SECTIONAL ANATOMY   OF GIT
AND RENAL SYSTEM

                    VIPIN KUMAR
                    PG MEDICAL IMAGING
ANATOMY OF GIT AND RENAL SYSTEM
ORAL CAVITY
    AND
OROPHARYNX
OROPHARYNX
ESOPHAGUS
ESOPHAGUES
ESOPHAGUS
Right lung

                                             . Diaphragm

                         Liver




     Rib
                                                Right
                                                colon
Small                                           flexure
intestine                                     Ouardatus
(jejunum)                                     lumbordam
                                              muscle

 External                                      Erector
 oblique                                       spina
 muscle                                         Cecum
                                               muscle

Internal                         Transvers
obl mus                          /oblique        Gluteus
                                 abdominal       medius
                                 muscles         muscle
GB

TRns colon


jejunum
    )
`
      portal vein

         Hepatic artery
        Bile duct
               Adrinal gland

              Renal artery
                     renalvein
             Duodenum
                    ureter



    Ascending colon
Liver

    Greater omentom
   Gastro Epiploic artery

                 Colic artery
        pancri




           Jejunal veins

                 Inferior venacava
                  Small intestines




        ileum
caudate lobe
Lesser omentum

                   Stomach
                  panc


                         portalvein




            Rectus abdominis muscle
Stomach

t
c   Smv / A
        R
        A
Greater omentum
STOMACH
  FUNDUS

                 PANCREAS

 Trns col
                                 k
                            Inferior mesentric vein

                            Renal /A/V
            SI




            Psoas muscle


ureter
H
STOMACH

               spleen




          LK




 SI
STOMACH



 Trns                            Spleen
colon                  PAN
                        C




                             k




    Descending colon
Rt lobe




                                STOMACH




                  Trans
                  colon




                                          Sig moid colon




          cecum
                      Rectus abdominis
                           muscle
fundus

                     PV



                             body     Splenic
                GB antrum                F




                Hf


                       SMV
                            SMA
             cecum
                     ileum            DC

VERMIFORM APPENDIX

                                  S
                                  C
fundus
  Pv

                          pv
           antrum

                               Deodenum
                                           je
                                            j

               Deodenum
                                          jej

Asending
                                                 D
 colon                                          COLO
                      Inf -V                     N




                    ileum
s
    pancreas     RA     R
                        V

                            DC


               ureter
Hepatic vein                            Spleen
                              Pancrea
                                sT




                       LT k
      RT k
                                   DC
         D
  A
  C




               Sig C
Lk
Rk




     RECTUM
RENAL ANGIO




                         ABD   A




                                   LFT RENAL ARTERY
RT RENAL ARTERY




                    CI
MR urography
Horseshoe Kidney
RENAL   MRI WITH CONTRAST
MRI OF GIT SECTIONAL ANATOMY
MRI OF GIT SECTIONAL ANATOMY

MRI OF GIT SECTIONAL ANATOMY

Editor's Notes

  • #13 Quadrte lobe…
  • #15 CELIAC TRUNK
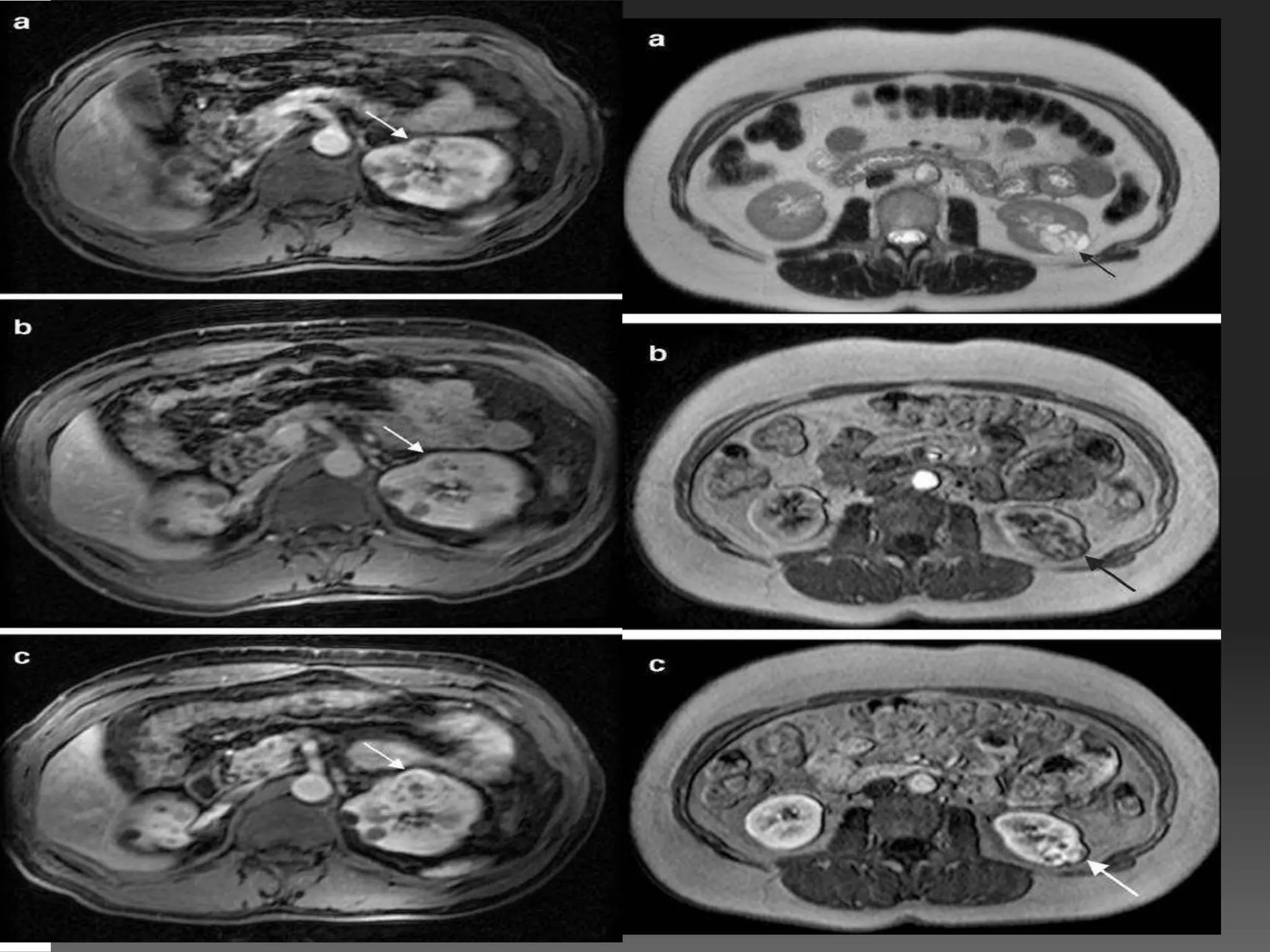
  • #27 the most common fusion anomaly usually associated with accessory renal arteries easy to see the lower pole of both kidneys anterior to aorta on axial T2-weighted image
  • #29 1-weighted gradient echo images before (a) and after (b) gadolinium administration. A mass in the renal pelvis (arrow) shows moderate enhancement after gadolin