Tooth preparation guidelines for
anterior metal ceramic crowns
Charles J. Goodacre, DDS, MSD
Professor of Restorative Dentistry
Loma Linda University School of Dentistry
This program of instruction is protected by copyright ©. No portion of this
program of instruction may be reproduced, recorded or transferred by any
means electronic, digital, photographic, mechanical etc., or by any information
storage or retrieval system, without prior permission.
The Morphology of metal ceramic single crowns
& fixed partial dentures should closely simulate
atural tooth morphology
This is only possible with adequate tooth preparation
Key Tooth Preparation Form
Decisions
•  Finish line form -3 types have
been used:
– Chamfer
– Shoulder
– Shoulder-bevel
•  Margin design
Shoulder With A Beveled Finish Line
•  Some people think it makes for a better fitting crown
•  It is certainly acceptable to use such a finish line but it
does not make the crown fit better and it does not
work with a porcelain margin
Shoulder Finish Lines
•  Shoulder finish lines provide greater cervical space for an
esthetic thickness of porcelain without overcontouring the
crown and can be used with porcelain margins
Shoulder with sharp
axiogingival line angle
Shoulder with rounded
axiogingival line angle
Chamfer
Why Use A
Shoulder Finish Line?
•  Need for optimal porcelain thickness near
the margin for esthetics and particularly
when optimal reduction is not possible
Finish Line Form Can Affect The
Potential For Gingival Trauma
Why Use A Shoulder With
A Rounded Axiogingival Line Angle?
•  Easier to prepare
than
a sharp angle
•  Required for any
crown
that will be milled
Why Use A Shoulder With
A Rounded Axiogingival Line Angle?
•  Easier to prepare than sharp angle
•  Required for any crown that will be milled
•  Produces less tooth weakening than sharp
axiogingival line angles for small teeth or RCT,
teeth that will be subjected to greater force since
they are FPD abutments, and teeth with
substantial secondary dentin where there is very
little pulp space remaining (older patients)
Key Tooth Preparation
Form Decisions
•  Finish line form (3 types have
been used: chamfer; shoulder;
and shoulder-bevel)
•  Margin design
Margin Design
•  Metal collar – ease of fabrication
for non-esthetic situations
Margin Design
•  Metal collar – ease of fabrication
•  Metal thinned to a fine line that is barely visible –
improved esthetics compared to metal collar and
greater strength than a ceramic margins
Margin Design
•  Metal collar – ease of fabrication for non-
esthetic situations
•  Metal thinned to a fine line that is barely visible
– improved esthetics compared to metal collar
but more opacity than porcelain margin
•  Porcelain (collarless metal ceramic crown) –
most esthetic result but requires very skillful
technician
Why Use A Shoulder
Finish Line And Ceramic Margin?
•  Enhanced cervical esthetics
•  When there is gingival inflammation due
to overcontoured crowns and you want
to make slightly undercontoured crowns
to improve the gingival response
At Cementation
4 Weeks Postcementation
2013 – 4 year PO
2009 - Pretreatment
Pretreatment Cementation - December 2011
2 month PO February 2012
9 month PO August 2012 17 month PO May 2013
TOOTH PREPARATION
STEPS FOR ANTERIOR
METAL CERAMIC
CROWNS & FIXED
PARTIAL DENTURES
AXIAL REDUCTION
Facial
Proximal
Lingual
Axial Reduction
•  The axial surfaces need to be
sufficiently reduced to provide
an esthetic thickness of
porcelain on all visible surfaces
•  The lingual surface and some
proximal surfaces may not
require an ideal thickness of
porcelain because they are not
visible
It is common to remove
crowns and find inadequate
finish line depth
The proximal surfaces of anterior teeth need
adequate reduction to allow reproduction of normal
translucency in the ceramic crowns
Facial Surface Reduction
Facial Surface Reduction
•  Using a coarse grit diamond instrument, prepare facial depth
grooves that follow the incisocervical curvature of the facial
surface.
•  The depth of the grooves varies with patient age. It is
recommended that the grooves be 0.8 – 1.0 mm deep in
young patients and 1.0 – 1.2 mm deep in older patients.
Depths of 0.8 – 1.0 may not be possible on small teeth, teeth
with large pulps, and teeth where the finish line will be located
apical to the cervical line. Finish line depths of 1.2 – 1.5 mm
produce excessive reduction of tooth structure on most teeth.
•  When teeth are prepared with
finish lines that actually
approach or reach 1.5 mm, the
teeth are usually structurally
compromised
0.8 mm 1.0 mm
•  The combined thickness of enamel
and dentin on young teeth does
not support facial reductions that
approach 1.5 millimeters without
encroaching on the pulp
Facial Tooth Thickness (mm)
(pulp to external surface)
•  10-19 1.8 2.0-2.1 2.7
•  20-40 1.9-2.4 2.1-2.3 2.9-3.1
•  40-60 2.0-2.8 2.1-2.3 2.8-2.9
Oshshi, 1968, from Rosenstiel,
Contemporary Fixed Prosthodontics
Age Central Lateral Canine
•  Available tooth structure
thickness at the cervical line
is limited and particularly on
the proximal surfaces
Maxillary Tooth Thickness
(At the cervical line) (Patient age range: 28-37)
•  Central Incisor 2.3 2.2
•  Lateral Incisor 2.1 1.8
•  Canine 2.8 2.1
Stambaugh, J Prosthet Dent 1977;37:537-546
Tooth Facial Mesial
REDUCTIONS THAT MEET OR EXCEED 1
mm CANNOT BE PRODUCED ON YOUNG
TEETH WHERE THE PULPS ARE
RELATIVELY LARGE
Gingival recession and the position of abutments relative to
each other can limit the depth and location of facial finish lines
Data Regarding Finish Line
Depth
Mean Facial Shoulder Depth
•  24 extracted teeth prepared by 3 different faculty
members with at least 6 years of experience
•  No shoulders were within the common
recommendations of 1.2 – 1.5 mm depth
•  Mean depth of 0.75 mm
•  Range from 0.47 to 1.1 mm
Seymour, 1996
MC Facial Shoulder Depths
•  Incisors – 0.8 mm mean depth
•  Canines – 0.9 mm mean depth
Poon, Quintessence Int 2001;32:603-610
MC Finish Line Depths
•  0.86 mm mean facial shoulder
•  0.7 mm mean chamfer depths on
mesial, distal, and lingual surfaces
•  0.45 mm mean facial shoulder on
mandibular incisors
Al-Omari, 2004
FL Dimension Before & After Preparation:
1 mm Coronal to Finish Line
•  250 teeth from 42 patients
•  Maxillary anterior – 0.85 mm mean
•  Mandibular anterior – 0.71 mm
Ehrlich, J Prosthet Dent 1981;46:153-156
Reduction depths in
excess of 1.0 mm can be
only achieved on mature
teeth where considerable
secondary dentin formation
has occurred and the pulp
dimensions have been
reduced
•  The use of depth grooves assures uniform
reduction that enhances the esthetic result by
providing uniform space for the ceramic material
that overlays the metal casting
•  Select a diamond instrument with a tip diameter of
about 0.8 to 1.0 mm, depending on tooth and pulp
size. Prepare facial grooves until their depth matches
the instrument diameter or exceeds that dimension on
mature teeth
1 mm diameter
instrument
The reduced
facial surface
should follow the
curvature of the
facial surface on
adjacent
unprepared teeth
AXIAL REDUCTION
Proximal Surfaces
•  Following the depth of the grooves, uniformly reduce the facial
surface.
•  Also, uniformly reduce both proximal surfaces while
establishing a finish line of the desired depth.
•  A total occlusal convergence angle of 10 – 20 degrees is
established between the mesial and distal surfaces.
AXIAL REDUCTION
Lingual Surface
•  When restoring the cervical aspect of the lingual surface with
metal, reduce the lingual surface (cervical to the cingulum)
and form a 0.3 – 0.5 mm deep chamfer finish line
Lingual reduction cervical
to the cingulum
A chamfer finish line was used on the lingual
surface where a metal margin was used
Aligning Tapered Round
End Diamond Instrument
With Facial Surface So
Lingual Can Be Reduced
A Lingual Chamfer
Finish Line Is Formed
That Is 0.3 – 0.5 mm
deep
•  When restoring the cervical aspect of the lingual surface
with porcelain, reduce the lingual surface (cervical to the
cingulum) and form a 0.5-0.8 mm deep shoulder finish line
with a rounded axiogingival line angle
•  The total occlusal convergence between the facial
and lingual surfaces and also between the mesial
and distal surfaces should be between 10 and 20°.
Greater faciolingual
convergence is sometimes
needed so crowns & FPDs can
have compatible morphology
with adjacent unprepared teeth
that have considerable occlusal
convergence to their facial &
lingual surfaces
In these situations, the loss of
resistance form should be
compensated for by increasing the
occlusocervical dimension, adding
proximal grooves/boxes or both.
The mesial surface has
been modified to include
a proximal groove that
will increase resistance
form
•  Creating a somewhat abrupt transition between the deeper
facial reduction and the proximal surfaces enhances
resistance form by functioning like one-half of a groove
Proximal
transition from
shoulder to
chamfer
INCISAL REDUCTION
•  Depths grooves, 2.0 mm deep, are prepared into the incisal
aspect of anterior teeth and they are then used as guides to
uniformly reduce the incisal edge, following its mesiodistal form
INCISAL REDUCTION
INCISAL REDUCTION
•  The available incisal thickness
of enamel and dentin safely
supports reductions of 2.0 mm,
even on young teeth
INCISAL REDUCTION
Incisal Tooth Thickness
(pulp to incisal edge)
•  10-19 4.7-4.8 3.9-4.3 4.4
•  20-40 4.8-5.5 4.8-5.2 4.6-4.8
•  40-60 6.2-6.3 4.8-6.0 4.8-5.4
Oshshi, 1969, from Rosenstiel,
Contemporary Fixed Prosthodontics
Age CI LI Ca
LINGUAL REDUCTION FOR
OCCLUSAL CLEARANCE
•  The lingual surface of anterior teeth
should be reduced at least 1.0 mm for
occlusal clearance with the opposing
teeth when the lingual surface will be
veneered with porcelain.
LINGUAL REDUCTION
FOR OCCLUSAL CLEARANCE
LINGUAL REDUCTION
FOR OCCLUSAL CLEARANCE
•  When the lingual surface of anterior teeth will be
restored with metal, reductions can be less than
1.0 mm but should still be at least 0.5 mm
LINGUAL REDUCTION
FOR OCCLUSAL CLEARANCE
LINGUAL REDUCTION
FOR OCCLUSAL CLEARANCE
ROUNDING LINE ANGLES
•  Line angles should be rounded to facilitate pouring
impressions without trapping air bubbles and investing
wax patterns without air inclusions
•  Additionally, should nodules occur in the casting, they are
easier to remove when the line angles have been
rounded
•  With CAD/CAM milled crowns, the milling tools cannot
get into sharp acute angles where surfaces meet
ROUNDING LINE ANGLES
ROUNDING LINE ANGLES
Tooth Preparation Review
•  Facial reduction of 0.8 – 1.0 mm whenever possible.
Depths may have to be less than 1.0 mm in younger
patients. Depths of 1.2 – 1.5 mm are not usually
possible cervically.
•  A proximal and lingual chamfer of 0.3 – 0.5 mm for
metal and 0.5 – 0.8 mm for porcelain
•  Uniform axial reduction that produces 10 to 20
degrees of total occlusal convergence
•  Incisal reduction of 2.0 mm for anterior teeth
•  1.0 mm of occlusal clearance for anterior teeth and
2.0 mm for posterior teeth when those surfaces will be
veneered with porcelain. Less reduction can be
adequate when using metal to restore occlusal
contact
•  Rounded line angles
Thank You For Your
Kind Attention
Charles J. Goodacre, DDS, MSD
Professor of Restorative Dentistry
Loma Linda University School of Dentistry
v Visit ffofr.org for hundreds of
additional lectures on Complete
Dentures, Implant Dentistry,
Removable Partial Dentures,
Esthetic Dentistry and
Maxillofacial Prosthetics.
v The lectures are free.
v Our objective is to create the
best and most comprehensive
online programs of instruction in
Prosthodontics

1.anterior mcc prep

  • 1.
    Tooth preparation guidelinesfor anterior metal ceramic crowns Charles J. Goodacre, DDS, MSD Professor of Restorative Dentistry Loma Linda University School of Dentistry This program of instruction is protected by copyright ©. No portion of this program of instruction may be reproduced, recorded or transferred by any means electronic, digital, photographic, mechanical etc., or by any information storage or retrieval system, without prior permission.
  • 2.
    The Morphology ofmetal ceramic single crowns & fixed partial dentures should closely simulate atural tooth morphology This is only possible with adequate tooth preparation
  • 3.
    Key Tooth PreparationForm Decisions •  Finish line form -3 types have been used: – Chamfer – Shoulder – Shoulder-bevel •  Margin design
  • 4.
    Shoulder With ABeveled Finish Line •  Some people think it makes for a better fitting crown •  It is certainly acceptable to use such a finish line but it does not make the crown fit better and it does not work with a porcelain margin
  • 5.
    Shoulder Finish Lines • Shoulder finish lines provide greater cervical space for an esthetic thickness of porcelain without overcontouring the crown and can be used with porcelain margins Shoulder with sharp axiogingival line angle Shoulder with rounded axiogingival line angle Chamfer
  • 6.
    Why Use A ShoulderFinish Line? •  Need for optimal porcelain thickness near the margin for esthetics and particularly when optimal reduction is not possible
  • 9.
    Finish Line FormCan Affect The Potential For Gingival Trauma
  • 10.
    Why Use AShoulder With A Rounded Axiogingival Line Angle? •  Easier to prepare than a sharp angle •  Required for any crown that will be milled
  • 11.
    Why Use AShoulder With A Rounded Axiogingival Line Angle? •  Easier to prepare than sharp angle •  Required for any crown that will be milled •  Produces less tooth weakening than sharp axiogingival line angles for small teeth or RCT, teeth that will be subjected to greater force since they are FPD abutments, and teeth with substantial secondary dentin where there is very little pulp space remaining (older patients)
  • 15.
    Key Tooth Preparation FormDecisions •  Finish line form (3 types have been used: chamfer; shoulder; and shoulder-bevel) •  Margin design
  • 16.
    Margin Design •  Metalcollar – ease of fabrication for non-esthetic situations
  • 18.
    Margin Design •  Metalcollar – ease of fabrication •  Metal thinned to a fine line that is barely visible – improved esthetics compared to metal collar and greater strength than a ceramic margins
  • 20.
    Margin Design •  Metalcollar – ease of fabrication for non- esthetic situations •  Metal thinned to a fine line that is barely visible – improved esthetics compared to metal collar but more opacity than porcelain margin •  Porcelain (collarless metal ceramic crown) – most esthetic result but requires very skillful technician
  • 24.
    Why Use AShoulder Finish Line And Ceramic Margin? •  Enhanced cervical esthetics •  When there is gingival inflammation due to overcontoured crowns and you want to make slightly undercontoured crowns to improve the gingival response
  • 28.
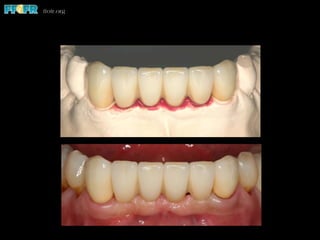
    At Cementation 4 WeeksPostcementation
  • 29.
    2013 – 4year PO 2009 - Pretreatment
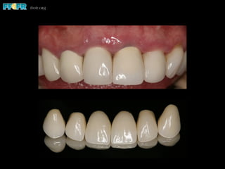
  • 35.
    Pretreatment Cementation -December 2011 2 month PO February 2012 9 month PO August 2012 17 month PO May 2013
  • 36.
    TOOTH PREPARATION STEPS FORANTERIOR METAL CERAMIC CROWNS & FIXED PARTIAL DENTURES
  • 37.
  • 38.
    Axial Reduction •  Theaxial surfaces need to be sufficiently reduced to provide an esthetic thickness of porcelain on all visible surfaces •  The lingual surface and some proximal surfaces may not require an ideal thickness of porcelain because they are not visible
  • 39.
    It is commonto remove crowns and find inadequate finish line depth
  • 41.
    The proximal surfacesof anterior teeth need adequate reduction to allow reproduction of normal translucency in the ceramic crowns
  • 42.
  • 43.
    Facial Surface Reduction • Using a coarse grit diamond instrument, prepare facial depth grooves that follow the incisocervical curvature of the facial surface. •  The depth of the grooves varies with patient age. It is recommended that the grooves be 0.8 – 1.0 mm deep in young patients and 1.0 – 1.2 mm deep in older patients. Depths of 0.8 – 1.0 may not be possible on small teeth, teeth with large pulps, and teeth where the finish line will be located apical to the cervical line. Finish line depths of 1.2 – 1.5 mm produce excessive reduction of tooth structure on most teeth.
  • 44.
    •  When teethare prepared with finish lines that actually approach or reach 1.5 mm, the teeth are usually structurally compromised
  • 45.
  • 46.
    •  The combinedthickness of enamel and dentin on young teeth does not support facial reductions that approach 1.5 millimeters without encroaching on the pulp
  • 47.
    Facial Tooth Thickness(mm) (pulp to external surface) •  10-19 1.8 2.0-2.1 2.7 •  20-40 1.9-2.4 2.1-2.3 2.9-3.1 •  40-60 2.0-2.8 2.1-2.3 2.8-2.9 Oshshi, 1968, from Rosenstiel, Contemporary Fixed Prosthodontics Age Central Lateral Canine
  • 48.
    •  Available toothstructure thickness at the cervical line is limited and particularly on the proximal surfaces
  • 49.
    Maxillary Tooth Thickness (Atthe cervical line) (Patient age range: 28-37) •  Central Incisor 2.3 2.2 •  Lateral Incisor 2.1 1.8 •  Canine 2.8 2.1 Stambaugh, J Prosthet Dent 1977;37:537-546 Tooth Facial Mesial
  • 50.
    REDUCTIONS THAT MEETOR EXCEED 1 mm CANNOT BE PRODUCED ON YOUNG TEETH WHERE THE PULPS ARE RELATIVELY LARGE
  • 51.
    Gingival recession andthe position of abutments relative to each other can limit the depth and location of facial finish lines
  • 52.
  • 53.
    Mean Facial ShoulderDepth •  24 extracted teeth prepared by 3 different faculty members with at least 6 years of experience •  No shoulders were within the common recommendations of 1.2 – 1.5 mm depth •  Mean depth of 0.75 mm •  Range from 0.47 to 1.1 mm Seymour, 1996
  • 54.
    MC Facial ShoulderDepths •  Incisors – 0.8 mm mean depth •  Canines – 0.9 mm mean depth Poon, Quintessence Int 2001;32:603-610
  • 55.
    MC Finish LineDepths •  0.86 mm mean facial shoulder •  0.7 mm mean chamfer depths on mesial, distal, and lingual surfaces •  0.45 mm mean facial shoulder on mandibular incisors Al-Omari, 2004
  • 56.
    FL Dimension Before& After Preparation: 1 mm Coronal to Finish Line •  250 teeth from 42 patients •  Maxillary anterior – 0.85 mm mean •  Mandibular anterior – 0.71 mm Ehrlich, J Prosthet Dent 1981;46:153-156
  • 57.
    Reduction depths in excessof 1.0 mm can be only achieved on mature teeth where considerable secondary dentin formation has occurred and the pulp dimensions have been reduced
  • 58.
    •  The useof depth grooves assures uniform reduction that enhances the esthetic result by providing uniform space for the ceramic material that overlays the metal casting
  • 59.
    •  Select adiamond instrument with a tip diameter of about 0.8 to 1.0 mm, depending on tooth and pulp size. Prepare facial grooves until their depth matches the instrument diameter or exceeds that dimension on mature teeth
  • 60.
  • 61.
    The reduced facial surface shouldfollow the curvature of the facial surface on adjacent unprepared teeth
  • 62.
  • 63.
    •  Following thedepth of the grooves, uniformly reduce the facial surface. •  Also, uniformly reduce both proximal surfaces while establishing a finish line of the desired depth. •  A total occlusal convergence angle of 10 – 20 degrees is established between the mesial and distal surfaces.
  • 64.
  • 65.
    •  When restoringthe cervical aspect of the lingual surface with metal, reduce the lingual surface (cervical to the cingulum) and form a 0.3 – 0.5 mm deep chamfer finish line Lingual reduction cervical to the cingulum
  • 66.
    A chamfer finishline was used on the lingual surface where a metal margin was used
  • 69.
    Aligning Tapered Round EndDiamond Instrument With Facial Surface So Lingual Can Be Reduced A Lingual Chamfer Finish Line Is Formed That Is 0.3 – 0.5 mm deep
  • 71.
    •  When restoringthe cervical aspect of the lingual surface with porcelain, reduce the lingual surface (cervical to the cingulum) and form a 0.5-0.8 mm deep shoulder finish line with a rounded axiogingival line angle
  • 72.
    •  The totalocclusal convergence between the facial and lingual surfaces and also between the mesial and distal surfaces should be between 10 and 20°.
  • 73.
    Greater faciolingual convergence issometimes needed so crowns & FPDs can have compatible morphology with adjacent unprepared teeth that have considerable occlusal convergence to their facial & lingual surfaces In these situations, the loss of resistance form should be compensated for by increasing the occlusocervical dimension, adding proximal grooves/boxes or both.
  • 74.
    The mesial surfacehas been modified to include a proximal groove that will increase resistance form
  • 75.
    •  Creating asomewhat abrupt transition between the deeper facial reduction and the proximal surfaces enhances resistance form by functioning like one-half of a groove
  • 76.
  • 77.
  • 78.
    •  Depths grooves,2.0 mm deep, are prepared into the incisal aspect of anterior teeth and they are then used as guides to uniformly reduce the incisal edge, following its mesiodistal form INCISAL REDUCTION
  • 79.
  • 80.
    •  The availableincisal thickness of enamel and dentin safely supports reductions of 2.0 mm, even on young teeth INCISAL REDUCTION
  • 81.
    Incisal Tooth Thickness (pulpto incisal edge) •  10-19 4.7-4.8 3.9-4.3 4.4 •  20-40 4.8-5.5 4.8-5.2 4.6-4.8 •  40-60 6.2-6.3 4.8-6.0 4.8-5.4 Oshshi, 1969, from Rosenstiel, Contemporary Fixed Prosthodontics Age CI LI Ca
  • 82.
  • 83.
    •  The lingualsurface of anterior teeth should be reduced at least 1.0 mm for occlusal clearance with the opposing teeth when the lingual surface will be veneered with porcelain. LINGUAL REDUCTION FOR OCCLUSAL CLEARANCE
  • 84.
  • 85.
    •  When thelingual surface of anterior teeth will be restored with metal, reductions can be less than 1.0 mm but should still be at least 0.5 mm LINGUAL REDUCTION FOR OCCLUSAL CLEARANCE
  • 86.
  • 87.
  • 88.
    •  Line anglesshould be rounded to facilitate pouring impressions without trapping air bubbles and investing wax patterns without air inclusions •  Additionally, should nodules occur in the casting, they are easier to remove when the line angles have been rounded •  With CAD/CAM milled crowns, the milling tools cannot get into sharp acute angles where surfaces meet ROUNDING LINE ANGLES
  • 89.
  • 90.
    Tooth Preparation Review • Facial reduction of 0.8 – 1.0 mm whenever possible. Depths may have to be less than 1.0 mm in younger patients. Depths of 1.2 – 1.5 mm are not usually possible cervically. •  A proximal and lingual chamfer of 0.3 – 0.5 mm for metal and 0.5 – 0.8 mm for porcelain •  Uniform axial reduction that produces 10 to 20 degrees of total occlusal convergence •  Incisal reduction of 2.0 mm for anterior teeth •  1.0 mm of occlusal clearance for anterior teeth and 2.0 mm for posterior teeth when those surfaces will be veneered with porcelain. Less reduction can be adequate when using metal to restore occlusal contact •  Rounded line angles
  • 91.
    Thank You ForYour Kind Attention Charles J. Goodacre, DDS, MSD Professor of Restorative Dentistry Loma Linda University School of Dentistry
  • 92.
    v Visit ffofr.org forhundreds of additional lectures on Complete Dentures, Implant Dentistry, Removable Partial Dentures, Esthetic Dentistry and Maxillofacial Prosthetics. v The lectures are free. v Our objective is to create the best and most comprehensive online programs of instruction in Prosthodontics