
wax or beeswax
•  Small notches can be cut into the wax for those
who wants stops
•  Cover the wax with aluminum foil
•  Mix the autopolymerizing resin and mold when
it is no longer “stringy” and has a “doughy”
consistency
Custom Tray Fabrication Technique
Autopolymerizing Resin
Place a drop of monomer to
enhance bonding of the tray
handle
Custom Tray Fabrication Technique
Light-Polymerized Resin
•  Same marking of tray extension on cast
•  Sheet of resin material applied over cast
•  Excess trimmed with a knife & handle
applied
•  Air-barrier coating material is applied to
enhance the polymerization process
•  5 minutes of polymerization in light unit
Custom Tray Fabrication Technique
Light-Polymerized Resin
•  Same marking of tray extension on cast
•  Sheet of resin material applied over cast
•  Excess trimmed with a knife & handle applied
•  Air-barrier coating material is applied to enhance the polymerization process
•  5 minutes of polymerization in light unit
Custom Tray Fabrication Technique
Light-Polymerized Resin
•  Same marking of tray extension on cast
•  Sheet of resin material applied over cast
•  Excess trimmed with a knife & handle applied
•  Air-barrier coating material is applied to enhance the polymerization process
•  5 minutes of polymerization in light unit
Blocking out spaces between teeth
Ultradent LC Block-Out Resin
Wax can be used but
there is a better solution
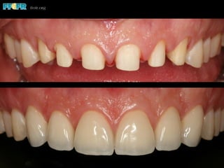
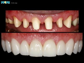
The Continuum of Treatment:
Examples Of Good Tooth
Preparation Followed By A Good
Impression
Two Metal Ceramic Crowns
Ten All-Ceramic Crowns
Diagnostic Wax Patterns
Vacuum-Formed Template
Flowable
composite
resin
Resin application using template
– moist or lubricated tooth
surfaces with no etching
Esthetic evaluation of
resin veneers
Thank You For Your
Kind Attention
Charles J. Goodacre, DDS, MSD
Professor of Restorative Dentistry
Loma Linda University School of Dentistry
v Visit ffofr.org for hundreds of
additional lectures on Complete
Dentures, Fixed Prosthodontics,
Implant Dentistry, Removable
Partial Dentures, Esthetic
Dentistry and Maxillofacial
Prosthetics.
v The lectures are free.
v Our objective is to create the
best and most comprehensive
online programs of instruction in
Prosthodontics

Secondard impression materials

  • 1.
    Secondary impression materialsin fixed prosthodontics Charles J. Goodacre, DDS, MSD Professor of Restorative Dentistry Loma Linda University School of Dentistry This program of instruction is protected by copyright ©. No portion of this program of instruction may be reproduced, recorded or transferred by any means electronic, digital, photographic, mechanical etc., or by any information storage or retrieval system, without prior permission.
  • 2.
    Definition of anImpression •  It is a negative reproduction of the prepared teeth or implant(s), adjacent teeth, and surrounding soft tissues that provides the information required for fabrication of a crown or fixed prosthesis. •  It is used to produce a positive replica of the oral structures recorded in the impression. •  It is used as a permanent record of the mouth and for the fabrication of a restoration or prosthesis
  • 3.
    How Impressions areMade •  It can be made using a physical material or •  The information can be recorded digitally Cerec Bluecam by Sirona
  • 4.
  • 5.
    Direct Digital Impression • Digital scan using a camera •  CAD design (Computer Aided Design)
  • 7.
    Indirect Digital Scanning WaxPattern Made on Cast
  • 8.
    Scan of Cast& Scan of Wax Pattern
  • 9.
    CAD/CAM Milled ZirconiaCrown It is milled in an oversized form due to the shrinkage that will occur upon firing.
  • 10.
    Fabrication Sequence Scan ofcast Scan of wax pattern Milled green-state crown Fired zirconia crownSurface colors applied
  • 13.
    3Shape scanner wasused to scan the cast Katana CAD/CAM system was used to design and mill the zirconia copings
  • 16.
    Ideal Requirements of aGood Impression – Record all the prepared tooth surfaces and some of the unprepared tooth cervical to the finish line. – With implants, record their position in the bone and relationship to teeth.
  • 17.
    Ideal Requirements of aGood Impression •  Record unprepared teeth so their shape can be used to establish the morphology of the crown / prosthesis and their lingual & occlusal surfaces can be used to establish the proper occlusion
  • 18.
    Ideal Requirements of aGood Impression •  Be made using a material that accurately records detail and maintains its dimensional stability for sufficient time to permit arrival at the dental laboratory so accurate fabrication procedures can be completed.
  • 19.
    Impression Materials •  Aqueouselastomers Irreversible hydrocolloid (alginate) Reversible hydrocolloid •  Nonaqueous elastomers Polysulfide Condensation reaction silicone Additional reaction silicone Polyether Alginate substitutes
  • 20.
    Alginate (Irreversible) Hydrocolloid • Mixed with water to form a Sol and it hardens chemically to form a Gel. •  Undergoes distortion by syneresis (gives off water) and imbibition (imbibes or takes on water) •  Detail reproduction is not excellent •  Not well suited for fixed prosthodontics
  • 21.
    Reversible Hydrocolloid •  Agar= 8-15% •  Water = >80% •  Borax to strengthen the gel •  Potassium sulfate (an accelerator of the setting of gypsum) is added to counteract borax which is a retarder of gypsum setting •  Sol-Gel transformation (Sol = softened form and Gel = hardened form) •  Hardening produces “brush-heap” intertwining of fibrils
  • 22.
    Reversible Hydrocolloid •  Hysteresis= Ability to be heated the gelled form to soften it and then cool it to create the gel form again. •  Gel is boiled to soften, then held in ready to use state at 150 degrees F, then put in 110 degree bath to temper for placement in syringe, tray, and use in the mouth. •  Uses special metal tray through which water circulates to cool & create gel •  Undergoes syneresis and imbibition like alginate.
  • 23.
    Characteristics of Reversible Hydrocolloid • Good detail reproduction and dimensional accuracy but must be poured before the syneresis or imbibition occurs with water changes that create distortion. •  Today, it is not widely used in fixed prosthodontics.
  • 26.
    Condensation Silicone •  Catalystis Tin Octoate •  Reaction by-product is Ethyl Alcohol •  Dimensional stability - Rapid evaporation of alcohol means you must pour impression immediately to maintain optimal accuracy
  • 27.
    Condensation Silicone •  Mainlyused today for duplication procedures and templates for fabrication of provisional crowns
  • 28.
    Polysulfide (Rubber base, Thiokol,Mercaptan) •  Polysulfide base contains mercaptan groups (-SH) that produce sulfur smell •  Catalyst is Lead Dioxide •  Adding drop of water accelerates reaction •  Reaction by-product is water •  Dimensional stability - Evaporation of water produces need to pour right away but not as critical as condensation silicone
  • 29.
    Polysulfide •  It usedto be the most commonly used material (1970’s & 1980’s) but is not commonly used today in fixed prosthodontics.
  • 30.
    Polysulfide •  It Itis still used in complete denture prosthodontics today by some clinicians
  • 31.
    Polyether •  No by-productsof reaction but is hydrophilic and therefore can give up or take on moisture •  Dimensional stability – Excellent unless substantial humidity change occurs •  Very stiff originally
  • 32.
    Addition Silicone Poly (vinylsiloxane); Vinyl polysiloxane •  Catalyst is chloroplatinic acid •  Hydrogen gas byproduct was initial problem that caused voids on surface of gypsum. This problem has been virtually eliminated by use of palladium but still should wait a few minutes before pouring •  Dimensionally accurate for a long time
  • 33.
  • 34.
    Custom Trays &Their Fabrication
  • 35.
    Requirements of aTray •  Rigid •  Dimensionally stable •  Provide space for impression material (2-3 mm minimum) •  Promote retention of impression material •  Possess a handle that allows a positive grasp of tray
  • 36.
    Types of ImpressionTrays Stock trays 1. Plastic 2. Metal Custom trays 1. Autopolymerizing resin 2. Light-polymerized resin
  • 37.
    Advantages of CustomTrays •  Made to fit the arch – needed for some patients •  Carries and confines the material to certain difficult areas – distal surfaces of last molar •  Uses less impression material
  • 38.
    Tray Extension, Form,& Thickness •  Should extend to cover required areas without impinging on other areas such as bony undercuts •  Extend 5 mm beyond gingival margin •  Do not have to cover palate •  Thickness of 3 mm
  • 39.
    Tray Fabrication •  Fabricateautopolymerizing resin trays well in advance of appointment so all polymerization shrinkage has occurred – 24 hours. •  Some clinicians use stops to control the tray seating while minimizing tooth contact with the tray because contact affects the accuracy of the impression in the area where the tray contacts the teeth.
  • 40.
    Custom Tray FabricationTechnique Autopolymerizing Resin •  Diagnostic cast with extension marked
  • 41.
    •  Diagnostic castwith extension marked •  Covered with two layers of denture baseplate wax or beeswax Custom Tray Fabrication Technique Autopolymerizing Resin
  • 42.
    •  Diagnostic castwith extension marked •  Covered with two layers of denture baseplate wax or beeswax •  Small notches can be cut into the wax for those who wants stops Custom Tray Fabrication Technique Autopolymerizing Resin
  • 43.
    •  Diagnostic castwith extension marked •  Covered with two layers of denture baseplate wax or beeswax •  Small notches can be cut into the wax for those who wants stops •  Cover the wax with aluminum foil Custom Tray Fabrication Technique Autopolymerizing Resin
  • 44.
    •  Diagnostic castwith extension marked •  Covered with two layers of denture baseplate wax or beeswax •  Small notches can be cut into the wax for those who wants stops •  Cover the wax with aluminum foil •  Mix the autopolymerizing resin and mold when it is no longer “stringy” and has a “doughy” consistency Custom Tray Fabrication Technique Autopolymerizing Resin
  • 47.
    Place a dropof monomer to enhance bonding of the tray handle
  • 49.
    Custom Tray FabricationTechnique Light-Polymerized Resin •  Same marking of tray extension on cast •  Sheet of resin material applied over cast •  Excess trimmed with a knife & handle applied •  Air-barrier coating material is applied to enhance the polymerization process •  5 minutes of polymerization in light unit
  • 50.
    Custom Tray FabricationTechnique Light-Polymerized Resin •  Same marking of tray extension on cast •  Sheet of resin material applied over cast •  Excess trimmed with a knife & handle applied •  Air-barrier coating material is applied to enhance the polymerization process •  5 minutes of polymerization in light unit
  • 51.
    Custom Tray FabricationTechnique Light-Polymerized Resin •  Same marking of tray extension on cast •  Sheet of resin material applied over cast •  Excess trimmed with a knife & handle applied •  Air-barrier coating material is applied to enhance the polymerization process •  5 minutes of polymerization in light unit
  • 52.
    Blocking out spacesbetween teeth Ultradent LC Block-Out Resin Wax can be used but there is a better solution
  • 55.
    The Continuum ofTreatment: Examples Of Good Tooth Preparation Followed By A Good Impression
  • 56.
  • 59.
  • 60.
  • 61.
  • 62.
    Resin application usingtemplate – moist or lubricated tooth surfaces with no etching
  • 63.
  • 70.
    Thank You ForYour Kind Attention Charles J. Goodacre, DDS, MSD Professor of Restorative Dentistry Loma Linda University School of Dentistry
  • 71.
    v Visit ffofr.org forhundreds of additional lectures on Complete Dentures, Fixed Prosthodontics, Implant Dentistry, Removable Partial Dentures, Esthetic Dentistry and Maxillofacial Prosthetics. v The lectures are free. v Our objective is to create the best and most comprehensive online programs of instruction in Prosthodontics