Volume 13

Adamantinoma----------------Case 214-218 & 1094-1098
Chordoma----------------------Case 219-224 & 1099-1106
Histiocytoses
 Eosinophillic granuloma--Case 417-444
 Hand-Schiller-Christian --Case 445-446
 Letter Siwe disease--------Case 447-450
 Sinus histiocytosis---------Case 450.1
   Rosai-Dorfman’s disease
Adamantinoma
Adamantinoma
    The adamantinoma of bone is an extremely rare primary sarcoma
of bone, accounting for about .3% of all malignant tumors of bone,
and in 90% of the cases it will be seen in the diaphyseal portion of
the tibia, especially in the anterior cortex. It occurs equally in males
and females, typically in the second and third decade of life. The
tissue of origin still remains a mystery but immunohistochemical
stains suggest an epithelial origin that might account for why they
are more common just beneath the skin in the anterior cortex of the
tibia. Radiographically, the adamantinoma takes on the appearance
of a fibrous dysplastic lesion or perhaps osteofibrous dysplasia of
the tibia. The lesion appears benign with a lytic core surrounded by
dense, reactive fibro-osseous bone that frequently dilates the anterior
cortex and may be multiloculated in appearance. The tumor is quite
slow growing and is usually painful, whereas in fibrous dysplasia
and osteofibrous dysplasia, the patients remain asymptomatic. If a
so-called fibrous dysplastic lesion continues to grow past maturity,
a physician should suspect adamantinoma, especially if the lesion is
painful, and look for the characteristic nests and cords of epithelial-
looking cells surrounded by fairly benign-appearing fibro-osseous
tissue on histological specimens. It is very rare for this tumor to
metastasize to different sites but occasionally it will metastasize to
regional lymph nodes and the lung.
    Treatment for this low grade lesion is purely surgical, consisting
of a wide local resection, frequently a segmental resection of the
mid portion of the tibia, and reconstruction with a large bone
allograft over an intramedullary nail. There have been a few rare
cases in the literature where adamantinoma has arisen out of a pre-
existing osteofibrous dysplastic lesion.
CLASSIC
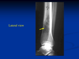
Case #214




25 year male with
adamantinoma tibia
Lateral view
Wide resection specimen
opened on back table
Photomic
Surgical specimen after
3 mins in autoclave
Autoclaved tibia
replaced over IM
nail and rotated 180
degrees
Cancellous autogenous
iliac chips placed
between tibia and
roughed up fibular
1 year later showing
union of prox tib-fib
step ladder synostosis
3 years post op with solid
union to autoclaved bone
7 years post op with
symptoms of ankle pain



Turns HIV positive
One year later with
osteopenia about
painful and swollen
ankle
Sagittal T-1 MRI
shows recurrent tumor
above ankle
Cut amputation specimen
showing excellent
osseointegration between
fibula & autoclaved tibia




                            tumor
autoclaved tibia



reactive live bone




 Photomic at tibia-fibula interphase
Case #215




22 year female
adamatinoma
distal tibia
Photomic
Another photomic
Wide resection
distal tibia     biopsy
                 site
Autoclaved specimen
cemented over IM nail
including total ankle
Composite reconstruction
completed including
total ankle
Post op lateral x-ray
AP x-ray showing
fibular recurrence
resulting in BK amp
2 years later
Case #216




11 year female with
adamantinoma arising
from osteofibrous dysplasia
tibia
AP view
Bone scan
Low power photomic with osteofibrous dysplasia
     to right and adamantinoma to left
Photomic with cords and nests of epithelioid cells
Higher power of cords and nests of epithelioid cells
4 years following
segmental resection
and allograft recon
over IM nail
Case #217




25 year female
adamantinoma tibia
Close up AP view
Low power photomic
Case #218




58 year female
adamantinoma
proximal tibia
Lateral view
Bone scan
Coronal Gad
Contrast MRI
Sagittal STIR MRI
Axial T-2 MRI
Another axial T-2 MRI showing cystic fluid-fluid levels
Photomic
Another photomic
Case #1094




15 year female with
adamantinoma arising
from osteofibrous dysplasia
AP view several years later
showing slow progression and
fibular involvement as well
Lateral view showing
path fracture
Photomic showing combined fibro-osseous
      and adamantinoma histology
Photomic showing mostly adamantinoma histology
Another photomic
6 months following
curettement and cancellous
allograft placement
9 months later
AP view same time
3.5 years later showing
good healing and no
progression of disease
Lateral view at same time
Case #1095




58 year female with
adamantinoma tibia
Sagittal T-1 MRI
Sagittal T-2 MRI
Case #1096




18 year male with
adamantinoma tibia
Bone scan
Sagittal T-2 MRI
Axial T-2 MRI
Case #1096.1                          Pseudo adamantinoma




 78 year male with chronic osteomyelitis tibia since age 2 years
        with recent fungating lesion anterior tibia
Case #1097




14 year male with
adamantinoma distal
tibia and fibula
Coronal T-1 MRI
Photomic
Case #1098




16 year male with
adamantinoma mandible
AP x-ray
Oblique view
Surgical exposure
Resected specimen
Photomic
Another photomic
Chordoma
Chordoma
    The chordoma is a very rare malignant tumor of bone that
accounts for only 4% of all malignant bone tumors. It arises from
the primitive notochord of the axial skeleton and is most commonly
seen in the lower portion of the sacrum, accounting for 50% of the
chordomas. 37% arise in the spheno-occipital area and a small
number occur in the cervical and lumbar spine. The more common
sacral lesions are seen in an older age group between the ages of
40 and 80 years, compared to the spheno-occipital chordomas that
occur in a younger adult age group. The later carry a much worse
prognosis because of the location at the base of the skull. The
chordoma is clinically similar to a mucinous type of chondrosarcoma.
    In the sacral area, chordomas are usually attached to the anterior
portion of the distal three segments of the sacrum and grow in the
retroperitoneal space, pressing up against the rectum where
eventually they will present with clinical symptoms related to
constipation and can be picked up on a rectal examination. Because
the tumor is very slow growing, it rarely causes significant pain
symptoms. The radiographic findings are frequently not very obvious,
even with large tumors that are better evaluated by soft tissue
technique, such as CT scan or, better yet, MRI. Microscopically, the
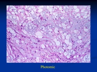
chordoma has a mucinous appearance similar to a low grade myxoid
chondrosarcoma, but the diagnostic feature is the “signet ring”
appearance of the physaliferous cells that have a peripheral nucleus,
a large cytoplasmic inclusion of physaliferous mucinous material that
can look a bit like a liposarcoma.
    Treatment for the chordoma consists primarily of a wide surgical
resection, which sometimes is very difficult, especially with lesions
extending into the upper sacral segments where the nerve roots
become a problem and may result in significant neurogenic bowel
and bladder complications. Even with surgical treatment, the local
recurrence rate is very high so that post op radiation therapy is
recommended. It has cut the local recurrence rate to about 30%
compared to 65% without RT. Recurrences can occur locally up to
fifteen years after the original surgery. Pulmonary metastases are
extremely rare and systemic chemotherapy is not indicated for this
tumor.
CLASSIC       Case #219




          45 year male with chordoma sacrum
Lateral view
Sagittal T-1 MRI
Coronal T-1 MRI
Axial T-1 MRI
Axial T-2 MRI
Resected specimen cut in path lab
Photomic showing physaliferous cells
Case #220                 Sagittal T-1 MRI




        74 year male with chordoma sacrum
Sagittal T-2 MRI
Case #220.1
                          CT scan                Sacral chordoma




          48 year male with 4 mo history of sacral pain
Bone scan
Axial MRI




     T-1




      T-2
Sag T-2
Cor T-2   Gad
Post op x-ray
Case #221




      82 year male with chordoma lower sacrum
Lateral view
Sagittal T-1 MRI
Sagittal T-2 MRI




                   tumor
tumor




Axial T-1 MRI
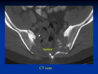
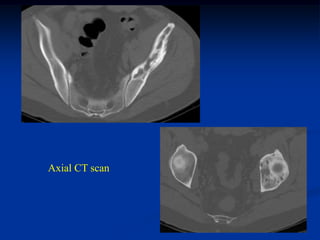
Case #222                       CT scan




     65 year female with chordoma sacrum and buttock
tumor




Axial T-2 MRI
Axial T-2 MRI at higher level
femur
           tumor




Sagittal T-2 MRI
Photomic
Case #222.1




      T-2 MRI

      Sacral chordoma

      65 yr male
Rebar and cement reconstruction
Case #223




     49 year male with recurrent chordoma sacrum
tumor



CT scan
Sagittal T-2 MRI



                   tumor
tumor




Axial T-2 MRI
Wide resection entire                   CD rod
sacrum and recon with           L-5
CD rods and Steinman
pins prior to cementation




                            Steinman pins
CD rods



After cementation




                    cement sacrum
Post op x-ray


                cement
L-4


                    L-5
Lateral view


                 cement


               cement coccyx
Case #224               Sagittal T-1 MRI



                             L-3




                              S-1



       55 year male with chordoma lumbar spine
Resection L-4, L-5 and part of S-1
Resected vertebrae
Photomic
sacrum




Anterior recon with large bone allograft and plate
allograft

                        CD rods
Post op lateral x-ray
Case #1099




        53 year female with chordoma sacrum
Bone scan
Oblique bone scan
tumor




CT scan one year later
Sagittal T-2 MRI
Sagittal T-2 MRI




                   tumor
tumor




Axial T-2 MRI
Photomic
Case #1100                 CT scan




         61 year male with chordoma distal sacrum
Bone scan




            bladder
Sagittal T-1 MRI


                   tumor
Sagittal T-2 MRI
                   tumor
Axial T-1 MRI
Photomic
Case #1101
                         Axial T-1 MRI




         60 year female with chordoma sacrum
Axial T-2 MRI
Sagittal T-2 MRI
Case #1102
                    Axial and coronal CT scan




       37 year male with chordoma in body of L-4
CT scan myelogram with block at L-4
Myelogram showing block
at the L-4 level
Oblique myelogram views
Photomic
Post op x-ray following
removal of L-4 body
and recon with fibular
strut from L-3 to L-5
Lateral view of fibular
strut reconstruction
8 mos later with
collapse of L-3 on L-5
10 more months
and further collapse
of L-3 on L-5
Sagittal T-1 MRI showing collapse and kinked dural sac
X-ray following restoration
of collapsed vertebral space
with iliac strut graft in
front and CD rods behind
AP view
Case #1103




34 year male with
chordoma L-5
tumor




CT scan at L-5 shows chondroid like tumor arising from
       the postero-lateral elements of L-5
tumor




Another CT cut
Another
tumor




Axial T-1 MRI
Axial T-2 MRI
Another axial T-2 MRI
Sagittal T-2 MRI
Another sagittal T-2 cut
Photomic
Case #1104




65 year male with a
chordoma of L-2



Myelographic study
showing complete
block at L-2 level
Surgical exposure of paraspinous mass at L-2 level
Post op x-ray showing
recon with cement
and pins in tumor defect
Lateral view
Case #1104.1                Chordoma L-1




49 year male with back
pain for 6 mos and recent
paraparesis
Axial CT L-1 level
Axial T-1         T-2




            Gad
Sag T-1   T-2
PO x-ray
PO Cor CT   Sag
Case #1105




54 year male with
chordoma C-spine
Case #1106




       42 year female with chordoma base of skull
Autopsy specimen
showing lobulated
chondroid looking
mass in post fossa
Macro section
Photomic
Photomic
Histiocytoses Of
      Bone
Eosinophilic
Granuloma
Eosinophilic Granuloma (Langerhans Histiocytosis)
      The so-called benign histiocytoses, sometimes referred to as
  histiocytosis X, include various disease conditions such as eosino-
  phillic granuloma, Hand-Schuller-Christian disease and Letterer-
  Siwe disease. Eosinophillic granuloma is the most benign of the
  histiocytic disorders, followed next by Hand-Schuller-Christian
  disease that presents with an intermediate diffuse process of both
  bone and soft tissue that can be fatal. Letterer-Siwe disease is the
  most aggressive and fatal form of the histiocytoses, presenting like
  leukemia with a very poor prognosis for survival.
     Eosinophillic granuloma, now referred to as Langerhans histio-
  cytosis, is a benign histiocytic disorder that frequently presents in
  children between the ages of 5 and 15 years with a clinical picture
  that can masquerade as a malignant neoplasm such as Ewing’s
  sarcoma. It occurs twice as often in males than females. It is
  usually a monostotic disorder of the skeletal system, however, in
10% of cases it will be seen in two or three separate sites. The
etiology of this histiocytic process is still unknown but some have
postulated a viral etiology. Patients present with inflammatory pain,
more severe at night, that may be associated with a low grade fever
or elevated sed rate. The most common location is in the skull,
followed next by the ribs, pelvis, maxilla, vertebral body, clavicle
and scapula, in that order. Besides flat bone involvement, it is
commonly seen in the diaphyses of long bones where it can
masquerade as Ewing’s sarcoma, but can also occur in metaphyseal
bone and is found least commonly in epiphyseal bone. In young
children, the condition can be extremely permeative and destructive
in nature, taking on the appearance of Ewing’s sarcoma, metastatic
neuroblastoma, or acute osteomyelitis.
    On x-ray, eosinophillic granuloma has an onion-skin appearance
similar to a Ewing’s sarcoma. In an older age group, the condition
tends to be more focal and more granulomatous in appearance with
less permeative change. Microscopically, there are large, pale-
staining histiocytes speckled with small, bright-staining eosinophils
and an occasional giant cell. Eosinophillic granuloma tends to
involute spontaneously without treatment and therefore symptomatic
treatment should be conservative--simple curettement for diagnostic
purposes and perhaps cortical steroid injections can be beneficial to
inhibit the inflammatory process. In more difficult parts of the body,
such as the spine or pelvis, very low grade radiation therapy can be
considered, realizing that this could convert the process to a malignant
sarcoma at a later date. In more aggressive forms with multi-focal
involvement, especially if there is soft tissue involvement of the skin,
lymph nodes or lung, a low dosage chemotherapy program can be
considered. Sometimes the low grade eosinophillic granuloma
histiocytosis can upgrade to a more aggressive and dangerous form
such as Hand-Schiller-Christian disease or even Letterer-Siwe disease.
With spinal lesions, spinal cord compression can result in paraparesis
requiring laminectomy decompression. However, kyphotic deform-
ities in younger patients tend to correct spontaneously without surgery.
CLASSIC
Case #417




17 year male
EG distal femur
Lateral view
Coronal T-1 MRI
Sagittal T-2 MRI
Coronal STIR MRI
eosinophil                histiocyte




             Biopsy photomic
Case #417.1




          6 yr male with pain in left thigh for 6 months
CT scan
Axial T-1         T-2




            Gad
Cor Gad   Sag Gad
Case #417.2




              10/08                  11/08           12/08


          6 year male with pain in thigh for 1 mo.
11/08               1/09




Cor T-1           T-2   T-1          T-2
Case #418




2 year male
EG mid femur
Case #419




8 year male
EG mid femur
Case #420




  3 year female
  path fracture
  EG femur
Lateral view
Case #421




3 year male
EG mid femur
Lateral view
Case #422




7 year female with
EG femur
Case # 423




             14 year male with EG clavicle
Case #424




            16 year male with EG mid clavicle
Macro section of resection specimen
Photomic
Case #425




        6 year male with EG proximal humerus
Case # 426




12 year male with
EG mid humerus
Arteriogram
Bone Scan
Case #427




2.5 year male
EG distal humerus
Lateral view
Case #428




            2.5 female with EG proximal ulna
AP view
CT scan showing reactive involucrum formation
More proximal CT cut
edema




Axial T-2 MRI
Case #429




            23 year female with EG right ilium
Bone scan
CT scan
Axial STIR MRI
Case #429.1




   51 year female with 6 mos pelvic pain second to EG
Bone scan
Axial T-2 MRI
Case #429.2
                                        EG pelvis




       39 year male with dull aching pain left hip for 9 mos.
Axial CT scan
Cor and Sag CT
Axial




      T-1           T-2




T-1                   T-2
Cor T-1




          Sag T-2
Case #430




12 year male
EG ilium
Case #431




            20 year male with EG scapula
CT scan
Coronal T-2 MRI
Axial T-2 MRI
Case #432




4 year male
EG mid fibula
Case #433




            12 year male with EG posterior rib
Case #434
       x-ray resection specimen




              24 year male with EG skull
CT scan of EG skull
Photomic
Case #435




4 year female
EG right mandible
Oral photo of submucosal mass
Mandibular view
Full mouth dental x-ray view
Axial CT scan
Photomic
Case #436




3 year male
vertebra plana from
EG thoracic vertebra
Sagittal CT scan
Sagittal T-1 MRI
Sagittal T-2 MRI
Sagittal gad contrast MRI
Case #438




            7 year male with EG T-11
Sagittal gad contrast MRI
Sagittal T-2 MRI showing protrusion into vertebral canal
Case #439



                                     new collapse
19 year male with EG collapse      new collapse
at 3 different levels but at          old
different times                     old
The lower levels show height
restoration as a spontaneous
healing process seen in children

                                                old
                                             old
Case # 440




7 year female with
healing collapsed
lumbar vertebra
Case # 441




15 year male with
EG lumbar vertebra
Case #442




5 year female
EG C-3
Case #443




10 year female
EG C-7
Case #444
                skull defect




8 year male
EG skull with
EG dermatitis
Severe EG dermatitis back
Case #444.1                  Multifocal osteomyelitis
    EG pseudotumor




5 year old male with pain
in heel and knee for 6 mos
Sag T-1   T-2   Gad
Cor T-1        Sag T-2




   Axial T-2
Case #444.2                     EG




 2 year old male with painful
 foot for 2 months
Sag T-1         T-2




          Gad
Axial T-1
                  T-2




            Gad
Hand-Schiller-
Christian Disease
Hand-Schiller-Christian Disease
    Hand-Schiller-Christian disease is the intermediate form of
histiocytosis-X that involves predominantly children, two-thirds of
the cases being younger than five years of age. The classic triad
for this syndrome is diabetes insipitus, exophthalmos, and single
geographic lesions involving mostly the skull and pelvic bones.
The initial lesions appear like eosinophillic granuloma and, in fact,
eosinophillic granuloma can progress into a Hand-Schiller-Christian
type syndrome as the disease advances. It is common to have soft
tissue involvement of lymph nodes, liver, spleen, lung, brain and
kidney as well as skin changes that can be seen in eosinophillic
granuloma. Histologically, the same histiocytic cells as are seen
with eosinophillic granuloma are present, along with eosinophils. In
the later stages, foam cells and cholesterol deposits are typical.
as the disease progresses and more and more soft tissue organs are
affected, the prognosis worsens with an overall fatally rate of
10-30%. Treatment consists of local surgical treatment plus systemic
treatment consisting of therapeutic protocols similar to those used in
leukemic patients.
CLASSIC    Case # 445




          5 year male with HSC disease skull
reactive bone




granuloma


Photomic from edge of skull lesion
Photomic showing foam cells
Higher power of foam cells
Photomic showing cholesterol deposits
Case # 446




 6 year female with HSC disease skull, spine and pelvis
Pelvis
Spinal lesions
Biopsy photomic
Photomic showing cholesterol deposits
Letterer-Siwe
  Disease
Letterer-Siwe Disease
    Letterer-Siwe disease is the least common of the histiocyoses
comprising about 10% of all histiocytic disorders. It is a pro-
gressive, acute syndrome in children under three years of age,
involving multiple visceral organ systems, such as the spleen,
lymph nodes and skin, associated with purpura, bleeding gums,
and multiple lesions similar to those seen in Hand-Schiller-
Christian disease. The skull and pelvis are frequently involved.
The skeletel lesions tend to be more diffuse than with the other
histiocytoses and take on a picture similar to that of leukemia or
diffuse lymphoma. These patients usually die of bacterial infections
within one or two years of their acute clinical onset because of bone
marrow suppression. Histologically, the lesions look very similar
to eosinophillic granuloma or Hand-Schuller-Christian disease,
although it is unusual to see foam cells in this form of histiocytosis.
Treatment consists of chemotherapeutic agents similar to those
used in leukemia.
CLASSIC         Case #447




          3 year female with LS disease skull
AP view
Chest x-ray with diffuse involvement ribs, scapulae & humeri
Diffuse involvement pelvis and hips
Bilateral humeral involvement
Photomic showing histiocytes and eosinophils
giant cell
       histiocyte


poly




Photomic showing giant cell, polys & histiocytes
Case # 448




             15 month male with LS skull
T-12 collapse
Femoral disease
Photomic
Case #449




            3 year male with LS skull
Femoral disease
Case #450




            2 year old female with LS skull
Sinus Histiocytosis
   Rosai-Dorfman’s Disease
Sinus Histiocytosis
                     Rosai-Dorfman’s Disease

  Sinus histiocytosis is a rare and new variant of the histiocytoses
which is characterized by enlarged lymph nodes in the head and
neck area in 80% of cases along with bony involvement in 40%
of cases. It is an aggressive form of the histiocytoses that is seen in
teen agers and young adults. Symptoms may include fever, weight
loss and malaise. The bony lesions may be solitary or multifocal
and suggest inflammatory disease such as chronic osteomyelitis or
EG. The pathology shows mononuclear or multinuclear giant cells
with lymphs in the cytoplasm of the giant cells. Other inflammatory
cells such as plasma cells, lymphocytes and foamy histiocytes may
be seen. 10% of those with bone lesions die of the disease from extra-
skeletal involvement of the lungs and kidneys.
Case #450.1                              Rosai-Dorfman’s disease




              52 year old female with knee pain for 1 year
Sag T-1         T-2




          Gad
Axial T-1   T-2




     Gad
Cor T-1         T-2




          Gad
Post op X-ray

Vol 13 ppt