Osteoarthritis
Dr Siti Salihah
House Officer
Hospital Selayang
Definition
 Osteoarthritis (OA) is a type of joint disease
that results from breakdown of joint cartilage
and underlying bone. Which may lead to
 Joint pain
 Joint swelling
 Decrease range of motion
 Weakness and numbness of arms and legs.
Statistics
 In the Global Burden of Disease 2010 study ,
it was estimated that 251 million people
suffered from knee OA worldwide.
Musculoskeletal disease which include OA
was the second greatest cause of disability as
measured by years lived with disablity.
Demographics
 Occurs in ♀ > ♂
 Incidence rates increase with age
 Racial disparities exist in the treatment of
osteoarthritis
 African American males are the least likely to
receive total joint replacement when
compared to whites and Hispanics
Anatomy
 A joint is where the ends of two or more bones
meet. The knee joint, for example, is formed
between the bones of the lower leg (the tibia and the
fibula) and the thighbone (the femur). The hip joint is
where the top of the thighbone (femoral head) meets
a concave portion of the pelvis (the acetabulum).
 Articular cartilage is the smooth, white tissue that
covers the ends of bones where they come together
to form joints. Healthy cartilage in our joints makes
it easier to move. It allows the bones to glide over
each other with very little friction. Articular cartilage
can be damaged by injury or normal wear and tear.
 Synovial fluid is a viscous, non-Newtonian
fluid found in the cavities of synovial joints.
The fluid contains hyaluronan secreted by
fibroblast-like cells in the synovial membrane,
lubricin (proteoglycan 4; PRG4) secreted by
the surface chondrocytess of the articular
cartilagee and interstitial fluid filtered from the
blood plasma.[The principal role of synovial
fluid is to reduce friction between the articular
cartilage of synovial joints during movement.
Causes
Primary Secondary
 Primary OA:
 It occurs in old age, mainly in the weight
bearing joints (knee and hip). Can also occur
over the trapezio- metacarpal joint of the
thumb and distal interphalangeal joints of the
fingers.
 Secondary OA:
 In this type there is an underlying primary
disease of the joint which leads to
degeneration of the joint, often occurs many
years later. It may occur at any age after
adolescence, and occurs commonly at the
hip.
 It is less common than primary OA.
Risk Factors
Modifiable
Non-modifiable
Modifiable
 Obesity
 Trauma
 Occupation, hard labor
 Muscle weakness
 Metabolic syndrome – central ( abdominal)
obesity, dyslipidemia ( high triglycerides and
low-dens lipoproteins), high blood pressure ,
and elevated fasting glucose levels.
Non-modifiable
 Gendre – Females at increased risk
 Age
 Genetics
 Race – some Asian populations at lower risk.
Pathophysiology
 In a healthy joint, the ends of bones are
encased in smooth cartilage. Together, they
are protected by a joint capsule lined with a
synovial membrane that produces synovial
fluid. The capsule and fluid protect the
cartilage, muscles, and connective tissues.
Healthy joint
 With osteoarthritis, there is decrease in proteoglycan (
lubricin) content within cartilage.
 The breakdown of collagen fibers results in a net
increase in water content resulting in increase of
synovial fluid.
 Without the protective effects of the proteoglycans, the
collagen fibers of the cartilage can become susceptible
to degradation and thus exacerbate the degeneration.
 Inflammation of the synovium and the surrounding
joint capsule can also occur.
 New bone outgrowths, called "spurs" or osteophytes,
can form on the margins of the joints.
 The subchondral bone volume increases resulting in
reduced joint space.
Differential diagnosis
 Osteoporosis
 Rheumatoid arthritis
 Septic arthritis
 ACL/ PCL avulsion
 Osgood –Schlatter disease
 Fracture
 Prepatellar bursitis
Formulating diagnosis
 History taking
 Age, sex
 Pain ( onsent, duration, character )
 Hx of fall / trauma
 Taking any medication prior to this.
 Hx of numbness/ lock knee/ weakness
 Social hx ( work, lifestyle)
 Risk factors ( underlying diseases)
 Physical Examination ( Look, feel , move)
 Look:
Bone deformity, length discrepancy, muscle
wasting, swelling, valgus / varus , instability, gait
 Feel:
Warmth of skin, swelling, tenderness upon
palpation, fluid shift.
 Move:
Check the range of motion, crepitus, stifness
Clinical features
 Mostly occurs in elderly
 Mostly in major joints of the lower limb ( hip or
knee)
 Frequently bilaterally.
 Pain is the earliest symptoms
 It become intermittent initially and become
constant over months and years.
 Worsening during physical activites
 Swelling of the joint is a late sign, due to
inflammation.
Physical examination
 Tenderness at the joint line
 Crepitus on moving the joint
 Irregular and enlarged looking joint due to
formation of peripheral osteophytes
 Deformity – Varus and valgus of the knee
 Effusion – rare
 Terminal limitation of the joint movement
 Subluxation detected on ligament testing
 Wasting of quadriceps femoris muscle.
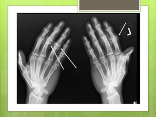
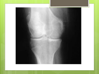
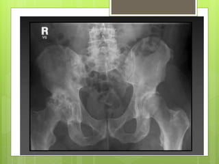
Radiographic changes
Kellgren and Lawrence classification
Investigation
 Diagnosis of OA is mainly clinical. Blood investigations
and synovial fluid analysis are seldom required except
to exclude other diagnosis such as septic, inflammatory
and crystal arthropathy.
 There are no specific laboratory investigations for
diagnosis of OA. Inflammatory markers such as (ESR,
CRP) are likely to be normal or only mildly elevated.
Synovial fluid analysis is also essentially normal in OA.
Treatment
 3 goals of osteoarthritis treatment:
 to control pain
 To delay the progression of the disease
 to restore/ improve joint function
Treatment approaches
1. Drugs
2. Chondroprotective agents
3. Viscusupplements
4. Supportive therapy
5. Surgical treatment
Medications/ pain relievers
Oral Treatment
 Oral treatment consists of:-
i. Simple analgesics - paracetamol
ii. Weak opioid analgesics - tramadol
iii. NSAID – Sodium diclofenac, Arcoxia
iV. Cyclo-oxygenase-2 Inhibitors – Celexocib
Topical analgesics:
i. Deep heat rub
ii. Ketoprofen patch
Chondroprotective agents
 Glucosamine
 Chondroitin sulphate
Intra-articular
corticosteroid
injections
 Provides temporary pain relief.
 Generic names: Betamethasone, methylprednisolone,
triminolone.
 Steroids are similar to natural substances produced by
the body hormones that help reduce inflammation. If
inflammations is not a symptom of your osteoarthritis,
steroids are less likely to be helpful.
 Steroids may be used to reduce inflammation in
tendons and ligaments in osteoarthritic joints.
Non-drug pain relief and
alternative therapies.
 Transcutaneous electrical nerve
stimulation (TENS):TENS is a
technique that uses a small
electronic device to direct mild
electric pulses to nerve endings that
lie beneath the skin in the painful
area. TENS may relieve some
arthritis pain. It seems to work by
blocking pain messages to the brain
and by modifying pain perception.
Supportive therapy
 Weight reduction
 Avoidance of stress and strain to the
affected joint in a day-to-day activities.
 Local heat – provides relief of pain
and stiffness
 Exercises for building up the muscles
controlling the joint help in providing
joint stability
Walking aids
Surgical treatment
Hand
 Joint fusion
 Joint replacement
Knee:
 Osteotomy – High tibial osteotomy
 Total knee replacement
 Arthroscopic debridement
Hip:
 Osteotomy – Intertrochanteric osteotomy
 Hip resurfacing
 Total hip replacement.
Osteotomy
 Tibial osteotomy was first performed in Europe in the
late 1950s and brought to the United States in the
1960s. This procedure is sometimes called a "high
tibial osteotomy."
 It literally means "cutting of the bone." In a knee
osteotomy, either the tibia (shinbone) or femur
(thighbone) is cut and then reshaped to relieve
pressure on the knee joint.
Advantages and Disadvantages
 Knee osteotomy has three goals:
1. To transfer weight from the arthritic part of the knee to
a healthier area
2. To correct poor knee alignment
3. To prolong the life span of the knee joint
 It may delay the need for a joint replacement for
several years
 The recovery is typically more difficult than a partial
knee replacement because of pain and not being able
to put weight on the leg.
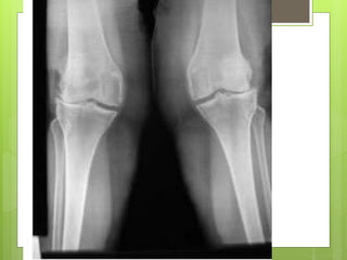
A: A normal knee joint
B: Osteophyte formation that has formed at one side of the knee
causing malalignment
A B
Procedure
 Most osteotomies for knee
arthritis are done on the tibia
(shinbone) to correct a
bowlegged alignment that is
putting too much stress on
the inside of the knee.
 During this procedure, a
wedge of bone is removed
from the outside of the tibia,
under the healthy side of the
knee. When the surgeon
closes the wedge, it
straightens the leg
Total knee replacement
1) Prepare the bone. The
damaged cartilage surfaces at
the ends of the femur and tibia
are removed along with a
small amount of underlying
bone.
2) Position the metal
implants. The removed
cartilage and bone is replaced
with metal components that
recreate the surface of the
joint. These metal parts may
be cemented or "press-fit" into
the bone.
3) Insert a spacer. A medical-
grade plastic spacer is inserted
between the metal
components to create a
smooth gliding surface.
A knee replacement (also called knee arthroplasty)
might be more accurately termed a knee "resurfacing“
because only the surface of the bones are actually replaced
Types of implant
 There are more than 150 knee replacement
models
 Mimic the ‘hinge’ concept
 Components ( tibial, femur and patella)
 Material : Titanium alloy, Cobalt-
chromium, Tantalum
 Cemented or cementless.
 Designs:
1) Posterior stabilized design
2) Cruciate retaining design
3) Unicompartment implants
Rehabilitation
Day of surgery
 Deep breathing exercises
 Active ankle ROM
Postop day 1
 Lower-limb isometrics including quadriceps,
hamstrings, and gluteral sets
 Wearing a knee immobilizer until the development of
active knee enstension and demonstration of good leg
control during ambulation
 Weight-bearing after TKA may be partial or full,
depending on the surgeon’s discretion
Postop day 2
 Standing at the bedside with knee immobilizer and
partial weight-bearing on the operated limb
 Active assisted ROM
Postop day 4
 Progressive isotonic and isometric knee and hip
muscle strengthening
 Concentrate on terminal knee extension through active
knee extension exercises
Refferences
Netter’s Concise orthopaedic anatomy.
Apleys’ system of orthopaedics and fractures.
www.orthoinfo.org
www.orthobullets.com
www. uptodate.com
Thank you

Osteoarthritis

  • 1.
    Osteoarthritis Dr Siti Salihah HouseOfficer Hospital Selayang
  • 2.
    Definition  Osteoarthritis (OA)is a type of joint disease that results from breakdown of joint cartilage and underlying bone. Which may lead to  Joint pain  Joint swelling  Decrease range of motion  Weakness and numbness of arms and legs.
  • 3.
    Statistics  In theGlobal Burden of Disease 2010 study , it was estimated that 251 million people suffered from knee OA worldwide. Musculoskeletal disease which include OA was the second greatest cause of disability as measured by years lived with disablity.
  • 4.
    Demographics  Occurs in♀ > ♂  Incidence rates increase with age  Racial disparities exist in the treatment of osteoarthritis  African American males are the least likely to receive total joint replacement when compared to whites and Hispanics
  • 5.
    Anatomy  A jointis where the ends of two or more bones meet. The knee joint, for example, is formed between the bones of the lower leg (the tibia and the fibula) and the thighbone (the femur). The hip joint is where the top of the thighbone (femoral head) meets a concave portion of the pelvis (the acetabulum).  Articular cartilage is the smooth, white tissue that covers the ends of bones where they come together to form joints. Healthy cartilage in our joints makes it easier to move. It allows the bones to glide over each other with very little friction. Articular cartilage can be damaged by injury or normal wear and tear.
  • 6.
     Synovial fluidis a viscous, non-Newtonian fluid found in the cavities of synovial joints. The fluid contains hyaluronan secreted by fibroblast-like cells in the synovial membrane, lubricin (proteoglycan 4; PRG4) secreted by the surface chondrocytess of the articular cartilagee and interstitial fluid filtered from the blood plasma.[The principal role of synovial fluid is to reduce friction between the articular cartilage of synovial joints during movement.
  • 10.
  • 11.
     Primary OA: It occurs in old age, mainly in the weight bearing joints (knee and hip). Can also occur over the trapezio- metacarpal joint of the thumb and distal interphalangeal joints of the fingers.
  • 12.
     Secondary OA: In this type there is an underlying primary disease of the joint which leads to degeneration of the joint, often occurs many years later. It may occur at any age after adolescence, and occurs commonly at the hip.  It is less common than primary OA.
  • 13.
  • 14.
    Modifiable  Obesity  Trauma Occupation, hard labor  Muscle weakness  Metabolic syndrome – central ( abdominal) obesity, dyslipidemia ( high triglycerides and low-dens lipoproteins), high blood pressure , and elevated fasting glucose levels.
  • 15.
    Non-modifiable  Gendre –Females at increased risk  Age  Genetics  Race – some Asian populations at lower risk.
  • 16.
    Pathophysiology  In ahealthy joint, the ends of bones are encased in smooth cartilage. Together, they are protected by a joint capsule lined with a synovial membrane that produces synovial fluid. The capsule and fluid protect the cartilage, muscles, and connective tissues.
  • 17.
  • 18.
     With osteoarthritis,there is decrease in proteoglycan ( lubricin) content within cartilage.  The breakdown of collagen fibers results in a net increase in water content resulting in increase of synovial fluid.
  • 19.
     Without theprotective effects of the proteoglycans, the collagen fibers of the cartilage can become susceptible to degradation and thus exacerbate the degeneration.  Inflammation of the synovium and the surrounding joint capsule can also occur.  New bone outgrowths, called "spurs" or osteophytes, can form on the margins of the joints.  The subchondral bone volume increases resulting in reduced joint space.
  • 20.
    Differential diagnosis  Osteoporosis Rheumatoid arthritis  Septic arthritis  ACL/ PCL avulsion  Osgood –Schlatter disease  Fracture  Prepatellar bursitis
  • 21.
    Formulating diagnosis  Historytaking  Age, sex  Pain ( onsent, duration, character )  Hx of fall / trauma  Taking any medication prior to this.  Hx of numbness/ lock knee/ weakness  Social hx ( work, lifestyle)  Risk factors ( underlying diseases)
  • 22.
     Physical Examination( Look, feel , move)  Look: Bone deformity, length discrepancy, muscle wasting, swelling, valgus / varus , instability, gait  Feel: Warmth of skin, swelling, tenderness upon palpation, fluid shift.  Move: Check the range of motion, crepitus, stifness
  • 23.
    Clinical features  Mostlyoccurs in elderly  Mostly in major joints of the lower limb ( hip or knee)  Frequently bilaterally.  Pain is the earliest symptoms  It become intermittent initially and become constant over months and years.  Worsening during physical activites  Swelling of the joint is a late sign, due to inflammation.
  • 24.
    Physical examination  Tendernessat the joint line  Crepitus on moving the joint  Irregular and enlarged looking joint due to formation of peripheral osteophytes  Deformity – Varus and valgus of the knee  Effusion – rare  Terminal limitation of the joint movement  Subluxation detected on ligament testing  Wasting of quadriceps femoris muscle.
  • 27.
    Radiographic changes Kellgren andLawrence classification
  • 33.
    Investigation  Diagnosis ofOA is mainly clinical. Blood investigations and synovial fluid analysis are seldom required except to exclude other diagnosis such as septic, inflammatory and crystal arthropathy.  There are no specific laboratory investigations for diagnosis of OA. Inflammatory markers such as (ESR, CRP) are likely to be normal or only mildly elevated. Synovial fluid analysis is also essentially normal in OA.
  • 35.
    Treatment  3 goalsof osteoarthritis treatment:  to control pain  To delay the progression of the disease  to restore/ improve joint function
  • 36.
    Treatment approaches 1. Drugs 2.Chondroprotective agents 3. Viscusupplements 4. Supportive therapy 5. Surgical treatment
  • 37.
    Medications/ pain relievers OralTreatment  Oral treatment consists of:- i. Simple analgesics - paracetamol ii. Weak opioid analgesics - tramadol iii. NSAID – Sodium diclofenac, Arcoxia iV. Cyclo-oxygenase-2 Inhibitors – Celexocib Topical analgesics: i. Deep heat rub ii. Ketoprofen patch
  • 38.
  • 39.
    Intra-articular corticosteroid injections  Provides temporarypain relief.  Generic names: Betamethasone, methylprednisolone, triminolone.  Steroids are similar to natural substances produced by the body hormones that help reduce inflammation. If inflammations is not a symptom of your osteoarthritis, steroids are less likely to be helpful.  Steroids may be used to reduce inflammation in tendons and ligaments in osteoarthritic joints.
  • 40.
    Non-drug pain reliefand alternative therapies.  Transcutaneous electrical nerve stimulation (TENS):TENS is a technique that uses a small electronic device to direct mild electric pulses to nerve endings that lie beneath the skin in the painful area. TENS may relieve some arthritis pain. It seems to work by blocking pain messages to the brain and by modifying pain perception.
  • 41.
    Supportive therapy  Weightreduction  Avoidance of stress and strain to the affected joint in a day-to-day activities.  Local heat – provides relief of pain and stiffness  Exercises for building up the muscles controlling the joint help in providing joint stability
  • 42.
  • 43.
    Surgical treatment Hand  Jointfusion  Joint replacement Knee:  Osteotomy – High tibial osteotomy  Total knee replacement  Arthroscopic debridement Hip:  Osteotomy – Intertrochanteric osteotomy  Hip resurfacing  Total hip replacement.
  • 44.
    Osteotomy  Tibial osteotomywas first performed in Europe in the late 1950s and brought to the United States in the 1960s. This procedure is sometimes called a "high tibial osteotomy."  It literally means "cutting of the bone." In a knee osteotomy, either the tibia (shinbone) or femur (thighbone) is cut and then reshaped to relieve pressure on the knee joint.
  • 45.
    Advantages and Disadvantages Knee osteotomy has three goals: 1. To transfer weight from the arthritic part of the knee to a healthier area 2. To correct poor knee alignment 3. To prolong the life span of the knee joint  It may delay the need for a joint replacement for several years  The recovery is typically more difficult than a partial knee replacement because of pain and not being able to put weight on the leg.
  • 46.
    A: A normalknee joint B: Osteophyte formation that has formed at one side of the knee causing malalignment A B
  • 47.
    Procedure  Most osteotomiesfor knee arthritis are done on the tibia (shinbone) to correct a bowlegged alignment that is putting too much stress on the inside of the knee.  During this procedure, a wedge of bone is removed from the outside of the tibia, under the healthy side of the knee. When the surgeon closes the wedge, it straightens the leg
  • 48.
    Total knee replacement 1)Prepare the bone. The damaged cartilage surfaces at the ends of the femur and tibia are removed along with a small amount of underlying bone. 2) Position the metal implants. The removed cartilage and bone is replaced with metal components that recreate the surface of the joint. These metal parts may be cemented or "press-fit" into the bone. 3) Insert a spacer. A medical- grade plastic spacer is inserted between the metal components to create a smooth gliding surface. A knee replacement (also called knee arthroplasty) might be more accurately termed a knee "resurfacing“ because only the surface of the bones are actually replaced
  • 49.
    Types of implant There are more than 150 knee replacement models  Mimic the ‘hinge’ concept  Components ( tibial, femur and patella)  Material : Titanium alloy, Cobalt- chromium, Tantalum  Cemented or cementless.  Designs: 1) Posterior stabilized design 2) Cruciate retaining design 3) Unicompartment implants
  • 50.
    Rehabilitation Day of surgery Deep breathing exercises  Active ankle ROM Postop day 1  Lower-limb isometrics including quadriceps, hamstrings, and gluteral sets  Wearing a knee immobilizer until the development of active knee enstension and demonstration of good leg control during ambulation  Weight-bearing after TKA may be partial or full, depending on the surgeon’s discretion
  • 51.
    Postop day 2 Standing at the bedside with knee immobilizer and partial weight-bearing on the operated limb  Active assisted ROM Postop day 4  Progressive isotonic and isometric knee and hip muscle strengthening  Concentrate on terminal knee extension through active knee extension exercises
  • 52.
    Refferences Netter’s Concise orthopaedicanatomy. Apleys’ system of orthopaedics and fractures. www.orthoinfo.org www.orthobullets.com www. uptodate.com
  • 53.