Volume 12



Metastatic carcinoma----------Case 1122-1169
Case #1122




54 year male with prior
history of metastatic renal
cell CA to proximal femur
with DHS & cement fixation
and post op radiation therapy
One year later with
recurrent tumor
Surgical specimen          tumor
following wide resection   bulge
proximal femur
Photomic
Autoclaved prox femur
placed over long stem
femoral component
cement



Cemented back in
normal anatomic position
with THA



                           osteotomy
5 months post op with
radiolucent cement
18 months post op
Case #1124




  58 year male with metastatic renal cell CA to pelvis
Post op treatment with
radiolucent cement
THA and radiation therapy
Case #1125




65 year male with path fracture thru metastatic renal cell CA
               in sciatic notch area
Case #1126




48 year male with large
hemorrhagic renal cell
CA distal humerus

                          tumor
Case #1127




66 year male with
metastatic renal cell CA
post op ORIF, pin
fixation and post op RT
Case #1128




   61 year female with metastatic renal cell CA hip area
Lytic lesion in clavicle
Metastatic Renal Cell




Multiple lesions in both hands
Case #1128.1




   57 year male with renal cell CA metastasis to fibular
6 months later without treatment
Bone scan
Sagittal T-2 MRI
Photomic
Case #1129




      61 year female with metastatic aneurysmal
            renal cell CA to distal tibia
Photomic
Case #1130            Metastatic Renal Cell




 45 year male with metastatic renal cell CA to os calcis
Sagital T-1 MRI
tumor




Sagittal T-2 MRI
Axal T-1 MRI
Axial T-2 MRI
Photomic
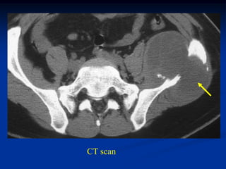
Case #1131




54 year female with metastatic aneurysmal thyroid to pelvis
CT scan
Case #1132




  45 year female with lytic thyroid metastasis to pelvis
tumor                         tumor




Rapid progression without treatment 6 months later
Case #1133           MetastaticThyroid




    52 year female with metastatic thyroid CA to pelvis
Case #1134




    54 year female with metastatic thyroid CA to pelvis
Case #1135




48 yr male with metastatic blastic thyroid met to femoral neck
Bone scan
Case #1135.1




21 year female with large pelvic mass which turned out to be
  a metastatic thyroid metastasis from an ovarian teratoma
Pelvic metastasis seen on PO x-ray following teratoma surgery
tumor




Bone scan
tumor




Sciatic notch level
tumor




Supra acetabular level
I-131 isotope scan prior to teratoma surgery shows
uptake in both the ovarian teratoma and pelvic met
Surgical specimen from resection of pelvic metastasis
Photomic from thyroid metastasis
Placement of multiple Steinman pins prior to cementation
Bone cement placed over pins
Post op reconstruction with pins and cement
Case #1136




65 year female with old rh arth with multi THA’s and current
pseudoarthrosis; on coumadin and painful lytic lesion ilium
CT scan looks like metastatic hemorrhagic thyroid or renal CA
hematoma




Axial T-1 MRI shows large iliac hematoma and at biopsy
              no tumor was found
old hemorrhage




Axial T-2 MRI showing large hemorrhagic pseudotumor
Case #1137                                   CT scan



                                   blood




 91 year female with aneurysmal pseudotumor of sternum thought
 to be metastatic renal or thyroid met; instead an aortic aneurysm
Case #1138




 70 year male with metastatic blastic prostate R hemipelvis
Bone scan
tumor




Photomic showing reactive osteoid formation
Case #1138.1




84 year male with pathologic
fracture humerus 2nd to
metastatic lytic form of
prostate CA
Case #1139




72 year male with blastic prostate mets to pelvis & L-spine
osteoid




          Photomic
Case #1140              Metastatic prostate




79 year male with painless blastic mets to pelvis & prox femur
osteoid




tumor



        Photomic showing reactive osteoid
Case #1141




83 year male with lytic
prostate metastasis to
C-2
Lateral laminogram
Photomic
Case #1142




38 year male with metastatic testicular CA & path fracture
                right proximal femur
Bone scan showing
multiple mets to ribs,
pelvis, spine, shoulder,
and femur




                           R
Rconstruction with cemented bipolar implant and RT
Sagittal T-1 MRI
showing multiple mets
to L-spine
Case #1143             Metastatic Lung




 73 year male with lytic lung met to the intercondylar area
Lateral view
Bone scan
Coronal T-1 MRI
Coronal T-2 MRI
Axial T-1 MRI
Sagittal T-1 MRI
Sagittal T-2 MRI
Chest x-ray showing primary lung CA
Case #1143.1




55 year male with
subtroch path fracture
2nd to metastatic lung CA
Lateral view
Case #1144




55 year female with
metastatic lung CA
to distal tibia
Chest x-ray showing primary lung CA
Case #1145




     37 year male with metastatic lung CA to pelvis
CT scan
Coronal T-1 MRI
Axial T-2 MRI
Case #1146




43 year male with
metastatic lung CA
to distal humerus
Lateral view
Chest x-ray showing primary lung CA right apex
Case #1147             Metastatic Lung




46 year male with central fracture dislocation thru metastatic
          lung CA of left peri-acetabular area
Post op appearance following
modified internal hemipelvec-
tomy with cement and pins
with THA
Case #1148




58 year male with
metastatic squamous
cell CA from right
thigh skin to right
supra-acetabular area
Post op appearance following an internal hemipelvectomy
Case #1149




43 year female with
metastatic lung to
distal fibula
Case #1150




    44 year male with metastatic lung to distal thumb
AP view
Case #1151        Metastatic Rectal Carcinoma




  46 year male with metastatic rectal CA to acetabulum
Post op appearance following
cemented THA
Acetabular biopsy photomic
Case #1152               Rectal Carcinoma




49 year female with blastic rectal CA metastasis to pelvis
Case #1153             Colon CA




67 year male with colon metastasis to toes with prior amp
Case #1154            Abdominal Carcinoid to Bone




74 year female with
metastatic abdominal
carcinoid to humerus
Post op cemented
IM nail
Case #1155              Metastatic Hepatoma




62yr male with metastatic hepatoma prox femur with fracture
Lateral view
Post op ORIF
Mets to lung as well
Case #1155.1                    Metastatic Hepatoma


     9/9                 9/26              10/21




 51 yr male with pain 3 wks prior to fracture of humerus
Axial T-1 MRI   Bone scan
CT of liver showing primary hepatoma lesion
Case #1156           Metastatic Gallbladder




 49 year female with metastatic gallbladder CA to skull
Photomic skull biopsy
Case #1157                Pancreatic Carcinoma to Bone




63 year male with prior
history of spine fusion
and recent pancreatic
CA met to L-5
Photomic from L-5 biopsy
Case #1158                Transitional Bladder CA




69 year male with
metastatic transitional
bladder CA to femur
Cae #1159               Transitional Bladder CA to Bone




66 year male with metastatic
transitional bladder CA
to femur with path fracture
Axial T-2 MRI showing
metastatic transitional
CA to brain
Case #1160             Cervical CA




52 year female with metastatic cervical CA to R hemipelvis
Case #1161             Endometrial CA




  54 year female with endometrial CA uterus to pelvis
tumor
heterotopic ossification




       One year later without treatment
osteoid




   Photomic from pelvic metastatsis
photomic of endometrial adenocarcinoma
Case #1161.1              Endometrial CA




      57 year female with leg and heal pain for one year
Post op cemented IM nail
Case #1161.2           Endometrial CA




        63 yr female with prior history of endometrial CA
Case #1162                 Metastatic Melenoma




27 year male with path
fracture thru metastatic
melanoma from thigh
skin where he had a
resection 4 yrs ago
Black pigmentation in biopsy specimen
Post op fixation with
cemented IM nail
Case #1162.1
                             Metastatic melanoma




          29 year male with pain left hip for 6 weeks
Post op x-ray
Case #1163             Metastatic Breast




53 year female with
metastatic breast CA
right shoulder
Biopsy specimen showing neoplastic induced osteoclysis
Case #1163.1 Metastatic Breast looking like Bone Islands




        54 yr female with history of breast CA 7 yrs ago
Case #1164




16 year male with bone
island proximal femur
looking like a blastic
metastasis
CTscan
Coronal T-2 MRI
Axial T-2 MRI
Macro section of resected bone island specimen
Case #1165




45 year female with multiple bone islands looking like mets
Case #1166
                              CT scan




    35 year male with bone island ilium looking like a
                  blastic metastatsis
Axial T-2 MRI
Case #1167                       CT scan




56 year female with bone island looking like blastic metastasis
Negative bone scan suggests a pseudotumor diagnosis
Case #1168




43 year female with
vertebral bone island
looking like a blastic
metastasis
Case #1168.1                        Bone island




                                              Bone scan




      55 year male with workup for possible bone metastasis
Cor T-1   STIR   Gad
Case #1169




47 year female with stress fracture femoral neck looking like
                a blastic metastasis
Bone scan showing hot
spot left rib and right hip
Photomic hip biopsy showing callous formation
Photomic showing callous formation
Post op bipolar prosthesis
because surgeon thought
patient had metastatic
disease when in fact the
femoral lesion and the
rib fracture are osteoporotic
pseudotumors
Case #1169.1                      Stress fractures




 43 yr female on steroids for lupus with bilat hip pain for 6 months
Bone scan
PD
Cor T-1
Axial PD

Vol 12 ppt