COLOR AND SHADE
SELECTION
Science & Art Combined
Charles J. Goodacre, DDS, MSD
Professor of Restorative Dentistry
Loma Linda University
School of Dentistry
Color & Light
•  The color of an object is determined by the light that enters
the human eye from that object
•  What is commonly called "the color of a tooth" is actually the
color of the reflected light
Light
•  Light is a form of visible energy that is part of the radiant
energy spectrum. Radiant energy possesses specific
wavelengths, which may be used to identify the type of
energy. Wavelengths are measured in nanometers (nm),
with 1 nm being a billionth of a meter
•  The visible spectrum ranges from about 400 to 700 nm.
Wavelengths shorter than visible light include ultraviolet, x-
rays, gamma, and cosmic rays. Above the visible spectrum
there are infrared, microwaves, television, radio, and
electrical waves
Visible Spectrum Of Light
•  When daylight passes through a crystal prism, as done by
Isaac Newton in 1666, it is bent, and each wavelength
changes direction by a different amount. The various
wavelengths are separated and the individual colors of the
visible spectrum are seen
•  Passing these individual colors through other prisms produces
no further change. Thus, it can be demonstrated that daylight
is composed of all the colors of the visible spectrum and that
"white" light is produced when all these colors are combined.
How To Describe Color In Words
•  Albert Munsell, while teaching color composition and artistic
anatomy, felt a need to describe the colors of his sketches in
definite terms to his students. This led to the development of
the Munsell Color System, which is presently a widely used
visual color order system
•  He described the three dimensions of color as hue, chroma,
and value. It is possible to vary each of these qualities
without disturbing the other. The ability to understand each
of these dimensions and separate them from one another is
fundamental to an understanding of color as it relates to
dentistry
Hue
•  Munsell described hue as "that quality by which we
distinguish one color family from another, as red from
yellow, or green from blue or purple." It is the family name
we apply to a group of colors
•  There are ten hue families in the Munsell Color Order
System, and they are designated by the following upper-
case letters: R for red, YR for yellow-red, Y for yellow, GY
for green-yellow, G for green, BG for blue-green, B for blue,
PB for purple-blue, P for purple, and RP for red-purple
•  Each of these ten hues is further subdivided into ten
numbered segments. The middle red would thus be 5R
Chroma
•  Munsell described chroma in the following manner: "It is that
quality of color by which we distinguish a strong color from a
weak one; the degree of departure of a color sensation from
that of white or gray; the intensity of a distinctive hue; color
intensity“
•  The chroma scale starts from zero, or achromatic, with
increasing numeric values indicating stronger colors
•  Different chromas of a particular hue are arranged from those
of least purity or intensity on the left to those of greatest
purity on the right
Value
•  In describing value, Munsell stated that "it is that quality by
which we distinguish a light color from a dark one"
•  This is an achromatic or colorless distinction. The possible
range of values used in describing the lightness or darkness
of a surface in the Munsell Color System extends from zero
to ten
•  The value of a color is determined by which one of the grays
it matches on the scale. Colors with low value numbers are
termed dark colors, and one with high value numbers are
called light colors. A black-and-white television tube emits
only a range of values
9
Value (con’t)
•  Value is generally considered to be the most important of the
three dimensions of color
•  One reason is that lightness and darkness differences are
readily detected by individuals untrained in color perception
•  Another reason is that value differences are more easily
detected at a variety of viewing distances (both close-up and
at a distance), whereas differences in hue and chroma
become more difficult to quantify as the viewing distance
increases
Free Color Education
and Training Program
•  SCAD.org website provides access
•  SCAD is Society for Color and Appearance
in Dentistry
•  This “Dental Color Matcher” Program was
developed by Dr. Rade Paravina
•  It has excellent exercises in color matching
and will provide 2 hours of CE credit
Color of Human Teeth
•  Dr. E. B. Clark was the first to accurately describe
the color of teeth. In 1931, he reported his color
data from a visual analysis of 6000 teeth from 1000
patients over an 8-year period
•  Hue range from 6 YR to 9.3 Y
•  Value range of 4 to 8
•  Chroma range from 0 to 7
Color of Human Teeth
Based on Munsell Terminology
•  In summary, the hue range of teeth lies in the
yellow-red to yellow portion of the color wheel
•  The value range of teeth is toward the lighter
portion of the scale, which indicates that very dark
teeth were not found in these studies
•  The chroma range is toward the lower portion of the
chroma scale, which indicates that strong colors
were not found among the studied teeth
Guidelines for Clinical
Shade Selection
•  Lighting
•  Selection time
•  Patient / Lip / Shade tab position
•  Tooth condition
•  Selection distance
•  Digital images / Diagram (laboratory
communication)
Lighting
•  Sunlight is the traditional source of light for performing work
involving color. Northern-exposure sunlight in the middle
portion of a day that is slightly overcast is considered to be
the optimal source. This is known as standard daylight.
•  This type of lighting is not always available.
Lighting (con’t)
•  The suitability of artificial lighting for use in color
comparison procedures is based on the ability of the
light source to approximate standard daylight, using
an index known as Color Rendering Index (CRI)
Lighting (con’t)
•  Artificial lights are not available with a color
rendering index of 100, but those with an index over
90 are considered adequate for color matching
Lighting (con’t)
•  Some commonly used light sources have the
following color rendering indices:
–  Daylight fluorescent - 75
–  Warm white fluorescent – 56
–  Cool white fluorescent - 68
Lighting (con’t)
•  It is apparent that most of the commonly used
artificial light sources are not ideally suited for color
matching procedures
•  Color corrected fluorescent lamps are available with
color rendering indices over 90 that provide an
environment conducive to optimal color matching
•  These lights provide the best environment for color
matching but should not be the only source used
during the selection process
Use of the Operatory Light
•  The use of a dental operating light is not recommended
because it is often overpowering and therefore interferes
with fine discrimination of the three dimensions of color.
Use of only ambient lighting provides a more natural
lighting environment
Amount of Lighting
•  The recommended minimal amount of room lighting for
proper color matching in the dental office is about 200 foot-
candles when measured at 30 inches above the floor
•  This level of lighting is approximately the same as that from
three ceiling fixtures each containing four 48-inch tubes
installed in a 10-foot by 10-foot room
•  In addition to improving the color matching environment, this
amount of lighting also helps to reduce eye fatigue. When
there is a significant difference between the brightness level
in the mouth and that of the immediate surroundings,
excessive eye fatigue occurs
Amount of Lighting
•  The unit light provides the illumination necessary for proper
execution of intraoral procedures. With this brightness level
established, the brightness of the surrounding area should
be controlled so significant visual adaptation does not occur
when you look away from the mouth
•  For minimal transient adaptation, a 3:1 brightness ratio
between the intraoral area and surroundings must be
maintained. The use of the proper number of fluorescent
tubes creates the proper brightness ratio between the
ambiently illuminated surroundings and the oral cavity
Restricting Light
•  When light rays enter the eye, they strike the retina.
The light first penetrates a layer of nerve fibers, then
passes through several layers of cells, and finally
reaches the rods and cones, which are embedded
underneath
•  The rods and cones of the retina form the chief
component of the retinal receptor complex. The
rods detect only lightness and darkness (value).
The cones perceive the chromatic aspects of an
object (hue and chroma)
Restricting Light
•  The rods and cones are not distributed equally throughout
the retinal layer. The cones predominate centrally, that is, in
the zone directly behind the lens
•  There is a small oval area about 3 by 5 mm at the retinal
center or posterior pole of the eyeball known as the macula
lutea. At its center is a 0.5-mm depression known as the
fovea centralis. Nearly all of the cones are in or near the
fovea centralis, while the rods predominate in the peripheral
areas of the retina
Restricting Light
•  The central location of the cones can be
advantageously used to improve the perception of
value
•  Squinting restricts the amount of light entering the
eye so that the focus is less acute, shifting the
visual response from the focea to peripheral areas
of the retina
•  The rods are capable of responding to very low light
levels, and squinting thus helps the viewer
determine if the value is correct
•  Conversely, the determination of hue and chroma
requires the presence of an adequate amount of
light
Guidelines for Clinical Shade Selection
•  Lighting
•  Selection time
•  Patient / Lip / Shade tab position
•  Tooth condition
•  Selection distance
•  Digital images / Diagram (laboratory
communication)
Time of Selection
•  Allow sufficient time for the process
•  Start at diagnostic appointment and repeat
subsequently multiple times
•  Select shade before beginning tooth preparation
(eye fatigue, color changes due to moisture
changes)
•  Short duration glances of 5 seconds with periods of
rest instead of prolonged staring. Stare at a blue
card between glances
•  Some authorities recommend focusing on a gray
card instead of a blue card
Guidelines for Clinical Shade Selection
•  Lighting
•  Selection time
•  Patient / Lip / Shade tab position
•  Tooth condition
•  Selection distance
•  Digital images / Diagram (laboratory
communication)
Patient Position
•  E. Bruce Clark, in describing his color system
and technique for selecting a shade, stated
that "it is extremely important that the patient
be in an upright position when the shade is
selected so that the teeth may be viewed in
the surgery under the same conditions under
which they will be seen in his business and
social life"
Patient Position
•  Seated upright with teeth at operator’s
eye level
•  Back of chair adjusted so light does not
reflect off the surface in a distracting
manner
•  Not in a supine position
Lip / Shade Tab Position
Guidelines for Clinical Shade Selection
•  Lighting
•  Selection time
•  Patient / Lip / Shade tab position
•  Tooth condition
•  Selection distance
•  Digital images / Diagram (laboratory
communication)
Tooth Condition
•  Plaque and stain removal
•  Moisture retained in teeth
•  Rubber dam isolation
•  Lengthy, challenging color matching
procedures should include applications
of viscous liquid that is resistant to
evaporation
Guidelines for Clinical Shade Selection
•  Lighting
•  Selection time
•  Patient / Lip / Shade tab position
•  Tooth condition
•  Selection distance
•  Digital images / Diagram (laboratory
communication)
Selection Distance
•  Dental procedures are performed in close proximity
to the teeth, and there is a tendency to perform the
shade selection procedure at the usual working
distance. A distance of about the length of the
forearm (~ 18 inches) is recommended. An even
greater distance of 3 to 6 feet from the oral cavity is
beneficial when evaluating lightness and darkness
(Value)
•  When you meet someone for the first time, smiles
and greetings are generally exchanged, and it is at
this time and distance that ceramic restorations are
often detected. If it takes considerable visual study
and close scrutiny to determine that a porcelain
restoration is present, the color match is
considered very good
Selection Distance
•  Since natural teeth fall into the lower portion
of the chroma range, decisions regarding the
chromatic aspects of a restoration are more
difficult when the observation takes place
at some distance, and consequently value
becomes more apparent.
Guidelines for Clinical Shade Selection
•  Lighting
•  Selection time
•  Patient / Lip / Shade tab position
•  Tooth condition
•  Selection distance
•  Digital images / Diagram
(laboratory communication)
Digital Images / Diagram
•  Some restorations require the use of zones of different
color to match the natural teeth. Digital images show
these areas to technicians. The locations of these
zones can be measured on the teeth, and the
distances transferred to the image or a diagram
•  The form and extent of translucency and other unique
characteristics, such as enamel craze lines or
pigmented areas, are best visualized and
geographically located on digital images
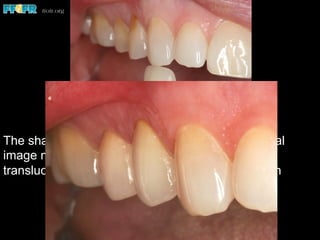
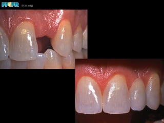
The Value of
Digital Images
•  Digital images can be very useful in showing the
laboratory technician the extent of translucency
and the magnitude and location of surface
characteristics
•  An image of the shade guide specimen next to the
natural tooth can aid in color comparisons but this
can only be done when there are missing teeth
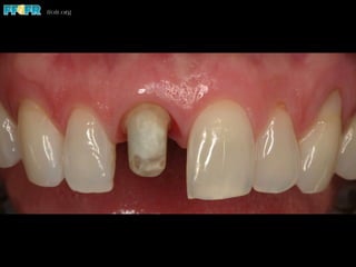
The shade tab should be held above the mandibular
tooth or below the maxillary tooth to be matched and
also be aligned as close as possible to the plane of
orientation of the facial surface of the tooth being
matched
The shade tab should also be inverted and a digital
image made so the technician can compare the
translucency of the shade tab with that of the tooth
Holding the shade tab over a tooth can give a false impression of the color
as the background of the tab is the tooth color rather than the oral cavity
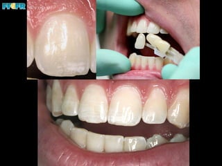
Digital Images Used by Master Technician
to Create Natural Looking Crowns
Opaque fired and surface colorants
(stains) applied over opaque
Opacious dentin
Body dentin
Enamel layer
After firing dentin and enamel layers
Surface prepared for internal
surface coloration (stains)
Surface colorants applied
Surface colorants fired
Translucent enamel applied
Translucent enamel fired
Crown shaped before glazing
Crown glazed
Digital Shade Selection
•  Digital devices are available that can be used
to select the shade
•  Tooth should be clean & free of debris
•  Need to hold probe perpendicular to tooth
•  There is variation in the color depending on
where the probe is located
•  Tip centered (1 – 2 mm from gingiva and
incisal edge) or do 3 zones (gingival, middle,
and incisal)
Identification of Translucent and
Transparent Areas
•  Where is the translucency located / Where
on the facial surface does the translucency
terminate (how much of the incisocervical
crown dimension is translucent)?
•  Is the termination abrupt or gradual?
•  How translucent is the area?
•  Are there areas that are nearly transparent?
Invert the shade tab & make a digital image so the
technician can compare the tab with the tooth
Use an Anterior Contraster to enhance the visibility of
the translucent / transparent areas
As you have seen, the process of color
matching dental porcelain and other
restorative materials with that of natural teeth
is a combination of art and science. The
scientific phase requires serious study along
with clinical application.
Dr. Lloyd Miller stated that the artistic phase
normally requires years of intense study and
practice, even for the gifted.
Thank You For Your Kind Attention
Charles J. Goodacre, DDS, MSD
Professor of Restorative Dentistry
Loma Linda University School of Dentistry
v Visit ffofr.org for hundreds of
additional lectures on Complete
Dentures, Implant Dentistry,
Removable Partial Dentures,
Esthetic Dentistry and
Maxillofacial Prosthetics.
v The lectures are free.
v Our objective is to create the
best and most comprehensive
online programs of instruction in
Prosthodontics

3.color & shade selection

  • 1.
    COLOR AND SHADE SELECTION Science& Art Combined Charles J. Goodacre, DDS, MSD Professor of Restorative Dentistry Loma Linda University School of Dentistry
  • 2.
    Color & Light • The color of an object is determined by the light that enters the human eye from that object •  What is commonly called "the color of a tooth" is actually the color of the reflected light
  • 3.
    Light •  Light isa form of visible energy that is part of the radiant energy spectrum. Radiant energy possesses specific wavelengths, which may be used to identify the type of energy. Wavelengths are measured in nanometers (nm), with 1 nm being a billionth of a meter •  The visible spectrum ranges from about 400 to 700 nm. Wavelengths shorter than visible light include ultraviolet, x- rays, gamma, and cosmic rays. Above the visible spectrum there are infrared, microwaves, television, radio, and electrical waves
  • 4.
    Visible Spectrum OfLight •  When daylight passes through a crystal prism, as done by Isaac Newton in 1666, it is bent, and each wavelength changes direction by a different amount. The various wavelengths are separated and the individual colors of the visible spectrum are seen •  Passing these individual colors through other prisms produces no further change. Thus, it can be demonstrated that daylight is composed of all the colors of the visible spectrum and that "white" light is produced when all these colors are combined.
  • 5.
    How To DescribeColor In Words •  Albert Munsell, while teaching color composition and artistic anatomy, felt a need to describe the colors of his sketches in definite terms to his students. This led to the development of the Munsell Color System, which is presently a widely used visual color order system •  He described the three dimensions of color as hue, chroma, and value. It is possible to vary each of these qualities without disturbing the other. The ability to understand each of these dimensions and separate them from one another is fundamental to an understanding of color as it relates to dentistry
  • 6.
    Hue •  Munsell describedhue as "that quality by which we distinguish one color family from another, as red from yellow, or green from blue or purple." It is the family name we apply to a group of colors •  There are ten hue families in the Munsell Color Order System, and they are designated by the following upper- case letters: R for red, YR for yellow-red, Y for yellow, GY for green-yellow, G for green, BG for blue-green, B for blue, PB for purple-blue, P for purple, and RP for red-purple •  Each of these ten hues is further subdivided into ten numbered segments. The middle red would thus be 5R
  • 7.
    Chroma •  Munsell describedchroma in the following manner: "It is that quality of color by which we distinguish a strong color from a weak one; the degree of departure of a color sensation from that of white or gray; the intensity of a distinctive hue; color intensity“ •  The chroma scale starts from zero, or achromatic, with increasing numeric values indicating stronger colors •  Different chromas of a particular hue are arranged from those of least purity or intensity on the left to those of greatest purity on the right
  • 8.
    Value •  In describingvalue, Munsell stated that "it is that quality by which we distinguish a light color from a dark one" •  This is an achromatic or colorless distinction. The possible range of values used in describing the lightness or darkness of a surface in the Munsell Color System extends from zero to ten •  The value of a color is determined by which one of the grays it matches on the scale. Colors with low value numbers are termed dark colors, and one with high value numbers are called light colors. A black-and-white television tube emits only a range of values 9
  • 9.
    Value (con’t) •  Valueis generally considered to be the most important of the three dimensions of color •  One reason is that lightness and darkness differences are readily detected by individuals untrained in color perception •  Another reason is that value differences are more easily detected at a variety of viewing distances (both close-up and at a distance), whereas differences in hue and chroma become more difficult to quantify as the viewing distance increases
  • 10.
    Free Color Education andTraining Program •  SCAD.org website provides access •  SCAD is Society for Color and Appearance in Dentistry •  This “Dental Color Matcher” Program was developed by Dr. Rade Paravina •  It has excellent exercises in color matching and will provide 2 hours of CE credit
  • 11.
    Color of HumanTeeth •  Dr. E. B. Clark was the first to accurately describe the color of teeth. In 1931, he reported his color data from a visual analysis of 6000 teeth from 1000 patients over an 8-year period •  Hue range from 6 YR to 9.3 Y •  Value range of 4 to 8 •  Chroma range from 0 to 7
  • 12.
    Color of HumanTeeth Based on Munsell Terminology •  In summary, the hue range of teeth lies in the yellow-red to yellow portion of the color wheel •  The value range of teeth is toward the lighter portion of the scale, which indicates that very dark teeth were not found in these studies •  The chroma range is toward the lower portion of the chroma scale, which indicates that strong colors were not found among the studied teeth
  • 13.
    Guidelines for Clinical ShadeSelection •  Lighting •  Selection time •  Patient / Lip / Shade tab position •  Tooth condition •  Selection distance •  Digital images / Diagram (laboratory communication)
  • 14.
    Lighting •  Sunlight isthe traditional source of light for performing work involving color. Northern-exposure sunlight in the middle portion of a day that is slightly overcast is considered to be the optimal source. This is known as standard daylight. •  This type of lighting is not always available.
  • 15.
    Lighting (con’t) •  Thesuitability of artificial lighting for use in color comparison procedures is based on the ability of the light source to approximate standard daylight, using an index known as Color Rendering Index (CRI)
  • 16.
    Lighting (con’t) •  Artificiallights are not available with a color rendering index of 100, but those with an index over 90 are considered adequate for color matching
  • 17.
    Lighting (con’t) •  Somecommonly used light sources have the following color rendering indices: –  Daylight fluorescent - 75 –  Warm white fluorescent – 56 –  Cool white fluorescent - 68
  • 18.
    Lighting (con’t) •  Itis apparent that most of the commonly used artificial light sources are not ideally suited for color matching procedures •  Color corrected fluorescent lamps are available with color rendering indices over 90 that provide an environment conducive to optimal color matching •  These lights provide the best environment for color matching but should not be the only source used during the selection process
  • 19.
    Use of theOperatory Light •  The use of a dental operating light is not recommended because it is often overpowering and therefore interferes with fine discrimination of the three dimensions of color. Use of only ambient lighting provides a more natural lighting environment
  • 20.
    Amount of Lighting • The recommended minimal amount of room lighting for proper color matching in the dental office is about 200 foot- candles when measured at 30 inches above the floor •  This level of lighting is approximately the same as that from three ceiling fixtures each containing four 48-inch tubes installed in a 10-foot by 10-foot room •  In addition to improving the color matching environment, this amount of lighting also helps to reduce eye fatigue. When there is a significant difference between the brightness level in the mouth and that of the immediate surroundings, excessive eye fatigue occurs
  • 21.
    Amount of Lighting • The unit light provides the illumination necessary for proper execution of intraoral procedures. With this brightness level established, the brightness of the surrounding area should be controlled so significant visual adaptation does not occur when you look away from the mouth •  For minimal transient adaptation, a 3:1 brightness ratio between the intraoral area and surroundings must be maintained. The use of the proper number of fluorescent tubes creates the proper brightness ratio between the ambiently illuminated surroundings and the oral cavity
  • 22.
    Restricting Light •  Whenlight rays enter the eye, they strike the retina. The light first penetrates a layer of nerve fibers, then passes through several layers of cells, and finally reaches the rods and cones, which are embedded underneath •  The rods and cones of the retina form the chief component of the retinal receptor complex. The rods detect only lightness and darkness (value). The cones perceive the chromatic aspects of an object (hue and chroma)
  • 23.
    Restricting Light •  Therods and cones are not distributed equally throughout the retinal layer. The cones predominate centrally, that is, in the zone directly behind the lens •  There is a small oval area about 3 by 5 mm at the retinal center or posterior pole of the eyeball known as the macula lutea. At its center is a 0.5-mm depression known as the fovea centralis. Nearly all of the cones are in or near the fovea centralis, while the rods predominate in the peripheral areas of the retina
  • 24.
    Restricting Light •  Thecentral location of the cones can be advantageously used to improve the perception of value •  Squinting restricts the amount of light entering the eye so that the focus is less acute, shifting the visual response from the focea to peripheral areas of the retina •  The rods are capable of responding to very low light levels, and squinting thus helps the viewer determine if the value is correct •  Conversely, the determination of hue and chroma requires the presence of an adequate amount of light
  • 27.
    Guidelines for ClinicalShade Selection •  Lighting •  Selection time •  Patient / Lip / Shade tab position •  Tooth condition •  Selection distance •  Digital images / Diagram (laboratory communication)
  • 28.
    Time of Selection • Allow sufficient time for the process •  Start at diagnostic appointment and repeat subsequently multiple times •  Select shade before beginning tooth preparation (eye fatigue, color changes due to moisture changes) •  Short duration glances of 5 seconds with periods of rest instead of prolonged staring. Stare at a blue card between glances •  Some authorities recommend focusing on a gray card instead of a blue card
  • 29.
    Guidelines for ClinicalShade Selection •  Lighting •  Selection time •  Patient / Lip / Shade tab position •  Tooth condition •  Selection distance •  Digital images / Diagram (laboratory communication)
  • 30.
    Patient Position •  E.Bruce Clark, in describing his color system and technique for selecting a shade, stated that "it is extremely important that the patient be in an upright position when the shade is selected so that the teeth may be viewed in the surgery under the same conditions under which they will be seen in his business and social life"
  • 31.
    Patient Position •  Seatedupright with teeth at operator’s eye level •  Back of chair adjusted so light does not reflect off the surface in a distracting manner •  Not in a supine position
  • 32.
    Lip / ShadeTab Position
  • 33.
    Guidelines for ClinicalShade Selection •  Lighting •  Selection time •  Patient / Lip / Shade tab position •  Tooth condition •  Selection distance •  Digital images / Diagram (laboratory communication)
  • 34.
    Tooth Condition •  Plaqueand stain removal •  Moisture retained in teeth •  Rubber dam isolation •  Lengthy, challenging color matching procedures should include applications of viscous liquid that is resistant to evaporation
  • 36.
    Guidelines for ClinicalShade Selection •  Lighting •  Selection time •  Patient / Lip / Shade tab position •  Tooth condition •  Selection distance •  Digital images / Diagram (laboratory communication)
  • 37.
    Selection Distance •  Dentalprocedures are performed in close proximity to the teeth, and there is a tendency to perform the shade selection procedure at the usual working distance. A distance of about the length of the forearm (~ 18 inches) is recommended. An even greater distance of 3 to 6 feet from the oral cavity is beneficial when evaluating lightness and darkness (Value) •  When you meet someone for the first time, smiles and greetings are generally exchanged, and it is at this time and distance that ceramic restorations are often detected. If it takes considerable visual study and close scrutiny to determine that a porcelain restoration is present, the color match is considered very good
  • 38.
    Selection Distance •  Sincenatural teeth fall into the lower portion of the chroma range, decisions regarding the chromatic aspects of a restoration are more difficult when the observation takes place at some distance, and consequently value becomes more apparent.
  • 39.
    Guidelines for ClinicalShade Selection •  Lighting •  Selection time •  Patient / Lip / Shade tab position •  Tooth condition •  Selection distance •  Digital images / Diagram (laboratory communication)
  • 40.
    Digital Images /Diagram •  Some restorations require the use of zones of different color to match the natural teeth. Digital images show these areas to technicians. The locations of these zones can be measured on the teeth, and the distances transferred to the image or a diagram •  The form and extent of translucency and other unique characteristics, such as enamel craze lines or pigmented areas, are best visualized and geographically located on digital images
  • 41.
    The Value of DigitalImages •  Digital images can be very useful in showing the laboratory technician the extent of translucency and the magnitude and location of surface characteristics •  An image of the shade guide specimen next to the natural tooth can aid in color comparisons but this can only be done when there are missing teeth
  • 42.
    The shade tabshould be held above the mandibular tooth or below the maxillary tooth to be matched and also be aligned as close as possible to the plane of orientation of the facial surface of the tooth being matched
  • 43.
    The shade tabshould also be inverted and a digital image made so the technician can compare the translucency of the shade tab with that of the tooth
  • 44.
    Holding the shadetab over a tooth can give a false impression of the color as the background of the tab is the tooth color rather than the oral cavity
  • 45.
    Digital Images Usedby Master Technician to Create Natural Looking Crowns
  • 46.
    Opaque fired andsurface colorants (stains) applied over opaque
  • 47.
  • 48.
  • 49.
  • 50.
    After firing dentinand enamel layers
  • 51.
    Surface prepared forinternal surface coloration (stains)
  • 52.
  • 53.
  • 54.
  • 55.
  • 56.
  • 57.
  • 59.
    Digital Shade Selection • Digital devices are available that can be used to select the shade •  Tooth should be clean & free of debris •  Need to hold probe perpendicular to tooth •  There is variation in the color depending on where the probe is located •  Tip centered (1 – 2 mm from gingiva and incisal edge) or do 3 zones (gingival, middle, and incisal)
  • 60.
    Identification of Translucentand Transparent Areas •  Where is the translucency located / Where on the facial surface does the translucency terminate (how much of the incisocervical crown dimension is translucent)? •  Is the termination abrupt or gradual? •  How translucent is the area? •  Are there areas that are nearly transparent?
  • 66.
    Invert the shadetab & make a digital image so the technician can compare the tab with the tooth
  • 67.
    Use an AnteriorContraster to enhance the visibility of the translucent / transparent areas
  • 68.
    As you haveseen, the process of color matching dental porcelain and other restorative materials with that of natural teeth is a combination of art and science. The scientific phase requires serious study along with clinical application. Dr. Lloyd Miller stated that the artistic phase normally requires years of intense study and practice, even for the gifted.
  • 69.
    Thank You ForYour Kind Attention Charles J. Goodacre, DDS, MSD Professor of Restorative Dentistry Loma Linda University School of Dentistry
  • 70.
    v Visit ffofr.org forhundreds of additional lectures on Complete Dentures, Implant Dentistry, Removable Partial Dentures, Esthetic Dentistry and Maxillofacial Prosthetics. v The lectures are free. v Our objective is to create the best and most comprehensive online programs of instruction in Prosthodontics