Volume 4
            Benign Chondroid Tumors
Enchondroma---------------------------Case 120 & 548-567
Multiple enchondromatosis-----------Case 568-583
Maffucci’s syndrome------------------Case 584-586
Periosteal chondroma------------------Case 121 & 587-607
Osteochondroma-----------------------Case 122 & 608-624
Multiple hereditary exostosis---------Case 625-631
Chondroblastoma-----------------------Case 123 & 632-646
Chondromyxoid fibroma--------------Case 124 & 647-651
Chondroid
forming Tumors
Enchondroma
Enchondroma
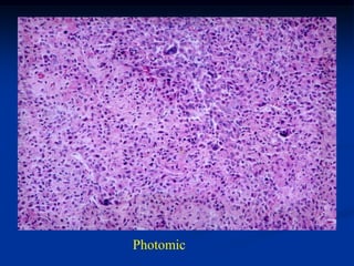
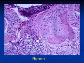
  The enchondroma is one of the most common benign tumors seen
in the skeletal system. It is centrally located and in 50% of the cases
will be found in small tubular bones of hands and feet where it
arises as a hamartomatous process and frequently remains un-
diagnosed throughout the life of the patient until which time as
they develop a pathologic fracture thru the lesion. The lesions
have a typical geographic pattern with sharp margination and
frequently demonstrate matrix calcification, especially as the
patient ages. In the hand or foot, the lesions frequently cause
marked thinning of the surrounding cortex and dilatation of the
bone, whereas with enchondromas found in larger bones, there
is minimal evidence of cortical invasion and little if any evidence
of cortical thinning or dilatation. It is rare for an enchondroma to
convert into a chondrosarcoma in the hand or foot, but in larger
bones such as the femur or pelvis a primary enchondroma can
convert very gradually into a low grade chondrosarcoma. The
incidence of conversion is less than 5% of cases and almost always
in adults.
    In most cases, the enchondroma will be discovered as an
incidental finding, because it is asymptomatic and non-disabling.
There is no particular need to biopsy or bone graft the lesion unless
the patient develops an interest in a specific sport or occupational
activity that would put him at risk for fracture. If an acute
fracture occurs, it is best to wait until the fracture heals and then
consider the patient for a bone grafting procedure at a later date.
CLASSIC
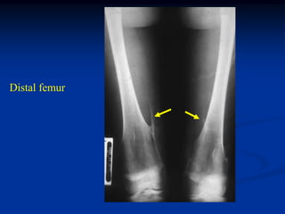
Case #120




38 year female
enchondroma
distal femur
Bone scan
Coronal T-1 MRI
                  tumor
Coronal T-2 MRI
                  tumor
tumor




Axial T-2 MRI
Tumor seen thru cortical window
Tumor curettement
tumor




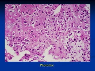
Photomic
Closer up
High power
Curettement completed and ready for cement
cement




Cementation completed
Post op x-ray
tumor cavity filled
with radiolucent
cement
Case #548

                      periosteal
                      chondroma


57 year female
enchondroma entire
femur

Smaller periosteal
chondroma proximal
and posterior femur
Biopsy photomic
Post op x-ray
following removal of
periosteal portion
8 year followup with
placement of a long
stem THA for stress
pain symptoms
Case #549




48 year female
enchondroma femur
Bone scan
Case #550




59 year female
enchondroma
distal femur
Case #550.1




     Enchondroma distal femur in a 60 year male
Bone scan
Cor T-1   Cor T-2




Cor Gad
Sag T-1   Sag T-2
Axial Gad




Axial T-2
Case #551




62 year male
enchondroma
proximal humerus
Coronal T-1 MRI
CT scan
Curettement specimen
Low power photomic
Case #552

              degenerative
              arthritis




   70 year male with enchondroma proximal humerus
Coronal T-1 MRI
Sagittal T-2 MRI
Case #553




58 year female
enchondroma
proximal humerus
Case #554




 42 year female
 enchondroma        tumor
 proximal humerus
Case #554.1           Enchondroma and ganglion cyst




    47 year male with shoulder pain for 6 months
ganglion
enchondroma                cyst

       Coronal T-2 MRI
Sagittal T-2 enchondroma   Sagittal T-2 ganglion
ganglion

Two different T-2 axial cuts showing the enchondroma
       and the right cut shows the ganglion
Case #554.2                Double enchondroma




 52 year old male with incidental findings in R shoulder & L hip
Bone scan
Cor T-1’s




Cor T-2’s
Case #555




55 year male
enchondroma
tibia
Bone scan
Coronal T-1 MRI
Coronal T-2 MRI
                  tumor
Biopsy photomic
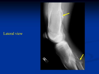
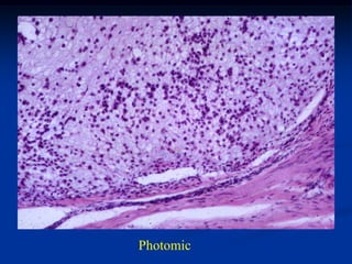
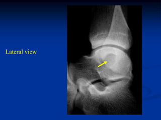
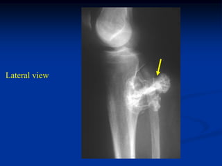
Case #556




55 year male with
enchondroma tibia
Lateral view
Axial T-1 MRI
tumor




Axial T-2 MRI
Biopsy photomic
Case #557




        40 year female with enchondroma fibula
Bone scan
Sagittal T-1 MRI
Axial T-1 MRI
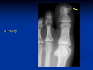
Case #558




    22 year male with enchondroma proximal phalanx
Biopsy photomic
Case #559



        Periosteal chondroma
                                       enchondroma




    33 year female with periosteal chondroma and
             enchondroma in same ray
Oblique view
Case #560




Pathologic fracture enchondroma proximal phalanx thumb
                    29 year male
Case #561




 23 yr male with path fracture thru enchondroma thumb
Case #561.1




      48 year female with mild pain in hand 1 year
Cor T-1   STIR   Gad
Axial T-1         T-2 FS




            Gad
Case #562




     31 year female with enchondroma great toe
Amputation
specimen
Photomic
Case #564




      11 yr boy with enchondroma lst metatarsal
Case #565




     26 year male with enchondroma 5th metatarsal
Case #566




       17 year male with enchondroma os calcis
Os calcis view
Case #567




28 year female
enchondroma scapula
Multiple
Enchondromatosi
         s
 Ollier’s Disease
Multiple Enchondromatosis (Ollier’s)
    Multiple enchondromatosis or Ollier’s disease, is a rare non-
familial cartilagenous dysplasia that is typically seen on one half
of the body and appears similar to fibrous dysplasia. Extensive
disease of the metaphyseal areas of long bone can result in bowing
and shortening. In the case of the femur a major bowing is seen
distally compared to the proximal bowing seen in fibrous dysplasia.
The cortical thinning and epiphyseal involvement seen in Ollier’s
disease is rarely seen in solitary enchondromas. The chance for
malignant conversion to a low grade chondrosarcoma in adult life
is about 25%.
CLASSIC
          Case #568




    3 year male with multiple enchondromatosis
Extremities
Macro section
Photomic
Case #569




6 year male
Ollier’s disease
Same patient
Case #570




4.5 year male
Ollier’s tibia
Case #571




    71 year female with Ollier’s left lower extremity
Lateral view of knee
Photomic
Failure following
resurfacing TKA
because of loosening
Post op x-ray with constrained
TKA
X-ray of cemented
stem distal femoral
resection prosthesis
Case #571.1                    Ollier’s




   34 year male with life time shortening of left lower extremity
     and more recent onset of soft tissue mass in lower leg
Sag T-1   T-2   Gad
Surgical exposure of soft tissue lump behind distal tibia
Case #572




15 year female
Ollier’s disease
AP close up knee
Forearm disease
Case #573




18 year male
Ollier’s pelvis
and ribs
Case #574




2 year male
Ollier’s lower
extremity
Case #575




28 year male
Ollier’s upper
extremity
Multiple sites in radial half of hand
AP x-ray
Case #576




19 year male
Ollier’s femur
Case #577




        22 year male with Ollier’s of the hand
tumor




Macro section of amputation specimen
tumor




Close up view of macro section
Case #578




        40 year female with Ollier’s of the hand
Case #579




10 year male
Ollier’s hand
Case #580




30 year female
Ollier’s hand
Case #581




3 year male
Ollier’s hand
Case #582




19 year male
Ollier’s feet
Case #583




  5 year female with Ollier’s of hand ready for surgery
X-ray of both hands
Photo of deformed feet after hand surgery
Close up of deformed foot
Multiple Enchondromatosis
            Plus
         Soft tissue
     Hemangiomatosis

    Maffucci’ Disease
Maffucci’s Syndrome
  Patients with multiple enchondromatosis or Ollier’s disease will on
occasion develop soft tissue hemangiomatosis in the same areas
as the enchondromatosis is seen. This combination of both a bony
cartilaginous and a soft tissue angiomatosis is known as Maffucci’s
syndrome. The clinical appearance of the multiple enchondromatosis
is the same as Ollier’s disease but with a higher potential for a
malignant conversion to a low grade chondrosarcoma in adult life.
CLASSIC
Case #584




33 year male
Maffucci’s disease
X-ray tibias
phleboliths


            phleboliths




X-ray forearm
Hand x-ray
Hand amputation specimen
Macrosection thru large enchondroma
Photomic of enchondroma
Case #585




36 year female with
Muffucci’s syndrome
Lateral view showing
phleboliths
Opposite femur
Lateral view with
phleboliths
hemangioma




enchondroma

              Gross specimen
Case #586




    25 year female with Muffucci’s syndrome hands
Periosteal
Chondroma
Periosteal Chondroma
    The periosteal chondroma has the same basic pathology as the
enchondroma except that it occurs on the surface of a tubular
bone. It can occur as a hamartomatous process in growing patients
but as with enchondroma it is usually asymptomatic and growth
stops at bone maturity. The lesions are found in large bones, such
as the humerus and femur, and in the small bones of the hand and
foot. Radiographically one sees slight erosion into the adjacent
cortex but the lesion will not penetrate into the medullary canal.
There will be a sclerotic response at the base that extends around
the periphery of the lesion taking on the appearance of a blister
on the surface of the bone with matrix calcification seen mainly
at the periphery but found also in the central area. The lesions
usually stop growing before they reach the upper limit of 3-4 cm
in diameter. If growth continues beyond this, one must strongly
consider the possibility of a peripheral surface type chondrosarcoma
that would continue to grow after bone maturity.
   Periosteal sarcoma is a similar chondroid lesion found typically
on large bones. It demonstrates a more aggressive pattern,
permeation into surrounding cortical structures and a more
aggressive histology with some osteoid formation. Osteo-
chondroma also has a similar appearance but would demonstrate
a more mature bony base on which a cap of cartilage is typically
seen. In the case of the periosteal chondroma, the cartilage
extends down into the depths of the tumor.
   Treatment consists of a simple resection without disturbing
the subadjacent cortex so that bone grafting or internal fixation
devices are not necessary. The recurrence rate is very low after
maturity.
CLASSIC
Case #121




17 year female
periosteal chondroma
distal femur
Bone scan
CT scan
Axial proton density MRI
Sagittal proton density MRI
Sagittal T-2 MRI
Photomic
Case #587




42 year male with
combined periosteal
chondroma and
enchondroma next to
each other in femur
enchondroma



Bone scan



            periosteal chondroma
enchondroma




                             periosteal chondroma



          Sagittal CT scan
Axial CT scan at level of enchondroma
periosteal
              chondroma
enchondroma




   CT scan
Coronal T-1 MRI



                  enchondroma
Axial T-1 MRI
Case #588




22 year male
periosteal chondroma
femur
Case #589




16 year male
periosteal chondroma
distal femur
AP view
Case #590




12 year female
periosteal chondroma
proximal femur
Frog leg lateral
Case #592




11 year female
periosteal chondroma
proximal tibia
Another view
CTscan
Axial proton density MRI
Photomic
Case #593




     19 year female with periosteal chondroma tibia
Case #594




26 year male
periosteal chondroma
proximal humerus
                       tumor
                           tumor
CT scan
small enchondroma



Coronal T-1 MRI



                  tumor
Photomic
Case #595




   46 year female with periosteal chondroma humerus
CT scan
Another CT cut
Coronal T-1 MRI
Coronal T-2 MRI
Photomic
Case #595.1                  Periosteal chondroma




17 year old female with
slight pain right shoulder
for 1 year
Sag T-1   T-2   Gad
Axial T-1   T-2




Gad
Case #596




14 year male
periosteal chondroma
proximal humerus
AP view
Case #598




     62 year male with periosteal chondroma thumb
Axial T-1 MRI
Coronal proton density MRI
T-2 MRI
Photomic
Case #599




8 year female with periosteal chondroma 4th metacarpal
Case #599.1              Periosteal chondroma finger




  10 yr male with non tender lump base of middle finger for yrs
Cor T-2      Sag T-2




Axial T-1   Axial T-2
Case #600




 25 year female with periosteal chondroma 3rd metatarsal
Case #601




   26 year male with periosteal chondroma ring finger
Case #602




 54 year male with periosteal chondroma 5th metatarsal
Case #602.1      2006                           2010




     77 yr male with none tender firm mass on 2nd toe for years
Case #603




18 year male
periosteal chondroma
3rd toe
Case #604




     33 year male with soft tissue chondroma finger
Lateral x-ray
Oblique view
Surgical excision
Photomic
Case #605




19 year male
periosteal chondroma
C-2
Bone scan
CT scan
Case #606




    38 year male with periosteal chondroma ischium
Case #607




   6l year female with periosteal chondroma clavicle
Osteochondroma
Osteochondroma
    The solitaty osteochondroma or exostosis is one of the most
common benign bone tumors seen in the skeleton. As in the
enchondroma, this condition is developmental, or hamartomatous
in nature arising from the outer edge of the growth plate and
growing down the metaphyseal side where it tends to point away
from the adjacent joint. Because it originates from the growth plate,
it continues to grow during the growing years of the patient and
then stops at maturity. It is made up of a bony base with a pedunc-
ulated stock with fatty marrow extending up inside the stock that
has a cartilagenous cap giving it the appearance of a cauliflower.
Histologically, the cap has features of a normal growth plate if a
biopsy is performed during the growing years. Most of these lesions
arise from large bones, especially about the knee joint, proximal
femur, and proximal humerus. In the proximal humerus, the
osteochondroma is usually sessile-based without a typical pedunc-
ulated stock and is frequently misdiagnosed for that reason.
Multiple hereditary exostosis presents with multiple lesions through-
out the skeletal system and is considered to be an autosomal
dominant disorder, being one-tenth as common as the solitary
osteochondroma which is not inherited.
   The conversion of a solitary osteochondoma to a chondro-
sarcoma can only occur in the adult. It is an extremely rare event
compared to the 1% chance of a malignant conversion in multiple
hereditary exostosis. It is the cartilaginous cap that converts into a
low grade secondary type of peripheral chondrosarcoma with an
excellent prognosis for survival compared to a central chondro-
sarcoma. These malignant conversions usually arise from large
osteochondromas seen in more proximal locations, such as around
the hip or pelvis. Because osteochondromata are usually without
symptoms, surgical treatment is frequently unnecessary unless the
lesions create mechanical problems such as around the knee joint
where larger lesions can interfere with normal ambulation.
Sometimes, a large proximal lesion with a cartilage cap exceeding
2 cm should be prophylactically resected in order to avoid a
possible chondrosarcoma. When removing an osteochondroma, it
is necessary only to remove the complete cartilaginous cap,
leaving most of the bony base intact to avoid a facture.
CLASSIC
Case #122




25 year male
osteochondroma
tibia
Lateral view
cartilage cap




fatty marrow




Sagittal T-1 MRI
cartilage cap




      fatty marrow




Macro section
Case #608




       17 year male with osteochondroma humerus
marrow
Axial T-1 MRI




                cap
marrow
Sagittal T-1
MRI
cap


Coronal T-2 MRI
cap




Macro section
Case #609



30 year male
sessile based
osteochondroma
humerus


Coronal T-1 MRI
Coronal proton density MRI



                             cap
cap




      Axial T-1 MRI
cap




        fatty marrow




      Axial T-2 MRI
Case #610




14 year male with sessile based osteochondroma humerus
Bone scan
Coronal T-1 MRI
Cut surgical
specimen




               cap
cartilage cap




Photomic
Case #611




10 year male
sessile based
osteochondroma
proximal humerus
Lateral view
Case #612




25 year male
osteochondoma
scapula
Scapular view
cartilage cap




Resected specimen
Case #613




   32 year male with osteochondroma proximal femur
Frog leg lateral
CT scan
Case #614




12 year female
osteochondroma
proximal femur
Case #615




15 year male
osteochondroma
distal femur
cap




Cut specimen in path lab
cartilage cap
      cartilage




                  Photomic
Case #616




    23 year male with osteochondroma distal femur
cap




      Cut specimen in path lab
cartilage cap



Photomic
Case #617




   26 year male with osteochondroma proximal fibula
Lateral view
Case #618




  18 year male with sessile based osteochondroma tibia
Case #619




11 year male
sessile based
osteochondroma
distal tibia
Case #620




38 year male
osteochondroma
L-5
Lateral view
Bone scan
CT scan
cap




Coronal T-2 MRI
Case #621




 6 year male with osteochondroma C-6 spinous process
CT scan
Case #621




26 year male
osteochondroma
ilium
cap




Cut specimen in path lab
Case #621.1




     22 year female with painless lump right iliac crest for years
Axial T-1   Gad
Cor T-2   Sag T-2
Case #623




     31 year female with osteochondroma ant 3rd rib
Case #624




            16 year male subungual exostosis
AP x-ray
Multiple Hereditary
    Exostosis
CLASSIC        Case #625




   15 year male with multiple hereditary exostoses
Tibia and fibula
Lateral view
Case #625.1                 Multiple hereditary exostoses




50 yr old female with short stature and R hip pain for years
AP and lateral of right hip
AP and lat tibia
Proximal humeral x-rays
AP and lateral of femur
Lateral ankle




Oblique foot
Case #626




13 year female
multiple exostoses
forearm
Distal femur
Case #627




20 year male
multiple exostoses
knee
Lateral view
Case #628




       15 year male with multiple exostoses hips
Case #629




   26 year female with multiple exostoses thorax & arms
Case #630




31 year male
multiple exostoses
scapula & humerus
Scapular view
CT scan
Case #631




26 year male
multiple exostoses
leg
Chondroblastoma
Chondroblastoma
    The chondroblastoma is a benign, cartilage forming tumor seen
in the metaepiphyseal area of bone in children and young adults.
The histologic appearance is typical of a giant cell tumor in young
adults. The chondroblastoma is one fifth as common as the giant
cell tumor and the majority of cases will occur during the second
decade of life. It is rare to find the giant cell tumor in patients
under the age of 13 years. The most common location for the
chondroblastoma is in the epiphysis of the distal femur, proximal
tibia, and proximal humerus. These lesions are usually located
near a joint and are quite painful because of a secondary inflamm-
atory synovitis of the adjacent joint that can masquerade as a
pyarthrosis. It is not unusual to find an aneurysmal bone cyst
associated with the chondroblastoma, similar to the situation seen
with giant cell tumors. Histologically, one sees round polyhedral-
shaped stromal cells located in clear cytoplasmic halos that gives
the appearance of chicken wire under the microscope. Giant cells
are frequently associated with the chondroid tissue that gives the
appearance of a giant cell tumor. It is very rare for a chondro-
blastoma to convert to a malignant tumor, however, as in the case
of giant cell tumor, they can metastasize to the lung and still
carry an excellent prognosis for survival.
   Treatment consists of a simple curettement of the lesion
followed by packing the defect with either bone graft or bone
cement. There is a relatively low (10%) recurrence rate.
CLASSIC Case #123




  12 year female with chondroblastoma proximal tibia
Coronal post gad MRI
Sagittal T-2 MRI
Photomic
Case #632




     26 year male with chondroblastoma prox tibia
Lateral view
Sagittal T-1 MRI
Sagittal T-2 MRI
Photomic
Case #632.1         Chondroblastoma pseudotumor (geode)




              52 yr female with pain in knee for 1 yr
Cor T-1   T-2
Axial T-2




Sag T-1
Case #633




     21 year female with chondroblastoma prox tibia
Case #634




   16 year male with chondroblastoma distal femur
Lateral view
Coronal proton density MRI
Sagittal proton density MRI
Axial proton density MRI
Curettement of tumor
from window in
intercondylar notch


                       tumor
Photomic
Higher power
Case #635




18 year male
chondroblastoma
distal femur
CT scan
Photomic
Case #636




20 year male with chondroblastoma & ABC prox femur
tumor




Axial T-2 MRI
Coronal T-2 MRI
                  tumor


                  edema
Photomic
Post op x-ray with
cement & DHS
Case #636.1             Chondroblastoma with ABC




       21 yr male with left hip pain for 4 mos.
Axial CT
 scans
Cor PD   Gad
Axial T-1               T-2




            T-2   Gad
PO bone graft
Case #637




12 year female with chondroblastoma prox femoral epiphysis
CT scan
Another CT cut
cartilage




giant cells
              Photomic
Case #638




13 year female with chondroblastoma prox fem epiphysis
Case #639




    15 year male with chondroblastoma prox humerus
CT scan
Axial T-1 MRI
Coronal T-2 MRI
tumor
Macro section
Photomic
Photomic with giant cells
Case #640




 15 year male with chondroblastoma proximal humerus
Coronal T-1 MRI
tumor




 Coronal T-2 MRI
Photomic with giant cells
Another photomic
Case #641




24 year female
chondroblastoma
pelvis
CT scan
Another CT cut
Photomic
Case #642                 CT scan




       21 year male with chondroblastoma ilium
Another CT cut
tumor




    T-2 MRI
Case #643




  43 year female with chondroblastoma distal humerus
CT scan
Case #644




   11 year male with chondroblastoma lateral malleolus
Sagittal T-1 MRI
Axial T-2 MRI
Photomic
Case #645




12 year female
chondroblastoma
distal fibula
Case #646




       18 year male with chondroblastoma talus
Lateral view
Chondromyxoid
   Fibroma
Chondromyxoid Fibroma
    Chondromyxoid fibroma is a very rare solitary benign tumor seen
in bone. It occurs typically in the second or third decade of life and
affects men more than women. By far the more common location
for this lesion is in the proximal tibial metaphysis, followed
second by the distal femur and the first ray of the foot. This lesion
is slow growing and is associated with mild symptoms of pain.
Radiographically, there is a lytic lesion of bone with a soap-
bubbly appearance secondary to the thin sclerotic peripheral
margin giving it a pseudoloculated appearance similar to that of
a solitary bone cyst. The adjacent cortex is frequently thinned out
and slightly dilated, similar to the pattern that is seen in fibrous
dysplasia. Histologically, there will be evidence of benign fibrous
tissue with large areas of myxomatous degeneration with reactive
macrophage activity seen at the periphery of the lesion that could
suggest the diagnosis of a chondrosarcoma.
Treatment for this lesion consists of a simple curettement and bone
grafting. The fairly high recurrence rate of 25% can be reduced by
a more aggressive, marginal resection of the tumor. Occasionally,
this lesion can convert into a chondrosarcoma.
CLASSIC
Case #124




11 year male
chondromyxoid fibroma
proximal tibia
Tomogram cut
Surgical exposure of tumor
Low power photomic
giant cells



myxoid




         Higher power
Surgical curettement completed ready for bone graft
Placement of fibular strut and cancellous graft
Post op x-ray
Case # 124.1                    AP and lat x-ray




  50 year male with chondromyxoid fibroma proximal
tibia with 6 months of a tender tumor mass anterior tibia
Coronal T-1 MRI
Coronal PD FS MRI
Axial PD FS MRI
Axial Gad MRI
Case #647




   12 year female with chondromyxoid fibroma tibia
Case #648




   13 year female with chondromyxoid fibroma tibia
Case #649




25 year female
chondromyxoid
fibroma 1st metatarsal
Oblique view
Photomic
Photomic
Case #649.1             Chondromyxoid fibroma os calcis




              44 year old male with heel pain 1 year
Sag T-1          Axial T-1




Axial PD       Axial Gad
Photo mic



Surgical curettement
Case #650




7 year female
chondromyxoid
fibroma ulna
Photomic
Case #651




    25 year female with chondromyxoid fibroma rib
Photomic
Case #651.1




60 year female with chondromyxoid fibroma distal sacrum
Sag T-1   Sag T-2
Axial T-1




Axial T-2
Coronal T-1

Vol 4 ppt