Volume 14
           Fibrous Soft Tissue Tumors
Desmoid tumors---------------------Case 250-253 & 1170-1
Aponeuratic fibroma----------------Case 1172-1173
Infantile fibromatosis---------------Case 254
Elastofibroma------------------------Case 255
Nodular fascitis----------------------Case 256
Plantar fibroma-----------------------Case 257
Malignant fibrous histiocytoma----Case 258-265 &1174-75
Low grade fibromyxoid sarcoma---Case 1178
Fibrosarcoma--------------------------Case 266-7 & 1179-1181
Dermatofibrosarcoma protuberans-Case 268-269
Leiomyosarcoma----------------------Case 1182
Desmoid Tumors
Desmoid Tumor
   One of the most common benign soft tissue tumors is the extra-
abdominal desmoid tumor, sometimes referred to as an aggressive
fibromatosis or simple desmoid tumor. As compared to the multitude
of different clinical types of infantile fibromatosis, the desmoid
tumor occurs in older children or young adults up through the age
of 40 years. The abdominal desmoid tumor is usually seen in young
adult females following pregnancy, whereas the extra-abdominal
desmoid tumor is found more commonly in men, usually in the
proximal parts of the body such as the shoulder, buttock and posterior
thigh area. Other areas include the popliteal space, the arm and
forearm. They are usually solitary lesions, however multi-centric
involvement can occur. In the case of “Gardner’s syndrome” the
desmoid tumor can be associated with polyposis of the large bowel
and cranial-facial osteomas. Desmoid tumors take their origin from
muscle fascial planes and tend to be extensively infiltrative into the
surrounding tissue with poorly defined margins that make surgical
resection difficult. They can also occur in tendon sheaths, joint
capsules, and even inside bone. Clinically, the desmoid tumor has
the appearance of a low grade fibrosarcoma but tends to be more
invasive in character and can frequently engulf adjacent neuro-
vascular structures. Even though the desmoid tumor has a histo-
logical appearance similar to a low grade fibrosarcoma, it will
never metastasize to distant parts but can be multifocal in its
presentation in the extremity. Clinically, the desmoid tumor is
very firm to palpation. It frequently causes symptoms of pain and
is tender on deep palpation. Microscopically the tumor is heavily
collagenized but with a very low mitotic index, with an appearance
similar to plantar fibromatosis.
    The desmoid tumor does not calcify but is radiodense on ordinary
radiographs and can be easily identified on a soft tissue window CT
scan. The MRI is the best imaging study for this tumor and will be
low signal on the T-1 weighted image but only intermediate high
signal on the T-2 because of the low water content in this tumor
which helps separate it from malignant MFH and fibrosarcoma.
The desmoid tumor is related to physical activity compared to
higher grade spindle cell tumors that are more spontaneous in origin.
    Treatment consists of a wide surgical resection, if possible, but
because of the high recurrence rate (about 50%), most clinicians
will advise post operative radiation therapy to the extent of 5000
centigray to the surgical site starting two weeks after surgery. This
reduces the chance of local recurrence to 10-15%. In rare situations
where the patient has multiple recurrences locally following RT,
amputation may be indicated. Even with amputation, recurrences
will be seen at the amputation site. In patients over 40 years of age
it is not unusual to see a spontaneous involution of desmoid tumors
requiring no treatment whatsoever. Estrogen may play a role in the
development of desmoid tumors and this accounts for the use of
tamoxifen with some reported clinical benefit. Other adjuvant
therapies include nonsteroidal anti-inflammatory agents and even
the use of mild chemotherapeutic agents.
CLASSIC   Case #250.1
                             Axial T-1 MRI




      50 year male with desmoid tumor thigh
Coronal T-2 MRI
Axial T-2 MRI
Axial gad contrast MRI
Resection specimen cut in path lab
Photomic
Higher power
Case #250.2                Coronal T-1 MRI




  45 year female with desmoid tumor gluteus maximus
Axial T-1 MRI
Axial T-2 MRI
Resection specimen cut in path lab
Photomic
Case #250.3               Coronal T-1 MRI




      61 year male with desmoid gluteus maximus
Sagittal T-2 MRI
Case #250.3      Sag T-2                 Sag Gad




15 year female with painful enlarging desmoid past 6 months
                while on chemotherapy
Coronal Gad shows minimal response to chemotherapy
Axial T-2




            vessels


Axial Gad
Cor T-2        Two Cor gad              Sag gad




2 yrs later with recurrence above and below the RT ports
Prox thigh axial T-2   Gad




Distal thigh in area
of previous surgery
 and 5000 rads RT
Case #250.4




61 year male
axillary desmoid
Coronal T-1 MRI
Coronal T-2 MRI
Case #250.5           2007
         Cor T-2             Gad         Axial Gad




  21 year male with tender mass in axilla for 6 months
2009

Cor T-2          Gad          Axial Gad




      Post low dose chemotherapy
Case #251




            11 year male with desmoid foot
Sagittal T-1 MRI
Axial T-1 MRI
Axial T-2 MRI
Resected specimen with wedge cut out
Case #251.1                   Desmoid tumor of foot




10 year male with firm tender swelling in forefoot 18 mos
        following a pellet gun injury to foot
Cor T-1   T-2   Gad
Sag T-1




  Gad
Axial T-1   T-2




Gad
Case #252




11 year male
desmoid posterior
compartment thigh

Coronal T-1 MRI
Coronal T-2 MRI
Axial T-2 MRI
Case #253




29 year male
recent fracture ulna
18 months later
with desmoid tumor
at fracture site
Sagittal T-2 MRI 18 months later with desmoid tumor
Axial T-2 MRI at 18 months
Photomic
Post op resection
distal ulna with
synostosis of distal
ulnar tip to radius
Case #253.1
                          Sagittal T-1 MRI




      14 year male with desmoid tumor hand 2 years
Sagittal T-2 MRI
Axial T-1 MRI
Axial T-2 MRI
Case #253.2               Desmoid tumor




56 yr male with tender soft tissue mass volar aspect of wrist 6 mos
Cor T-1         T-2




          Gad
Axial T-1   T-2




   Gad
Case #1170                      Axial T-1 MRI




  45 year female with desmoid tumor post capsule knee
Sagittal T-2 MRI
Coronal T-2 MRI
Coronal STIR MRI
Surgical specimen cut in path lab
Photomic
Case #1170.1              P.O. desmoid




        61 year female with OA knee in 3/06 prior to TKA
Sag MRI 4/03




T-1                  T-2
MRI 1 year PO TKA




Sag T-2                       Gad
Axial
T-1                 T-2




      Gad
Surgical resection
Case #1170.2         Axial T-1          T-2   P.O. desmoid




82 yr female who noted a
slow growing tender mass
at the site of a prior cervical
laminectomy
                                  Gad
Sag T-1   T-2




   Gad
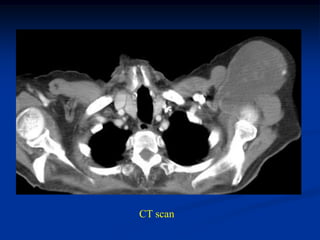
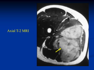
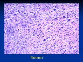
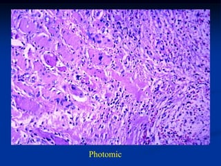
Case #1171




    9 year male with desmoid tumor posterior axilla
tumor




CT scan
tumor




Axial T-2 MRI
Photomic
Aponeuratic
 Fibroma
Case #1172




  6 year male with aponeuratic fibroma middle finger
Photomic showing punctate calcific chondroid tissue
Another photomic with punctate calcification
Case #1173




   21 year male with aponeuratic fibroma index finger
Surgical specimen showing calcium deposits
Photomic showing chondroid calcification
Infantile
Fibromatosis
CLASSIC        Case #254




   2 month male with infantile fibromatosis right leg
AP                       LAT




Dysplastic bowing fibula at age 2 years
Progressive changes at 7 years
Sagittal T-1 MRI at 7 years
Sagittal T-2 MRI age 7
Elastofibroma
Elastofibroma
     The elastofibroma is seen almost exclusively in people past the
age of 55 years. It is more common in women than men, and the
majority of cases are seen in those involved in heavy manual labor
or unusual sports requiring extensive use of the upper extremities.
It almost always occurs between the scapula and the chest wall
inferiorly and is bilateral in about 10% of cases. It is usually located
in the lower subscapular area, deep to the rhomboid and latissimus
dorsi muscles where it is firmly attached to the chest wall in the area
of the seventh and eighth ribs posteriorly. Grossly, the tumor has an
appearance similar to a desmoid tumor and microscopically there is
an intertwining of swollen eosinophillic collagen fibers and elastic
fibers in an equal proportion. The elastic fibers have a degenerated,
beaded appearance or are fragmented into small globules or droplets
that are easily seen with the Verhoeff stain that is specific for elastin
fiber. The cross section shows a characteristic serrated edge. The
elastofibroma is considered a reactive pseudotumor with an excellent
prognosis. It is treated by a marginal surgical resection with an
extremely low recurrence rate and in some cases can be treated by
radiation therapy alone without surgery.
CLASSIC    Case #255         Axial T-1 MRI




      50 female with subscapular elastofibroma
Axial T-2 MRI
Resected surgical specimen
Photomic showing elastic fibers
Elastic fibers seen with Verhoeff elastin stain
Case #255.1

                       Axial T-1



35 yr female with
slightly tender lump
below tip of scapula
                            T-2
for 1 yr




                            Gad
Cor T-1   T-2   Gad
Case #255.2       Axial CT scan       Coronal




70 yr female with a slightly tender
soft mass beneath tip of right
scapula for 1 yr

          Elastofibroma
Nodular Fascitis
Nodular Fascitis
    Nodular fascitis is a very common, self-limiting, reactive process
rather than a true neoplasm occurring in young adults. Typically it
arises spontaneously and rapidly in the subcutaneous portion of the
lower aspect of the forearm and is associated with inflammatory
pain, swelling and local tenderness. Histologically, nodular fascitis
can take on the appearance of a spindle cell sarcoma. The lesion
grows quite rapidly over a period of several weeks, is usually
solitary, and usually occurs in the upper extremity. It is usually less
than 3 cm in diameter, has a grayish-white appearance and can have
myxoid changes. Histologically, the lesion is a fibroblastic pseudo-
tumor similar to granulation tissue with a fair number of mitotic
figures but no atypical mitoses will be seen. The fibroblasts are
infiltrated by lymphocytes. Treatment consists of local surgical
excision with a rare recurrence rate of less than 2%. No adjuvant
therapy is indicated.
CLASSIC      Case #256




     25 year female with nodular fascitis forearm
Surgical resection
Surgical specimen
Photomic
Plantar Fibroma
Plantar Fibroma
    The plantar fibroma is a fairly common clinical entity similar to
to the palmar fibroma. It arises from the plantar fascia and is usually
located on the medial portion of the arch of the foot. As opposed to
palmar fibromatosis that is typically seen in older patients, the plantar
fibroma is more common in young adults or even in children. In
some cases, there is a familial background (this is particularly true
in Scandinavians), with a greater incidence in males. The plantar
fibroma is frequently asymptomatic in which case surgical treatment
is not indicated. However, if pain results, especially if pressure on an
adjacent central nerve causes symptoms, a simple surgical resection
can be performed. Both the palmar and plantar fibromas have a
characteristic fibrotic histological appearance that is quite cellular
in areas and can be misdiagnosed as a malignant sarcoma. Some
patients will have fibromas in their hands and feet simultaneously
and can also have penile fibromas. A contracture of the finger is
typical in palmar fibromas whereas toe contractures are not seen in
plantar fibromatosis.
CLASSIC            Case #257




          32 year female with plantar fibroma
Photomic
Higher power
Case #257.1              Sag T-1

48 year male with
recurrent lump on
plantar aspect of foot
recurrent from surgery
17 years ago

    T-2                  Gad
Axial T-1    T-2




       Gad
Malignant Fibrous
  Histiocytoma
Malignant Fibrous Histiocytoma
    The malignant fibrous histiocytoma (MFH) is the most common
high grade soft tissue tumor. It occurs typically in older patients past
the age of 50 years and is more common in men. The most common
type is the so-called storiform or pleomorphic malignant fibrous
histiocytoma, followed next by the myxoid, giant cell, and inflamma-
tory subtypes. The pleomorphic form is seen in patients between the
the age of 50 and 70 years, and is usually found in a deep location in
a large muscle about the thigh, hip or retroperitoneal area. These
tumors usually present with symptoms of pain along with a tumor
mass that has been present for at least 3 or 4 months, but sometimes
these lesions can be asymptomatic. The gross appearance of the
tumor is a multinodular lesion that can have separate satellite lesions
located within the same muscle belly, usually at the upper or lower
pole of the lesion. On MRI, the lesion may demonstrate central
necrosis. The color is a dirty gray to reddish tan. Because this tumor
is usually high grade, it demonstrates a high index of mitotic activity
and the cell types usually found are malignant fibroblasts mixed
with anaplastic pleomorphic histiocytes. This tumor has a high
potential to metastasize to the lung in about 40-45% of cases. It can
go to regional lymph nodes in 10% of cases. With appropriate
surgical and adjuvant therapy, the local recurrence rate is in the
neighborhood of 10-15% after a wide surgical resection. When these
tumors are located in a superficial, subcutaneous location and
present with a size less than 5 cm, the overall prognosis is much
better, with only a 20% chance of metastasis to the lung. However, in
the more common, deeply located lesions that measure over 5 cm in
diameter, the overall survival rate is 55%.
    The usual treatment for the high grade MFH is a wide surgical
resection when possible. If the tumor is too large and cannot be
resected safely because of major neurovascular invasion or multiple
compartmental contamination, an aggressive high level amputation is
sometimes indicated. Following surgical resection, most patients
with the more aggressive lesions will be treated with adjuvant
postoperative radiation therapy, in the neighborhood of 6500 centi
gray to the tumor site, with a wider field of 5500 centigray outside
the surgical site. At some institutions, patients will be treated with
preoperative radiation therapy, up to about 5500 centigray, with
an additional 1000 centigray being delivered two weeks after
surgery. The use of adjuvant chemotherapy for high grade soft tissue
sarcomas is quite controversial because there is minimal data to
suggest that the prognosis is significantly improved with its use.
Medical oncologists tend to discourage the use of this adjuvant,
especially in older patients who cannot tolerate the high toxicity
levels of current protocols.
    The myxoid variant of the MFH is the second most common
type of MFH. Grossly it has a myxoid appearance and, because of
this, the chance of local contamination at the margins (with local
recurrence) is much higher. However, the metastatic rate to the lung
is only 25% giving the patient a better prognosis for survival.
The giant cell variant, occurring in large muscle groups in older
patients, has a tendency to be a hemorrhagic tumor with a high
pulmonary metastatic rate of 50%. The inflammatory MFH is also
seen in older patients and is more common in the retroperitoneal
area, with a 50% metastatic rate to the lung.
CLASSIC
Case #258




60 year male
MFH adductor
compartment

Coronal T-1 MRI
Coronal T-2 MRI
Axial T-2 MRI
Widely resected specimen
Specimen cut in path lab
Photomic
Higher power showing pleomorphic cells
Case #258.1                  MFH
               Cor T-1                      STIR




    74 year male with painful mass adductor compartment 3 mos
Axial T-1   T-2




     Gad
Case #258.2                   Axial MRI         MFH

         T-1
                                          T-2




                                      Gad C
64 year female with painful
and enlarging buttock mass
for 4 months
Sag T-1   T-2
Cor T-1   PD
Case #258.3                               MFH




  55 year male with painful soft tissue mass right hip for 3 mos
Cor T-1   T-2   T-2
Sag T-2
Thigh axial T-2




Pelvic axial T-2
Case #258.4      Axial T-1            T-2




                                Gad
 65 yr old male with painful
 mass in buttock for 4 months
Cor T-1   T-2




   Gad
Sag T-2   Gad
Case #259                   Axial T-1 MRI




  72 year male with MFH posterior compartment thigh
Axial T-2 MRI
Photomic
Case #259.1           MFH Thigh                Axial CT scan




                                                         posterior
                   11-08            11-08

40 yr male with multiple surgeries over last 7 yrs for soft tissue MFH
  of posterior thigh and distal femur with this recurrence in 11-08
3-2010
 Cor T-1                              T-2




Local recurrence over 1 year post AK amp and RT
Axial T-1   T-2




                  3-10

    gad
Anterior flap hip disarticulation
Case #259.1                   Giant cell variant of MFH




    30 year male with enlarging painful thigh mass for 6 months
Axial T-1         T-2




            Gad
Cor T-1   T-2   Gad
Sag T-2   Gad
Wide resection
Case #259.2                   MFH with skip lesions




  64 year male with painful soft tissue mass in thigh for 6 mos
Cor STIR   Ant STIR   Gad
Axial T-2   Lower T-2




Lower Gad
Sag Gad   Gad
Case # 260                   Axial T-1 MRI




       67 year male with subcutaneous MFH thigh
Axial T-2 MRI
Sagittal T-2 MRI
Case #261




62 year female
MFH anterior thigh




AP x-ray
Sagittal proton
density MRI
Sagittal T-2 MRI
Axial proton density MRI
Axial T-2 MRI
Case #261.1




  55 yr female with enlarging and painful popliteal mass for 5 mos
Sag T-1         T-2




          Gad
Axial T-1    T-2 FS




       Gad
Cor T-1   T-2




    Gad
Surgical resection
Case #262               Axial T-1 MRI




    43 year female with juxta scapular myxoid MFH
Axial T-2 MRI
Another T-2 MRI
Case #263           Coronal proton density MRI




                                  tumor




       72 year female with MFH deltoid muscle
tumor




Another proton density coronal cut
Resected specimen cut in path lab
Photomic
Case #263.1            MFH




83 year male with
painful axillary mass
3 months
CT scan
Cor T-1   T-2   Gad
Axial T-1   T-2 FS   Gad
Case #263.2                         MFH arm




  66 yr female with DM and growing painful mass above elbow
           with slight elbow flexion contracture
Sag T-1   PD
Axial T-1   PD
Wide surgical resection
Case #264




            79 year female with MFH forearm
Sagittal T-1 MRI
Axial T-1 MRI
Axial T-2 MRI
Case #264.1




    78 year old female with painful mass forearm for 4 months
Sag T-1   T-2   Gad
Axial T-1         T-2




            Gad
Case #265                  Axial T-2 MRI




                blood




 65 year old female with large hematoma in MFH thigh
tumor



blood




  Axial proton density MRI
muscle




blood




        Axial T-2 MRI
tumor
Coronal T-1 MRI




                  blood
Case #265.1              MFH




45 year male with
large forearm hematoma
and small MFH at base          blood
of hematoma
                                       MFH
MFH

Axial T-1 MRI
                blood
Case #1174



78 year female with
large hematoma in
buttock area looking
like a hemorrhage
into an MFH


T-2 MRI showing
fluid-fluid level
Axial T-1 MRI showing fluid-fluid level
Case #1175     Sagittal T-2 MRI showing fluid-fluid level




   37 year female with recurrent hematoma from injury
    16 years ago looking like hemorrhage into an MFH
Axial T-1 MRI
Case #1175.1                      Old hematoma


    MFH pseudotumor




55 year male with non tender
mass in pretibial area one year
Sag T-2   Gad
Cor PD FS   Axial Gad
Case #1175.2        MFH pseudotumor - hematoma




      81 year male with liver lymphoma and recent tender
      mass in posterior thigh 6 months ago without trauma
Axial T-1         T-2




            Gad
Sag T-1   T-2   Gad
Case #1175.3           Hematoma Pseudotumor




    62 yr male with soft mass anterior to patella 6 months
Case #1175.1                       Cat scratch fever
                                       MFH pseudotumor




68 year female with tender swelling inner thigh 3 months
Coronal STIR   Sagittal T-2
Axial T-1




Axial PD
Low & High Grade
  Fibromyxoid
    Sarcoma
Case #1178

                                 biopsy
                                 biopsy




55 year male with low grade fibromyxoid sarcoma shoulder
tumor




CT scan
tumor




Another CT cut
tumor




Axial T-1 MRI
tumor




Axial T-2 MRI
Surgical specimen
Closer look similar to desmoid tumor
Photomic
Photomic showing myxoid area
CT chest shows pulmonary mets
Case #1178.1       Low grade fibromyxoid sarc of Foot
                        Cor T-1




35 year female with
tender lump on dorsum
of foot 6 months

                        Gad
Axial T-1   Gad
Case #1178.2     Low Grade Fibromyxoid Srcoma Forearm
                 Axial T-1          T-2 FS




                              Gad
   39 year old male with
   slow growing tender mass
   in calf for 1 year
Sag T-1   T-2 FS   Gad
Case #1178.3      High grade Fibromyxoid Sarcoma
                           Cor T-1             T-2




       79 yr old female with painful lump in arm for 5 months
Axial T-2 FS   Gad
Surgical resection
Case #1178.4         Low Grade Fibromyxoid Sarcoma




 Axial T-1                            T-2



                                Gad
 57 yr female with tender
 mass over lateral thigh 1 yr
Cor T-1   T-2   Gad
Case #1178.5     Recurrent Fibromyxoid Sarcoma of Arm
                      Axial T-2      Gad




 50 yr female with history of soft tissue tumor resected from medial
         aspect of arm followed with RT 6500 rads 1 yr ago
Sag T-2   Cor T-2   Cor Gad
Fibrosarcoma
Fibrosarcoma
    The soft tissue fibrosarcoma is clinically very similar to the MFH,
except for the absence of malignant-appearing histiocytes. The
fibrosarcoma is less common compared to the MFH and occurs in a
slightly younger age group between the ages of 30 and 55 years,
with equal involvement in males and females. This tumor can be
very low grade, similar to a desmoid tumor, in which case it grows
slowly and is relatively painless. The high grade lesions are faster
growing, more painful and carry a worse prognosis. These tumors
tend to affect deep fascial structures, around muscles in the area of
the knee and thigh, followed next by the forearm and leg. Grossly,
the fibrosarcoma has a firm lobulated pattern with a yellowish-white
to tan coloration. Occasionally, there will be calcific ossifying
deposits seen on x-ray examination. Histologically, the fibrosarcoma
is composed of spindle cells that form collagen fiber with varying
degrees of mitotic activity from grade I through grade III or IV,
but there are no malignant histiocytes seen the fibrosarcoma.
    The treatment and prognosis depends on the grade of the tumor,
with the grade I lesions behaving much like a desmoid tumor with a
very slight potential for pulmomary metastases, whereas the grade
IV have a high potential for metastasis to the lung in about 50-60%
of cases. It is rare to see lymph node involvement. Treatment
consists of wide surgical resection. With the larger deep lesions,
resection is usually followed by local radiation therapy to the extent
of 6500 centigray, however the use of adjuvant chemotherapy is
considered controversial. As in the treatment of MFH, chemotherapy
is not usually advocated by medical oncologists.
CLASSIC    Case #266   Axial T-2 MRI




41 year male
fibrosarcoma
forearm
Coronal T-2 MRI
Axial T-2 MRI
Wide resection specimen cut in path lab
Photomic
Higher power
Case #267                Coronal proton density MRI




   55 year male with fibrosarcoma vastus intermedius
Axial T-2 MRI
Surgical specimen cut in path lab
Photomic
Case #1179




52 year male with
fibrosarcoma arm

                    tumor
Axial T-1 MRI
tumor




Axial T-2 MRI
Surgical specimen
Photomic
Case #1180                    Axial T-2 MRI




             26 year male with fibrosarcoma calf
Case # 1181                 Sagittal T-1 MRI




      51 year female with fibrosarcoma ankle
Axial T-1 MRI
Dermatofibrosarcoma
    Protuberans
Dermatofibrosarcoma Protuberans
    The dermatofibrosarcoma protuberans is considered a low to
intermediate grade fibrohistiocytic tumor characteristic in its nodular
cutaneous location and occurring far more often in males then in
females, in a young to middle-aged adult population. It is most
commonly found in the trunk or proximal extremities and can be
associated with antecedent trauma in about 15% of cases. It usually
comes on gradually as a subcutaneous nodule that is relatively
painless and therefore patients may not present to a physician for
treatment for many years. Histologically, the tumor consists of low
grade spindle cells without evidence of mitotic activity and low
grade histiocytes. The spindle cell pattern is typically a storiform
one, similar to the fibrosarcoma and MFH. The tumor tends to invade
into the adjacent subcutaneous fat and skin and requires a very wide
surgical resection to avoid a high local recurrence rate. The chance
of pulmonary metastasis, however, is very low (1%). With a success-
ful wide resection there is no need for adjuvant therapies.
CLASSIC      Case #268




  30 year male with dermatofibrosarcoma protuberans
            on the bottom of the heel
Macro section of resection specimen
Photomic
Higher power
Case #269




   Dermatofibrosarcoma protuberans resection specimen
Specimen cut in path lab
Macro section
Photomic
Leiomyosarcoma
Case #1182               Axial PD MRI




    47 year female with leiomyosarcoma inguinal area
Axial T-1 MRI
Coronal PD MRI showing tumor arising from femoral vein
Photomic
Case #1182.1 Metastatic leiomyosarcoma from uterus to hip




                                       Axial T-2




 57 yr female with hip pain 3 months               Cor PD
CT scans pelvis




 PET scan
CT scan chest




    PET scan

Vol 14 ppt

  • 1.
    Volume 14 Fibrous Soft Tissue Tumors Desmoid tumors---------------------Case 250-253 & 1170-1 Aponeuratic fibroma----------------Case 1172-1173 Infantile fibromatosis---------------Case 254 Elastofibroma------------------------Case 255 Nodular fascitis----------------------Case 256 Plantar fibroma-----------------------Case 257 Malignant fibrous histiocytoma----Case 258-265 &1174-75 Low grade fibromyxoid sarcoma---Case 1178 Fibrosarcoma--------------------------Case 266-7 & 1179-1181 Dermatofibrosarcoma protuberans-Case 268-269 Leiomyosarcoma----------------------Case 1182
  • 2.
  • 3.
    Desmoid Tumor One of the most common benign soft tissue tumors is the extra- abdominal desmoid tumor, sometimes referred to as an aggressive fibromatosis or simple desmoid tumor. As compared to the multitude of different clinical types of infantile fibromatosis, the desmoid tumor occurs in older children or young adults up through the age of 40 years. The abdominal desmoid tumor is usually seen in young adult females following pregnancy, whereas the extra-abdominal desmoid tumor is found more commonly in men, usually in the proximal parts of the body such as the shoulder, buttock and posterior thigh area. Other areas include the popliteal space, the arm and forearm. They are usually solitary lesions, however multi-centric involvement can occur. In the case of “Gardner’s syndrome” the desmoid tumor can be associated with polyposis of the large bowel and cranial-facial osteomas. Desmoid tumors take their origin from muscle fascial planes and tend to be extensively infiltrative into the surrounding tissue with poorly defined margins that make surgical
  • 4.
    resection difficult. Theycan also occur in tendon sheaths, joint capsules, and even inside bone. Clinically, the desmoid tumor has the appearance of a low grade fibrosarcoma but tends to be more invasive in character and can frequently engulf adjacent neuro- vascular structures. Even though the desmoid tumor has a histo- logical appearance similar to a low grade fibrosarcoma, it will never metastasize to distant parts but can be multifocal in its presentation in the extremity. Clinically, the desmoid tumor is very firm to palpation. It frequently causes symptoms of pain and is tender on deep palpation. Microscopically the tumor is heavily collagenized but with a very low mitotic index, with an appearance similar to plantar fibromatosis. The desmoid tumor does not calcify but is radiodense on ordinary radiographs and can be easily identified on a soft tissue window CT scan. The MRI is the best imaging study for this tumor and will be low signal on the T-1 weighted image but only intermediate high signal on the T-2 because of the low water content in this tumor
  • 5.
    which helps separateit from malignant MFH and fibrosarcoma. The desmoid tumor is related to physical activity compared to higher grade spindle cell tumors that are more spontaneous in origin. Treatment consists of a wide surgical resection, if possible, but because of the high recurrence rate (about 50%), most clinicians will advise post operative radiation therapy to the extent of 5000 centigray to the surgical site starting two weeks after surgery. This reduces the chance of local recurrence to 10-15%. In rare situations where the patient has multiple recurrences locally following RT, amputation may be indicated. Even with amputation, recurrences will be seen at the amputation site. In patients over 40 years of age it is not unusual to see a spontaneous involution of desmoid tumors requiring no treatment whatsoever. Estrogen may play a role in the development of desmoid tumors and this accounts for the use of tamoxifen with some reported clinical benefit. Other adjuvant therapies include nonsteroidal anti-inflammatory agents and even the use of mild chemotherapeutic agents.
  • 6.
    CLASSIC Case #250.1 Axial T-1 MRI 50 year male with desmoid tumor thigh
  • 7.
  • 8.
  • 9.
  • 10.
  • 11.
  • 12.
  • 13.
    Case #250.2 Coronal T-1 MRI 45 year female with desmoid tumor gluteus maximus
  • 14.
  • 15.
  • 16.
  • 17.
  • 18.
    Case #250.3 Coronal T-1 MRI 61 year male with desmoid gluteus maximus
  • 19.
  • 20.
    Case #250.3 Sag T-2 Sag Gad 15 year female with painful enlarging desmoid past 6 months while on chemotherapy
  • 21.
    Coronal Gad showsminimal response to chemotherapy
  • 22.
    Axial T-2 vessels Axial Gad
  • 23.
    Cor T-2 Two Cor gad Sag gad 2 yrs later with recurrence above and below the RT ports
  • 24.
    Prox thigh axialT-2 Gad Distal thigh in area of previous surgery and 5000 rads RT
  • 25.
    Case #250.4 61 yearmale axillary desmoid
  • 26.
  • 27.
  • 28.
    Case #250.5 2007 Cor T-2 Gad Axial Gad 21 year male with tender mass in axilla for 6 months
  • 29.
    2009 Cor T-2 Gad Axial Gad Post low dose chemotherapy
  • 30.
    Case #251 11 year male with desmoid foot
  • 31.
  • 32.
  • 33.
  • 34.
  • 35.
    Case #251.1 Desmoid tumor of foot 10 year male with firm tender swelling in forefoot 18 mos following a pellet gun injury to foot
  • 36.
    Cor T-1 T-2 Gad
  • 37.
  • 38.
    Axial T-1 T-2 Gad
  • 39.
    Case #252 11 yearmale desmoid posterior compartment thigh Coronal T-1 MRI
  • 40.
  • 41.
  • 42.
    Case #253 29 yearmale recent fracture ulna
  • 43.
    18 months later withdesmoid tumor at fracture site
  • 44.
    Sagittal T-2 MRI18 months later with desmoid tumor
  • 45.
    Axial T-2 MRIat 18 months
  • 46.
  • 47.
    Post op resection distalulna with synostosis of distal ulnar tip to radius
  • 48.
    Case #253.1 Sagittal T-1 MRI 14 year male with desmoid tumor hand 2 years
  • 49.
  • 50.
  • 51.
  • 52.
    Case #253.2 Desmoid tumor 56 yr male with tender soft tissue mass volar aspect of wrist 6 mos
  • 53.
    Cor T-1 T-2 Gad
  • 54.
    Axial T-1 T-2 Gad
  • 55.
    Case #1170 Axial T-1 MRI 45 year female with desmoid tumor post capsule knee
  • 56.
  • 57.
  • 58.
  • 59.
  • 60.
  • 61.
    Case #1170.1 P.O. desmoid 61 year female with OA knee in 3/06 prior to TKA
  • 62.
  • 63.
    MRI 1 yearPO TKA Sag T-2 Gad
  • 64.
    Axial T-1 T-2 Gad
  • 65.
  • 66.
    Case #1170.2 Axial T-1 T-2 P.O. desmoid 82 yr female who noted a slow growing tender mass at the site of a prior cervical laminectomy Gad
  • 67.
    Sag T-1 T-2 Gad
  • 68.
    Case #1171 9 year male with desmoid tumor posterior axilla
  • 69.
  • 70.
  • 71.
  • 72.
  • 73.
    Case #1172 6 year male with aponeuratic fibroma middle finger
  • 74.
    Photomic showing punctatecalcific chondroid tissue
  • 75.
    Another photomic withpunctate calcification
  • 76.
    Case #1173 21 year male with aponeuratic fibroma index finger
  • 77.
    Surgical specimen showingcalcium deposits
  • 78.
  • 79.
  • 80.
    CLASSIC Case #254 2 month male with infantile fibromatosis right leg
  • 81.
    AP LAT Dysplastic bowing fibula at age 2 years
  • 82.
  • 83.
    Sagittal T-1 MRIat 7 years
  • 84.
  • 85.
  • 86.
    Elastofibroma The elastofibroma is seen almost exclusively in people past the age of 55 years. It is more common in women than men, and the majority of cases are seen in those involved in heavy manual labor or unusual sports requiring extensive use of the upper extremities. It almost always occurs between the scapula and the chest wall inferiorly and is bilateral in about 10% of cases. It is usually located in the lower subscapular area, deep to the rhomboid and latissimus dorsi muscles where it is firmly attached to the chest wall in the area of the seventh and eighth ribs posteriorly. Grossly, the tumor has an appearance similar to a desmoid tumor and microscopically there is an intertwining of swollen eosinophillic collagen fibers and elastic fibers in an equal proportion. The elastic fibers have a degenerated, beaded appearance or are fragmented into small globules or droplets that are easily seen with the Verhoeff stain that is specific for elastin fiber. The cross section shows a characteristic serrated edge. The
  • 87.
    elastofibroma is considereda reactive pseudotumor with an excellent prognosis. It is treated by a marginal surgical resection with an extremely low recurrence rate and in some cases can be treated by radiation therapy alone without surgery.
  • 88.
    CLASSIC Case #255 Axial T-1 MRI 50 female with subscapular elastofibroma
  • 89.
  • 90.
  • 91.
  • 92.
    Elastic fibers seenwith Verhoeff elastin stain
  • 93.
    Case #255.1 Axial T-1 35 yr female with slightly tender lump below tip of scapula T-2 for 1 yr Gad
  • 94.
    Cor T-1 T-2 Gad
  • 95.
    Case #255.2 Axial CT scan Coronal 70 yr female with a slightly tender soft mass beneath tip of right scapula for 1 yr Elastofibroma
  • 96.
  • 97.
    Nodular Fascitis Nodular fascitis is a very common, self-limiting, reactive process rather than a true neoplasm occurring in young adults. Typically it arises spontaneously and rapidly in the subcutaneous portion of the lower aspect of the forearm and is associated with inflammatory pain, swelling and local tenderness. Histologically, nodular fascitis can take on the appearance of a spindle cell sarcoma. The lesion grows quite rapidly over a period of several weeks, is usually solitary, and usually occurs in the upper extremity. It is usually less than 3 cm in diameter, has a grayish-white appearance and can have myxoid changes. Histologically, the lesion is a fibroblastic pseudo- tumor similar to granulation tissue with a fair number of mitotic figures but no atypical mitoses will be seen. The fibroblasts are infiltrated by lymphocytes. Treatment consists of local surgical excision with a rare recurrence rate of less than 2%. No adjuvant therapy is indicated.
  • 98.
    CLASSIC Case #256 25 year female with nodular fascitis forearm
  • 99.
  • 100.
  • 101.
  • 102.
  • 103.
    Plantar Fibroma The plantar fibroma is a fairly common clinical entity similar to to the palmar fibroma. It arises from the plantar fascia and is usually located on the medial portion of the arch of the foot. As opposed to palmar fibromatosis that is typically seen in older patients, the plantar fibroma is more common in young adults or even in children. In some cases, there is a familial background (this is particularly true in Scandinavians), with a greater incidence in males. The plantar fibroma is frequently asymptomatic in which case surgical treatment is not indicated. However, if pain results, especially if pressure on an adjacent central nerve causes symptoms, a simple surgical resection can be performed. Both the palmar and plantar fibromas have a characteristic fibrotic histological appearance that is quite cellular in areas and can be misdiagnosed as a malignant sarcoma. Some patients will have fibromas in their hands and feet simultaneously and can also have penile fibromas. A contracture of the finger is typical in palmar fibromas whereas toe contractures are not seen in plantar fibromatosis.
  • 104.
    CLASSIC Case #257 32 year female with plantar fibroma
  • 105.
  • 106.
  • 107.
    Case #257.1 Sag T-1 48 year male with recurrent lump on plantar aspect of foot recurrent from surgery 17 years ago T-2 Gad
  • 108.
    Axial T-1 T-2 Gad
  • 109.
    Malignant Fibrous Histiocytoma
  • 110.
    Malignant Fibrous Histiocytoma The malignant fibrous histiocytoma (MFH) is the most common high grade soft tissue tumor. It occurs typically in older patients past the age of 50 years and is more common in men. The most common type is the so-called storiform or pleomorphic malignant fibrous histiocytoma, followed next by the myxoid, giant cell, and inflamma- tory subtypes. The pleomorphic form is seen in patients between the the age of 50 and 70 years, and is usually found in a deep location in a large muscle about the thigh, hip or retroperitoneal area. These tumors usually present with symptoms of pain along with a tumor mass that has been present for at least 3 or 4 months, but sometimes these lesions can be asymptomatic. The gross appearance of the tumor is a multinodular lesion that can have separate satellite lesions located within the same muscle belly, usually at the upper or lower pole of the lesion. On MRI, the lesion may demonstrate central necrosis. The color is a dirty gray to reddish tan. Because this tumor
  • 111.
    is usually highgrade, it demonstrates a high index of mitotic activity and the cell types usually found are malignant fibroblasts mixed with anaplastic pleomorphic histiocytes. This tumor has a high potential to metastasize to the lung in about 40-45% of cases. It can go to regional lymph nodes in 10% of cases. With appropriate surgical and adjuvant therapy, the local recurrence rate is in the neighborhood of 10-15% after a wide surgical resection. When these tumors are located in a superficial, subcutaneous location and present with a size less than 5 cm, the overall prognosis is much better, with only a 20% chance of metastasis to the lung. However, in the more common, deeply located lesions that measure over 5 cm in diameter, the overall survival rate is 55%. The usual treatment for the high grade MFH is a wide surgical resection when possible. If the tumor is too large and cannot be resected safely because of major neurovascular invasion or multiple compartmental contamination, an aggressive high level amputation is sometimes indicated. Following surgical resection, most patients
  • 112.
    with the moreaggressive lesions will be treated with adjuvant postoperative radiation therapy, in the neighborhood of 6500 centi gray to the tumor site, with a wider field of 5500 centigray outside the surgical site. At some institutions, patients will be treated with preoperative radiation therapy, up to about 5500 centigray, with an additional 1000 centigray being delivered two weeks after surgery. The use of adjuvant chemotherapy for high grade soft tissue sarcomas is quite controversial because there is minimal data to suggest that the prognosis is significantly improved with its use. Medical oncologists tend to discourage the use of this adjuvant, especially in older patients who cannot tolerate the high toxicity levels of current protocols. The myxoid variant of the MFH is the second most common type of MFH. Grossly it has a myxoid appearance and, because of this, the chance of local contamination at the margins (with local recurrence) is much higher. However, the metastatic rate to the lung is only 25% giving the patient a better prognosis for survival.
  • 113.
    The giant cellvariant, occurring in large muscle groups in older patients, has a tendency to be a hemorrhagic tumor with a high pulmonary metastatic rate of 50%. The inflammatory MFH is also seen in older patients and is more common in the retroperitoneal area, with a 50% metastatic rate to the lung.
  • 114.
    CLASSIC Case #258 60 yearmale MFH adductor compartment Coronal T-1 MRI
  • 115.
  • 116.
  • 117.
  • 118.
  • 119.
  • 120.
    Higher power showingpleomorphic cells
  • 121.
    Case #258.1 MFH Cor T-1 STIR 74 year male with painful mass adductor compartment 3 mos
  • 122.
    Axial T-1 T-2 Gad
  • 123.
    Case #258.2 Axial MRI MFH T-1 T-2 Gad C 64 year female with painful and enlarging buttock mass for 4 months
  • 124.
  • 125.
  • 126.
    Case #258.3 MFH 55 year male with painful soft tissue mass right hip for 3 mos
  • 127.
    Cor T-1 T-2 T-2
  • 128.
  • 129.
  • 130.
    Case #258.4 Axial T-1 T-2 Gad 65 yr old male with painful mass in buttock for 4 months
  • 131.
    Cor T-1 T-2 Gad
  • 132.
  • 133.
    Case #259 Axial T-1 MRI 72 year male with MFH posterior compartment thigh
  • 134.
  • 135.
  • 136.
    Case #259.1 MFH Thigh Axial CT scan posterior 11-08 11-08 40 yr male with multiple surgeries over last 7 yrs for soft tissue MFH of posterior thigh and distal femur with this recurrence in 11-08
  • 137.
    3-2010 Cor T-1 T-2 Local recurrence over 1 year post AK amp and RT
  • 138.
    Axial T-1 T-2 3-10 gad
  • 139.
    Anterior flap hipdisarticulation
  • 141.
    Case #259.1 Giant cell variant of MFH 30 year male with enlarging painful thigh mass for 6 months
  • 142.
    Axial T-1 T-2 Gad
  • 143.
    Cor T-1 T-2 Gad
  • 144.
  • 145.
  • 146.
    Case #259.2 MFH with skip lesions 64 year male with painful soft tissue mass in thigh for 6 mos
  • 147.
    Cor STIR Ant STIR Gad
  • 148.
    Axial T-2 Lower T-2 Lower Gad
  • 149.
  • 150.
    Case # 260 Axial T-1 MRI 67 year male with subcutaneous MFH thigh
  • 151.
  • 152.
  • 153.
    Case #261 62 yearfemale MFH anterior thigh AP x-ray
  • 154.
  • 155.
  • 156.
  • 157.
  • 158.
    Case #261.1 55 yr female with enlarging and painful popliteal mass for 5 mos
  • 159.
    Sag T-1 T-2 Gad
  • 160.
    Axial T-1 T-2 FS Gad
  • 161.
    Cor T-1 T-2 Gad
  • 162.
  • 163.
    Case #262 Axial T-1 MRI 43 year female with juxta scapular myxoid MFH
  • 164.
  • 165.
  • 166.
    Case #263 Coronal proton density MRI tumor 72 year female with MFH deltoid muscle
  • 167.
  • 168.
  • 169.
  • 170.
    Case #263.1 MFH 83 year male with painful axillary mass 3 months
  • 171.
  • 172.
    Cor T-1 T-2 Gad
  • 173.
    Axial T-1 T-2 FS Gad
  • 174.
    Case #263.2 MFH arm 66 yr female with DM and growing painful mass above elbow with slight elbow flexion contracture
  • 175.
  • 176.
  • 177.
  • 178.
    Case #264 79 year female with MFH forearm
  • 179.
  • 180.
  • 181.
  • 182.
    Case #264.1 78 year old female with painful mass forearm for 4 months
  • 183.
    Sag T-1 T-2 Gad
  • 184.
    Axial T-1 T-2 Gad
  • 185.
    Case #265 Axial T-2 MRI blood 65 year old female with large hematoma in MFH thigh
  • 186.
    tumor blood Axialproton density MRI
  • 187.
    muscle blood Axial T-2 MRI
  • 188.
  • 189.
    Case #265.1 MFH 45 year male with large forearm hematoma and small MFH at base blood of hematoma MFH
  • 190.
  • 191.
    Case #1174 78 yearfemale with large hematoma in buttock area looking like a hemorrhage into an MFH T-2 MRI showing fluid-fluid level
  • 192.
    Axial T-1 MRIshowing fluid-fluid level
  • 193.
    Case #1175 Sagittal T-2 MRI showing fluid-fluid level 37 year female with recurrent hematoma from injury 16 years ago looking like hemorrhage into an MFH
  • 194.
  • 195.
    Case #1175.1 Old hematoma MFH pseudotumor 55 year male with non tender mass in pretibial area one year
  • 196.
  • 197.
    Cor PD FS Axial Gad
  • 198.
    Case #1175.2 MFH pseudotumor - hematoma 81 year male with liver lymphoma and recent tender mass in posterior thigh 6 months ago without trauma
  • 199.
    Axial T-1 T-2 Gad
  • 200.
    Sag T-1 T-2 Gad
  • 201.
    Case #1175.3 Hematoma Pseudotumor 62 yr male with soft mass anterior to patella 6 months
  • 203.
    Case #1175.1 Cat scratch fever MFH pseudotumor 68 year female with tender swelling inner thigh 3 months
  • 204.
    Coronal STIR Sagittal T-2
  • 205.
  • 206.
    Low & HighGrade Fibromyxoid Sarcoma
  • 207.
    Case #1178 biopsy biopsy 55 year male with low grade fibromyxoid sarcoma shoulder
  • 208.
  • 209.
  • 210.
  • 211.
  • 212.
  • 213.
    Closer look similarto desmoid tumor
  • 214.
  • 215.
  • 216.
    CT chest showspulmonary mets
  • 217.
    Case #1178.1 Low grade fibromyxoid sarc of Foot Cor T-1 35 year female with tender lump on dorsum of foot 6 months Gad
  • 218.
  • 219.
    Case #1178.2 Low Grade Fibromyxoid Srcoma Forearm Axial T-1 T-2 FS Gad 39 year old male with slow growing tender mass in calf for 1 year
  • 220.
    Sag T-1 T-2 FS Gad
  • 221.
    Case #1178.3 High grade Fibromyxoid Sarcoma Cor T-1 T-2 79 yr old female with painful lump in arm for 5 months
  • 222.
  • 223.
  • 224.
    Case #1178.4 Low Grade Fibromyxoid Sarcoma Axial T-1 T-2 Gad 57 yr female with tender mass over lateral thigh 1 yr
  • 225.
    Cor T-1 T-2 Gad
  • 226.
    Case #1178.5 Recurrent Fibromyxoid Sarcoma of Arm Axial T-2 Gad 50 yr female with history of soft tissue tumor resected from medial aspect of arm followed with RT 6500 rads 1 yr ago
  • 227.
    Sag T-2 Cor T-2 Cor Gad
  • 228.
  • 229.
    Fibrosarcoma The soft tissue fibrosarcoma is clinically very similar to the MFH, except for the absence of malignant-appearing histiocytes. The fibrosarcoma is less common compared to the MFH and occurs in a slightly younger age group between the ages of 30 and 55 years, with equal involvement in males and females. This tumor can be very low grade, similar to a desmoid tumor, in which case it grows slowly and is relatively painless. The high grade lesions are faster growing, more painful and carry a worse prognosis. These tumors tend to affect deep fascial structures, around muscles in the area of the knee and thigh, followed next by the forearm and leg. Grossly, the fibrosarcoma has a firm lobulated pattern with a yellowish-white to tan coloration. Occasionally, there will be calcific ossifying deposits seen on x-ray examination. Histologically, the fibrosarcoma is composed of spindle cells that form collagen fiber with varying degrees of mitotic activity from grade I through grade III or IV,
  • 230.
    but there areno malignant histiocytes seen the fibrosarcoma. The treatment and prognosis depends on the grade of the tumor, with the grade I lesions behaving much like a desmoid tumor with a very slight potential for pulmomary metastases, whereas the grade IV have a high potential for metastasis to the lung in about 50-60% of cases. It is rare to see lymph node involvement. Treatment consists of wide surgical resection. With the larger deep lesions, resection is usually followed by local radiation therapy to the extent of 6500 centigray, however the use of adjuvant chemotherapy is considered controversial. As in the treatment of MFH, chemotherapy is not usually advocated by medical oncologists.
  • 231.
    CLASSIC Case #266 Axial T-2 MRI 41 year male fibrosarcoma forearm
  • 232.
  • 233.
  • 234.
    Wide resection specimencut in path lab
  • 235.
  • 236.
  • 237.
    Case #267 Coronal proton density MRI 55 year male with fibrosarcoma vastus intermedius
  • 238.
  • 239.
  • 240.
  • 241.
    Case #1179 52 yearmale with fibrosarcoma arm tumor Axial T-1 MRI
  • 242.
  • 243.
  • 244.
  • 245.
    Case #1180 Axial T-2 MRI 26 year male with fibrosarcoma calf
  • 246.
    Case # 1181 Sagittal T-1 MRI 51 year female with fibrosarcoma ankle
  • 247.
  • 248.
  • 249.
    Dermatofibrosarcoma Protuberans The dermatofibrosarcoma protuberans is considered a low to intermediate grade fibrohistiocytic tumor characteristic in its nodular cutaneous location and occurring far more often in males then in females, in a young to middle-aged adult population. It is most commonly found in the trunk or proximal extremities and can be associated with antecedent trauma in about 15% of cases. It usually comes on gradually as a subcutaneous nodule that is relatively painless and therefore patients may not present to a physician for treatment for many years. Histologically, the tumor consists of low grade spindle cells without evidence of mitotic activity and low grade histiocytes. The spindle cell pattern is typically a storiform one, similar to the fibrosarcoma and MFH. The tumor tends to invade into the adjacent subcutaneous fat and skin and requires a very wide surgical resection to avoid a high local recurrence rate. The chance of pulmonary metastasis, however, is very low (1%). With a success- ful wide resection there is no need for adjuvant therapies.
  • 250.
    CLASSIC Case #268 30 year male with dermatofibrosarcoma protuberans on the bottom of the heel
  • 251.
    Macro section ofresection specimen
  • 252.
  • 253.
  • 254.
    Case #269 Dermatofibrosarcoma protuberans resection specimen
  • 255.
  • 256.
  • 257.
  • 258.
  • 259.
    Case #1182 Axial PD MRI 47 year female with leiomyosarcoma inguinal area
  • 260.
  • 261.
    Coronal PD MRIshowing tumor arising from femoral vein
  • 262.
  • 263.
    Case #1182.1 Metastaticleiomyosarcoma from uterus to hip Axial T-2 57 yr female with hip pain 3 months Cor PD
  • 264.
  • 265.